Exploring the Relationship between E-Cadherin and β-Catenin Cell Adhesion Proteins and Periacinar Retraction Clefting in Prostatic Adenocarcinoma
Abstract
1. Introduction
2. Patients and Methods
2.1. Patients
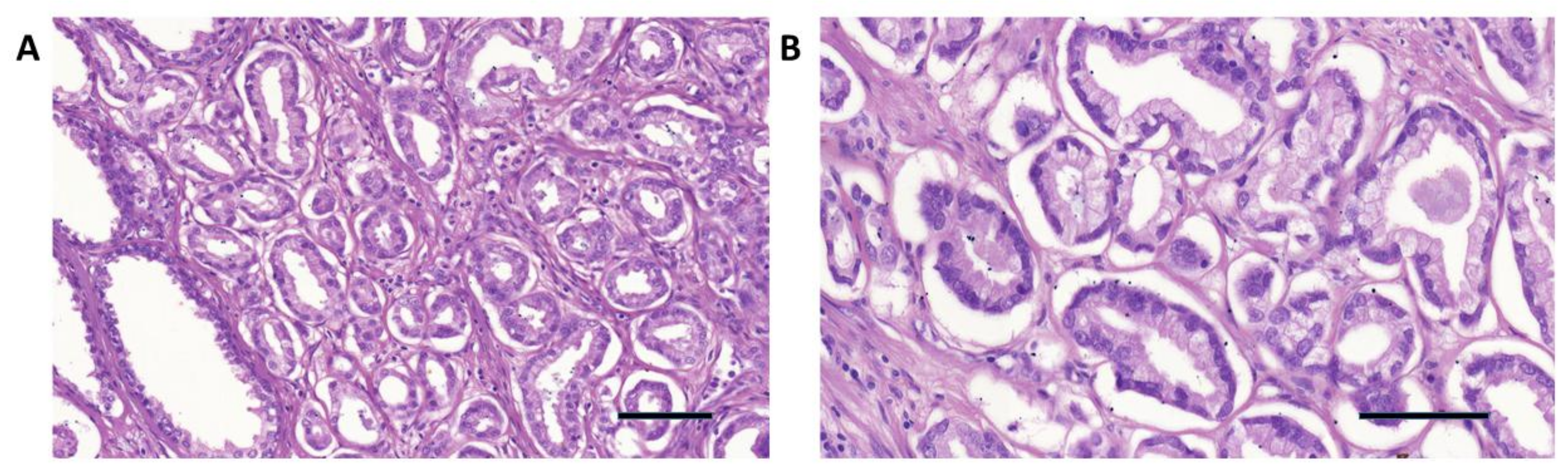
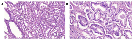
2.2. Methods
- -
- Group 1: Glands without clefts or with clefts affecting less than 50% of the circumference;
- -
- Group 2: Glands with clefts that affect more than 50% of the circumference in less than 50% of examined glands;
- -
- Group 3: Glands with clefts that affect more than 50% of the circumference in 50% or more of the examined glands.
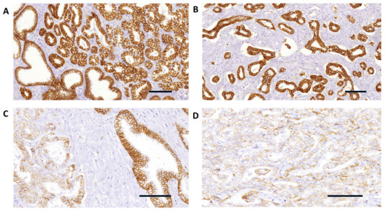
2.2.1. Immunohistochemistry
2.2.2. Scoring
2.3. Statistical Methods
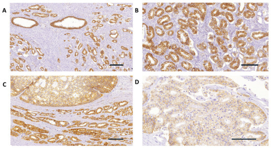
3. Results
4. Discussion
5. Conclusions
Author Contributions
Funding
Institutional Review Board Statement
Informed Consent Statement
Data Availability Statement
Conflicts of Interest
References
- WHO. Urinary and Male Genital Tumour, 5th ed.; WHO Classification of Tumours Editorial Board; IARC Publications: Lyon, France, 2022; Volume 8. [Google Scholar]
- Magi-Galluzzi, C. Prostate cancer: Diagnostic criteria and role of immunohistochemistry. Mod. Pathol. 2018, 31 (Suppl. S1), 12–21. [Google Scholar] [CrossRef] [PubMed]
- Krušlin, B.; Ulamec, M.; Tomas, D. Prostate cancer stroma: An important factor in cancer growth and progression. Bosn. J. Basic Med. Sci. 2015, 15, 1–8. [Google Scholar] [CrossRef] [PubMed]
- Ulmec, M.; Džombeta, T.; Cupić, H.; Leniček, T.; Tomas, D.; Krušlin, B. Periacinar retraction clefting and d2-40 expression in prostatic adenocarcinoma. Pathol. Oncol. Res. 2012, 18, 365–370. [Google Scholar] [CrossRef] [PubMed][Green Version]
- Fávaro, W.J.; Hetzl, A.C.; Reis, L.O.; Ferreira, U.; Billis, A.; Cagnon, V.H. Periacinar retraction clefting in nonneoplastic and neoplastic prostatic glands: Artifact or molecular involvement. Pathol. Oncol. Res. 2012, 18, 285–292. [Google Scholar] [CrossRef] [PubMed]
- Kaszak, I.; Witkowska-Piłaszewicz, O.; Niewiadomska, Z.; Dworecka-Kaszak, B.; NgosaToka, F.; Jurka, P. Role of Cadherins in Cancer—A Review. Int. J. Mol. Sci. 2020, 21, 7624. [Google Scholar] [CrossRef] [PubMed]
- Olson, A.; Le, V.; Aldahl, J.; Yu, E.J.; Hooker, E.; He, Y.; Lee, D.H.; Kim, W.K.; Cardiff, R.D.; Geradts, J.; et al. The comprehensive role of E-cadherin in maintaining prostatic epithelial integrity during oncogenic transformation and tumor progression. PLoS Genet. 2019, 15, e1008451. [Google Scholar] [CrossRef] [PubMed]
- Dumtru, C.S.; Ceausu, A.R.; Comsa, S.; Raica, M. Loss of E-Cadherin Expression Correlates with Ki-67 in Head and Neck Squamous Cell Carcinoma. In Vivo 2022, 36, 1150–1154. [Google Scholar] [CrossRef] [PubMed]
- Patel, R.; Brzezinska, E.A.; Repiscak, P.; Ahmad, I.; Mui, E.; Gao, M.; Blomme, A.; Harle, V.; Tan, E.H.; Malviya, G.; et al. Activation of β-Catenin Cooperates with Loss of Pten to Drive AR-Independent Castration-Resistant Prostate Cancer. Cancer Res. 2020, 80, 576–590. [Google Scholar] [CrossRef] [PubMed]
- Wang, C.; Chen, Q.; Xu, H. Wnt/β-catenin signal transduction pathway in prostate cancer and associated drug resistance. Discov. Oncol. 2021, 12, 40. [Google Scholar] [CrossRef] [PubMed]
- Young, R.H.; Srigley, J.R.; Amin, M.B.; Ulbright, T.M.; Cubilla, A.L. Atlas of Tumor Pathology Tumors of the Prostate Gland, Seminal Vesicles, Male Urethra and Penis, 3rd ed.; AFIP: Washington, DC, USA, 1998; pp. 124–171.
- Barsky, S.H.; Ye, Y.; Karlin, N.J. “Separation artifact”v Lymphovascular invasion: Are mimics only mimics? Mod. Pathol. 2006, 19, 289A. [Google Scholar]
- Acs, G.; Khakpour, N.; Kiluk, J.; Lee, M.C.; Laronga, C. The presence of extensive retraction clefts in invasive breast carcinomas correlates with lymphatic invasion and nodal metastasis and predicts poor outcome: A prospective validation study of 2742 consecutive cases. Am. J. Surg. Pathol. 2015, 39, 325–337. [Google Scholar] [CrossRef] [PubMed]
- Li, W.; Jia, H.; Wang, S.; Guo, X.; Zhang, X.; Zhang, L.; Wen, H.Y.; Fu, L. The presence of retraction clefts correlates with lymphovascular invasion and lymph node metastasis and predicts poor outcome: Analysis of 2497 breast cancer patients. Ann. Diagn. Pathol. 2022, 61, 152047. [Google Scholar] [CrossRef] [PubMed]
- Ferrera, C.; Lobo, J.; Antunes, L.; Lopes, P.; Jerónimo, C.; Henrique, R. Differential expression of E-cadherin and P-cadherin in pT3 prostate cancer: Correlation with clinical and pathological features. Virchows Arch. 2018, 473, 443–452. [Google Scholar] [CrossRef] [PubMed]
- Jaggi, M.; Johansson, S.L.; Baker, J.J.; Smith, L.M.; Galich, A.; Balaji, K.C. Aberrant expression of E-cadherin and beta-catenin in human prostate cancer. Urol. Oncol. 2005, 23, 402–406. [Google Scholar] [CrossRef] [PubMed]
- Wang, W.; Wang, L.; Mizokami, A.; Shi, J.; Zou, C.; Dai, J.; Keller, E.T.; Lu, Y.; Zhang, J. Down-regulation of E-cadherin enhances prostate cancer chemoresistance via Notch signaling. Chin. J. Cancer 2017, 36, 35. [Google Scholar] [CrossRef] [PubMed]
- Silva, R.S.; Lombardi, A.P.G.; de Souza, D.S.; Vicente, C.M.; Porto, C.S. Activation of estrogen receptor beta (ERβ) regulates the expression of N-cadherin, E-cadherin and β-catenin in androgen-independent prostate cancer cells. Int. J. Biochem. Cell Biol. 2018, 96, 40–50. [Google Scholar] [CrossRef] [PubMed]
- Limani, R. Correlation between Periacinar Retraction Clefting and the Expression of E-Cadherin and Beta-Catenin in Prostatic Adenocarcinoma. Ph.D. Thesis, University of Zagreb School of Medicine, Zagreb, Croatia, 2016. Available online: https://urn.nsk.hr/urn:nbn:hr:105:464846 (accessed on 4 December 2023).
- Horvath, L.G.; Henshall, S.M.; Lee, C.S.; Kench, J.G.; Golovsky, D.; Brenner, P.C.; O’Neill, G.F.; Kooner, R.; Stricker, P.D.; Grygiel, J.J.; et al. Lower levels of nuclear beta-catenin predict for a poorer prognosis in localized prostate cancer. Int. J. Cancer 2005, 113, 415–422. [Google Scholar] [CrossRef] [PubMed]
- Whitaker, H.C.; Girling, J.; Warren, A.Y.; Leung, H.; Mills, I.G.; Neal, D.E. Alterations in beta- catenin expression and localization in prostate cancer. Prostate 2008, 68, 1196–11205. [Google Scholar] [CrossRef] [PubMed]
- Bismar, T.A.; Humphrey, P.A.; Grignon, D.J.; Wang, H.L. Expression of beta-catenin in prostatic adenocarcinomas: A comparison with colorectal adenocarcinomas. Am. J. Clin. Pathol. 2004, 121, 557–563. [Google Scholar] [CrossRef] [PubMed]
- Nowicki, A.; Sporny, S.; Duda-Szymańska, J. β-catenin as a prognostic factor for prostate cancer (PCa). Cent. Eur. J. Urol. 2012, 65, 119–123. [Google Scholar] [CrossRef]



| N | % | ||
|---|---|---|---|
| GSC | 6 | 30 | 56.6% |
| 7 | 19 | 35.8% | |
| 8 | 1 | 1.9% | |
| 9 | 3 | 5.7% | |
| Grade Group | 1 | 30 | 56.6% |
| 2 | 9 | 16.9% | |
| 3 | 10 | 18.9% | |
| 4 | 1 | 1.9% | |
| 5 | 3 | 5.7% | |
| TNM | T2N0Mx | 35 | 66.0% |
| T3N0Mx | 15 | 28.3% | |
| T3N1Mx | 3 | 5.7% | |
| T | 2 | 35 | 66.0% |
| 3 | 18 | 34.0% | |
| N | 0 | 50 | 94.3% |
| 1 | 3 | 5.7% | |
| Surgical margins | Negative | 40 | 75.5% |
| Positive | 13 | 24.5% | |
| Prostatic Adenocarcinoma | GSC | ||||||||
|---|---|---|---|---|---|---|---|---|---|
| 6 | 7 | 8 | 9 | ||||||
| No. | % | No. | % | No. | % | No. | % | ||
| Periacinar clefting | 1 | 2 | 6.67% | 3 | 15.79% | 1 | 33.3% | 3 | 100% |
| 2 | 2 | 6.67% | 14 | 73.69% | 0 | 0 | 0 | 0 | |
| 3 | 26 | 86.66% | 2 | 10.52% | 2 | 66.7% | 0 | 0 | |
| N | % | ||
|---|---|---|---|
| Periacinar retraction clefting in prostatic adenocarcinoma | 1 | 9 | 16.9% |
| 2 | 16 | 30.18% | |
| 3 | 28 | 52.92% | |
| Periacinar retraction clefting in the adjacent nonneoplastic prostatic tissue | 1 | 32 | 60.42% |
| 2 | 12 | 22.6% | |
| 3 | 9 | 16.98% | |
| E-cadherin immunostaining in prostatic adenocarcinoma | Negative | 36 | 67.94% |
| Weak | 13 | 24.52% | |
| Positive | 4 | 7.54% | |
| E-cadherin immunostaining in the adjacent nonneoplastic prostatic tissue | Negative | 0 | 0.0% |
| Weak | 5 | 9.43% | |
| Positive | 48 | 90.57% | |
| β-catenin immunostaining in prostatic adenocarcinoma | Negative | 10 | 18.86% |
| Weak | 15 | 28.4% | |
| Positive | 28 | 52.83% | |
| β-catenin immunostaining in the adjacent nonneoplastic prostatic tissue | Negative | 0 | 0.0% |
| Weak | 4 | 7.55% | |
| Positive | 49 | 92.45% | |
| E-Cadherin Immunostaining in Prostatic Adenocarcinoma | β-Catenin Immunostaining in Prostatic Adenocarcinoma | ||
|---|---|---|---|
| GSC | Correlation Coefficient | −0.323 | −0.750 |
| P | 0.025 | 0.031 | |
| N | 53 | 53 | |
| Grade Group | Correlation Coefficient * | −0.630 | −0.560 |
| P | 0.038 | 0.019 | |
| N | 53 | 53 | |
| sPSA | Correlation Coefficient | 0.06 | 0.11 |
| P | 0.999 | 0.998 | |
| N | 53 | 53 | |
| Surgical margins | Correlation Coefficient * | −0.550 | −0.390 |
| P | 0.345 | 0.293 | |
| N | 53 | 53 | |
| T | Correlation Coefficient * | −0.720 | −0.460 |
| P | 0.111 | 0.143 | |
| N | 53 | 53 | |
| N | Correlation Coefficient * | −0.970 | −0.680 |
| P | 0.696 | 0.545 | |
| N | 53 | 53 | |
| Periacinar Clefting | ||
|---|---|---|
| E-cadherin immunostaining in prostatic adenocarcinoma | Correlation Coefficient | 0.350 |
| P | 0.010 | |
| N | 53 | |
| E-cadherin immunostaining in the adjacent nonneoplastic prostatic tissue | Correlation Coefficient | −0.31 |
| P | 0.542 | |
| N | 53 | |
| β-catenin immunostaining in prostatic adenocarcinoma | Correlation Coefficient | 0.340 |
| P | 0.012 | |
| N | 53 | |
| β-catenin immunostaining in the adjacent nonneoplastic prostatic tissue | Correlation Coefficient | −0.06 |
| P | 0.664 | |
| N | 53 | |
Disclaimer/Publisher’s Note: The statements, opinions and data contained in all publications are solely those of the individual author(s) and contributor(s) and not of MDPI and/or the editor(s). MDPI and/or the editor(s) disclaim responsibility for any injury to people or property resulting from any ideas, methods, instructions or products referred to in the content. |
© 2024 by the authors. Licensee MDPI, Basel, Switzerland. This article is an open access article distributed under the terms and conditions of the Creative Commons Attribution (CC BY) license (https://creativecommons.org/licenses/by/4.0/).
Share and Cite
Limani, R.; Lež, C.; Krušlin, B. Exploring the Relationship between E-Cadherin and β-Catenin Cell Adhesion Proteins and Periacinar Retraction Clefting in Prostatic Adenocarcinoma. Diagnostics 2024, 14, 511. https://doi.org/10.3390/diagnostics14050511
Limani R, Lež C, Krušlin B. Exploring the Relationship between E-Cadherin and β-Catenin Cell Adhesion Proteins and Periacinar Retraction Clefting in Prostatic Adenocarcinoma. Diagnostics. 2024; 14(5):511. https://doi.org/10.3390/diagnostics14050511
Chicago/Turabian StyleLimani, Rinë, Cvjetko Lež, and Božo Krušlin. 2024. "Exploring the Relationship between E-Cadherin and β-Catenin Cell Adhesion Proteins and Periacinar Retraction Clefting in Prostatic Adenocarcinoma" Diagnostics 14, no. 5: 511. https://doi.org/10.3390/diagnostics14050511
APA StyleLimani, R., Lež, C., & Krušlin, B. (2024). Exploring the Relationship between E-Cadherin and β-Catenin Cell Adhesion Proteins and Periacinar Retraction Clefting in Prostatic Adenocarcinoma. Diagnostics, 14(5), 511. https://doi.org/10.3390/diagnostics14050511

