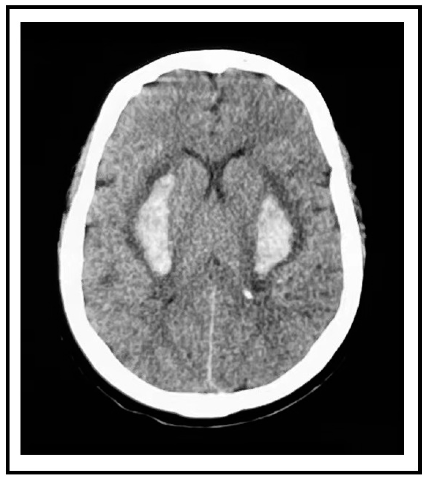
A 59-year-old female presented to the emergency department with a sudden loss of consciousness and complete quadriplegia. Her bilateral psychological reflection was weakened and the reflex of Babinski’s sign was positive. She had a history of poorly controlled and irregularly treated hypertension. Immediate non-contrast computed tomography (CT) revealed bilateral putaminal hemorrhages that were symmetrical (right side 10.7 mL, left side 11.37 mL). These two paired hemorrhages mirror each other in position and shape (
Figure 1). The magnetic resonance imaging of the head and computed tomography angiography of the head and neck did not show aneurysms, vascular malformations, vascular amyloidosis, or tumors (
Figure 2). This patient was considered a rare case of hypertensive spontaneous simultaneous bilateral intracranial hemorrhage (SSBICH) based on the following reasons: poor hypertension; the site of the hemorrhage, which is typical in hypertensive angiopathy; and no other etiology identified except for hypertension. The patient regained consciousness after two days of supported care in the intensive care unit. Nevertheless, there are residual psychiatric disorders, characterized by irritable personality alteration and behavioral abnormalities. These symptoms could be alleviated by sodium valproate, olanzapine, and chloral hydrate. Head CT scan one month later showed that the bilateral mirror hemorrhage had been almost completely absorbed before her discharge from the hospital. The patient’s modified Rankin Scale (mRS) score was 3 at three months.
Intracranial hemorrhage (ICH) is generally solitary and unilateral. With a prevalence ranging from 0.8% to 5.9% in all spontaneous ICHs [
1,
2,
3,
4], simultaneous multiple ICHs has been considered a rare entity. Simultaneous bilateral multiple ICHs account for nearly half of simultaneous multiple ICHs [
4]. The most common site of SSBICH is the basal ganglia, and, among all subtypes, they have the highest incidence of unfavorable prognosis [
5,
6].
A widely used etiological classification for ICH is SMASH-U (structured vascular lesion, medication, amyloid angiopathy, systemic disease, hypertension, undetermined) [
7]. The research of Wu et al. demonstrated that individuals with simultaneous multiple ICHs and those with a single ICH varied in the distribution of their etiologies [
1]. There is a greater incidence of systemic disease and a smaller percentage of hypertensive angiopathy in multiple ICHs compared to single ICHs. However, Alhashim et al. stated that hypertension is still acknowledged as the most common underlying etiology of SSBICH [
6]. The pathophysiological mechanism of hypertensive angiopathy is a lipohyalinotic change in the vessel wall, which typically develops in the small arteries that traverse deep brain tissue. Intracranial hemorrhage has been attributed to the rupture of perforating arteries or Charcot–Bouchard aneurysms induced by lipohyalinotic change [
8].
There are two main underlying hypotheses for bilateral ICHs, proposed by Kabuto et al. [
9]. First, bilateral microaneurysms or perforating arteries rupture simultaneously. Second, a blood pressure increase and hemodynamic changes after unilateral hemorrhage trigger the rupture of contralateral arteries. The interval between consecutive ruptures can range from a few seconds to several hours [
10]. It is challenging to identify either of these mechanisms unless there is a distinct sequence of neurological symptoms on each side. Analyzing the location of hematomas in 41 patients with simultaneous bilateral hypertensive putaminal or thalamic hemorrhages, Kenichi et al. discovered that bilateral symmetric hemorrhages are more frequent [
10]. Based on this phenomenon, a hypothesis that the distribution of lipohyalinotic change in perforating arteries is prone to be symmetric has been proposed. This symmetric distribution may make it easier for bilateral ruptures to happen simultaneously or over short intervals of time.
Our patient’s first symptom was the loss of consciousness without any unilateral local neurological symptoms. Her CT scan revealed bilateral hematomas with almost identical morphological characteristics. No prior research has documented such a mirror image of spontaneous cerebral bleeding. The short time lag and the mirror image are supportive evidence of our hypothesis that the distribution of lesions related to hypertension may be symmetric, which makes it more likely for bilateral ruptures to occur at the same time or over a very short amount of time. Additionally, it might suggest that both sides have comparable levels of hypertension vascular damage.
Author Contributions
Conceptualization, X.D., Y.L., E.Y., X.J. and C.W.; resources, C.W.; data curation, E.Y. and X.J.; writing—original draft preparation, X.D., Y.L., E.Y. and X.J.; writing—review and editing, C.W. and X.C.; funding acquisition, C.W. All authors have read and agreed to the published version of the manuscript.
Funding
This research was funded by the National Natural Science Foundation of China, grant number 82271507/82071468.
Institutional Review Board Statement
Not applicable.
Informed Consent Statement
Written informed consent has been obtained from the legal guardian of this patient to publish this paper.
Data Availability Statement
No new data were created or analyzed in this study. Data sharing is not applicable to this article.
Conflicts of Interest
The authors declare no conflicts of interest. The funders had no role in the design of the study; in the collection, analyses, or interpretation of data; in the writing of the manuscript; or in the decision to publish the results.
References
- Wu, T.Y.; Yassi, N.; Shah, D.G.; Ma, M.; Sharma, G.; Putaala, J.; Strbian, D.; Campbell, B.C.; Yan, B.; Tatlisumak, T.; et al. Simultaneous Multiple Intracerebral Hemorrhages (SMICH). Stroke 2017, 48, 581–586. [Google Scholar] [CrossRef] [PubMed]
- Chen, Y.; Hénon, H.; Bombois, S.; Pasquier, F.; Cordonnier, C. Multiple Simultaneous Spontaneous Intracerebral Hemorrhages: A Rare Entity. Cerebrovasc. Dis. 2016, 41, 74–79. [Google Scholar] [CrossRef] [PubMed]
- Takeuchi, S.; Takasato, Y.; Masaoka, H.; Hayakawa, T.; Yatsushige, H.; Sugawara, T. Simultaneous multiple hypertensive intracranial hemorrhages. J. Clin. Neurosci. 2011, 18, 1215–1218. [Google Scholar] [CrossRef] [PubMed]
- Yen, C.P.; Lin, C.L.; Kwan, A.L.; Lieu, A.S.; Hwang, S.L.; Lin, C.N.; Howng, S.L. Simultaneous multiple hypertensive intracerebral haemorrhages. Acta Neurochir. 2005, 147, 393–399; Discussion 399. [Google Scholar] [CrossRef] [PubMed]
- Laiwattana, D.; Sangsawang, B.; Sangsawang, N. Primary Multiple Simultaneous Intracerebral Hemorrhages between 1950 and 2013: Analysis of Data on Age, Sex and Outcome. Cerebrovasc. Dis. Extra 2014, 4, 102–114. [Google Scholar] [CrossRef] [PubMed]
- Alhashim, A.; Hadhiah, K.; Al-Dandan, H.; Aljaman, M.; Alabdali, M.; Alshurem, M.; Aljaafari, D.; AlQarni, M. Spontaneous Simultaneous Bilateral Basal Ganglia Hemorrhage (SSBBGH): Systematic Review and Data Analysis on Epidemiology, Clinical Feature, Location of Bleeding, Etiology, Therapeutic Intervention and Outcome. Vasc. Health Risk Manag. 2022, 18, 267–276. [Google Scholar] [CrossRef] [PubMed]
- Meretoja, A.; Strbian, D.; Putaala, J.; Curtze, S.; Haapaniemi, E.; Mustanoja, S.; Sairanen, T.; Satopää, J.; Silvennoinen, H.; Niemelä, M.; et al. SMASH-U: A proposal for etiologic classification of intracerebral hemorrhage. Stroke 2012, 43, 2592–2597. [Google Scholar] [CrossRef] [PubMed]
- Sheth, K.N. Spontaneous Intracerebral Hemorrhage. N. Engl. J. Med. 2022, 387, 1589–1596. [Google Scholar] [CrossRef] [PubMed]
- Kabuto, M.; Kubota, T.; Kobayashi, H.; Nakagawa, T.; Arai, Y.; Kitai, R. Simultaneous bilateral hypertensive intracerebral hemorrhages--two case reports. Neurol. Med. Chir. 1995, 35, 584–586. [Google Scholar] [CrossRef] [PubMed]
- Kono, K.; Terada, T. Simultaneous bilateral hypertensive putaminal or thalamic hemorrhage: Case report and systematic review of the literature. Turk. Neurosurg. 2014, 24, 434–437. [Google Scholar] [CrossRef] [PubMed]
| Disclaimer/Publisher’s Note: The statements, opinions and data contained in all publications are solely those of the individual author(s) and contributor(s) and not of MDPI and/or the editor(s). MDPI and/or the editor(s) disclaim responsibility for any injury to people or property resulting from any ideas, methods, instructions or products referred to in the content. |
© 2024 by the authors. Licensee MDPI, Basel, Switzerland. This article is an open access article distributed under the terms and conditions of the Creative Commons Attribution (CC BY) license (https://creativecommons.org/licenses/by/4.0/).