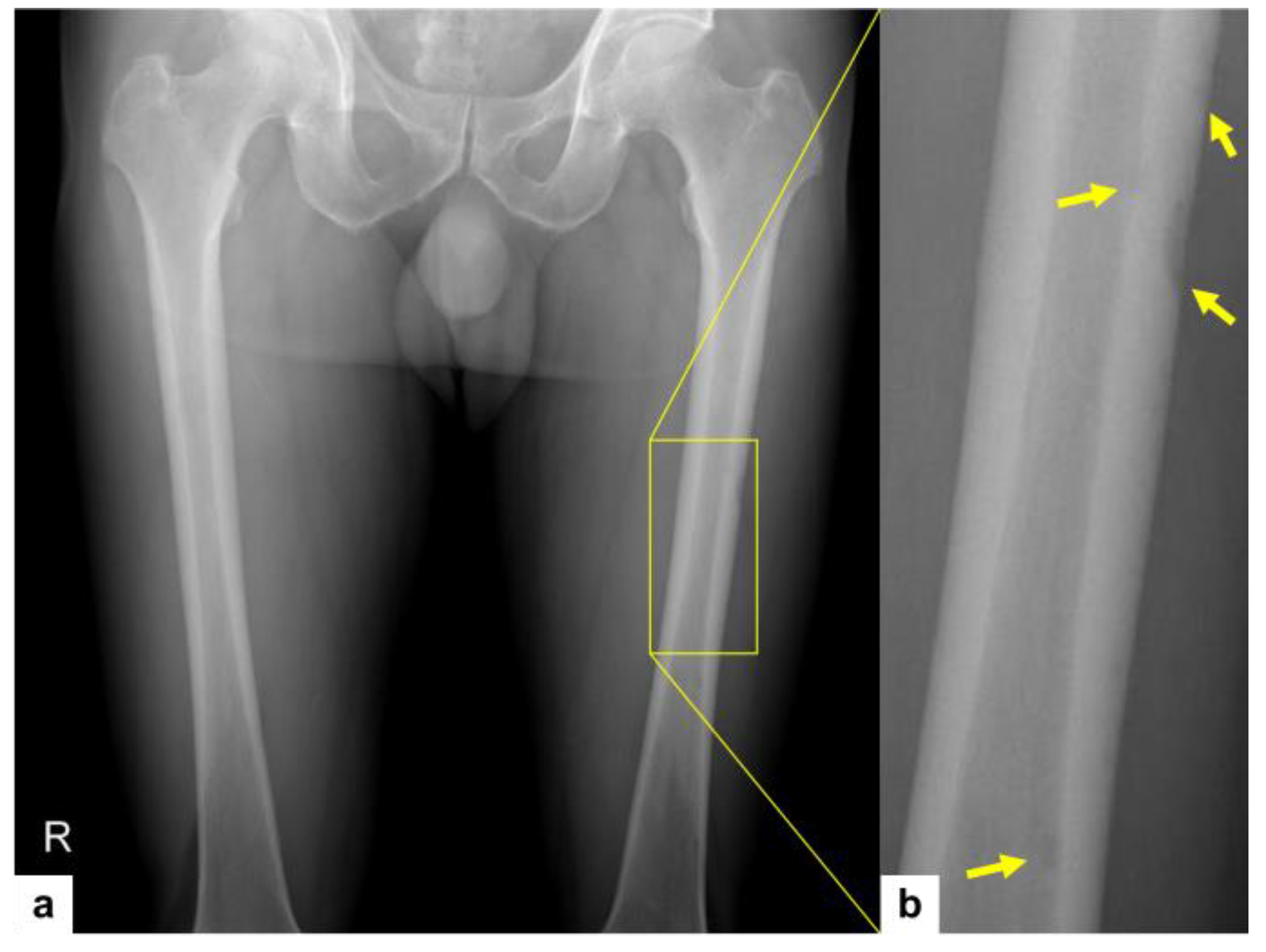
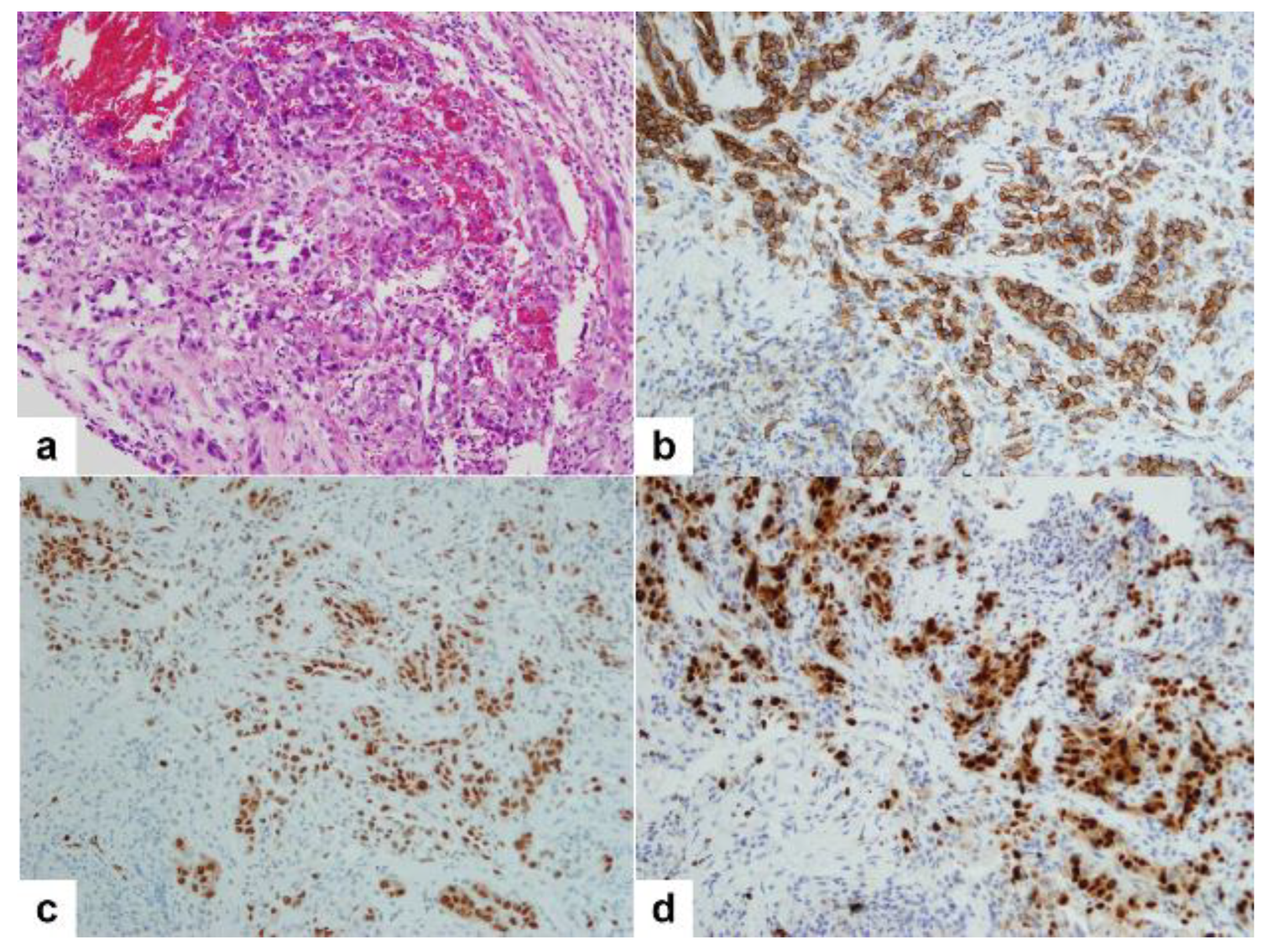
Aortic Angiosarcoma Manifesting as Multiple Musculoskeletal Metastases: A Case Report
Abstract
Author Contributions
Funding
Institutional Review Board Statement
Informed Consent Statement
Data Availability Statement
Conflicts of Interest
References
- The WHO Classification of Tumours Editorial Board. WHO Classification of Tumors: Soft Tisse and Bone Tumors, 5th ed.; IARC Press: Lyon, France, 2020. [Google Scholar]
- Fayette, J.; Martin, E.; Piperno-Neumann, S.; Le Cesne, A.; Robert, C.; Bonvalot, S.; Ranchère, D.; Pouillart, P.; Coindre, J.M.; Blay, J.Y. Angiosarcomas, a heterogeneous group of sarcomas with specific behavior depending on primary site: A retrospective study of 161 cases. Ann. Oncol. 2007, 18, 2030–2036. [Google Scholar] [CrossRef]
- Staats, P.; Tavora, F.; Burke, A.P. Intimal sarcomas of the aorta and iliofemoral arteries: A clinicopathological study of 26 cases. Pathology 2014, 46, 596–603. [Google Scholar] [CrossRef] [PubMed]
- Brylka, D.; Demos, T.C.; Pierce, K. Primary angiosarcoma of the abdominal aorta: A case report and literature review (aortic angiosarcoma). Abdom. Imaging 2009, 34, 239–242. [Google Scholar] [CrossRef] [PubMed]
- Murphey, M.D.; Fairbairn, K.J.; Parman, L.M.; Baxter, K.G.; Parsa, M.B.; Smith, W.S. From the archives of the AFIP. Musculoskeletal angiomatous lesions: Radiologic-pathologic correlation. Radiographics 1995, 15, 893–917. [Google Scholar] [CrossRef] [PubMed]
- Bhaludin, B.N.; Thway, K.; Adejolu, M.; Renn, A.; Kelly-Morland, C.; Fisher, C.; Jones, R.L.; Messiou, C.; Moskovic, E. Imaging features of primary sites and metastatic patterns of angiosarcoma. Insights Imaging 2021, 12, 189. [Google Scholar] [CrossRef]
- Palmerini, E.; Leithner, A.; Windhager, R.; Gosheger, G.; Boye, K.; Laitinen, M.; Hardes, J.; Traub, F.; Jutte, P.; Willegger, M.; et al. Angiosarcoma of bone: A retrospective study of the European Musculoskeletal Oncology Society (EMSOS). Sci. Rep. 2020, 10, 10853. [Google Scholar] [CrossRef] [PubMed]
- Wenger, D.E.; Wold, L.E. Malignant vascular lesions of bone: Radiologic and pathologic features. Skelet. Radiol. 2000, 29, 619–631. [Google Scholar] [CrossRef] [PubMed]
- Vermaat, M.; Vanel, D.; Kroon, H.M.; Verbeke, S.L.; Alberghini, M.; Bovee, J.V.; Bloem, J.L. Vascular tumors of bone: Imaging findings. Eur. J. Radiol. 2011, 77, 13–18. [Google Scholar] [CrossRef] [PubMed]







Disclaimer/Publisher’s Note: The statements, opinions and data contained in all publications are solely those of the individual author(s) and contributor(s) and not of MDPI and/or the editor(s). MDPI and/or the editor(s) disclaim responsibility for any injury to people or property resulting from any ideas, methods, instructions or products referred to in the content. |
© 2024 by the authors. Licensee MDPI, Basel, Switzerland. This article is an open access article distributed under the terms and conditions of the Creative Commons Attribution (CC BY) license (https://creativecommons.org/licenses/by/4.0/).
Share and Cite
Bahk, W.J.; Na, S.J.; Whang, I.Y.; Kim, Y.; Seo, K.J. Aortic Angiosarcoma Manifesting as Multiple Musculoskeletal Metastases: A Case Report. Diagnostics 2024, 14, 805. https://doi.org/10.3390/diagnostics14080805
Bahk WJ, Na SJ, Whang IY, Kim Y, Seo KJ. Aortic Angiosarcoma Manifesting as Multiple Musculoskeletal Metastases: A Case Report. Diagnostics. 2024; 14(8):805. https://doi.org/10.3390/diagnostics14080805
Chicago/Turabian StyleBahk, Won Jong, Sae Jung Na, In Yong Whang, Yongju Kim, and Kyung Jin Seo. 2024. "Aortic Angiosarcoma Manifesting as Multiple Musculoskeletal Metastases: A Case Report" Diagnostics 14, no. 8: 805. https://doi.org/10.3390/diagnostics14080805
APA StyleBahk, W. J., Na, S. J., Whang, I. Y., Kim, Y., & Seo, K. J. (2024). Aortic Angiosarcoma Manifesting as Multiple Musculoskeletal Metastases: A Case Report. Diagnostics, 14(8), 805. https://doi.org/10.3390/diagnostics14080805

