Chronic Diarrhea Owing to Microscopic Colitis: A Cohort Study with Insights into Diagnostic Challenges and Size of the Problem
Abstract
1. Introduction
2. Patients and Methods
2.1. Study Design
2.2. Patient Selection and Data Collection
2.3. Clinical and Laboratory Assessments
2.3.1. Samples
2.3.2. Laboratory Tests
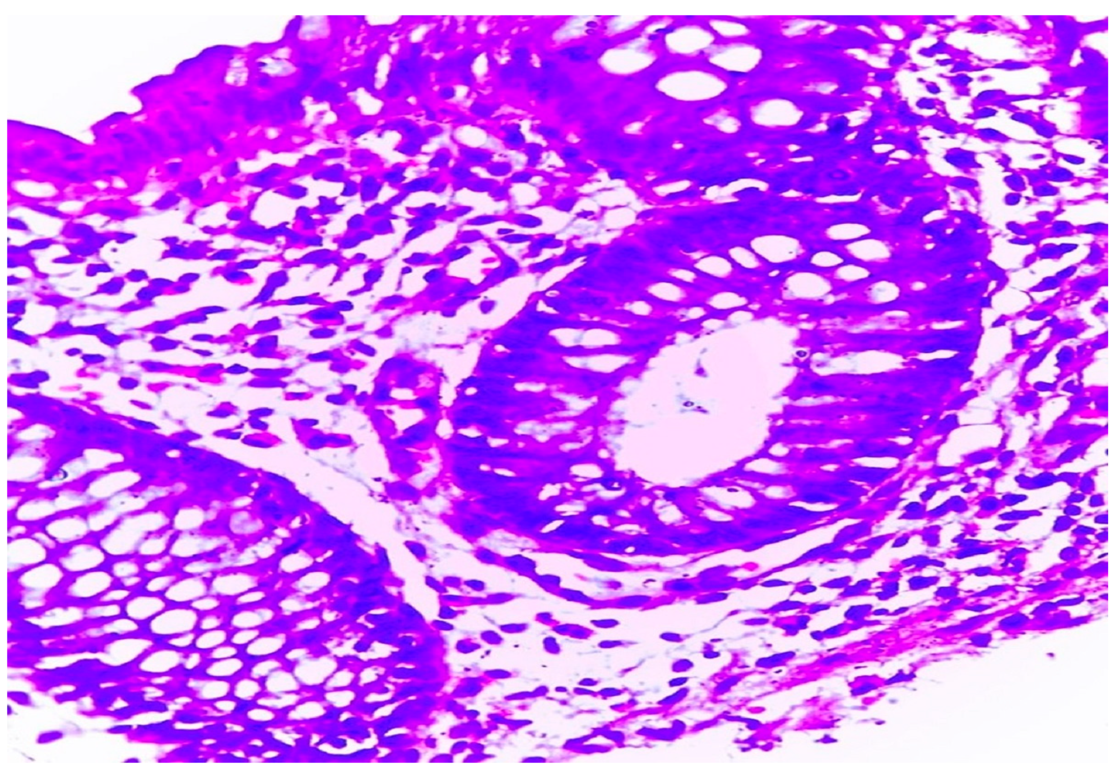
2.3.3. Histopathology
2.3.4. Immunohistochemistry Protocol
2.4. Statistical Analysis
3. Results
3.1. Demographic, Clinical, and Laboratory Data of the Patients
3.2. Microscopic Colitis (MC) and Associated Demographic and Clinical Factors
3.3. Role of Laboratory Biomarkers with MC
4. Discussion
5. Conclusions
Author Contributions
Funding
Institutional Review Board Statement
Informed Consent Statement
Data Availability Statement
Acknowledgments
Conflicts of Interest
References
- Bohr, J.; Wickbom, A.; Hegedus, A.; Nyhlin, N.; Hultgren Hörnquist, E.; Tysk, C. Diagnosis and Management of Microscopic Colitis: Current Perspectives. Clin. Exp. Gastroenterol. 2014, 7, 273–284. [Google Scholar] [CrossRef] [PubMed]
- Boland, K.; Nguyen, G.C. Microscopic Colitis: A Review of Collagenous and Lymphocytic Colitis. Gastroenterol. Hepatol. 2017, 13, 671–677. [Google Scholar]
- Lacy, B.E.; Mearin, F.; Chang, L.; Chey, W.D.; Lembo, A.J.; Simren, M.; Spiller, R. Bowel Disorders. Gastroenterology 2016, 150, 1393–1407.e5. [Google Scholar] [CrossRef] [PubMed]
- Gado, A.S.; Ebeid, B.A.; El Hindawi, A.A.; Akl, M.M.; Axon, A.T. Prevalence of Microscopic Colitis in Patients with Chronic Diarrhea in Egypt: A Single-Center Study. Saudi J. Gastroenterol. 2011, 17, 383–386. [Google Scholar] [CrossRef] [PubMed]
- Guagnozzi, D.; Arias, Á.; Lucendo, A.J. Systematic Review with Meta-Analysis: Diagnostic Overlap of Microscopic Colitis and Functional Bowel Disorders. Aliment. Pharmacol. Ther. 2016, 43, 851–862. [Google Scholar] [CrossRef] [PubMed]
- Lin, J.-F.; Chen, J.-M.; Zuo, J.-H.; Yu, A.; Xiao, Z.-J.; Deng, F.-H.; Nie, B.; Jiang, B. Meta-Analysis: Fecal Calprotectin for Assessment of Inflammatory Bowel Disease Activity. Inflamm. Bowel Dis. 2014, 20, 1407–1415. [Google Scholar] [CrossRef] [PubMed]
- Schiller, L.R.; Pardi, D.S.; Sellin, J.H. Chronic Diarrhea: Diagnosis and Management. Clin. Gastroenterol. Hepatol. 2017, 15, 182–193.e3. [Google Scholar] [CrossRef] [PubMed]
- Magro, F.; Lopes, J.; Borralho, P.; Lopes, S.; Coelho, R.; Cotter, J.; de Castro, F.D.; de Sousa, H.T.; Salgado, M.; Andrade, P.; et al. Comparison of Different Histological Indexes in the Assessment of UC Activity and Their Accuracy Regarding Endoscopic Outcomes and Faecal Calprotectin Levels. Gut 2019, 68, 594–603. [Google Scholar] [CrossRef] [PubMed]
- Batista, L.; Ruiz, L.; Ferrer, C.; Zabana, Y.; Aceituno, M.; Arau, B.; Andújar, X.; Esteve, M.; Fernández-Bañares, F. Usefulness of Fecal Calprotectin as a Biomarker of Microscopic Colitis in a Cohort of Patients with Chronic Watery Diarrhoea of Functional Characteristics. Dig. Liver Dis. 2019, 51, 1646–1651. [Google Scholar] [CrossRef] [PubMed]
- Miehlke, S.; Verhaegh, B.; Tontini, G.E.; Madisch, A.; Langner, C.; Münch, A. Microscopic Colitis: Pathophysiology and Clinical Management. Lancet Gastroenterol. Hepatol. 2019, 4, 305–314. [Google Scholar] [CrossRef] [PubMed]
- Miehlke, S.; Guagnozzi, D.; Zabana, Y.; Tontini, G.E.; Kanstrup Fiehn, A.; Wildt, S.; Bohr, J.; Bonderup, O.; Bouma, G.; D’Amato, M.; et al. European Guidelines on Microscopic Colitis: United European Gastroenterology and European Microscopic Colitis Group Statements and Recommendations. UEG J. 2021, 9, 13–37. [Google Scholar] [CrossRef] [PubMed]
- Fernández-Bañares, F.; Zabana, Y.; Aceituno, M.; Ruiz, L.; Salas, A.; Esteve, M. Prevalence and Natural History of Microscopic Colitis: A Population-Based Study with Long-Term Clinical Follow-up in Terrassa, Spain. J. Crohn’s Colitis 2016, 10, 805–811. [Google Scholar] [CrossRef] [PubMed]
- Abdelmageed, K.H.; Riad, G.S.; Mousa, N.I.; Sharafeldin, D.B.A. Frequency of Microscopic Colitis in Patients with Diarrhea Predominant Irritable Bowel Syndrome in Egyptian Patients. QJM Int. J. Med. 2020, 113, hcaa052.047. [Google Scholar] [CrossRef]
- Abboud, R.; Pardi, D.; Tremaine, W.; Sandborn, W.; Kammer, P.; Loftus, E. The Association of Serologic Inflammatory Markers with Microscopic Colitis Disease Activity: 420. Off. J. Am. Coll. Gastroenterol. ACG 2011, 106, S164–S165. [Google Scholar] [CrossRef]
- Songtanin, B.; Chen, J.N.; Nugent, K. Microscopic Colitis: Pathogenesis and Diagnosis. J. Clin. Med. 2023, 12, 4442. [Google Scholar] [CrossRef] [PubMed]
- Songtanin, B.; Evans, A.; Nugent, K.; Costilla, V. The Utility of Fecal Calprotectin in the Diagnosis and Management of Microscopic Colitis. J. Community Hosp. Intern. Med. Perspect. 2023, 13, 71. [Google Scholar] [CrossRef] [PubMed]
- Songtanin, B.; Kahathuduwa, C.; Nugent, K. Fecal Calprotectin Level in Microscopic Colitis: A Systematic Review and Meta-Analysis. Bayl. Univ. Med. Cent. Proc. 2023, 36, 641–646. [Google Scholar] [CrossRef] [PubMed]
- Kane, J.S.; Rotimi, O.; Ford, A.C. Macroscopic Findings, Incidence and Characteristics of Microscopic Colitis in a Large Cohort of Patients from the United Kingdom. Scand. J. Gastroenterol. 2017, 52, 988–994. [Google Scholar] [CrossRef] [PubMed]
- Umeno, J.; Matsumoto, T.; Nakamura, S.; Jo, Y.; Yada, S.; Hirakawa, K.; Yoshimura, R.; Yamagata, H.; Kudo, T.; Hirano, A.; et al. Linear Mucosal Defect May Be Characteristic of Lansoprazole-Associated Collagenous Colitis. Gastrointest. Endosc. 2008, 67, 1185–1191. [Google Scholar] [CrossRef] [PubMed]
- Nassar, A.K.; El Shewi, M.E.; Mohammed, M.A.; Gouda, M.H.; Eleraky, T.E. Prevalence of Microscopic Colitis in Patients with Normal or Nonspecific Colonoscopic Findings. Benha Med. J. 2023, 40, 828–844. [Google Scholar] [CrossRef]



| Variable | Level | N (%) N = 116 |
|---|---|---|
| Age: (years) | Mean ± SD Range | 47.47 ± 5.29 (35–57) |
| Sex: | Female Male | 55 (47.4) 61 (52.6) |
| Residence: | Rural Urban | 67 (57.8) 49 (42.2) |
| Co-morbidities: | No HTN | 99 (85.3) 17 (14.7) |
| Smoking: | No Yes | 92 (79.3) 24 (20.7) |
| BMI (kg/m2) | Mean ± SD Range | 25.26 ± 3.59 (19.8–35.2) |
| Nocturnal diarrhea: | No Yes | 86 (74.1) 30 (25.9) |
| Abdominal pain: | No Yes | 81 (69.8) 35 (31.2) |
| Unexplained weight loss: | No Yes | 101 (87.1) 15 (12.9) |
| Variable | Level | N (%) N = 116 |
|---|---|---|
| Hb: (g/dL) | Mean ± SD Range | 12.24 ± 0.84 (10.7–15) |
| WBCs: (×103/mm3) | Mean ± SD Range | 9.11 ± 1.58 (4.5–13.2) |
| Platelets: (×103/mm3) | Mean ± SD Range | 282.06 ± 51.99 (169–374) |
| T. Bil.: (mg/dL) | Mean ± SD Range | 0.76 ± 0.17 (0.48–1.20) |
| D. Bil.: (mg/dL) | Median (Range) | 0.16 (0.1–0.7) |
| AST: (IU/L) | Mean ± SD Range | 42.72 ± 11.9 (18–87) |
| ALT: (IU/L) | Median (range) | 32.5 (14–133) |
| Albumin: (g/dL) | Mean ± SD Range | 4.07 ± 0.30 (3.4–4.8) |
| TPN: (g/dL) | Mean ± SD Range | 7.49 ± 0.39 (6.50–8.20) |
| ALP: (U/L) | Mean ± SD Range | 103.22 ± 22.26 (59–153) |
| INR: | Mean ± SD Range | 1.01 ± 0.09 (0.90–1.2) |
| Creatinine: (mg/dL) | Mean ± SD Range | 0.82 ± 0.15 (0.38–1.2) |
| BUN: (mg/dL) | Mean ± SD Range | 14.43 ± 2.06 (11.0–19.0) |
| ESR: (mm/hr) | Median (range) | 13 (6–35) |
| CRP: (mg/dL) | Median (range) | 5.6 (2–14) |
| FC: (mcg/g) | Median (range) | 56 (22.9–194.0) |
| Variable | Level | Patients with Microscopic Colitis (N = 38) | Patients Without Microscopic Colitis (N = 78) | p-Value |
|---|---|---|---|---|
| Age: (years) | Mean ± SD Range | 47.63 ± 5.3 (35.0–56.0) | 47.38 ± 5.3 (36.0–57.0) | 0.81 |
| Sex: | Female (N = 55) Male (N = 61) | 18 (32.7) 20 (32.8) | 37 (67.3) 41 (67.2) | 0.99 |
| Residence: | Rural (N = 67) Urban (N = 49) | 21 (31.3) 17 (34.7) | 46 (68.7) 32 (65.3) | 0.70 |
| Co-morbidities: | No (N = 99) HTN (N = 17) | 31 (31.3) 7 (41.2) | 68 (68.7) 10 (58.8) | 0.42 |
| Smoking: | No (N = 92) Yes (N = 24) | 26 (28.3) 12 (50.0) | 66 (71.7) 12 (50.0) | 0.04 |
| BMI (kg/m2) | Mean ± SD Range | 25 ± 2.05 (21.8–30) | 25.3 ± 4.14 (19.8–35.2) | 0.49 |
| Nocturnal diarrhea: | No (N = 86) Yes (N = 30) | 20 (23.3) 18 (60.0) | 66 (76.7) 12 (40.0) | <0.001 |
| Abdominal pain: | No (N = 81) Yes (N = 35) | 17 (21.0) 21 (60.0) | 64 (79.0) 14 (40.0) | <0.001 |
| Unexplained weight loss: | No (N = 101) Yes (N = 15) | 33 (32.7) 5 (33.3) | 68 (67.3) 10 (66.7) | 0.95 |
| B | S.E. | Sig. | Odds Ratio | 95% C.I. | ||
|---|---|---|---|---|---|---|
| Lower | Upper | |||||
| Abdominal pain | 1.531 | 0.467 | 0.001 | 4.625 | 1.853 | 11.542 |
| Nocturnal diarrhea | 1.450 | 0.487 | 0.003 | 4.265 | 1.641 | 11.083 |
| Smoking | 0.848 | 0.525 | 0.106 | 2.334 | 0.835 | 6.529 |
| Variable | Level | Patients with Microscopic Colitis (N = 38) | Patients without Microscopic Colitis (N = 78) | p-Value |
|---|---|---|---|---|
| Hb: (g/dL) | Mean ± SD Range | 12.33 ± 0.92 (11.0–15.0) | 12.2 ± 0.80 (10.7–15.0) | 0.44 |
| WBCs: (×103/mm3) | Mean ± SD Range | 9.33 ± 1.85 (4.5–13.2) | 9.01 ± 1.43 (6.2–12.1) | 0.34 |
| Platelets: (×103/mm3) | Mean ± SD Range | 283.37 ± 48.84 (169.0–362.0) | 281.42 ± 53.7 (169.0–374.0) | 0.84 |
| T. Bil.: (mg/dL) | Mean ± SD Range | 0.74 ± 0.17 (0.48–1.1) | 0.78 ± 0.17 (0.48–1.2) | 0.27 |
| D. Bil.: (mg/dL) | Median (Range) | 0.15 (0.1–0.7) | 0.16 (0.1–0.7) | 0.35 |
| AST: (IU/L) | Mean ± SD Range | 43.97 ± 13.61 (18.0–87.0) | 42.12 ± 11.16 (18.0–79.0) | 0.46 |
| ALT: (IU/L) | Median (range) | 33.0 (14.0–133.0) | 32.5 (14.0–102.0) | 0.34 |
| Albumin: (g/dL) | Mean ± SD Range | 4.05 ± 0.31 (3.4–4.8) | 4.08 ± 0.29 (3.4–4.6) | 0.60 |
| TPN: (g/dL) | Mean ± SD Range | 7.55 ± 0.38 (6.8–8.2) | 7.47 ± 0.39 (6.5–8.2) | 0.30 |
| ALP: (U/L) | Mean ± SD Range | 107.63 ± 22.47 (59.0–153.0) | 101.08 ± 21.98 (59.0–143.0) | 0.14 |
| INR: | Mean ± SD Range | 0.98 ± 0.08 (0.90–1.20) | 1.03 ± 0.09 (0.90–1.20) | 0.009 |
| Creatinine: (mg/dL) | Mean ± SD Range | 0.81 ± 0.14 (0.38–1.10) | 0.82 ± 0.15 (0.38–1.20) | 0.71 |
| BUN: (mg/dL) | Mean ± SD Range | 14.43 ± 2.0 (11.0–19.0) | 14.43 ± 2.09 (11.0–19.0) | 0.99 |
| ESR: (mm/hr) | Median (range) | 23 (11.0–35.0) | 11.0 (6.0–27.0) | <0.001 |
| CRP: (mg/dL) | Median (range) | 7.8 (2.0–14.0) | 4.6 (2.2–9.4) | <0.001 |
| FC: (mcg/g) | Median (range) | 102 (58.0–194.0) | 42.0 (22.9–94.4) | <0.001 |
| Cutoff | AUC (95% CI) | Sensitivity | Specificity | PPV | NPV | Accuracy | p-Value | |
|---|---|---|---|---|---|---|---|---|
| ESR (mm/hr) | >14 | 0.94 (0.88–0.97) | 89.5% | 84.6% | 73.9% | 94.3% | 85.3% | <0.001 |
| CRP (mg/dL) | >7.2 | 0.78 (0.70–0.85) | 55.26% | 97.44% | 91.3% | 81.7% | 83.6% | <0.001 |
| FC (mcg/g) | >64 | 0.97 (0.92–0.99) | 92.1% | 91.03% | 83.3% | 95.9% | 91.3% | <0.001 |
Disclaimer/Publisher’s Note: The statements, opinions and data contained in all publications are solely those of the individual author(s) and contributor(s) and not of MDPI and/or the editor(s). MDPI and/or the editor(s) disclaim responsibility for any injury to people or property resulting from any ideas, methods, instructions or products referred to in the content. |
© 2024 by the authors. Licensee MDPI, Basel, Switzerland. This article is an open access article distributed under the terms and conditions of the Creative Commons Attribution (CC BY) license (https://creativecommons.org/licenses/by/4.0/).
Share and Cite
Gad, A.I.; Salem, S.M.; Nofal, H.A.; Rashed, H.; Ali, H.T.; Almadani, N.; Mahfouz, R.; Ibrahim, N.F.; Sadek, A.M.E.M. Chronic Diarrhea Owing to Microscopic Colitis: A Cohort Study with Insights into Diagnostic Challenges and Size of the Problem. Diagnostics 2024, 14, 2333. https://doi.org/10.3390/diagnostics14202333
Gad AI, Salem SM, Nofal HA, Rashed H, Ali HT, Almadani N, Mahfouz R, Ibrahim NF, Sadek AMEM. Chronic Diarrhea Owing to Microscopic Colitis: A Cohort Study with Insights into Diagnostic Challenges and Size of the Problem. Diagnostics. 2024; 14(20):2333. https://doi.org/10.3390/diagnostics14202333
Chicago/Turabian StyleGad, Ahmed Ibrahim, Sara Mohamed Salem, Hanaa A. Nofal, Hayam Rashed, Hossam Tharwat Ali, Noura Almadani, Rasha Mahfouz, Nevin F. Ibrahim, and Ayman M. E. M. Sadek. 2024. "Chronic Diarrhea Owing to Microscopic Colitis: A Cohort Study with Insights into Diagnostic Challenges and Size of the Problem" Diagnostics 14, no. 20: 2333. https://doi.org/10.3390/diagnostics14202333
APA StyleGad, A. I., Salem, S. M., Nofal, H. A., Rashed, H., Ali, H. T., Almadani, N., Mahfouz, R., Ibrahim, N. F., & Sadek, A. M. E. M. (2024). Chronic Diarrhea Owing to Microscopic Colitis: A Cohort Study with Insights into Diagnostic Challenges and Size of the Problem. Diagnostics, 14(20), 2333. https://doi.org/10.3390/diagnostics14202333

