Next Article in Journal
A Comparative Evaluation of the Chemiluminescence Immunoassay and ELISA for the Detection of Islet Autoantibodies in Type 1 Diabetes
Next Article in Special Issue
Prediction of Neonatal Length of Stay in High-Risk Pregnancies Using Regression-Based Machine Learning on Computerized Cardiotocography Data
Previous Article in Journal
An Integrated System for Detecting and Numbering Permanent and Deciduous Teeth Across Multiple Types of Dental X-Ray Images Based on YOLOv8
Previous Article in Special Issue
Do We Need to Add the Type of Treatment Planning System, Dose Calculation Grid Size, and CT Density Curve to Predictive Models?
 
 
Font Type:
Arial Georgia Verdana
Font Size:
Aa Aa Aa
Line Spacing:
Column Width:
Background:
Article

Toward New Assessment in Sarcoma Identification and Grading Using Artificial Intelligence Techniques

by
Arnar Evgení Gunnarsson
1,*,
Simona Correra
2,
Carol Teixidó Sánchez
1,
Marco Recenti
1,
Halldór Jónsson, Jr.
1 and
Paolo Gargiulo
1,3
1
Institute of Biomedical and Neural Engineering, Reykjavik University, 102 Reykjavik, Iceland
2
Department of Medicine and Health Sciences “Vincenzo Tiberio”, University of Molise, 86100 Campobasso, Italy
3
Department of Science, Landspitali University Hospital, 105 Reykjavik, Iceland
*
Author to whom correspondence should be addressed.
Diagnostics 2025, 15(13), 1694; https://doi.org/10.3390/diagnostics15131694
Submission received: 7 May 2025 / Revised: 19 June 2025 / Accepted: 21 June 2025 / Published: 2 July 2025
(This article belongs to the Special Issue Artificial Intelligence in Clinical Decision Support—2nd Edition)

Abstract

Background/Objectives: Sarcomas are a rare and heterogeneous group of malignant tumors, which makes early detection and grading particularly challenging. Diagnosis traditionally relies on expert visual interpretation of histopathological biopsies and radiological imaging, processes that can be time-consuming, subjective and susceptible to inter-observer variability. Methods: In this study, we aim to explore the potential of artificial intelligence (AI), specifically radiomics and machine learning (ML), to support sarcoma diagnosis and grading based on MRI scans. We extracted quantitative features from both raw and wavelet-transformed images, including first-order statistics and texture descriptors such as the gray-level co-occurrence matrix (GLCM), gray-level size-zone matrix (GLSZM), gray-level run-length matrix (GLRLM), and neighboring gray tone difference matrix (NGTDM). These features were used to train ML models for two tasks: binary classification of healthy vs. pathological tissue and prognostic grading of sarcomas based on the French FNCLCC system. Results: The binary classification achieved an accuracy of 76.02% using a combination of features from both raw and transformed images. FNCLCC grade classification reached an accuracy of 57.6% under the same conditions. Specifically, wavelet transforms of raw images boosted classification accuracy, hinting at the large potential that image transforms can add to these tasks. Conclusions: Our findings highlight the value of combining multiple radiomic features and demonstrate that wavelet transforms significantly enhance classification performance. By outlining the potential of AI-based approaches in sarcoma diagnostics, this work seeks to promote the development of decision support systems that could assist clinicians.

1. Introduction

Sarcomas are rare malignant tumors that develop in connective tissues such as bones, muscles, fat and cartilage. Due to their aggressive nature and histological diversity, sarcomas present significant clinical challenges in both diagnosis and treatment. Despite advances in oncology, accurately predicting the development and progression of sarcomas remains a major obstacle for surgeons and clinicians [1].
One primary challenge is diagnosing sarcomas, due to their variable clinical presentations. These tumors can appear in diverse and often nonspecific forms, leading to frequent delays in diagnosis and subsequent therapeutic intervention [2,3]. Due to the rarity of sarcoma tumors, accurate diagnosis is often delayed, resulting in patients suffering a higher mortality rate. Therefore, developing methods for early detection and diagnosis is crucial to improve the quality of life and survivability of patients.
When diagnosing a sarcoma tumor, the practitioner determines a grade representing the severity of the cancer. This scale has three grades: 1, 2 and 3, with each grade increasing in severity. This grading is a critical factor for prognosis and treatment decisions and still largely relies on traditional histopathological evaluation methods [4]. Imaging exams play a crucial role in the diagnostic process for sarcomas. Conventional X-rays and CT scans are essential for evaluating bone sarcomas, while ultrasound and MRI are key for assessing soft tissue sarcomas. These imaging techniques form the foundation of research, providing essential data for accurate diagnosis and classification of these complex tumors.
Although histopathological evaluation is the standard practice, it has significant limitations. The subjectivity inherent in interpretation of results by pathologists, combined with the complex characteristics of sarcomas, can lead to variations in diagnosis. Nearly 70% of sarcomas are larger than 5 cm at the time of diagnosis, underscoring the impact of diagnostic delays [2]. Furthermore, the similar morphological features of certain sarcoma subtypes increase the risk of human error.
To address these challenges, genetic diagnosis has emerged as a promising solution to enhance the accuracy and speed of sarcoma detection [5]. Genetic analysis can reveal specific mutations and molecular characteristics often missed by traditional methods, offering a more personalized approach to treatment. However, despite its potential, genetic diagnosis alone can struggle with the complex heterogeneity of sarcomas and may not always provide enough information for accurate malignancy grading or real-time decision-making [6]. This is where artificial intelligence (AI) comes in as a powerful complementary tool. While genetic data identifies key molecular drivers, AI can analyze imaging data to predict malignancy grades and detect subtle patterns missed by the human eye, bridging the gap where genetic analysis may fall short. Together, AI and genetic diagnosis have the potential to revolutionize sarcoma management, improving both the accuracy and speed of diagnosis and ultimately enhancing patient outcomes [7]. Given these challenges faced by both radiologists and pathologists, the integration of artificial intelligence (AI) into the diagnostic and classification process for sarcomas could offer innovative solutions. AI has the potential to standardize and significantly improve the accuracy of sarcoma diagnoses by reducing evaluation variability and providing supportive tools for these specialties. In fact, AI is already being implemented in various areas of healthcare, particularly in diagnostics, where it assists in interpreting medical images such as CT scans, MRIs and X-rays with remarkable accuracy [8,9]. Additionally, AI is being used in the detection of diabetic retinopathy [10] and neurological conditions like Alzheimer’s disease [11], enabling earlier intervention and improving patient outcomes.
The overall aim of this study was to analyze different radiomic features and the role they play in classifying healthy and pathological tissue, as well as sarcoma severity. This was done by training a random forest (RF) model to first classify healthy and pathological tissue, followed by training it to classify severity. This research aimed to demonstrate the feasibility and effectiveness of AI in supporting the diagnosis of sarcomas, highlighting the potential for integrating these technologies into routine clinical practice. We hope to contribute to improved patient management by providing an innovative tool that is complementary to existing diagnostic methods.

2. Methods

The workflow for this paper is outlined in Figure 1 and highlights the main steps. First, the raw magnetic resonance imaging (MRI) data are segmented into 3 masks—sarcoma, edema and healthy tissue—to produce masks. Then, simple linear iterative clustering (SLIC) segmentation is applied to the masks to generate super pixels (SPs). This is followed by radiomics feature extraction of each SP to generate a table of feature values, which are applied to raw image SPs and wavelet-transformed SPs. A feature selection step is applied separately for the different feature transform groups, and remaining features are finally used for the classification of healthy and pathological tissue (binary classification) and the severity or the grade of the sarcoma (grade classification) by applying a random forest (RF) model. Relevant metrics such as accuracy, precision, recall and confusion matrices are calculated, along with feature importance, to assess and analyze the results.

2.1. Data

This study used the IceSG (Icelandic Sarcoma Group) dataset, a collection of sarcoma cases assembled by Landspítali University Hospital and that is not publicly accessible. The use of the patient data was reviewed by the Landspítali Ethics Committee (dated 6 February 2024) and the Landspitali Scientific Research Committee (dated 9 January 2024) and approved.
For the current work, 101 patients’ MRI scans are considered for their ability to capture soft tissue details. If a patient has scans from multiple perspectives (axial, coronal, and/or sagittal), they are all included. Both T1 and T2 weighted scans are considered, with a mix of contrast media and with fat suppression both on and off. All sarcoma subtypes are considered. Out of the patient cohort, 19 are diagnosed with grade 1, 16 with grade 2 and 66 with grade 3. For each patient, the severity of prognosis is available at the time of the scan according to the French classification (FNCLCC) [12], which assigns a grade from 1 to 3 to the sarcoma, with 3 being the most severe.
Table 1 displays general demographics among age groups of the dataset, including sarcoma subtypes, FNCLCC grade and sex distributions.

2.2. Segmentation

Segmentation is the process of marking regions of an image into a group to create a mask. In this study, the sarcoma tumor was segmented, as was the surrounding edema (where available), both of which were labeled as pathological tissue. The remaining tissue was segmented and labeled as non-pathological tissue; therefore, the healthy dataset was retrieved from the sarcoma patients. The orientation of scans was not standardized during data gathering; therefore, all orientations are considered, including axial, coronal and sagittal scans. All orientations available for each patient were segmented, so there are up to 3 image sets segmented per patient.
Mimics (Materialize: Leuven, Belgium [13]) was used as the segmentation software. All segmentations were performed by hand and reviewed by a specialist. After segmentation, the raw images and resulting masks were exported for further processing.

2.3. Data Pre-Processing

After segmentation, 2946 images contained at least some trace of sarcoma and/or edema. There were 566 available images of grade 1 sarcoma, 395 of grade 2 and 1916 of grade 3. Due to the relatively small size of the dataset, a sampling technique was introduced to expand it for a purpose to that described by Karim Hammoudi et al. [14].
Simple linear iterative clustering (SLIC) is an iterative and algorithmic method that splits an image into a user-defined number of segments based on similarity measures in pixel intensity [15]. Using this method, it is possible to further split the regions of interest into more data points for further processing, similar to Z. Khatun et al. [16], who segmented Achilles tendons using SLIC. In this manner, smaller details are captured, and the issue of a small dataset is somewhat addressed. The newly generated segments are referred to as super pixels (SPs). The target size of SPs is set to 500 pixels. This size should offer a good balance between capturing smaller and larger details. It should be noted that due to the nature of the SLIC algorithm, the actual number of pixels in each segment may vary. This research considers image slices individually; therefore, all generated super pixels are 2-dimensional.
The sampling method was applied separately for the pathological region and the non-pathological region. The technique generated approximately 40,000 pathological and 820,000 non-pathological data points, with roughly 5900 grade 1 data points, 3600 for grade 2 and 30,000 for grade 3. The approximate ratio of data points per patient is 312, 228 and 457 for grades 1, 2 and 3, respectively.

2.4. Feature Extraction

To acquire any meaningful information from the images and segmented regions, radiomics were employed to extract relevant features. Namely, the Python (version 3.9) PyRadiomics package [17] was applied for its vast set of extractable features that contain multiple feature categories. Feature groups include first-order statistics describing the distribution of pixel intensity (e.g., mean, variance and skewness). Gray-Level Co-occurrence Matrix (GLCM) features calculate features based on gray-level intensities and intensity relationships through the comparison of pixel pairs. Gray-Level Size-Zone Matrix (GLSZM) features are similar to GLCM features but compare regional intensities instead of pair-wise relationships. Gray-Level Run-Length Matrix (GLRLM) features measure how pixels of similar intensity group together. Neighboring Gray Tone Difference Matrix (NGTDM) features focus on differences between pixels and their neighbors, quantifying details such as contrast. Shape features are omitted from this study, as only 2-dimensional SPs are generated; therefore, only 2-dimensional features can be extracted, whereas shape requires 3-dimensional image data.
Wavelet functions are often used to extract higher order features from images. They decompose an image into different components representing different frequency bands and have been shown to increase classification performance [18]. It is possible to apply a low-pass and a high-pass wavelet filter in each dimension (X and Y in this case) along each image, which creates new feature classes. The same features are extracted from the original raw image and the transformed images. Therefore, with the 4 combinations of wavelet transforms, the number of extracted features increases by five times. Table 2 shows the types of wavelet transforms and the details they capture. Features extracted from the raw image are referred to as original features, and those extracted from the wavelet transforms are referred to as wavelet features.
All in all, a total of 465 features were extracted and analyzed for their classification ability (see Table 3).

2.5. Feature Selection

The feature selection step is important to increase model robustness and computational efficiency. Given a large number of features, some may not correlate with the feature being predicted and can introduce noise, making classification more difficult. The chosen model for this study is the random forest (RF) classifier, as it is generally robust, accurate and scalable and has an internal feature-ranking mechanism that computes the importance of every feature [20].
As RFs are not very sensitive to highly correlated and low-variance features, the maximum allowable correlation between features is set to 0.99 , and only a single correlated feature of a set is used. Once highly correlated features have been filtered out, the model is trained on the rest of the features and on the entire dataset to acquire a feature ranking.
To find the best set of features, a 10-fold cross validation is applied, splitting the dataset into 10 groups patient-wise, using 9 for training and 1 for testing. Features are eliminated, from lowest importance to highest, until an optimal model has been trained based on the average area under the receiver operating curve (AUC-ROC) score across all 10 folds. The AUC-ROC score is a measure of how well the model discriminates between the predicted classes or how well the classes are separated. The set of features that results give the best AUC-ROC score is used for subsequent training.

2.6. Binary Classification

After data pre-processing, the dataset is split into 2 groups: healthy and pathological, with the aim of analyzing which radiomic features best distinguish between healthy and pathological tissue. The healthy cohort of data points is randomly selected from the the SPs generated from the healthy mask component of the diagnosed patients. Each patient contributes an equal number of pathological and healthy data points. In this manner, a balanced dataset for training and testing is ensured.
A leave-1-out cross-validation using an RF classifier is applied such that the training dataset is maximized and as much variance as possible is captured by it and explained by the model.
Three types of analyses are conducted, using different feature combinations, to explore the effects that they have on the overall results. The first run includes only raw image (original) features. The second considers only wavelet-transformed features, omitting the LL wavelet transform, as it is an approximation of the raw image. The third run combines original features with the wavelet features. Refer to Table 3 for the combination of image transform spaces for each run. Feature selection is applied independently on each combination of image transforms, selecting the only features used for the three binary classifiers; therefore, the number of optimal features can differ.
The accuracy, precision, recall and the confusion matrix (see Figure 2a for confusion matrix description) are the metrics calculated to asses each feature set, and feature importance is calculated to analyze their effects in classification. Averaged macro and micro metrics are also calculated. Macro metrics give equal weight to each patient during calculations, and micro metrics give equal weight to each data point during calculations. The macro and micro confusion matrices are expressed as follows:
C M a = 1 N p i = 1 N p C i j , k c i , j , k
C M i = i p C i
where N p is the total number of patients, C i is the confusion matrix of the ith patient and c i , j , k denotes the value at line j and row k of the ith patient’s confusion matrix.

2.7. Grade Classification

Following the FNCLCC guidelines, there are 3 potential severities of sarcoma prognosis: grades 1, 2 and 3. These are based off of tumor differentiation, mitotic count and tumor necrosis. As the aim is to extract radiomic data from the patient MRI scans to analyze which features might explain sarcoma severity, only the grade is applied for prediction purposes, along with extracted radiomics data.
The dataset comprises an imbalanced cohort of patients: 19 patients receiving a grade 1 diagnosis, 16 with grade 2 and 66 patients with grade 3 sarcoma. This issue is tackled using a balanced random forest model [21] such that the models do not overly adhere to one specific class.
As for binary classification, three analyses are compiled (see Table 3). The first only considers original features; the second only considers wavelet transforms, excluding the LL wavelet transform; and the third is a combination of the feature sets. Again, feature selection is applied independently on each combination of image transforms, so the number of features can differ for each transform combination trial. Macro and micro accuracy, precision, recall and the confusion matrix (see Figure 2b for confusion matrix description) are calculated and used for assessment, as is the feature importance. In this case, macro-averaged calculations depend on how the patient was classified (based on majority rules), and micro-averaged calculations depend on how each individual segment was classified.
The micro confusion matrix is calculated using Equation (2), and the macro confusion matrix is calculated as follows:
C M a = i N p C i
where
C i : c i , j , k = 1 , c i , j , k = m a x ( C i ) 0 , otherwise
where subscript i , j , k denotes the values of the jth row and kth column in the ith patient’s confusion matrix.

3. Results

The presented results are based on the leave-one-out cross-validation applied to the images processed from the IceSG dataset. After SLIC was applied to each image to generate super pixels (SPs), features were extracted from the raw image, and the four wavelet transform passes. A random forest classifier was applied first to the raw (original) images, then to the wavelet-transformed images and, finally, to the combination of the two to first distinguish between healthy and pathological tissue (binary classification), then to classify the severity or grade of the prognosis. Macro- and micro-averaged accuracy, precision, recall and confusion matrices, along with feature importance, were calculated and used to quantify each run.
The resulting accuracy, precision and recall for the different combinations of features show a general improvement when using more features. First-order statistical and GLCM features were generally the most important, and GLSZM and NGTDM were generally the lowest ranked feature groups. No single transform feature group performed significantly better throughout all runs, with importance varying depending on the situation.

3.1. Binary Classification: Healthy–Pathological

Table 4 displays the overall results of the binary classification results. The macro- and micro-averaged accuracy, precision and recall are displayed for original, wavelet and combined feature groups.

3.1.1. Original Features

When considering only original features, macro-averaged accuracy, precision and recall of 72.66 % , 76.80 % and 68.80 % were obtained, respectively. The micro-averaged accuracy, precision and recall were 68.70 % , 72.14 % and 67.79 % , respectively. The following confusion matrices were obtained:
Macro Confusion Matrix: 0.3826 0.1174 0.1560 0.3440
Micro Confusion Matrix: 27 , 686 12 , 088 12 , 810 26 , 964
Table 5 displays the number of features chosen from each feature group, and Table 6 displays the cumulative importance for each feature group. A total of 47 features were selected, with all feature groups being represented. First order ranked as the most important, followed by GLCM, GLDM, GLRLM, GLSZM and NGTDM.

3.1.2. Wavelet Features

Considering pure wavelet features, omitting the LL wavelet pass of the transform resulted in a macro-averaged accuracy, precision and recall of 70.16 % , 72.75 % and 66.68 % , respectively. The micro-averaged accuracy, precision and recall were 64.79 % , 66.86 % and 62.27 % , respectively. The following confusion matrices were obtained:
Macro Confusion Matrix: 0.3682 0.1318 0.1666 0.3334
Micro Confusion Matrix: 26 , 773 13 , 001 15 , 008 24 , 766
Table 7 displays the number of features chosen from each feature group, and Table 8 displays the cumulative importance for each feature group. A total of 71 features were selected, with nearly all feature groups being represented for each wavelet transform. The highest ranking feature group in terms of importance was first order, followed by GLCM, GLDM, GLRLM, GLSZM and NGTDM. The wavelet-HL transform was the most important, followed by wavelet-LH and and wavelet-HH transforms.

3.1.3. Combined Features

Combining the wavelet transform feature groups with the original feature group boosted performance and resulted in a macro-averaged accuracy, precision and recall of 76.02 % , 80.88 % and 71.82 % , respectively. The micro-averaged accuracy, precision and recall were 71.88 % , 75.82 % and 68.05 % , respectively. The following confusion matrices were obtained:
Macro Confusion Matrix: 0.4011 0.0989 0.1409 0.3591
Micro Confusion Matrix: 30 , 114 9660 12 , 706 27 , 068
Table 9 displays the cumulative importance for each feature group, and Table 10 displays the number of features chosen from each feature group. A total of 200 features were selected, with all but one transform feature group being represented for each transform group. The highest ranking feature group in terms of importance was first order, followed by GLCM, GLRLM, GLDM, GLSZM and NGTDM. The original transform group was the most important, followed by wavelet-LL, wavelet-HL, wavelet-HH and wavelet-LH.

3.2. Grade Classification: Sarcoma Grade

3.2.1. Original Features

Table 11 displays the results of grade classification using only original features. The table implies a higher difficulty in classifying grades 1 and 2 when compared to grade 3. Overall accuracy shows that the model is able to classify above chance (33%), but precision and recall for grades 1 and 2 could use a lot of improvement.
The following confusion matrices were obtained for the macro- and micro-averaged classification results:
Macro Confusion Matrix: 7 5 20 1 5 12 11 6 34
Micro Confusion Matrix: 1685 768 7829 1407 1644 7068 2843 1244 15 , 286
The number of chosen features and feature importance can be seen in Table 12 and Table 13, respectively. Unsurprisingly, first-order features ranked the highest in importance, followed by GLSZM, NGTDM, GLCM, GLDM and GLRLM.

3.2.2. Wavelet Features

Table 14 displays the results of grade classification, applying only wavelet features. The results are quite similar to the original feature run; there were general improvements to the metrics, with a slight reduction in macro accuracy, grade 3 precision, grade 2 recall and micro grade 2 recall.
The following macro- and micro-averaged confusion matrices were obtained:
Macro Confusion Matrix: 8 1 18 4 9 21 7 6 27
Micro Confusion Matrix: 2066 749 6551 1736 2045 6551 2133 862 17 , 081
The number of selected features and the feature importance for each wavelet transform type can be seen in Table 15 and Table 16, respectively. The tables indicate that the wavelet-HH transform was most important, followed by wavelet-HL and wavelet-LH. GLCM features ranked as most important, followed by GLRLM, first order, GLDM, NGTDM and GLSZM.

3.2.3. Combined Features

Using the combined feature set of both original and wavelet features showed some general improvements (see Table 17). Macro-averaged accuracy is slightly lower when compared to the pure wavelet transform, although the micro-averaged is at the highest of all runs. Grade 3 macro- and micro-averaged precision and recall were relatively high compared to the other runs, and grade 2 precision was quite high, while the other metrics suffered.
The resulting confusion matrices are
Macro Confusion Matrix: 6 3 16 0 5 16 13 8 34
Micro Confusion Matrix: 1935 576 6577 1142 2201 4831 2858 879 18 , 775
Table 18 and Table 19 show the number of selected features and the feature importance, respectively. The highest ranking feature group was first order, followed by GLCM, GLRLM, NGTDM, GLDM and GLSZM. Wavelet-HH was the most important transform group, followed by the original, wavelet-LL, wavelet-HL and, finally, wavelet-LH.

4. Discussion

The results of this study highlight the potential of radiomics for sarcoma classification. Tagliafico et al. [22] found that GLCM features were key in distinguishing healthy tissue from local recurrence (LR) in soft tissue sarcoma (STS), a finding consistent with this paper’s results. They also identified four features correlated with tumor grade. Yu Zhang et al. [23] used a standardized MRI protocol on 33 patients to successfully differentiate between low- and high-grade STS. Similarly, Corino et al. [24] showed that first-order statistics were the most important features in distinguishing between high- and intermediate-grade sarcomas. While few studies have applied wavelet transforms for sarcoma classification, Shan Hu et al. [25] found that Sym4 and Db4 wavelet transforms combined with GLCM could accurately detect sarcoma. Peng Lin et al. [26] applied 3D wavelet transforms for preoperative osteosarcoma (OS) evaluation with positive results, and Silin Chen et al. [27] combined raw and wavelet features for STS prognosis prediction. Niu et al. [28] applied various image transformations to MRI glioma volumes to predict tumor grade with high accuracy. Radiomics-based predictive modeling has also demonstrated use cases beyond oncology. Ricciardi et al. [29] applied tree-based algorithms (including random forests and gradient boosting) to radiodensitometric parameters obtained from mid-thigh CT scans. They achieved high performance for coronary heart disease, cardiovascular disease and chronic heart failure, supporting the relevance of radiomic features for clinical risk stratification.
The feature importance analysis aligns with existing literature [22,24], confirming the utility of wavelet transforms to improve random forest (RF) model performance [25,26]. Most studies focus on a single sarcoma subtype with standardized imaging, which improves model generalization. However, there are several limitations in this study: dataset complexity, the use of image transform algorithms, dataset imbalance and limitations associated with clinical sarcoma grading.

4.1. Dataset Complexity

The dataset is complex, as sarcomas are diverse, making generalization difficult [8]. Variations in MRI scan protocols, such as differing contrast, fat suppression and weighting methods, contribute to variability in tumor appearance (Figure 3). Considering multiple orientations—axial, coronal and sagittal—adds complexity that the model must handle. Additionally, differences in gray-value ranges and MRI specifications complicate standardization. Some sarcoma types, like OS, are under-represented, making grade classification challenging, as the model may misclassify OS as a lower grade. Including sarcoma subtype information could improve classification.
Non-pathological tissue was grouped as healthy, which can cause misclassification, as biological tissue may resemble pathological regions (Figure 4). Small homogeneous regions in segmented 3D images may confuse the model, especially when similar to healthy tissue. Image quality varied significantly between patients (Figure 5), with some images being grainy, blurred or corrupted, which may affect model performance.
To improve generalization, it is crucial to balance the dataset by ensuring adequate representation of all sarcoma types and grades. For grade classification, the recommended number of samples per feature is at least 10 [30], with a maximum of 39 features for three-grade classification based on the dataset’s smallest minority-class size when considering each slice of the mask as a data point. Hence, SLIC was used to cluster pixels into super pixels for further analysis.

4.2. Image Transform Algorithms

Wavelet transforms were used for feature extraction, but other transforms, such as Hessian transform [31], could provide additional relevant information. Applying different transforms, such as Laplacian of Gaussian or gradient transforms [17], may uncover additional textural or topological features that could improve classification performance. However, caution is needed when using higher order transformations, as they may amplify image noise [32].
While combining original and transformed features improved performance for binary classification, there was no single feature that consistently predicted outcomes for all patients, underscoring the complexity of feature interactions and suggesting that optimal feature selection could improve results. Using the combined dataset did not improve performance to a notable degree for grade classification, which was unexpected. This implies that improvements must be made to the feature selection or, perhaps, indicating the need to include more transforms.

4.3. Dataset Imbalance

To balance healthy and pathological groups, healthy data were randomly selected per patient to match the number of pathological data points. However, this process could lead to slight variations, especially in patients with small tumors. Over-sampling could address this issue, improving generalization during training. Despite dataset challenges, the classification results were generally successful, highlighting the interdependence of features. The findings indicate that there is considerable potential in identifying sarcoma tissue based on radiomics features.
The under-representation of grade 1 and 2 tumors further complicates the task, as grade 3 tumors, being larger, generate more SPs [33]. Precision and recall were poorer for grades 1 and 2, as seen in Table 11, Table 14 and Table 17.
To address class imbalance, a balanced random forest model was used [21], but other techniques, such as random oversampling or ensemble methods, could also be effective [20,21]. The results suggest that improvements can be made in grade classification, particularly for grades 1 and 2, though the low number of cases in these categories should be considered.
However, the overall results offer a possible pathway of applying computerized models to accurately diagnose patients. This could decrease the time taken to diagnose patients, as no invasive biopsies are required and another practitioner does not have to analyze the results of the biopsy.

4.4. Clinical Sarcoma Grading

Sarcoma grading, according to FNCLCC guidelines, relies on tumor differentiation, the necrosis ratio and the mitotic count. These factors are subject to human error, making grade classification particularly challenging and leading to potential misdiagnosis of the sarcoma grade.

5. Conclusions

The results of training an RF classifier on the IceSG dataset to discriminate healthy versus pathological tissue and classify the sarcoma grade using radiomics features extracted from raw images and image wavelet transforms show considerable promise. The results indicate the following:
  • A pathway may exist to high-accuracy identification of sarcomas and their grades.
  • Medical imaging shows promise in bypassing invasive biopsies.
  • Possible human error in complicated diagnostics can be minimized or avoided.
  • Treatment of sarcoma can be started earlier, thereby promoting patient prognosis.

Author Contributions

Conceptualization, H.J.J. and P.G.; methodology, A.E.G.; software, A.E.G.; validation, M.R.; formal analysis, A.E.G.; investigation, A.E.G., C.T.S. and S.C.; resources, S.C.; data curation, A.E.G.; writing—original draft preparation, A.E.G.; writing—review and editing, A.E.G.; visualization, A.E.G.; supervision, P.G.; project administration, H.J.J.; funding acquisition, P.G. All authors have read and agreed to the published version of the manuscript.

Funding

This research received no external funding.

Institutional Review Board Statement

The patient data was approved by the Landspitali Ethics Committee (5/2024), dated 6 February 2024. The study was approved by the Landspitali Scientific Research Committee (01/2024—no 93), dated 9 January 2024.

Informed Consent Statement

Informed consent was obtained from all subjects involved in the study.

Data Availability Statement

The original contributions presented in the study are included in the article, further inquiries can be directed to the corresponding author.

Conflicts of Interest

The authors declare no conflicts of interest.

References

  1. Dancsok, A.R.; Asleh-Aburaya, K.; Nielsen, T.O. Advances in sarcoma diagnostics and treatment. Oncotarget 2017, 8, 7068. [Google Scholar] [CrossRef]
  2. Fayette, J.; Blay, J.Y. Adjuvant chemotherapy in the treatment of sarcomas. Bull Cancer 2006, 93, 257–261. [Google Scholar]
  3. Burningham, Z.; Hashibe, M.; Spector, L.; Schiffman, J.D. The epidemiology of sarcoma. Clin. Sarcoma Res. 2012, 2, 1–16. [Google Scholar] [CrossRef] [PubMed]
  4. Sbaraglia, M.; Bellan, E.; Tos, A.P.D. The 2020 WHO Classification of Soft Tissue Tumours: News and perspectives. Pathologica 2021, 113, 70. [Google Scholar] [CrossRef]
  5. Farid, M.; Ngeow, J. Sarcomas Associated With Genetic Cancer Predisposition Syndromes: A Review. Oncologist 2016, 21, 1002–1013. [Google Scholar] [CrossRef] [PubMed]
  6. Schaefer, I.M.; Cote, G.M.; Hornick, J.L. Contemporary Sarcoma Diagnosis, Genetics, and Genomics. J. Clin. Oncol. 2017, 36, 101–110. [Google Scholar] [CrossRef] [PubMed]
  7. Wang, L.; Nie, H.; Wang, Q.; Zhang, G.; Li, G.; Bai, L.; Hua, T.; Wei, S. Use of magnetic resonance imaging combined with gene analysis for the diagnosis of fetal congenital heart disease. BMC Med. Imaging 2019, 19, 1–7. [Google Scholar] [CrossRef]
  8. Al-Obeidat, F.; Rashid, A.; Hafez, W.; Gibbaoui, H.; Ayoub, G.; Ameer, S.A.; Venkatachalapathi, A.K.; MRCP, M.G.; Hassan, S.; Ibrahim, M.A.; et al. The Accuracy of Artificial Intelligence in the Diagnosis of Soft Tissue Sarcoma: A Systematic Review and Meta-analysis. Curr. Probl. Surg. 2025, 66, 101743. [Google Scholar] [CrossRef]
  9. Swanson, K.; Wu, E.; Zhang, A.; Alizadeh, A.A.; Zou, J. From patterns to patients: Advances in clinical machine learning for cancer diagnosis, prognosis, and treatment. Cell 2023, 186, 1772–1791. [Google Scholar] [CrossRef]
  10. Roychowdhury, S.; Koozekanani, D.D.; Parhi, K.K. DREAM: Diabetic Retinopathy Analysis Using Machine Learning. IEEE J. Biomed. Health Inform. 2014, 18, 1717–1728. [Google Scholar] [CrossRef]
  11. Tanveer, M.; Richhariya, B.; Khan, R.U.; Rashid, A.H.; Khanna, P.; Prasad, M.; Lin, C.T. Machine Learning Techniques for the Diagnosis of Alzheimer’s Disease: A Review. ACM Trans. Multimed. Comput. Commun. Appl. 2020, 16, 1–35. [Google Scholar] [CrossRef]
  12. Obeidin, F. Soft Tissue General Grading; Pathology Outlines: Bingham Farms, MI, USA, 2022. [Google Scholar]
  13. Materialise, N.V. Materialise Mimics, Version 25.0; Materialise NV: Leuven, Belgium, 2024. [Google Scholar]
  14. Hammoudi, K.; Cabani, A.; Slika, B.; Benhabiles, H.; Dornaika, F.; Melkemi, M. SuperpixelGridMasks Data Augmentation: Application to Precision Health and Other Real-world Data. J. Healthc. Inform. Res. 2023, 6, 442–460. [Google Scholar] [CrossRef]
  15. Achanta, R.; Shaji, A.; Smith, K.; Lucchi, A.; Fua, P.; Süsstrunk, S. SLIC Superpixels Compared to State-of-the-Art Superpixel Methods. IEEE Trans. Pattern Anal. Mach. Intell. 2012, 34, 2274–2282. [Google Scholar] [CrossRef] [PubMed]
  16. Khatun, Z.; Jónsson, H.; Tsirilaki, M.; Maffulli, N.; Oliva, F.; Daval, P.; Tortorella, F.; Gargiulo, P. Beyond pixel: Superpixel-based MRI segmentation through traditional machine learning and graph convolutional network. Comput. Methods Programs Biomed. 2024, 256, 108398. [Google Scholar] [CrossRef]
  17. van Griethuysen, J.J.M.; Fedorov, A.; Parmar, C.; Hosny, A.; Aucoin, N.; Narayan, V.; Beets-Tan, R.G.H.; Fillion-Robin, J.C.; Pieper, S.; Aerts, H.J.W.L. Computational radiomics system to decode the radiographic phenotype. Sci. Rep. 2017, 77, e104–e107. [Google Scholar] [CrossRef] [PubMed]
  18. Tang, V.H.; Duong, S.T.M.; Nguyen, C.D.T.; Huynh, T.M.; Duc, V.T.; Phan, C.; Le, H.; Bui, T.; Truong, S.Q.H. Wavelet radiomics features from multiphase CT images for screening hepatocellular carcinoma: Analysis and comparison. Nature 2023, 13, 19559. [Google Scholar] [CrossRef]
  19. Sudharani, B.; Hemalatha, M.; Deepa, B. Wavelet Transform for a Fuzzy Based Image Fusion. Int. J. Adv. Electr. Eng. 2015, 58–67. [Google Scholar]
  20. Pedregosa, F.; Varoquaux, G.; Gramfort, A.; Michel, V.; Thirion, B.; Grisel, O.; Blondel, M.; Prettenhofer, P.; Weiss, R.; Dubourg, V.; et al. Scikit-learn: Machine Learning in Python. J. Mach. Learn. Res. 2011, 12, 2825–2830. [Google Scholar]
  21. Lemaître, G.; Nogueira, F.; Aridas, C.K. Imbalanced-learn: A Python Toolbox to Tackle the Curse of Imbalanced Datasets in Machine Learning. J. Mach. Learn. Res. 2017, 18, 1–5. [Google Scholar]
  22. Tagliafico, A.S.; Bignotti, B.; Rossi, F.; Valdora, F.; Martinoli, C. Local recurrence of soft tissue sarcoma: A radiomic analysis. Radiol. Oncol. 2019, 53, 300. [Google Scholar] [CrossRef]
  23. Zhang, Y.; Zhu, Y.; Shi, X.; Tao, J.; Cui, J.; Dai, Y.; Zheng, M.; Wang, S. Soft Tissue Sarcomas: Preoperative Predictive Histopathological Grading Based on Radiomics of MRI. Sci. Direct: Acad. Radiol. 2019, 26, 1262–1268. [Google Scholar] [CrossRef]
  24. Corino, V.D.; Montin, E.; Messina, A.; Casali, P.G.; Gronchi, A.; Marchianò, A.; Mainardi, L.T. Radiomic analysis of soft tissues sarcomas can distinguish intermediate from high-grade lesions. J. Magn. Reson. Imaging 2017, 47, 829–840. [Google Scholar] [CrossRef] [PubMed]
  25. Shan Hu, C.X.; Guan, W.; Tang, Y.; Liu, Y. Texture feature extraction based on wavelet transform and gray-level co-occurrence matrices applied to osteosarcoma diagnosis. Sage J. Bio-Med. Mater. Eng. 2014, 24, 129–143. [Google Scholar]
  26. Lin, P.; Yang, P.F.; Chen, S.; Shao, Y.Y.; Xu, L.; Wu, Y.; Teng, W.; Zhou, X.Z.; Li, B.H.; Luo, C.; et al. A Delta-radiomics model for preoperative evaluation of Neoadjuvant chemotherapy response in high-grade osteosarcoma. Cancer Imaging 2020, 20, 1–12. [Google Scholar] [CrossRef]
  27. Chen, S.; Li, N.; Tang, Y.; Chen, B.; Fang, H.; Qi, S.; Lu, N.; Yang, Y.; Song, Y.; Liu, Y.; et al. Radiomics Analysis of Fat-Saturated T2-Weighted MRI Sequences for the Prediction of Prognosis in Soft Tissue Sarcoma of the Extremities and Trunk Treated With Neoadjuvant Radiotherapy. Front. Oncol. 2021, 11, 710649. [Google Scholar] [CrossRef]
  28. Niu, J.; Tan, Q.; Zou, X.; Jin, S. Accurate prediction of glioma grades from radiomics using a multi-filter and multi-objective-based method. Math. Biosci. Eng. 2022, 20, 2890–2907. [Google Scholar] [CrossRef]
  29. Ricciardi, C.; Edmunds, K.J.; Recenti, M.; Sigurdsson, S.; Gudnason, V.; Carraro, U.; Gargiulo, P. Assessing cardiovascular risks from a mid-thigh CT image: A tree-based machine learning approach using radiodensitometric distributions. Sci. Rep. 2020, 10, 2863. [Google Scholar] [CrossRef] [PubMed]
  30. Lakshmanan, V.; Robinson, S.; Munn, M. Machine Learning Design Patterns; O’Reilly Media: Sebastopol, CA, USA, 2020. [Google Scholar]
  31. Le, Q.C.; Arimura, H.; Ninomiya, K.; Kabata, Y. Radiomic features based on Hessian index for prediction of prognosis in head-and-neck cancer patients. Nature 2020, 10, 21301. [Google Scholar] [CrossRef]
  32. Gonzalez, R.C.; Woods, R.E. Digital Image Processin, 3rd ed.; Pearson: London, UK, 2008. [Google Scholar]
  33. Tian, Z.; Liu, L.; Zhang, Z.; Fei, B. Superpixel-based Segmentation for 3D Prostate MR Images. IEEE Trans. Med. Imaging 2015, 35, 791–801. [Google Scholar] [CrossRef]
Figure 1. Visual representation of the steps in the workflow.
Figure 1. Visual representation of the steps in the workflow.
Diagnostics 15 01694 g001
Figure 2. Confusion matrix setup. (a) For binary classification, true negative (TN) indicates tissue correctly predicted as healthy, true positive (TP) indicates tissue correctly predicted as pathological, false negative (FN) indicates pathological tissue predicted as healthy and false positive (FP) indicates pathological tissue predicted as healthy. The micro average displays the number of samples classified in integers, and macro average displays classification in ratios. (b) For grade classification, true grade ( T G i ) is the number of samples belonging to class i and predicted as such, and false grade ( F G i , j ) corresponds to samples predicted as grade i but belonging to grade j. The micro average shows the total number of classified data points, and the macro average shows number of classified patients.
Figure 2. Confusion matrix setup. (a) For binary classification, true negative (TN) indicates tissue correctly predicted as healthy, true positive (TP) indicates tissue correctly predicted as pathological, false negative (FN) indicates pathological tissue predicted as healthy and false positive (FP) indicates pathological tissue predicted as healthy. The micro average displays the number of samples classified in integers, and macro average displays classification in ratios. (b) For grade classification, true grade ( T G i ) is the number of samples belonging to class i and predicted as such, and false grade ( F G i , j ) corresponds to samples predicted as grade i but belonging to grade j. The micro average shows the total number of classified data points, and the macro average shows number of classified patients.
Diagnostics 15 01694 g002
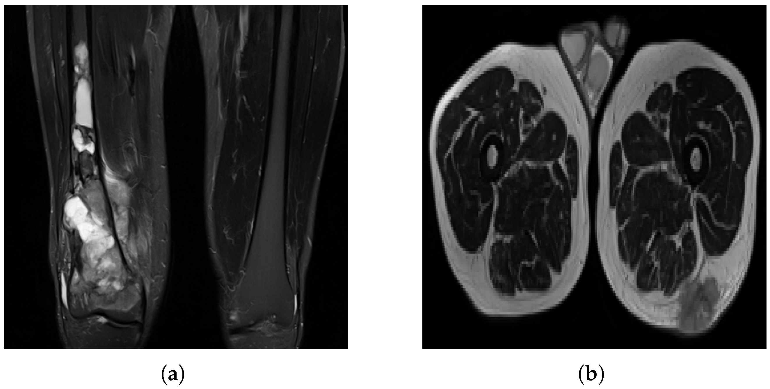
Figure 3. MRI slices: (a) A case of OS where the machine uses specific settings and contrast media to brighten the tumor region and suppress fat response. (b) Another patient (with liposarcoma in this case) where the tumor region is dark in contrast and fat tissue is not suppressed.
Figure 3. MRI slices: (a) A case of OS where the machine uses specific settings and contrast media to brighten the tumor region and suppress fat response. (b) Another patient (with liposarcoma in this case) where the tumor region is dark in contrast and fat tissue is not suppressed.
Diagnostics 15 01694 g003
Figure 4. An example of how healthy and pathological tissue can overlap in terms of appearance. The left two images show healthy tissue, and the rightmost image shows a tumor region.
Figure 4. An example of how healthy and pathological tissue can overlap in terms of appearance. The left two images show healthy tissue, and the rightmost image shows a tumor region.
Diagnostics 15 01694 g004
Figure 5. Variance in image quality. (a) A grainy slice with relatively high noise. (b) A corrupted image. (c) An example of uneven lighting distribution.
Figure 5. Variance in image quality. (a) A grainy slice with relatively high noise. (b) A corrupted image. (c) An example of uneven lighting distribution.
Diagnostics 15 01694 g005
Table 1. Dataset demographics. Included sarcoma subtypes are chondrosarcoma (CS), dermatofibrosarcoma protuberans (DFSP), Ewing sarcoma (ES), giant cell tumor of bone (GCTB), osteosarcoma (OS) and soft tissue sarcoma (STS).
Table 1. Dataset demographics. Included sarcoma subtypes are chondrosarcoma (CS), dermatofibrosarcoma protuberans (DFSP), Ewing sarcoma (ES), giant cell tumor of bone (GCTB), osteosarcoma (OS) and soft tissue sarcoma (STS).
Age Group0–1920–3940–5960–7980+
Subtype
STS43.96%109.90%1918.81%2221.78%109.90%
OS109.90%00.00%32.97%10.99%00.00%
CS00.00%10.99%65.94%00.00%10.99%
ES54.95%43.96%10.99%10.99%00.00%
DFSP00.00%10.99%00.00%00.00%00.00%
GCTB10.99%00.00%10.99%00.00%00.00%
Grade
132.97%00.00%109.90%32.97%32.97%
210.99%21.98%32.97%87.92%21.98%
31615.84%1413.86%1716.83%1312.87%65.94%
Sex
male1211.88%87.92%1716.83%1413.86%87.92%
female87.92%87.92%1312.87%109.90%32.97%
Table 2. Types of wavelet sub-band passes and captured details [19].
Table 2. Types of wavelet sub-band passes and captured details [19].
Sub-Band SymbolX-AxisY-AxisDetails
LLLow-passLow-passApproximationof original image
LHLow-passHigh-passImages’ horizontal details
HLHigh-passLow-passImages’ vertical details
HHHigh-passHigh-passImages’ diagonal details
Table 3. The combination of image transforms for each run.
Table 3. The combination of image transforms for each run.
Image Transform GroupDescriptionNumber of Features
1.OriginalRaw image features93 features
2.WaveletWavelet-transformed features279 features
3.Wavelet + OriginalRaw and wavelet-transformed features465 features
Table 4. Binary classification results. Both macro-averaged and micro-averaged metrics are displayed.
Table 4. Binary classification results. Both macro-averaged and micro-averaged metrics are displayed.
Macro-AveragedMicro-Averaged
Accuracy Precision Recall Accuracy Precision Recall
Original 72.66 % 76.80 % 68.80 % 68.70 % 72.14 % 67.79 %
Wavelet 70.16 % 72.75 % 66.68 % 64.79 % 66.86 % 62.27 %
Combined 76.02 % 80.88 % 71.82 % 71.88 % 75.82 % 68.05 %
Table 5. Number of features chosen for each feature group for the binary classifier for the original transform group.
Table 5. Number of features chosen for each feature group for the binary classifier for the original transform group.
Feature GroupSelected Features
First Order14
GLCM9
GLDM8
GLRLM6
GLSZM5
NGTDM5
Total47
Table 6. Feature importance considering purely the original transform group for binary classification.
Table 6. Feature importance considering purely the original transform group for binary classification.
Feature GroupOriginal
First Order35.60%
GLCM16.75%
GLDM15.95%
GLRLM12.23%
GLSZM9.58%
NGTDM9.90%
Total100.00%
Table 7. Number of features chosen for each feature group for the binary classifier for the wavelet transform group.
Table 7. Number of features chosen for each feature group for the binary classifier for the wavelet transform group.
Selected Features
Feature Group Wavelet-LH Wavelet-HL Wavelet-HH Total
First Order910423
GLCM95519
GLDM65112
GLRLM52411
GLSZM2002
NGTDM1214
Total32241571
Table 8. Feature importance considering only the wavelet transform group for binary classification.
Table 8. Feature importance considering only the wavelet transform group for binary classification.
Feature-Transform Group Importance
Feature Group Wavelet-LH Wavelet-HL Wavelet-HH Total
Firstorder14.28%16.08%5.39%35.76%
GLCM12.12%7.04%7.06%26.22%
GLDM8.25%6.65%1.38%16.28%
GLRLM6.34%2.78%5.33%14.45%
GLSZM2.31%0.00%0.00%2.31%
NGTDM1.19%2.50%1.30%4.99%
Total44.49%35.05%20.46%100.00%
Table 9. Feature importance considering both original and wavelet transform groups for binary classification.
Table 9. Feature importance considering both original and wavelet transform groups for binary classification.
Feature Transform Group Importance
Original Wavelet-LL Wavelet-LH Wavelet-HL Wavelet-HH Total
First Order13.75%7.85%1.86%2.96%3.26%29.67%
GLCM4.00%4.56%3.51%5.05%5.35%22.47%
GLDM3.99%3.48%4.06%2.38%2.70%16.61%
GLRLM2.57%3.58%3.27%2.83%4.71%16.96%
GLSZM2.10%2.67%0.78%0.80%0.00%6.34%
NGTDM1.65%2.18%1.37%1.50%1.26%7.95%
Total28.06%24.32%14.84%15.51%17.26%100.00%
Table 10. Number of features chosen from each feature group for the binary classifier of all transform groups.
Table 10. Number of features chosen from each feature group for the binary classifier of all transform groups.
Selected Features
Original Wavelet-LL Wavelet-LH Wavelet-HL Wavelet-HH Total
First Order151047945
GLCM1096121249
GLDM8786736
GLRLM57771036
GLSZM6622016
NGTDM4434318
Total4843303841200
Table 11. Macro- and micro-averaged results for grade classification using original features.
Table 11. Macro- and micro-averaged results for grade classification using original features.
MacroMicro
Grade 1 Grade 2 Grade 3 Grade 1 Grade 2 Grade 3
Accuracy 45.54 % 46.80 %
Precision 36.84 % 31.25 % 51.52 % 28.39 % 44.97 % 50.64 %
Recall 21.88 % 27.78 % 66.67 % 21.88 % 27.78 % 66.67 %
Table 12. Number of features selected when considering the original transform group for grade classification.
Table 12. Number of features selected when considering the original transform group for grade classification.
Feature GroupSelected Features
First Order11
GLCM3
GLDM3
GLRLM1
GLSZM8
NGTDM5
Total31
Table 13. Feature importance considering purely the original feature groups for grade classification.
Table 13. Feature importance considering purely the original feature groups for grade classification.
Feature GroupFeature Group Importance
Firstorder37.81%
GLCM8.94%
GLDM8.88%
GLRLM3.12%
GLSZM22.82%
NGTDM18.43%
Total100.00%
Table 14. Macro- and micro-averaged results for grade classification using wavelet features.
Table 14. Macro- and micro-averaged results for grade classification using wavelet features.
MacroMicro
Grade 1 Grade 2 Grade 3 Grade 1 Grade 2 Grade 3
Accuracy 43.56 % 53.28 %
Precision 42.11 % 56.25 % 40.91 % 34.81 % 55.94 % 56.59 %
Recall 29.63 % 26.47 % 67.50 % 29.63 % 26.47 % 67.50 %
Table 15. Number of features selected when considering the wavelet transform group for grade classification.
Table 15. Number of features selected when considering the wavelet transform group for grade classification.
Selected Features
Wavelet-LH Wavelet-HL Wavelet-HH Total
First Order0235
GLCM44311
GLDM0044
GLRLM1146
GLSZM0000
NGTDM0101
Total581427
Table 16. Feature importance considering only wavelet transform feature groups for grade classification.
Table 16. Feature importance considering only wavelet transform feature groups for grade classification.
Feature Transform Group Importance
Wavelet-LH Wavelet-HL Wavelet-HH Total
First Order0.00%7.29%12.36%19.65%
GLCM17.78%18.00%9.47%45.25%
GLDM0.00%0.00%11.81%11.81%
GLRLM3.34%3.48%13.02%19.84%
GLSZM0.00%0.00%0.00%0.00%
NGTDM0.00%3.44%0.00%3.44%
Total21.12%32.22%46.67%100.00%
Table 17. Macro- and micro-averaged results for grade classification using all transform groups.
Table 17. Macro- and micro-averaged results for grade classification using all transform groups.
MacroMicro
Grade 1 Grade 2 Grade 3 Grade 1 Grade 2 Grade 3
Accuracy 44.55 % 57.60 %
Precision 31.58 % 31.25 % 51.52 % 32.60 % 60.20 % 62.20 %
Recall 24.00 % 23.81 % 61.82 % 24.00 % 23.81 % 61.82 %
Table 18. Number of features selected when considering both original and wavelet transform groups for grade classification.
Table 18. Number of features selected when considering both original and wavelet transform groups for grade classification.
Selected Features
Original Wavelet-LL Wavelet-LH Wavelet-HL Wavelet-HH Total
First Order10500116
GLCM0124310
GLDM000044
GLRLM1203612
GLSZM110002
NGTDM221005
Total1411371449
Table 19. Feature importance considering both the original and wavelet transform feature groups for grade classification.
Table 19. Feature importance considering both the original and wavelet transform feature groups for grade classification.
Feature Transform Group Importance
Original Wavelet-LL Wavelet-LH Wavelet-HL Wavelet-HH Total
First Order19.57%11.05%0.00%0.00%2.47%33.08%
GLCM0.00%1.62%5.91%9.19%5.93%22.65%
GLDM0.00%0.00%0.00%0.00%7.60%7.60%
GLRLM1.64%2.62%0.00%6.16%11.68%22.10%
GLSZM1.35%1.36%0.00%0.00%0.00%2.71%
NGTDM4.57%4.31%2.97%0.00%0.00%11.86%
Total27.13%20.97%8.88%15.34%27.68%100.00%
Disclaimer/Publisher’s Note: The statements, opinions and data contained in all publications are solely those of the individual author(s) and contributor(s) and not of MDPI and/or the editor(s). MDPI and/or the editor(s) disclaim responsibility for any injury to people or property resulting from any ideas, methods, instructions or products referred to in the content.

Share and Cite

MDPI and ACS Style

Gunnarsson, A.E.; Correra, S.; Sánchez, C.T.; Recenti, M.; Jónsson, H., Jr.; Gargiulo, P. Toward New Assessment in Sarcoma Identification and Grading Using Artificial Intelligence Techniques. Diagnostics 2025, 15, 1694. https://doi.org/10.3390/diagnostics15131694

AMA Style

Gunnarsson AE, Correra S, Sánchez CT, Recenti M, Jónsson H Jr., Gargiulo P. Toward New Assessment in Sarcoma Identification and Grading Using Artificial Intelligence Techniques. Diagnostics. 2025; 15(13):1694. https://doi.org/10.3390/diagnostics15131694

Chicago/Turabian Style

Gunnarsson, Arnar Evgení, Simona Correra, Carol Teixidó Sánchez, Marco Recenti, Halldór Jónsson, Jr., and Paolo Gargiulo. 2025. "Toward New Assessment in Sarcoma Identification and Grading Using Artificial Intelligence Techniques" Diagnostics 15, no. 13: 1694. https://doi.org/10.3390/diagnostics15131694

APA Style

Gunnarsson, A. E., Correra, S., Sánchez, C. T., Recenti, M., Jónsson, H., Jr., & Gargiulo, P. (2025). Toward New Assessment in Sarcoma Identification and Grading Using Artificial Intelligence Techniques. Diagnostics, 15(13), 1694. https://doi.org/10.3390/diagnostics15131694

Note that from the first issue of 2016, this journal uses article numbers instead of page numbers. See further details here.

Article Metrics

Back to TopTop