An Integrated System for Detecting and Numbering Permanent and Deciduous Teeth Across Multiple Types of Dental X-Ray Images Based on YOLOv8
Abstract
1. Introduction
- A unified system capable of handling a wide range of dental X-ray images.
- 2.
- The first system to support both adult and pediatric dental radiographs.
- 3.
- Improved performance in adult tooth localization compared to previous methods.
2. Methods
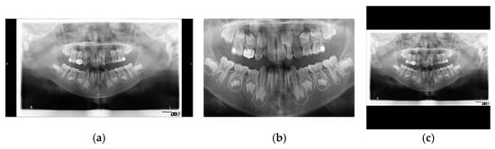
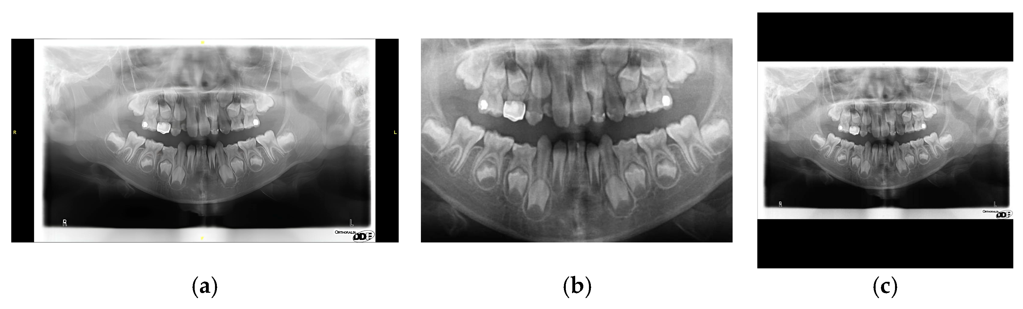
2.1. Image Preprocessing
2.1.1. Image Normalization
2.1.2. Image Enhancement
2.2. Tooth Localization and Numbering System
2.2.1. Build Database
2.2.2. Yolov8 Model
2.2.3. Hyperparameter
2.3. Tooth Numbering
3. Results
4. Discussion
5. Conclusions
Author Contributions
Funding
Institutional Review Board Statement
Informed Consent Statement
Data Availability Statement
Conflicts of Interest
References
- Imak, A.; Celebi; A.; Siddique, K.; Turkoglu, M.; Sengur; A.; Salam, I. Dental Caries Detection Using Score-Based Multi-Input Deep Convolutional Neural Network. IEEE Access 2022, 10, 18320–18329. [Google Scholar] [CrossRef]
- Pul, U.; Schwendicke, F. Artificial intelligence for detecting periapical radiolucencies: A systematic review and meta-analysis. J. Dent. 2024, 147, 105104. [Google Scholar] [CrossRef] [PubMed]
- Chen, S.-L.; Chen, T.-Y.; Mao, Y.-C.; Lin, S.-Y.; Huang, Y.-Y.; Chen, C.-A.; Lin, Y.-J.; Chuang, M.-H.; Abu, P.A.R. Detection of Various Dental Conditions on Dental Panoramic Radiography Using Faster R-CNN. IEEE Access 2023, 11, 127388–127401. [Google Scholar] [CrossRef]
- Gao, N.; Yao, R.; Liang, R.; Chen, P.; Liu, T.; Dang, Y. Multi-Level Objective Alignment Transformer for Fine-Grained Oral Panoramic X-Ray Report Generation. IEEE Trans. Multimed. 2024, 26, 7462–7474. [Google Scholar] [CrossRef]
- Panetta, K.; Rajendran, R.; Ramesh, A.; Rao, S.P.; Agaian, S. Tufts Dental Database: A Multimodal Panoramic X-Ray Dataset for Benchmarking Diagnostic Systems. IEEE J. Biomed. Health Inform. 2021, 26, 1650–1659. [Google Scholar] [CrossRef]
- Li, K.-C.; Mao, Y.-C.; Lin, M.-F.; Li, Y.-Q.; Chen, C.-A.; Chen, T.-Y.; Abu, P.A.R. Detection of Tooth Position by YOLOv4 and Various Dental Problems Based on CNN With Bitewing Radiograph. IEEE Access 2024, 12, 11822–11835. [Google Scholar] [CrossRef]
- Said, E.H.; Nassar, D.E.M.; Fahmy, G.; Ammar, H.H. Teeth segmentation in digitized dental X-ray films using mathematical morphology. IEEE Trans. Inf. Forensics Secur. 2006, 1, 178–189. [Google Scholar] [CrossRef]
- Kumar, J.; Crall, J.J.; Holt, K. Oral Health of Women and Children: Progress, Challenges, and Priorities. Matern. Child Health J. 2023, 27, 1930–1942. [Google Scholar] [CrossRef]
- Chen, S.-L.; Chen, T.-Y.; Mao, Y.-C.; Lin, S.-Y.; Huang, Y.-Y.; Chen, C.-A.; Lin, Y.-J.; Hsu, Y.-M.; Li, C.-A.; Chiang, W.-Y.; et al. Automated Detection System Based on Convolution Neural Networks for Retained Root, Endodontic Treated Teeth, and Implant Recognition on Dental Panoramic Images. IEEE Sens. J. 2022, 22, 23293–23306. [Google Scholar] [CrossRef]
- Hashem, M.; Mohammed, M.L.; Youssef, A.E. Improving the Efficiency of Dental Implantation Process Using Guided Local Search Models and Continuous Time Neural Networks with Robotic Assistance. IEEE Access 2020, 8, 202755–202764. [Google Scholar] [CrossRef]
- Sarychikhina, O.; Palacios, D.G.; Argote, L.A.D.; Ortega, A.G. Application of satellite SAR interferometry for the detection and monitoring of landslides along the Tijuana—Ensenada Scenic Highway, Baja California, Mexico. J. South Am. Earth Sci. 2021, 107, 103030. [Google Scholar] [CrossRef]
- Jiang, B.; Zhang, S.; Shi, M.; Liu, H.-L.; Shi, H. Alternate Level Set Evolutions with Controlled Switch for Tooth Segmentation. IEEE Access 2022, 10, 76563–76572. [Google Scholar] [CrossRef]
- Chen, T.-Y.; Wu, H.-I.; Li, Z.-H.; Fu, J.-A.; Chen, C.-A.; Li, K.-C.; Liong, S.-T.; Chi, T.-K.; Chen, S.-L. Innovative Approach to Supernumerary Teeth Identification: CNN-Based Intelligent Medical Auxiliary System for Occlusal Radiographs. In Proceedings of the 2024 IEEE 11th International Conference on Cyber Security and Cloud Computing (CSCloud), Shanghai, China, 28–30 June 2024; pp. 13–18. [Google Scholar] [CrossRef]
- Chen, X.; Liu, C.; Wang, S.; Deng, X. LSI-YOLOv8: An Improved Rapid and High Accuracy Landslide Identification Model Based on YOLOv8 from Remote Sensing Images. IEEE Access 2024, 12, 97739–97751. [Google Scholar] [CrossRef]
- Guo, J.B.; Wang, S.H.; Chen, X.H.; Wang, C.; Zhang, W. QL-YOLOv8s: Precisely Optimized Lightweight YOLOv8 Pavement Disease Detection Model. IEEE Access 2024, 12, 128392–128403. [Google Scholar] [CrossRef]
- Wang, Y.; Shao, Z.; Lu, T.; Wang, J.; Cheng, G.; Zuo, X.; Dang, C. Remote Sensing Pan-Sharpening via Cross-Spectral–Spatial Fusion Network. IEEE Geosci. Remote Sens. Lett. 2023, 21, 5000105. [Google Scholar] [CrossRef]
- Yuan, S.; Fioranelli, F.; Yarovoy, A.G. 3DRUDAT: 3D Robust Unambiguous Doppler Beam Sharpening Using Adaptive Threshold for Forward-Looking Region. IEEE Trans. Radar Syst. 2024, 2, 138–153. [Google Scholar] [CrossRef]
- Sun, C.; Zhou, X.; Wen, X. Removal of P- and S-Wave Decoupling Separation Artifacts in Forward Simulation Based on Adaptive Median Filtering. IEEE Geosci. Remote Sens. Lett. 2024, 21, 7506905. [Google Scholar] [CrossRef]
- Lee, G.Y.; Ra, G.L.; Kim, G.S.; Moon, H.H.; Jeong, J.S. Probability Mass Function-Based Adaptive Median Filtering for Acoustic Radiation Force Impulse Imaging: A Feasibility Study. IEEE Access 2023, 11, 142077–142086. [Google Scholar] [CrossRef]
- Long, Y.; Xia, G.-S.; Li, S.; Yang, W.; Yang, M.Y.; Zhu, X.X.; Zhang, L.; Li, D. On Creating Benchmark Dataset for Aerial Image Interpretation: Reviews, Guidances, and Million-AID. IEEE J. Sel. Top. Appl. Earth Obs. Remote Sens. 2021, 14, 4205–4230. [Google Scholar] [CrossRef]
- Gai, R.; Liu, Y.; Xu, G. TL-YOLOv8: A Blueberry Fruit Detection Algorithm Based on Improved YOLOv8 and Transfer Learning. IEEE Access 2024, 12, 86378–86390. [Google Scholar] [CrossRef]
- Chen, Z.; Feng, J.; Zhu, K.; Yang, Z.; Wang, Y.; Ren, M. YOLOv8-ACCW: Lightweight Grape Leaf Disease Detection Method Based on Improved YOLOv8. IEEE Access 2024, 12, 123595–123608. [Google Scholar] [CrossRef]
- Wang, Y.; Pan, F.; Li, Z.; Xin, X.; Li, W. CoT-YOLOv8: Improved YOLOv8 for Aerial images Small Target Detection. In Proceedings of the 2023 China Automation Congress (CAC), Chongqing, China, 17–19 November 2023; pp. 4943–4948. [Google Scholar] [CrossRef]
- Chen, S.-L.; Chen, T.-Y.; Huang, Y.-C.; Chen, C.-A.; Chou, H.-S.; Huang, Y.-Y.; Lin, W.-C.; Li, T.-C.; Yuan, J.-J.; Abu, P.A.R.; et al. Missing Teeth and Restoration Detection Using Dental Panoramic Radiography Based on Transfer Learning with CNNs. IEEE Access 2022, 10, 118654–118664. [Google Scholar] [CrossRef]
- Milošević, D.; Vodanović, M.; Galić, I.; SubašIć, M. A Comprehensive Exploration of Neural Networks for Forensic Analysis of Adult Single Tooth X-Ray Images. IEEE Access 2022, 10, 70980–71002. [Google Scholar] [CrossRef]
- Fariza, A.; Asmara, R.; Rojaby, M.O.F.; Astuti, E.R.; Putra, R.H. Automatic Tooth Enumeration on Panoramic Radiographs Using Deep Learning. In Proceedings of the 2023 IEEE 9th International Conference on Computing, Engineering and Design (ICCED), Kuala Lumpur, Malaysia, 7–8 November 2023; pp. 1–6. [Google Scholar] [CrossRef]











| Hardware Platform | Version |
|---|---|
| CPU | AMD Ryzen 7 5700X 8-Core Processor |
| GPU | NVIDLA GeForce RTX3060 Ti |
| RAM | 32G |
| Software Platform | Version |
| OS | Window 11 Pro |
| Python | 3.11.4 |
| Hyperparameters | Value |
|---|---|
| Optimizer | Adam |
| Image Size | 640 |
| Initial Learning Rate | 0.005 |
| Epoch | 500 |
| Min Batch Size | 16 |
| True | Positive | Negative | |
|---|---|---|---|
| Predicted | |||
| Positive | |||
| Negative | |||
| Method in [26] | This Work | ||||
|---|---|---|---|---|---|
| Teeth | Permanent | Deciduous | Permanent | Deciduous | |
| PANO | Precision ↑ | 95.90% | 89.69% | 97.01% | 93.13% |
| Recall ↑ | 98.65% | 94.27% | 99.22% | 96.50% | |
| PA | Precision ↑ | 79.44% | 83.80% | ||
| Recall ↑ | 95.00% | 95.37% | |||
| BW | Precision ↑ | 95.21% | 96.83% | ||
| Recall ↑ | 99.24% | 99.56% | |||
| Cutting Black Borders + Padding | Sharpening + Median Filtering | |
|---|---|---|
| Precision ↑ | 95.07 | 98.16 |
| Recall ↑ | 97.86 | 98.44 |
| mAP50 ↑ | 98.22 | 98.48 |
| mAP50~95 ↑ | 70.18 | 72.94 |
| F1-score ↑ | 96.44 | 98.30 |
| Image | ![]() | ![]() |
| YOLOv5 | YOLOv11 | Faster R-CNN | YOLOv8 | ||||||
|---|---|---|---|---|---|---|---|---|---|
| Teeth | Permanent | Deciduous | Permanent | Deciduous | Permanent | Deciduous | Permanent | Deciduous | |
| PANO | Precision ↑ | 96.2% | 88.7% | 98.3% | 95.7% | 70.8% | 49.6% | 97.0% | 93.1% |
| Recall ↑ | 98.6% | 93.5% | 99.4% | 97.8% | 65.3% | 28.1% | 99.2% | 96.5% | |
| PA | Precision ↑ | 96.5% | 99.5% | 83.8% | |||||
| Recall ↑ | 92.6% | 95.6% | 95.4% | ||||||
| BW | Precision ↑ | 95.7% | 99.0% | 96.8% | |||||
| Recall ↑ | 98.5% | 99.8% | 99.6% | ||||||
| Training Time (Min) | 10 | 47 | 157 | 9 | |||||
| Model Size (MB) | 7.5 | 50 | 170 | 6 | |||||
| 11 | 12 | 13 | 14 | 15 | 16 | 17 | 18 | 21 | 22 | 23 | 24 | 25 | 26 | 27 | 28 | ||
|---|---|---|---|---|---|---|---|---|---|---|---|---|---|---|---|---|---|
| Permanent | Manual labeling | 1 | 1 | 1 | 1 | 1 | 1 | 1 | 0 | 1 | 1 | 1 | 1 | 1 | 1 | 1 | 0 |
| This work | 1 | 1 | 1 | 1 | 1 | 1 | 1 | 0 | 1 | 1 | 1 | 1 | 1 | 1 | 1 | 0 | |
| 31 | 32 | 33 | 34 | 35 | 36 | 37 | 38 | 41 | 42 | 43 | 44 | 45 | 46 | 47 | 48 | ||
| Manual labeling | 1 | 1 | 1 | 1 | 1 | 1 | 1 | 0 | 1 | 1 | 1 | 1 | 1 | 1 | 1 | 0 | |
| This work | 1 | 1 | 1 | 1 | 1 | 1 | 1 | 0 | 1 | 1 | 1 | 1 | 1 | 1 | 1 | 0 | |
| Deciduous | 51 | 52 | 53 | 54 | 55 | 61 | 62 | 63 | 64 | 65 | |||||||
| Manual labeling | 0 | 0 | 1 | 0 | 1 | 0 | 0 | 1 | 0 | 1 | |||||||
| This work | 0 | 0 | 1 | 0 | 1 | 0 | 0 | 1 | 0 | 1 | |||||||
| 71 | 72 | 73 | 74 | 75 | 81 | 82 | 83 | 84 | 85 | ||||||||
| Manual labeling | 0 | 0 | 0 | 1 | 1 | 0 | 0 | 0 | 0 | 1 | |||||||
| This work | 0 | 0 | 0 | 1 | 1 | 0 | 0 | 0 | 0 | 1 |
| 11 | 12 | 13 | 14 | 15 | 16 | 17 | |
|---|---|---|---|---|---|---|---|
| Method in [24] | 99.1 | 98.2 | 97.3 | 96.4 | 95.5 | 94.6 | 92.9 |
| This Work | 100 | 98.9 | 98.9 | 98.9 | 96.7 | 98.9 | 97.8 |
| 21 | 22 | 23 | 24 | 25 | 26 | 27 | |
| Method in [24] | 97.3 | 96.4 | 93.8 | 91.1 | 87.5 | 85.7 | 96.6 |
| This Work | 100 | 98.9 | 98.9 | 100 | 98.9 | 97.8 | 96.7 |
| 31 | 32 | 33 | 34 | 35 | 36 | 37 | |
| Method in [24] | 98.2 | 96.4 | 98.2 | 95.5 | 94.6 | 92.9 | 92.0 |
| This Work | 100 | 97.8 | 100 | 94.4 | 97.8 | 100 | 100 |
| 41 | 42 | 43 | 44 | 45 | 46 | 47 | |
| Method in [24] | 99.1 | 97.3 | 92.9 | 91.1 | 87.5 | 86.6 | 84.8 |
| This Work | 100 | 95.6 | 97.8 | 96.7 | 98.9 | 100 | 100 |
| FDI Tooth Number | Accuracy ↑ |
|---|---|
| 11, 21, 24, 31, 33, 36, 37, 41, 46, 47 | 100% |
| 12, 13, 14, 16, 22, 23, 25, 45, 81 | 98.9% |
| 17, 26, 32, 35, 43, 61, 71 | 97.8% |
| 15, 27, 44, 51 | 96.7% |
| 42 | 95.6% |
| 34, 55, 64, 74 | 94.4% |
| 54, 73, 82 | 93.3% |
| 52, 62, 63 | 92.2% |
| 65, 72, 83, 85 | 91.1% |
| 53 | 90.0% |
| 75 | 88.9% |
| 84 | 87.7% |
Disclaimer/Publisher’s Note: The statements, opinions and data contained in all publications are solely those of the individual author(s) and contributor(s) and not of MDPI and/or the editor(s). MDPI and/or the editor(s) disclaim responsibility for any injury to people or property resulting from any ideas, methods, instructions or products referred to in the content. |
© 2025 by the authors. Licensee MDPI, Basel, Switzerland. This article is an open access article distributed under the terms and conditions of the Creative Commons Attribution (CC BY) license (https://creativecommons.org/licenses/by/4.0/).
Share and Cite
Huang, Y.-Y.; Chen, C.-A.; Mao, Y.-C.; Li, C.-H.; Li, B.-W.; Chen, T.-Y.; Tu, W.-C.; Abu, P.A.R. An Integrated System for Detecting and Numbering Permanent and Deciduous Teeth Across Multiple Types of Dental X-Ray Images Based on YOLOv8. Diagnostics 2025, 15, 1693. https://doi.org/10.3390/diagnostics15131693
Huang Y-Y, Chen C-A, Mao Y-C, Li C-H, Li B-W, Chen T-Y, Tu W-C, Abu PAR. An Integrated System for Detecting and Numbering Permanent and Deciduous Teeth Across Multiple Types of Dental X-Ray Images Based on YOLOv8. Diagnostics. 2025; 15(13):1693. https://doi.org/10.3390/diagnostics15131693
Chicago/Turabian StyleHuang, Ya-Yun, Chiung-An Chen, Yi-Cheng Mao, Chih-Han Li, Bo-Wei Li, Tsung-Yi Chen, Wei-Chen Tu, and Patricia Angela R. Abu. 2025. "An Integrated System for Detecting and Numbering Permanent and Deciduous Teeth Across Multiple Types of Dental X-Ray Images Based on YOLOv8" Diagnostics 15, no. 13: 1693. https://doi.org/10.3390/diagnostics15131693
APA StyleHuang, Y.-Y., Chen, C.-A., Mao, Y.-C., Li, C.-H., Li, B.-W., Chen, T.-Y., Tu, W.-C., & Abu, P. A. R. (2025). An Integrated System for Detecting and Numbering Permanent and Deciduous Teeth Across Multiple Types of Dental X-Ray Images Based on YOLOv8. Diagnostics, 15(13), 1693. https://doi.org/10.3390/diagnostics15131693



