Imaging-Based Pre-Operative Differentiation of Ovarian Tumours—A Retrospective Cross-Sectional Study
Abstract
1. Introduction
2. Materials and Methods
2.1. Patient Inclusion and Data Retrieval
2.2. Imaging Protocols
2.2.1. MRI Protocol
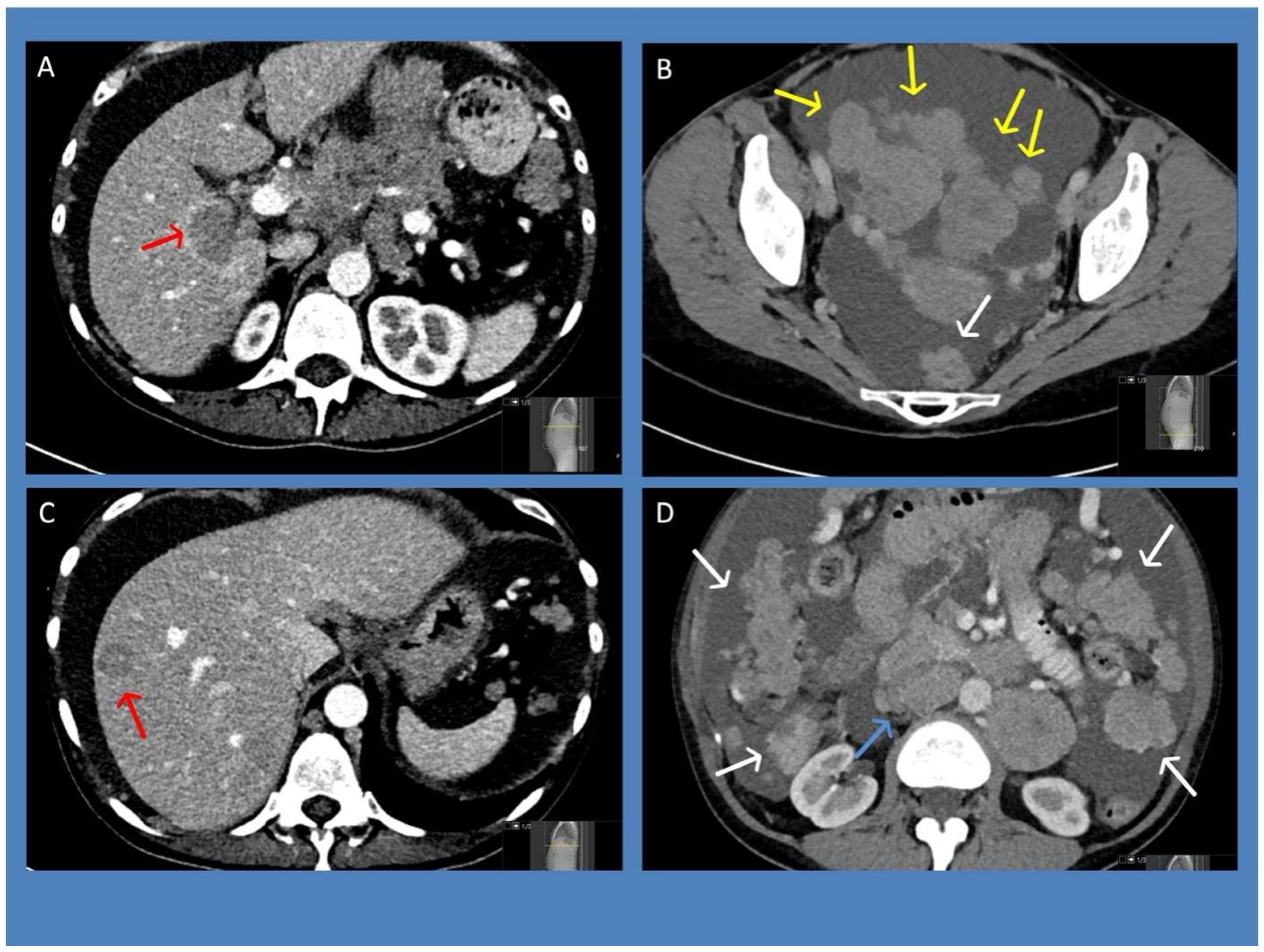
2.2.2. CT Protocol
2.2.3. 2-[18F]-FDG PET/CT Protocol
2.3. Imaging Evaluation
2.4. Statistical Analysis
3. Results
3.1. Patient Level
3.2. Lesion Level
4. Discussion
4.1. rFIGO, O-RADS-MRI and ADCmean as Predictors for Primary Ovarian Malignancy
4.2. rFIGO, O-RADS-MRI and ADCmean as Predictors for Adverse Features in Borderline Tumours with Increased Malignant Potential
4.3. Bilateral Ovarian Lesions
5. Conclusions
Author Contributions
Funding
Institutional Review Board Statement
Informed Consent Statement
Data Availability Statement
Acknowledgments
Conflicts of Interest
References
- Reid, B.M.; Permuth, J.B.; Sellers, T.A. Epidemiology of ovarian cancer: A review. Cancer Biol. Med. 2017, 14, 9–32. [Google Scholar] [CrossRef]
- Boussios, S.; Zarkavelis, G.; Seraj, E.; Zerdes, I.; Tatsi, K.; Pentheroudakis, G. Non-epithelial Ovarian Cancer: Elucidating Uncommon Gynaecological Malignancies. Anticancer Res. 2016, 36, 5031–5042. [Google Scholar] [CrossRef] [PubMed]
- Sharadha, S.; Sridevi, T.A.; Renukadevi, T.K.; Gowri, R.; Binayak, D.; Indra, V. Ovarian masses: Changing clinico histopathological trends. J. Obstet. Gynecol. India 2015, 65, 34–38. [Google Scholar] [CrossRef]
- Skírnisdóttir, I.; Garmo, H.; Wilander, E.; Holmberg, L. Borderline ovarian tumors in Sweden 1960–2005: Trends in incidence and age at diagnosis compared to ovarian cancer. Int. J. Cancer 2008, 123, 1897–1901. [Google Scholar] [CrossRef]
- Flicek, K.T.; VanBuren, W.; Dudiak, K.; Lahkman, Y.; Chen, L.W.; Butler, K.; Menias, C.O. Borderline epithelial ovarian tumors: What the radiologist should know. Abdom. Imaging 2021, 46, 2350–2366. [Google Scholar] [CrossRef]
- Rossi, S.; Baili, P.; Capocaccia, R.; Caldora, M.; Carrani, E.; Minicozzi, P.; Pierannunzio, D.; Santaquilani, M.; Trama, A.; Allemani, C.; et al. The EUROCARE-5 study on cancer survival in Europe 1999–2007: Database, quality checks and statistical analysis methods. Eur. J. Cancer 2015, 51, 2104–2119. [Google Scholar] [CrossRef]
- American Cancer Society, Survival Rates for Ovarian Cancer. Available online: https://www.cancer.org/cancer/types/ovarian-cancer/detection-diagnosis-staging/survival-rates.html (accessed on 20 April 2024).
- Vang, R.; Hannibal, C.G.; Junge, J.; Frederiksen, K.; Kjaer, S.K.; Kurman, R.J. Long-term Behavior of Serous Borderline Tumors Subdivided Into Atypical Proliferative Tumors and Noninvasive Low-grade Carcinomas: A Population-based Clinicopathologic Study of 942 Cases. Am. J. Surg. Pathol. 2017, 41, 725–737. [Google Scholar] [CrossRef] [PubMed]
- Sahin, H.; Akdogan, A.I.; Smith, J.; Zawaideh, J.P.; Addley, H. Serous borderline ovarian tumours: An extensive review on MR imaging features. Br. J. Radiol. 2021, 94, 20210116. [Google Scholar] [CrossRef]
- Berek, J.S.; Renz, M.; Kehoe, S.; Kumar, L.; Friedlander, M. Cancer of the ovary, fallopian tube, and peritoneum: 2021 update. Int. J. Gynecol. Obstet. 2021, 155, 61–85. [Google Scholar] [CrossRef] [PubMed]
- Sadowski, E.A.; Robbins, J.B.; Rockall, A.G.; Thomassin-Naggara, I. A systematic approach to adnexal masses discovered on ultrasound: The ADNEx MR scoring system. Abdom. Imaging 2018, 43, 679–695. [Google Scholar] [CrossRef]
- Thomassin-Naggara, I.; Poncelet, E.; Jalaguier-Coudray, A.; Guerra, A.; Fournier, L.S.; Stojanovic, S.; Millet, I.; Bharwani, N.; Juhan, V.; Cunha, T.M.; et al. Ovarian-Adnexal Reporting Data System Magnetic Resonance Imaging (O-RADS MRI) Score for Risk Stratification of Sonographically Indeterminate Adnexal Masses. JAMA Netw. Open 2020, 3, e1919896. [Google Scholar] [CrossRef]
- Sadowski, E.A.; Maturen, K.E.; Rockall, A.; Reinhold, C.; Addley, H.; Jha, P.; Bharwani, N.; Thomassin-Naggara, I. Ovary: MRI characterisation and O-RADS MRI. Br. J. Radiol. 2021, 94, 20210157. [Google Scholar] [CrossRef] [PubMed]
- Sadowski, E.A.; Thomassin-Naggara, I.; Rockall, A.; Maturen, K.E.; Forstner, R.; Jha, P.; Nougaret, S.; Siegelman, E.S.; Reinhold, C. O-RADS MRI Risk Stratification System: Guide for Assessing Adnexal Lesions from the ACR O-RADS Committee. Radiology 2022, 303, 35–47. [Google Scholar] [CrossRef]
- Reinhold, C.; Rockall, A.; Sadowski, E.A.; Siegelman, E.S.; Maturen, K.E.; Vargas, H.A.; Forstner, R.; Glanc, P.; Andreotti, R.F.; Thomassin-Naggara, I. Ovarian-Adnexal Reporting Lexicon for MRI: A White Paper of the ACR Ovarian-Adnexal Reporting and Data Systems MRI Committee. J. Am. Coll. Radiol. 2021, 18, 713–729. [Google Scholar] [CrossRef]
- Han, J.; Wen, J.; Hu, W. Comparison of O-RADS with the ADNEX model and IOTA SR for risk stratification of adnexal lesions: A systematic review and meta-analysis. Front. Oncol. 2024, 14, 1354837. [Google Scholar] [CrossRef] [PubMed] [PubMed Central]
- Nougaret, S.; Lakhman, Y.; Bahadir, S.; Sadowski, E.; Thomassin-Naggara, I.; Reinhold, C. Ovarian-Adnexal Reporting and Data System for Magnetic Resonance Imaging (O-RADS MRI): Genesis and Future Directions. Can. Assoc. Radiol. J. 2023, 74, 370–381. [Google Scholar] [CrossRef] [PubMed]
- Manganaro, L.; Ciulla, S.; Celli, V.; Ercolani, G.; Ninkova, R.; Miceli, V.; Cozzi, A.; Rizzo, S.M.; Thomassin-Naggara, I.; Catalano, C. Impact of DWI and ADC values in Ovarian-Adnexal Reporting and Data System (O-RADS) MRI score. Radiol. Medica 2023, 128, 565–577. [Google Scholar] [CrossRef] [PubMed]
- Thomassin-Naggara, I.; Daraï, E.; Cuenod, C.A.; Fournier, L.; Toussaint, I.; Marsault, C.; Bazot, M. Contribution of diffusion-weighted MR imaging for predicting benignity of complex adnexal masses. Eur. Radiol. 2009, 19, 1544–1552. [Google Scholar] [CrossRef]
- Pi, S.; Cao, R.; Qiang, J.W.; Guo, Y.H. Utility of DWI with quantitative ADC values in ovarian tumors: A meta-analysis of diagnostic test performance. Acta Radiol. 2018, 59, 1386–1394. [Google Scholar] [CrossRef]
- Surov, A.; Meyer, H.J.; Wienke, A. Correlation Between Minimum Apparent Diffusion Coefficient (ADCmin) and Tumor Cellularity: A Meta-analysis. Anticancer Res. 2017, 37, 3807–3810. [Google Scholar] [CrossRef]
- Kierans, A.S.; Bennett, G.L.; Mussi, T.C.; Babb, J.S.; Rusinek, H.; Melamed, J.; Rosenkrantz, A.B. Characterization of malignancy of adnexal lesions using ADC entropy: Comparison with mean ADC and qualitative DWI assessment. J. Magn. Reson. Imaging 2013, 37, 164–171. [Google Scholar] [CrossRef] [PubMed]
- Fardanesh, R.; Thakur, S.B.; Sevilimedu, V.; Horvat, J.V.; Gullo, R.L.; Reiner, J.S.; Eskreis-Winkler, S.; Thakur, N.; Pinker, K. Differentiation Between Benign and Metastatic Breast Lymph Nodes Using Apparent Diffusion Coefficients. Front. Oncol. 2022, 12, 795265. [Google Scholar] [CrossRef]
- Moyle, P.; Addley, H.C.; Sala, E. Radiological Staging of Ovarian Carcinoma. Semin. Ultrasound CT MRI 2010, 31, 388–398. [Google Scholar] [CrossRef]
- Yuan, Y.; Gu, Z.-X.; Tao, X.-F.; Liu, S.-Y. Computer tomography, magnetic resonance imaging, and positron emission tomography or positron emission tomography/computer tomography for detection of metastatic lymph nodes in patients with ovarian cancer: A meta-analysis. Eur. J. Radiol. 2012, 81, 1002–1006. [Google Scholar] [CrossRef] [PubMed]
- Tangjitgamol, S.; Manusirivithaya, S.; Sheanakul, C.; Leelahakorn, S.; Sripramote, M.; Thawaramara, T.; Kaewpila, N. Can we rely on the size of the lymph node in determining nodal metastasis in ovarian carcinoma? Int. J. Gynecol. Cancer 2003, 13, 297–302. [Google Scholar] [CrossRef] [PubMed]
- Dhingra, V.K.; Kand, P.; Basu, S. Impact of FDG-PET and -PET/CT Imaging in the Clinical Decision-Making of Ovarian Carcinoma: An Evidence-Based Approach. Women’s Health 2012, 8, 191–203. [Google Scholar] [CrossRef]
- Risum, S.; Høgdall, C.; Loft, A.; Berthelsen, A.K.; Høgdall, E.; Nedergaard, L.; Lundvall, L.; Engelholm, S.A. Does the use of diagnostic PET/CT cause stage migration in patients with primary advanced ovarian cancer? Gynecol. Oncol. 2010, 116, 395–398. [Google Scholar] [CrossRef]
- Nationellt Vårdprogram Äggstockscancer, Epitelial–RCC Kunskapsbanken. Available online: https://kunskapsbanken.cancercentrum.se/diagnoser/aggstockscancer-epitelial/vardprogram/ (accessed on 25 April 2023).
- Kang, S.K.; Reinhold, C.; Atri, M.; Benson, C.B.; Bhosale, P.R.; Jhingran, A.; Lakhman, Y.; Maturen, K.E.; Nicola, R.; Pandharipande, P.V.; et al. ACR Appropriateness Criteria ® Staging and Follow-Up of Ovarian Cancer. J. Am. Coll. Radiol. 2018, 15, S198–S207. [Google Scholar] [CrossRef]
- Pereira, P.N.; Yoshida, A.; Sarian, L.O.; Barros, R.H.d.O.; Jales, R.M.; Derchain, S. Assessment of the performance of the O-RADS MRI score for the evaluation of adnexal masses, with technical notes. Radiol. Bras. 2022, 55, 137–144. [Google Scholar] [CrossRef]
- Roseland, M.E.; Maturen, K.E.; Shampain, K.L.; Wasnik, A.P.; Stein, E.B. Adnexal Mass Imaging: Contemporary Guidelines for Clinical Practice. Radiol. Clin. N. Am. 2023, 61, 671–685. [Google Scholar] [CrossRef] [PubMed]
- Sahin, H.; Panico, C.; Ursprung, S.; Simeon, V.; Chiodini, P.; Frary, A.; Carmo, B.; Smith, J.; Freeman, S.; Jimenez-Linan, M.; et al. Non-contrast MRI can accurately characterize adnexal masses: A retrospective study. Eur. Radiol. 2021, 31, 6962–6973. [Google Scholar] [CrossRef]
- Kurata, Y.; Kido, A.; Moribata, Y.; Kameyama, K.; Himoto, Y.; Minamiguchi, S.; Konishi, I.; Togashi, K. Diagnostic performance of MR imaging findings and quantitative values in the differentiation of seromucinous borderline tumour from endometriosis-related malignant ovarian tumour. Eur. Radiol. 2017, 27, 1695–1703. [Google Scholar] [CrossRef] [PubMed]
- Sethi, D.; Ahluvalia, C.; Sharma, U.; Khetarpal, S. A synchronous presentation of two different ovarian tumors: A rare occurrence. Ann. Med. Health Sci. Res. 2013, 3, 268–270. [Google Scholar] [CrossRef] [PubMed]
- Baradwan, S.; Alalyani, H.; Baradwan, A.; Baradwan, A.; Al-Ghamdi, M.; Alnemari, J.; Al-Jaroudi, D. Bilateral ovarian masses with different histopathology in each ovary. Clin. Case Rep. 2018, 6, 784–787. [Google Scholar] [CrossRef] [PubMed]




| rFIGO Stage | ≥1 Primary Malignant Tumour (n = 82) | Benign Tumours Only (n = 64) |
|---|---|---|
| 0 | 0 (0%) | 53 (83%) |
| 1 | 18 (22%) | 11 (17%) |
| 2 | 2 (2.4%) | 0 (0%) |
| 3 | 28 (34%) | 0 (0%) |
| 4 | 34 (41%) | 0 (0%) |
| Tumour classification | Lesion level (n = 280) |
| Malignant | 155/280 |
| Benign | 85/280 |
| Borderline | 40/280 |
| Malignant subgroups | Lesion level (n = 155) |
| Primary ovarian malignancy | 122/155 |
| Secondary malignancy | 33/155 |
| Borderline subgroups | Lesion level (n = 40) |
| Borderline with adverse features (micro-invasion) | 9/40 |
| Borderline without adverse features (without micro-invasion) | 31/40 |
| O-RADS-MRIscore | Primary Malignant Lesions (n = 122) | Benign Lesions (n = 85) | Borderline Lesions (n = 40) |
|---|---|---|---|
| 0 | 3 (3%) | 4 (5%) | 3 (10%) |
| 2 | 0 (0%) | 28 (39%) | 0 (0%) |
| 3 | 0 (0%) | 28 (39%) | 3 (10%) |
| 4 | 21 (21%) | 10 (14%) | 19 (63.3%) |
| 5 | 75 (76%) | 2 (3%) | 5 (16.7%) |
| MRI missing | 23 | 13 | 10 |
Disclaimer/Publisher’s Note: The statements, opinions and data contained in all publications are solely those of the individual author(s) and contributor(s) and not of MDPI and/or the editor(s). MDPI and/or the editor(s) disclaim responsibility for any injury to people or property resulting from any ideas, methods, instructions or products referred to in the content. |
© 2025 by the authors. Licensee MDPI, Basel, Switzerland. This article is an open access article distributed under the terms and conditions of the Creative Commons Attribution (CC BY) license (https://creativecommons.org/licenses/by/4.0/).
Share and Cite
Kabibulatova, A.; Kazi, M.; Berglund, P.; Båtsman, M.; Ottander, U.; Strandberg, S.N. Imaging-Based Pre-Operative Differentiation of Ovarian Tumours—A Retrospective Cross-Sectional Study. Diagnostics 2025, 15, 2560. https://doi.org/10.3390/diagnostics15202560
Kabibulatova A, Kazi M, Berglund P, Båtsman M, Ottander U, Strandberg SN. Imaging-Based Pre-Operative Differentiation of Ovarian Tumours—A Retrospective Cross-Sectional Study. Diagnostics. 2025; 15(20):2560. https://doi.org/10.3390/diagnostics15202560
Chicago/Turabian StyleKabibulatova, Assel, Mehzabin Kazi, Peter Berglund, Malin Båtsman, Ulrika Ottander, and Sara N. Strandberg. 2025. "Imaging-Based Pre-Operative Differentiation of Ovarian Tumours—A Retrospective Cross-Sectional Study" Diagnostics 15, no. 20: 2560. https://doi.org/10.3390/diagnostics15202560
APA StyleKabibulatova, A., Kazi, M., Berglund, P., Båtsman, M., Ottander, U., & Strandberg, S. N. (2025). Imaging-Based Pre-Operative Differentiation of Ovarian Tumours—A Retrospective Cross-Sectional Study. Diagnostics, 15(20), 2560. https://doi.org/10.3390/diagnostics15202560

