Epidemiological, Clinical, and Histopathological Features of the Head and Neck Region Schwannomas—Our Experience in the Western Part of Romania with Surgical Insights
Abstract
1. Introduction
2. Materials and Methods
2.1. Patient Selection and Inclusion Criteria
2.2. Ethical Considerations
2.3. Laboratory Method
3. Results
3.1. Demographic and Clinical Data
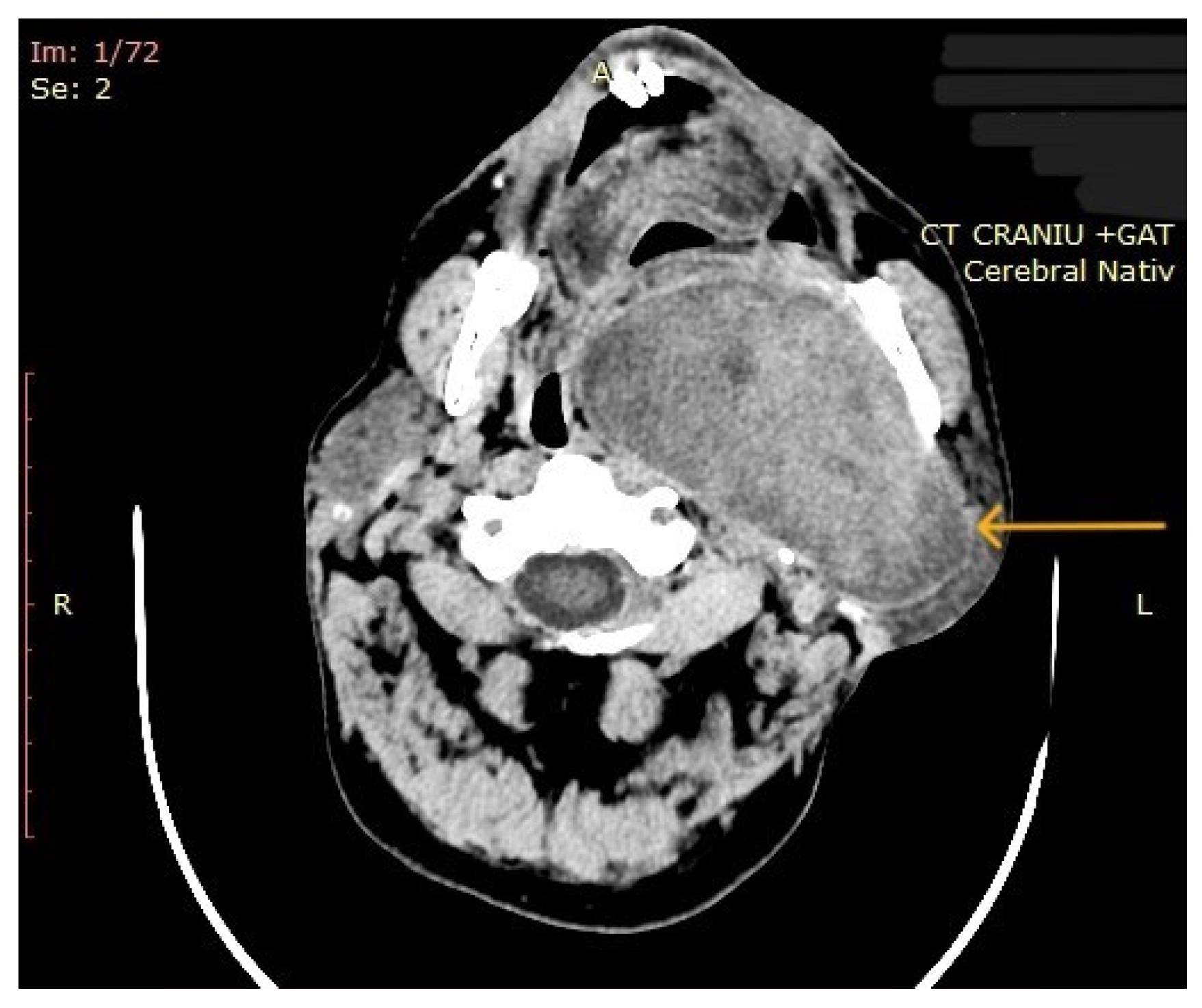
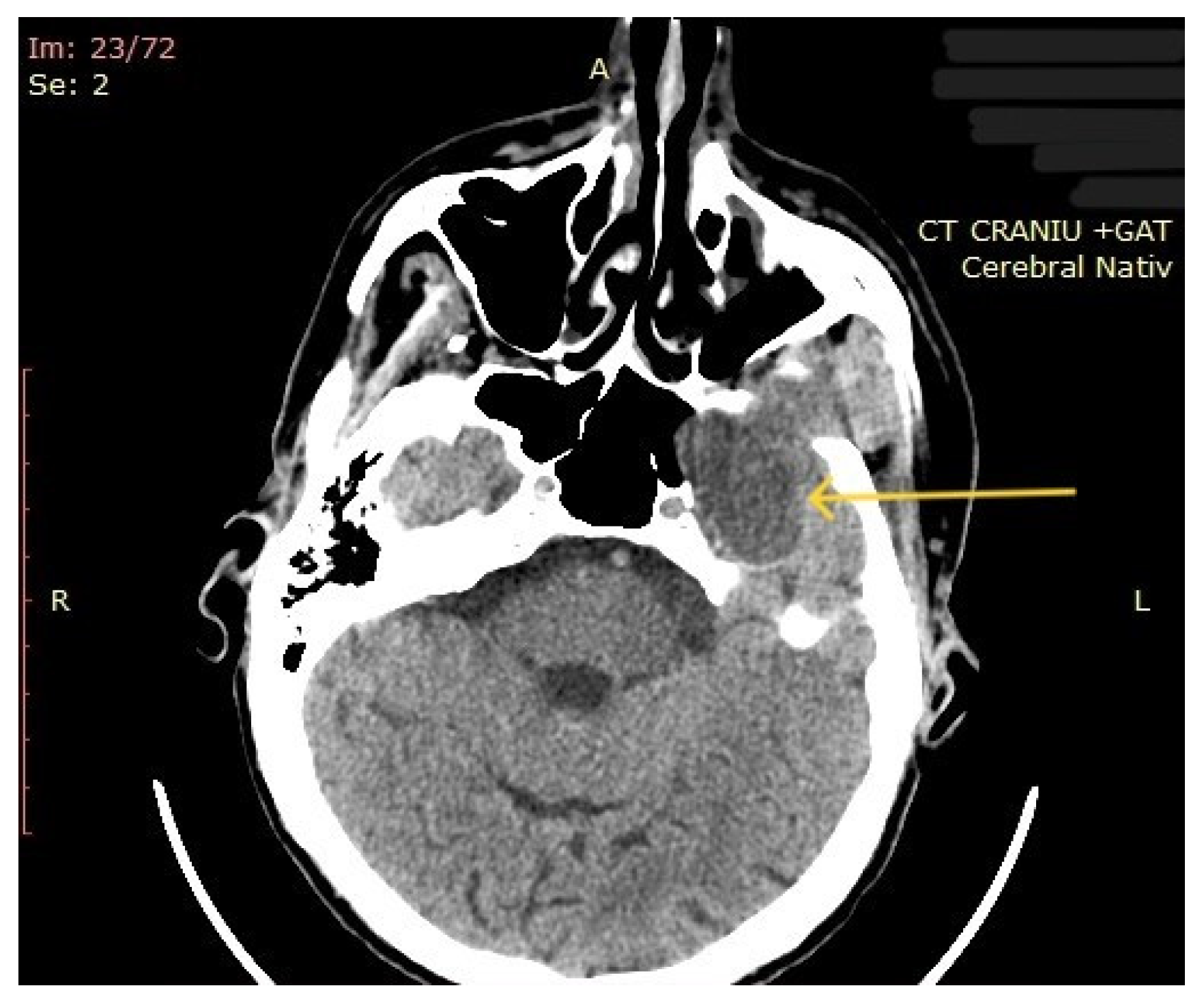
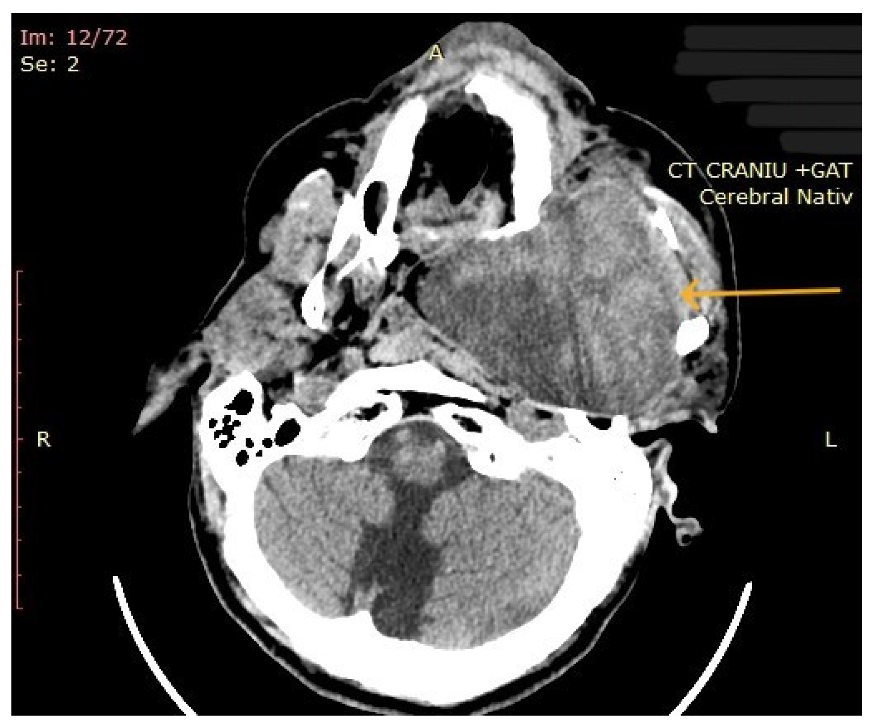
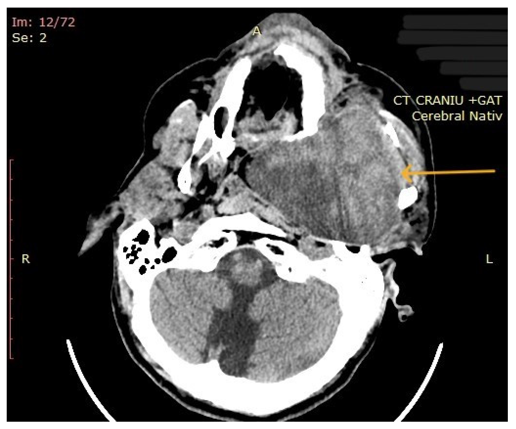
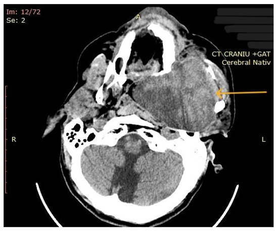
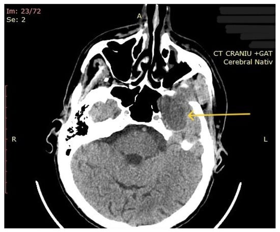
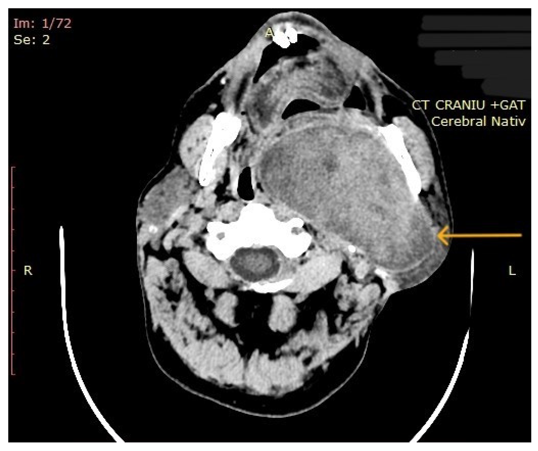
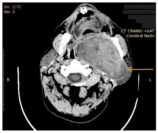
3.2. Imaging Aspects
3.3. Involved Nerve and Surgical Approach
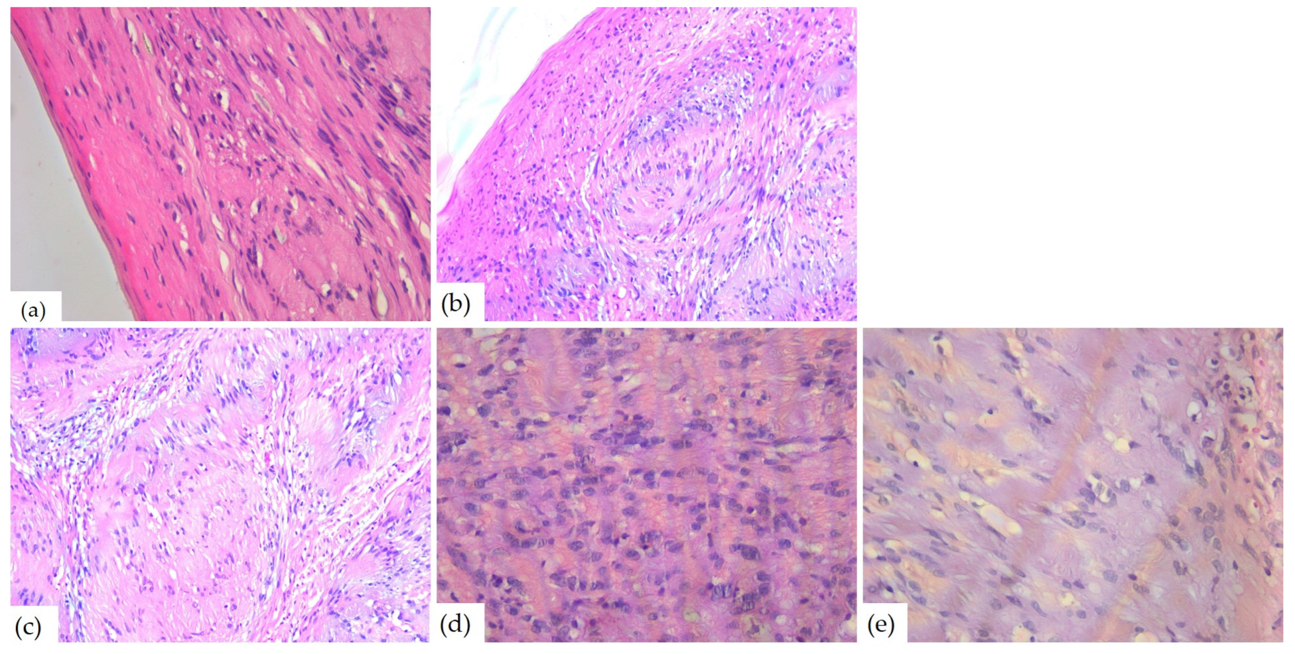
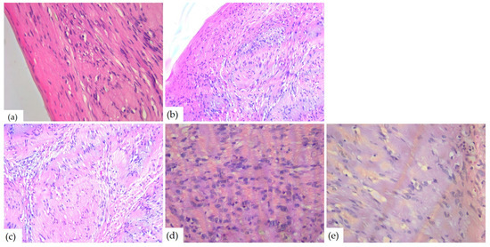
3.4. Morphological Aspects
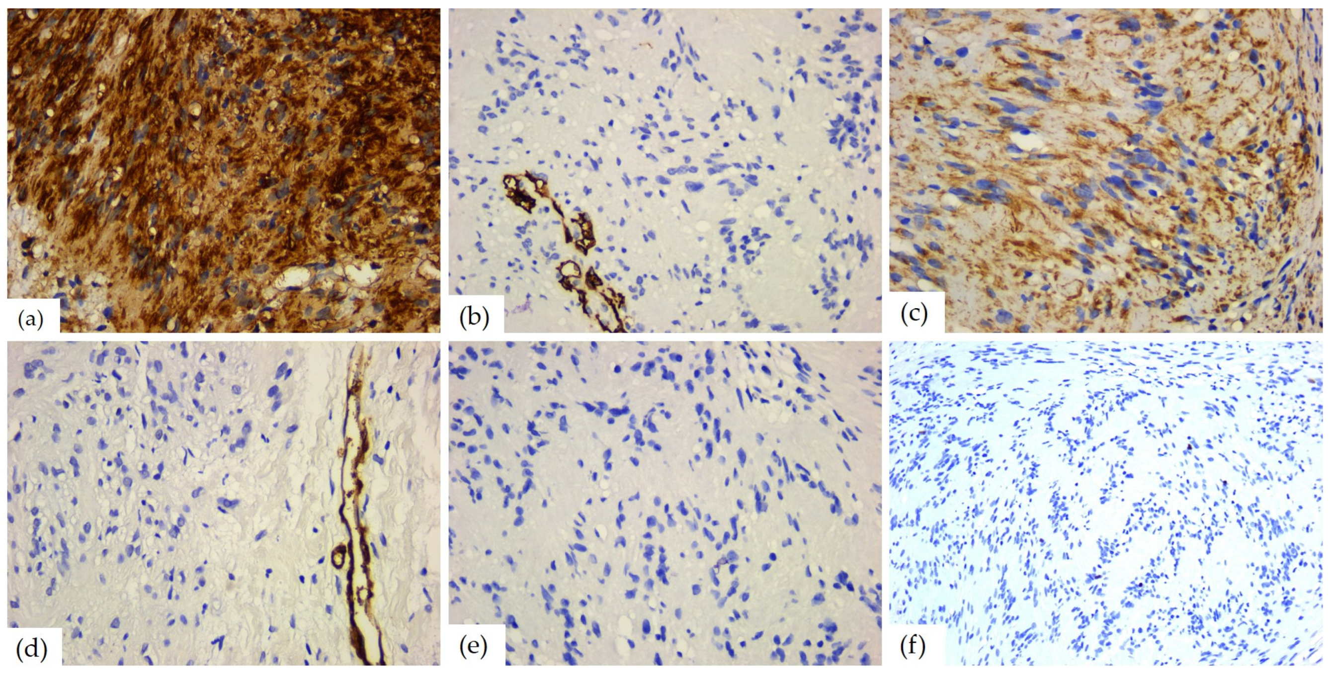
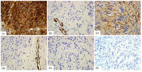
3.5. Immunohistochemical Aspects
3.6. Outcome
4. Discussion
5. Conclusions
Author Contributions
Funding
Institutional Review Board Statement
Informed Consent Statement
Data Availability Statement
Acknowledgments
Conflicts of Interest
References
- Lambade, P.N.; Palve, D.; Lambade, D. Schwannoma of the cheek: Clinical case and literature review. J. Oral Maxillofac. Surg. 2015, 14, 327–331. [Google Scholar] [CrossRef] [PubMed][Green Version]
- Nassehi, Y.; Rashid, A.; Pitiyage, G.; Jayaram, R. Floor of mouth schwannoma mimicking a salivary gland neoplasm: A report of the case and review of the literature. BMJ Case Rep. 2021, 14, e239452. [Google Scholar] [CrossRef] [PubMed]
- Moreno-García, C.; Pons-García, M.A.; González-García, R.; Monje-Gil, F. Schwannoma of tongue. J. Oral Maxillofac. Surg. 2014, 13, 217–221. [Google Scholar] [CrossRef] [PubMed]
- Thompson, L.D.R.; Koh, S.S.; Lau, S.K. Tongue Schwannoma: A Clinicopathologic Study of 19 Cases. Head Neck Pathol. 2020, 14, 571–576. [Google Scholar] [CrossRef] [PubMed]
- López-Carriches, C.; Baca-Pérez-Bryan, R.; Montalvo-Montero, S. Schwannoma located in the palate: Clinical case and literature review. Med. Oral Patol. Oral Cir. Buccal 2009, 14, 465–468. [Google Scholar]
- do Nascimento, G.J.; de Albuquerque Pires Rocha, D.; Galvão, H.C.; de Lisboa Lopes Costa, A.; de Souza, L.B. A 38-year review of oral schwannomas and neurofibromas in a Brazilian population: Clinical, histopathological and immunohistochemical study. Clin. Oral Investig. 2011, 15, 329–335. [Google Scholar] [CrossRef]
- Kitama, T.; Hosoya, M.; Noguchi, M.; Nishiyama, T.; Wakabayashi, T.; Shimanuki, M.N.; Yazawa, M.; Inoue, Y.; Kanzaki, J.; Ogawa, K.; et al. Intratemporal Facial Nerve Schwannomas: A Review of 45 Cases in A Single Center. Diagnostics 2022, 12, 1789. [Google Scholar] [CrossRef]
- Palmisciano, P.; Ferini, G.; Watanabe, G.; Conching, A.; Ogasawara, C.; Scalia, G.; Bin-Alamer, O.; Haider, A.S.; Passanisi, M.; Maugeri, R.; et al. Surgical Management of Craniovertebral Junction Schwannomas: A Systematic Review. Curr. Oncol. 2022, 29, 4842–4855. [Google Scholar] [CrossRef]
- de Bree, R.; Westerveld, G.J.; Smeele, L.E. Submandibular approach for excision of a large schwannoma in the base of the tongue. Eur. Arch. Oto-Rhino-Laryngol. 2000, 257, 283–286. [Google Scholar] [CrossRef]
- Pertea, M.; Filip, A.; Huzum, B.; Lunca, S.; Carp, C.; Mitrea, M.; Toader, P.; Luca, S.; Moraru, D.C.; Poroch, V.; et al. Schwannoma of the Upper Limb: Retrospective Study of a Rare Tumor with Uncommon Locations. Diagnostics 2022, 12, 1319. [Google Scholar] [CrossRef]
- Fugărețu, C.; Mișarca, C.; Petcu, L.; Șoană, R.; Cîrnațiu, A.; Surlin, M.V.; Patrascu, S.; Ramboiu, S. Schwannoma: A Rare Case of Submucosal Gastric Tumor. Diagnostics 2023, 13, 2073. [Google Scholar] [CrossRef] [PubMed]
- Gallo, W.J.; Moss, M.; Shapiro, D.N.; Gaul, J.V. Neurilemoma: Review of the literature and report of five cases. J. Am. Dent. Assoc. 1977, 35, 235–236. [Google Scholar]
- Das Gupta, T.K.; Brasfield, R.D.; Strong, E.W.; Hajdu, S.I. Benign solitary Schwannomas (neurilemomas). Cancer J. 1969, 24, 355–366. [Google Scholar]
- Kun, Z.; Qi, D.Y.; Zhang, K.H. A comparison between the clinical behavior of neurilemmomas in the neck and oral and maxillofacial region. J. Oral Maxillofac. Surg. 1993, 51, 769–771. [Google Scholar] [CrossRef]
- Mevio, E.; Gorini, E.; Lenzi, A.; Migliorini, L. Schwannoma of the tongue: One case report. Rev. Laryngol.-Otol.-Rhinol. 2002, 123, 259–261. [Google Scholar]
- Vrinceanu, D.; Dumitru, M.; Popa-Cherecheanu, M.; Marinescu, A.N.; Patrascu, O.-M.; Bobirca, F. Extracranial Facial Nerve Schwannoma—Histological Surprise or Therapeutic Planning? Medicina 2023, 59, 1167. [Google Scholar] [CrossRef]
- Tawfeeq, E.; AlSaidan, L.; Hayat, J.; AlAbdulrahim, B.; Sarkhouh, M.; Al-Sihan, M. Glossopharyngeal schwannoma a rare case report: Diagnostic and surgical approach. Int. J. Surg. Case Rep. 2023, 109, 108629. [Google Scholar] [CrossRef]
- Williams, H.K.; Cannell, H.; Silvester, K.; Williams, D.M. Neurilemmoma of the head and neck. Br. J. Oral Maxillofac. Surg. 1993, 31, 32–35. [Google Scholar] [CrossRef]
- Lucas, R.B. Pathology of Tumors of the Oral Tissue, 5th ed.; Churchill Livingstone: New York, NY, USA, 1984. [Google Scholar]
- Hatziotia, J.C.; Asprides, H. Neurilemoma (schwannoma) or the oral cavity. Oral Surg. Oral Med. Oral Pathol. 1967, 24, 510–526. [Google Scholar] [CrossRef]
- Enzinger, I.M.; Weiss, S.W. Soft Tissue Tumours, 3rd ed.; Mosby: St Louis, MO, USA, 1995; pp. 821–850. [Google Scholar]
- Martins, M.D.; Anunciato de Jesus, L.; Fernandes, K.P.; Bussadori, S.K.; Taghloubi, S.A.; Martins, M.T. Intra-oral schwannoma: Case report and literature review. Indian J. Dent. Res. 2009, 20, 121–125. [Google Scholar] [CrossRef]
- Lira, R.B.; Gonçalves Filho, J.; Carvalho, G.B.; Pinto, C.A.; Kowalski, L.P. Lingual schwannoma: Case report and review of the literature. Acta Otorhinolaryngol. Ital. 2013, 33, 137–140. [Google Scholar] [PubMed]
- Langner, E.; Del Negro, A.; Akashi, H.K.; Araújo, P.P.; Tincani, A.J.; Martins, A.S. Schwannomas in the head and neck: Retrospective analysis of 21 patients and review of the literature. Sao Paulo Med. J. 2007, 125, 220–222. [Google Scholar] [CrossRef] [PubMed]
- Gerber, P.A.; Antal, A.S.; Neumann, N.J.; Homey, B.; Matuschek, C.; Peiper, M.; Budach, W.; Bölke, E. Neurofibromatosis. Eur. J. Med. Res. 2009, 14, 102–105. [Google Scholar] [CrossRef] [PubMed]
- Baderca, F.; Cojocaru, S.; Lazar, E.; Lazureanu, C.; Faur, A.; Lighezan, R.; Alexa, A.; Raica, M.; Valean, M.; Balica, N. Schwannoma of the lip: Case report and review of the literature. Rom. J. Morphol. Embryol. 2008, 49, 391–398. [Google Scholar]
- Balica, N.C.; Poenaru, M.; Preda, M.A.; Boia, E.R.; Burlacu, O.N.; Horhat, I.D.; Mogoantă, C.A.; Vlăescu, A.N.; Baderca, F.; Jifcu, E.M.; et al. Primary tonsillar tuberculosis—Case report. Rom. J. Morphol. Embryol. 2019, 60, 267–271. [Google Scholar]
- Rakitovan, M.; Nicoara, A.; Closca, R.M.; Balica, N.C.; Stefanescu, E.H.; Baderca, F. Leiomyoma with Uncommon Localization-Incisive Papilla and Palatal Fibromucosa: A Case Report. Medicina 2023, 59, 1346. [Google Scholar] [CrossRef]
- Magro, G.; Broggi, G.; Angelico, G.; Puzzo, L.; Vecchio, G.M.; Virzì, V.; Salvatorelli, L.; Ruggieri, M. Practical Approach to Histological Diagnosis of Peripheral Nerve Sheath Tumors: An Update. Diagnostics 2022, 12, 1463. [Google Scholar] [CrossRef]
- Solovan, C.; Chiticariu, E.; Beinsan, D.; Zurac, S.; Baderca, F. Multiple disseminated glomuvenous malformations: Do we know enough? Rom. J. Morphol. Embryol. 2012, 53, 1077–1080. [Google Scholar]
- Pricop, M.O.; Balica, N.C.; Poenaru, M.; Goţia, S.L.; Baderca, F.; Petrescu, P.H.; Urechescu, H.C. Lipomas of cervical area—Clinical and pathological considerations. Rom. J. Morphol. Embryol. 2018, 59, 533–542. [Google Scholar]
- Balica, N.C.; Poenaru, M.; Doroş, C.I.; Baderca, F.; Preda, M.A.; Iovan, V.C.; Stanca, H.T.; Busuioc, C.J.; Oprişcan, I.C.; Boruga, O. The management of the oropharyngeal anterior wall cancer. Rom. J. Morphol. Embryol. 2018, 59, 113–119. [Google Scholar]
- Holzbauer, M.; Aufschnaiter-Hießböck, K.; Zaussinger, M.; Aszmann, O.C.; Schmidt, M. Morphological Relation of Peripheral Nerve Sheath Tumors and Nerve Fascicles: Prospective Study and Classification. J. Clin. Med. 2022, 11, 552. [Google Scholar] [CrossRef] [PubMed]
- Alotaiby, F.M.; Fitzpatrick, S.; Upadhyaya, J.; Islam, M.N.; Cohen, D.; Bhattacharyya, I. Demographic, Clinical and Histopathological Features of Oral Neural Neoplasms: A Retrospective Study. Head Neck Pathol. 2019, 13, 208–214. [Google Scholar] [CrossRef] [PubMed]
- Bajpai, M.; Pardhe, N. Ancient schwannoma of gingiva—A rare case report. J. Indian Soc. Periodontol. 2017, 21, 234–236. [Google Scholar] [CrossRef]
- Shilpa, B. Ancient schwannoma—A rare case. Ethiop. J. Health Sci. 2012, 22, 215–218. [Google Scholar]
- Muruganandhan, J.; Prasad, T.S.; Selvakumar, T.; Kumar, S.N. Ancient neurilemmoma: A rare oral tumor. J. Oral Maxillofac. Pathol. 2013, 17, 447–450. [Google Scholar] [CrossRef] [PubMed]
- Kim, N.R.; Chung, D.H.; Park, D.S.; Kim, D.W.; Lee, S.C.; Kim, S.Y.; Lim, H.Y.; Yeom, H.Y.; Kim, H.M. Ancient schwannoma in oral cavity: A report of two cases. J. Korean Assoc. Oral Maxillofac. Surg. 2011, 37, 530–534. [Google Scholar] [CrossRef]
- Salehinejad, J.; Sahebnasagh, Z.; Saghafi, S.; Sahebnasagh, Z.; Amiri, N. Intraoral ancient schwannoma: A systematic review of the case reports. Dent. Res. J. 2017, 14, 87–96. [Google Scholar]
- Eversole, L.R.; Howell, R.M. Ancient neurilemmoma of the oral cavity. Oral Surg. Oral Med. Oral Pathol. Oral Radiol. 1971, 32, 440–443. [Google Scholar] [CrossRef]
- Trandafir, C.M.; Tischer, A.A.; Horhat, I.D.; Balica, N.C.; Sitaru, A.M.; Guran, K.; Morar, R.; Baderca, F.; Jifcu, E.M.; Moţ, I.C.; et al. Fortuitous discovery of melanomas in the ENT Department—A histopathological and immunohistochemical study. Rom. J. Morphol. Embryol. 2020, 61, 1163–1171. [Google Scholar] [CrossRef]
- Hamakawa, H.; Kayahara, H.; Sumida, T.; Tanioka, H. Mandibular malignant schwannoma with multiple spinal metastases: A case report and a review of the literature. J. Oral Maxillofac. Surg. 1998, 56, 1191–1196. [Google Scholar] [CrossRef]










| Antibody | Substrate | Clone | Dilution | Antigen Retrieval | Exposure Time |
|---|---|---|---|---|---|
| S100 | Polyclonal Rabbit | EP32 | 1:100 | 1 ERS2 | 20 min |
| SOX 10 | Monoclonal Rabbit | SP267 | 1:100 | 2 ERS1 | 10 min |
| Calretinin | Monoclonal Mouse | CAL6 | 1:200 | ERS2 | 20 min |
| CD56 | Monoclonal Mouse | CD564 | 1:300 | ERS2 | 20 min |
| NSE | Monoclonal Mouse | 22C9 | 3 RTU | ERS2 | 20 min |
| GFAP | Monoclonal Mouse | GA5 | 25:1000 | ERS1 | 20 min |
| Vimentin | Monoclonal Mouse | V9 | 1:800 | ERS1 | 20 min |
| CD34 | Monoclonal Mouse | QBEnd/10 | RTU | ERS2 | 20 min |
| SMA | Monoclonal Mouse | asm-1 | 1:50 | ERS1 | 30 min |
| Desmin | Monoclonal Mouse | DE-R-11 | 1:75 | ERS2 | 20 min |
| D2-40 | Monoclonal Mouse | 322M-14 | 1:20 | ERS2 | 30 min |
| CD68 | Monoclonal Mouse | 514H12 | 1:100 | ERS2 | 20 min |
| Ki67 | Monoclonal Mouse | MM1 | 1:200 | ERS2 | 20 min |
| Case | Site | Signs and Symptoms | Onset of Symptoms | Size | Presumptive Diagnosis |
|---|---|---|---|---|---|
| 1 | Left parotid lodge | Left facial paresis | 6 months | 3.5 cm | Pleomorphic adenoma |
| 2 | Right retropharyngeal region | Foreign body sensation | 3 months | 2.5 cm | Benign tumor of soft tissue |
| 3 | Left nasal fossa | Dyspnea | 1 month | 1 cm | Neurofibroma |
| 4 | Left middle meatus with extension to the posterior wall of the nasopharynx | Left nasal obstruction, oral breathing | 6 months | 5 cm | Inverted papilloma/ malignant tumor |
| 5 | Inferior and external angle of the left orbit | Physiognomic disturbance | 2 years | 2 cm | Pleomorphic adenoma |
| 6 | Anterior third of the left nasal fossa | Painless | 1 month | 0.8 cm | Pyogenic granuloma |
| 7 | Right latero-cervical region | Painless | 6 months | 3.5 cm | Lymphadenopathy |
| 8 | Tip of the tongue | Slight discomfort when talking, eating, and chewing | 10 years | 1.5 cm | Traumatic fibroma |
| 9 | Central core of the lower lip | Discomfort in mastication | 9 months | 2 cm | Oral irritation fibroma |
| 10 | Left parapharyngeal region with maxillary and intracranial extension | Discomfort in breathing, chewing, swallowing, phonation, sleeping, regional pain, fatigue | 5 years | 10 cm | Benign tumor of soft tissue |
| Case | Surgical Procedure | Surgical Approach | Preservation of the Nerve of Origin |
|---|---|---|---|
| 1 | Parotidectomy with the complete excision of the tumoral mass | Extraoral | No, harvested fragment of the nerve for biopsy |
| 2 | Complete excision | Intraoral | Yes |
| 3 | Complete excision | Endonasal | Yes |
| 4 | Incisional biopsy | Endonasal | Yes |
| 5 | Complete excision | Extraoral | Yes |
| 6 | Complete excision with underlying cartilage | Endonasal | Yes |
| 7 | Complete excision | Extraoral | Yes |
| 8 | Complete excision | Intraoral | Yes |
| 9 | Complete excision | Intraoral | Yes |
| 10 | Incisional biopsy | Extraoral | Yes |
| Case | Histological Subtype | Architectural Pattern | Degenerative Changes | Nuclear Changes | Inflammatory Component |
|---|---|---|---|---|---|
| 1 | Classic | Both Antoni A and Antoni B areas, Verocay bodies, pseudoglandular areas | Vascular and stromal hyalinization, hemorrhage | No nuclear changes | Numerous macrophages and siderophages |
| 2 | Classic | Predominantly the hypocellular Antoni B areas | Cystic degeneration, ischemic necrosis | No nuclear changes | Numerous mast cells and rare macrophages |
| 3 | Classic | Both Antoni A and Antoni B areas, Verocay bodies | No degenerative changes | No nuclear changes | Very rare macrophages |
| 4 | Cellular | Predominantly the hypercellular Antoni A areas, devoid of Verocay bodies | Rare vascular vessels with hyalinization | Nucleomegaly and hyperchromasia | Numerous macrophages |
| 5 | Cellular | Predominantly the hypercellular Antoni A areas, devoid of Verocay bodies | No degenerative changes | Nucleomegaly and hyperchromasia | Subcapsular lymphocyte |
| 6 | Classic | Both Antoni A and Antoni B areas, Verocay bodies | No degenerative changes | Sporadic hyperchromic nuclei | Very rare macrophages |
| 7 | Classic | Both Antoni A and Antoni B areas, Verocay bodies | Vascular hyalinization, hemorrhage, hemosiderin deposits, cystic degeneration | No nuclear changes | Numerous macrophages and siderophages, rare mast cells |
| 8 | Plexiform | Plexiform pattern with Antoni A and Antoni B areas | No degenerative changes | No nuclear changes | Numerous macrophages |
| 9 | Classic | Both Antoni A and Antoni B areas, Verocay bodies | No degenerative changes | Sporadic hyperchromic nuclei | Numerous macrophages, rare mast cells |
| 10 | Ancient | Both Antoni A and Antoni B areas, Verocay bodies | Extensive stromal hyalinization, hemorrhage, hemosiderin deposits, cystic degeneration | Enlarged hyperchromic and pleomorphic nuclei, mitoses | Numerous macrophages and siderophages |
| IHC Marker | Case 1 | Case 2 | Case 3 | Case 4 | Case 5 | Case 6 | Case 7 | Case 8 | Case 9 | Case 10 |
|---|---|---|---|---|---|---|---|---|---|---|
| S100 | 1 +++ Diffuse | 2 ++ Diffuse | +++ Diffuse | +++ Diffuse | +++ Diffuse | +++ Diffuse | 3 +++/++ Diffuse | +++ Diffuse | +++ Diffuse | ++ Diffuse |
| SOX10 | 4 ++/+++ 80% | ++/+++ 65% | +++ 80% | ++ 80% | +++ 80% | +++ 70% | +++ 85% | +++ 75% | +++ 85% | +++ 80% |
| Cal | 5 - | - | - | - | ++ 60% | 6 +/++ 55% | - | - | - | - |
| CD56 | 7 + 85% | +/++ 80% | +/++ 70% | + 80% | 8 ++/+ 80% | ++ 75% | ++ 90% | ++ 80% | +/++ 90% | ++/+ 70% |
| NSE | + Focal | + 30% | - | - | - | - | - | + 10% | - | - |
| GFAP | ++ 5% of cells | - | - | - | - | - | - | - | - | - |
| Vim | +++ 80% | +++ 80% | +++ 90% | +++ 90% | +/++ Diffuse | +++ 90% | + Diffuse | ++ Diffuse | +++ 95% | +/++ 55% |
| SMA | − 9 PIC+ | − PIC+ | − PIC+ | − PIC+ | − PIC+ | − PIC+ | − PIC+ | − PIC+ | − PIC+ | − PIC+ |
| Des | - | - | - | - | - | - | - | - | - | - |
| CD34 | + 10% | ++ 30% | ++ 15% | − PIC+ | − PIC+ | ++ 5% | ++ 5% | − PIC+ | ++ 5% | ++ 15% |
| D2-40 | - | - | - | - | - | - | - | - | - | - |
| CD68 | − PIC+ | − PIC+ | − PIC+ | − PIC+ | − PIC+ | − PIC+ | − PIC+ | − PIC+ | − PIC+ | − PIC+ |
| Ki67 | 6% | 1% | 1% | 6% | 3% | 2% | 1% | 2% | 2% | 5% |
| Authors | Year of Publication | Journal Abbreviation | Type of Study | Number of Schwannoma Cases |
|---|---|---|---|---|
| Lambade et al. [1] | 2015 | J. Oral Maxillofac. Surg. | 1 N/A | 1 |
| Nassehi et al. [2] | 2021 | BMJ Case Rep. | Review | 1 |
| Thompson et al. [4] | 2020 | Head Neck Pathol | N/A | 19 |
| López-Carriches et al. [5] | 2009 | Med Oral Patol Oral Cir Buccal | Review | 1 |
| do Nascimento et al. [6] | 2011 | Clin Oral Investig | N/A | 4 |
| Gallo et al. [12] | 1977 | J Am Dent Assoc | Case Report | 5 |
| Mevio et al. [15] | 2022 | Rev Laryngol Otol Rhinol (Bord) | Case Report | 1 |
| Tawfeeq et al. [17] | 2023 | Int. J. Surg. Case Rep. | Case Report | 1 |
| Martins et al. [22] | 2009 | Indian J Dent Res | Review | 1 |
| Lira et al. [23] | 2013 | Acta Otorhinolaryngol Ital | N/A | 1 |
| Baderca et al. [26] | 2008 | Rom J Morphol Embryol | Review | 1 |
| Kim et al. [38] | 2011 | J Korean Assoc Oral Maxillofac Surg | N/A | 2 |
Disclaimer/Publisher’s Note: The statements, opinions and data contained in all publications are solely those of the individual author(s) and contributor(s) and not of MDPI and/or the editor(s). MDPI and/or the editor(s) disclaim responsibility for any injury to people or property resulting from any ideas, methods, instructions or products referred to in the content. |
© 2024 by the authors. Licensee MDPI, Basel, Switzerland. This article is an open access article distributed under the terms and conditions of the Creative Commons Attribution (CC BY) license (https://creativecommons.org/licenses/by/4.0/).
Share and Cite
Nicoara, A.; Rakitovan, M.; Closca, R.M.; Militaru, M.; Cindrea, A.-C.; Zara, F. Epidemiological, Clinical, and Histopathological Features of the Head and Neck Region Schwannomas—Our Experience in the Western Part of Romania with Surgical Insights. Diagnostics 2024, 14, 2334. https://doi.org/10.3390/diagnostics14202334
Nicoara A, Rakitovan M, Closca RM, Militaru M, Cindrea A-C, Zara F. Epidemiological, Clinical, and Histopathological Features of the Head and Neck Region Schwannomas—Our Experience in the Western Part of Romania with Surgical Insights. Diagnostics. 2024; 14(20):2334. https://doi.org/10.3390/diagnostics14202334
Chicago/Turabian StyleNicoara, Adrian, Marina Rakitovan, Raluca Maria Closca, Marius Militaru, Alexandru-Cristian Cindrea, and Flavia Zara. 2024. "Epidemiological, Clinical, and Histopathological Features of the Head and Neck Region Schwannomas—Our Experience in the Western Part of Romania with Surgical Insights" Diagnostics 14, no. 20: 2334. https://doi.org/10.3390/diagnostics14202334
APA StyleNicoara, A., Rakitovan, M., Closca, R. M., Militaru, M., Cindrea, A.-C., & Zara, F. (2024). Epidemiological, Clinical, and Histopathological Features of the Head and Neck Region Schwannomas—Our Experience in the Western Part of Romania with Surgical Insights. Diagnostics, 14(20), 2334. https://doi.org/10.3390/diagnostics14202334

