Granulomatous Lesions in the Head and Neck Region: A Clinicopathological, Histochemical, and Molecular Diagnostic Study
Abstract
1. Introduction
2. Materials and Methods
2.1. Study Design
2.2. Diagnostic Workflow and Blinding
2.3. Inclusion Criteria
2.4. Exclusion Criteria
2.5. Staining Procedure
2.6. Histological Criteria for Fungal Identification
- Aspergillus species: Characterized by the presence of uniform, slender (3–6 µm), septate hyphae with dichotomous, acute-angle (approximately 45°) branching.
- Paecilomyces species: As a key mimic of Aspergillus, a careful search for distinguishing features was performed, including more tapered hyphal bases, irregular hyphal contours, and branching angles that can be less consistent than the classic 45° seen in Aspergillus.
- Mucorales: Identified by broad (5–20 µm), ribbon-like, pauciseptate, or non-septate hyphae with irregular contours and wide-angle, often 90°, branching.
2.7. DNA Extraction and Real-Time PCR Analysis
2.8. Statistical Analysis
2.9. Analysis of Sample Age and PCR Sensitivity
3. Results
3.1. Clinical Findings
3.2. Histological Findings
3.3. PCR Findings
3.4. Impact of Sample Age on PCR Sensitivity
4. Discussion
4.1. Demographic and Anatomical Distribution
4.1.1. Age and Gender Distribution
4.1.2. Anatomical Distribution
4.2. Histopathological Analysis
4.2.1. Granuloma Typing: Caseating and Non-Caseating Lesions
4.2.2. Ziehl–Neelsen Staining in Different Disorders
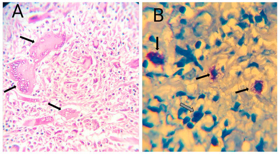
4.2.3. Grocott Methenamine Silver (GMS) and Periodic Acid–Schiff (PAS)
4.3. PCR Analysis
5. Conclusions
Author Contributions
Funding
Institutional Review Board Statement
Informed Consent Statement
Data Availability Statement
Conflicts of Interest
Correction Statement
References
- Adams, D.O. The granulomatous inflammatory response. A review. Am. J. Pathol. 1976, 84, 164–192. [Google Scholar]
- Ramakrishnan, L. Revisiting the role of the granuloma in tuberculosis. Nat. Rev. Immunol. 2012, 12, 352–366. [Google Scholar] [CrossRef]
- Pagán, A.J.; Ramakrishnan, L. The Formation and Function of Granulomas. Annu. Rev. Immunol. 2018, 36, 639–665. [Google Scholar] [CrossRef] [PubMed]
- Spector, W.G. The granulomatous inflammatory exudate. Int. Rev. Exp. Pathol. 1969, 8, 1–55. [Google Scholar]
- Ohshimo, S.; Guzman, J.; Costabel, U.; Bonella, F. Differential diagnosis of granulomatous lung disease: Clues and pitfalls: Number 4 in the Series “Pathology for the clinician” Edited by Peter Dorfmüller and Alberto Cavazza. Eur. Respir. Rev. 2017, 26, 170012. [Google Scholar] [CrossRef] [PubMed]
- Boros, D.L.J.G.I.; Cellular, I.; Mechanisms, M. The cellular immunological aspects of the granulomatous response. In Granulomatous Infections and Inflammations: Cellular and Molecular Mechanisms; ASM Press: Washington, DC, USA, 2003; pp. 1–28. [Google Scholar]
- Shrestha, A.; Marla, V.; Shrestha, S.; Neupane, M. Giant cells and giant cell lesions of oral cavity—A review. Cumhur. Dent. J. 2014, 17, 192–204. [Google Scholar] [CrossRef]
- Anderson, J.M. Multinucleated giant cells. Curr. Opin. Hematol. 2000, 7, 40–47. [Google Scholar] [CrossRef]
- Wang, H.; Jiang, H.; Teles, R.M.B.; Chen, Y.; Wu, A.; Lu, J.; Chen, Z.; Ma, F.; Pellegrini, M.; Modlin, R.L. Cellular, Molecular, and Immunological Characteristics of Langhans Multinucleated Giant Cells Programmed by IL-15. J. Investig. Dermatol. 2020, 140, 1824–1836.e7. [Google Scholar] [CrossRef]
- Sakai, H.; Okafuji, I.; Nishikomori, R.; Abe, J.; Izawa, K.; Kambe, N.; Yasumi, T.; Nakahata, T.; Heike, T. The CD40-CD40L axis and IFN-γ play critical roles in Langhans giant cell formation. Int. Immunol. 2012, 24, 5–15. [Google Scholar] [CrossRef]
- Müller, S. Non-infectious Granulomatous Lesions of the Orofacial Region. Head Neck Pathol. 2019, 13, 449–456. [Google Scholar] [CrossRef]
- Radhi, S.M.Z.; Al-Nakib, L.H.; Gabash, K.M. The Value of Ultrasonography in the Diagnosis and Evaluation of Early Therapeutic Response of Cervical Tuberculous Lymphadenitis. J. Baghdad Coll. Dent. 2017, 29, 76–82. [Google Scholar] [CrossRef]
- Yang, Z.; Kong, Y.; Wilson, F.; Foxman, B.; Fowler, A.H.; Marrs, C.F.; Cave, M.D.; Bates, J.H. Identification of risk factors for extrapulmonary tuberculosis. Clin. Infect. Dis. 2004, 38, 199–205. [Google Scholar] [CrossRef]
- Museedi, O.; Hameedi, A.; Al-Dorbie, B.; Abdullah, B. A Clinicopathologic Review of 21 Cases of Head and Neck Primary Tuberculosis. J. Oral Maxillofac. Surg. 2020, 78, 1981–1985. [Google Scholar] [CrossRef]
- Mignogna, M.D.; Muzio, L.L.; Favia, G.; Ruoppo, E.; Sammartino, G.; Zarrelli, C.; Bucci, E. Oral tuberculosis: A clinical evaluation of 42 cases. Oral Dis. 2000, 6, 25–30. [Google Scholar] [CrossRef] [PubMed]
- Martin, G.; Lazarus, A. Epidemiology and diagnosis of tuberculosis. Recognition of at-risk patients is key to prompt detection. Postgrad. Med. 2000, 108, 42–44, 47–50, 53–54. [Google Scholar] [CrossRef]
- O’Connell Ferster, A.P.; Jaworek, A.; Hu, A. Histoplasmosis of the head and neck in the immunocompetent patient: Report of 2 cases. Ear Nose Throat J. 2018, 97, E28–E31. [Google Scholar] [CrossRef]
- Wheat, L.J.; Freifeld, A.G.; Kleiman, M.B.; Baddley, J.W.; McKinsey, D.S.; Loyd, J.E.; Kauffman, C.A.; Infectious Diseases Society of America. Clinical practice guidelines for the management of patients with histoplasmosis: 2007 update by the Infectious Diseases Society of America. Clin. Infect. Dis. 2007, 45, 807–825. [Google Scholar] [CrossRef]
- Yang, B.; Lu, L.; Li, D.; Liu, L.; Huang, L.; Chen, L.; Tang, H.; Wang, L. Colonic involvement in disseminated histoplasmosis of an immunocompetent adult: Case report and literature review. BMC Infect. Dis. 2013, 13, 143. [Google Scholar] [CrossRef] [PubMed]
- Forrestel, A.K.; Kovarik, C.L.; Katz, K.A. Sexually acquired syphilis: Historical aspects, microbiology, epidemiology, and clinical manifestations. J. Am. Acad. Dermatol. 2020, 82, 1–14. [Google Scholar] [CrossRef] [PubMed]
- Leão, J.C.; Gueiros, L.A.; Porter, S.R. Oral manifestations of syphilis. Clinics 2006, 61, 161–166. [Google Scholar] [CrossRef]
- McNamara, M.; Yingling, C. The Reemergence of Syphilis: Clinical Pearls for Consideration. Nurs. Clin. N. Am. 2020, 55, 361–377. [Google Scholar] [CrossRef]
- Alcântara, C.E.P.; Noronha, M.S.; Cunha, J.F.; Flores, I.L.; Mesquita, R.A. Granulomatous reaction to hyaluronic acid filler material in oral and perioral region: A case report and review of literature. J. Cosmet. Dermatol. 2018, 17, 578–583. [Google Scholar] [CrossRef]
- Chen, H.C.; Kang, B.H.; Lai, C.T.; Lin, Y.S. Sarcoidal granuloma in cervical lymph nodes. J. Chin. Med. Assoc. 2005, 68, 339–342. [Google Scholar] [CrossRef]
- Abbas, Z.K.; Zaidan, T.F. The Study of Oral Findings, Oxidative Stress and Antioxidant Vitamin E in Serum and Saliva of Crohn’s Patients on Azathioprine Monotherapy and those on Combination of Anti-TNF-αPlus Azathioprine. J. Baghdad Coll. Dent. 2018, 30, 39–45. [Google Scholar] [CrossRef]
- Lankarani, K.B.; Sivandzadeh, G.R.; Hassanpour, S. Oral manifestation in inflammatory bowel disease: A review. World J. Gastroenterol. 2013, 19, 8571–8579. [Google Scholar] [CrossRef]
- Shah, K.K.; Pritt, B.S.; Alexander, M.P. Histopathologic review of granulomatous inflammation. J. Clin. Tuberc. Other Mycobact. Dis. 2017, 7, 1–12. [Google Scholar] [CrossRef] [PubMed]
- Caulfield, A.J.; Wengenack, N.L. Diagnosis of active tuberculosis disease: From microscopy to molecular techniques. J. Clin. Tuberc. Other Mycobact. Dis. 2016, 4, 33–43. [Google Scholar] [CrossRef] [PubMed]
- Al-Qazzaz, H.H.; Abdullah, B.H.; Jany, S.J. A clinicopathological analysis of 151 odontogenic tumors based on new WHO classification 2022: A retrospective cross-sectional study. J. Baghdad Coll. Dent. 2024, 36, 27–33. [Google Scholar] [CrossRef]
- Shareef, K.N.; Abdullah, B.H. Clinicopathological analysis of 80 cases of oral lobular and non lobular capillary hemangioma (pyogenic granuloma): A Retrospective study. J. Baghdad Coll. Dent. 2022, 34, 17–24. [Google Scholar] [CrossRef]
- Broadwater, D.R.; Messersmith, L.M.; Bishop, B.N.; Tomkovich, A.M.; Salinas, J.R.; Lynch, D.T. Development and Validation of Ultra-Rapid Periodic Acid-Schiff Stain for Use in Identifying Fungus on Frozen Section. Arch. Pathol. Lab. Med. 2022, 146, 1268–1272. [Google Scholar] [CrossRef]
- Sowmya, S.V.; Augustine, D.; Hemanth, B.; Prathab, A.G.; Alamoudi, A.; Bahammam, H.A.; Bahammam, S.A.; Bahammam, M.A.; Haragannavar, V.C.; Prabhu, S.; et al. Alternate Special Stains for the Detection of Mycotic Organisms in Oral Cyto-Smears-A Histomorphometric Study. Microorganisms 2022, 10, 1226. [Google Scholar] [CrossRef]
- Mohsin, S.F.; Al-Drobie, B. Human papillomavirus expression in relation to biological behavior, Ki-67 proliferative marker, and P53 prognostic marker in Schneiderian papilloma. J. Med. Life 2023, 16, 1022–1027. [Google Scholar] [CrossRef] [PubMed]
- Fontanilla, J.M.; Barnes, A.; von Reyn, C.F. Current diagnosis and management of peripheral tuberculous lymphadenitis. Clin. Infect. Dis. 2011, 53, 555–562. [Google Scholar] [CrossRef] [PubMed]
- Chan-Yeung, M.; Noertjojo, K.; Chan, S.L.; Tam, C.M. Sex differences in tuberculosis in Hong Kong. Int. J. Tuberc. Lung Dis. 2002, 6, 11–18. [Google Scholar]
- Khan, R.; Harris, S.H.; Verma, A.K.; Syed, A. Cervical lymphadenopathy: Scrofula revisited. J. Laryngol. Otol. 2009, 123, 764–767. [Google Scholar] [CrossRef]
- Tektaş, N.; Yüce, İ.; Kara, İ.; Kaya, M.C.; Çağlı, S.; Gülmez, E.; Canöz, Ö. Head and Neck Manifestation of Tuberculosis. J. Clin. Pract. Res. 2024, 46, 456–462. [Google Scholar] [CrossRef]
- Bruzgielewicz, A.; Rzepakowska, A.; Osuch-Wójcikewicz, E.; Niemczyk, K.; Chmielewski, R. Tuberculosis of the head and neck-epidemiological and clinical presentation. Arch. Med. Sci. 2014, 10, 1160–1166. [Google Scholar] [CrossRef]
- Dragin, N.; Nancy, P.; Villegas, J.; Roussin, R.; Le Panse, R.; Berrih-Aknin, S. Balance between Estrogens and Proinflammatory Cytokines Regulates Chemokine Production Involved in Thymic Germinal Center Formation. Sci. Rep. 2017, 7, 7970. [Google Scholar] [CrossRef]
- Nakaya, M.; Tachibana, H.; Yamada, K. Effect of estrogens on the interferon-gamma producing cell population of mouse splenocytes. Biosci. Biotechnol. Biochem. 2006, 70, 47–53. [Google Scholar] [CrossRef] [PubMed]
- Belboul, A.; Ashworth, J.; Fadel, A.; Mcloughlin, J.; Mahmoud, A.; El Mohtadi, M. Estrogen induces the alternative activation of macrophages through binding to estrogen receptor-alpha. Exp. Mol. Pathol. 2025, 143, 104971. [Google Scholar] [CrossRef]
- Nazarullah, A.; Nilson, R.; Maselli, D.J.; Jagirdar, J. Incidence and aetiologies of pulmonary granulomatous inflammation: A decade of experience. Respirology 2015, 20, 115–121. [Google Scholar] [CrossRef]
- Goel, M.M.; Budhwar, P. Immunohistochemical localization of mycobacterium tuberculosis complex antigen with antibody to 38 kDa antigen versus Ziehl Neelsen staining in tissue granulomas of extrapulmonary tuberculosis. Indian J. Tuberc. 2007, 54, 24–29. [Google Scholar]
- Karimi, S.; Shamaei, M.; Pourabdollah, M.; Sadr, M.; Karbasi, M.; Kiani, A.; Bahadori, M. Histopathological findings in immunohistological staining of the granulomatous tissue reaction associated with tuberculosis. Tuberc. Res. Treat. 2014, 2014, 858396. [Google Scholar] [CrossRef] [PubMed]
- Njau, A.N.; Gakinya, S.M.; Sayed, S.; Moloo, Z. Xpert(®) MTB/RIF assay on formalin-fixed paraffin-embedded tissues in the diagnosis of extrapulmonary tuberculosis. Afr. J. Lab. Med. 2019, 8, 748. [Google Scholar] [CrossRef] [PubMed]
- Kumar, B. Tuberculosis of the oral cavity affecting alveolus: A case report. Case Rep. Dent. 2011, 2011, 945159. [Google Scholar] [CrossRef]
- Wright, C.A.; van der Burg, M.; Geiger, D.; Noordzij, J.G.; Burgess, S.M.; Marais, B.J. Diagnosing mycobacterial lymphadenitis in children using fine needle aspiration biopsy: Cytomorphology, ZN staining and autofluorescence—Making more of less. Diagn. Cytopathol. 2008, 36, 245–251. [Google Scholar] [CrossRef] [PubMed]
- Crothers, J.W.; Laga, A.C.; Solomon, I.H. Clinical Performance of Mycobacterial Immunohistochemistry in Anatomic Pathology Specimens. Am. J. Clin. Pathol. 2021, 155, 97–105. [Google Scholar] [CrossRef]
- Fukunaga, H.; Murakami, T.; Gondo, T.; Sugi, K.; Ishihara, T. Sensitivity of acid-fast staining for Mycobacterium tuberculosis in formalin-fixed tissue. Am. J. Respir. Crit. Care Med. 2002, 166, 994–997. [Google Scholar] [CrossRef]
- Minnikin, D.E.; Minnikin, S.M.; Parlett, J.H.; Goodfellow, M.; Magnusson, M. Mycolic acid patterns of some species of Mycobacterium. Arch. Microbiol. 1984, 139, 225–231. [Google Scholar] [CrossRef]
- Cocito, C.; Delville, J. Biological, chemical, immunological and staining properties of bacteria isolated from tissues of leprosy patients. Eur. J. Epidemiol. 1985, 1, 202–231. [Google Scholar] [CrossRef]
- Bao, J.R.; Clark, R.B.; Master, R.N.; Shier, K.L.; Eklund, L.L. Acid-fast bacterium detection and identification from paraffin-embedded tissues using a PCR-pyrosequencing method. J. Clin. Pathol. 2018, 71, 148–153. [Google Scholar] [CrossRef] [PubMed]
- Majeed, M.M.; Bukhari, M.H. Evaluation for granulomatous inflammation on fine needle aspiration cytology using special stains. Pathol. Res. Int. 2011, 2011, 851524. [Google Scholar] [CrossRef] [PubMed]
- Bezabih, M.; Mariam, D.W.; Selassie, S.G. Fine needle aspiration cytology of suspected tuberculous lymphadenitis. Cytopathology 2002, 13, 284–290. [Google Scholar] [CrossRef]
- Ahmad, S.S.; Akhtar, S.; Akhtar, K.; Naseem, S.; Mansoor, T. Study of fine needle aspiration cytology in lymphadenopathy with special reference to acid-fast staining in cases of tuberculosis. JK Sci. 2005, 7, 22–25. [Google Scholar]
- Guarner, J. Detection of microorganisms in granulomas that have been formalin-fixed: Review of the literature regarding use of molecular methods. Scientifica 2012, 2012, 494571. [Google Scholar] [CrossRef]
- Shalin, S.C.; Ferringer, T.; Cassarino, D.S. PAS and GMS utility in dermatopathology: Review of the current medical literature. J. Cutan. Pathol. 2020, 47, 1096–1102. [Google Scholar] [CrossRef] [PubMed]
- Gomori, G. Microscopic Histochemistry: Principles and Practice; University of Chicago Press: Chicago, IL, USA, 1952. [Google Scholar]
- Grocott, R.G. A stain for fungi in tissue-sections and smears using Gomori’s methenamine-silver nitrate technic. Am. J. Clin. Pathol. 1955, 25, 975–979. [Google Scholar] [CrossRef]
- Minckler, D.; Small, K.W.; Walsh, T.J. Clinical and pathologic features of Bipolaris endophthalmitis after intravitreal triamcinolone. JAMA Ophthalmol. 2014, 132, 630–632. [Google Scholar] [CrossRef]
- Brown, R.W. Histologic Preparations: Common Problems and Their Solutions; College of American Pathologists: Northfield, IL, USA, 2009. [Google Scholar]
- Takahashi, T.; Nakayama, T. Novel technique of quantitative nested real-time PCR assay for Mycobacterium tuberculosis DNA. J. Clin. Microbiol. 2006, 44, 1029–1039. [Google Scholar] [CrossRef]
- Hillemann, D.; Galle, J.; Vollmer, E.; Richter, E. Real-time PCR assay for improved detection of Mycobacterium tuberculosis complex in paraffin-embedded tissues. Int. J. Tuberc. Lung Dis. 2006, 10, 340–342. [Google Scholar] [PubMed]
- Luo, R.F.; Scahill, M.D.; Banaei, N. Comparison of single-copy and multicopy real-time PCR targets for detection of Mycobacterium tuberculosis in paraffin-embedded tissue. J. Clin. Microbiol. 2010, 48, 2569–2570. [Google Scholar] [CrossRef]
- Williams, C.; Pontén, F.; Moberg, C.; Söderkvist, P.; Uhlén, M.; Pontén, J.; Sitbon, G.; Lundeberg, J. A high frequency of sequence alterations is due to formalin fixation of archival specimens. Am. J. Pathol. 1999, 155, 1467–1471. [Google Scholar] [CrossRef] [PubMed]
- Surat, G.; Wallace, W.A.; Laurenson, I.F.; Seagar, A.L. Rapid real-time PCR for detection of Mycobacterium tuberculosis complex DNA in formalin-fixed paraffin embedded tissues: 16% of histological ‘sarcoid’ may contain such DNA. J. Clin. Pathol. 2014, 67, 1084–1087. [Google Scholar] [CrossRef]
- Chawla, K.; Gupta, S.; Mukhopadhyay, C.; Rao, P.S.; Bhat, S.S. PCR for M. tuberculosis in tissue samples. J. Infect. Dev. Ctries. 2009, 3, 83–87. [Google Scholar] [CrossRef]
- Akane, A.; Matsubara, K.; Nakamura, H.; Takahashi, S.; Kimura, K. Identification of the heme compound copurified with deoxyribonucleic acid (DNA) from bloodstains, a major inhibitor of polymerase chain reaction (PCR) amplification. J. Forensic Sci. 1994, 39, 362–372. [Google Scholar] [CrossRef]
- Al-Soud, W.A.; Jönsson, L.J.; Râdström, P. Identification and characterization of immunoglobulin G in blood as a major inhibitor of diagnostic PCR. J. Clin. Microbiol. 2000, 38, 345–350. [Google Scholar] [CrossRef]
- Ben-Ezra, J.; Johnson, D.A.; Rossi, J.; Cook, N.; Wu, A. Effect of fixation on the amplification of nucleic acids from paraffin-embedded material by the polymerase chain reaction. J. Histochem. Cytochem. 1991, 39, 351–354. [Google Scholar] [CrossRef]
- Patzina, R.A.; de Andrade, H.F.; Jr de Brito, T.; Filho, H.C.; Kauffman, M.R.; Pagliari, C.; Lucena, A.; da Matta, V.L.R.; Duarte, M.I.S. Molecular and standard approaches to the diagnosis of mycobacterial granulomatous lymphadenitis in paraffin-embedded tissue. Lab. Investig. 2002, 82, 1095–1097. [Google Scholar] [CrossRef] [PubMed]
- Martinez, R.M. Genes in your tissue: Probe identification and sequencing microbial targets from Formalin-Fixed, Paraffin-Embedded tissue. Clin. Microbiol. Newsl. 2014, 36, 139–147. [Google Scholar] [CrossRef]
- Srinivasan, M.; Sedmak, D.; Jewell, S. Effect of fixatives and tissue processing on the content and integrity of nucleic acids. Am. J. Pathol. 2002, 161, 1961–1971. [Google Scholar] [CrossRef] [PubMed]
- Benchekroun, M.; DeGraw, J.; Gao, J.; Sun, L.; von Boguslawsky, K.; Leminen, A.; Andersson, L.C.; Heiskala, M. Impact of fixative on recovery of mRNA from paraffin-embedded tissue. Diagn. Mol. Pathol. 2004, 13, 116–125. [Google Scholar] [CrossRef]
- Talaulikar, D.; Gray, J.X.; Shadbolt, B.; McNiven, M.; Dahlstrom, J.E. A comparative study of the quality of DNA obtained from fresh frozen and formalin-fixed decalcified paraffin-embedded bone marrow trephine biopsy specimens using two different methods. J. Clin. Pathol. 2008, 61, 119–123. [Google Scholar] [CrossRef]
- Greer, C.E.; Peterson, S.L.; Kiviat, N.B.; Manos, M.M. PCR amplification from paraffin-embedded tissues. Effects of fixative and fixation time. Am. J. Clin. Pathol. 1991, 95, 117–124. [Google Scholar] [CrossRef] [PubMed]
- Shibata, D. Extraction of DNA from paraffin-embedded tissue for analysis by polymerase chain reaction: New tricks from an old friend. Hum. Pathol. 1994, 25, 561–563. [Google Scholar] [CrossRef] [PubMed]
- Coros, A.; DeConno, E.; Derbyshire, K.M. IS6110, a Mycobacterium tuberculosis complex-specific insertion sequence, is also present in the genome of Mycobacterium smegmatis, suggestive of lateral gene transfer among mycobacterial species. J. Bacteriol. 2008, 190, 3408–3410. [Google Scholar] [CrossRef] [PubMed]



| Variable | No. (n = 42) | Percentage (%) |
|---|---|---|
| Lesion category | ||
| Soft tissue | 30 | 71.4 |
| Bone | 12 | 28.6 |
| Type of giant cell | ||
| Langhans | 32 | 78.0 |
| Foreign body | 9 | 22.0 |
| Type of granuloma | ||
| Caseating | 29 | 69.0 |
| Non-caseating | 13 | 31.0 |
| Site of lesion | ||
| Mandibular | 27 | 64.3 |
| Maxillary | 10 | 23.8 |
| Undefined | 5 | 11.9 |
| Diagnosis | Necrotizing (n) | Non-Necrotizing (n) | Total (n) | Soft Tissue | Bone | Mandible | Maxilla | Other Site | ZN+ (n) | PAS+ (n) | GMS+ (n) | PCR+ (n) |
|---|---|---|---|---|---|---|---|---|---|---|---|---|
| TB | 21 | 4 | 25 | 22 | 3 | 19 | 2 | 4 | 7 | 0 | 0 | 6 |
| Mixed Fungal Infection | 6 | 1 | 7 | 2 | 5 | 2 | 5 | 0 | 0 | 5 | 4 | 0 |
| Wegener Disease | 1 | 0 | 1 | 0 | 1 | 0 | 1 | 0 | 0 | 0 | 0 | 0 |
| Chronic Granulomatous Inflammation | 1 | 2 | 3 | 3 | 0 | 2 | 1 | 0 | 0 | 0 | 0 | 0 |
| Foreign-Body Granuloma | 0 | 3 | 3 | 1 | 2 | 2 | 1 | 0 | 0 | 0 | 0 | 0 |
| Orofacial Granuloma | 0 | 1 | 1 | 1 | 0 | 1 | 0 | 0 | 0 | 0 | 0 | 0 |
| Suggestion of Crohn’s Disease | 0 | 1 | 1 | 1 | 0 | 0 | 0 | 1 | 0 | 0 | 0 | 0 |
| Chronic Osteomyelitis | 0 | 1 | 1 | 0 | 1 | 1 | 0 | 0 | 0 | 0 | 0 | 0 |
| Total | 29 | 13 | 42 | 30 | 12 | 27 | 10 | 5 | 7 | 5 | 4 | 6 |
Disclaimer/Publisher’s Note: The statements, opinions and data contained in all publications are solely those of the individual author(s) and contributor(s) and not of MDPI and/or the editor(s). MDPI and/or the editor(s) disclaim responsibility for any injury to people or property resulting from any ideas, methods, instructions or products referred to in the content. |
© 2025 by the authors. Licensee MDPI, Basel, Switzerland. This article is an open access article distributed under the terms and conditions of the Creative Commons Attribution (CC BY) license (https://creativecommons.org/licenses/by/4.0/).
Share and Cite
Ali, A.S.; Abdullah, B.H. Granulomatous Lesions in the Head and Neck Region: A Clinicopathological, Histochemical, and Molecular Diagnostic Study. Diagnostics 2025, 15, 2055. https://doi.org/10.3390/diagnostics15162055
Ali AS, Abdullah BH. Granulomatous Lesions in the Head and Neck Region: A Clinicopathological, Histochemical, and Molecular Diagnostic Study. Diagnostics. 2025; 15(16):2055. https://doi.org/10.3390/diagnostics15162055
Chicago/Turabian StyleAli, Amjad S., and Bashar H. Abdullah. 2025. "Granulomatous Lesions in the Head and Neck Region: A Clinicopathological, Histochemical, and Molecular Diagnostic Study" Diagnostics 15, no. 16: 2055. https://doi.org/10.3390/diagnostics15162055
APA StyleAli, A. S., & Abdullah, B. H. (2025). Granulomatous Lesions in the Head and Neck Region: A Clinicopathological, Histochemical, and Molecular Diagnostic Study. Diagnostics, 15(16), 2055. https://doi.org/10.3390/diagnostics15162055

