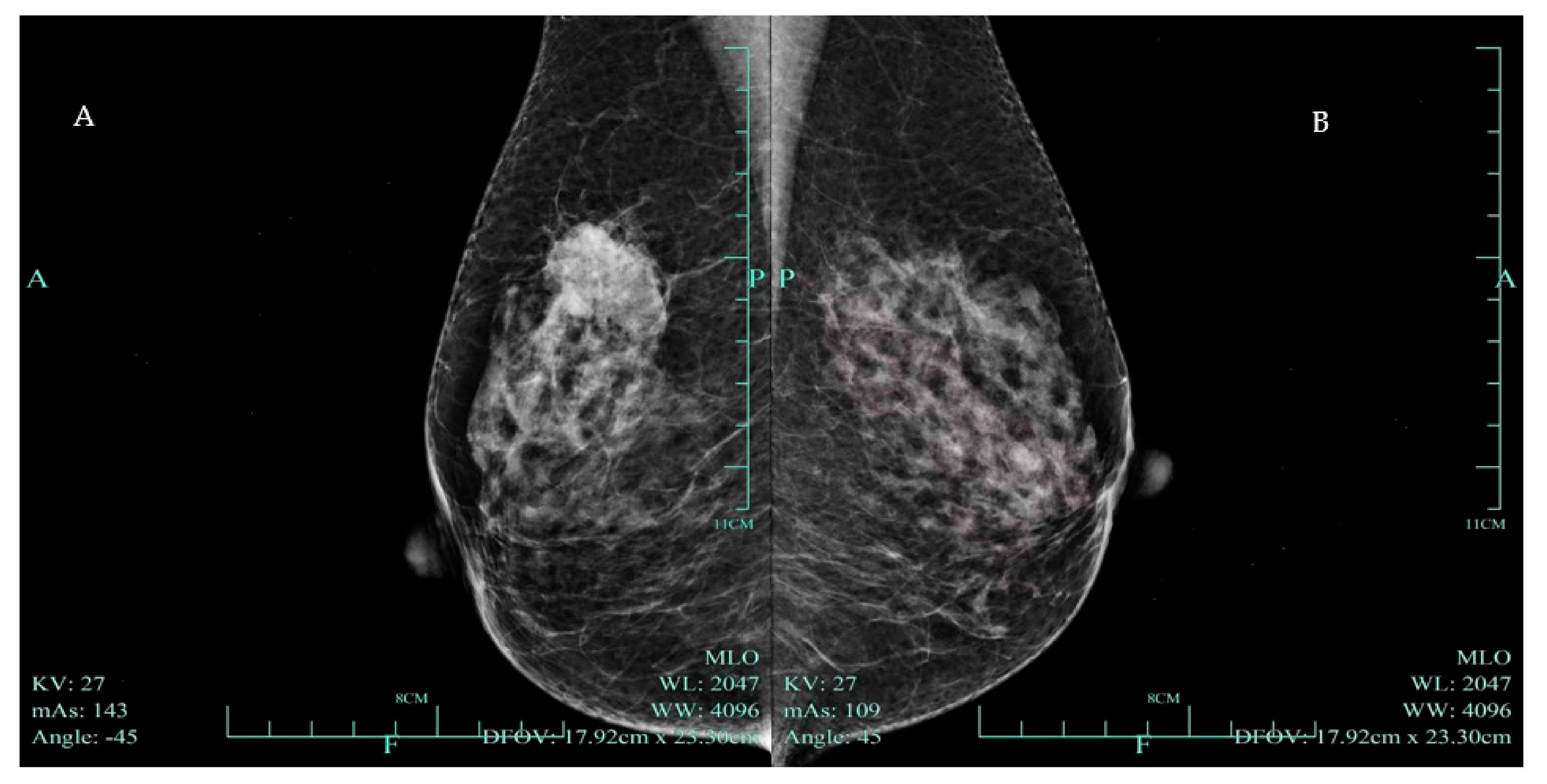
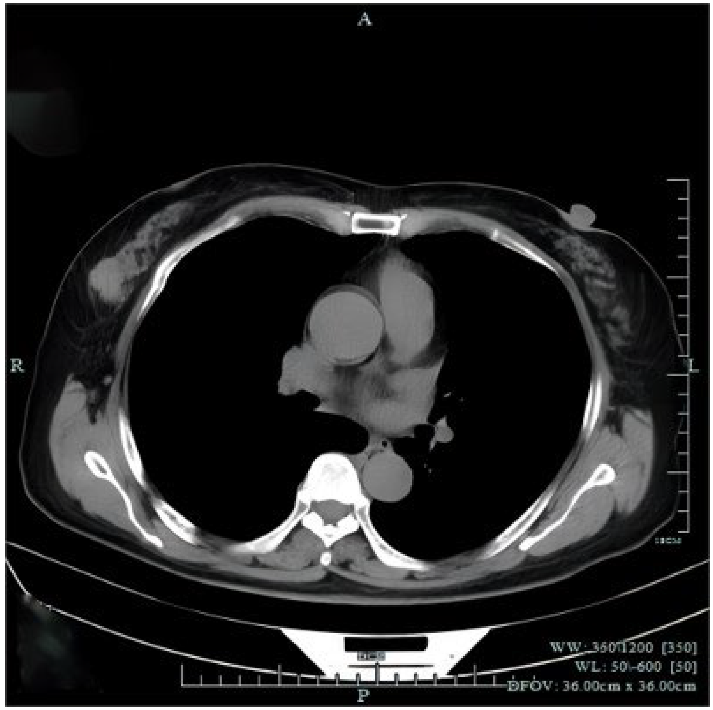
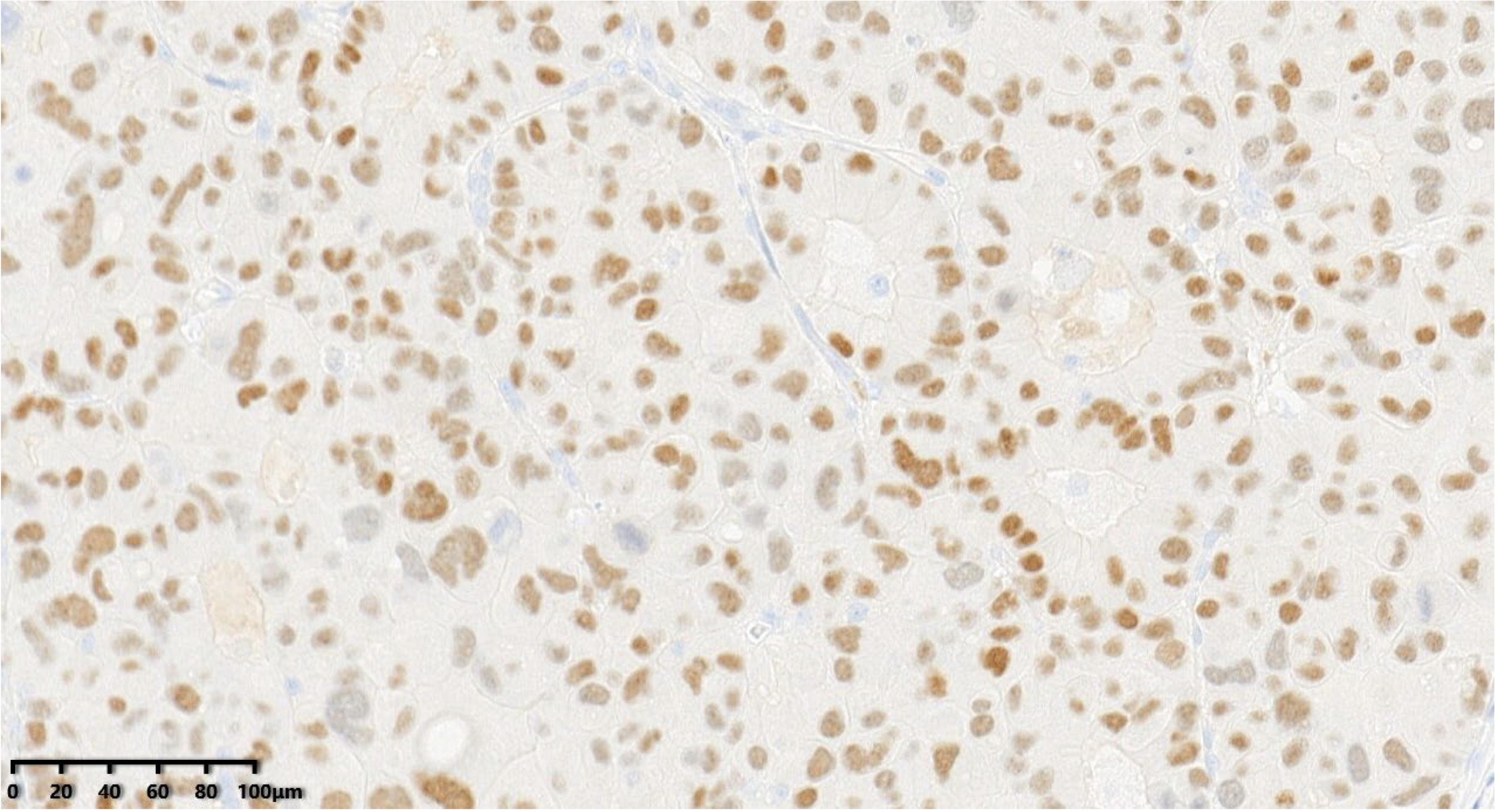
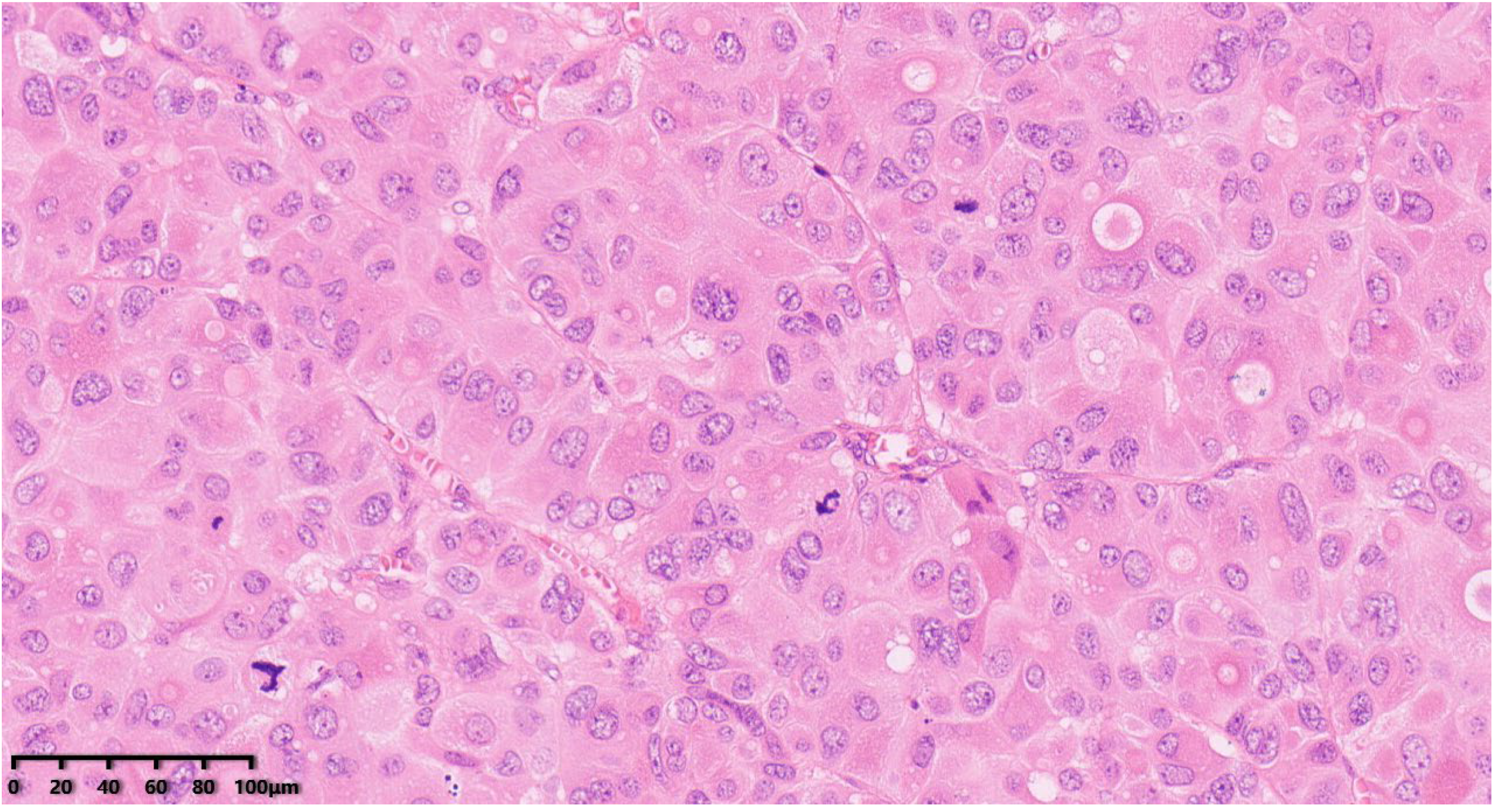
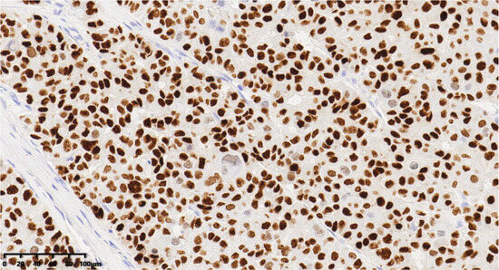
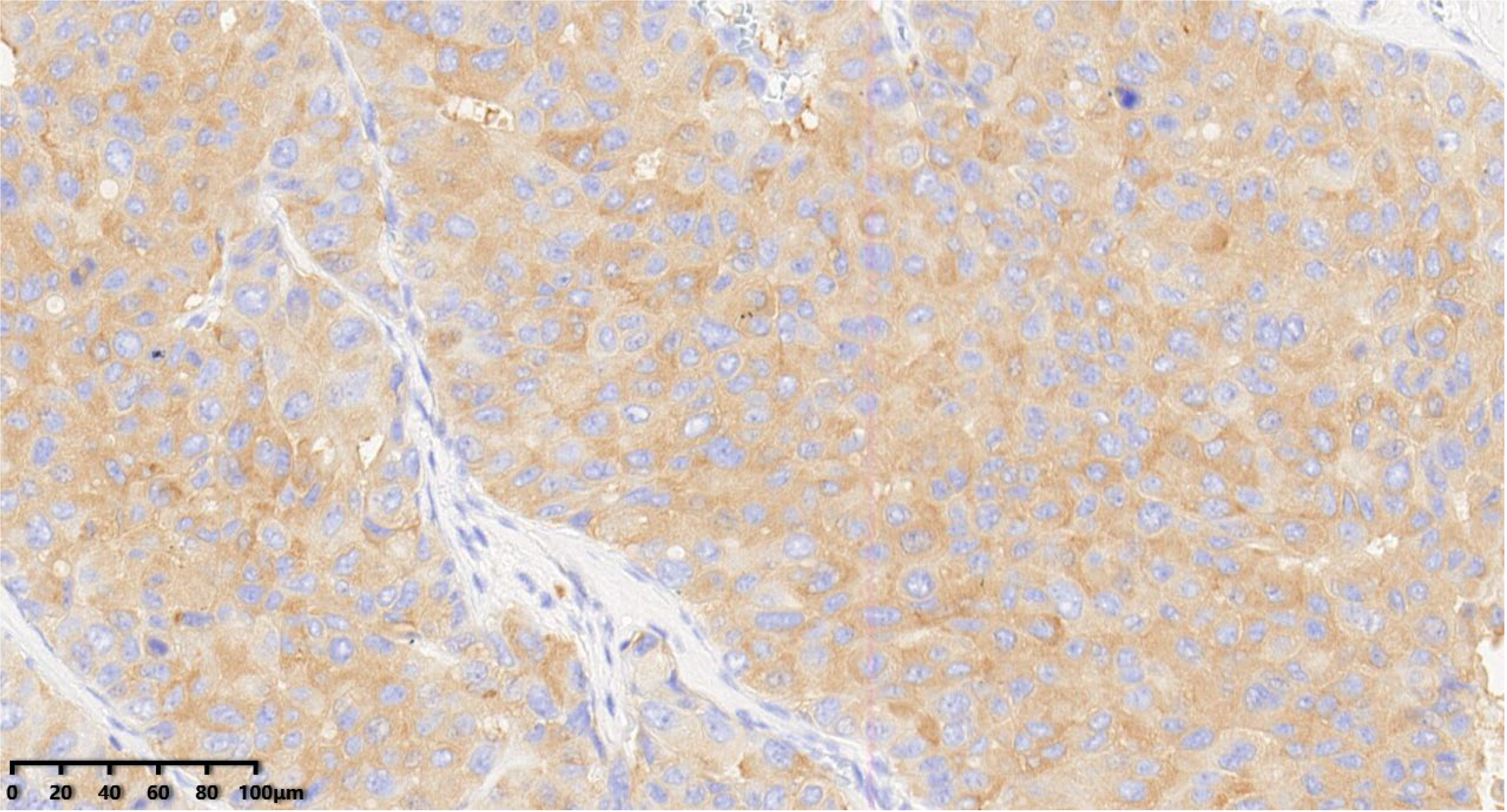
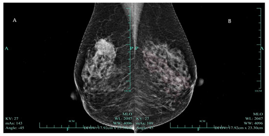
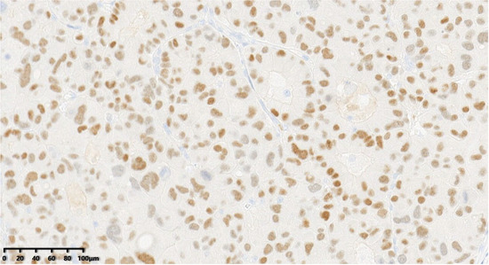
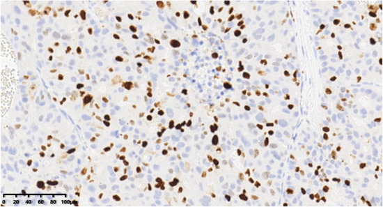
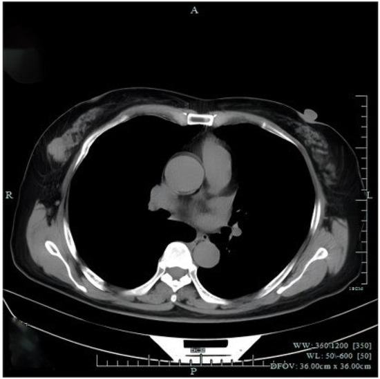
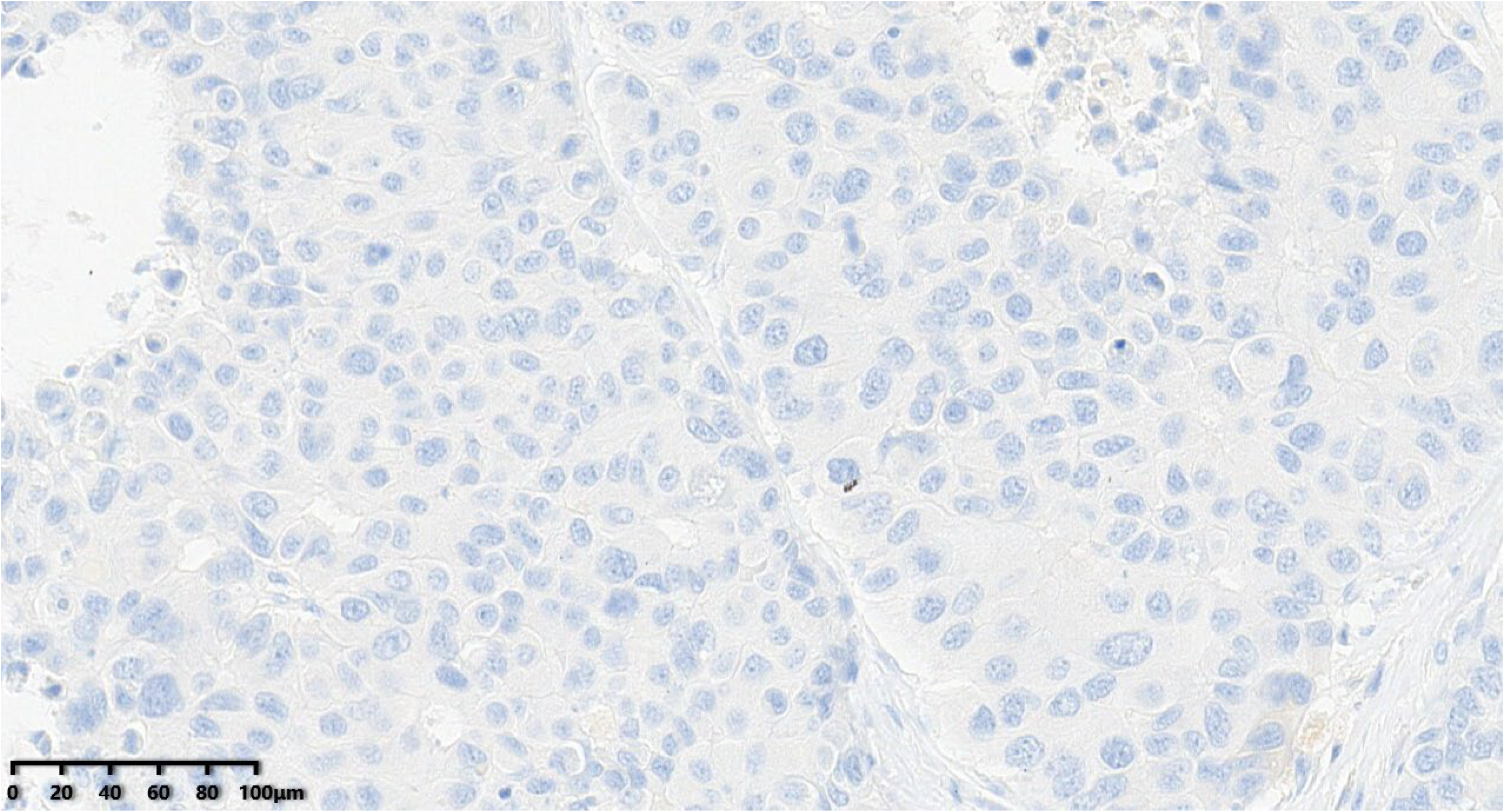
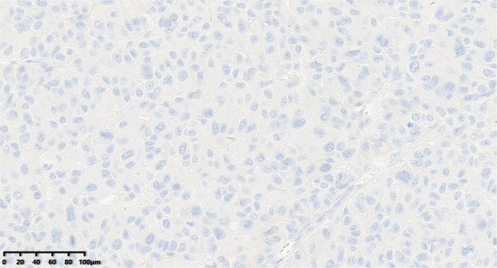
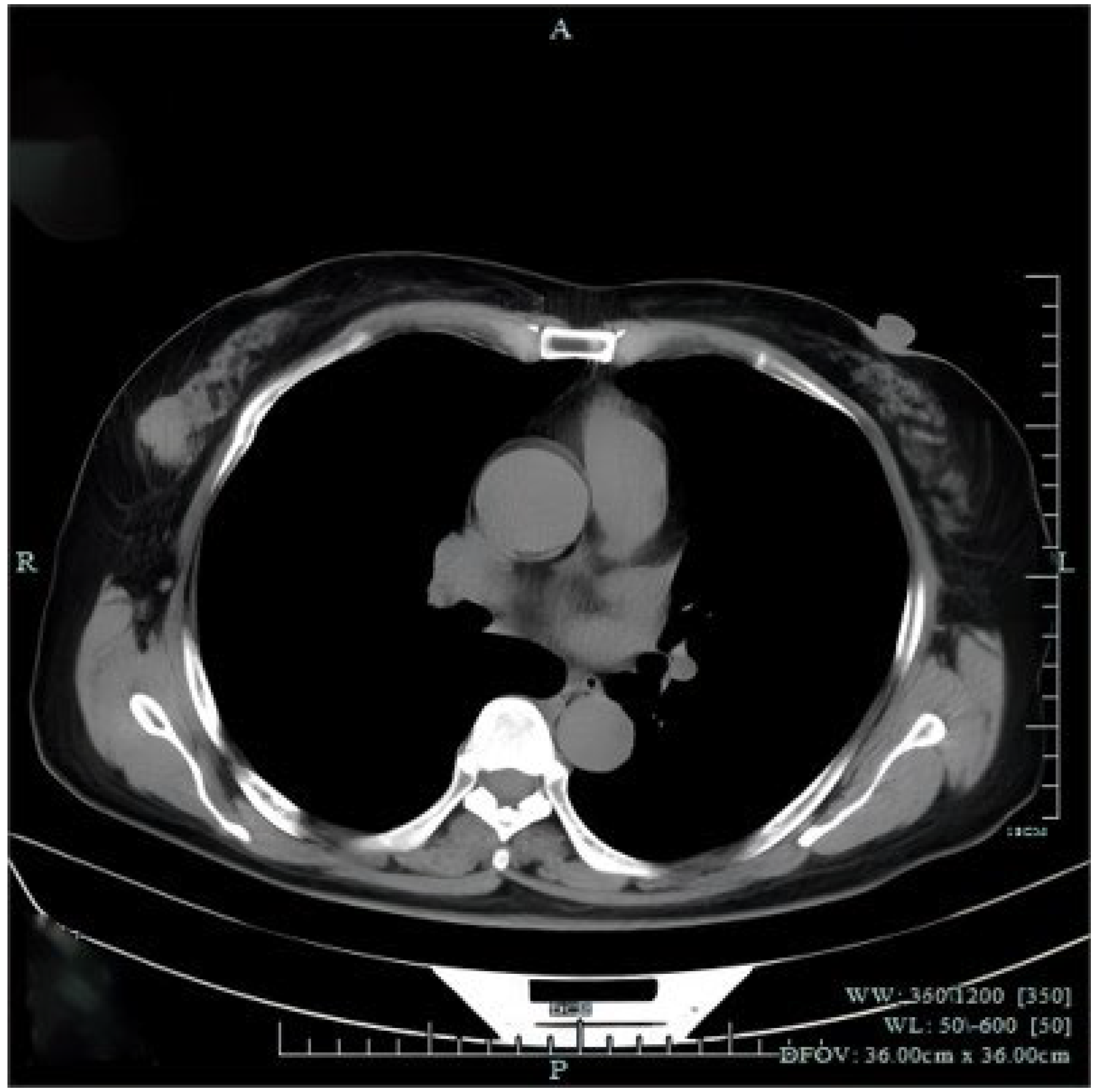
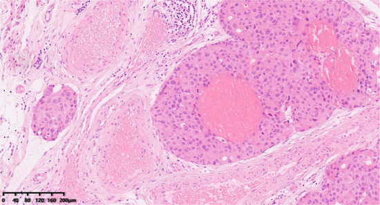
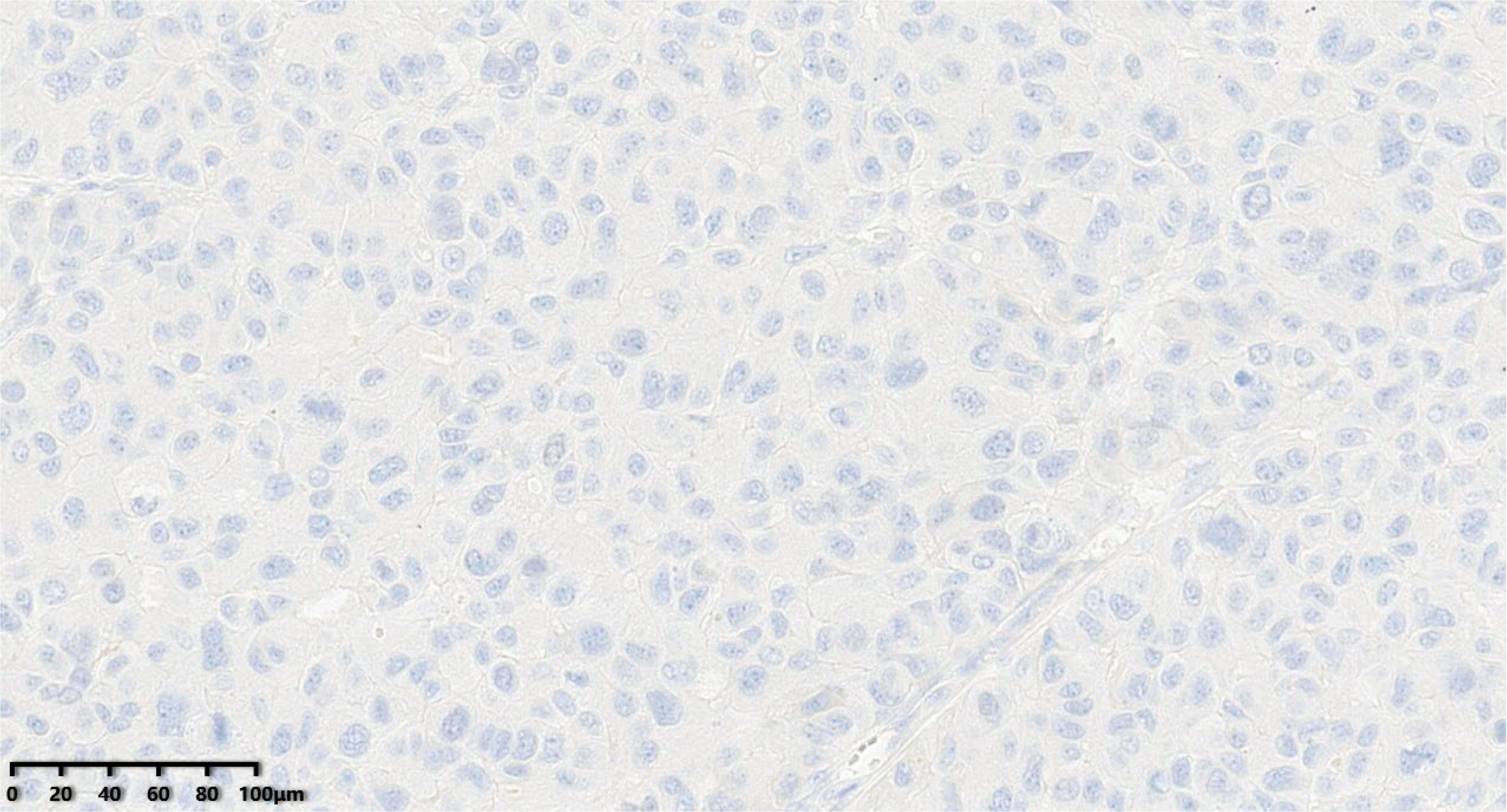
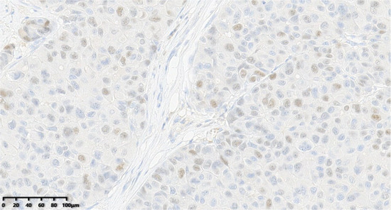
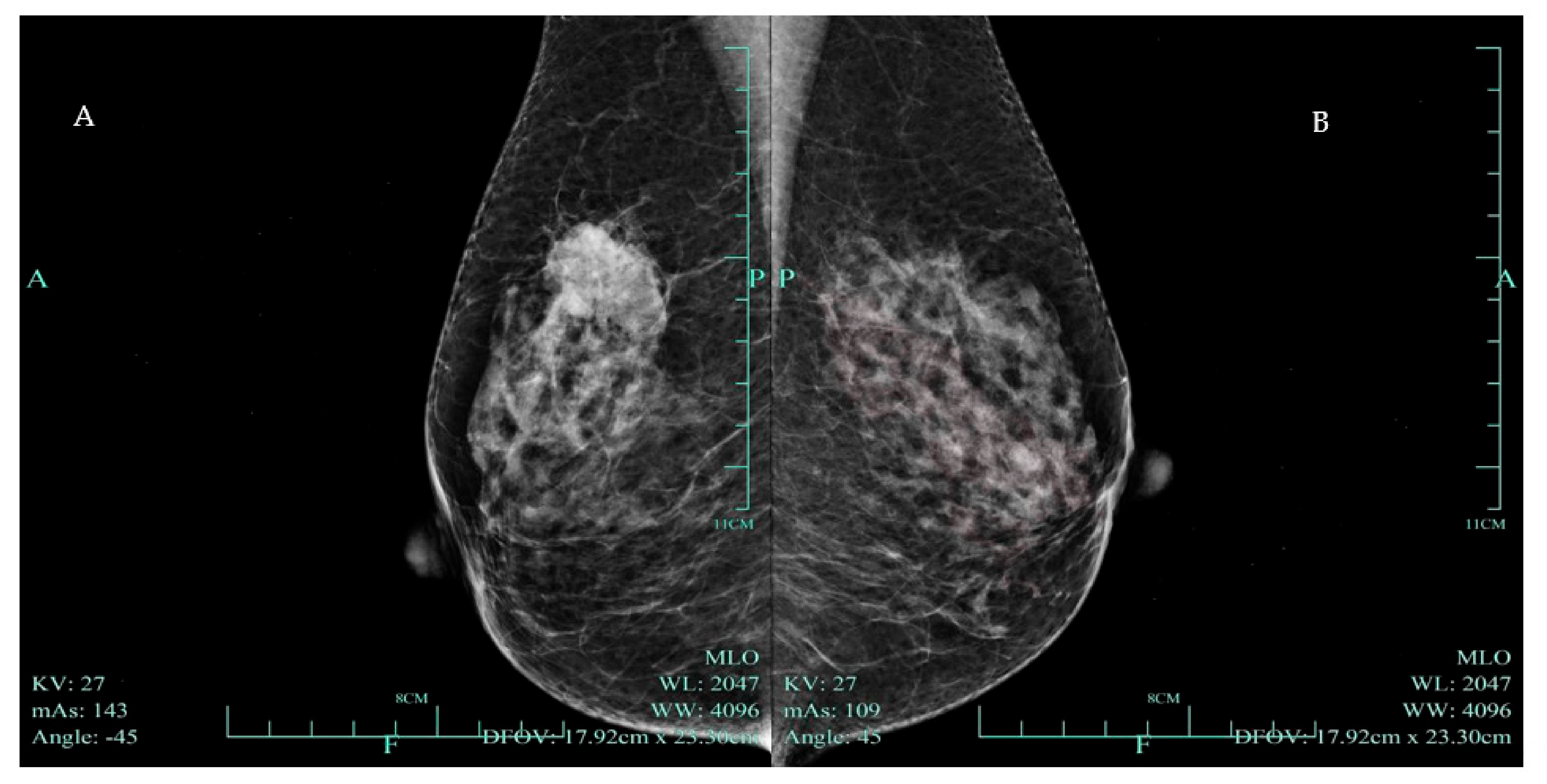
Primary Large-Cell Neuroendocrine Carcinoma of the Breast
Abstract














Author Contributions
Funding
Institutional Review Board Statement
Informed Consent Statement
Data Availability Statement
Conflicts of Interest
References
- Ellis, I.O.; Schnitt, S.; Sastre-Garau, X. Invasive Breast Carcinomas: Mucinous Carcinoma; IARC Press: Lyon, France, 2003; pp. 13–59. [Google Scholar]
- López-Bonet, E.; Alonso-Ruano, M.; Barraza, G.; Vazquez-Martin, A.; Bernadó, L.; Menendez, J.A. Solid neuroendocrine breast carcinomas: Incidence, clinico-pathological features and immunohistochemical profiling. Oncol. Rep. 2008, 20, 1369–1374. [Google Scholar] [PubMed]
- Wang, J.; Wei, B.; Albarracin, C.T.; Hu, J.; Abraham, S.C.; Wu, Y. Invasive neuroendocrine carcinoma of the breast: A population-based study from the surveillance, epidemiology and end results (SEER) database. BMC Cancer 2014, 14, 147. [Google Scholar] [CrossRef] [PubMed]
- Bussolati, G.; Badve, S. Carcinomas with neuroendocrine features. In WHO Classification of Tumours of the Breast; Lakhani, S.R., Ellis, I.O., Schnitt, S.J., Tan, P.H., van der Vijver, M.J., Eds.; IARC Press: Lyon, France, 2012; Volume 4, pp. 62–63. [Google Scholar]
- Tan, P.H.; Ellis, I.; Allison, K.; Brogi, E.; Fox, S.B.; Lakhani, S.; Lazar, A.J.; Morris, E.A.; Sahin, A.; Salgado, R.; et al. The 2019 WHO classification of tumours of the breast. Histopathology 2020, 77, 181–185. [Google Scholar] [CrossRef] [PubMed]
- Lakhani, S.R. WHO Classification of Tumours of the Breast, 4th ed.; IARC Press: Lyon, France, 2012. [Google Scholar]
- Alkaied, H.; Harris, K.; Azab, B.; Dai, Q. Primary neuroendocrine breast cancer, how much do we know so far? Med. Oncol. 2012, 29, 2613–2618. [Google Scholar] [CrossRef] [PubMed]
- Sapino, A.; Righi, L.; Cassoni, P.; Papotti, M.; Pietribiasi, F.; Bussolati, G. Expression of the neuroendocrine phenotype in carcinomas of the breast. Semin. Diagn. Pathol. 2000, 17, 127–137. [Google Scholar] [PubMed]
- Metovic, J.; Cascardi, E.; Uccella, S.; Maragliano, R.; Querzoli, G.; Osella-Abate, S.; Pittaro, A.; La Rosa, S.; Bogina, G.; Cassoni, P.; et al. Neuroendocrine neoplasms of the breast: Diagnostic agreement and impact on outcome. Virchows Arch. 2022, 481, 839–846. [Google Scholar] [CrossRef] [PubMed]
- Zekioglu, O.; Erhan, Y.; Çiriş, M.; Bayramoglu, H. Neuroendocrine differentiated carcinomas of the breast: A distinct entity. Breast 2003, 12, 251–257. [Google Scholar] [CrossRef] [PubMed]
- Metovic, J.; Castellano, I.; Marinelli, E.; Osella-Abate, S.; Sapino, A.; Cassoni, P.; Papotti, M. INSM1 Expression in Breast Neoplasms with Neuroedocrine Features. Endocr. Pathol. 2021, 32, 452–460. [Google Scholar] [CrossRef] [PubMed]
- Wei, B.; Ding, T.; Xing, Y.; Wei, W.; Tian, Z.; Tang, F.; Abraham, S.; Nayeemuddin, K.; Hunt, K.; Wu, Y. Invasive neuroendocrine carcinoma of the breast: A distinctive subtype of aggressive mammary carcinoma. Cancer 2010, 116, 4463–4473. [Google Scholar] [CrossRef] [PubMed]
- Rovera, F.; Masciocchi, P.; Coglitore, A.; Rosa, S.L.; Dionigi, G.; Marelli, M.; Boni, L.; Dionigi, R. Neuroendocrine carcinomas of the breast. Int. J. Surg. 2008, 6, S113–S115. [Google Scholar] [CrossRef] [PubMed]
- Krivak, T.C.; McBroom, J.W.; Sundborg, M.J.; Crothers, B.; Parker, M.F. Large Cell Neuroendocrine Cervical Carcinoma: A Report of Two Cases and Review of the Literature. Gynecol. Oncol. 2001, 82, 187–191. [Google Scholar] [CrossRef] [PubMed]
- Sun, H.; Dai, S.; Xu, J.; Liu, L.; Yu, J.; Sun, T. Primary Neuroendocrine Tumor of the Breast: Current Understanding and Future Perspectives. Front. Oncol. 2022, 12, 848485. [Google Scholar] [CrossRef] [PubMed]
Disclaimer/Publisher’s Note: The statements, opinions and data contained in all publications are solely those of the individual author(s) and contributor(s) and not of MDPI and/or the editor(s). MDPI and/or the editor(s) disclaim responsibility for any injury to people or property resulting from any ideas, methods, instructions or products referred to in the content. |
© 2024 by the authors. Licensee MDPI, Basel, Switzerland. This article is an open access article distributed under the terms and conditions of the Creative Commons Attribution (CC BY) license (https://creativecommons.org/licenses/by/4.0/).
Share and Cite
Zhang, B.; Huang, F.; Guo, S.; Wu, D.; Xiao, X.; Zhang, T. Primary Large-Cell Neuroendocrine Carcinoma of the Breast. Diagnostics 2024, 14, 2347. https://doi.org/10.3390/diagnostics14212347
Zhang B, Huang F, Guo S, Wu D, Xiao X, Zhang T. Primary Large-Cell Neuroendocrine Carcinoma of the Breast. Diagnostics. 2024; 14(21):2347. https://doi.org/10.3390/diagnostics14212347
Chicago/Turabian StyleZhang, Bicheng, Fengbo Huang, Siyu Guo, Dang Wu, Xiaofang Xiao, and Ting Zhang. 2024. "Primary Large-Cell Neuroendocrine Carcinoma of the Breast" Diagnostics 14, no. 21: 2347. https://doi.org/10.3390/diagnostics14212347
APA StyleZhang, B., Huang, F., Guo, S., Wu, D., Xiao, X., & Zhang, T. (2024). Primary Large-Cell Neuroendocrine Carcinoma of the Breast. Diagnostics, 14(21), 2347. https://doi.org/10.3390/diagnostics14212347

