Ductus Venosus Agenesis in Monochorionic Twin Pregnancies Complicated by Fetal Growth Restriction: When to Deliver?
Abstract
1. Introduction
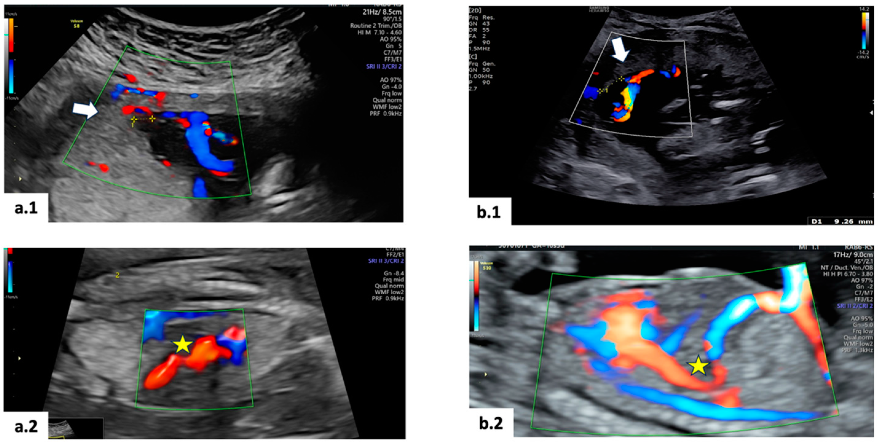
2. Case 1
3. Case 2
4. Discussion
5. Conclusions
Author Contributions
Funding
Institutional Review Board Statement
Informed Consent Statement
Data Availability Statement
Acknowledgments
Conflicts of Interest
References
- Chinn, D.H.; Filly, R.A.; Callen, P.W. Ultrasonic evaluation of fetal umbilical and hepatic vascular anatomy. Radiology 1982, 144, 153–157. [Google Scholar] [CrossRef] [PubMed]
- Kiserud, T.; Acharya, G. The fetal circulation. Prenat. Diagn. 2004, 24, 1049–1059. [Google Scholar] [CrossRef]
- Haugen, G.; Kiserud, T.; Godfrey, K.; Crozier, S.; Hanson, M. Portal and umbilical venous blood supply to the liver in the human fetus near term. Ultrasound Obstet. Gynecol. 2004, 24, 599–605. [Google Scholar] [CrossRef] [PubMed]
- Baschat, A.A. The fetal circulation and essential organs—A new twist to an old tale. Ultrasound Obstet. Gynecol. 2006, 27, 349–354. [Google Scholar] [CrossRef]
- Kiserud, T. Physiology of the fetal circulation. Semin. Fetal Neonatal Med. 2005, 10, 493–503. [Google Scholar] [CrossRef]
- Piemonti, L.; Simonetto, C.; Bovino, A.; Pinto, A.; Garzon, S.; Grisolia, G.; Raffaelli, R. Agenesis of the ductus venosus and fetal growth restriction: Is there a relation? A tertiary care center experience and systematic review of the literature. J. Clin. Ultrasound 2024, 52, 949–955. [Google Scholar] [CrossRef]
- Kiserud, T.; Chedid, G.; Rasmussen, S. Foramen ovale changes in growth-restricted fetuses. Ultrasound Obstet. Gynecol. 2004, 24, 141–146. [Google Scholar] [CrossRef] [PubMed]
- Staboulidou, I.; Pereira, S.; De Jesus Cruz, J.; Syngelaki, A.; Nicolaides, K.H. Prevalence and Outcome of Absence of Ductus Venosus at 11+0 to 13+6 Weeks. Fetal Diagn. Ther. 2011, 30, 35–40. [Google Scholar] [CrossRef]
- Jaeggi, E.T.; Fouron, J.C.; Hornberger, L.K.; Proulx, F.; Oberhänsli, I.; Yoo, S.J.; Fermont, L. Agenesis of the ductus venosus that is associated with extrahepatic umbilical vein drainage: Prenatal features and clinical outcome. Am. J. Obstet. Gynecol. 2002, 187, 1031–1037. [Google Scholar] [CrossRef]
- Souka, A.; Antsaklis, P.; Tasias, K.; Fasoulakis, Z.; Daskalakis, G. The Incidence of the Agenesis of Fetal Ductus Venosus at the 11–13 Weeks’ Ultrasound Examination. Cureus 2022, 14, e31748. Available online: https://www.cureus.com/articles/117864-the-incidence-of-the-agenesis-of-fetal-ductus-venosus-at-the-11-13-weeks-ultrasound-examination (accessed on 1 June 2024). [CrossRef]
- Baschat, A.A.; Gembruch, U.; Weiner, C.P.; Harman, C.R. Qualitative venous Doppler waveform analysis improves prediction of critical perinatal outcomes in premature growth-restricted fetuses. Ultrasound Obstet. Gynecol. 2003, 22, 240–245. [Google Scholar] [CrossRef] [PubMed]
- Baschat, A.A.; Cosmi, E.; Bilardo, C.M.; Wolf, H.; Berg, C.; Rigano, S.; Germer, U.; Moyano, D.; Turan, S.; Hartung, J.; et al. Predictors of Neonatal Outcome in Early-Onset Placental Dysfunction. Obstet. Gynecol. 2007, 109 Pt 1, 253–261. [Google Scholar] [CrossRef] [PubMed]
- Bilardo, C.M.; Hecher, K.; Visser, G.H.A.; Papageorghiou, A.T.; Marlow, N.; Thilaganathan, B.; Van Wassenaer-Leemhuis, A.; Todros, T.; Marsal, K.; Frusca, T.; et al. Severe fetal growth restriction at 26–32 weeks: Key messages from the TRUFFLE study. Ultrasound Obstet. Gynecol. 2017, 50, 285–290. [Google Scholar] [CrossRef]
- Lees, C.C.; Marlow, N.; Van Wassenaer-Leemhuis, A.; Arabin, B.; Bilardo, C.M.; Brezinka, C.; Calvert, S.; Derks, J.B.; Diemert, A.; Duvekot, J.J.; et al. 2 year neurodevelopmental and intermediate perinatal outcomes in infants with very preterm fetal growth restriction (TRUFFLE): A randomised trial. Lancet 2015, 385, 2162–2172. [Google Scholar] [CrossRef] [PubMed]
- Shih, J.C.; Shyu, M.K.; Hsieh, M.H.; Yang, J.H.; Huang, S.F.; Lin, G.J.; Hsieh, F.J. Agenesis of the ductus venosus in a case of monochorionic twins which mimics twin–twin transfusion syndrome. Prenat. Diagn. 1996, 16, 243–246. [Google Scholar] [CrossRef]
- Badr, D.A.; Bevilacqua, E.; Carlin, A.; Gajewska, K.; Done, E.; Cos Sanchez, T.; Oliviera, C.; Jani, J.C. Antenatal management and neonatal outcomes of monochorionic twin pregnancies in a tertiary teaching hospital: A 10-year review. J. Obstet. Gynaecol. 2021, 41, 1199–1204. [Google Scholar] [CrossRef]
- Monaghan, C.; Kalafat, E.; Binder, J.; Thilaganathan, B.; Khalil, A. Prediction of adverse pregnancy outcome in monochorionic diamniotic twin pregnancy complicated by selective fetal growth restriction. Ultrasound Obstet. Gynecol. 2019, 53, 200–207. [Google Scholar] [CrossRef]
- Khalil, A.; Beune, I.; Hecher, K.; Wynia, K.; Ganzevoort, W.; Reed, K.; Lewi, L.; Oepkes, D.; Gratacos, E.; Thilaganathan, B.; et al. Consensus definition and essential reporting parameters of selective fetal growth restriction in twin pregnancy: A Delphi procedure. Ultrasound Obstet. Gynecol. 2019, 53, 47–54. [Google Scholar] [CrossRef]
- Gratacós, E.; Lewi, L.; Muñoz, B.; Acosta-Rojas, R.; Hernandez-Andrade, E.; Martinez, J.M.; Carreras, E.; Deprest, J. A classification system for selective intrauterine growth restriction in monochorionic pregnancies according to umbilical artery Doppler flow in the smaller twin. Ultrasound Obstet. Gynecol. 2007, 30, 28–34. [Google Scholar] [CrossRef]
- Khalil, A.; Rodgers, M.; Baschat, A.; Bhide, A.; Gratacos, E.; Hecher, K.; Kilby, M.D.; Lewi, L.; Nicolaides, K.H.; Oepkes, D.; et al. ISUOG Practice Guidelines: Role of ultrasound in twin pregnancy: ISUOG Guidelines. Ultrasound Obstet. Gynecol. 2016, 47, 247–263. [Google Scholar] [CrossRef]
- Kilby, M.D.; Bricker, L.; Royal College of Obstetricians and Gynaecologists. Management of Monochorionic Twin Pregnancy: Green-Top Guideline No. 51. BJOG Int. J. Obstet. Gynaecol. 2017, 124, e1–e45. [Google Scholar]
- Bonanni, G.; Airoldi, C.; Romanzi, F.; Passananti, E.; Torcia, E.; Di Marco, G.; Felici, F.; Familiari, A.; Meli, F.; Visconti, D.; et al. The impact of placental anastomoses and umbilical cord insertions’ sites on monochorionic twin pregnancy outcomes: Evidence from color-dye injection studies. Placenta 2023, 143, 110–116. [Google Scholar] [CrossRef] [PubMed]
- Linee Guida per Ecografia Ostetrica e Ginecologica. Available online: https://www.sieog.it/wp-content/uploads/2021/11/LINEE-GUIDA-MINISTERIALI-SIEOG-2021-compresso.pdf (accessed on 11 July 2024).
- Garcia-Delgado, R.; Garcia-Rodriguez, R.; Romero Requejo, A.; Armas Roca, M.; Obreros Zegarra, L.; Medina Castellano, M.; Garcia Hernandez, J.A. Echographic features and perinatal outcomes in fetuses with congenital absence of ductus venosus. Acta Obstet. Gynecol. Scand. 2017, 96, 1205–1213. [Google Scholar] [CrossRef]
- Strizek, B.; Zamprakou, A.; Gottschalk, I.; Roethlisberger, M.; Hellmund, A.; Müller, A.; Gembruch, U.; Geipel, A.; Berg, C. Prenatal Diagnosis of Agenesis of Ductus Venosus: A Retrospective Study of Anatomic Variants, Associated Anomalies and Impact on Postnatal Outcome. Ultraschall Med.-Eur. J. Ultrasound 2019, 40, 333–339. [Google Scholar] [CrossRef] [PubMed]
- Maruotti, G.M.; Saccone, G.; Ciardulli, A.; Mazzarelli, L.L.; Berghella, V.; Martinelli, P. Absent ductus venosus: Case series from two tertiary centres. J. Matern. Fetal Neonatal Med. 2018, 31, 2478–2483. [Google Scholar] [CrossRef] [PubMed]
- Pacheco, D.; Brandão, O.; Montenegro, N.; Matias, A. Ductus venosus agenesis and fetal malformations: What can we expect?—A systematic review of the literature. J. Perinat. Med. 2018, 47, 1–11. [Google Scholar] [CrossRef] [PubMed]
- Buca, D.; Pagani, G.; Rizzo, G.; Familiari, A.; Flacco, M.E.; Manzoli, L.; Liberati, M.; Fanfani, F.; Scambia, G.; D’Antonio, F.; et al. Outcome of monochorionic twin pregnancy with selective intrauterine growth restriction according to umbilical artery Doppler flow pattern of smaller twin: Systematic review and meta-analysis. Ultrasound Obstet. Gynecol. 2017, 50, 559–568. [Google Scholar] [CrossRef]
- Khalil, A.; Thilaganathan, B. Selective fetal growth restriction in monochorionic twin pregnancy: A dilemma for clinicians and a challenge for researchers. Ultrasound Obstet. Gynecol. 2019, 53, 23–25. [Google Scholar] [CrossRef]


Disclaimer/Publisher’s Note: The statements, opinions and data contained in all publications are solely those of the individual author(s) and contributor(s) and not of MDPI and/or the editor(s). MDPI and/or the editor(s) disclaim responsibility for any injury to people or property resulting from any ideas, methods, instructions or products referred to in the content. |
© 2024 by the authors. Licensee MDPI, Basel, Switzerland. This article is an open access article distributed under the terms and conditions of the Creative Commons Attribution (CC BY) license (https://creativecommons.org/licenses/by/4.0/).
Share and Cite
Torcia, E.; Familiari, A.; Passananti, E.; di Marco, G.; Romanzi, F.; Trapani, M.; Visconti, D.; Lanzone, A.; Bevilacqua, E. Ductus Venosus Agenesis in Monochorionic Twin Pregnancies Complicated by Fetal Growth Restriction: When to Deliver? Diagnostics 2024, 14, 2147. https://doi.org/10.3390/diagnostics14192147
Torcia E, Familiari A, Passananti E, di Marco G, Romanzi F, Trapani M, Visconti D, Lanzone A, Bevilacqua E. Ductus Venosus Agenesis in Monochorionic Twin Pregnancies Complicated by Fetal Growth Restriction: When to Deliver? Diagnostics. 2024; 14(19):2147. https://doi.org/10.3390/diagnostics14192147
Chicago/Turabian StyleTorcia, Eleonora, Alessandra Familiari, Elvira Passananti, Giulia di Marco, Federica Romanzi, Mariarita Trapani, Daniela Visconti, Antonio Lanzone, and Elisa Bevilacqua. 2024. "Ductus Venosus Agenesis in Monochorionic Twin Pregnancies Complicated by Fetal Growth Restriction: When to Deliver?" Diagnostics 14, no. 19: 2147. https://doi.org/10.3390/diagnostics14192147
APA StyleTorcia, E., Familiari, A., Passananti, E., di Marco, G., Romanzi, F., Trapani, M., Visconti, D., Lanzone, A., & Bevilacqua, E. (2024). Ductus Venosus Agenesis in Monochorionic Twin Pregnancies Complicated by Fetal Growth Restriction: When to Deliver? Diagnostics, 14(19), 2147. https://doi.org/10.3390/diagnostics14192147

