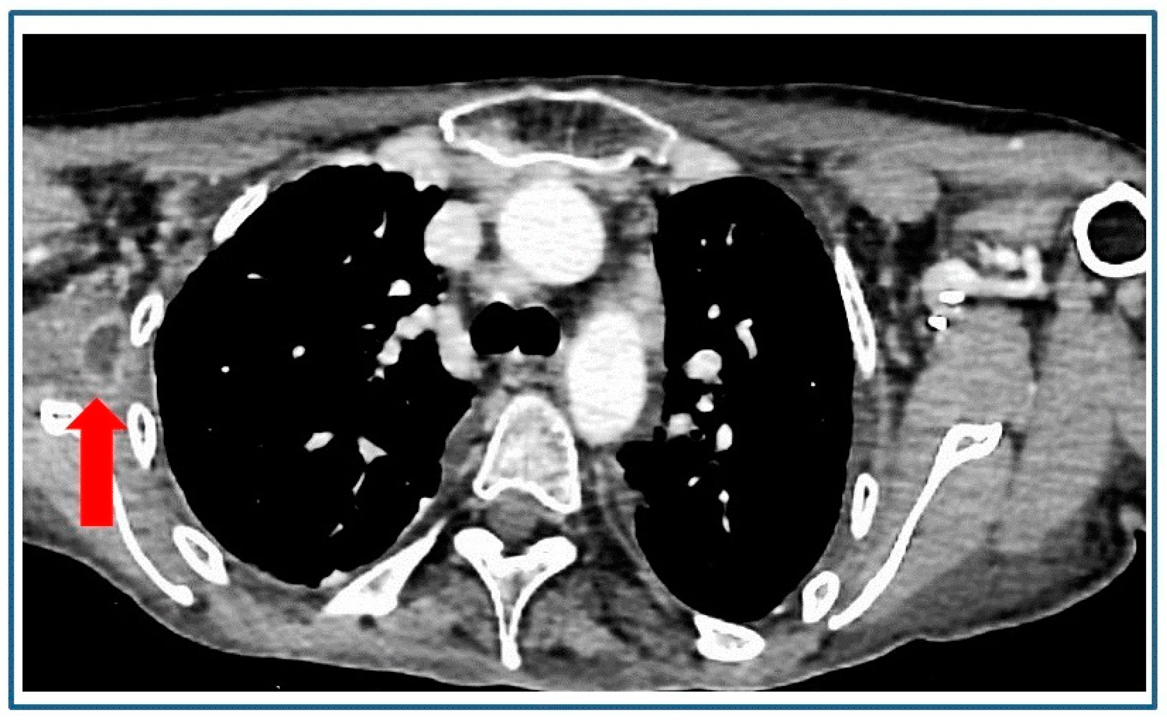
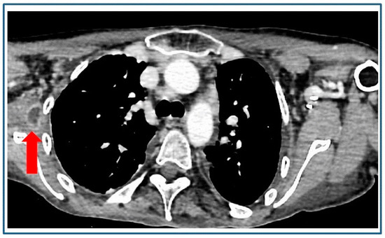
One Fell Swoop: Septic Muscle Embolism and Central Venous Catheter Infection Imaged with [18F] Fluorodeoxyglucose Positron Emission Tomography/Computed Tomography
Abstract


Author Contributions
Funding
Institutional Review Board Statement
Informed Consent Statement
Data Availability Statement
Conflicts of Interest
References
- Álvarez-Zaballos, S.; González-Ramallo, V.; Quintana, E.; Muñoz, P.; de la Villa-Martínez, S.; Fariñas, M.C.; Arnáiz-de Las Revillas, F.; de Alarcón, A.; Rodríguez-Esteban, M.Á.; Miró, J.M.; et al. Multivalvular Endocarditis: A Rare Condition with Poor Prognosis. J. Clin. Med. 2022, 11, 4736. [Google Scholar] [CrossRef] [PubMed]
- Aalaei-Andabili, S.H.; Martin, T.; Hess, P.; Hoh, B.; Anderson, M.; Klodell, C.T.; Beaver, T.M. Management of Septic Emboli in Patients with Infectious Endocarditis. J. Card. Surg. 2017, 32, 274–280. [Google Scholar] [CrossRef] [PubMed]
- Yano, S.; Usui, N.; Asai, O.; Dobashi, N.; Osawa, H.; Takei, Y.; Takahara, S.; Ogasawara, Y.; Yamaguchi, Y.; Saito, T.; et al. Septic Intramuscular Embolism in a Neutropenic Patient with Myelodysplastic Syndrome Accompanied by Asymptomatic Septic Pulmonary Emboli. Intern. Med. 2005, 44, 1100–1102. [Google Scholar] [CrossRef] [PubMed][Green Version]
- Ferro, P.; Boni, R.; Slart, R.H.; Erba, P.A. Imaging of Endocarditis and Cardiac Device-Related Infections: An Update. Semin. Nucl. Med. 2023, 53, 184–198. [Google Scholar] [CrossRef] [PubMed]
- Erba, P.A.; Lancellotti, P.; Vilacosta, I.; Gaemperli, O.; Rouzet, F.; Hacker, M.; Signore, A.; Slart, R.H.J.A.; Habib, G. Recommendations on Nuclear and Multimodality Imaging in IE and CIED Infections. Eur. J. Nucl. Med. Mol. Imaging 2018, 45, 1795–1815. [Google Scholar] [CrossRef] [PubMed]
- Filippi, L.; Schillaci, O. SPECT/CT with a Hybrid Camera: A New Imaging Modality for the Functional Anatomical Mapping of Infections. Expert. Rev. Med. Devices 2006, 3, 699–703. [Google Scholar] [CrossRef] [PubMed]
- Filippi, L.; Biancone, L.; Petruzziello, C.; Schillaci, O. Tc-99m HMPAO-Labeled Leukocyte Scintigraphy with Hybrid SPECT/CT Detects Perianal Fistulas in Crohn Disease. Clin. Nucl. Med. 2006, 31, 541–542. [Google Scholar] [CrossRef] [PubMed]
- Pizzi, M.N.; Roque, A.; Fernández-Hidalgo, N.; Cuéllar-Calabria, H.; Ferreira-González, I.; Gonzàlez-Alujas, M.T.; Oristrell, G.; Gracia-Sánchez, L.; González, J.J.; Rodríguez-Palomares, J.; et al. Improving the Diagnosis of Infective Endocarditis in Prosthetic Valves and Intracardiac Devices With 18F-Fluordeoxyglucose Positron Emission Tomography/Computed Tomography Angiography: Initial Results at an Infective Endocarditis Referral Center. Circulation 2015, 132, 1113–1126. [Google Scholar] [CrossRef] [PubMed]
- Akgun, E.; Akyel, R. Unexpected Septic Pulmonary Embolism Imaging with 18-F FDG PET/CT in an Infective Endocarditis Case: Case Report. Egypt. J. Radiol. Nucl. Med. 2022, 53, 230. [Google Scholar] [CrossRef]
- Mikail, N.; Benali, K.; Mahida, B.; Vigne, J.; Hyafil, F.; Rouzet, F.; Le Guludec, D. 18F-FDG-PET/CT Imaging to Diagnose Septic Emboli and Mycotic Aneurysms in Patients with Endocarditis and Cardiac Device Infections. Curr. Cardiol. Rep. 2018, 20, 14. [Google Scholar] [CrossRef] [PubMed]
- Amraoui, S.; Tlili, G.; Sohal, M.; Berte, B.; Hindié, E.; Ritter, P.; Ploux, S.; Denis, A.; Derval, N.; Rinaldi, C.A.; et al. Contribution of PET Imaging to the Diagnosis of Septic Embolism in Patients with Pacing Lead Endocarditis. JACC Cardiovasc. Imaging 2016, 9, 283–290. [Google Scholar] [CrossRef] [PubMed]
- Nakamoto, R.; Okuyama, C.; Ishizu, K.; Higashi, T.; Takahashi, M.; Kusano, K.; Kagawa, S.; Yamauchi, H. Diffusely Decreased Liver Uptake on FDG PET and Cancer-Associated Cachexia with Reduced Survival. Clin. Nucl. Med. 2019, 44, 634–642. [Google Scholar] [CrossRef] [PubMed]
- Spencer, B.A.; McBride, K.; Hunt, H.; Jones, T.; Cherry, S.R.; Badawi, R.D. Practical Considerations for Total-Body PET Acquisition and Imaging. Methods Mol. Biol. 2024, 2729, 371–389. [Google Scholar] [CrossRef] [PubMed]
- Mingels, C.; Caobelli, F.; Alavi, A.; Sachpekidis, C.; Wang, M.; Nalbant, H.; Pantel, A.R.; Shi, H.; Rominger, A.; Nardo, L. Total-Body PET/CT or LAFOV PET/CT? Axial Field-of-View Clinical Classification. Eur. J. Nucl. Med. Mol. Imaging 2023. ahead of print. [Google Scholar] [CrossRef] [PubMed]
Disclaimer/Publisher’s Note: The statements, opinions and data contained in all publications are solely those of the individual author(s) and contributor(s) and not of MDPI and/or the editor(s). MDPI and/or the editor(s) disclaim responsibility for any injury to people or property resulting from any ideas, methods, instructions or products referred to in the content. |
© 2024 by the authors. Licensee MDPI, Basel, Switzerland. This article is an open access article distributed under the terms and conditions of the Creative Commons Attribution (CC BY) license (https://creativecommons.org/licenses/by/4.0/).
Share and Cite
Filippi, L.; Lacanfora, A.; Garaci, F. One Fell Swoop: Septic Muscle Embolism and Central Venous Catheter Infection Imaged with [18F] Fluorodeoxyglucose Positron Emission Tomography/Computed Tomography. Diagnostics 2024, 14, 180. https://doi.org/10.3390/diagnostics14020180
Filippi L, Lacanfora A, Garaci F. One Fell Swoop: Septic Muscle Embolism and Central Venous Catheter Infection Imaged with [18F] Fluorodeoxyglucose Positron Emission Tomography/Computed Tomography. Diagnostics. 2024; 14(2):180. https://doi.org/10.3390/diagnostics14020180
Chicago/Turabian StyleFilippi, Luca, Annamaria Lacanfora, and Francesco Garaci. 2024. "One Fell Swoop: Septic Muscle Embolism and Central Venous Catheter Infection Imaged with [18F] Fluorodeoxyglucose Positron Emission Tomography/Computed Tomography" Diagnostics 14, no. 2: 180. https://doi.org/10.3390/diagnostics14020180
APA StyleFilippi, L., Lacanfora, A., & Garaci, F. (2024). One Fell Swoop: Septic Muscle Embolism and Central Venous Catheter Infection Imaged with [18F] Fluorodeoxyglucose Positron Emission Tomography/Computed Tomography. Diagnostics, 14(2), 180. https://doi.org/10.3390/diagnostics14020180

