MaskAppendix: Backbone-Enriched Mask R-CNN Based on Grad-CAM for Automatic Appendix Segmentation
Abstract
1. Introduction
- Automatic segmentation of the appendix is provided on CT scans;
- Segmentation of the appendix is applied with high performance using MaskAppendix on the Detectron platform;
- An appendix CT image dataset is created for this study;
- The precise appendix segmentation on CT scans with localization is enhanced using Grad-CAM;
- This framework provides an effective tool for aiding clinicians in the diagnosis of appendicitis;
- The MaskAppendix method achieves state-of-the-art performance in appendix segmentation.
2. Materials and Methods
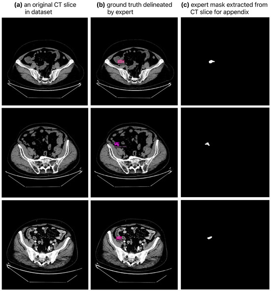
2.1. Dataset
2.2. Proposed Mask R-CNN Model
2.3. ResNet
2.4. Detectron2 Platform
3. Experimental Studies
3.1. Results
3.2. Ablation Study
4. Discussion
5. Conclusions
Author Contributions
Funding
Institutional Review Board Statement
Informed Consent Statement
Data Availability Statement
Acknowledgments
Conflicts of Interest
References
- Schumpelick, V.; Dreuw, B.; Ophoff, K.; Prescher, A. Appendix and cecum: Embryology, anatomy, and surgical applications. Surg. Clin. 2000, 80, 295–318. [Google Scholar]
- Kooij, I.; Sahami, S.; Meijer, S.; Buskens, C.; Te Velde, A. The immunology of the vermiform appendix: A review of the literature. Clin. Exp. Immunol. 2016, 186, 1–9. [Google Scholar] [CrossRef] [PubMed]
- Bollinger, R.R.; Barbas, A.S.; Bush, E.L.; Lin, S.S.; Parker, W. Biofilms in the large bowel suggest an apparent function of the human vermiform appendix. J. Theor. Biol. 2007, 249, 826–831. [Google Scholar] [CrossRef] [PubMed]
- D’souza, N.; Nugent, K. Appendicitis. Am. Fam. Physician 2016, 93, 142–143. [Google Scholar] [PubMed]
- Zachos, K.; Kolonitsiou, F.; Panagidis, A.; Gkentzi, D.; Fouzas, S.; Alexopoulos, V.; Kostopoulou, E.; Roupakias, S.; Vervenioti, A.; Dassios, T. Association of the bacteria of the vermiform appendix and the peritoneal cavity with complicated acute appendicitis in children. Diagnostics 2023, 13, 1839. [Google Scholar] [CrossRef] [PubMed]
- Lee, M.S.; Purcell, R.; McCombie, A.; Frizelle, F.; Eglinton, T. Retrospective cohort study of the impact of faecoliths on the natural history of acute appendicitis. World J. Emerg. Surg. 2023, 18, 18. [Google Scholar] [CrossRef]
- Bhangu, A.; Søreide, K.; Di Saverio, S.; Assarsson, J.H.; Drake, F.T. Acute appendicitis: Modern understanding of pathogenesis, diagnosis, and management. Lancet 2015, 386, 1278–1287. [Google Scholar] [CrossRef]
- Dimberg, J.; Rubér, M.; Skarstedt, M.; Andersson, M.; Andersson, R.E. Genetic polymorphism patterns suggest a genetic driven inflammatory response as pathogenesis in appendicitis. Int. J. Color. Dis. 2020, 35, 277–284. [Google Scholar] [CrossRef]
- Lamps, L.W. Beyond acute inflammation: A review of appendicitis and infections of the appendix. Diagn. Histopathol. 2008, 14, 68–77. [Google Scholar] [CrossRef]
- Rogers, M.B.; Brower-Sinning, R.; Firek, B.; Zhong, D.; Morowitz, M.J. Acute appendicitis in children is associated with a local expansion of fusobacteria. Clin. Infect. Dis. 2016, 63, 71–78. [Google Scholar] [CrossRef]
- Wagner, M.; Tubre, D.J.; Asensio, J.A. Evolution and current trends in the management of acute appendicitis. Surg. Clin. 2018, 98, 1005–1023. [Google Scholar] [CrossRef] [PubMed]
- Dinç, T.; Sapmaz, A.; Erkuş, Y.; Yavuz, Z. Complicated or non-complicated appendicitis? That is the question. Turk. J. Trauma Emerg. Surg. 2022, 28, 390. [Google Scholar] [CrossRef]
- Li, Z.; Li, Z.; Zhao, L.; Cheng, Y.; Cheng, N.; Deng, Y. Abdominal drainage to prevent intra-peritoneal abscess after appendectomy for complicated appendicitis. Cochrane Database Syst. Rev. 2021, 8, CD010168. [Google Scholar] [CrossRef] [PubMed]
- Shiihara, M.; Sudo, Y.; Matsushita, N.; Kubota, T.; Hibi, Y.; Osugi, H.; Inoue, T. Therapeutic strategy for acute appendicitis based on laparoscopic surgery. BMC Surg. 2023, 23, 161. [Google Scholar] [CrossRef] [PubMed]
- Zagales, I.; Sauder, M.; Selvakumar, S.; Spardy, J.; Santos, R.G.; Cruz, J.; Bilski, T.; Elkbuli, A. Comparing outcomes of appendectomy versus non-operative antibiotic therapy for acute appendicitis: A systematic review and meta-analysis of randomized clinical trials. Am. Surg. 2023, 89, 2644–2655. [Google Scholar] [CrossRef]
- Cho, S.U.; Oh, S.K. Accuracy of ultrasound for the diagnosis of acute appendicitis in the emergency department: A systematic review. Medicine 2023, 102, e33397. [Google Scholar] [CrossRef]
- Stöß, C.; Nitsche, U.; Neumann, P.-A.; Kehl, V.; Wilhelm, D.; Busse, R.; Friess, H.; Nimptsch, U. Acute Appendicitis: Trends in Surgical Treatment: A Population-Based Study of Over 800,000 Patients. Dtsch. Aerzteblatt Int. 2021, 118, 244. [Google Scholar]
- Caballero-Alvarado, J.; Torres, V.L.; Peralta, K.L.; Corvera, C.Z. Powikłane ostre zapalenie wyrostka robaczkowego z zajęciem podstawy wyrostka robaczkowego: Przegląd strategii leczenia operacyjnego. Pol. Przegląd Chir. 2023, 96, 65–70. [Google Scholar] [CrossRef]
- Clanton, J.; Subichin, M.; Drolshagen, K.; Daley, T.; Firstenberg, M.S. Fulminant Clostridium difficile infection: An association with prior appendectomy? World J. Gastrointest. Surg. 2013, 5, 233. [Google Scholar] [CrossRef]
- Sippola, S.; Virtanen, J.; Tammilehto, V.; Grönroos, J.; Hurme, S.; Niiniviita, H.; Lietzen, E.; Salminen, P. The accuracy of low-dose computed tomography protocol in patients with suspected acute appendicitis: The OPTICAP study. Ann. Surg. 2020, 271, 332–338. [Google Scholar] [CrossRef]
- Song, H.; Lee, S.; Park, J.H.; Kim, H.Y.; Min, H.D.; Jeon, J.-J.; Lee, K.H.; Group, L. Can patient triaging with clinical scoring systems reduce CT use in adolescents and young adults suspected of having appendicitis? Radiology 2021, 300, 350–358. [Google Scholar] [CrossRef] [PubMed]
- Soundappan, S.S.; Karpelowsky, J.; Lam, A.; Lam, L.; Cass, D. Diagnostic accuracy of surgeon performed ultrasound (SPU) for appendicitis in children. J. Pediatr. Surg. 2018, 53, 2023–2027. [Google Scholar] [CrossRef]
- Wang, D.C.; Parry, C.R.; Feldman, M.; Tomlinson, G.; Sarrazin, J.; Glanc, P. Acute abdomen in the emergency department: Is CT a time-limiting factor? Am. J. Roentgenol. 2015, 205, 1222–1229. [Google Scholar] [CrossRef] [PubMed]
- Baştuğ, B.T.; Güneri, G.; Yıldırım, M.S.; Çorbacı, K.; Dandıl, E. Fully Automated Detection of the Appendix Using U-Net Deep Learning Architecture in CT Scans. J. Clin. Med. 2024, 13, 5893. [Google Scholar] [CrossRef]
- Zacharzewska-Gondek, A.; Szczurowska, A.; Guziński, M.; Sąsiadek, M.; Bladowska, J. A pictorial essay of the most atypical variants of the vermiform appendix position in computed tomography with their possible clinical implications. Pol. J. Radiol. 2019, 84, e1. [Google Scholar] [CrossRef]
- Weinberger, H.; Zeina, A.-R.; Ashkenazi, I. Misdiagnosis of acute appendicitis in the emergency department: Prevalence, associated factors, and outcomes according to the patients’ disposition. Ochsner J. 2023, 23, 271–276. [Google Scholar] [CrossRef] [PubMed]
- Marcinkevics, R.; Reis Wolfertstetter, P.; Wellmann, S.; Knorr, C.; Vogt, J.E. Using machine learning to predict the diagnosis, management and severity of pediatric appendicitis. Front. Pediatr. 2021, 9, 662183. [Google Scholar] [CrossRef]
- Byun, J.; Park, S.; Hwang, S.M. Diagnostic Algorithm Based on Machine Learning to Predict Complicated Appendicitis in Children Using CT, Laboratory, and Clinical Features. Diagnostics 2023, 13, 923. [Google Scholar] [CrossRef]
- Obuchowicz, R.; Strzelecki, M.; Piórkowski, A. Clinical Applications of Artificial Intelligence in Medical Imaging and Image Processing—A Review. Cancers 2024, 16, 1870. [Google Scholar] [CrossRef]
- Abbaoui, W.; Retal, S.; El Bhiri, B.; Kharmoum, N.; Ziti, S. Towards revolutionizing precision healthcare: A systematic literature review of artificial intelligence methods in precision medicine. Inform. Med. Unlocked 2024, 46, 101475. [Google Scholar] [CrossRef]
- Sharma, A.; Lysenko, A.; Jia, S.; Boroevich, K.A.; Tsunoda, T. Advances in AI and machine learning for predictive medicine. J. Hum. Genet. 2024, 69, 487–497. [Google Scholar] [CrossRef] [PubMed]
- Roy, S.; Pal, D.; Meena, T. Explainable artificial intelligence to increase transparency for revolutionizing healthcare ecosystem and the road ahead. Netw. Model. Anal. Health Inform. Bioinform. 2023, 13, 4. [Google Scholar] [CrossRef]
- Rayed, M.E.; Islam, S.S.; Niha, S.I.; Jim, J.R.; Kabir, M.M.; Mridha, M. Deep learning for medical image segmentation: State-of-the-art advancements and challenges. Inform. Med. Unlocked 2024, 47, 101504. [Google Scholar] [CrossRef]
- Archana, R.; Jeevaraj, P.E. Deep learning models for digital image processing: A review. Artif. Intell. Rev. 2024, 57, 11. [Google Scholar] [CrossRef]
- Liu, X.; Song, L.; Liu, S.; Zhang, Y. A review of deep-learning-based medical image segmentation methods. Sustainability 2021, 13, 1224. [Google Scholar] [CrossRef]
- Park, S.H.; Kim, Y.J.; Kim, K.G.; Chung, J.-W.; Kim, H.C.; Choi, I.Y.; You, M.-W.; Lee, G.P.; Hwang, J.H. Comparison between single and serial computed tomography images in classification of acute appendicitis, acute right-sided diverticulitis, and normal appendix using EfficientNet. PLoS ONE 2023, 18, e0281498. [Google Scholar] [CrossRef]
- Al, W.A.; Yun, I.D.; Lee, K.J. Reinforcement learning-based automatic diagnosis of acute appendicitis in abdominal ct. arXiv 2019, arXiv:1909.00617. [Google Scholar]
- Lee, G.P.; Park, S.H.; Kim, Y.J.; Chung, J.-W.; Kim, K.G. Enhancing disease classification in abdominal CT scans through RGB superposition methods and 2D convolutional neural networks: A study of appendicitis and diverticulitis. Comput. Math. Methods Med. 2023, 2023, 7714483. [Google Scholar] [CrossRef] [PubMed]
- Liang, D.; Fan, Y.; Zeng, Y.; Zhou, H.; Zhou, H.; Li, G.; Liang, Y.; Zhong, Z.; Chen, D.; Chen, A. Development and validation of a deep learning and radiomics combined model for differentiating complicated from uncomplicated acute appendicitis. Acad. Radiol. 2024, 31, 1344–1354. [Google Scholar] [CrossRef]
- Park, J.J.; Kim, K.A.; Nam, Y.; Choi, M.H.; Choi, S.Y.; Rhie, J. Convolutional-neural-network-based diagnosis of appendicitis via CT scans in patients with acute abdominal pain presenting in the emergency department. Sci. Rep. 2020, 10, 9556. [Google Scholar] [CrossRef]
- Rajpurkar, P.; Park, A.; Irvin, J.; Chute, C.; Bereket, M.; Mastrodicasa, D.; Langlotz, C.P.; Lungren, M.P.; Ng, A.Y.; Patel, B.N. AppendiXNet: Deep learning for diagnosis of appendicitis from a small dataset of CT exams using video pretraining. Sci. Rep. 2020, 10, 3958. [Google Scholar] [CrossRef] [PubMed]
- Yushkevich, P.A.; Piven, J.; Hazlett, H.C.; Smith, R.G.; Ho, S.; Gee, J.C.; Gerig, G. User-guided 3D active contour segmentation of anatomical structures: Significantly improved efficiency and reliability. Neuroimage 2006, 31, 1116–1128. [Google Scholar] [CrossRef]
- ITKSNAP. Available online: www.itksnap.org/ (accessed on 15 December 2023).
- Jia, W.; Tian, Y.; Luo, R.; Zhang, Z.; Lian, J.; Zheng, Y. Detection and segmentation of overlapped fruits based on optimized mask R-CNN application in apple harvesting robot. Comput. Electron. Agric. 2020, 172, 105380. [Google Scholar] [CrossRef]
- Ren, S.; He, K.; Girshick, R.; Sun, J. Faster R-CNN: Towards real-time object detection with region proposal networks. IEEE Trans. Pattern Anal. Mach. Intell. 2016, 39, 1137–1149. [Google Scholar] [CrossRef] [PubMed]
- Yu, Y.; Zhang, K.; Yang, L.; Zhang, D. Fruit detection for strawberry harvesting robot in non-structural environment based on Mask-RCNN. Comput. Electron. Agric. 2019, 163, 104846. [Google Scholar] [CrossRef]
- Dandıl, E.; Yıldırım, M.S.; Selvi, A.O.; Uzun, S. Automated liver segmentation using Mask R-CNN on computed tomography scans. Gazi Üniversitesi Mühendislik Mimar. Fakültesi Derg. 2021, 37, 29–46. [Google Scholar] [CrossRef]
- Girshick, R. Fast r-cnn. In Proceedings of the IEEE International Conference on Computer Vision, Santiago, Chile, 7–13 December 2015; pp. 1440–1448. [Google Scholar]
- He, K.; Gkioxari, G.; Dollár, P.; Girshick, R. Mask r-cnn. In Proceedings of the IEEE International Conference on Computer Vision, Venice, Italy, 22–29 October 2017; pp. 2961–2969. [Google Scholar]
- Zimmermann, R.S.; Siems, J.N. Faster training of Mask R-CNN by focusing on instance boundaries. Comput. Vis. Image Underst. 2019, 188, 102795. [Google Scholar] [CrossRef]
- He, K.; Zhang, X.; Ren, S.; Sun, J. Deep residual learning for image recognition. In Proceedings of the IEEE Conference on Computer Vision and Pattern Recognition, Las Vegas, NV, USA, 27–30 June 2016; pp. 770–778. [Google Scholar]
- Targ, S.; Almeida, D.; Lyman, K. Resnet in resnet: Generalizing residual architectures. arXiv 2016, arXiv:1603.08029. [Google Scholar]
- Detectron2. Available online: https://github.com/facebookresearch/detectron2 (accessed on 11 August 2024).
- Dice, L.R. Measures of the amount of ecologic association between species. Ecology 1945, 26, 297–302. [Google Scholar] [CrossRef]
- Yuan, Y.; Chao, M.; Lo, Y.-C. Automatic skin lesion segmentation using deep fully convolutional networks with jaccard distance. IEEE Trans. Med. Imaging 2017, 36, 1876–1886. [Google Scholar] [CrossRef] [PubMed]
- Ronneberger, O.; Fischer, P.; Brox, T. U-net: Convolutional networks for biomedical image segmentation. In Proceedings of the Medical Image Computing and Computer-Assisted Intervention–MICCAI 2015: 18th International Conference, Munich, Germany, 5–9 October 2015; Proceedings, Part III 18. pp. 234–241. [Google Scholar]
- Iandola, F.; Moskewicz, M.; Karayev, S.; Girshick, R.; Darrell, T.; Keutzer, K. Densenet: Implementing efficient convnet descriptor pyramids. arXiv 2014, arXiv:1404.1869. [Google Scholar]
- Tang, D.; Chen, J.; Ren, L.; Wang, X.; Li, D.; Zhang, H. Reviewing CAM-Based Deep Explainable Methods in Healthcare. Appl. Sci. 2024, 14, 4124. [Google Scholar] [CrossRef]
- Selvaraju, R.R.; Cogswell, M.; Das, A.; Vedantam, R.; Parikh, D.; Batra, D. Grad-CAM: Visual explanations from deep networks via gradient-based localization. Int. J. Comput. Vis. 2020, 128, 336–359. [Google Scholar] [CrossRef]









| CT scanner | 64-MDCT (multi-slice CT Aquillion 64; Toshiba) |
| Slice thickness | 2.5 mm |
| Reconstruction interval | 0.777 mm |
| Gantry rotation time | 0.6 s |
| Tube voltage | 120 kV |
| Tube current | 200 mA (in average) |
| The field of view range | From 40 to 50 cm |
| Image size | 512 × 512 |
| Hardware | Characteristic |
|---|---|
| Computer | Workstation |
| Central Processor (CPU) | Intel Core i9-9900 K @ 5 GHz (8 Core/16 Thread) |
| Memory (RAM) (×2) | 16 GB DDR4 2666 MHz |
| Mainboard | WS Z390 Pro DDR4 |
| GPU (×2) | NVIDIA GeForce GTX 1080Ti 11 GB |
| Hard disk drive | 500 GB SSD + 3 TB SATA 6 Gb 3.5″ |
| Hyperparameter | Value | Identification |
|---|---|---|
| BACKBONE | ResNet50 and ResNet101 | Network model for feature extraction and feature mapping |
| GPU_COUNT | 2 | Number of GPUs on the computer on which the network runs |
| NUM_WORKERS | 16 | The number of worker threads or processes used for data loading |
| IMS_PER_BATCH | 2 | The number of images processed in each training batch |
| BASE_LR | 0.001 | Learning rate of the network |
| CHECKPOINT_PERIOD | 1000 | How often the state of the model is recorded during training |
| MAX_ITER | 100,000 | Maximum number of iterations required to complete the training |
| ANCHOR_GENERATOR.SIZES | (16, 32, 64, 128, 256) | The sizes of the anchors for object detection |
| NUM_CLASSES | 1 | Number of classes for CT slices |
| BATCH_SIZE_PER_IMAGE | 256 | The number of RoI |
| Method | DSC [%] | JSI [%] | VOE [%] | ASD [mm] | HD95 [mm] |
|---|---|---|---|---|---|
| DenseNet | 79.88 | 70.61 | 29.39 | 1.67 | 6.89 |
| U-Net | 85.94 | 76.70 | 23.29 | 1.24 | 5.43 |
| MaskAppendix | 87.17 | 78.11 | 21.89 | 0.47 | 3.70 |
| Method | Backbone | DSC [%] | JSI [%] | VOE [%] | ASD [mm] | HD95 [mm] |
|---|---|---|---|---|---|---|
| Mask R-CNN | ResNet50 | 87.07 | 77.79 | 22.21 | 0.48 | 2.68 |
| Mask R-CNN | ResNet101 | 87.17 | 78.11 | 21.88 | 0.47 | 3.70 |
| Method | Backbone | Total Time for Training (min) | The Time for a Checkpoint Period (min) | Total Time for Test (s) |
|---|---|---|---|---|
| Mask R-CNN | ResNet50 | 528.6 | 5.29 | 29.3 |
| Mask R-CNN | ResNet101 | 723.6 | 7.24 | 36.5 |
Disclaimer/Publisher’s Note: The statements, opinions and data contained in all publications are solely those of the individual author(s) and contributor(s) and not of MDPI and/or the editor(s). MDPI and/or the editor(s) disclaim responsibility for any injury to people or property resulting from any ideas, methods, instructions or products referred to in the content. |
© 2024 by the authors. Licensee MDPI, Basel, Switzerland. This article is an open access article distributed under the terms and conditions of the Creative Commons Attribution (CC BY) license (https://creativecommons.org/licenses/by/4.0/).
Share and Cite
Dandıl, E.; Baştuğ, B.T.; Yıldırım, M.S.; Çorbacı, K.; Güneri, G. MaskAppendix: Backbone-Enriched Mask R-CNN Based on Grad-CAM for Automatic Appendix Segmentation. Diagnostics 2024, 14, 2346. https://doi.org/10.3390/diagnostics14212346
Dandıl E, Baştuğ BT, Yıldırım MS, Çorbacı K, Güneri G. MaskAppendix: Backbone-Enriched Mask R-CNN Based on Grad-CAM for Automatic Appendix Segmentation. Diagnostics. 2024; 14(21):2346. https://doi.org/10.3390/diagnostics14212346
Chicago/Turabian StyleDandıl, Emre, Betül Tiryaki Baştuğ, Mehmet Süleyman Yıldırım, Kadir Çorbacı, and Gürkan Güneri. 2024. "MaskAppendix: Backbone-Enriched Mask R-CNN Based on Grad-CAM for Automatic Appendix Segmentation" Diagnostics 14, no. 21: 2346. https://doi.org/10.3390/diagnostics14212346
APA StyleDandıl, E., Baştuğ, B. T., Yıldırım, M. S., Çorbacı, K., & Güneri, G. (2024). MaskAppendix: Backbone-Enriched Mask R-CNN Based on Grad-CAM for Automatic Appendix Segmentation. Diagnostics, 14(21), 2346. https://doi.org/10.3390/diagnostics14212346

