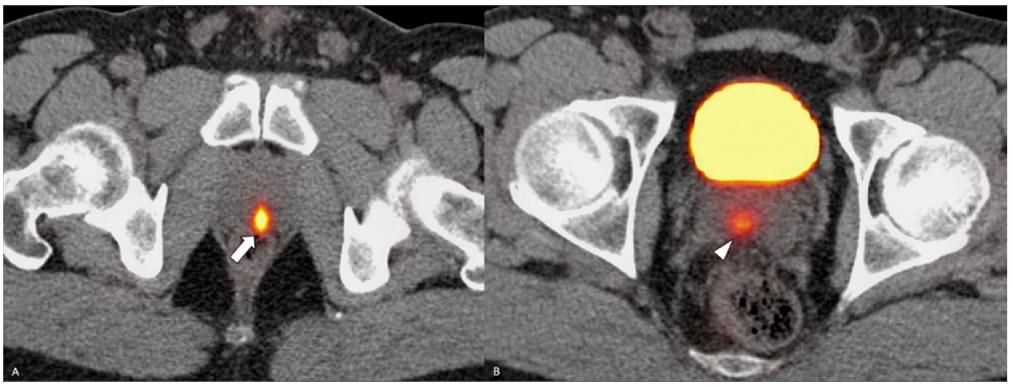
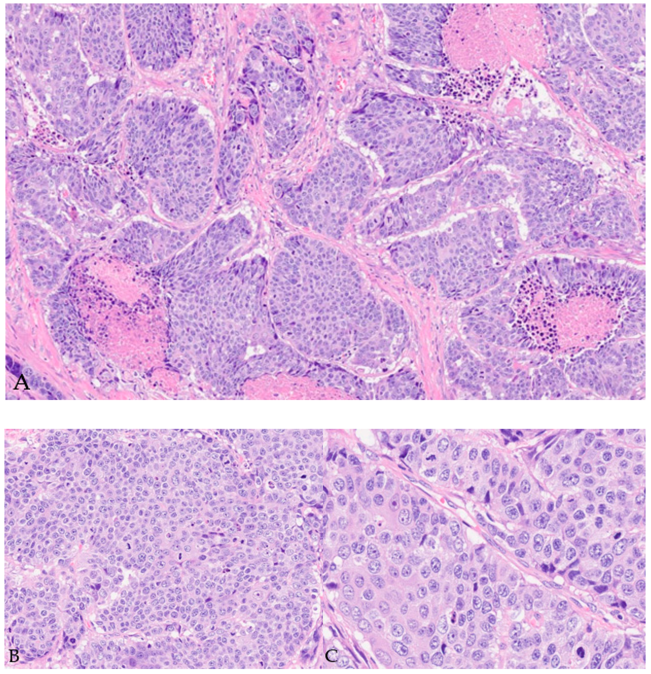
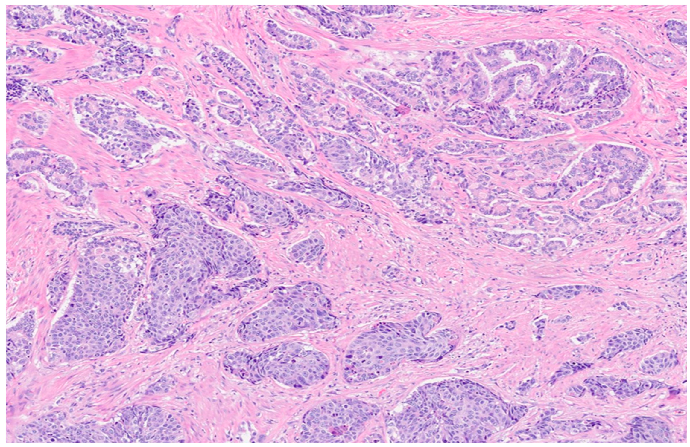
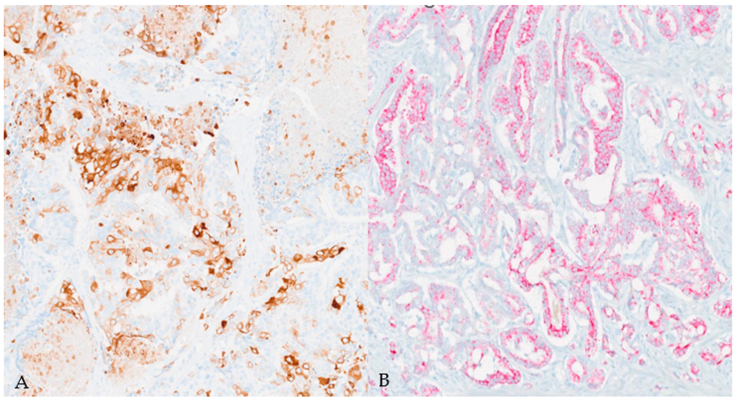
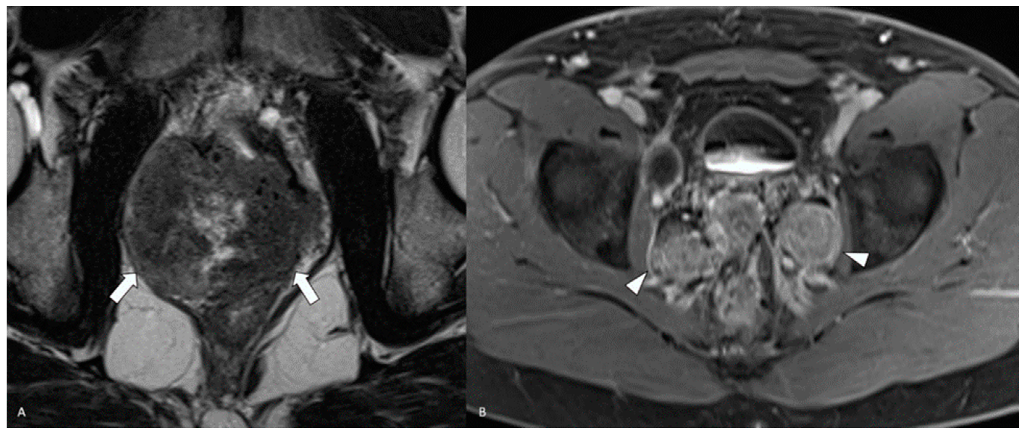
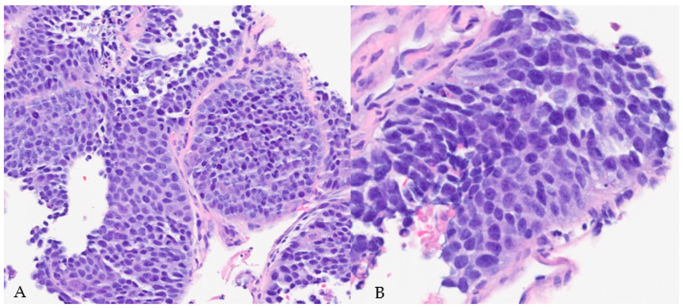
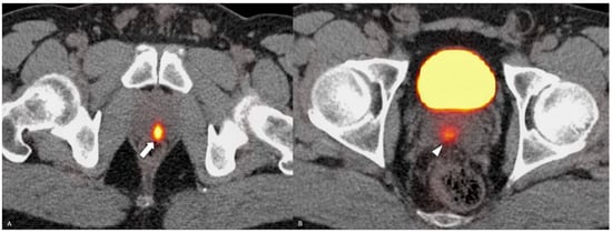
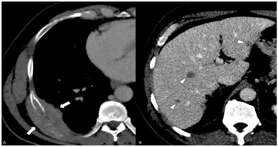
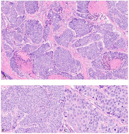
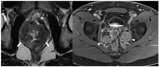
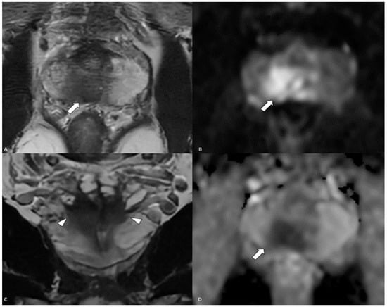
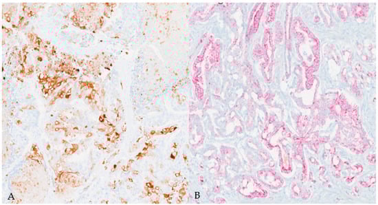
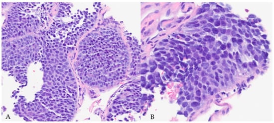
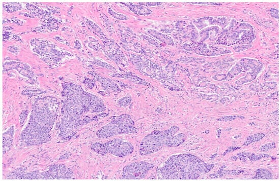
Primary Adenosquamous Carcinoma of the Prostate
Abstract
Author Contributions
Funding
Institutional Review Board Statement
Informed Consent Statement
Data Availability Statement
Conflicts of Interest
References
- Azzi, P.; Bossé, D.; Cagiannos, I.; Borowy-Borowski, P.; Tiberi, D. Primary adenosquamous carcinoma of the prostate with rectal invasion. Case Rep. Urol. 2022, 2022, 7613482. [Google Scholar] [CrossRef] [PubMed]
- Mishra, S.; Goel, H.; Awasthi, N.; Puri, A.; Mahapatra, R.; Pal, D.K. Primary adenosquamous carcinoma of the prostate: A rare aggressive tumor. Clin. Genitourin. Cancer 2014, 12, e29–e31. [Google Scholar] [CrossRef] [PubMed][Green Version]
- Biswas, T.; Podder, T.; Lepera, P.A.; Walker, P. Primary squamous cell carcinoma of the prostate: A case report of a rare clinical entity. Future Sci. OA 2015, 1, FSO18. [Google Scholar] [CrossRef] [PubMed]
- Isharwal, S.; Devitt, M.; Gupta, S.; Mithqal, A.; Tandon, Y.K. Adenosquamous carcinoma of the prostate with low PSMA expression. Int. Urol. Nephrol. 2023, 55, 613–615. [Google Scholar] [CrossRef] [PubMed]
- Singh, J.; Sarkar, K.; Vijay, M.; Chakraborty, D.; Pal, D.; Kundu, A. Adenosquamous carcinoma of the prostate: A rare aggressive tumor with a review of the literature. UroToday Int. J. 2013, 6, 3. [Google Scholar] [CrossRef]
- Alhamar, M.; Vladislav, T.; Smith, S.C.; Gao, Y.; Cheng, L.; Favazza, L.A.; Alani, A.M.; Ittmann, M.M.; Riddle, N.D.; Whiteley, L.J.; et al. Gene fusion characterisation of rare aggressive prostate cancer variants—Adenosquamous carcinoma, pleomorphic giant-cell carcinoma, and sarcomatoid carcinoma: An analysis of 19 cases. Histopathology 2020, 77, 890–899. [Google Scholar] [CrossRef] [PubMed]
- Wang, J.; Wang, F.W.; LaGrange, C.A.; Hemstreet, G.P. Clinical features and outcomes of 25 patients with primary adenosquamous cell carcinoma of the prostate. Rare Tumors 2010, 2, 130–134. [Google Scholar] [CrossRef] [PubMed]
- Accetta, P.A.; Gardner, W.A., Jr. Adenosquamous carcinoma of prostate. Urology 1983, 22, 73–75. [Google Scholar] [CrossRef] [PubMed]
- Devaney, D.M.; Dorman, A.; Leader, M. Adenosquamous carcinoma of the prostate: A case report. Hum. Pathol. 1991, 22, 1046–1050. [Google Scholar] [CrossRef] [PubMed]
- Kitamura, J.; Taguchi, S.; Okegawa, T.; Honda, K.; Kii, T.; Tomida, Y.; Matsumoto, R.; Ninomiya, N.; Masuda, K.; Nakamura, Y.; et al. Genomic analysis of circulating tumor cells in adenosquamous carcinoma of the prostate: A case report. BMC Med. Genom. 2021, 14, 217. [Google Scholar] [CrossRef] [PubMed]
- Hennessey, A.; Buller, D.; Sama, S.; Girard, E.; Clement, J.; Ristau, B.T. Case report: Adenosquamous carcinoma of the prostate with greater than 20 month response to multimodal therapy. Urol. Case Rep. 2020, 29, 101084. [Google Scholar] [CrossRef] [PubMed]
- Egilmez, T.; Bal, N.; Guvel, S.; Kilinc, F.; Ozkardes, H. Adenosquamous carcinoma of the prostate. Int. J. Urol. 2005, 12, 319–321. [Google Scholar] [CrossRef] [PubMed]
- Bassler, T.J., Jr.; Orozco, R.; Bassler, I.C.; Boyle, L.M.; Bormes, T. Adenosquamous carcinoma of the prostate: Case report with DNA analysis, immunohistochemistry, and literature review. Urology 1999, 53, 832–834. [Google Scholar] [CrossRef] [PubMed]
- Yang, J.; Xiao, L.; Gao, X.; Tang, Y.; Hu, S. Primary Adenosquamous Carcinoma of the Prostate With Multiple Heterogenic Metastases Demonstrated on 68Ga-PSMA and 18F-FDG PET/CT Imaging. Clin. Nucl. Med. 2024, 49, 180–181. [Google Scholar] [CrossRef] [PubMed]








| Study | Age | PSA Level (ng/mL) | Gleason Score | Grade Group | Met | Treatment | Follow-Up (Months) | Outcome |
|---|---|---|---|---|---|---|---|---|
| Accetta/1983 [8] | 77 | N/A | N/A | III/IV | manubrium, bone (T-11) | Ra, (DES) | N/A | N/A |
| Devaney/1991 [9] | 70 | N/A | N/A | III | No | DES | N/A | N/A |
| Kitamura/2021 [10] | 76 | 13.37 | 5 + 4 = 9 and 5 + 5 = 10 | V | lung, bone (ischium) | ADT, chemo | 13 | DD |
| Azzi/2022 [1] | 62 | 3.11 | 3 + 3 = 6 (<10%) | N/A | rectum, lung | Ra, chemo | 9 | AWND |
| Mishra/2014 [2] | 60 | 2.14 | N/A | N/A | bone | ADT | 9 | DD |
| Hennessey/2019 [11] | 66 | 12.7 | 5 + 5 = 10 | IV/V | bladder | ADT, Ra, chemo | 20 | AWND |
| Egilmez/2005 [12] | 58 | 12 | 2 + 1 = 3 (<10%) | N/A | No | ADT | 1 | DD |
| Bassler/1999 [13] | 55 | 8.5 | 4 + 3 = 7 | N/A | No | ADT, Ra | N/A | N/A |
| Singh/2013 [5] | 65 | 1.07 | N/A | N/A | No | Ra, chemo | 1 | DD |
| Yang/2024 [14] | 57 | 4.96 | 5 + 4 = 9 | V | Lung, bone, lymph nodes | ADT, Ra | N/A | N/A |
Disclaimer/Publisher’s Note: The statements, opinions and data contained in all publications are solely those of the individual author(s) and contributor(s) and not of MDPI and/or the editor(s). MDPI and/or the editor(s) disclaim responsibility for any injury to people or property resulting from any ideas, methods, instructions or products referred to in the content. |
© 2024 by the authors. Licensee MDPI, Basel, Switzerland. This article is an open access article distributed under the terms and conditions of the Creative Commons Attribution (CC BY) license (https://creativecommons.org/licenses/by/4.0/).
Share and Cite
Demianets, R.; Ren, D.; Houshyar, R.; Giannico, G.A.; Johnson, C. Primary Adenosquamous Carcinoma of the Prostate. Diagnostics 2024, 14, 645. https://doi.org/10.3390/diagnostics14060645
Demianets R, Ren D, Houshyar R, Giannico GA, Johnson C. Primary Adenosquamous Carcinoma of the Prostate. Diagnostics. 2024; 14(6):645. https://doi.org/10.3390/diagnostics14060645
Chicago/Turabian StyleDemianets, Roksolana, Dong Ren, Roozbeh Houshyar, Giovanna A. Giannico, and Cary Johnson. 2024. "Primary Adenosquamous Carcinoma of the Prostate" Diagnostics 14, no. 6: 645. https://doi.org/10.3390/diagnostics14060645
APA StyleDemianets, R., Ren, D., Houshyar, R., Giannico, G. A., & Johnson, C. (2024). Primary Adenosquamous Carcinoma of the Prostate. Diagnostics, 14(6), 645. https://doi.org/10.3390/diagnostics14060645

