Osteochondritis Dissecans of the Elbow in Overhead Athletes: A Comprehensive Narrative Review
Abstract
1. Introduction
2. Elbow Development and Biomechanics
3. Epidemiology and Etiology of Elbow OCD
3.1. Epidemiology
3.2. Etiology
4. Clinical Presentation
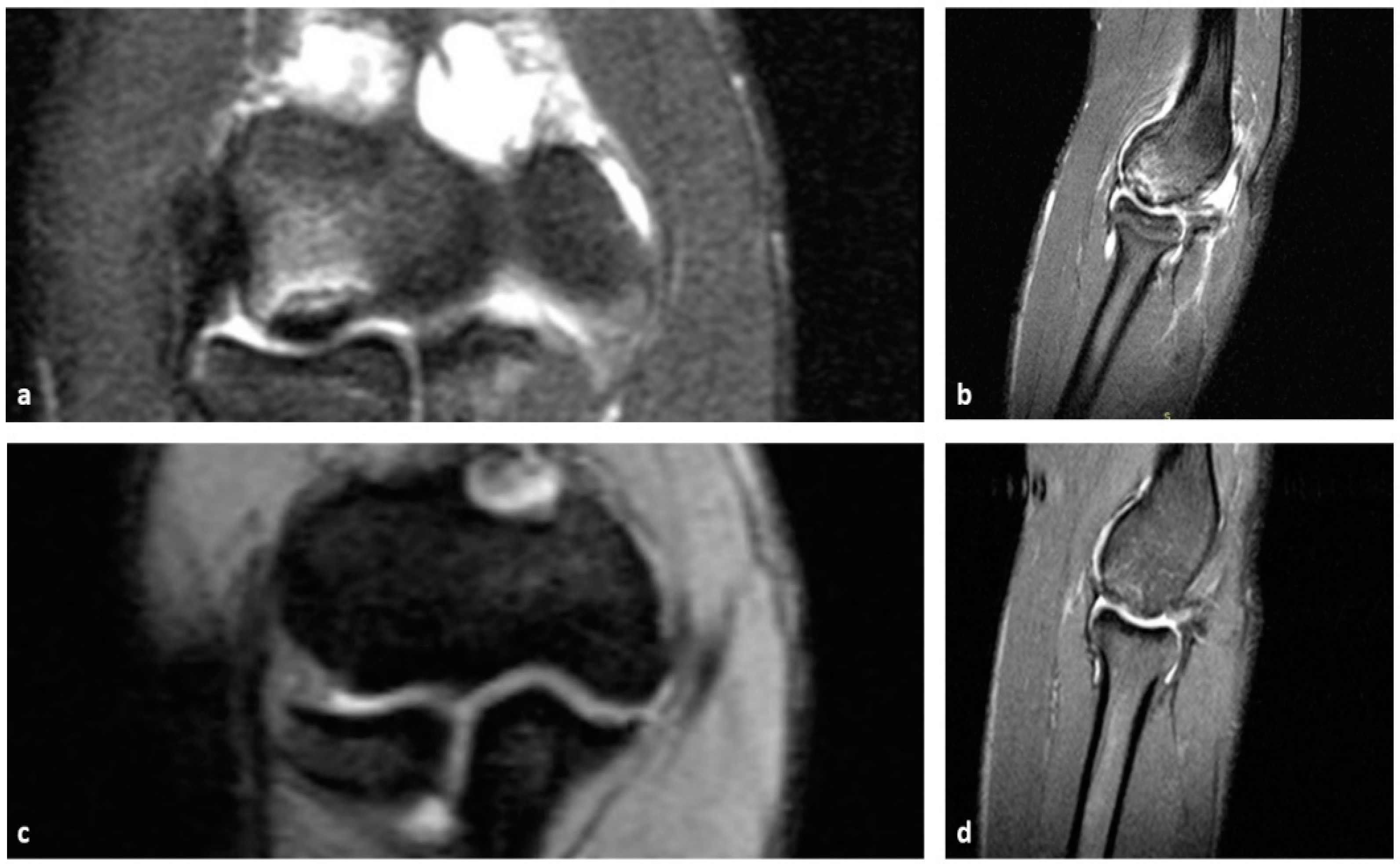
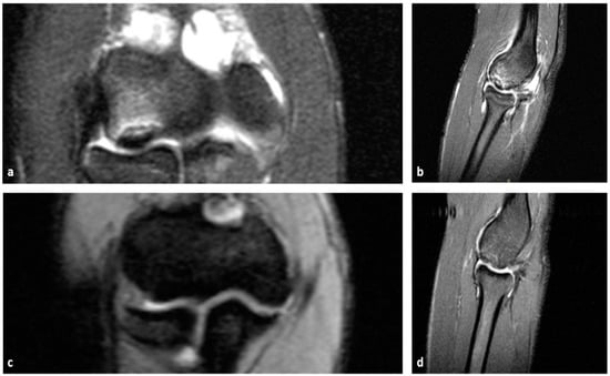
5. Imaging
6. Differential Diagnosis
7. Treatment and Outcome
7.1. Trochlear OCD
7.2. Capitellar OCD
7.2.1. Conservative Treatment
7.2.2. Surgical Treatment
7.2.3. Bone Marrow Stimulation
7.2.4. Fixation of the Osteochondral Fragment
7.2.5. OAT
7.2.6. ACI
7.2.7. Allograft
8. Rehabilitation
9. Conclusions
Author Contributions
Funding
Data Availability Statement
Conflicts of Interest
References
- Watkins, R.A.; De Borja, C.; Ramirez, F. Common Upper Extremity Injuries in Pediatric Athletes. Curr. Rev. Musculoskelet. Med. 2022, 15, 465–473. [Google Scholar] [CrossRef] [PubMed]
- Maffulli, N.; Longo, U.G.; Gougoulias, N.; Caine, D.; Denaro, V. Sport Injuries: A Review of Outcomes. Br. Med. Bull. 2011, 97, 47–80. [Google Scholar] [CrossRef] [PubMed]
- Zaremski, J.L.; Zeppieri, G.; Tripp, B.L. Injury Prevention Considerations in Adolescent Overhead-Throwing Athletes. Curr. Phys. Med. Rehabil. Rep. 2019, 7, 216–226. [Google Scholar] [CrossRef]
- Pluim, B.M. Tennis Injuries: Occurrence, Aetiology, and Prevention. Br. J. Sports Med. 2006, 40, 415–423. [Google Scholar] [CrossRef]
- Cohen, D.; Kay, J.; Memon, M.; Slawaska-Eng, D.; Simunovic, N.; Ayeni, O.R. A High Rate of Children and Adolescents Return to Sport after Surgical Treatment of Osteochondritis Dissecans of the Elbow: A Systematic Review and Meta-Analysis. Knee Surg. Sports Traumatol. Arthrosc. 2021, 29, 4041–4066. [Google Scholar] [CrossRef] [PubMed]
- Smucny, M.; Kolmodin, J.; Saluan, P. Shoulder and Elbow Injuries in the Adolescent Athlete. Sports Med. Arthrosc. Rev. 2016, 24, 188–194. [Google Scholar] [CrossRef]
- Beck, J.J.; Richmond, C.G.; Tompkins, M.A.; Heyer, A.; Shea, K.G.; Cruz, A.I. What’s New in Pediatric Upper Extremity Sports Injuries? J. Pediatr. Orthop. 2018, 38, e73–e77. [Google Scholar] [CrossRef] [PubMed]
- Kohyama, S.; Ogawa, T.; Mamizuka, N.; Hara, Y.; Yamazaki, M. A Magnetic Resonance Imaging–Based Staging System for Osteochondritis Dissecans of the Elbow: A Validation Study Against the International Cartilage Repair Society Classification. Orthop. J. Sports Med. 2018, 6, 232596711879462. [Google Scholar] [CrossRef]
- Churchill, R.W.; Munoz, J.; Ahmad, C.S. Osteochondritis Dissecans of the Elbow. Curr. Rev. Musculoskelet. Med. 2016, 9, 232–239. [Google Scholar] [CrossRef]
- Logli, A.L.; Bernard, C.D.; O’Driscoll, S.W.; Sanchez-Sotelo, J.; Morrey, M.E.; Krych, A.J.; Camp, C.L. Osteochondritis Dissecans Lesions of the Capitellum in Overhead Athletes: A Review of Current Evidence and Proposed Treatment Algorithm. Curr. Rev. Musculoskelet. Med. 2019, 12, 1–12. [Google Scholar] [CrossRef]
- Hu, H.; Zhang, C.; Chen, J.; Li, P.; Zhang, X.; Deng, Z.; Du, Y. Clinical Value of MRI in Assessing the Stability of Osteochondritis Dissecans Lesions: A Systematic Review and Meta-Analysis. AJR Am. J. Roentgenol. 2019, 213, 147–154. [Google Scholar] [CrossRef] [PubMed]
- Logli, A.L.; Leland, D.P.; Bernard, C.D.; Sanchez-Sotelo, J.; Morrey, M.E.; O’Driscoll, S.W.; Krych, A.J.; Wang, Z.; Camp, C.L. Capitellar Osteochondritis Dissecans Lesions of the Elbow: A Systematic Review of Osteochondral Graft Reconstruction Options. Arthroscopy 2020, 36, 1747–1764. [Google Scholar] [CrossRef] [PubMed]
- Dee, D.T.; Hung, V.T.; Schamblin, C.J.; Lupica, G.M.; Hitchens, H.R.; McGarry, M.H.; Lee, T.Q. Radiocapitellar Contact Characteristics After Osteochondral Defect Repair Using a Novel Hybrid Reconstructive Procedure. Orthop. J. Sports Med. 2022, 10, 23259671221083582. [Google Scholar] [CrossRef] [PubMed]
- Powell, G.M.; Murthy, N.S.; Johnson, A.C. Radiographic and MRI Assessment of the Thrower’s Elbow. Curr. Rev. Musculoskelet. Med. 2021, 14, 214–223. [Google Scholar] [CrossRef] [PubMed]
- Kramer, D.E. Elbow Pain and Injury in Young Athletes. J. Pediatr. Orthop. 2010, 30, S7–S12. [Google Scholar] [CrossRef]
- Patel, H.; Lala, S.; Helfner, B.; Wong, T.T. Tennis Overuse Injuries in the Upper Extremity. Skeletal. Radiol. 2021, 50, 629–644. [Google Scholar] [CrossRef]
- Ouellette, H.; Kassarjian, A.; Tétreault, P.; Palmer, W. Imaging of the overhead throwing athlete. Semin. Musculoskelet. Radiol. 2005, 9, 316–333. [Google Scholar] [CrossRef] [PubMed][Green Version]
- Matsuura, T.; Suzue, N.; Kashiwaguchi, S.; Arisawa, K.; Yasui, N. Elbow Injuries in Youth Baseball Players Without Prior Elbow Pain: A 1-Year Prospective Study. Orthop. J. Sports Med. 2013, 1, 232596711350994. [Google Scholar] [CrossRef]
- Tisano, B.K.; Estes, A.R. Overuse Injuries of the Pediatric and Adolescent Throwing Athlete. Med. Sci. Sports Exerc. 2016, 48, 1898–1905. [Google Scholar] [CrossRef]
- Anderson, M.W.; Alford, B.A. Overhead Throwing Injuries of the Shoulder and Elbow. Radiol. Clin. N. Am. 2010, 48, 1137–1154. [Google Scholar] [CrossRef]
- Bruns, J.; Werner, M.; Habermann, C.R. Osteochondritis Dissecans of Smaller Joints: The Elbow. Cartilage 2021, 12, 407–417. [Google Scholar] [CrossRef]
- Collins, M.S.; Tiegs-Heiden, C.A. Osteochondral Lesions of the Lateral Trochlear Ridge: A Rare, Subtle but Important Finding on Advanced Imaging in Patients with Elbow Pain. Skeletal. Radiol. 2020, 49, 593–599. [Google Scholar] [CrossRef] [PubMed]
- Wang, K.K.; Williams, K.; Bae, D.S. Early Radiographic Healing and Functional Results After Autologous Osteochondral Grafting for Osteochondritis Dissecans of the Capitellum: Introduction of a New Magnetic Resonance Imaging–Based Scoring System. Am. J. Sports Med. 2020, 48, 966–973. [Google Scholar] [CrossRef] [PubMed]
- Uvodich, M.E.; Braig, Z.V.; Reinholz, A.K.; Till, S.E.; O’Driscoll, S.W.; Morrey, M.E.; Sanchez-Sotelo, J.; Camp, C.L. Incidence and Epidemiology of Symptomatic Capitellar Osteochondritis Dissecans of the Elbow: A United States Population–Based Study Over a 25-Year Period. Orthop. J. Sports Med. 2022, 10, 232596712211359. [Google Scholar] [CrossRef]
- Takahara, M.; Uno, T.; Maruyama, M.; Harada, M.; Satake, H.; Takahara, D.; Takagi, M. Staging of Osteochondritis Dissecans of the Elbow Based on Pathologic Progression in the Partially Detached Articular Fragment. J. Shoulder Elb. Surg. 2022, 31, 391–401. [Google Scholar] [CrossRef] [PubMed]
- Michelin, R.M.; Gornick, B.R.; Schlechter, J.A. Adolescent Athletes Achieve High Levels of Athletic and Daily Function After Arthroscopic Marrow Stimulation for Elbow Capitellar Osteochondritis Dissecans. Arthrosc. Sports Med. Rehabil. 2022, 4, e1985–e1992. [Google Scholar] [CrossRef]
- Wang, K.K.; Bixby, S.D.; Bae, D.S. Osteochondritis Dissecans of the Humeral Trochlea: Characterization of a Rare Disorder Based on 28 Cases. Am. J. Sports Med. 2019, 47, 2167–2173. [Google Scholar] [CrossRef] [PubMed]
- Micheloni, G.M.; Tarallo, L.; Negri, A.; Giorgini, A.; Merolla, G.; Porcellini, G. Pediatric Elbow Arthroscopy: Clinical Outcomes and Complications after Long-Term Follow-Up. J. Orthop. Traumatol. 2021, 22, 55. [Google Scholar] [CrossRef]
- Nishinaka, N.; Tsutsui, H.; Yamaguchi, K.; Uehara, T.; Nagai, S.; Atsumi, T. Costal Osteochondral Autograft for Reconstruction of Advanced-Stage Osteochondritis Dissecans of the Capitellum. J. Shoulder Elb. Surg. 2014, 23, 1888–1897. [Google Scholar] [CrossRef]
- Bizzoca, D.; Moretti, L.; Rifino, F.; Dibello, D.; Moretti, B. Upper Limb Injures in Young Athletes. Minerva Orthop. 2021, 72, 84–92. [Google Scholar] [CrossRef]
- Chauvin, N.A.; Gustas-French, C.N. Magnetic Resonance Imaging of Elbow Injuries in Children. Pediatr. Radiol. 2019, 49, 1629–1642. [Google Scholar] [CrossRef] [PubMed]
- Rotman, D.; Kwak, J.-M.; Rojas Lievano, J.; Hooke, A.; Camp, C.L.; Fitzsimmons, J.S.; O’Driscoll, S.W. Radial Head Lag: A Possible Biomechanical Mechanism for Osteochondritis Dissecans of the Capitellum in Baseball Pitchers. Am. J. Sports Med. 2021, 49, 3226–3233. [Google Scholar] [CrossRef] [PubMed]
- Gadinsky, N.E.; O’Brien, M.J. Osteochondritis Dissecans of the Capitellum: Management in the Throwing Athlete. Oper. Tech. Sports Med. 2020, 28, 150734. [Google Scholar] [CrossRef]
- Wang, Q. Baseball and Softball Injuries. Curr. Sports Med. Rep. 2006, 5, 115–119. [Google Scholar] [CrossRef] [PubMed]
- Malik, S.S.; Rasodivic, D.; Saeed, A.; Jordan, R.W.; Maclean, S.; I Bain, G. Management of Osteochondritis Dissecans (OCD) of the Elbow Trochlea in the Adolescent Population: A Systematic Review. Shoulder Elbow 2022, 14, 415–425. [Google Scholar] [CrossRef] [PubMed]
- Kamei, K.; Sasaki, N.; Sasaki, E.; Sasaki, S.; Kimura, Y.; Maeda, S.; Yamamoto, Y.; Ishibashi, Y. Association Between Osteochondritis Dissecans of the Humeral Capitellum and Medial Epicondyle Lesion in Baseball Players. Orthop. J. Sports Med. 2021, 9, 232596712110077. [Google Scholar] [CrossRef] [PubMed]
- Iwasaki, N.; Kamishima, T.; Kato, H.; Funakoshi, T.; Minami, A. A Retrospective Evaluation of Magnetic Resonance Imaging Effectiveness on Capitellar Osteochondritis Dissecans Among Overhead Athletes. Am. J. Sports Med. 2012, 40, 624–630. [Google Scholar] [CrossRef] [PubMed]
- Bexkens, R.; Oosterhoff, J.H.; Tsai, T.-Y.; Doornberg, J.N.; Van Den Bekerom, M.P.J.; Eygendaal, D.; Oh, L.S. Osteochondritis Dissecans of the Capitellum: Lesion Size and Pattern Analysis Using Quantitative 3-Dimensional Computed Tomography and Mapping Technique. J. Shoulder Elb. Surg. 2017, 26, 1629–1635. [Google Scholar] [CrossRef] [PubMed]
- Funakoshi, T.; Momma, D.; Matsui, Y.; Kamishima, T.; Matsui, Y.; Kawamura, D.; Nagano, Y.; Iwasaki, N. Autologous Osteochondral Mosaicplasty for Centrally and Laterally Located, Advanced Capitellar Osteochondritis Dissecans in Teenage Athletes: Clinical Outcomes, Radiography, and Magnetic Resonance Imaging Findings. Am. J. Sports Med. 2018, 46, 1943–1951. [Google Scholar] [CrossRef]
- Claessen, F.M.A.P.; Van Den Ende, K.I.M.; Doornberg, J.N.; Guitton, T.G.; Eygendaal, D.; Van Den Bekerom, M.P.J.; Van Der Lugt, J.; Schep, N.W.; Boerboom, A.L.; Van Der Pluim, M.; et al. Osteochondritis Dissecans of the Humeral Capitellum: Reliability of Four Classification Systems Using Radiographs and Computed Tomography. J. Shoulder Elb. Surg. 2015, 24, 1613–1618. [Google Scholar] [CrossRef]
- Pu, A.; Jauregui, J.J.; Salmons, H.I.; Weir, T.B.; Abzug, J.M.; Gilotra, M.N. Radiographic Evaluation of Osteochondritis Dissecans of the Humeral Capitellum: A Systematic Review. J. Orthop. 2021, 27, 114–121. [Google Scholar] [CrossRef] [PubMed]
- Matsui, Y.; Funakoshi, T.; Momma, D.; Miyamoto, A.; Endo, K.; Furushima, K.; Fujisaki, K.; Iwasaki, N. Variation in Stress Distribution Patterns across the Radial Head Fovea in Osteochondritis Dissecans: Predictive Factors in Radiographic Findings. J. Shoulder Elb. Surg. 2018, 27, 923–930. [Google Scholar] [CrossRef] [PubMed]
- Nissen, C.; Bohn, D.C.; Crepeau, A.; Edmonds, E.; Ganley, T.; Kostyun, R.; Lawrence, J.T.R.; Pace, J.L.; Saluan, P.; Uquillas, C.; et al. Reliability of Radiographic Imaging Characteristics for Osteochondritis Dissecans of the Capitellum. Am. J. Sports Med. 2022, 50, 3948–3955. [Google Scholar] [CrossRef] [PubMed]
- Kohyama, S.; Nishiura, Y.; Hara, Y.; Ogawa, T.; Ikumi, A.; Okano, E.; Totoki, Y.; Yoshii, Y.; Yamazaki, M. Preoperative Evaluation and Surgical Simulation for Osteochondritis Dissecans of the Elbow Using Three-Dimensional MRI-CT Image Fusion Images. Diagnostics 2021, 11, 2337. [Google Scholar] [CrossRef]
- Nguyen, J.C.; Degnan, A.J.; Barrera, C.A.; Hee, T.P.; Ganley, T.J.; Kijowski, R. Osteochondritis Dissecans of the Elbow in Children: MRI Findings of Instability. AJR Am. J. Roentgenol. 2019, 213, 1145–1151. [Google Scholar] [CrossRef] [PubMed]
- Yoshizuka, M.; Sunagawa, T.; Nakashima, Y.; Shinomiya, R.; Masuda, T.; Makitsubo, M.; Adachi, N. Comparison of Sonography and MRI in the Evaluation of Stability of Capitellar Osteochondritis Dissecans. J. Clin. Ultrasound 2018, 46, 247–252. [Google Scholar] [CrossRef] [PubMed]
- Takahara, M.; Mura, N.; Sasaki, J.; Harada, M.; Ogino, T. Classification, Treatment, and Outcome of Osteochondritis Dissecans of the Humeral Capitellum. J. Bone Jt. Surg. Am. 2007, 89, 1205–1214. [Google Scholar] [CrossRef] [PubMed]
- Iwasaki, N.; Yamane, S.; Nishida, K.; Masuko, T.; Funakoshi, T.; Kamishima, T.; Minami, A. Transplantation of Tissue-Engineered Cartilage for the Treatment of Osteochondritis Dissecans in the Elbow: Outcomes over a Four-Year Follow-up in Two Patients. J. Shoulder Elb. Surg. 2010, 19, e1–e6. [Google Scholar] [CrossRef] [PubMed]
- Dimnjaković, D.; Bojanić, I.; Mahnik, A.; Smoljanović, T. Synovial Chondromatosis of the Elbow. Coll. Antropol. 2013, 37, 633–638. [Google Scholar]
- Bojanić, I.; Smoljanović, T.; Mahnik, A. Arthroscopy of the elbow. Liječnički Vjesnik 2010, 132, 238–245. [Google Scholar]
- Maruyama, M.; Harada, M.; Satake, H.; Tomohiro, U.; Takagi, M.; Takahara, M. Bone-Peg Grafting for Osteochondritis Dissecans of the Humeral Capitellum. J. Orthop. Surg. 2016, 24, 51–56. [Google Scholar] [CrossRef] [PubMed]
- Mihara, K.; Suzuki, K.; Makiuchi, D.; Nishinaka, N.; Yamaguchi, K.; Tsutsui, H. Surgical Treatment for Osteochondritis Dissecans of the Humeral Capitellum. J. Shoulder Elb. Surg. 2010, 19, 31–37. [Google Scholar] [CrossRef] [PubMed]
- Takahara, M.; Mura, N.; Sasaki, J.; Harada, M.; Ogino, T. Classification, Treatment, and Outcome of Osteochondritis Dissecans of the Humeral Capitellum: Surgical Technique. J. Bone Jt. Surg. Am. 2008, 90, 47–62. [Google Scholar] [CrossRef] [PubMed]
- Bojanić, I.; Smoljanović, T.; Dokuzović, S. Osteochondritis Dissecans of the Elbow: Excellent Results in Teenage Athletes Treated by Arthroscopic Debridement and Microfracture. Croat. Med. J. 2012, 53, 40–47. [Google Scholar] [CrossRef] [PubMed]
- Takeda, H.; Watarai, K.; Matsushita, T.; Saito, T.; Terashima, Y. A Surgical Treatment for Unstable Osteochondritis Dissecans Lesions of the Humeral Capitellum in Adolescent Baseball Players. Am. J. Sports Med. 2002, 30, 713–717. [Google Scholar] [CrossRef] [PubMed]
- Nobuta, S.; Sato, K.; Kasama, F.; Hatori, M.; Itoi, E. Open Elbow Arthrolysis for Post-Traumatic Elbow Contracture. Upsala J. Med. Sci. 2008, 113, 95–102. [Google Scholar] [CrossRef] [PubMed]
- Nobuta, S.; Ogawa, K.; Sato, K.; Nakagawa, T.; Hatori, M.; Itoi, E. Clinical Outcome of Fragment Fixation for Osteochondritis Dissecans of the Elbow. Upsala J. Med. Sci. 2008, 113, 201–208. [Google Scholar] [CrossRef] [PubMed]
- Takeba, J.; Takahashi, T.; Hino, K.; Watanabe, S.; Imai, H.; Yamamoto, H. Arthroscopic Technique for Fragment Fixation Using Absorbable Pins for Osteochondritis Dissecans of the Humeral Capitellum: A Report of 4 Cases. Knee Surg. Sports Traumatol. Arthrosc. 2010, 18, 831–835. [Google Scholar] [CrossRef] [PubMed]
- Hennrikus, W.P.; Miller, P.E.; Micheli, L.J.; Waters, P.M.; Bae, D.S. Internal Fixation of Unstable In Situ Osteochondritis Dissecans Lesions of the Capitellum. J. Pediatr. Orthop. 2015, 35, 467–473. [Google Scholar] [CrossRef]
- Kuwahata, Y.; Inoue, G. Osteochondritis Dissecans of the Elbow Managed by Herbert Screw Fixation. Orthopedics 1998, 21, 449–451. [Google Scholar] [CrossRef]
- Baumgarten, T.E.; Andrews, J.R.; Satterwhite, Y.E. The Arthroscopic Classification and Treatment of Osteochondritis Dissecans of the Capitellum. Am. J. Sports Med. 1998, 26, 520–523. [Google Scholar] [CrossRef] [PubMed]
- Bojanić, I.; Ivković, A.; Borić, I. Arthroscopy and Microfracture Technique in the Treatment of Osteochondritis Dissecans of the Humeral Capitellum: Report of Three Adolescent Gymnasts. Knee Surg. Sports Traumatol. Arthrosc. 2006, 14, 491–496. [Google Scholar] [CrossRef] [PubMed]
- McLaughlin, R.J.; Leland, D.P.; Bernard, C.D.; Sanchez-Sotelo, J.; Morrey, M.E.; O’Driscoll, S.W.; Camp, C.L. Both Debridement and Microfracture Produce Excellent Results for Osteochondritis Dissecans Lesions of the Capitellum: A Systematic Review. Arthrosc. Sports Med. Rehabil. 2021, 3, e593–e603. [Google Scholar] [CrossRef] [PubMed]
- Patel, S.P.; Conyer, R.T.; Shybut, T.B. Osteochondral Autograft Transfer for Capitellar Chondral and Osteochondral Defects. Arthrosc. Tech. 2020, 9, e1727–e1730. [Google Scholar] [CrossRef] [PubMed]
- Kolmodin, J.; Saluan, P. Osteochondritis Dissecans of the Humeral Capitellum: The Significance of Lesion Location. Orthop. J. Sports Med. 2014, 2, 2325967114530840. [Google Scholar] [CrossRef] [PubMed]
- Mihata, T.; Quigley, R.; Robicheaux, G.; McGarry, M.H.; Neo, M.; Lee, T.Q. Biomechanical Characteristics of Osteochondral Defects of the Humeral Capitellum. Am. J. Sports Med. 2013, 41, 1909–1914. [Google Scholar] [CrossRef] [PubMed]
- Shi, L.L.; Bae, D.S.; Kocher, M.S.; Micheli, L.J.; Waters, P.M. Contained versus Uncontained Lesions in Juvenile Elbow Osteochondritis Dissecans. J. Pediatr. Orthop. 2012, 32, 221–225. [Google Scholar] [CrossRef] [PubMed]
- Bexkens, R.; Ogink, P.T.; Doornberg, J.N.; Kerkhoffs, G.M.M.J.; Eygendaal, D.; Oh, L.S.; van den Bekerom, M.P.J. Donor-Site Morbidity after Osteochondral Autologous Transplantation for Osteochondritis Dissecans of the Capitellum: A Systematic Review and Meta-Analysis. Knee Surg. Sports Traumatol. Arthrosc. 2017, 25, 2237–2246. [Google Scholar] [CrossRef] [PubMed]
- Funakoshi, T.; Furushima, K.; Miyamoto, A.; Kusano, H.; Horiuchi, Y.; Itoh, Y. Predictors of Unsuccessful Nonoperative Management of Capitellar Osteochondritis Dissecans. Am. J. Sports Med. 2019, 47, 2691–2698. [Google Scholar] [CrossRef]
- Obey, M.R.; Hillen, T.J.; Broughton, J.S.; Smith, M.V.; Goldfarb, C.A. Magnetic Resonance Imaging Assessment of Cartilage Appearance Following Marrow Stimulation of Osteochondritis Dissecans of the Humeral Capitellum. J. Hand Surg. Am. 2022, 48, 409.e1–409.e11. [Google Scholar] [CrossRef]
- Ruch, D.S.; Cory, J.W.; Poehling, G.G. The Arthroscopic Management of Osteochondritis Dissecans of the Adolescent Elbow. Arthroscopy 1998, 14, 797–803. [Google Scholar] [CrossRef] [PubMed]
- Byrd, J.W.T.; Jones, K.S. Arthroscopic Surgery for Isolated Capitellar Osteochondritis Dissecans in Adolescent Baseball Players: Minimum Three-Year Follow-Up. Am. J. Sports Med. 2002, 30, 474–478. [Google Scholar] [CrossRef] [PubMed]
- Brownlow, H.C.; O’Connor-Read, L.M.; Perko, M. Arthroscopic Treatment of Osteochondritis Dissecans of the Capitellum. Knee Surg. Sports Traumatol. Arthrosc. 2006, 14, 198–202. [Google Scholar] [CrossRef] [PubMed]
- Rahusen, F.T.G.; Brinkman, J.M.; Eygendaal, D. Results of Arthroscopic Debridement for Osteochondritis Dissecans of the Elbow. Br. J. Sports Med. 2006, 40, 966–969. [Google Scholar] [CrossRef] [PubMed]
- Schoch, B.; Wolf, B.R. Osteochondritis Dissecans of the Capitellum: Minimum 1-Year Follow-up after Arthroscopic Debridement. Arthroscopy 2010, 26, 1469–1473. [Google Scholar] [CrossRef]
- Miyake, J.; Masatomi, T. Arthroscopic Debridement of the Humeral Capitellum for Osteochondritis Dissecans: Radiographic and Clinical Outcomes. J. Hand Surg. Am. 2011, 36, 1333–1338. [Google Scholar] [CrossRef] [PubMed]
- Tis, J.E.; Edmonds, E.W.; Bastrom, T.; Chambers, H.G. Short-Term Results of Arthroscopic Treatment of Osteochondritis Dissecans in Skeletally Immature Patients. J. Pediatr. Orthop. 2012, 32, 226–231. [Google Scholar] [CrossRef] [PubMed]
- Wulf, C.A.; Stone, R.M.; Giveans, M.R.; Lervick, G.N. Magnetic Resonance Imaging after Arthroscopic Microfracture of Capitellar Osteochondritis Dissecans. Am. J. Sports Med. 2012, 40, 2549–2556. [Google Scholar] [CrossRef] [PubMed]
- Lewine, E.B.; Miller, P.E.; Micheli, L.J.; Waters, P.M.; Bae, D.S. Early Results of Drilling and/or Microfracture for Grade IV Osteochondritis Dissecans of the Capitellum. J. Pediatr. Orthop. 2016, 36, 803–809. [Google Scholar] [CrossRef]
- Bexkens, R.; van den Ende, K.I.M.; Ogink, P.T.; van Bergen, C.J.A.; van den Bekerom, M.P.J.; Eygendaal, D. Clinical Outcome After Arthroscopic Debridement and Microfracture for Osteochondritis Dissecans of the Capitellum. Am. J. Sports Med. 2017, 45, 2312–2318. [Google Scholar] [CrossRef]
- Ueda, Y.; Sugaya, H.; Takahashi, N.; Matsuki, K.; Tokai, M.; Onishi, K.; Hoshika, S.; Hamada, H. Arthroscopic Fragment Resection for Capitellar Osteochondritis Dissecans in Adolescent Athletes: 5- to 12-Year Follow-Up. Orthop. J. Sports Med. 2017, 5, 2325967117744537. [Google Scholar] [CrossRef]
- Matsuura, T.; Iwame, T.; Suzue, N.; Kashiwaguchi, S.; Iwase, T.; Hamada, D.; Sairyo, K. Long-Term Outcomes of Arthroscopic Debridement With or Without Drilling for Osteochondritis Dissecans of the Capitellum in Adolescent Baseball Players: A ≥10-Year Follow-Up Study. Arthroscopy 2020, 36, 1273–1280. [Google Scholar] [CrossRef] [PubMed]
- Ueda, Y.; Sugaya, H.; Takahashi, N.; Matsuki, K.; Tokai, M.; Morioka, T.; Hoshika, S.; Takeuchi, Y. Comparison Between Osteochondral Autograft Transplantation and Arthroscopic Fragment Resection for Large Capitellar Osteochondritis Dissecans in Adolescent Athletes: A Minimum 5 Years’ Follow-Up. Am. J. Sports Med. 2021, 49, 1145–1151. [Google Scholar] [CrossRef] [PubMed]
- Austin, D.C.; Song, B.; Rojas Lievano, J.L.; Rogers, T.H.; Barlow, J.D.; Camp, C.L.; Morrey, M.E.; Sanchez-Sotelo, J.L.; Fitzsimmons, J.S.; O’Driscoll, S.W. Long-Term Patient-Reported Outcomes After Arthroscopic Debridement of Grade 3 or 4 Capitellar Osteochondritis Dissecans Lesions. Am. J. Sports Med. 2023, 51, 351–357. [Google Scholar] [CrossRef]
- Rothermich, M.A.; Mussell, E.A.; Ryan, M.K.; Fleisig, G.S.; Sitton, S.E.; Emblom, B.A.; Dugas, J.R.; Andrews, J.R.; Cain, E.L. Clinical Outcomes of Osteochondritis Dissecans Lesions of the Capitellum Treated with Arthroscopy with a Mean Follow-up Period of 8.3 Years. J. Shoulder Elb. Surg. 2023, 32, 1271–1279. [Google Scholar] [CrossRef]
- Momma, D.; Onodera, T.; Kawamura, D.; Urita, A.; Matsui, Y.; Baba, R.; Funakoshi, T.; Kondo, M.; Endo, T.; Kondo, E.; et al. Acellular Cartilage Repair Technique Based on Ultrapurified Alginate Gel Implantation for Advanced Capitellar Osteochondritis Dissecans. Orthop. J. Sports Med. 2021, 9, 2325967121989676. [Google Scholar] [CrossRef]
- Harada, M.; Ogino, T.; Takahara, M.; Ishigaki, D.; Kashiwa, H.; Kanauchi, Y. Fragment Fixation with a Bone Graft and Dynamic Staples for Osteochondritis Dissecans of the Humeral Capitellum. J. Shoulder Elb. Surg. 2002, 11, 368–372. [Google Scholar] [CrossRef] [PubMed]
- Koehler, S.M.; Walsh, A.; Lovy, A.J.; Pruzansky, J.S.; Shukla, D.R.; Hausman, M.R. Outcomes of Arthroscopic Treatment of Osteochondritis Dissecans of the Capitellum and Description of the Technique. J. Shoulder Elb. Surg. 2015, 24, 1607–1612. [Google Scholar] [CrossRef] [PubMed]
- Uchida, S.; Utsunomiya, H.; Taketa, T.; Sakoda, S.; Hatakeyama, A.; Nakamura, T.; Sakai, A. Arthroscopic Fragment Fixation Using Hydroxyapatite/Poly-L-Lactate Acid Thread Pins for Treating Elbow Osteochondritis Dissecans. Am. J. Sports Med. 2015, 43, 1057–1065. [Google Scholar] [CrossRef]
- Takeba, J.; Takahashi, T.; Watanabe, S.; Imai, H.; Kikuchi, S.; Umakoshi, K.; Matsumoto, H.; Ohshita, M.; Miura, H.; Aibiki, M. Short-Term Clinical Results of Arthroscopic Osteochondral Fixation for Elbow Osteochondritis Dissecans in Teenaged Baseball Players. J. Shoulder Elb. Surg. 2015, 24, 1749–1756. [Google Scholar] [CrossRef]
- Kiyomatsu, H.; Takeba, J.; Imai, H.; Fujibuchi, T.; Inoue, T.; Jono, A.; Hino, K.; Miura, H. Treatment of Osteochondritis Dissecans of the Humeral Capitellum with a Fragment Fixation Method Using Absorbable Pins. JSES Int. 2021, 5, 564–570. [Google Scholar] [CrossRef] [PubMed]
- Tsuda, E.; Ishibashi, Y.; Sato, H.; Yamamoto, Y.; Toh, S. Osteochondral Autograft Transplantation for Osteochondritis Dissecans of the Capitellum in Nonthrowing Athletes. Arthroscopy 2005, 21, 1270. [Google Scholar] [CrossRef] [PubMed]
- Smith, M.V.; Bedi, A.; Chen, N.C. Surgical Treatment for Osteochondritis Dissecans of the Capitellum. Sports Health 2012, 4, 425–432. [Google Scholar] [CrossRef] [PubMed]
- Shimada, K.; Tanaka, H.; Matsumoto, T.; Miyake, J.; Higuchi, H.; Gamo, K.; Fuji, T. Cylindrical Costal Osteochondral Autograft for Reconstruction of Large Defects of the Capitellum Due to Osteochondritis Dissecans. J. Bone Jt. Surg. Am. 2012, 94, 992–1002. [Google Scholar] [CrossRef] [PubMed]
- Shimada, K.; Yoshida, T.; Nakata, K.; Hamada, M.; Akita, S. Reconstruction with an Osteochondral Autograft for Advanced Osteochondritis Dissecans of the Elbow. Clin. Orthop. Relat. Res. 2005, 435, 140–147. [Google Scholar] [CrossRef] [PubMed]
- Yamamoto, Y.; Ishibashi, Y.; Tsuda, E.; Sato, H.; Toh, S. Osteochondral Autograft Transplantation for Osteochondritis Dissecans of the Elbow in Juvenile Baseball Players: Minimum 2-Year Follow-Up. Am. J. Sports Med. 2006, 34, 714–720. [Google Scholar] [CrossRef] [PubMed]
- Iwasaki, N.; Kato, H.; Ishikawa, J.; Masuko, T.; Funakoshi, T.; Minami, A. Autologous Osteochondral Mosaicplasty for Osteochondritis Dissecans of the Elbow in Teenage Athletes. J. Bone Jt. Surg. Am. 2009, 91, 2359–2366. [Google Scholar] [CrossRef]
- Nishimura, A.; Morita, A.; Fukuda, A.; Kato, K.; Sudo, A. Functional Recovery of the Donor Knee after Autologous Osteochondral Transplantation for Capitellar Osteochondritis Dissecans. Am. J. Sports Med. 2011, 39, 838–842. [Google Scholar] [CrossRef]
- Ovesen, J.; Olsen, B.S.; Johannsen, H.V. The Clinical Outcomes of Mosaicplasty in the Treatment of Osteochondritis Dissecans of the Distal Humeral Capitellum of Young Athletes. J. Shoulder Elb. Surg. 2011, 20, 813–818. [Google Scholar] [CrossRef]
- Maruyama, M.; Takahara, M.; Harada, M.; Satake, H.; Takagi, M. Outcomes of an Open Autologous Osteochondral Plug Graft for Capitellar Osteochondritis Dissecans: Time to Return to Sports. Am. J. Sports Med. 2014, 42, 2122–2127. [Google Scholar] [CrossRef]
- Weigelt, L.; Siebenlist, S.; Hensler, D.; Imhoff, A.B.; Vogt, S. Treatment of Osteochondral Lesions in the Elbow: Results after Autologous Osteochondral Transplantation. Arch. Orthop. Trauma Surg. 2015, 135, 627–634. [Google Scholar] [CrossRef] [PubMed]
- Lyons, M.L.; Werner, B.C.; Gluck, J.S.; Freilich, A.M.; Dacus, A.R.; Diduch, D.R.; Chhabra, A.B. Osteochondral Autograft Plug Transfer for Treatment of Osteochondritis Dissecans of the Capitellum in Adolescent Athletes. J. Shoulder Elb. Surg. 2015, 24, 1098–1105. [Google Scholar] [CrossRef] [PubMed]
- Matsuura, T.; Hashimoto, Y.; Nishino, K.; Nishida, Y.; Takahashi, S.; Shimada, N. Comparison of Clinical and Radiographic Outcomes Between Central and Lateral Lesions After Osteochondral Autograft Transplantation for Osteochondritis Dissecans of the Humeral Capitellum. Am. J. Sports Med. 2017, 45, 3331–3339. [Google Scholar] [CrossRef] [PubMed]
- Wu, M.; Eisenberg, K.; Williams, K.; Bae, D.S. Radial Head Changes in Osteochondritis Dissecans of the Humeral Capitellum. Orthop. J. Sports Med. 2018, 6, 2325967118769059. [Google Scholar] [CrossRef] [PubMed]
- Yamagami, N.; Yamamoto, S.; Aoki, A.; Ito, S.; Uchio, Y. Outcomes of Surgical Treatment for Osteochondritis Dissecans of the Elbow: Evaluation by Lesion Location. J. Shoulder Elb. Surg. 2018, 27, 2262–2270. [Google Scholar] [CrossRef] [PubMed]
- Pederzini, L.A.; Bartoli, M.; Cheli, A.; Nicoletta, F.; Severini, G. Encouraging Mid-Term Outcomes for Arthroscopic Autologous Osteochondral Transplant (OAT) in Capitellum Osteochondritis Dissecans (OCD). Knee Surg. Sports Traumatol. Arthrosc. 2019, 27, 3291–3296. [Google Scholar] [CrossRef] [PubMed]
- Bae, D.S.; Ingall, E.M.; Miller, P.E.; Eisenberg, K. Early Results of Single-Plug Autologous Osteochondral Grafting for Osteochondritis Dissecans of the Capitellum in Adolescents. J. Pediatr. Orthop. 2020, 40, 78–85. [Google Scholar] [CrossRef] [PubMed]
- Sato, K.; Nakamura, T.; Toyama, Y.; Ikegami, H. Costal Osteochondral Grafts for Osteochondritis Dissecans of the Capitulum Humeri. Tech. Hand Up. Extremity Surg. 2008, 12, 85–91. [Google Scholar] [CrossRef] [PubMed]
- Sato, K.; Iwamoto, T.; Matsumura, N.; Suzuki, T.; Nishiwaki, Y.; Oka, Y.; Nakamura, T. Costal Osteochondral Autograft for Advanced Osteochondritis Dissecans of the Humeral Capitellum in Adolescent and Young Adult Athletes: Clinical Outcomes with a Mean Follow-up of 4.8 Years. J. Bone Jt. Surg. Am. 2018, 100, 903–913. [Google Scholar] [CrossRef]
- Sato, M.; Ochi, M.; Uchio, Y.; Agung, M.; Baba, H. Transplantation of Tissue-Engineered Cartilage for Excessive Osteochondritis Dissecans of the Elbow. J. Shoulder Elb. Surg. 2004, 13, 221–225. [Google Scholar] [CrossRef]
- Kircher, J. Autologous Chondrocyte Implantation for Post-Traumatic Cartilage Defect of the Capitulum Humeri. J. Shoulder Elb. Surg. 2016, 25, e213–e216. [Google Scholar] [CrossRef]
- Patzer, T.; Krauspe, R.; Hufeland, M. Arthroscopic Autologous Chondrocyte Transplantation for Osteochondritis Dissecans of the Elbow. Arthrosc. Tech. 2016, 5, e633–e636. [Google Scholar] [CrossRef]
- Chawla, S.; Saper, M.G. Fresh Precut Osteochondral Allograft Core Transplantation for the Treatment of Capitellum Osteochondritis Dissecans. Arthrosc. Tech. 2020, 9, e797–e802. [Google Scholar] [CrossRef]
- Mirzayan, R.; Lim, M.J. Fresh Osteochondral Allograft Transplantation for Osteochondritis Dissecans of the Capitellum in Baseball Players. J. Shoulder Elb. Surg. 2016, 25, 1839–1847. [Google Scholar] [CrossRef]
- Goldstein, Z.T.; Thompson, A.R.; Robbins, M.A.; Yang, S.S.; Nazir, O.F.; Mirarchi, A.J. Optimizing Graft Extraction From the Femoral Condyle for Fresh Osteochondral Allograft Transplantation in Treating Osteochondritis Dissecans of the Capitellum: Best Fit Based on Radius of Curvature. J. Pediatr. Orthop. 2021, 41, 400–405. [Google Scholar] [CrossRef]
- Wilk, K.E.; Macrina, L.C.; Cain, E.L.; Dugas, J.R.; Andrews, J.R. Rehabilitation of the Overhead Athlete’s Elbow. Sports Health 2012, 4, 404–414. [Google Scholar] [CrossRef]



| Osteochondral Fragment | Humeral Capitellum Growth Plate | Range of Motion in the Elbow | Radiological Markings | Treatment | 
|---|---|---|---|---|
| Stable | Open | Full | Flattening or radiolucency of the subchondral bone | Conservative | 
| Unstable | Closed | Extension deficit ˃ 20° | Fragmentation of the osteochondral lesion | Surgical | 
| First Author/Year of Publication | Number of Patients (Number of Elbows) | Male/ Female (N) | Mean Age (Range) at the Time of Surgery | Type of Arthroscopic Treatment | Follow-Up (Range) (Months) | Mean Score Value before Surgery/Mean Score at Final Follow-Up (Used Score) | Return to Sports at the Same or Higher Level as before Surgery (%) | 
|---|---|---|---|---|---|---|---|
| Baumgarten/1998 [61] | 16 (17) | 12/4 | 13.8 (10–17) | Abrasion chondroplasty | 48 (24–75) | N/A | 81 | 
| Ruch/ 1998 [71] | 12 (12) | 10/2 | 14.5 (8–17) | Debridement | 39 (24–70) | N/A | 92 | 
| Byrd/ 2002 [72] | 10 (10) | 10/0 | 13.8 (11–16) | Debridement or abrasion chondroplasty | 47 (36–72) | N/A/194 (T&A 1) | 40 | 
| Brownlow/2006 [73] | 29 (29) | 20/9 | 22 (11–49) | Debridement | 77 (7–149) | N/A | 78 | 
| Bojanić/2006 [62] | 3 (3) | 1/2 | 14 (13–15) | Microfracturing | 16 (14–18) | N/A/97 (MEPS 2) | 100 | 
| Rahusen/2006 [74] | 15 (15) | 6/9 | 28 (16–49) | Debridement | 45 (18–59) | 65.5/91 (MAESS 3) | 80 | 
| Schoch/ 2010 [75] | 13 (13) | 10/3 | 16 (10–25) | Drilling | 43 (12–96) | N/A/8.6 (DASH 4) | NA | 
| Miyake/2011 [76] | 106 (106) | 105/1 | 15 (12–18) | Drilling | 13 (8–46) | N/A | 85 | 
| Bojanić/ 2012 [54] | 9 (9) | 6/3 | 15 (12–19) | Microfracturing | 60 (24–108) | 53/98 (MEPS 2) | 89 | 
| Tis/ 2012 [77] | 12 (13) | 7/5 | 13.1 (10–14) | Drilling | 23 (2–60) | N/A/196 (T&A 1) | 58 | 
| Wulf/ 2012 [78] | 10 (10) | 6/4 | 13.9 (10–18) | Microfracturing | 42 (27–54) | 70.5/97 (MEPI 2) 116/193 (T&A 1) | 75 | 
| Lewine/2016 [79] | 21 (21) | 13/8 | 13.4 (NA) | Drilling (66.7%) or microfracturing (33.3%) | 26 (NA) | 156/184 (T&A 1) | 67 | 
| Bexkens/2017 [80] | 71 (75) | 30/41 | 16 (11–26) | Microfracturing | 42 (12–98) | N/A/40.8 (OES 5) | 55 | 
| Ueda/2017 [81] | 38 (38) | 33/5 | 14 (13–15) | Debridement | 96 (60–144) | 62.7/92.3 (JOA 8) | 100 | 
| Matsuura/2020 [82] | 23 (23) | NA | 14.7 (13–17) | Debridement (56.2) or drilling (43.8%) | 138 (120–156) | 160/195 (T&A 1) | 87 | 
| Ueda/2021 [83] | 19 (19) | 17/2 | 14 (13–15) | Debridement | 96 (60–132) | 129/182 (T&A 1) 46/3 (DASH 4) | 95 | 
| Michelin/2022 [26] | 17 (18) | 14/3 | 14.1 (11–17) | Drilling or microfracturing | 52.8 (24–120) | N/A/94.1 (KJOCS 6) NA/2.3 (QuickDASH 4) | 66.7 | 
| Austin/2023 [84] | 49 (53) | 38/11 | 15 (11–18) | None (21%) or debridement or drilling or microfracturing a | 132 (60–276) | N/A/4 (QuickDASH 4) | 80 | 
| Rothermich/2023 [85] | 90 | 66/24 | 15.2 (11.4–43.1) | Debridement or abrasion chondroplasty or drilling or microfracturing or stem cell implantation | 99.6 (NA) | N/A/87.1. (AC 7) NA/83.5 (KJOCS 6) | 93 | 
| First Author/Year of Publication | Number of Patients (Male/Female) | Mean Age (Range) at the Time of Surgery | Type of Fixation of the Osteochondral Fragment | Follow-Up (Range) (Months) | Mean Score Value before Surgery/Mean Score at Final Follow-Up (Used Score) | Return to Sports at the Same or Higher Level as before Surgery (%) | 
|---|---|---|---|---|---|---|
| Kuwahata/1998 [60] | 7 (N/A) | N/A | Herbert screw with bone peg transplantation | 32 (NA) | N/A | 100 | 
| Harada/2002 [87] | 4 (4/0) | 14.2 (14–15) | Staples with bone peg transplantation | 90 (24–132) | N/A | 75 | 
| Takeda/2002 [55] | 11 (11/0) | 14.7 (12–16) | K wires with bone peg transplantation | 57 (31–95) | N/A | 91 | 
| Nobuta/2008 [57] | 28 (28/0) | 14 (12–19) | Flexible wire or suture wire | 17 (7–36) | N/A | 86 | 
| Takeba/2010 [58] | 4 (4/0) | 14 (12–16) | Bioresorbable pins | 6 (3–7) | N/A | N/A | 
| Hennrikus/2015 [59] | 26 (13/13) | 14.1 (N/A) | Bioresorbable pins or K wires | 39 (12–96) | 70/100 (MEPS 1) | 66 | 
| Koehler/2015 [88] | 4 (1/3) | N/A (13–15) | Non-resorbable suture with bone autograft from the iliac crest | 33 (31–36) | N/A/88 (MEPS 1) N/A/42 (OES 2) | 100 | 
| Uchida/2015 [89] | 18 (N/A) | 14.2 (12–16) | Bioresorbable pins | 39 (36–50) | 127/197.5 (T&A 3) 68/98 (MEPS 1) | 94 | 
| Takeba/2015 [90] | 13 (N/A) | 14 (12–16) | Bioresorbable pins | 24 (12–50) | 12.4/0.5 (DASH disability/symptom score 4) 74.5/1.4 (DASH sports score 4) | N/A | 
| Kiyomatsu/2021 [91] | 34 (N/A) | 14 (12–16) | Bioresorbable pins | 28.7 (24–50) | 15.5/10.8(DASH disability/symptom score 4) 69.2/13.0 (DASH sports score 4) | 82.3 | 
| First Author/Year of Publication | Number of Patients (Male/Female) | Mean Age (Range) at the Time of Surgery | Follow-Up (Range) (Months) | Mean Score Value before Surgery/Mean Score at Final Follow-Up (Used Score) | Return to Sports at the Same or Higher Level as before Surgery (%) | 
|---|---|---|---|---|---|
| Autologous Bone Transplantation from the Knee | |||||
| Shimada/2005 [95] | 10 (10/0) | 14.3 (12–17) | 26 (18–45) | 80/94 (JOA 1) | 80 | 
| Tsuda/2005 [92] | 3 (2/1) | 12.6 (12–13) | N/A | N/A | 100 | 
| Yamamoto/2006 [96] | 18 (18/0) | 13.6 (10–16) | 42 (25–63) | 151/181 (T&A 2) | 78 | 
| Iwasaki/ 2009 [97] | 19 (19/0) | 14.2 (11–19) | 45 (24–87) | 131/191 (T&A 2) | 89 | 
| Nishimura/ 2011 [98] | 12 (12/0) | 14.4 (12–17) | 34 (N/A) | N/A | N/A | 
| Ovesen/ 2011 [99] | 10 (4/6) | 18.3 (13–27) | 30 (10–60) | 71/94 (MEPS 3) | N/A | 
| Maruyama/2014 [100] | 33 (33/0) | 13.6 (11–17) | 28 (12–76) | 143/190 (T&A 2) | 94 | 
| Weigelt/ 2015 [101] | 14 (9/5) | 18.3 (12–33) | 85 (36–168) | N/A/95 (BMS 4) | 62 | 
| Lyons/ 2015 [102] | 11 (10/1) | 14.5 (13–17) | 23 (6–49) | N/A/1,4 (DASH 5) | 100 | 
| Matsuura/2017 [103] | 87 (86/1) | 13.2 (11–16) | 43.4 (24–100) | 139.7/193.8 (T&A 2 for central lesions) 136.7/185.3 (T&A2 for lateral lesions) | 100 (C); 86 (L) | 
| Funakoshi/2018 [39] | 22 (22/0) | 13.5 (NA) | 27.5 (24–48) | 132.3/189.8 (T&A 2) | 91 | 
| Wu/2018 [104] | 31 (N/A) | N/A | N/A | N/A | 100 | 
| Yamagami/2018 [105] | C 13 (N/A) | 14 (12–17) | 36 (16–56) | 74.5/99.2 (JOA 1) | 100 | 
| L 9 (N/A) | 14 (13–17) | 45 (22–99) | 63.7/95.4 (JOA 1) | 100 | |
| Pederzini/2019 [106] | 9 (7/2) | 22.4 (17–45) | 48 (30–52) | 60/98.3 (MEPS 3) 44/2.5 (QuickDASH 5) | 78 | 
| Bae/2020 [107] | 28 (14/14) | 14.2 (11.8–18.8) | 6.3 (5–27) clinical 5.7 (5–26.7) radiological | 150/190 (T&A 2) | 69 | 
| Ueda/2021 [83] | 29 (29/0) | 14 (13–15) | 84 (60–156) | 126/175 (T&A 2) 48/1 (DASH 5) | 90 | 
| Autologous bone transplantation from the rib | |||||
| Sato/2008 [108] | 14 (14/0) | 16.4 (13–25) | 22 (6–56) | N/A | N/A | 
| Mihara/2010 [52] | 7 (7/0) | 13.3 (11–15) | 37.4 (24–92) | 141/185 (T&A 2) | N/A | 
| Shimada/ 2012 [94] | 26 (26/0) | 15.5 (12–43) | 36 (24–51) | 111/180 (T&A 2) | 81 a | 
| Nishinaka/2014 [29] | 22 (22/0) | 13.9 (11–16) | 27 (12–77) | 122/169 (T&A 2) 53/86 (JOA 1) | 82 b | 
| Sato/2018 [109] | 72 (71/1) | 14.3 (11–25) | 57 (36–147) | 122/169 (T&A 2) | 97 | 
| Disclaimer/Publisher’s Note: The statements, opinions and data contained in all publications are solely those of the individual author(s) and contributor(s) and not of MDPI and/or the editor(s). MDPI and/or the editor(s) disclaim responsibility for any injury to people or property resulting from any ideas, methods, instructions or products referred to in the content. | 
© 2024 by the authors. Licensee MDPI, Basel, Switzerland. This article is an open access article distributed under the terms and conditions of the Creative Commons Attribution (CC BY) license (https://creativecommons.org/licenses/by/4.0/).
Share and Cite
Matković, A.; Ferenc, T.; Dimnjaković, D.; Jurjević, N.; Vidjak, V.; Matković, B.R. Osteochondritis Dissecans of the Elbow in Overhead Athletes: A Comprehensive Narrative Review. Diagnostics 2024, 14, 916. https://doi.org/10.3390/diagnostics14090916
Matković A, Ferenc T, Dimnjaković D, Jurjević N, Vidjak V, Matković BR. Osteochondritis Dissecans of the Elbow in Overhead Athletes: A Comprehensive Narrative Review. Diagnostics. 2024; 14(9):916. https://doi.org/10.3390/diagnostics14090916
Chicago/Turabian StyleMatković, Andro, Thomas Ferenc, Damjan Dimnjaković, Nikolina Jurjević, Vinko Vidjak, and Branka R. Matković. 2024. "Osteochondritis Dissecans of the Elbow in Overhead Athletes: A Comprehensive Narrative Review" Diagnostics 14, no. 9: 916. https://doi.org/10.3390/diagnostics14090916
APA StyleMatković, A., Ferenc, T., Dimnjaković, D., Jurjević, N., Vidjak, V., & Matković, B. R. (2024). Osteochondritis Dissecans of the Elbow in Overhead Athletes: A Comprehensive Narrative Review. Diagnostics, 14(9), 916. https://doi.org/10.3390/diagnostics14090916
 
        



 
       