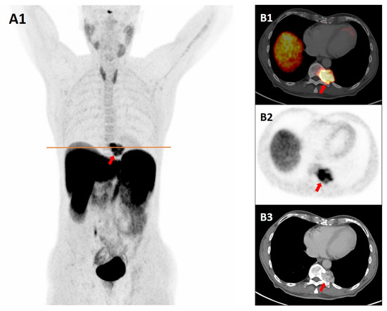
“Not All That Glitters Is Gold”: Paraspinal Cavernous Hemangioma Mimicking Paraganglioma on Somatostatin Receptor PET/CT
Abstract

Author Contributions
Funding
Institutional Review Board Statement
Informed Consent Statement
Data Availability Statement
Conflicts of Interest
References
- Treglia, G.; Sadeghi, R.; Giovinazzo, F.; Galiandro, F.; Annunziata, S.; Muoio, B.; Kroiss, A.S. PET with Different Radiopharmaceuticals in Neuroendocrine Neoplasms: An Umbrella Review of Published Meta-Analyses. Cancers 2021, 13, 5172. [Google Scholar] [CrossRef] [PubMed]
- Taïeb, D.; Hicks, R.J.; Hindié, E.; Guillet, B.A.; Avram, A.; Ghedini, P.; Timmers, H.J.; Scott, A.T.; Elojeimy, S.; Rubello, D.; et al. European Association of Nuclear Medicine Practice Guideline/Society of Nuclear Medicine and Molecular Imaging Procedure Standard 2019 for radionuclide imaging of phaeochromocytoma and paraganglioma. Eur. J. Nucl. Med. Mol. Imaging 2019, 46, 2112–2137. [Google Scholar] [CrossRef] [PubMed]
- Perrone, E.; Treglia, G.; Giancipoli, R.G.; Leccisotti, L.; Rindi, G.; Rufini, V. In Vivo Versus In Vitro Somatostatin Receptor Expression in Neuroendocrine Neoplasms: A Systematic Review and Meta-Analysis of Correlation Studies. Int. J. Mol. Sci. 2025, 26, 6551. [Google Scholar] [CrossRef] [PubMed]
- Liu, B.; Li, S.; Xu, Y.; Huang, X.; Guo, X.; Wang, H.; Jiang, S. Somatostatin receptor expression in multiple hemangiomas. Discov. Oncol. 2025, 16, 1297. [Google Scholar] [CrossRef] [PubMed]
- Jiang, Y.; Hou, G.; Wang, X. Retroperitoneal Capillary Hemangioma Mimicking Paraganglioma on 18 F-AlF-NOTA-Octreotide PET/CT. Clin. Nucl. Med. 2025, 50, 664–666. [Google Scholar] [CrossRef] [PubMed]
- Bentestuen, M.; Gossili, F.; Almasi, C.E.; Zacho, H.D. Prevalence and significance of incidental findings on 68 Ga-DOTA-conjugated somatostatin receptor-targeting peptide PET/CT: A systematic review of the literature. Cancer Imaging 2022, 22, 44. [Google Scholar] [CrossRef] [PubMed]
- Vadi, S.K.; Mittal, B.R.; Parihar, A.S.; Kumar, R.; Singh, H.; Singh, G. 68Ga-DOTANOC PET/CT in an Atypical Extraskeletal Paravertebral Hemangioma Mimicking as Neurogenic Tumor in a Known Case of Breast Cancer. Clin. Nucl. Med. 2019, 44, e364–e366. [Google Scholar] [CrossRef] [PubMed]
- Arunachalam, V.S.; Choudhury, A.R.; Valakkada, J.; Ayappan, A. Intramyocardial Hemangioma Mimicking Paraganglioma in Cardiac MRI and DOTANOC PET. Indian J. Radiol. Imaging 2024, 35, 460–462. [Google Scholar] [CrossRef] [PubMed]
- AbdelDayem, A.M.; Navalkissoor, S.; Luong, T.V.; Caplin, M.; Mirnezami, R. Retroperitoneal haemangioma masquerading as recurrence of well-differentiated neuroendocrine tumour: A cautionary note. Ann. R. Coll. Surg. Engl. 2025; ahead of print. [Google Scholar] [CrossRef] [PubMed]
- Kar, S.; Gupta, H.; Shaikh, N.; Lele, V. Mediastinal Hemangioma Mimicking as Bronchial NET. Indian J. Nucl. Med. 2024, 39, 213–215. [Google Scholar] [CrossRef] [PubMed]
- Maman, A.; Gultekin, S. Vertebral Ga-68 DOTATATE uptake mimicking lung neuroendocrine tumor metastasis. Acta Endocrinol. 2023, 19, 104–107. [Google Scholar] [CrossRef] [PubMed]
Disclaimer/Publisher’s Note: The statements, opinions and data contained in all publications are solely those of the individual author(s) and contributor(s) and not of MDPI and/or the editor(s). MDPI and/or the editor(s) disclaim responsibility for any injury to people or property resulting from any ideas, methods, instructions or products referred to in the content. |
© 2025 by the authors. Licensee MDPI, Basel, Switzerland. This article is an open access article distributed under the terms and conditions of the Creative Commons Attribution (CC BY) license (https://creativecommons.org/licenses/by/4.0/).
Share and Cite
Iacovitti, C.M.; Cabrilo, I.; Martinello, C.; Cuzzocrea, M.; Paone, G.; Treglia, G. “Not All That Glitters Is Gold”: Paraspinal Cavernous Hemangioma Mimicking Paraganglioma on Somatostatin Receptor PET/CT. Diagnostics 2025, 15, 2456. https://doi.org/10.3390/diagnostics15192456
Iacovitti CM, Cabrilo I, Martinello C, Cuzzocrea M, Paone G, Treglia G. “Not All That Glitters Is Gold”: Paraspinal Cavernous Hemangioma Mimicking Paraganglioma on Somatostatin Receptor PET/CT. Diagnostics. 2025; 15(19):2456. https://doi.org/10.3390/diagnostics15192456
Chicago/Turabian StyleIacovitti, Cesare Michele, Ivan Cabrilo, Chiara Martinello, Marco Cuzzocrea, Gaetano Paone, and Giorgio Treglia. 2025. "“Not All That Glitters Is Gold”: Paraspinal Cavernous Hemangioma Mimicking Paraganglioma on Somatostatin Receptor PET/CT" Diagnostics 15, no. 19: 2456. https://doi.org/10.3390/diagnostics15192456
APA StyleIacovitti, C. M., Cabrilo, I., Martinello, C., Cuzzocrea, M., Paone, G., & Treglia, G. (2025). “Not All That Glitters Is Gold”: Paraspinal Cavernous Hemangioma Mimicking Paraganglioma on Somatostatin Receptor PET/CT. Diagnostics, 15(19), 2456. https://doi.org/10.3390/diagnostics15192456

