Diagnostics of IDH1/2 Mutations in Intracranial Chondroid Tumors: Comparison of Molecular Genetic Methods and Immunohistochemistry
Abstract
1. Introduction
2. Materials and Methods
2.1. Study Cohort
2.2. DNA Isolation
2.3. Real-Time PCR and DNA Melting Analysis Using TaqMan Probes and Sanger Sequencing (qPCR-DMA-Sanger)
2.4. Biochip Manufacturing
2.5. Wild-Type Blocking PCR and Hybridization with Biochip
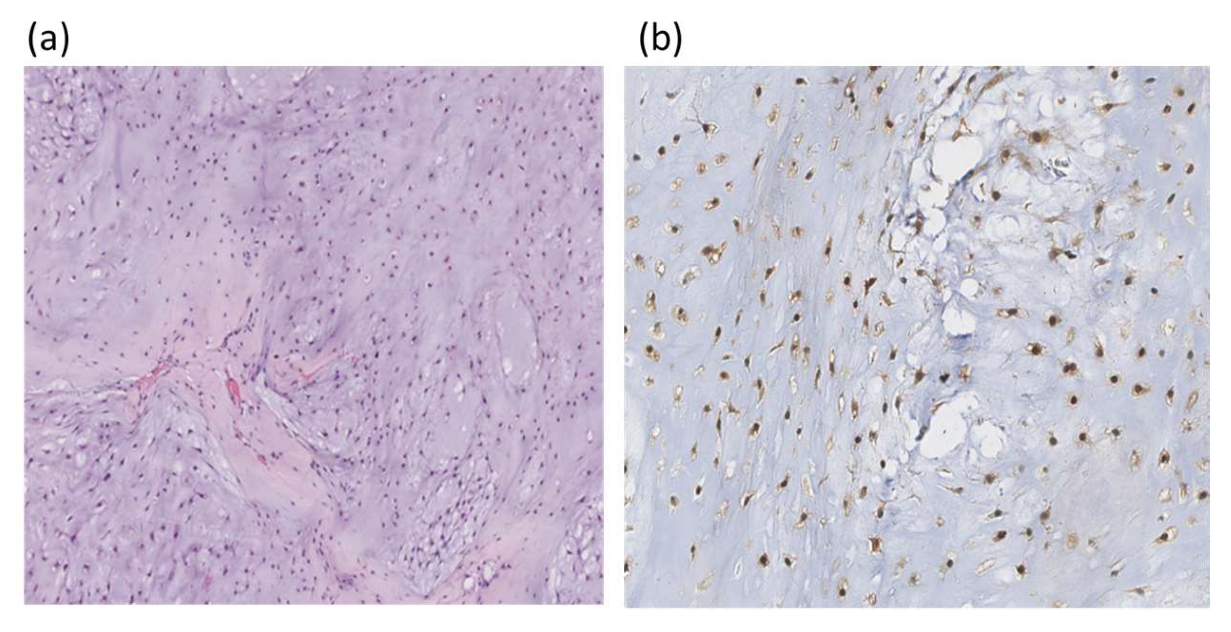
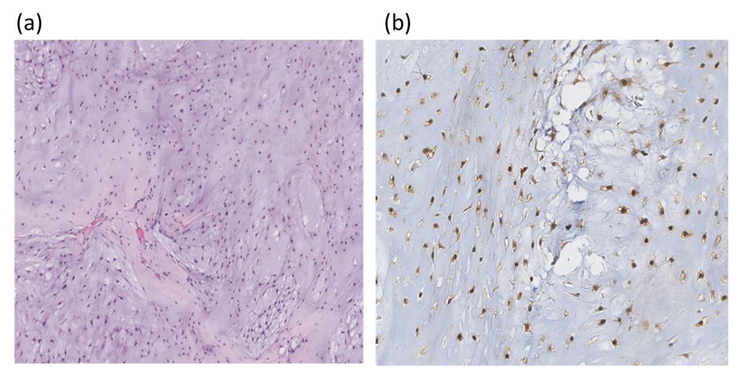
2.6. Immunohistochemistry (IHC)
3. Results
3.1. Clinical Characteristics
3.2. Detection of IDH1/2 Mutations Using qPCR-DMA Followed by Sanger Sequencing
3.3. Detection of IDH1/2 Mutations Using a Biochip Assay
3.4. Detection of IDH1 mutations using IHC
3.5. IDH1/2 Mutational Status of Intracranial Chondroid Tumors
4. Discussion
5. Conclusions
Supplementary Materials
Author Contributions
Funding
Institutional Review Board Statement
Informed Consent Statement
Data Availability Statement
Conflicts of Interest
References
- Watanbe, T.; Nobusawa, S.; Kleihues, P.; Ohgaki, H. IDH1 mutations are early events in the development of astrocytomas and oligo dendrogliomas. Am. J. Pathol. 2009, 174, 1149–1153. [Google Scholar] [CrossRef]
- Liu, X.; Ling, Z.-Q. Role of isocitrate dehydrogenase 1/2 (IDH 1/2) gene mutations in human tumors. Histol. Histopathol. 2015, 30, 1155–1160. [Google Scholar] [PubMed]
- Pirozzi, C.J.; Yan, H. The implications of IDH mutations for cancer development and therapy. Nat. Rev. Clin. Oncol. 2021, 18, 645–661. [Google Scholar] [CrossRef] [PubMed]
- Xu, W.; Yang, H.; Liu, Y.; Yang, Y.; Wang, P.; Kim, S.H.; Ito, S.; Yang, C.; Wang, P.; Xiao, M.T.; et al. Oncometabolite 2-hydroxyglutarate is a competitive inhibitor of α-ketoglutarate-dependent dioxygenases. Cancer Cell 2011, 19, 17–30. [Google Scholar] [CrossRef] [PubMed]
- Carbonneau, M.; Gagne, L.M.; Lalonde, M.E.; Germain, M.A.; Motorina, A.; Guiot, M.C.; Secco, B.; Vincent, E.E.; Tumber, A.; Hulea, L.; et al. The oncometabolite 2-hydroxyglutarate activates the mTOR signalling pathway. Nat. Commun. 2016, 7, 12700. [Google Scholar] [CrossRef] [PubMed]
- Amary, M.F.; Bacsi, K.; Maggiani, F.; Damato, S.; Halai, D.; Berisha, F.; Pollock, R.; O’Donnell, P.; Grigoriadis, A.; Diss, T.; et al. IDH1 and IDH2 mutations are frequent events in central chondrosarcoma and central and periosteal chondromas but not in other mesenchymal tumours. J. Pathol. 2011, 224, 334–343. [Google Scholar] [CrossRef] [PubMed]
- Pansuriya, T.C.; van Eijk, R.; d’Adamo, P.; van Ruler, M.A.; Kuijjer, M.L.; Oosting, J.; Cleton-Jansen, A.M.; van Oosterwijk, J.G.; Verbeke, S.L.; Meijer, D.; et al. Somatic mosaic IDH1 and IDH2 mutations are associated with enchondroma and spindle cell hemangioma in Ollier disease and Maffucci syndrome. Nat. Genet. 2011, 43, 1256–1261. [Google Scholar] [CrossRef]
- Tallegas, M.; Miquelestorena-Standley, É.; Labit-Bouvier, C.; Badoual, C.; Francois, A.; Gomez-Brouchet, A.; Aubert, S.; Collin, C.; Tallet, A.; de Pinieux, G. IDH mutation status in a series of 88 head and neck chondrosarcomas: Different profile between tumors of the skull base and tumors involving the facial skeleton and the laryngotracheal tract. Hum. Pathol. 2019, 84, 183–191. [Google Scholar] [CrossRef]
- Kats, L.M.; Reschke, M.; Taulli, R.; Pozdnyakova, O.; Burgess, K.; Bhargava, P.; Straley, K.; Karnik, R.; Meissner, A.; Small, D.; et al. Proto-oncogenic role of mutant IDH2 in leukemia initiation and maintenance. Cell Stem Cell 2014, 14, 329–341. [Google Scholar] [CrossRef]
- Bloch, O.G.; Jian, B.J.; Yang, I.; Han, S.J.; Aranda, D.; Ahn, B.J.; Parsa, A.T. A systematic review of intracranial chondrosarcoma and survival. J. Clin. Neurosci. 2009, 16, 1547–1551. [Google Scholar] [CrossRef]
- Choi, J.H.; Ro, J.Y. The 2020 WHO Classification of Tumors of Bone: An Updated Review. Adv. Anat. Pathol. 2021, 28, 119–138. [Google Scholar] [CrossRef] [PubMed]
- Lam, S.W.; Silva, T.M.; Bovée, J.V.M.G. New molecular entities of soft tissue and bone tumors. Curr. Opin. Oncol. 2022, 34, 354–361. [Google Scholar] [CrossRef] [PubMed]
- Venneker, S.; Bovée, J.V.M.G. IDH Mutations in Chondrosarcoma: Case Closed or Not? Cancers 2023, 15, 3603. [Google Scholar] [CrossRef] [PubMed]
- Gómez-León, N.; Galán-González, I.; Moreno-Casado, M.J.; Benavides-de-Quirós, C.; Muñoz-Hernández, P.; Fernández-Rico, P.; Rodríguez-Laval, V. Chondroid Tumors: Review of Salient Imaging Features and Update on the WHO Classification. Curr. Probl. Diagn. Radiol. 2023, 52, 197–211. [Google Scholar] [CrossRef]
- Chen, S.; Fritchie, K.; Wei, S.; Ali, N.; Curless, K.; Shen, T.; Brini, A.T.; Latif, F.; Sumathi, V.; Siegal, G.P.; et al. Diagnostic Utility of IDH1/2 Mutations to Distinguish Dedifferentiated Chondrosarcoma from Undifferentiated Pleomorphic Sarcoma of Bone. Hum. Pathol. 2017, 65, 239–246. [Google Scholar] [CrossRef]
- Setola, E.; Benini, S.; Righi, A.; Gamberi, G.; Carretta, E.; Ferrari, C.; Avnet, S.; Palmerini, E.; Magagnoli, G.; Gambarotti, M. IDH mutations in G2-3 conventional central bone chondrosarcoma: A mono institutional experience. BMC Cancer 2023, 23, 907. [Google Scholar] [CrossRef] [PubMed]
- Takano, S.; Tian, W.; Matsuda, M.; Yamamoto, T.; Ishikawa, E.; Kaneko, M.K.; Yamazaki, K.; Kato, Y.; Matsumura, A. Detection of IDH1 mutation in human gliomas: Comparison of immunohistochemistry and sequencing. Brain Tumor Pathol. 2011, 28, 115–123. [Google Scholar] [CrossRef] [PubMed]
- Agarwal, S.; Sharma, M.C.; Jha, P.; Pathak, P.; Suri, V.; Sarkar, C.; Chosdol, K.; Suri, A.; Kale, S.S.; Mahapatra, A.K.; et al. Comparative study of IDH1 mutations in gliomas by immunohistochemistry and DNA sequencing. Neuro-Oncology 2013, 15, 718–726. [Google Scholar] [CrossRef]
- van den Bent, M.J.; Hartmann, C.; Preusser, M.; Ströbel, T.; Dubbink, H.J.; Kros, J.M.; von Deimling, A.; Boisselier, B.; Sanson, M.; Halling, K.C.; et al. Interlaboratory comparison of IDH mutation detection. J. Neuro-Oncol. 2013, 112, 173–178. [Google Scholar] [CrossRef]
- Loussouarn, D.; Le Loupp, A.G.; Frenel, J.S.; Leclair, F.; Von Deimling, A.; Aumont, M.; Martin, S.; Campone, M.; Denis, M.G. Comparison of immunohistochemistry, DNA sequencing and allele-specific PCR for the detection of IDH1 mutations in gliomas. Int. J. Oncol. 2012, 40, 2058–2062. [Google Scholar]
- Arita, H.; Narita, Y.; Matsushita, Y.; Fukushima, S.; Yoshida, A.; Takami, H.; Miyakita, Y.; Ohno, M.; Shibui, S.; Ichimura, K. Development of a robust and sensitive pyrosequencing assay for the detection of IDH1/2 mutations in gliomas. Brain Tumor Pathol. 2015, 32, 22–30. [Google Scholar] [CrossRef]
- Botezatu, I.V.; Panchuk, I.O.; Stroganova, A.M.; Senderovich, A.I.; Kondratova, V.N.; Shelepov, V.P.; Lichtenstein, A.V. TaqMan probes as blocking agents for enriched PCR amplification and DNA melting analysis of mutant genes. Biotechniques 2017, 62, 62–68. [Google Scholar] [CrossRef] [PubMed]
- Li, M.; Stoneking, M. A new approach for detecting low-level mutations in next-generation sequence data. Genome Biol. 2012, 13, R34. [Google Scholar] [CrossRef]
- Lugowska, I.; Teterycz, P.; Mikula, M.; Kulecka, M.; Kluska, A.; Balabas, A.; Piatkowska, M.; Wagrodzki, M.; Pienkowski, A.; Rutkowski, P.; et al. IDH1/2 Mutations Predict Shorter Survival in Chondrosarcoma. J. Cancer 2018, 9, 998–1005. [Google Scholar] [CrossRef]
- Gryadunov, D.; Dementieva, E.; Mikhailovich, V.; Nasedkina, T.; Rubina, A.; Savvateeva, E.; Fesenko, E.; Chudinov, A.; Zimenkov, D.; Kolchinsky, A.; et al. Gel-based microarrays in clinical diagnostics in Russia. Expert Rev. Mol. Diagn. 2011, 11, 839–853. [Google Scholar] [CrossRef] [PubMed]
- Emelyanova, M.; Ghukasyan, L.; Abramov, I.; Ryabaya, O.; Stepanova, E.; Kudryavtseva, A.; Sadritdinova, A.; Dzhumakova, C.; Belysheva, T.; Surzhikov, S.; et al. Detection of BRAF, NRAS, KIT, GNAQ, GNA11 and MAP2K1/2 mutations in Russian melanoma patients using LNA PCR clamp and biochip analysis. Oncotarget 2017, 8, 52304–52320.23. [Google Scholar] [CrossRef] [PubMed]
- Varachev, V.O.; Guskov, D.A.; Shekhtman, A.P.; Rogozhin, D.V.; Polyakov, S.A.; Zasedatelev, A.S.; Chudinov, A.V.; Nasedkina, T.V. Biological Microarray for Detection of Somatic Mutations in the Genes of Isocitrate Dehydrogenase 1 and 2. Russ. J. Bioorganic Chem. 2023, 49, 1137–1142. (In Russian) [Google Scholar] [CrossRef]
- Shekhtman, A.P.; Rogozhin, D.V. Morphological diagnosis of chondroid tumors of skull bones: Actual situation. Bone Soft Tissue Sarcomas Tumors Ski. 2021, 13, 32–40. (In Russian) [Google Scholar] [CrossRef]
- Arai, M.; Nobusawa, S.; Ikota, H.; Takemura, S.; Nakazato, Y. Frequent IDH1/2 mutations in intracranial chondrosarcoma: A possible diagnostic clue for its differentiation from chordoma. Brain Tumor Pathol. 2012, 29, 201–206. [Google Scholar] [CrossRef]
- Kanamori, H.; Kitamura, Y.; Kimura, T.; Yoshida, K.; Sasaki, H. Genetic characterization of skull base chondrosarcomas. J. Neurosurg. 2015, 123, 1036–1041. [Google Scholar] [CrossRef]
- Kitamura, Y.; Sasaki, H.; Yoshida, K. Genetic aberrations and molecular biology of skull base chordoma and chondrosarcoma. Brain Tumor Pathol. 2017, 34, 78–90. [Google Scholar] [CrossRef]
- Asioli, S.; Ruengwanichayakun, P.; Zoli, M.; Guaraldi, F.; Sollini, G.; Greco, P.; Facco, C.; Gibertoni, D.; Jiménez, B.V.; Benini, S.; et al. Association of Clinicopathological Features With Outcome in Chondrosarcomas of the Head and Neck. Otolaryngol. Head Neck Surg. 2021, 164, 807–814. [Google Scholar] [CrossRef] [PubMed]
- Miquelestorena-Standley, E.; Jourdan, M.L.; Collin, C.; Bouvier, C.; Larousserie, F.; Aubert, S.; Gomez-Brouchet, A.; Guinebretière, J.M.; Tallegas, M.; Brulin, B.; et al. Effect of decalcification protocols on immunohistochemistry and molecular analyses of bone samples. Mod. Pathol. 2020, 33, 1505–1517. [Google Scholar] [CrossRef] [PubMed]
- Patel, K.P.; Barkoh, B.A.; Chen, Z.; Ma, D.; Reddy, N.; Medeiros, L.J.; Luthra, R. Diagnostic testing for IDH1 and IDH2 variants in acute myeloid leukemia an algorithmic approach using high-resolution melting curve analysis. J. Mol. Diagn. 2011, 13, 678–686. [Google Scholar] [CrossRef] [PubMed]
- Almefty, K.; Pravdenkova, S.; Colli, B.O.; Al-Mefty, O.; Gokden, M. Chordoma and chondrosarcoma: Similar, but quite different, skull base tumors. Cancer 2007, 110, 2457–2467. [Google Scholar] [CrossRef]
- Kremenevski, N.; Schlaffer, S.M.; Coras, R.; Kinfe, T.M.; Graillon, T.; Buchfelder, M. Skull Base Chordomas and Chondrosarcomas. Neuroendocrinology 2020, 110, 836–847. [Google Scholar] [CrossRef]
- Bohman, L.E.; Koch, M.; Bailey, R.L.; Alonso-Basanta, M.; Lee, J.Y. Skull base chordoma and chondrosarcoma: Influence of clinical and demographic factors on prognosis; a SEER analysis. World Neurosurg. 2014, 85, 806–814. [Google Scholar] [CrossRef]
- Presneau, N.; Shalaby, A.; Ye, H.; Pillay, N.; Halai, D.; Idowu, B.; Tirabosco, R.; Whitwell, D.; Jacques, T.S.; Kindblom, L.G.; et al. Role of the transcription factor T (brachyury) in the pathogenesis of sporadic chordoma: A genetic and functional-based study. J. Pathol. 2011, 223, 327–335. [Google Scholar] [CrossRef]
- Elhakeem, A.A.S.; Essa, A.A.; Soliman, R.K. Chondroma of the falx cerebri: A case report and review of literature. Neuropathology 2019, 39, 461–466. [Google Scholar] [CrossRef]
- Pathmanapan, S.; Poon, R.; De Renshaw, T.B.; Nadesan, P.; Nakagawa, M.; Seesankar, G.A.; Ho Loe, A.K.; Zhang, H.H.; Guinovart, J.J.; Duran, J.; et al. Mutant IDH regulates glycogen metabolism from early cartilage development to malignant chondrosarcoma formation. Cell Rep. 2023, 42, 112578. [Google Scholar] [CrossRef]
- Zhu, G.G.; Nafa, K.; Agaram, N.; Zehir, A.; Benayed, R.; Sadowska, J.; Borsu, L.; Kelly, C.; Tap, W.D.; Fabbri, N.; et al. Genomic Profiling Identifies Association of IDH1/IDH2 Mutation with Longer Relapse-Free and Metastasis-Free Survival in High-Grade Chondrosarcoma. Clin. Cancer Res. 2020, 26, 419–427. [Google Scholar] [CrossRef] [PubMed]
- Cleven, A.H.G.; Suijker, J.; Agrogiannis, G.; Briaire-de Bruijn, I.H.; Frizzell, N.; Hoekstra, A.S.; Wijers-Koster, P.M.; Cleton-Jansen, A.M.; Bovée, J.V.M.G. IDH1 or -2 mutations do not predict outcome and do not cause loss of 5-hydroxymethylcytosine or altered histone modifications in central chondrosarcomas. Clin. Sarcoma Res. 2017, 7, 8. [Google Scholar] [CrossRef] [PubMed]
- Totoki, Y.; Yoshida, A.; Hosoda, F.; Nakamura, H.; Hama, N.; Ogura, K.; Yoshida, A.; Fujiwara, T.; Arai, Y.; Toguchida, J.; et al. Unique Mutation Portraits and Frequent COL2A1 Gene Alteration in Chondrosarcoma. Genome Res. 2014, 24, 1411–1420. [Google Scholar] [CrossRef] [PubMed]
- Zhang, Y.; Chen, Y.; Yang, C.; Seger, N.; Hesla, A.C.; Tsagkozis, P.; Larsson, O.; Lin, Y.; Haglund, F. TERT Promoter Mutation Is an Objective Clinical Marker for Disease Progression in Chondrosarcoma. Mod. Pathol. 2021, 34, 2020–2027. [Google Scholar] [CrossRef]
- Venneker, S.; Kruisselbrink, A.B.; Baranski, Z.; Palubeckaite, I.; Briaire-de Bruijn, I.H.; Oosting, J.; French, P.J.; Danen, E.H.J.; Bovée, J.V.M.G. Beyond the Influence of IDH Mutations: Exploring Epigenetic Vulnerabilities in Chondrosarcoma. Cancers 2020, 12, 3589. [Google Scholar] [CrossRef]



| Tumor Type | Characteristics | n (%) |
|---|---|---|
| Chondrosarcoma (n = 64) | Mean age, years (range) | 41.2 (17–74) |
| Sex, female | 43 (67.2%) | |
| Histology (available) | 64 (100%) | |
| Central chondrosarcoma, grade1 | 19 (29.7%) | |
| Central chondrosarcoma, grade 2 | 42 (65.6%) | |
| Central chondrosarcoma, grade 3 | 1 (1.6%) | |
| Dedifferentiated chondrosarcoma | 2 (3.1%) | |
| Tumor location (available) | 64 | |
| Cavernous sinus | 28 (43%) | |
| Sphenoid bone | 26 (40%) | |
| Clivus, temporal bone | 22 (34%) | |
| Ethmoid bone | 16 (25%) | |
| Nasal cavity, orbit | 14 (21%) | |
| Chiasmal-sellar region (CSR) | 11 (17%) | |
| Maxillary bone, maxillary sinus | 10 (15%) | |
| Dura mater, occipital bone | 6 (9%) | |
| Falx cerebri | 3 (4%) | |
| Chordoma | Mean age, years (range) | 37.7 (18–65) |
| (n = 15) | Sex, female | 13 (87%) |
| Histology (available) | 15 (100%) | |
| Chordoma | 8 (53%) | |
| Chondroid chordoma | 5 (33%) | |
| Dedifferentiated, chordoma + ABC | 1 (7%), 1 (7%) | |
| Tumor location (available) | 13 | |
| Clivus | 10 (77%) | |
| Sphenoid bone, cavernous sinus | 7 (54%) | |
| Brachyury (antibodies) (available) | 13 (100%) | |
| Positive | 11 (85%) | |
| Osteosarcoma (n = 7) | Mean age, years (range) | 31.8 (8–72) |
| Sex, female | 5 (71%) | |
| Histology (available) | 7 | |
| Osteosarcoma, NOS | 4 (57%) | |
| Chondroblastic osteosarcoma | 3 (43%) | |
| Tumor location (available) | 7 | |
| Scull base, NOS | 7 (100%) | |
| Chondroma (n = 6) | Mean age, years (range) | 38.6 (31–55) |
| Sex, female | 5 (83%) | |
| Tumor location (available) | 6 | |
| Superior sagittal sinus | 4 (66%) | |
| Falx cerebri | 3 (50%) | |
| Clivus, sphenoid bone, cavernous sinus | 2 (33%) | |
| Mean age (years, range) | 37.5 (27–52) | |
| Sex, female | 4 (100%) | |
| Chondromyxoid | Tumor location (available) | 4 |
| Scull base, NOS | 4 (100%) |
| ID | Stage | Biochip | qPCR- DMA-Sanger | AA Change | IHC | Tumor Location |
|---|---|---|---|---|---|---|
| 1 | G1 | CTT | CTT | R132L | positive | Cavernous sinus |
| 2 | DD | GGT | GGT | R132G | negative | Cavernous sinus, clivus |
| 3 | G2 | TGT | TGT | R132C | positive | Occipital bone |
| 4 | G2 | CAT | WT | R132H | positive | Skull base, NOS |
| 5 | G3 | TGT | TGT | R132C | positive | Temporal bone |
| 6 | G2 | GGT | GGT | R132G | positive | Cavernous sinus, clivus |
| 7 | G1 | ND | WT | R132 | positive | Skull base, NOS |
| 8 | G2 | TGT | TGT | R132C | positive | Skull base, NOS |
| 9 | G2 | ND | WT | R132 | positive | Skull base, NOS |
| 10 | G2 | TGT | TGT | R132C | positive | Skull base, NOS |
| 11 | G2 | ND | WT | R132 | positive | Clivus, temporal bone |
| 12 | G2 | TGT | TGT | R132C | positive | Skull base, NOS |
| 13 | G2 | TGT | TGT | R132C | positive | Dura mater |
| 14 | G1 | TGT | TGT | R132C | positive | Skull base, NOS |
| 15 | G1 | AGT | AGT | R132S | negative | Cavernous sinu |
| 16 | G1 | TGT | TGT | R132C | positive | Cavernous sinus |
| 17 | G1 | TGT | ND | R132C | positive | GSR |
| 18 | G2 | TGT | TGT | R132C | positive | Skull base, NOS |
| 19 | G1 | TGT | TGT | R132C | positive | Skull base, NOS |
| 20 | G1 | CTT | CTT | R132L | ND | Cavernous sinus |
| 21 | G2 | CTT | CTT | R132L | positive | Skull base, NOS |
| 22 | G2 | CTT | CTT | R132L | positive | Craniofacial location |
| 23 | G2 | WT | WT | R132 | positive | Craniofacial location |
| 24 | DD | ND | TGT | R132C | negative | Craniofacial location |
| 25 | G2 | CTT | CTT | R132L | positive | Skull base, NOS |
| 26 | G1 | TGT | TGT | R132C | positive | Scull base, NOS |
| 27 | G2 | TGT | ND | R132C | positive | Craniofacial location |
| 28 | G2 | TGT | TGT | R132C | negative | Skull base, NOS |
| 29 | G2 | TGT | TGT | R132C | ND | Cavernous sinus, GSR |
| 30 | G2 | TGT | TGT | R132C | negative | Cavernous sinus, GSR |
| 31 | G2 | GGT | GGT | R132G | positive | Temporal bone |
| 32 | G1 | GGT | GGT | R132G | positive | Falx cerebri, dura |
| 33 | G2 | GGT | GGT | R132G | positive | Cavernous sinus, GSR |
| 34 | G2 | TGT | TGT | R132C | positive | Ethmoid bone, orbit |
| ID | Tumor Type | Biochip | qPCR- DMA-Sanger | AA Change | IHC | Tumor Location |
|---|---|---|---|---|---|---|
| 35 | CHOS | WT | TGT | R132C | negative | Nasopharynx, orbit |
| 36 | CHOS | WT | WT | R132 | positive | Nasal cavity, orbit, GSR |
| 37 | CRD | WT | CAT | R132H | positive | Skull base, NOS |
| 38 | CRD | AGT | IDH-mut | R132S | ND | Cerebellopontine angle |
| 39 | CHND | CAT | ND | R132H | positive | Superior sagittal sinus |
| 40 | CHND | ND | TGT | R132C | positive | Skull base, NOS |
| 41 | CHND | TGT | ND | R132C | negative | Falx, superior sagittal sinus |
| 42 | CHND | ND | TGT | R132C | negative | Intracranial space |
| Genotype | Biochip Assay | qPCR-DMA-Sanger | IHC |
|---|---|---|---|
| All tumors (n = 96) | |||
| Determined | (n = 89) | (n = 88) | (n = 84) |
| Wild-type IDH1 genotype | 57/89 (64%) | 56/88 (64%) | 53/84 (63%) |
| Mutated IDH1 genotype | 32/89 (36%) | 32/88 (36%) | 31/84 (37%) |
| Chondrosarcomas (n = 64) | |||
| Determined | (n = 60) | (n = 59) | (n = 56) |
| Wild-type IDH1 genotype | 31/60 (51.7%) | 32/59 (54%) | 29/56 (51.8%) |
| Mutated IDH1 genotype | 29/60 (48.3%) | 27/59 (46%) | 27/56 (48.2%) |
| IDH1 gene (Nucleotide Substitution in Codon 132) | Aminoacid Change | Number of Positive Cases, n (%) (All Tumors, n = 37) | Number of Cases, n (%) (Chondrosarcomas, n = 30) |
|---|---|---|---|
| CGT > TGT | Cysteine (Cys, C) | 22 (60%) | 18 (60%) |
| CGT > CTT | Leucine (Leu, L) | 5 (13.5%) | 5 (17%) |
| CGT > GGT | Glycine (Gly, G) | 5 (13.5%) | 5 (17%) |
| CGT > CAT | Histidine (His, H) | 3 (8%) | 1 (3%) |
| CGT > AGT | Serine (Ser, S) | 2 (5%) | 1 (3%) |
| Results | Biochip vs. IHC (n = 51) | Biochip vs. qPCR-DMA- Sanger (n = 55) | qPCR- DMA-Sanger vs. IHC (n = 50) |
|---|---|---|---|
| Coincidental cases | 46/51 (90%) | 54/55 (98%) | 42/50 (83%) |
| Non-coincidental cases | 5/51 (10%) | 1/55 (2%) | 8/50 (17%) |
Disclaimer/Publisher’s Note: The statements, opinions and data contained in all publications are solely those of the individual author(s) and contributor(s) and not of MDPI and/or the editor(s). MDPI and/or the editor(s) disclaim responsibility for any injury to people or property resulting from any ideas, methods, instructions or products referred to in the content. |
© 2024 by the authors. Licensee MDPI, Basel, Switzerland. This article is an open access article distributed under the terms and conditions of the Creative Commons Attribution (CC BY) license (https://creativecommons.org/licenses/by/4.0/).
Share and Cite
Varachev, V.; Shekhtman, A.; Guskov, D.; Rogozhin, D.; Zasedatelev, A.; Nasedkina, T. Diagnostics of IDH1/2 Mutations in Intracranial Chondroid Tumors: Comparison of Molecular Genetic Methods and Immunohistochemistry. Diagnostics 2024, 14, 200. https://doi.org/10.3390/diagnostics14020200
Varachev V, Shekhtman A, Guskov D, Rogozhin D, Zasedatelev A, Nasedkina T. Diagnostics of IDH1/2 Mutations in Intracranial Chondroid Tumors: Comparison of Molecular Genetic Methods and Immunohistochemistry. Diagnostics. 2024; 14(2):200. https://doi.org/10.3390/diagnostics14020200
Chicago/Turabian StyleVarachev, Vyacheslav, Anastasia Shekhtman, Dmitrii Guskov, Dmitrii Rogozhin, Alexander Zasedatelev, and Tatiana Nasedkina. 2024. "Diagnostics of IDH1/2 Mutations in Intracranial Chondroid Tumors: Comparison of Molecular Genetic Methods and Immunohistochemistry" Diagnostics 14, no. 2: 200. https://doi.org/10.3390/diagnostics14020200
APA StyleVarachev, V., Shekhtman, A., Guskov, D., Rogozhin, D., Zasedatelev, A., & Nasedkina, T. (2024). Diagnostics of IDH1/2 Mutations in Intracranial Chondroid Tumors: Comparison of Molecular Genetic Methods and Immunohistochemistry. Diagnostics, 14(2), 200. https://doi.org/10.3390/diagnostics14020200

