When Undergoing Thoracic CT (Computerized Tomography) Angiographies for Congenital Heart Diseases, Is It Possible to Identify Coronary Artery Anomalies?
Abstract
1. Introduction
2. Materials and Methods
Statistical Analysis
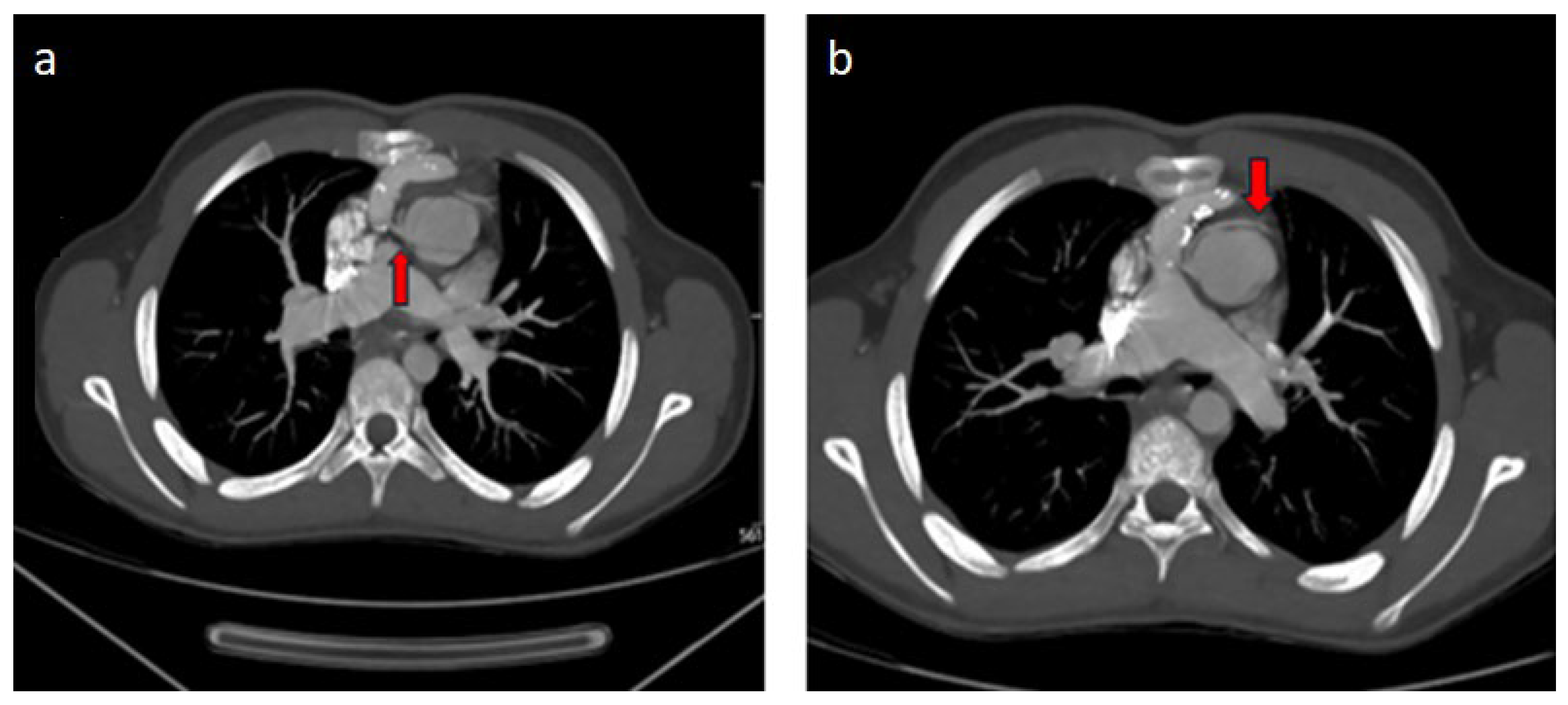
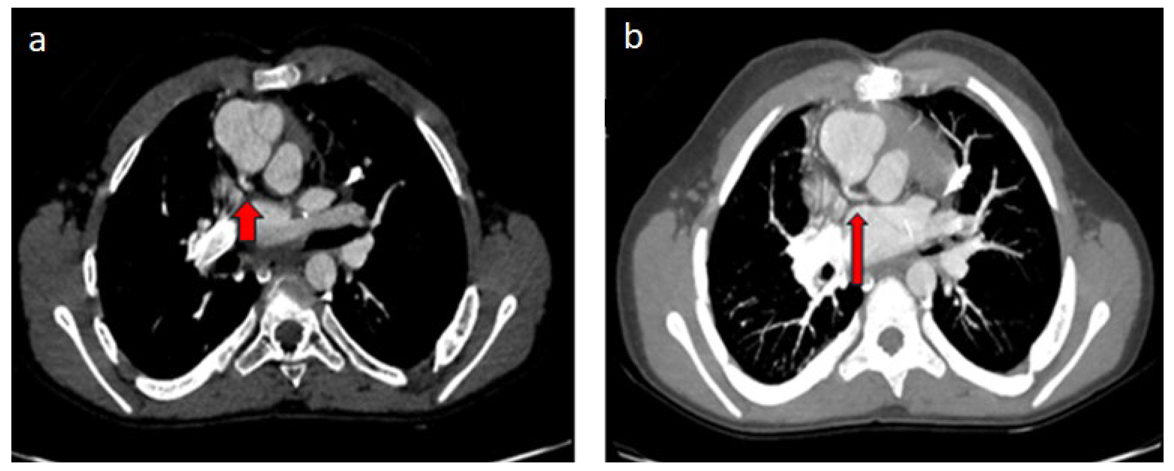
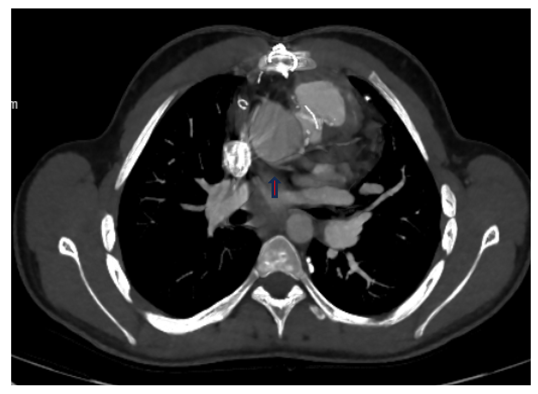
3. Results
4. Discussion
5. Conclusions
Author Contributions
Funding
Institutional Review Board Statement
Informed Consent Statement
Data Availability Statement
Conflicts of Interest
References
- Freire, G.; Miller, M.S. Echocardiographic evaluation of coronary arteries in congenital heart disease. Cardiol. Young 2015, 25, 1504–1511. [Google Scholar] [CrossRef] [PubMed]
- Van der Ven, J.P.; van den Bosch, E.; Bogers, A.J.; Helbing, W.A. Current outcomes and treatment of tetralogy of Fallot. F1000Research 2019, 8, F1000. [Google Scholar] [CrossRef]
- Oguz, B.; Haliloglu, M.; Karcaaltincaba, M. Paediatric multidetector CT angiography: Spectrum of congenital thoracic vascular anomalies. Br. J. Radiol. 2007, 80, 376–383. [Google Scholar] [CrossRef] [PubMed]
- Karabulut, N. Very cross-sectional computed tomography coronary angiography. Anadolu Kardiyol. Derg. 2008, 8, 29–37. [Google Scholar]
- Shriki, J.E.; Shinbane, J.S.; Rashid, M.A.; Hindoyan, A.; Withey, J.G.; DeFrance, A.; Cunningham, M.; Oliveira, G.R.; Warren, B.H.; Wilcox, A. Identifying, charac-terizing, and classifying congenital anomalies of the coronary arteries. Radiographics 2012, 32, 453–468. [Google Scholar] [CrossRef]
- Fujimoto, S.; Kondo, T.; Orihara, T.; Sugiyama, J.; Kon-do, M.; Kodama, T.; Fukazawa, H.; Nagaoka, H.; Oida, A.; Yamazaki, J.; et al. Prevalence of anomalous origin of coronary artery detected by multi-detector computed tomography at one center. J. Cardiol. 2011, 57, 69–76. [Google Scholar] [CrossRef] [PubMed]
- Fritsch, P.; Dalla Pozza, R.; Ehringer-Schetitska, D.; Jokinen, E.; Herceg, V.; Hidvegi, E.; Petropoulos, A. Cardiovascular pre-participation screening in young athletes: Recommendations of the Association of European Paediatric Cardiology. Cardiol. Young 2017, 27, 1655–1660. [Google Scholar] [CrossRef] [PubMed]
- Eckart, R.E.; Shry, E.A.; Burke, A.P.; McNear, J.A.; Appel, D.A.; Castillo-Rojas, L.M.; Avedissian, L.; Pearse, L.A.; Potter, R.N.; Department of Defense Cardiovascular Death Registry Group; et al. Sudden death in young adults: An autopsy-based series of a population undergoing active surveillance. J. Am. Coll. Cardiol. 2011, 58, 1254–1261. [Google Scholar] [CrossRef]
- Raimondi, F.; Bonnet, D. Imaging of congenital anomalies of the coronary arteries. Diagn. Interv. Imaging 2016, 97, 561–569. [Google Scholar] [CrossRef]
- Lederlin, M.; Thambo, J.B.; Latrabe, V.; Corneloup, O.; Cochet, H.; Montaudon, M.; Laurent, F. Coronary imaging techniques with emphasis on CT and MRI. Pediatr. Radiol. 2011, 41, 1516–1525. [Google Scholar] [CrossRef] [PubMed]
- Goo, H.W. Cardiac MDCT in children: CT technology overview and interpretation. Radiol. Clin. N. Am. 2011, 49, 997–1010. [Google Scholar] [CrossRef] [PubMed]
- Kędzierski, B.; Macek, P.; Dziadkowiec-Macek, B.; Truszkiewicz, K.; Poręba, R.; Gać, P. Radiation Doses in Cardiovascular Computed Tomography. Life 2023, 13, 990. [Google Scholar] [CrossRef] [PubMed]
- Graidis, C.; Dimitriadis, D.; Karasavvidis, V.; Dimitriadis, G.; Argyropoulou, E.; Economou, F.; George, D.; Antoniou, A.; Karakostas, G. Prevalence and characteristics of coronary artery anomalies in an adult population undergoing multidetector-row computed tomography for the evaluation of coronary artery disease. BMC Cardiovasc. Disord. 2015, 15, 112. [Google Scholar] [CrossRef] [PubMed]
- Gräni, C.; Benz, D.C.; Schmied, C.; Vontobel, J.; Possner, M.; Clerc, O.F.; Buechel, R.R. Prevalence and characteristics of coronary artery anomalies detected by coronary computed tomography angiography in 5 634 consecutive patients in a single centre in Switzerland. Swiss Med. Wkly. 2016, 146, w14294. [Google Scholar] [CrossRef] [PubMed]
- Frush, D.P.; Herlong, J.R. Pediatric thoracic CT angiography. Pediatr. Radiol. 2005, 35, 11–25. [Google Scholar] [CrossRef] [PubMed]





| Congenital Heart Diseases | n |
|---|---|
| Aortic Coarctation | 33 |
| PVDA | 8 |
| Operated TGA | 7 |
| Pulmonary Stenosis | 7 |
| Ascending Aorta Dilatation | 4 |
| ARSA | 4 |
| Operated Tricuspid Atresia | 3 |
| Pulmonary Artery Agenesis | 3 |
| Pulmonary Artery Hypoplasia | 3 |
| Aortic Stenosis | 3 |
| VSD | 2 |
| ALSA | 2 |
| Double V. Cava Superior | 2 |
| Pulmonary Sling | 2 |
| Double Aortic Arch | 2 |
| PDA | 2 |
| Operated TOF | 2 |
| DORV | 2 |
| Aortic Arch Hypoplasia | 2 |
| Ebstein Anomaly | 1 |
| Operated Fallot | 1 |
| Pulmonary Valve Absence | 1 |
| Unilateral Pulmonary Web Agenesis | 1 |
| Right Aortic Arch | 1 |
| Agenesis of V. Cava Superior | 1 |
| Complete AVSD | 1 |
| Total | 100 |
| Congenital Heart Diseases and Operations | Accompanying Coronary Anomaly |
|---|---|
| Operated TGA (arterial switch) | Cx separated from the right coronary artery |
| Operated TGA (Rastelli) | Left coronary artery with interarterial course separated from the right coronary sinus |
| Single ventricle morphology (Fontan) | Cx leaving the right coronary sinus |
| Operated aortic stenosis, pulmonary stenosis (ROSS) | Left coronary artery leaving the right coronary sinus |
Disclaimer/Publisher’s Note: The statements, opinions and data contained in all publications are solely those of the individual author(s) and contributor(s) and not of MDPI and/or the editor(s). MDPI and/or the editor(s) disclaim responsibility for any injury to people or property resulting from any ideas, methods, instructions or products referred to in the content. |
© 2024 by the authors. Licensee MDPI, Basel, Switzerland. This article is an open access article distributed under the terms and conditions of the Creative Commons Attribution (CC BY) license (https://creativecommons.org/licenses/by/4.0/).
Share and Cite
Uner, C.; Gulmez, A.O.; Cinar, H.G.; Bulut, H.; Kaya, O.; Gokharman, F.D.; Aydin, S. When Undergoing Thoracic CT (Computerized Tomography) Angiographies for Congenital Heart Diseases, Is It Possible to Identify Coronary Artery Anomalies? Diagnostics 2024, 14, 2022. https://doi.org/10.3390/diagnostics14182022
Uner C, Gulmez AO, Cinar HG, Bulut H, Kaya O, Gokharman FD, Aydin S. When Undergoing Thoracic CT (Computerized Tomography) Angiographies for Congenital Heart Diseases, Is It Possible to Identify Coronary Artery Anomalies? Diagnostics. 2024; 14(18):2022. https://doi.org/10.3390/diagnostics14182022
Chicago/Turabian StyleUner, Cigdem, Ali Osman Gulmez, Hasibe Gokce Cinar, Hasan Bulut, Ozkan Kaya, Fatma Dilek Gokharman, and Sonay Aydin. 2024. "When Undergoing Thoracic CT (Computerized Tomography) Angiographies for Congenital Heart Diseases, Is It Possible to Identify Coronary Artery Anomalies?" Diagnostics 14, no. 18: 2022. https://doi.org/10.3390/diagnostics14182022
APA StyleUner, C., Gulmez, A. O., Cinar, H. G., Bulut, H., Kaya, O., Gokharman, F. D., & Aydin, S. (2024). When Undergoing Thoracic CT (Computerized Tomography) Angiographies for Congenital Heart Diseases, Is It Possible to Identify Coronary Artery Anomalies? Diagnostics, 14(18), 2022. https://doi.org/10.3390/diagnostics14182022

