Can Radiological Renal Artery Parameters Predict Acute Kidney Injury in Infective Endocarditis Surgery?—From Imaging to Outcomes
Abstract
1. Introduction
2. Materials and Methods
2.1. Study Population
2.2. Ethics Statement
2.3. Infective Endocarditis Criteria
2.4. Indication for Valve Surgery
2.5. Valve Replacement Surgery for Endocarditis
2.6. Acute Kidney Injury
2.7. Computed Tomography Protocol
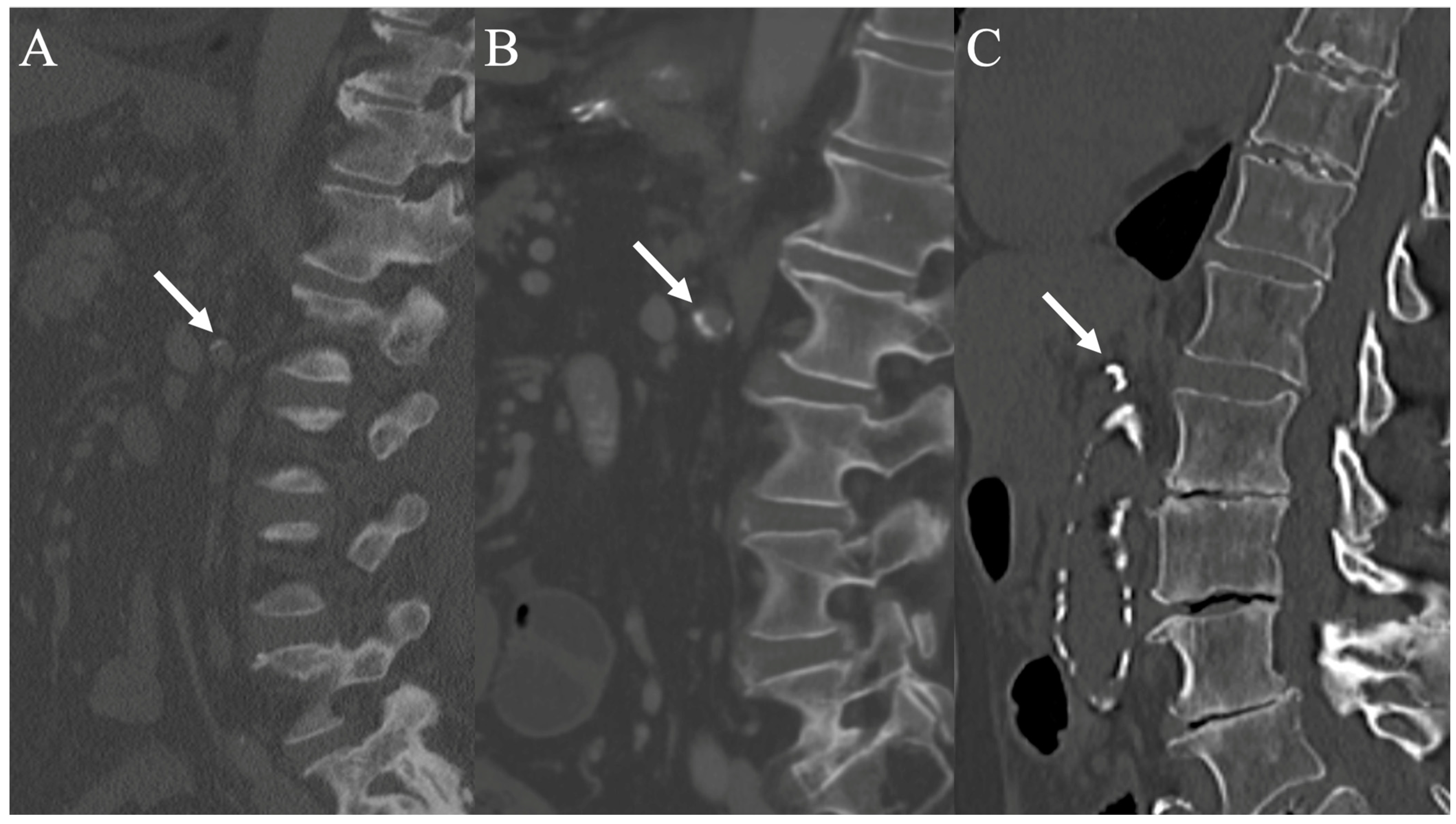
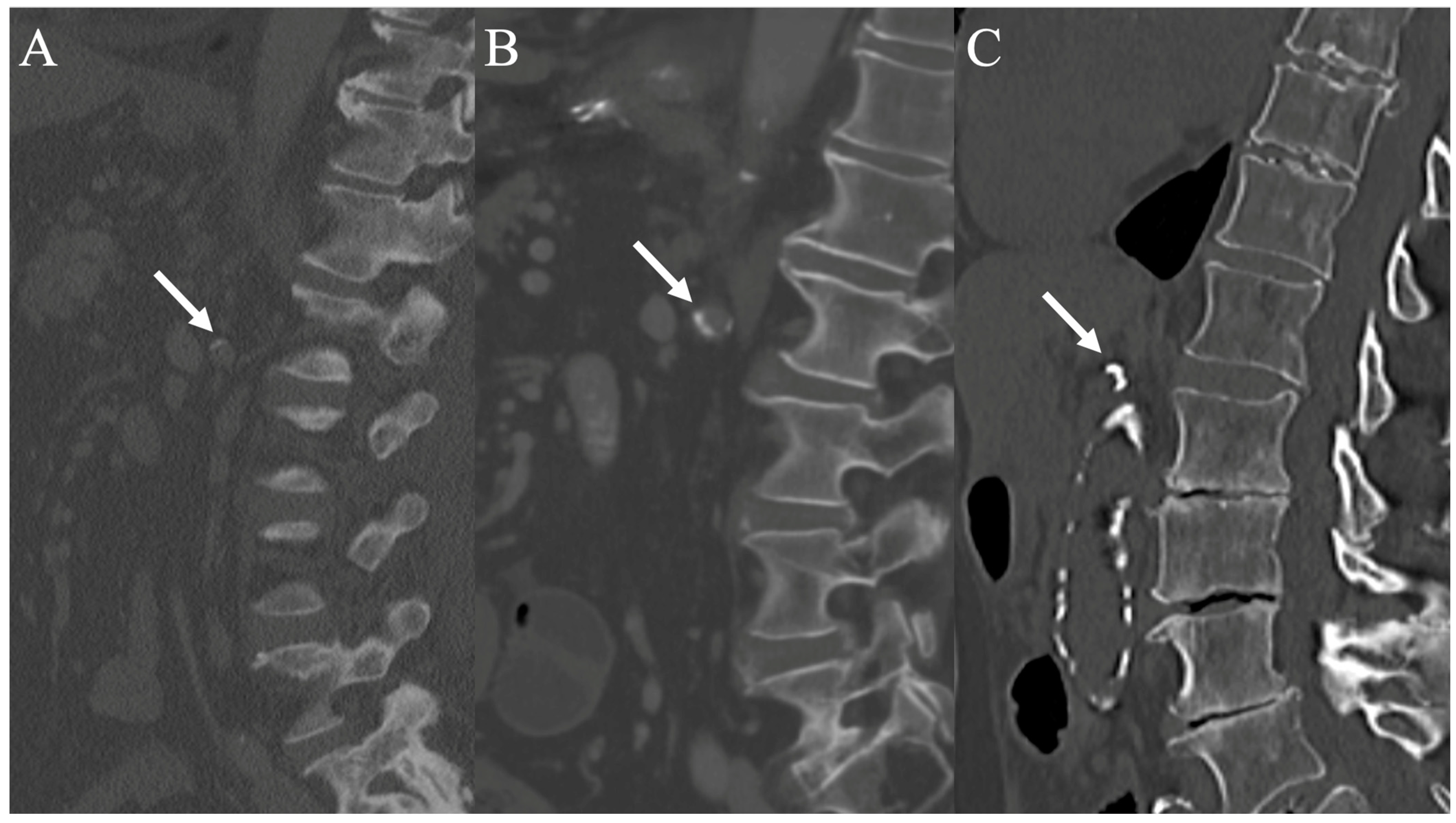
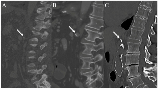
2.8. Radiological Analysis and Measurements
2.9. Outcomes Investigated
2.10. Statistical Analysis
3. Results
3.1. Flow Chart of Study Cohort
3.2. Baseline Characteristics
3.3. Kaplan–Meier Analysis
3.4. Comparison of Anatomical Measures in Patients with and Without AKI
3.5. Binary Logistic Regression
3.6. Linear Logistic Regression
3.7. Cox Hazard Regression
4. Discussion
4.1. Complex Pathophysiology of AKI in Cardiac Surgery
4.2. Alternative Pathomechanisms: Inflammatory and Immune-Mediated Damage
4.3. Clinical and Procedural Factors
4.4. Impact of Additional Renal Arteries on Short-Term Mortality
- Increased Surgical Complexity and Hemodynamic Instability: The presence of multiple renal arteries introduces anatomical complexity, which can complicate both the surgical procedure and perioperative management. During valvular surgery, maintaining stable renal perfusion is critical, particularly in the context of endocarditis, where systemic inflammation and infection are already taxing the cardiovascular system. The additional renal arteries may alter the expected hemodynamic responses, making it more difficult to manage renal blood flow intraoperatively. This could lead to suboptimal perfusion, acute kidney injury (AKI), or other complications that contribute to higher short-term mortality [31].
- Underlying Systemic Vascular Disease: The presence of additional renal arteries might not be merely an anatomical variation but could also reflect underlying systemic vascular conditions. These additional arteries may be more susceptible to atherosclerosis or other vascular pathologies, potentially compromising renal function. Given the systemic nature of endocarditis, which often involves widespread vascular damage, the presence of additional renal arteries might exacerbate the already increased risk of vascular complications during surgery [32].
- Impact on Renal Function and Perfusion: While additional renal arteries might theoretically provide compensatory blood flow, their presence could also indicate a more complex vascular network that is prone to dysfunction, particularly under the stress of major surgery. For example, if these arteries are narrower or more tortuous than normal, they could contribute to uneven perfusion or be more easily compromised by embolic events during surgery [33,34]. In patients with endocarditis, who are already at risk for embolization due to vegetations on the valves, this could further impair renal perfusion and increase the risk of acute postoperative complications, including mortality.
5. Limitations
- Retrospective Design: The retrospective nature of this study introduces inherent limitations, including potential selection bias and incomplete data. Although efforts were made to include a well-defined cohort, the reliance on existing records for preoperative and postoperative data may have resulted in missed or inaccurate information. Specifically, the absence of complete urine output data for some patients restricted our ability to utilize all available AKI diagnostic criteria, potentially affecting the accuracy of AKI assessment.
- Selection Bias: Due to the retrospective design and the single-center setting, there is a possibility of selection bias, as patient inclusion was dependent on available clinical and radiological data, which may not be representative of the broader population of IE patients undergoing surgery.
- Sample Size, Generalizability, and Power: The final analysis was limited to 80 patients out of an initial cohort of 130, which is primarily due to exclusions related to missing CT imaging or pre-existing renal conditions. This reduced sample size may affect the generalizability of our findings. Furthermore, the study was conducted at a single tertiary care center, which may limit the applicability of the results to other populations with different demographic or clinical characteristics. Additionally, a post hoc power analysis (G*Power 3.1) revealed that the study had a power of 50–60%, which is lower than the conventional threshold of 80% for detecting significant effects. The power analysis was conducted with an alpha (α) level of 0.05 (the standard threshold for statistical significance) and a beta (β) level of 0.2 (corresponding to a statistical power of 80%). This suggests that the study may have been underpowered to detect subtle relationships between radiological parameters and AKI, and a larger sample size would likely be necessary to improve the robustness of the findings.
- Radiological Parameter Analysis: While we assessed a range of radiological parameters, including renal artery calcification and ostial calcification, the associations with AKI were not significant. It is possible that other unmeasured anatomical or physiological factors might play a role in AKI risk that were not captured by our imaging analyses. Additionally, the quality of CT imaging and the variability in radiological interpretation could impact the accuracy of the anatomical measurements and their associations with AKI.
6. Conclusions
Author Contributions
Funding
Institutional Review Board Statement
Informed Consent Statement
Data Availability Statement
Acknowledgments
Conflicts of Interest
References
- Sebastian, S.A.; Co, E.L.; Mehendale, M.; Sudan, S.; Manchanda, K.; Khan, S. Challenges and Updates in the Diagnosis and Treatment of Infective Endocarditis. Curr. Probl. Cardiol. 2022, 47, 101267. [Google Scholar] [CrossRef]
- Rajani, R.; Klein, J.L. Infective endocarditis: A contemporary update. Clin. Med. 2020, 20, 31–35. [Google Scholar] [CrossRef] [PubMed]
- Iaccarino, A.; Barbone, A.; Basciu, A.; Cuko, E.; Droandi, G.; Galbiati, D.; Romano, G.; Citterio, E.; Fumero, A.; Scarfò, I.; et al. Surgical Challenges in Infective Endocarditis: State of the Art. J. Clin. Med. 2023, 12, 5891. [Google Scholar] [CrossRef] [PubMed]
- Cuervo, G.; Escrihuela-Vidal, F.; Gudiol, C.; Carratalà, J. Current Challenges in the Management of Infective Endocarditis. Front. Med. 2021, 8, 641243. [Google Scholar] [CrossRef] [PubMed]
- Rezar, R.; Lichtenauer, M.; Haar, M.; Hödl, G.; Kern, J.M.; Zhou, Z.; Wuppinger, T.; Kraus, J.; Strohmer, B.; Hoppe, U.C.; et al. Infective endocarditis—A review of current therapy and future challenges. Hell. J. Cardiol. HJC = Hell. Kardiol. Ep. 2021, 62, 190–200. [Google Scholar] [CrossRef]
- Arjomandi Rad, A.; Zubarevich, A.; Osswald, A.; Vardanyan, R.; Magouliotis, D.E.; Ansaripour, A.; Kourliouros, A.; Sá, M.P.; Rassaf, T.; Ruhparwar, A.; et al. The Surgical Treatment of Infective Endocarditis: A Comprehensive Review. Diagnostics 2024, 14, 464. [Google Scholar] [CrossRef]
- Pettersson, G.B.; Hussain, S.T. Current AATS guidelines on surgical treatment of infective endocarditis. Ann. Cardiothorac. Surg. 2019, 8, 630–644. [Google Scholar] [CrossRef]
- Dinges, C.; Dienhart, C.; Gansterer, K.; Rodemund, N.; Rezar, R.; Steindl, J.; Huttegger, R.; Kirnbauer, M.; Kalisnik, J.M.; Kokoefer, A.S.; et al. Beyond the Valve: Incidence, Outcomes, and Modifiable Factors of Acute Kidney Injury in Patients with Infective Endocarditis Undergoing Valve Surgery-A Retrospective, Single-Center Study. J. Clin. Med. 2024, 13, 4450. [Google Scholar] [CrossRef]
- Gagneux-Brunon, A.; Pouvaret, A.; Maillard, N.; Berthelot, P.; Lutz, M.F.; Cazorla, C.; Tulane, C.; Fuzellier, J.F.; Verhoeven, P.O.; Frésard, A.; et al. Acute kidney injury in infective endocarditis: A retrospective analysis. Med. Mal. Infect. 2019, 49, 527–533. [Google Scholar] [CrossRef]
- Mojica, T.N.; Cárdenas, A.C.; Salanova, L.; Rojas, I.G.; López-Alvarado, P.R.; Sánchez, A.N.; Ruano, P.; Quiroga, B. AKI development is an independent predictor of mortality in infective endocarditis. Nefrologia 2024, 44, 509–518. [Google Scholar] [CrossRef]
- Ortega-Loubon, C.; Fernández-Molina, M.; Carrascal-Hinojal, Y.; Fulquet-Carreras, E. Cardiac surgery-associated acute kidney injury. Ann. Card. Anaesth. 2016, 19, 687–698. [Google Scholar] [CrossRef] [PubMed]
- Hermanns, H.; Alberts, T.; Preckel, B.; Strypet, M.; Eberl, S. Perioperative Complications in Infective Endocarditis. J. Clin. Med. 2023, 12, 5762. [Google Scholar] [CrossRef] [PubMed]
- Nadim, M.K.; Forni, L.G.; Bihorac, A.; Hobson, C.; Koyner, J.L.; Shaw, A.; Arnaoutakis, G.J.; Ding, X.; Engelman, D.T.; Gasparovic, H.; et al. Cardiac and Vascular Surgery-Associated Acute Kidney Injury: The 20th International Consensus Conference of the ADQI (Acute Disease Quality Initiative) Group. J. Am. Heart Assoc. 2018, 7, e008834. [Google Scholar] [CrossRef] [PubMed]
- Kim, J.S.; Hwang, H.S. Vascular Calcification in Chronic Kidney Disease: Distinct Features of Pathogenesis and Clinical Implication. Korean Circ. J. 2021, 51, 961–982. [Google Scholar] [CrossRef] [PubMed]
- Habib, G.; Lancellotti, P.; Antunes, M.J.; Bongiorni, M.G.; Casalta, J.P.; Del Zotti, F.; Dulgheru, R.; El Khoury, G.; Erba, P.A.; Iung, B.; et al. Endorsed by: European Association for Cardio-Thoracic Surgery (EACTS), the European Association of Nuclear Medicine (EANM). Eur. Heart J. 2015, 36, 3075–3128. [Google Scholar] [CrossRef]
- Davierwala, P.M.; Marin-Cuartas, M.; Misfeld, M.; Borger, M.A. The value of an “Endocarditis Team”. Ann. Cardiothorac. Surg. 2019, 8, 621–629. [Google Scholar] [CrossRef]
- Davis, B.; Marin, D.; Hurwitz, L.M.; Ronald, J.; Ellis, M.J.; Ravindra, K.V.; Collins, B.H.; Kim, C.Y. Application of a Novel CT-Based Iliac Artery Calcification Scoring System for Predicting Renal Transplant Outcomes. AJR. Am. J. Roentgenol. 2016, 206, 436–441. [Google Scholar] [CrossRef]
- Vives, M.; Hernandez, A.; Parramon, F.; Estanyol, N.; Pardina, B.; Muñoz, A.; Alvarez, P.; Hernandez, C. Acute kidney injury after cardiac surgery: Prevalence, impact and management challenges. Int. J. Nephrol. Renov. Dis. 2019, 12, 153–166. [Google Scholar] [CrossRef]
- Carlström, M.; Wilcox, C.S.; Arendshorst, W.J. Renal autoregulation in health and disease. Physiol. Rev. 2015, 95, 405–511. [Google Scholar] [CrossRef]
- Mao, H.; Katz, N.; Ariyanon, W.; Blanca-Martos, L.; Adýbelli, Z.; Giuliani, A.; Danesi, T.H.; Kim, J.C.; Nayak, A.; Neri, M.; et al. Cardiac surgery-associated acute kidney injury. Cardiorenal Med. 2013, 3, 178–199. [Google Scholar] [CrossRef]
- Goren, O.; Matot, I. Perioperative acute kidney injury. Br. J. Anaesth. 2015, 115 (Suppl. 2), ii3–ii14. [Google Scholar] [CrossRef] [PubMed]
- Morales-Alvarez, M.C. Nephrotoxicity of Antimicrobials and Antibiotics. Adv. Chronic Kidney Dis. 2020, 27, 31–37. [Google Scholar] [CrossRef] [PubMed]
- Scurt, F.G.; Bose, K.; Mertens, P.R.; Chatzikyrkou, C.; Herzog, C. Cardiac Surgery-Associated Acute Kidney Injury. Kidney360 2024, 5, 909–926. [Google Scholar] [CrossRef] [PubMed]
- Basile, D.P.; Anderson, M.D.; Sutton, T.A. Pathophysiology of acute kidney injury. Compr. Physiol. 2012, 2, 1303–1353. [Google Scholar] [CrossRef] [PubMed]
- Mok, V.; Nixon, J.; Hu, J.; Ma, D. The impact of perioperative acute kidney injury/failure on short and long surgical outcomes. Anesthesiol. Perioper. Sci. 2023, 1, 9. [Google Scholar] [CrossRef]
- Eid, M.M. Infective endocarditis with embolic renal infarct presenting as acute abdomen. Clin. Exp. Emerg. Med. 2021, 8, 145–148. [Google Scholar] [CrossRef]
- Kwiatkowska, E.; Kwiatkowski, S.; Dziedziejko, V.; Tomasiewicz, I.; Domański, L. Renal Microcirculation Injury as the Main Cause of Ischemic Acute Kidney Injury Development. Biology 2023, 12, 327. [Google Scholar] [CrossRef]
- Quintana, E.; Ranchordas, S.; Ibáñez, C.; Danchenko, P.; Smit, F.E.; Mestres, C.A. Perioperative care in infective endocarditis. Indian J. Thorac. Cardiovasc. Surg. 2024, 40 (Suppl. 1), 115–125. [Google Scholar] [CrossRef]
- Udzik, J.; Pacholewicz, J.; Biskupski, A.; Walerowicz, P.; Januszkiewicz, K.; Kwiatkowska, E. Alterations to Kidney Physiology during Cardiopulmonary Bypass-A Narrative Review of the Literature and Practical Remarks. J. Clin. Med. 2023, 12, 6894. [Google Scholar] [CrossRef]
- Farooqi, S.; Dickhout, J.G. Major comorbid disease processes associated with increased incidence of acute kidney injury. World J. Nephrol. 2016, 5, 139–146. [Google Scholar] [CrossRef]
- Haase-Fielitz, A.; Haase, M.; Bellomo, R.; Calzavacca, P.; Spura, A.; Baraki, H.; Kutschka, I.; Albert, C. Perioperative Hemodynamic Instability and Fluid Overload are Associated with Increasing Acute Kidney Injury Severity and Worse Outcome after Cardiac Surgery. Blood Purif. 2017, 43, 298–308. [Google Scholar] [CrossRef] [PubMed]
- Farrah, T.E.; Dhillon, B.; Keane, P.A.; Webb, D.J.; Dhaun, N. The eye, the kidney, and cardiovascular disease: Old concepts, better tools, and new horizons. Kidney Int. 2020, 98, 323–342. [Google Scholar] [CrossRef] [PubMed]
- Yufa, A.; Mikael, A.; Lara, G.; Nurick, H.; Andacheh, I. Accessory renal arteries involved in atherosclerotic occlusive disease at the aortic bifurcation. J. Vasc. Surg. Cases Innov. Tech. 2020, 6, 425–429. [Google Scholar] [CrossRef] [PubMed]
- Gulas, E.; Wysiadecki, G.; Szymański, J.; Majos, A.; Stefańczyk, L.; Topol, M.; Polguj, M. Morphological and clinical aspects of the occurrence of accessory (multiple) renal arteries. Arch. Med. Sci. AMS 2018, 14, 442–453. [Google Scholar] [CrossRef]



| Category | Score | Definition |
|---|---|---|
| Morphology | 0 | No calcifications |
| 1 | Thin linear (eggshell-type) calcifications under 1 mm | |
| 2 | Thick linear calcifications over 1 mm | |
| 3 | Bulky calcifications over 2 mm | |
| Circumference and length (artery only) | 0 | No calcifications |
| 1 | 1–25% involvement | |
| 2 | 26–50% | |
| 3 | 51–75% | |
| 4 | 76–100% |
| Total | AKI+ | AKI− | p-Value | |
|---|---|---|---|---|
| No. (%) | ||||
| Total | 80 (100) | 31 (38.8) | 49 (61.2) | - |
| Gender (male) | 58 (72.5) | 22 (71.0) | 36 (73.5) | 0.807 |
| Pre-existing Conditions | ||||
| Diabetes Mellitus | 16 (20.0) | 4 (12.9) | 12 (24.5) | 0.207 |
| Arterial Hypertension | 41 (51.2) | 18 (58.1) | 23 (46.9) | 0.332 |
| CVD | 26 (32.5) | 11 (35.5) | 15 (30.6) | 0.650 |
| Atrial Fibrillation | 23 (28.7) | 12 (38.7) | 11 (22.4) | 0.117 |
| COPD | 7 (8.8) | 5 (16.1) | 2 (4.1) | 0.063 |
| PAOD | 6 (7.5) | 3 (9.7) | 3 (6.1) | 0.556 |
| Chronic Kidney Disease | 10 (12.5) | 3 (9.7) | 7 (14.3) | 0.544 |
| Chronic Heart Failure | 16 (20.0) | 4 (12.9) | 12 (24.5) | 0.207 |
| Premedication | ||||
| Beta-Blocker | 39 (48.8) | 20 (64.5) | 19 (38.8) | 0.025 |
| Diuretics | 33 (41.3) | 18 (58.1) | 15 (30.6) | 0.015 |
| ACEI/ARB/ARNI | 24 (30.0) | 13 (41.9) | 11 (22.4) | 0.064 |
| Preoperative Conditions | ||||
| Elective Surgery | 3 (3.8) | 1 (3.2) | 2 (4.1) | 0.392 |
| Urgent Surgery | 61 (76.3) | 24 (77.4) | 37 (75.5) | 0.775 |
| Emergency Surgery | 16 (20.0) | 6 (19.4) | 10 (20.4) | 0.810 |
| Intraoperative Conditions | ||||
| Prosthetic Valve Endocarditis | 24 (30.0) | 12 (38.5) | 12 (24.5) | 0.176 |
| Endocarditis of One Heart Valve | 66 (82.5) | 24 (77.4) | 42 (85.7) | 0.341 |
| Endocarditis of Two Heart Valves | 14 (17.5) | 7 (22.6) | 7 (14.3) | 0.341 |
| Endocarditis of Three Heart Valves | 0 (0.0) | 0 (0.0) | 0 (0.0) | 1.000 |
| Aortic Valve Endocarditis | 54 (67.5) | 23 (74.2) | 31 (63.3) | 0.256 |
| Mitral Valve Endocarditis | 36 (45.0) | 14 (45.2) | 22 (44.9) | 0.831 |
| Tricuspid Valve Endocarditis | 3 (3.8) | 1 (3.2) | 2 (4.1) | 0.743 |
| Pulmonary Valve Endocarditis | 1 (1.3) | 0 (0.0) | 1 (2.0) | 0.798 |
| Postoperative Conditions | ||||
| ECMO | 4 (5.0) | 3 (9.7) | 1 (2.0) | 0.127 |
| Bleeding/Tamponade | 8 (10.0) | 5 (16.1) | 3 (6.1) | 0.146 |
| Stroke | 4 (5.0) | 2 (6.5) | 2 (4.1) | 0.636 |
| Valvular Complications | 1 (1.3) | 1 (3.2) | 0 (0.0) | 0.206 |
| Third-Degree Atrioventricular Block | 8 (10.0) | 2 (6.5) | 6 (12.2) | 0.400 |
| Sepsis | 1 (1.3) | 0 (0.0) | 1 (2.0) | 0.423 |
| In-Hospital Death | 12 (15.0) | 10 (32.3) | 2 (4.1) | 0.001 |
| Mean ± SD | ||||
| Age (years) | 61.5 ± 13.9 | 65.2 ± 11.9 | 59.2 ± 14.7 | 0.183 |
| Height (cm) | 173.2 ± 8.3 | 172.2 ± 7.6 | 173.8 ± 8.8 | 0.387 |
| Weight (kg) | 80.4 ± 15.9 | 85.2 ± 16.0 | 77.4 ± 15.2 | 0.564 |
| BMI (kg/m2) | 26.8 ± 4.8 | 28.7 ± 4.9 | 25.6 ± 4.3 | 0.822 |
| BSA (m2) | 1.9 ± 0.2 | 2.0 ± 0.2 | 1.9 ± 0.2 | 0.498 |
| EuroScore II | 10.6 ± 10.4 | 14.1 ± 10.4 | 8.5 ± 9.9 | 0.393 |
| Surgery Time (min) | 284.7 ± 115.1 | 335.2 ± 108.3 | 252.7 ± 108.6 | 0.280 |
| Clamping Time (min) | 110.0 ± 55.6 | 135.2 ± 63.2 | 94.1 ± 44.0 | 0.295 |
| Perfusion Time (min) | 168.2 ± 90.0 | 211.7 ± 103.3 | 140.7 ± 68.4 | 0.393 |
| Median ± IQR | ||||
| LVEF (%) | 55.0 ± 4.5 | 55.0 ± 4.0 | 55.0 ± 5.3 | 0.760 |
| Creatinine D-1 | 0.9 ± 0.5 | 0.9 ± 0.4 | 0.8 ± 0.5 | 0.207 |
| Creatinine D0 | 1.3 ± 0.8 | 1.5 ± 0.2 | 0.9 ± 0.5 | 0.083 |
| Creatinine D1 | 1.4 ± 0.9 | 1.6 ± 0.4 | 0.8 ± 0.6 | 0.015 |
| Creatinine D2 | 1.4 ± 1.4 | 2.2 ± 1.0 | 0.9 ± 0.7 | <0.001 |
| Creatinine D3 | 1.5 ± 1.0 | 1.8 ± 1.0 | 1.1 ± 0.7 | <0.001 |
| Creatinine D4 | 1.3 ± 0.9 | 1.5 ± 1.0 | 1.0 ± 0.7 | <0.001 |
| Creatinine D5 | 1.2 ± 0.7 | 1.3 ± 0.9 | 0.9 ± 0.7 | <0.001 |
| Creatinine D6 | 1.2 ± 0.9 | 1.4 ± 1.1 | 1.0 ± 0.7 | <0.001 |
| Creatinine D7 | 1.3 ± 0.8 | 1.3 ± 1.2 | 1.0 ± 0.7 | 0.003 |
| Urine Output 1–2 h postop. (mL) | 40.0 ± 57.5 | 30.0 ± 25.0 | 65.0 ± 73.8 | 0.089 |
| Urine Output 2–3 h postop. (mL) | 40.0 ± 65.0 | 20.0 ± 30.0 | 55.0 ± 75.0 | 0.123 |
| Fluid Volume—intraop. (L) | 3.2 ± 1.7 | 3.5 ± 1.9 | 3.2 ± 1.7 | 0.381 |
| Overall | AKI+ | AKI− | p-Value | |
|---|---|---|---|---|
| Overall | ||||
| Ostium Entirety | 2.5 ± 6.3 | 3.0 ± 8.3 | 0.0 ± 6.3 | 0.186 |
| Artery Entirety | 0.0 ± 0.0 | 0.0 ± 2.3 | 0.0 ± 0.0 | 0.517 |
| Ostium + Artery Entirety | 3.0 ± 9.0 | 3.0 ± 9.0 | 0.0 ± 9.3 | 0.154 |
| Additional Artery (%) | 21/80 | 9/31 | 12/49 | 0.225 |
| Infarction (%) | 18/80 | 6/31 | 12/49 | 0.307 |
| Right | ||||
| Ostium Morphology | 0.0 ± 2.0 | 0.0 ± 2.0 | 0.0 ± 2.0 | 0.868 |
| Ostium Circumference | 0.0 ± 1.0 | 0.0 ± 1.0 | 0.0 ± 1.0 | 0.788 |
| Ostium Entirety | 0.0 ± 3.0 | 0.0 ± 3.0 | 0.0 ± 3.3 | 0.702 |
| Artery Morphology | 0.0 ± 0.0 | 0.0 ± 0.0 | 0.0 ± 0.0 | 0.737 |
| Artery Circumference | 0.0 ± 0.0 | 0.0 ± 0.0 | 0.0 ± 0.0 | 0.866 |
| Artery Length | 0.0 ±0.0 | 0.0 ± 0.0 | 0.0 ± 0.0 | 0.794 |
| Artery Entirety | 0.0 ± 0.0 | 0.0 ± 0.0 | 0.0 ± 0.0 | 0.726 |
| Ostium + Artery Entirety | 0.0 ± 4.0 | 0.0 ± 4.0 | 0.0 ± 4.0 | 0.568 |
| Additional Artery (%) | 10/80 | 4/31 | 6/49 | 1.000 |
| Infarction (%) | 8/80 | 4/31 | 9/49 | 0.452 |
| Left | ||||
| Ostium Morphology | 0.0 ± 2.0 | 2.0 ± 2.0 | 0.0 ± 2.0 | 0.223 |
| Ostium Circumference | 0.0 ± 1.3 | 1.0 ± 2.0 | 0.0 ± 1.0 | 0.115 |
| Ostium Entirety | 0.0 ± 4.0 | 3.0 ± 4.0 | 0.0 ± 4.0 | 0.134 |
| Artery Morphology | 0.0 ± 0.0 | 0.0 ± 0.0 | 0.0 ± 0.0 | 0.688 |
| Artery Circumference | 0.0 ± 0.0 | 0.0 ± 0.0 | 0.0 ± 0.0 | 0.711 |
| Artery Length | 0.0 ± 0.0 | 0.0 ± 0.0 | 0.0 ± 0.0 | 0.607 |
| Artery Entirety | 0.0 ± 0.0 | 0.0 ± 0.0 | 0.0 ± 0.0 | 0.661 |
| Ostium + Artery Entirety | 0.0 ± 5.0 | 3.0 ± 5.0 | 0.0 ± 5.0 | 0.112 |
| Additional Artery (%) | 11/80 | 5/31 | 6/49 | 0.947 |
| Infarction (%) | 10/80 | 2/31 | 3/49 | 0.486 |
| AKI Binary Logistic Regression | Univariate | |
|---|---|---|
| Hazard Ratio (95% CI) | p-Value | |
| Overall | ||
| Ostium Entirety | 1.232 (0.785–1.932) | 0.364 |
| Artery Entirety | 1.056 (0.675–1.652) | 0.812 |
| Ostium + Artery Entirety | 1.173 (0.750–1.835) | 0.485 |
| Additional Artery | 1.086 (0.694–1.699) | 0.718 |
| Infarction | 1.008 (0.642–1.584) | 0.972 |
| Right | ||
| Ostium Morphology | 1.008 (0.639–1.591) | 0.972 |
| Ostium Circumference | 1.035 (0.657–1.630) | 0.881 |
| Ostium Entirety | 1.054 (0.672–1.653) | 0.819 |
| Artery Morphology | 1.130 (0.721–1.772) | 0.593 |
| Artery Circumference | 0.920 (0.574–1.474) | 0.728 |
| Artery Length | 1.063 (0.676–1.671) | 0.793 |
| Artery Entirety | 1.065 (0.681–1.666) | 0.782 |
| Ostium + Artery Entirety | 1.068 (0.681–1.672) | 0.775 |
| Additional Artery | 1.000 (0.628–1.592) | 1.000 |
| Infarction | 0.825 (0.498–1.367) | 0.454 |
| Left | ||
| Ostium Morphology | 1.321 (0.836–2.089) | 0.233 |
| Ostium Circumference | 1.334 (0.845–2.105) | 0.216 |
| Ostium Entirety | 1.389 (0.882–2.187) | 0.157 |
| Artery Morphology | 1.018 (0.646–1.603) | 0.940 |
| Artery Circumference | 0.951 (0.598–1.513) | 0.833 |
| Artery Length | 1.126 (0.718–1.765) | 0.606 |
| Artery Entirety | 1.035 (0.660–1.622) | 0.881 |
| Ostium + Artery Entirety | 1.262 (0.806–1.977) | 0.309 |
| Additional Artery | 1.073 (0.677–1.700) | 0.764 |
| Infarction | 1.182 (0.736–1.899) | 0.488 |
| Linear Regression | Intercept (SE) | Slope (SE) | 95%CI (Slope) | t-Value (Slope) | R2 | p-Value (Slope) |
|---|---|---|---|---|---|---|
| Creatinine D-1 | ||||||
| Ostium Entirety—Overall | 1.129 (0.074) | 0.203 (0.076) | 0.052–0.354 | 2.685 | 0.087 | 0.009 |
| Artery Entirety—Overall | 1.134 (0.072) | 0.276 (0.075) | 0.127–0.424 | 3.696 | 0.152 | <0.001 |
| Ostium + Artery Entirety—Overall | 1.132 (0.072) | 0.269 (0.074) | 0.121–0.417 | 3.610 | 0.146 | 0.001 |
| Additional Artery—Overall | 1.128 (0.074) | 0.217 (0.074) | 0.070–0.364 | 2.933 | 0.102 | 0.004 |
| Infarction—Overall | 1.125 (0.076) | −0.145 (0.076) | −0.297–0.007 | −1.905 | 0.046 | 0.061 |
| Creatinine D0 | ||||||
| Ostium Entirety—Overall | 1.315 (0.084) | 0.164 (0.084) | −0.003–0.332 | 1.952 | 0.047 | 0.055 |
| Artery Entirety—Overall | 1.315 (0.084) | 0.163 (0.084) | −0.005–0.330 | 1.936 | 0.046 | 0.057 |
| Ostium + Artery Entirety—Overall | 1.315 (0.083) | 0.185 (0.084) | 0.019–0.351 | 2.216 | 0.059 | 0.030 |
| Additional Artery—Overall | 1.315 (0.084) | 0.131 (0.085) | −0.038–0.300 | 1.543 | 0.030 | 0.127 |
| Infarction—Overall | 1.315 (0.085) | −0.089 (0.086) | −0.259–0.082 | −1.036 | 0.014 | 0.304 |
| Creatinine D1 | ||||||
| Ostium Entirety—Overall | 1.357 (0.089) | 0.157 (0.089) | −0.021–0.335 | 1.756 | 0.039 | 0.083 |
| Artery Entirety—Overall | 1.357 (0.090) | 0.126 (0.090) | −0.053–0.304 | 1.401 | 0.025 | 0.165 |
| Ostium + Artery Entirety—Overall | 1.357 (0.089) | 0.162 (0.089) | −0.015–0.340 | 1.821 | 0.025 | 0.073 |
| Additional Artery—Overall | 1.357 (0.090) | 0.118 (0.090) | −0.061–0.297 | 1.314 | 0.022 | 0.193 |
| Infarction—Overall | 1.359 (0.089) | −0.126 (0.090) | −0.305–0.052 | −1.407 | 0.025 | 0.164 |
| Creatinine D2 | ||||||
| Ostium Entirety—Overall | 1.515 (0.105) | 0.155 (0.106) | −0.056–0.365 | 1.464 | 0.027 | 0.147 |
| Artery Entirety—Overall | 1.515 (0.106) | 0.162 (0.106) | −0.049–0.372 | 1.531 | 0.029 | 0.130 |
| Ostium + Artery Entirety—Overall | 1.515 (0.105) | 0.179 (0.105) | −0.031–0.388 | 1.696 | 0.036 | 0.094 |
| Additional Artery—Overall | 1.515 (0.105) | 0.170 (0.105) | −0.040–0.380 | 1.608 | 0.032 | 0.112 |
| Infarction—Overall | 1.515 (0.105) | −0.089 (0.107) | −0.301–0.124 | −0.830 | 0.009 | 0.409 |
| Creatinine D3 | ||||||
| Ostium Entirety—Overall | 1.322 (0.117) | 0.060 (0.116) | −0.173–0.294 | 0.519 | 0.005 | 0.606 |
| Artery Entirety—Overall | 1.321 (0.116) | 0.081 (0.108) | −0.137–0.298 | 0.744 | 0.011 | 0.460 |
| Ostium + Artery Entirety—Overall | 1.319 (0.117) | 0.084 (0.114) | −0.148–0.310 | 0.713 | 0.010 | 0.479 |
| Additional Artery—Overall | 1.333 (0.113) | 0.207 (0.117) | −0.027–0.442 | 1.775 | 0.039 | 0.082 |
| Infarction—Overall | 1.324 (0.117) | −0.050 (0.135) | −0.322 –0.221 | −0.370 | 0.003 | 0.713 |
| Creatinine D4 | ||||||
| Ostium Entirety—Overall | 1.334 (0.123) | 0.057 (0.119) | −0.183–0.296 | 0.475 | 0.005 | 0.637 |
| Artery Entirety—Overall | 1.328 (0.121) | 0.114 (0.109) | −0.105–0.333 | 1.051 | 0.023 | 0.299 |
| Ostium + Artery Entirety—Overall | 1.325 (0.123) | 0.099 (0.117) | −0.136–0.334 | 0.850 | 0.015 | 0.400 |
| Additional Artery—Overall | 1.358 (0.117) | 0.214 (0.120) | −0.028–0.456 | 1.777 | 0.064 | 0.082 |
| Infarction—Overall | 1.339 (0.117) | −0.236 (0.128) | −0.492–0.021 | −0.263 | 0.069 | 0.071 |
| Cox Hazard Regression | Univariate | Multivariable | ||
|---|---|---|---|---|
| Hazard Ratio (95% CI) | p-Value | Hazard Ratio (95% CI) | p-Value | |
| 1-Month Mortality | ||||
| Ostium Entirety—Overall | 1.340 (0.700–2.568) | 0.377 | ||
| Artery Entirety—Overall | 1.505 (0.919–2.465) | 0.104 | ||
| Ostium + Artery Entirety—Overall | 1.518 (0.838–2.750) | 0.168 | ||
| Additional Artery—Overall | 1.742 (1.038–2.924) | 0.036 | 1.747 (1.024–2.979) | 0.041 |
| Infarction—Overall | 1.571 (0.934–2.640) | 0.088 | 1.563 (0.918–2.661) | 0.100 |
| 6-Month Mortality | ||||
| Ostium Entirety—Overall | 1.314 (0.860–2.008) | 0.207 | ||
| Artery Entirety—Overall | 1.246 (0.844–1.840) | 0.268 | ||
| Ostium + Artery Entirety—Overall | 1.339 (0.883–2.030) | 0.170 | ||
| Additional Artery—Overall | 1.327 (0.902–1.953) | 0.151 | ||
| Infarction—Overall | 1.300 (0.873–1.934) | 0.196 | ||
| 12-Month Mortality | ||||
| Ostium Entirety—Overall | 1.314 (0.860–2.008) | 0.207 | ||
| Artery Entirety—Overall | 1.246 (0.844–1.840) | 0.268 | ||
| Ostium + Artery Entirety—Overall | 1.339 (0.883–2.030) | 0.170 | ||
| Additional Artery—Overall | 1.327 (0.902–1.953) | 0.151 | ||
| Infarction—Overall | 1.300 (0.873–1.934) | 0.196 | ||
Disclaimer/Publisher’s Note: The statements, opinions and data contained in all publications are solely those of the individual author(s) and contributor(s) and not of MDPI and/or the editor(s). MDPI and/or the editor(s) disclaim responsibility for any injury to people or property resulting from any ideas, methods, instructions or products referred to in the content. |
© 2024 by the authors. Licensee MDPI, Basel, Switzerland. This article is an open access article distributed under the terms and conditions of the Creative Commons Attribution (CC BY) license (https://creativecommons.org/licenses/by/4.0/).
Share and Cite
Dinges, C.; Boxhammer, E.; Kremser, I.; Gansterer, K.; Steindl, J.; Schörghofer, N.; Knapitsch, C.; Kaufmann, R.; Hoppe, U.C.; Hammerer, M.; et al. Can Radiological Renal Artery Parameters Predict Acute Kidney Injury in Infective Endocarditis Surgery?—From Imaging to Outcomes. Diagnostics 2024, 14, 2527. https://doi.org/10.3390/diagnostics14222527
Dinges C, Boxhammer E, Kremser I, Gansterer K, Steindl J, Schörghofer N, Knapitsch C, Kaufmann R, Hoppe UC, Hammerer M, et al. Can Radiological Renal Artery Parameters Predict Acute Kidney Injury in Infective Endocarditis Surgery?—From Imaging to Outcomes. Diagnostics. 2024; 14(22):2527. https://doi.org/10.3390/diagnostics14222527
Chicago/Turabian StyleDinges, Christian, Elke Boxhammer, Iris Kremser, Katja Gansterer, Johannes Steindl, Nikolaos Schörghofer, Christoph Knapitsch, Reinhard Kaufmann, Uta C. Hoppe, Matthias Hammerer, and et al. 2024. "Can Radiological Renal Artery Parameters Predict Acute Kidney Injury in Infective Endocarditis Surgery?—From Imaging to Outcomes" Diagnostics 14, no. 22: 2527. https://doi.org/10.3390/diagnostics14222527
APA StyleDinges, C., Boxhammer, E., Kremser, I., Gansterer, K., Steindl, J., Schörghofer, N., Knapitsch, C., Kaufmann, R., Hoppe, U. C., Hammerer, M., Hergan, K., & Scharinger, B. (2024). Can Radiological Renal Artery Parameters Predict Acute Kidney Injury in Infective Endocarditis Surgery?—From Imaging to Outcomes. Diagnostics, 14(22), 2527. https://doi.org/10.3390/diagnostics14222527

