The Significance and Limitations of Pre- and Postnatal Imaging in the Diagnosis and Management of Proximal Focal Femoral Deficiency
Abstract
1. Introduction
2. Case Series
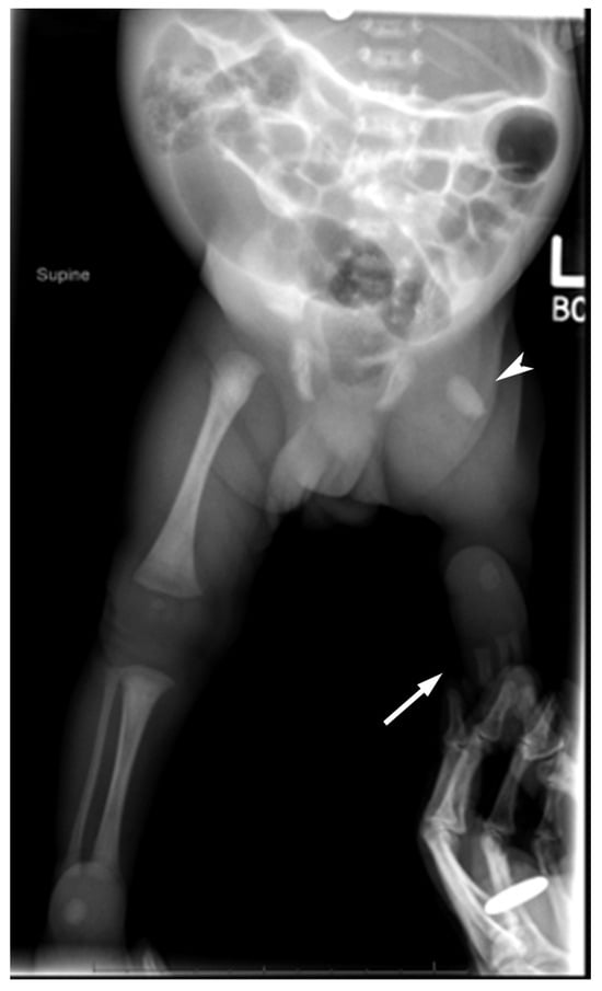
2.1. Case 1
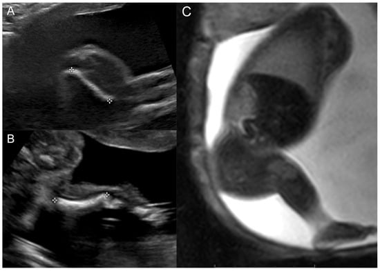
2.2. Case 2
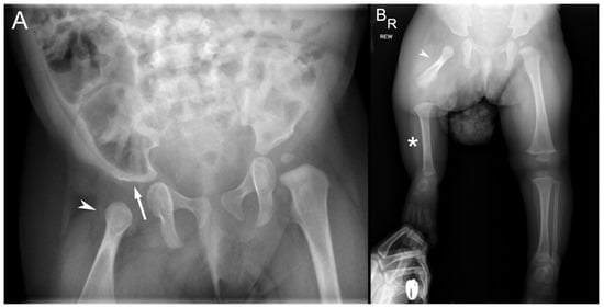
2.3. Case 3
3. Discussion
4. Conclusions
Author Contributions
Funding
Institutional Review Board Statement
Informed Consent Statement
Data Availability Statement
Conflicts of Interest
References
- Agrawal, U.; Taqi, M.; Tiwari, V. Congenital Femoral Deficiency. In StatPearls; StatPearls Publishing: Treasure Island, FL, USA, 2025. Available online: http://www.ncbi.nlm.nih.gov/books/NBK580544/ (accessed on 25 March 2025).
- Hillmann, J.S.; Mesgarzadeh, M.; Revesz, G.; Bonakdarpour, A.; Clancy, M.; Betz, R.R. Proximal femoral focal deficiency: Radiologic analysis of 49 cases. Radiology 1987, 165, 769–773. [Google Scholar] [CrossRef] [PubMed]
- Shaw, S.C.; Prasad, M.; Manrai, K. Proximal femoral focal deficiency. Med. J. Armed Forces India 2023, 79, 360–361. [Google Scholar] [CrossRef] [PubMed]
- Uduma, F.U.; Dim, E.M.; Njeze, N.R. Proximal femoral focal deficiency—A rare congenital entity: Two case reports and a review of the literature. J. Med. Case Reports 2020, 14, 27. [Google Scholar] [CrossRef] [PubMed]
- Hamanishi, C. Congenital short femur. Clinical, genetic and epidemiological comparison of the naturally occurring condition with that caused by thalidomide. J. Bone Joint Surg. Br. 1980, 62, 307–320. [Google Scholar] [CrossRef]
- Bedoya, M.A.; Chauvin, N.A.; Jaramillo, D.; Davidson, R.; Horn, B.D.; Ho-Fung, V. Common Patterns of Congenital Lower Extremity Shortening: Diagnosis, Classification, and Follow-up. RadioGraphics 2015, 35, 1191–1207. [Google Scholar] [CrossRef]
- Bryant, D.D.; Epps, C.H. Proximal femoral focal deficiency: Evaluation and management. Orthopedics 1991, 14, 775–784. [Google Scholar] [CrossRef]
- Maldjian, C.; Patel, T.Y.; Klein, R.M.; Smith, R.C. Efficacy of MRI in classifying proximal focal femoral deficiency. Skeletal Radiol. 2007, 36, 215–220. [Google Scholar] [CrossRef]
- Sanpera, I.; Sparks, L.T. Proximal femoral focal deficiency: Does a radiologic classification exist? J. Pediatr. Orthop. 1994, 14, 34–38. [Google Scholar] [CrossRef]
- Nossov, S.B.; Hollin, I.L.; Phillips, J.; Franklin, C.C. Proximal Femoral Focal Deficiency/Congenital Femoral Deficiency: Evaluation and Management. J. Am. Acad. Orthop. Surg. 2022, 30, e899–e910. [Google Scholar] [CrossRef]
- Westberry, D.E.; Davids, J.R. Proximal focal femoral deficiency (PFFD): Management options and controversies. Hip Int. J. Clin. Exp. Res. Hip Pathol. Ther. 2009, 19 (Suppl. S6), S18–S25. [Google Scholar] [CrossRef]
- Sabry, A.O.; Galal, S.; Menshawey, R.; Menshawey, E.; Hegazy, M.; Farahat, M.; Nasr, N.; Boutros, Y.; Zakaria, Y.; El Barbary, H.; et al. Femoral Lengthening in Children with Congenital Femoral Deficiency: A Systematic Review. JBJS Rev. 2024, 12, e24. [Google Scholar] [CrossRef] [PubMed]
- Alman, B.A.; Krajbich, J.I.; Hubbard, S. Proximal femoral focal deficiency: Results of rotationplasty and Syme amputation. J. Bone Joint Surg. Am. 1995, 77, 1876–1882. [Google Scholar] [CrossRef] [PubMed]
- Aston, W.J.S.; Calder, P.R.; Baker, D.; Hartley, J.; Hill, R.A. Lengthening of the congenital short femur using the Ilizarov technique: A single-surgeon series. J. Bone Joint Surg. Br. 2009, 91, 962–967. [Google Scholar] [CrossRef] [PubMed]
- Black, S.R.; Kwon, M.S.; Cherkashin, A.M.; Samchukov, M.L.; Birch, J.G.; Jo, C.-H. Lengthening in Congenital Femoral Deficiency: A Comparison of Circular External Fixation and a Motorized Intramedullary Nail. J. Bone Joint Surg. Am. 2015, 97, 1432–1440. [Google Scholar] [CrossRef]
- Herzenberg, J.E.; Branfoot, T.; Paley, D.; Violante, F.H. Femoral nailing to treat fractures after lengthening for congenital femoral deficiency in young children. J. Pediatr. Orthop. Part B 2010, 19, 150–154. [Google Scholar] [CrossRef]
- Kowalczyk, B.; Kuźnik-Buziewicz, A. Outcomes and subjective assessment of rotation-plasty in patients with proximal femoral focal deficiency. J. Pediatr. Orthop. Part B 2018, 27, 503–509. [Google Scholar] [CrossRef]
- Westberry, D.E.; Carpenter, A.M.; Lee, M. Outcomes of knee arthrodesis in proximal femoral focal deficiency. J. Pediatr. Orthop. Part B 2021, 30, 250–256. [Google Scholar] [CrossRef]
- Chitty, L.S.; Altman, D.G. Charts of fetal size: Limb bones. BJOG Int. J. Obstet. Gynaecol. 2002, 109, 919–929. [Google Scholar] [CrossRef] [PubMed]
- Torode, I.P.; Gillespie, R. The classification and treatment of proximal femoral deficiencies. Prosthet. Orthot. Int. 1991, 15, 117–126. [Google Scholar] [CrossRef]
- Paley, D.; Shannon, C.E.; Miller, K.E. CFD: Congenital Femoral Deficiency; An orthopedic Surgeon’s Systematic Guide for the Diagnosis and Treatment of Congenital Femoral Deficiency in Children and Young Adults; Megastar Publishing Inc.: Wellington, HL, USA, 2023; ISBN 979-8-9895257-0-6. [Google Scholar]
- Dyer, P.J.; Davis, N. The role of the Pirani scoring system in the management of club foot by the Ponseti method. J. Bone Joint Surg. Br. 2006, 88, 1082–1084. [Google Scholar] [CrossRef]
- Morcuende, J.A.; Dolan, L.A.; Dietz, F.R.; Ponseti, I.V. Radical reduction in the rate of extensive corrective surgery for clubfoot using the Ponseti method. Pediatrics 2004, 113, 376–380. [Google Scholar] [CrossRef] [PubMed]
- Orendurff, M.S.; Raschke, S.U.; Winder, L.; Moe, D.; Boone, D.A.; Kobayashi, T. Functional level assessment of individuals with transtibial limb loss: Evaluation in the clinical setting versus objective community ambulatory activity. J. Rehabil. Assist. Technol. Eng. 2016, 3, 2055668316636316. [Google Scholar] [CrossRef] [PubMed]
- Lin, T.-H.; Chung, C.-H.; Shih, J.-C.; Lin, C.-H.; Lee, C.-N.; Su, Y.-N. Prenatal diagnosis of proximal femoral focal deficiency: A case report and literature review. Taiwan. J. Obstet. Gynecol. 2013, 52, 267–269. [Google Scholar] [CrossRef][Green Version]
- Chomiak, J.; Podškubka, A.; Dungl, P.; Ošt’ádal, M.; Frydrychová, M. Cruciate ligaments in proximal femoral focal deficiency: Arthroscopic assessment. J. Pediatr. Orthop. 2012, 32, 21–28. [Google Scholar] [CrossRef]
- Chawathe, V.S.; Gaur, A.K.; Athani, B.D.; Gupta, S. Proximal femoral focal deficiency associated with fibular duplication and diplopodia and complete agenesis of the tibia: A case report. J. Pediatr. Orthop. Part B 2017, 26, 358–361. [Google Scholar] [CrossRef]
- Özdemir, M.; Kavak, R.P.; Demiral, B.; Tangobay, E. Association of upper limb meromelia, proximal focal femoral deficiency, fibular hemimelia, and intermetatarsal coalition in a young adult male. Radiol. Case Rep. 2020, 15, 882–886. [Google Scholar] [CrossRef]
- D’Ambrosio, V.; Pasquali, G.; Squarcella, A.; Marcoccia, E.; De Filippis, A.; Gatto, S.; Camilla, A.; Pizzuti, A.; La Torre, R.; Giancotti, A. Prenatal diagnosis of proximal focal femoral deficiency: Literature review of prenatal sonographic findings. J. Clin. Ultrasound JCU 2016, 44, 252–259. [Google Scholar] [CrossRef] [PubMed]
- Kalaycioglu, A.; Aynaci, O. Proximal focal femoral deficiency, contralateral hip dysplasia in association with contralateral ulnar hypoplasia and clefthand: A case report and review of literatures of PFFD and/or FFU. Okajimas Folia Anat. Jpn. 2001, 78, 83–89. [Google Scholar] [CrossRef][Green Version]
- Chomiak, J.; Frydrychova, M.; Ošťádal, M.; Dungl, P. Ankle and foot deformities and malformations in proximal femoral focal deficiency. J. Child. Orthop. 2025, 19, 56–63. [Google Scholar] [CrossRef]
- Amstutz, H.C.; Wilson, P.D. Dysgenesis of the proximal femur (coxa vara) and its surgical management. J. Bone Joint Surg. Am. 1962, 44, 1–24. [Google Scholar] [CrossRef]
- Pappas, A.M. Congenital abnormalities of the femur and related lower extremity malformations: Classification and treatment. J. Pediatr. Orthop. 1983, 3, 45–60. [Google Scholar] [CrossRef] [PubMed]
- Paley, D. Surgical reconstruction for fibular hemimelia. J. Child. Orthop. 2016, 10, 557–583. [Google Scholar] [CrossRef] [PubMed]
- Lange, D.R.; Schoenecker, P.L.; Baker, C.L. Proximal femoral focal deficiency: Treatment and classification in forty-two cases. Clin. Orthop. 1978, 135, 15–25. [Google Scholar] [CrossRef]
- Proximal Femoral Focal Deficiency. Diagnostic Imaging. 12 September 2011. Available online: https://www.diagnosticimaging.com/view/proximal-femoral-focal-deficiency (accessed on 23 April 2025).
- Filly, A.L.; Robnett-Filly, B.; Filly, R.A. Syndromes with focal femoral deficiency: Strengths and weaknesses of prenatal sonography. J. Ultrasound Med. Off. J. Am. Inst. Ultrasound Med. 2004, 23, 1511–1516. [Google Scholar] [CrossRef]
- Bromley, B.; Henningsen, C.; Jones, D.C.; Timor-Tritsch, I.; Simpson, L.L.; Thiel, L. AIUM Practice Parameter for the Performance of Detailed Diagnostic Obstetric Ultrasound Examinations Between 12 Weeks 0 Days and 13 Weeks 6 Days. J. Ultrasound Med. Off. J. Am. Inst. Ultrasound Med. 2021, 40, E1–E16. [Google Scholar] [CrossRef]
- Mailath-Pokorny, M.; Timor-Tritsch, I.E.; Monteagudo, A.; Mittal, K.; Konno, F.; Santos, R. Prenatal diagnosis of unilateral proximal femoral focal deficiency at 19 weeks’ gestation: Case report and review of the literature. Ultrasound Obstet. Gynecol. Off. J. Int. Soc. Ultrasound Obstet. Gynecol. 2011, 38, 594–597. [Google Scholar] [CrossRef]
- Kudla, M.J.; Beczkowska-Kielek, A.; Kutta, K.; Partyka-Lasota, J. Proximal femoral focal deficiency of the fetus—Early 3D/4D prenatal ultrasound diagnosis. Med. Ultrason. 2016, 18, 397–399. [Google Scholar] [CrossRef]
- Radler, C.; Myers, A.K.; Hunter, R.J.; Arrabal, P.P.; Herzenberg, J.E. Prenatal diagnosis of congenital femoral deficiency and fibular hemimelia. Prenat. Diagn. 2014, 34, 940–945. [Google Scholar] [CrossRef]
- Biko, D.M.; Davidson, R.; Pena, A.; Jaramillo, D. Proximal focal femoral deficiency: Evaluation by MR imaging. Pediatr. Radiol. 2012, 42, 50–56. [Google Scholar] [CrossRef]
- Gill, K.G. Congenital musculoskeletal anomalies—Key radiographic findings. Pediatr. Radiol. 2022, 52, 777–785. [Google Scholar] [CrossRef]
- Calder, P.; Elsheikh, A.; Cross, G.; Thornton, M.; Wright, J.; Eastwood, D.; Sedki, I. Management of severe congenital femoral deficiency: Does surgical intervention enhance prosthetic function? Prosthet. Orthot. Int. 2024, 48, 149–157. [Google Scholar] [CrossRef] [PubMed]
- Floccari, L.V.; Jeans, K.A.; Herring, J.A.; Johnston, C.E.; Karol, L.A. Comparison of Outcomes by Reconstructive Strategy in Patients with Prostheses for Proximal Femoral Focal Deficiency. J. Bone Joint Surg. Am. 2021, 103, 1817–1825. [Google Scholar] [CrossRef] [PubMed]
- Ackman, J.; Altiok, H.; Flanagan, A.; Peer, M.; Graf, A.; Krzak, J.; Hassani, S.; Eastwood, D.; Harris, G.F. Long-term follow-up of Van Nes rotationplasty in patients with congenital proximal focal femoral deficiency. Bone Jt. J. 2013, 95, 192–198. [Google Scholar] [CrossRef] [PubMed]
- Dhawale, A.A.; Johari, A.N.; Nemade, A. Hip dislocation during lengthening of congenital short femur. J. Pediatr. Orthop. Part B 2012, 21, 240–247. [Google Scholar] [CrossRef]







| Aitken Class | Femoral Head Morphology | Acetabulum Morphology |
|---|---|---|
| A | Present and attached to shaft | Normal |
| B | Present but no osseous connection seen between femoral head and shaft at maturity | Moderately dysplastic but contains head |
| C | Absent or abnormally small and not attached to femoral shaft | Severely dysplastic |
| D | Absent without an ossified tuft capping the proximal femur | Absent |
| Gillespie–Torode Class | Femoral and Knee Morphology | Treatment Strategy |
|---|---|---|
| A |
|
|
| B |
|
|
| C |
|
|
Disclaimer/Publisher’s Note: The statements, opinions and data contained in all publications are solely those of the individual author(s) and contributor(s) and not of MDPI and/or the editor(s). MDPI and/or the editor(s) disclaim responsibility for any injury to people or property resulting from any ideas, methods, instructions or products referred to in the content. |
© 2025 by the authors. Licensee MDPI, Basel, Switzerland. This article is an open access article distributed under the terms and conditions of the Creative Commons Attribution (CC BY) license (https://creativecommons.org/licenses/by/4.0/).
Share and Cite
Llanes, A.C.; Venard, E.; Youn, S.; Van Tassel, D.; Goncalves, L.F.; Belthur, M.V. The Significance and Limitations of Pre- and Postnatal Imaging in the Diagnosis and Management of Proximal Focal Femoral Deficiency. Diagnostics 2025, 15, 1302. https://doi.org/10.3390/diagnostics15111302
Llanes AC, Venard E, Youn S, Van Tassel D, Goncalves LF, Belthur MV. The Significance and Limitations of Pre- and Postnatal Imaging in the Diagnosis and Management of Proximal Focal Femoral Deficiency. Diagnostics. 2025; 15(11):1302. https://doi.org/10.3390/diagnostics15111302
Chicago/Turabian StyleLlanes, Aaron C., Emma Venard, Sean Youn, Dane Van Tassel, Luis F. Goncalves, and Mohan V. Belthur. 2025. "The Significance and Limitations of Pre- and Postnatal Imaging in the Diagnosis and Management of Proximal Focal Femoral Deficiency" Diagnostics 15, no. 11: 1302. https://doi.org/10.3390/diagnostics15111302
APA StyleLlanes, A. C., Venard, E., Youn, S., Van Tassel, D., Goncalves, L. F., & Belthur, M. V. (2025). The Significance and Limitations of Pre- and Postnatal Imaging in the Diagnosis and Management of Proximal Focal Femoral Deficiency. Diagnostics, 15(11), 1302. https://doi.org/10.3390/diagnostics15111302

