Utility of CT Radiomics and Delta Radiomics for Survival Evaluation in Locally Advanced Nasopharyngeal Carcinoma with Concurrent Chemoradiotherapy
Abstract
1. Introduction
2. Materials and Methods
2.1. Patient Characteristics
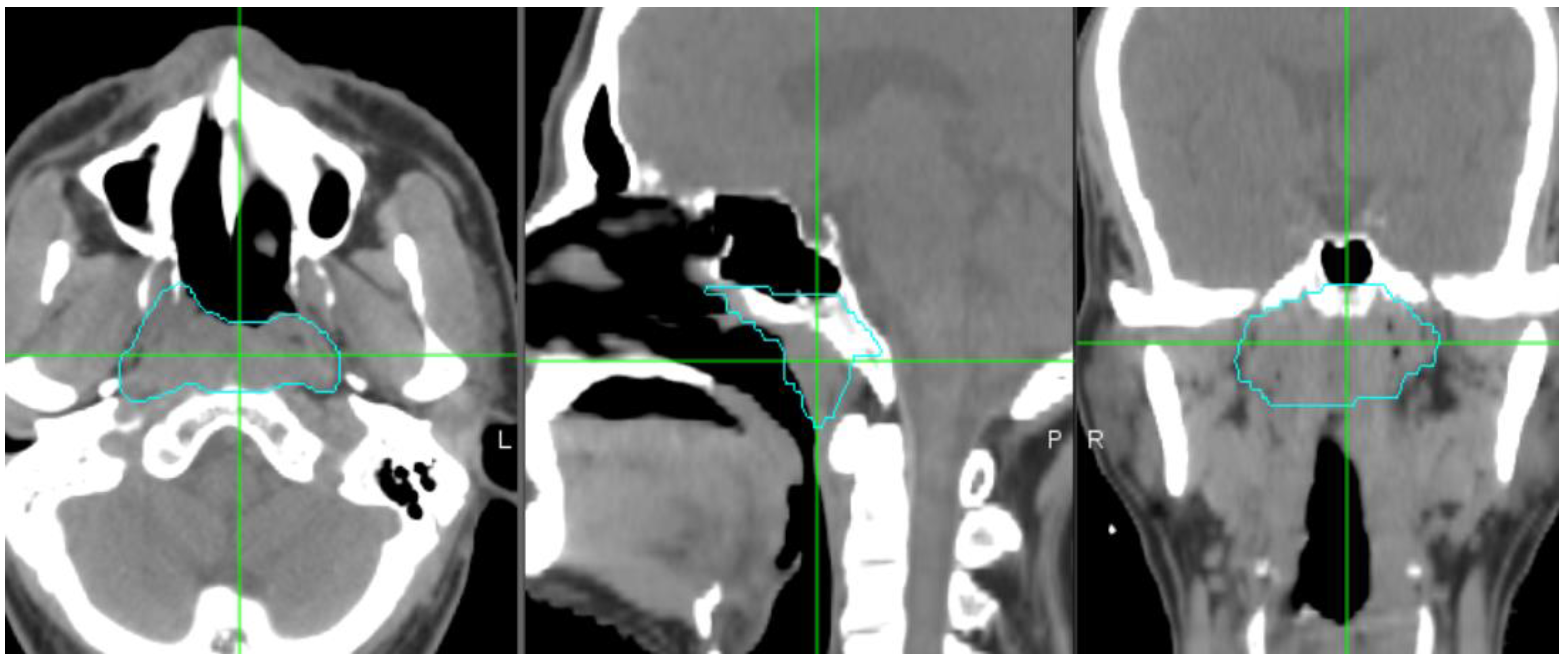
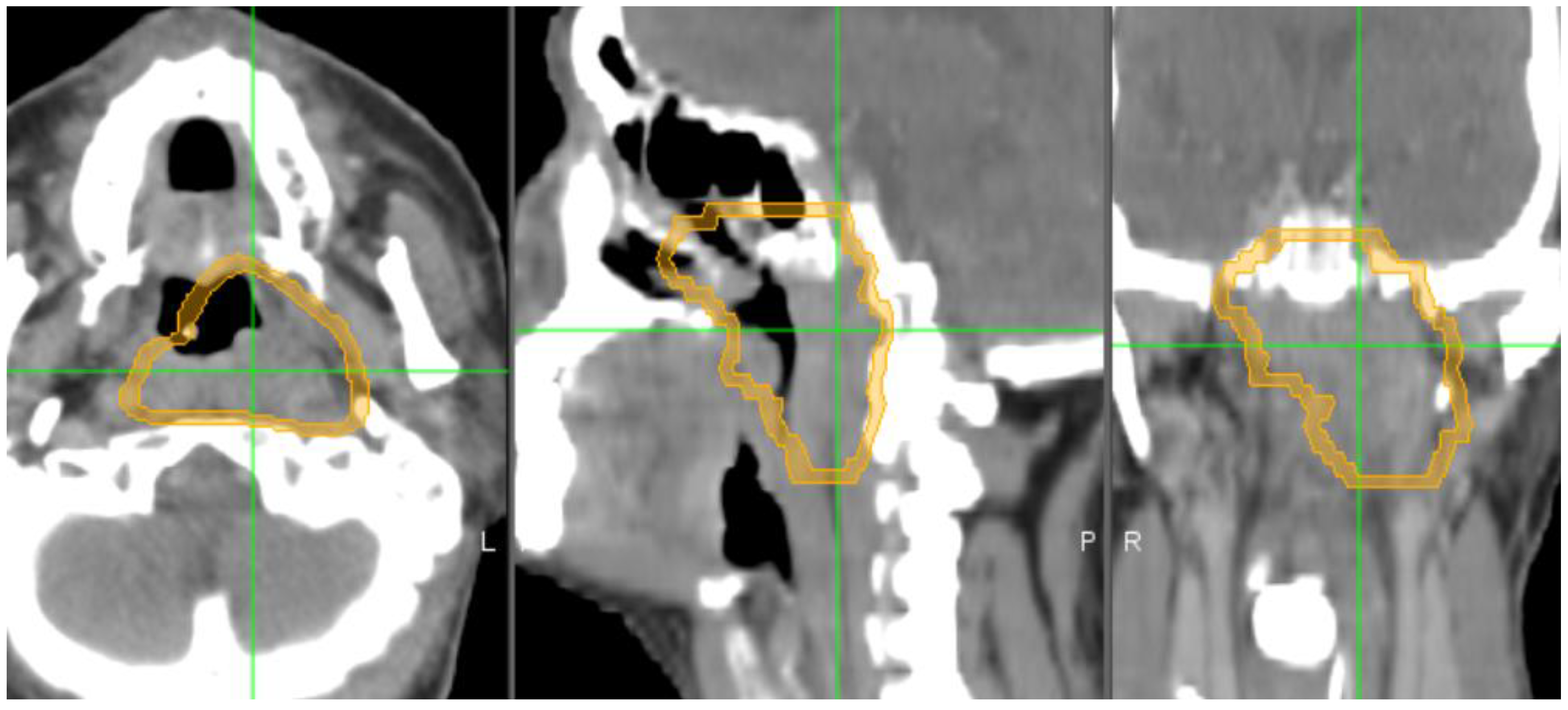
2.2. Target Delineation and Segmentation
2.3. Radiomic and Delta Radiomic Features
2.4. Statistical Analysis
3. Results
4. Discussion
5. Conclusions
Author Contributions
Funding
Institutional Review Board Statement
Informed Consent Statement
Data Availability Statement
Acknowledgments
Conflicts of Interest
Abbreviations
References
- Bray, F.; Ferlay, J.; Soerjomataram, I.; Siegel, R.L.; Torre, L.A.; Jemal, A. Global cancer statistics 2018: GLOBOCAN estimates of incidence and mortality worldwide for 36 cancers in 185 countries. CA Cancer J. Clin. 2018, 68, 394–424. [Google Scholar] [CrossRef] [PubMed]
- Chen, Y.P.; Chan, A.T.C.; Le, Q.T.; Blanchard, P.; Sun, Y.; Ma, J. Nasopharyngeal carcinoma. Lancet 2019, 394, 64–80. [Google Scholar] [CrossRef]
- Tao, Q.; Chan, A.T.C. Nasopharyngeal carcinoma: Molecular pathogenesis and therapeutic developments. Expert Rev. Mol. Med. 2007, 9, 1–24. [Google Scholar] [CrossRef]
- Wong, A.J.; Kanwar, A.; Mohamed, A.S.; Fuller, C.D. Radiomics in head and neck cancer: From exploration to application. Transl. Cancer Res. 2016, 5, 371–382. [Google Scholar] [CrossRef] [PubMed]
- Kataria, T.; Mishra, S.R.; Gupta, D.; Goyal, S.; Bisht, S.S.; Malik, A.; Abhishek, A.; Banerjee, S.; Narang, K.; Basu, T.; et al. Modulated radiotherapy for head and neck carcinomas: An outcome study. J. Radiother. Pract. 2018, 17, 384–389. [Google Scholar] [CrossRef]
- Wu, L.; Li, C.; Pan, L. Nasopharyngeal carcinoma: A review of current updates. Exp. Ther. Med. 2018, 15, 3687–3692. [Google Scholar] [CrossRef]
- Aerts, H.J.W.L.; Velazquez, E.R.; Leijenaar, R.T.H.; Parmar, C.; Grossmann, P.; Cavalho, S.; Bussink, J.; Monshouwer, R.; Haibe-Kains, B.; Rietveld, D.; et al. Decoding tumour phenotype by noninvasive imaging using a quantitative radiomics approach. Nat. Commun. 2014, 5, 4006. [Google Scholar] [CrossRef]
- Li, Q.; Yu, Q.; Gong, B.; Ning, Y.; Chen, X.; Gu, J.; Lv, F.; Peng, J.; Luo, T. The Effect of Magnetic Resonance Imaging Based Radiomics Models in Discriminating stage I–II and III–IVa Nasopharyngeal Carcinoma. Diagnostics 2023, 13, 300. [Google Scholar] [CrossRef]
- Li, S.; Deng, Y.Q.; Zhu, Z.L.; Hua, H.L.; Tao, Z.Z. A comprehensive review on radiomics and deep learning for nasopharyngeal carcinoma imaging. Diagnostics 2021, 11, 1523. [Google Scholar] [CrossRef]
- Tran, V.T.; Tu, S.J.; Tseng, J.R. 68Ga-PSMA-11 PET/CT Features Extracted from Different Radiomic Zones Predict Response to Androgen Deprivation Therapy in Patients with Advanced Prostate Cancer. Cancers 2022, 14, 4838. [Google Scholar] [CrossRef]
- Tu, S.J.; Tran, V.T.; Teo, J.M.; Chong, W.C.; Tseng, J.R. Utility of radiomic zones for risk classification and clinical outcome predictions using supervised machine learning during simultaneous 11C-choline PET/MRI acquisition in prostate cancer patients. Med. Phys. 2021, 48, 5192–5201. [Google Scholar] [CrossRef] [PubMed]
- Tu, S.J.; Wang, C.W.; Pan, K.T.; Wu, Y.C.; Wu, C.T. Localized thin-section CT with radiomics feature extraction and machine learning to classify early-detected pulmonary nodules from lung cancer screening. Phys. Med. Biol. 2018, 63, 065005. [Google Scholar] [CrossRef] [PubMed]
- Tunali, I.; Tan, Y.; Gray, J.E.; Katsoulakis, E.; Eschrich, S.A.; Saller, J.; Aerts, H.J.W.L.; Boyle, T.; Qi, J.; Guvenis, A.; et al. Hypoxia-Related Radiomics and Immunotherapy Response: A Multicohort Study of Non-Small Cell Lung Cancer. JNCI Cancer Spectr. 2021, 5, pkab048. [Google Scholar] [CrossRef] [PubMed]
- Ganeshan, B.; Goh, V.; Mandeville, H.C.; Ng, Q.S.; Hoskin, P.J.; Miles, K.A. Non-small cell lung cancer: Histopathologic correlates for texture parameters at CT. Radiology 2013, 266, 326–336. [Google Scholar] [CrossRef] [PubMed]
- Vallières, M.; Kay-Rivest, E.; Perrin, L.J.; Liem, X.; Furstoss, C.; Aerts, H.J.W.L.; Khaouam, N.; Nguyen-Tan, P.F.; Wang, C.S.; Sultanem, K.; et al. Radiomics strategies for risk assessment of tumour failure in head-and-neck cancer. Sci. Rep. 2017, 7, 10117. [Google Scholar] [CrossRef] [PubMed]
- Liu, Z.; Wang, S.; Dong, D.; Wei, J.; Fang, C.; Zhou, X.; Sun, K.; Li, L.; Li, B.; Wang, M.; et al. The Applications of Radiomics in Precision Diagnosis and Treatment of Oncology: Opportunities and Challenges. Theranostics 2019, 9, 1303–1322. [Google Scholar] [CrossRef]
- Morin, O.; Vallières, M.; Jochems, A.; Woodruff, H.C.; Valdes, G.; Braunstein, S.E.; Wildberger, J.E.; Villanueva-Meyer, J.E.; Kearney, V.; Yom, S.S.; et al. A Deep Look Into the Future of Quantitative Imaging in Oncology: A Statement of Working Principles and Proposal for Change. Int. J. Radiat. Oncol. Biol. Phys. 2018, 102, 1074–1082. [Google Scholar] [CrossRef] [PubMed]
- Sala, E.; Mema, E.; Himoto, Y.; Veeraraghavan, H.; Brenton, J.D.; Snyder, A.; Weigelt, B.; Vargas, H.A. Unravelling tumour heterogeneity using next-generation imaging: Radiomics, radiogenomics, and habitat imaging. Clin. Radiol. 2017, 72, 3–10. [Google Scholar] [CrossRef] [PubMed]
- Wu, J.; Tha, K.K.; Xing, L.; Li, R. Radiomics and radiogenomics for precision radiotherapy. J. Radiat. Res. 2018, 59, i25–i31. [Google Scholar] [CrossRef]
- Fave, X.; Zhang, L.; Yang, J.; MacKin, D.; Balter, P.; Gomez, D.; Followill, D.; Jones, A.K.; Stingo, F.; Liao, Z.; et al. Delta-radiomics features for the prediction of patient outcomes in non-small cell lung cancer. Sci. Rep. 2017, 7, 588. [Google Scholar] [CrossRef]
- Feng, Q.; Liang, J.; Wang, L.; Ge, X.; Ding, Z.; Wu, H. A diagnosis model in nasopharyngeal carcinoma based on PET/MRI radiomics and semiquantitative parameters. BMC Med. Imaging 2022, 22, 150. [Google Scholar] [CrossRef]
- Ritlumlert, N.; Wongwattananard, S.; Prayongrat, A.; Oonsiri, S.; Kitpanit, S.; Kannarunimit, D.; Chakkabat, C.; Lertbutsayanukul, C.; Sriswasdi, S.; Rakvongthai, Y. Improved prediction of radiation-induced hypothyroidism in nasopharyngeal carcinoma using pre-treatment CT radiomics. Sci. Rep. 2023, 13, 17437. [Google Scholar] [CrossRef] [PubMed]
- Zhang, Y.M.; Gong, G.Z.; Qiu, Q.T.; Han, Y.W.; Lu, H.M.; Yin, Y. Radiomics for Diagnosis and Radiotherapy of Nasopharyngeal Carcinoma. Front. Oncol. 2022, 11, 767134. [Google Scholar] [CrossRef] [PubMed]
- Balkwill, F.R.; Capasso, M.; Hagemann, T. The tumor microenvironment at a glance. J. Cell Sci. 2012, 125, 5591–5596. [Google Scholar] [CrossRef] [PubMed]
- Wang, M.; Zhao, J.; Zhang, L.; Wei, F.; Lian, Y.; Wu, Y.; Gong, Z.; Zhang, S.; Zhou, J.; Cao, K.; et al. Role of tumor microenvironment in tumorigenesis. J. Cancer 2017, 8, 761–773. [Google Scholar] [CrossRef] [PubMed]
- Laplane, L.; Duluc, D.; Larmonier, N.; Pradeu, T.; Bikfalvi, A. The Multiple Layers of the Tumor Environment. Trends Cancer 2018, 4, 802–809. [Google Scholar] [CrossRef] [PubMed]
- Zhou, J.; Lu, J.; Gao, C.; Zeng, J.; Zhou, C.; Lai, X.; Cai, W.; Xu, M. Predicting the response to neoadjuvant chemotherapy for breast cancer: Wavelet transforming radiomics in MRI. BMC Cancer 2020, 20, 100. [Google Scholar] [CrossRef] [PubMed]
- Beig, N.; Khorrami, M.; Alilou, M.; Prasanna, P.; Braman, N.; Orooji, M.; Rakshit, S.; Bera, K.; Rajiah, P.; Ginsberg, J.; et al. Perinodular and Intranodular Radiomic Features on Lung CT Images Distinguish Adenocarcinomas from Granulomas. Radiology 2019, 290, 783–792. [Google Scholar] [CrossRef] [PubMed]
- Ger, R.B.; Zhou, S.; Chi, P.C.M.; Lee, H.J.; Layman, R.R.; Jones, A.K.; Goff, D.L.; Fuller, C.D.; Howell, R.M.; Li, H.; et al. Comprehensive Investigation on Controlling for CT Imaging Variabilities in Radiomics Studies. Sci. Rep. 2018, 8, 13047. [Google Scholar] [CrossRef]
- Uthoff, J.; Stephens, M.J.; Newell, J.D., Jr.; Hoffman, E.A.; Larson, J.; Koehn, N.; De Stefano, F.A.; Lusk, C.M.; Wenzlaff, A.S.; Watza, D.; et al. Machine learning approach for distinguishing malignant and benign lung nodules utilizing standardized perinodular parenchymal features from CT. Med. Phys. 2019, 46, 3207–3216. [Google Scholar] [CrossRef]
- Zhang, L.; Fried, D.V.; Fave, X.J.; Hunter, L.A.; Yang, J.; Court, L.E. Ibex: An open infrastructure software platform to facilitate collaborative work in radiomics. Med. Phys. 2015, 42, 1341–1353. [Google Scholar] [CrossRef] [PubMed]
- Uno, H.; Cai, T.; Pencina, M.J.; D’Agostino, R.B.; Wei, L.J. On the C-statistics for evaluating overall adequacy of risk prediction procedures with censored survival data. Stat. Med. 2011, 30, 1105–1117. [Google Scholar] [CrossRef] [PubMed]
- Mutic, S.; Palta, J.R.; Butker, E.K.; Das, I.J.; Huq, M.S.; Loo, L.N.D.; Salter, B.J.; McCollough, C.H.; Van Dyk, J. Quality assurance for computed-tomography simulators and the computed-tomography-simulation process: Report of the AAPM Radiation Therapy Committee Task Group No. 66. Med. Phys. 2003, 30, 2762–2792. [Google Scholar] [CrossRef] [PubMed]








| Patient Characteristics | ||
|---|---|---|
| Gender | N | % |
| Male | 38 | 76 |
| Female | 12 | 24 |
| Age (years) | ||
| Median | 57.5 | |
| Range | 21.5–76.9 | |
| Overall stage | ||
| III | 25 | 50 |
| IVA | 14 | 28 |
| IVB | 11 | 22 |
| T stage | ||
| T1 | 11 | 22 |
| T2 | 4 | 8 |
| T2a | 2 | 4 |
| T3 | 17 | 34 |
| T4 | 16 | 32 |
| N stage | ||
| N0 | 2 | 4 |
| N1 | 14 | 28 |
| N2 | 23 | 46 |
| N3 | 2 | 4 |
| N3a | 1 | 2 |
| N3b | 8 | 16 |
| Treatment dose (Gy) | ||
| Median | 72 | |
| Range | 70–76 | |
| Time between CT1 and CT2 (days) Median | 23 | |
| OS | LRFS | PFS | |
|---|---|---|---|
| Clinical factors | 0.729 | 0.654 | 0.622 |
| GTVt model | OS | LRFS | PFS |
| CT1 | 0.720 | 0.813 | 0.718 |
| Delta | 0.843 * | 0.833 * | 0.872 * |
| GTVp model | OS | LRFS | PFS |
| CT1 | 0.739 | 0.747 | 0.741 |
| Delta | 0.799 | 0.808 | 0.834 |
| OS | LRFS | PFS | |
|---|---|---|---|
| GTVt | Compactness1 | Kurtosis | Compactness1 |
| GlobalStd | ClusterTendendcy | MeanBreadth | |
| LocalStdMax | Orientation | ||
| ClusterTendendcy | Quantile975 | ||
| ClusterTendendcy | |||
| Correlation | |||
| GTVt Delta | LowGrayLevelRunEmpha | ConvexHullVolume3D | Convex |
| LocalEntropyStd | RunPercentage | Roundness | |
| Quantile975 | Quantile975 | HighGrayLevelRunEmpha | |
| Coarseness | Coarseness | GlobalMin | |
| Contrast | AutoCorrelation | Quantile975 | |
| Correlation | Variance | InverseDiffMomentNorm | |
| Dissimilarity | Variance | ||
| SumAverage | |||
| Variance | |||
| GTVp | Percentile80 | Percentile80 | Percentile80 |
| MaxProbability | MaxProbability | MaxProbability | |
| SumVariance | |||
| GTVp Delta | LocalEntropyStd | Convex | Orientation |
| Percentile1 | LocalRangeMean | LocalEntropyMax | |
| ClusterShade | LocalRangeMin | LocalEntropyStd | |
| ClusterTendendcy | LocalStdMin | LocalRangeMin | |
| Homogeneity2 | Contrast | LocalStdMin | |
| InverseVariance | Correlation | Percentile50 | |
| MaxProbability | DifferenceEntropy | Homogeneity2 | |
| InverseVariance | MaxProbability | ||
| MaxProbability | |||
| SumEntropy |
Disclaimer/Publisher’s Note: The statements, opinions and data contained in all publications are solely those of the individual author(s) and contributor(s) and not of MDPI and/or the editor(s). MDPI and/or the editor(s) disclaim responsibility for any injury to people or property resulting from any ideas, methods, instructions or products referred to in the content. |
© 2024 by the authors. Licensee MDPI, Basel, Switzerland. This article is an open access article distributed under the terms and conditions of the Creative Commons Attribution (CC BY) license (https://creativecommons.org/licenses/by/4.0/).
Share and Cite
Huang, Y.-C.; Huang, S.-M.; Yeh, J.-H.; Chang, T.-C.; Tsan, D.-L.; Lin, C.-Y.; Tu, S.-J. Utility of CT Radiomics and Delta Radiomics for Survival Evaluation in Locally Advanced Nasopharyngeal Carcinoma with Concurrent Chemoradiotherapy. Diagnostics 2024, 14, 941. https://doi.org/10.3390/diagnostics14090941
Huang Y-C, Huang S-M, Yeh J-H, Chang T-C, Tsan D-L, Lin C-Y, Tu S-J. Utility of CT Radiomics and Delta Radiomics for Survival Evaluation in Locally Advanced Nasopharyngeal Carcinoma with Concurrent Chemoradiotherapy. Diagnostics. 2024; 14(9):941. https://doi.org/10.3390/diagnostics14090941
Chicago/Turabian StyleHuang, Yen-Cho, Shih-Ming Huang, Jih-Hsiang Yeh, Tung-Chieh Chang, Din-Li Tsan, Chien-Yu Lin, and Shu-Ju Tu. 2024. "Utility of CT Radiomics and Delta Radiomics for Survival Evaluation in Locally Advanced Nasopharyngeal Carcinoma with Concurrent Chemoradiotherapy" Diagnostics 14, no. 9: 941. https://doi.org/10.3390/diagnostics14090941
APA StyleHuang, Y.-C., Huang, S.-M., Yeh, J.-H., Chang, T.-C., Tsan, D.-L., Lin, C.-Y., & Tu, S.-J. (2024). Utility of CT Radiomics and Delta Radiomics for Survival Evaluation in Locally Advanced Nasopharyngeal Carcinoma with Concurrent Chemoradiotherapy. Diagnostics, 14(9), 941. https://doi.org/10.3390/diagnostics14090941

