Age Estimation through Hounsfield Unit Analysis of Pelvic Bone in the Romanian Population
Abstract
1. Introduction
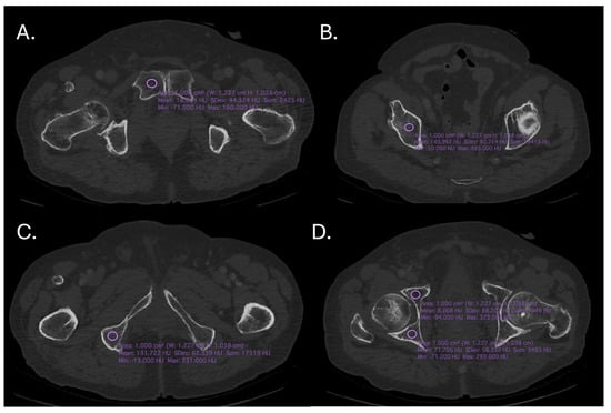
2. Materials and Methods
3. Results
4. Discussion
5. Conclusions
Author Contributions
Funding
Institutional Review Board Statement
Informed Consent Statement
Data Availability Statement
Acknowledgments
Conflicts of Interest
References
- Spradley, M.K. Metric methods for the biological profile in forensic anthropology: Sex, ancestry, and stature. Acad. Forensic Pathol. 2016, 6, 391–399. [Google Scholar] [PubMed]
- Cunha, E.; Baccino, E.; Martrille, L.; Ramsthaler, F.; Prieto, J.; Schuliar, Y.; Lynnerup, N.; Cattaneo, C. The problem of aging human remains and living individuals: A review. Forensic Sci. Int. 2009, 193, 1–3. [Google Scholar] [PubMed]
- Ross, A.H.; Kimmerle, E.H. Contribution of quantitative methods in forensic anthropology: A new era. In Handbook of Forensic Anthropology and Archaeology; Routledge: Oxfordshire, UK, 2016; pp. 479–489. [Google Scholar]
- Dedouit, F.; Bindel, S.; Gainza, D.; Blanc, A.; Joffre, F.; Rougé, D.; Telmon, N. Application of the Iscan method to two- and three-dimensional imaging of the sternal end of the right fourth rib. J. Forensic Sci. 2008, 53, 288–295. [Google Scholar] [CrossRef]
- Meindl, R.S.; Lovejoy, C.O. Ectocranial suture closure: A revised method for the determination of skeletal age at death based on the lateral-anterior sutures. Am. J. Phys. Anthropol. 1985, 68, 57–66. [Google Scholar] [CrossRef]
- Buckberry, J.L.; Chamberlain, A.T. Age estimation from the auricular surface of the ilium: A revised method. Am. J. Phys. Anthropol. 2002, 119, 231–239. [Google Scholar] [CrossRef]
- EKranioti, F.; Michalodimitrakis, M. Sexual dimorphism of the humerus in contemporary Cretans--a population-specific study and a review of the literature. J. Forensic Sci. 2009, 54, 996–1000. [Google Scholar] [CrossRef]
- Ford, J.M.; Kumm, T.R.; Decker, S.J. An analysis of Hounsfield unit values and volumetrics from computerized tomography of the proximal femur for sex and age estimation. J. Forensic Sci. 2020, 65, 591–596. [Google Scholar] [CrossRef] [PubMed]
- Priyadarshini, C.; Puranik, M.P.; Uma, S.R. Dental age estimation methods: A review. Int. J. Adv. Health Sci. 2015, 1, 19–25. Available online: https://www.researchgate.net/profile/ManjunathPuranik/publication/291343131_Dental_Age_Estimation_Methods_A_Review/links/56a220e608ae24f627057eaf/Dental-Age-Estimation-Methods-A-Review.pdf (accessed on 21 February 2024).
- Office of the United Nations High Commissioner for Refugees Geneva, Guidelines on Policies and Procedures in Dealing with Unaccompanied Children Seeking Asylum. 1997. Available online: https://www.unhcr.org/publications/legal/3d4f91cf4/guidelines-policies-procedures-dealingunaccompanied-children-seeking-asylum.html (accessed on 16 January 2023).
- Schmeling, A.; Olze, A.; Reisinger, W.; Geserick, G. Age estimation of living people undergoing criminal proceedings. Lancet 2001, 358, 89–90. [Google Scholar] [CrossRef]
- Franklin, D. Forensic age estimation in human skeletal remains: Current concepts and future directions. Leg. Med. 2010, 12, 1–7. [Google Scholar] [CrossRef]
- Miranker, M. A comparison of different age estimation methods of the adult pelvis. J. Forensic Sci. 2016, 61, 1173–1179. [Google Scholar] [CrossRef] [PubMed]
- Iscan, M.Y.; Steyn, M. The Human Skeleton in Forensic Medicine, 3rd ed.; Charles C Thomas Publisher: Springfield, MA, USA, 2013. [Google Scholar]
- Albanese, J. A metric method for sex determination using the hipbone and the femur. J. Forensic Sci. 2003, 48, 263–273. [Google Scholar] [CrossRef] [PubMed]
- France, D.L. Observational and metric analysis of sex in the skeleton. In Forensic Osteology: Advances in the Identification of Human Remains; Reichs, K.J., Ed.; Charles C Thomas Publisher: Springfield, MA, USA, 1998; pp. 163–186. [Google Scholar]
- Ostrofsky, K.R.; Churchill, S.E. Sex determination by discriminant function analysis of lumbar vertebrae. J. Forensic Sci. 2015, 60, 21–28. [Google Scholar] [CrossRef] [PubMed]
- Cardoso, H.F. Accuracy of developing tooth length as an estimate of age in human skeletal remains: The deciduous dentition. Forensic Sci. Int. 2007, 172, 17–22. [Google Scholar] [CrossRef]
- Olze, A.; Schmeling, A.; Taniguchi, M.; Maeda, H.; van Niekerk, P.; Wernecke, K.-D.; Geserick, G. Forensic age estimation in living subjects: The ethnic factor in wisdom tooth mineralization. Int. J. Leg. Med. 2004, 118, 170–173. [Google Scholar] [CrossRef]
- Brooks, S.; Suchey, J.M. Skeletal age determination based on the os pubis: A comparison of the Acsadi-Nemeskeri and Suchey-Brooks methods. Hum. Evol. 1990, 5, 227–238. [Google Scholar] [CrossRef]
- Işcan, M.Y.; Loth, S.R.; Wright, R.K. Age estimation from the rib by phase analysis: White males. J. Forensic Sci. 1984, 29, 1094–1104. [Google Scholar] [CrossRef]
- Lovejoy, C.O.; Meindl, R.S.; Pryzbeck, T.R.; Mensforth, R.P. Chronological metamorphosis of the auricular surface of the ilium: A new method for the determination of adult skeletal age at death. Am. J. Phys. Anthropol. 1985, 68, 15–28. [Google Scholar] [CrossRef] [PubMed]
- İşcan, M.Y.; Shihai, D. Sexual dimorphism in the Chinese femur. Forensic Sci. Int. 1995, 74, 79–87. [Google Scholar] [CrossRef]
- Albanese, J. A method for estimating sex using the clavicle, humerus, radius, and ulna. J. Forensic Sci. 2013, 58, 1413–1419. [Google Scholar] [CrossRef]
- Frutos, L.R. Metric determination of sex from the humerus in a Guatemalan forensic sample. Forensic Sci. Int. 2005, 147, 153–157. [Google Scholar] [CrossRef] [PubMed]
- İşcan, M.Y.; Loth, S.R.; King, C.A.; Shihai, D.; Yoshino, M. Sexual dimorphism in the humerus: A comparative analysis of Chinese, Japanese and Thais. Forensic Sci. 1998, 98, 17–29. [Google Scholar] [CrossRef] [PubMed]
- Spradley, M.K.; Jantz, R.L. Sex estimation in forensic anthropology: Skull versus postcranial elements. J. Forensic Sci. 2011, 56, 289–296. [Google Scholar] [CrossRef] [PubMed]
- Loth, S.R.; Henneberg, M. Sexually dimorphic mandibular morphology in the first few years of life. Am. J. Phys. Anthropol. 2001, 115, 179–186. [Google Scholar] [CrossRef]
- Osborne, D.L.; Simmons, T.L.; Nawrocki, S.P. Reconsidering the auricular surface as an indicator of age at death. J. Forensic Sci. 2004, 49, 905–911. [Google Scholar] [CrossRef]
- Rissech, C.; Estabrook, G.F.; Cunha, E.; Malgosa, A. Using the acetabulum to estimate age at death of adult males. J. Forensic Sci. 2006, 51, 213–229. [Google Scholar] [CrossRef]
- Calce, S.E. A new method to estimate adult age-at-death using the acetabulum. Am. J. Phys. Anthropol. 2012, 148, 11–23. [Google Scholar] [CrossRef]





| Female (N = 40) | Male (N = 40) | Total (N = 80) | p Value | |
|---|---|---|---|---|
| Age | 0.811 1 | |||
| Mean (SD) | 58.9 (22.9) | 60.1 (22.8) | 59.5 (22.7) | |
| Range | 22.0–92.0 | 23.0–93.0 | 22.0–93.0 | |
| HU Pr | <0.001 1 | |||
| Mean (SD) | 69.7 (35.4) | 108.8 (18.8) | 89.3 (34.4) | |
| Range | 10.0–121.0 | 29.0–138.0 | 10.0–138.0 | |
| HU Pl | <0.001 1 | |||
| Mean (SD) | 64.3 (39.2) | 104.2 (17.3) | 84.3 (36.2) | |
| Range | −14.0–123.0 | 44.0–139.0 | −14.0–139.0 | |
| HU Aar | <0.001 1 | |||
| Mean (SD) | 64.2 (34.8) | 107.9 (15.9) | 86.0 (34.8) | |
| Range | −20.0–103.0 | 81.0–138.0 | −20.0–138.0 | |
| HU Aal | <0.001 1 | |||
| Mean (SD) | 59.0 (38.5) | 106.7 (17.6) | 82.8 (38.2) | |
| Range | −34.0–108.0 | 79.0–176.0 | −34.0–176.0 | |
| HU Par | <0.001 1 | |||
| Mean (SD) | 68.7 (35.4) | 107.7 (14.0) | 88.2 (33.2) | |
| Range | −23.0–106.0 | 79.0–134.0 | −23.0–134.0 | |
| HU Pal | <0.001 1 | |||
| Mean (SD) | 59.7 (42.6) | 103.5 (16.8) | 81.6 (39.0) | |
| Range | −45.0–107.0 | 58.0–129.0 | −45.0–129.0 | |
| HU Apr | <0.001 1 | |||
| Mean (SD) | 179.9 (63.7) | 270.2 (57.6) | 225.1 (75.5) | |
| Range | 37.0–286.0 | 109.0–342.0 | 37.0–342.0 | |
| HU Apl | <0.001 1 | |||
| Mean (SD) | 173.7 (65.1) | 262.4 (59.7) | 218.0 (76.4) | |
| Range | 23.0–287.0 | 110.0–341.0 | 23.0–341.0 | |
| HU ITr | <0.001 1 | |||
| Mean (SD) | 76.6 (31.4) | 107.6 (25.5) | 92.1 (32.4) | |
| Range | 15.0–122.0 | 73.0–157.0 | 15.0–157.0 | |
| HU ITl | <0.001 1 | |||
| Mean (SD) | 73.3 (31.5) | 101.5 (29.3) | 87.4 (33.4) | |
| Range | 1.0–121.0 | 20.0–166.0 | 1.0–166.0 |
| Right | Left | Total | p Value | |
|---|---|---|---|---|
| HU P | 0.371 1 | |||
| Mean (SD) | 89.3 (34.4) | 84.3 (36.2) | 86.8 (35.3) | |
| Range | 10.0–138.0 | −14.0–139.0 | −14.0–139.0 | |
| SD P | 0.020 1 | |||
| Mean (SD) | 16.1 (5.7) | 18.5 (7.6) | 17.3 (6.8) | |
| Range | 5.0–31.0 | 3.0–49.0 | 3.0–49.0 | |
| HU Aa | 0.579 1 | |||
| Mean (SD) | 86.0 (34.8) | 82.8 (38.2) | 84.4 (36.5) | |
| Range | −20.0–138.0 | −34.0–176.0 | −34.0–176.0 | |
| SD Aa | 0.011 1 | |||
| Mean (SD) | 17.6 (9.0) | 14.5 (6.2) | 16.1 (7.8) | |
| Range | 6.0–64.0 | 2.0–38.0 | 2.0–64.0 | |
| HU Pa | 0.254 1 | |||
| Mean (SD) | 88.2 (33.2) | 81.6 (39.0) | 84.9 (36.3) | |
| Range | −23.0–134.0 | −45.0–129.0 | −45.0–134.0 | |
| SD Pa | 0.959 1 | |||
| Mean (SD) | 15.9 (10.3) | 15.8 (8.1) | 15.9 (9.3) | |
| Range | 5.0–73.0 | 3.0–52.0 | 3.0–73.0 | |
| HU Ap | 0.558 1 | |||
| Mean (SD) | 225.1 (75.5) | 218.0 (76.4) | 221.5 (75.8) | |
| Range | 37.0–342.0 | 23.0–341.0 | 23.0–342.0 | |
| SD Ap | 0.791 1 | |||
| Mean (SD) | 17.4 (7.3) | 17.1 (7.6) | 17.3 (7.4) | |
| Range | 4.0–52.0 | 4.0–43.0 | 4.0–52.0 | |
| HU IT | 0.373 1 | |||
| Mean (SD) | 87.4 (33.4) | 92.1 (32.4) | 89.8 (32.9) | |
| Range | 1.0–166.0 | 15.0–157.0 | 1.0–166.0 | |
| SD IT | 0.462 1 | |||
| Mean (SD) | 17.8 (11.0) | 16.6 (8.5) | 17.2 (9.8) | |
| Range | 4.0–95.0 | 4.0–59.0 | 4.0–95.0 |
| 20–30 (N = 10) | 30–40 (N = 10) | 40–50 (N = 11) | 50–60 (N = 9) | 60–70 (N = 10) | 70–80 (N = 10) | 80–90 (N = 10) | 90–100 (N = 10) | Total (N = 80) | p Value | |
|---|---|---|---|---|---|---|---|---|---|---|
| HU Itl | 0.442 1 | |||||||||
| Mean (SD) | 128.0 (20.2) | 122.6 (17.2) | 95.3 (12.5) | 95.2 (14.0) | 83.6 (12.1) | 70.1 (23.9) | 57.3 (31.4) | 47.4 (23.9) | 87.4 (33.4) | |
| Range | 102.0–166.0 | 99.0–149.0 | 83.0–125.0 | 73.0–117.0 | 61.0–97.0 | 29.0–99.0 | 1.0–89.0 | 12.0–88.0 | 1.0–166.0 | |
| HU Itr | <0.001 1 | |||||||||
| Mean (SD) | 130.5 (18.3) | 129.5 (18.2) | 102.2 (13.0) | 93.1 (11.3) | 80.6 (19.3) | 75.9 (21.6) | 55.0 (30.0) | 69.0 (25.6) | 92.1 (32.4) | |
| Range | 107.0–156.0 | 106.0–157.0 | 86.0–134.0 | 79.0–116.0 | 54.0–117.0 | 23.0–96.0 | 15.0–89.0 | 26.0–106.0 | 15.0–157.0 | |
| HU Pr | <0.001 1 | |||||||||
| Mean (SD) | 117.4 (6.8) | 118.4 (12.9) | 105.2 (15.2) | 97.7 (16.6) | 84.3 (30.4) | 76.2 (38.9) | 60.7 (36.2) | 53.7 (34.5) | 89.3 (34.4) | |
| Range | 105.0–127.0 | 102.0–138.0 | 79.0–126.0 | 77.0–121.0 | 45.0–121.0 | 19.0–117.0 | 11.0–102.0 | 10.0–99.0 | 10.0–138.0 | |
| HU Pl | <0.001 1 | |||||||||
| Mean (SD) | 112.5 (11.6) | 114.6 (13.8) | 96.9 (10.1) | 94.7 (13.9) | 80.0 (32.6) | 68.9 (33.0) | 59.4 (47.7) | 47.0 (41.7) | 84.3 (36.2) | |
| Range | 97.0–132.0 | 99.0–139.0 | 81.0–114.0 | 71.0–117.0 | 34.0–124.0 | 24.0–101.0 | −10.0–107.0 | −14.0–103.0 | −14.0–139.0 | |
| HU Aal | <0.001 1 | |||||||||
| Mean (SD) | 101.7 (13.9) | 104.3 (19.0) | 102.8 (14.2) | 100.4 (15.0) | 79.6 (31.0) | 64.4 (31.3) | 52.6 (42.3) | 56.6 (65.3) | 82.8 (38.2) | |
| Range | 82.0–123.0 | 81.0–132.0 | 78.0–120.0 | 72.0–118.0 | 23.0–118.0 | 8.0–96.0 | −15.0–97.0 | −34.0–176.0 | −34.0–176.0 | |
| HU Apl | <0.001 1 | |||||||||
| Mean (SD) | 300.7 (32.5) | 263.8 (42.8) | 254.4 (52.9) | 250.0 (55.3) | 204.8 (68.2) | 191.8 (56.2) | 164.9 (61.0) | 113.3 (46.9) | 218.0 (76.4) | |
| Range | 245.0–341.0 | 214.0–311.0 | 183.0–316.0 | 184.0–318.0 | 98.0–279.0 | 78.0–244.0 | 78.0–223.0 | 23.0–175.0 | 23.0–341.0 | |
| HU Par | <0.001 1 | |||||||||
| Mean (SD) | 107.1 (14.2) | 107.2 (10.8) | 104.0 (9.9) | 106.4 (19.4) | 82.6 (31.4) | 77.6 (26.5) | 62.6 (28.3) | 58.0 (55.7) | 88.2 (33.2) | |
| Range | 89.0–134.0 | 95.0–124.0 | 84.0–121.0 | 75.0–128.0 | 43.0–128.0 | 17.0–99.0 | 15.0–89.0 | −23.0–120.0 | −23.0–134.0 | |
| HU Aar | <0.001 1 | |||||||||
| Mean (SD) | 107.6 (16.2) | 100.5 (14.0) | 102.1 (16.9) | 109.7 (24.0) | 82.5 (32.1) | 77.5 (20.8) | 57.6 (32.3) | 51.7 (53.7) | 86.0 (34.8) | |
| Range | 84.0–132.0 | 81.0–120.0 | 66.0–123.0 | 76.0–138.0 | 34.0–123.0 | 34.0–99.0 | 13.0–89.0 | −20.0–106.0 | −20.0–138.0 | |
| HU Apr | <0.001 1 | |||||||||
| Mean (SD) | 300.7 (26.8) | 285.4 (42.2) | 257.6 (58.4) | 250.0 (58.0) | 201.3 (71.8) | 203.7 (53.5) | 177.6 (55.9) | 123.4 (47.0) | 225.1 (75.5) | |
| Range | 267.0–342.0 | 234.0–339.0 | 187.0–326.0 | 185.0–308.0 | 109.0–278.0 | 89.0–253.0 | 101.0–235.0 | 37.0–189.0 | 37.0–342.0 | |
| HU Pal | <0.001 1 | |||||||||
| Mean (SD) | 105.8 (12.0) | 107.2 (15.6) | 102.5 (13.7) | 102.7 (16.5) | 83.0 (25.4) | 62.5 (34.9) | 50.6 (43.7) | 38.6 (53.5) | 81.6 (39.0) | |
| Range | 90.0–124.0 | 87.0–127.0 | 78.0–129.0 | 73.0–119.0 | 47.0–115.0 | −11.0–93.0 | −29.0–94.0 | −45.0–106.0 | −45.0–129.0 |
| Model Coefficients–Age | ||||
|---|---|---|---|---|
| Sex Predictor | Estimate | SE | t | p |
| Intercept a | 122.176 | 2.6817 | 45.56 | <0.001 |
| Male–Female | 30.449 | 2.0149 | 15.11 | <0.001 |
| HU Apl | −0.196 | 0.0200 | −9.78 | <0.001 |
| HU ITR | −0.382 | 0.0437 | −8.73 | <0.001 |
| Polynomial Male Model: | Polynomial Female Model: | ||||||
|---|---|---|---|---|---|---|---|
| Age | Age | ||||||
| Predictors | Estimates | CI | p | Predictors | Estimates | CI | p |
| (Intercept) | 60.12 | 57.15–63.10 | <0.001 | (Intercept) | 60.12 | 57.15–63.10 | <0.001 |
| ITl [1st degree] | −125.41 | −144.21–−106.61 | <0.001 | ITl [1st degree] | −125.41 | −144.21–−106.61 | <0.001 |
| ITl [2nd degree] | −16.70 | −35.50–2.11 | 0.080 | ITl [2nd degree] | −16.70 | −35.50–2.11 | 0.080 |
| ITl [3rd degree] | 35.34 | 16.54–54.14 | 0.001 | ITl [3rd degree] | 35.34 | 16.54–54.14 | 0.001 |
| ITl [4th degree] | −4.58 | −23.38–14.22 | 0.624 | ITl [4th degree] | −4.58 | −23.38–14.22 | 0.624 |
| Observations | 40 | Observations | 40 | ||||
| R2/R2 adjusted | 0.852/0.835 | R2/R2 adjusted | 0.852/0.835 | ||||
| Residual standard error: 9.262 on 35 degrees of freedom Multiple R-squared: 0.852, Adjusted R-squared: 0.835 F-statistic: 50.35 on 4 and 35 DF, p-value: 4.827 × 10−14 | Residual standard error: 9.262 on 35 degrees of freedom Multiple R-squared: 0.852, Adjusted R-squared: 0.835 F-statistic: 50.35 on 4 and 35 DF, p-value: 4.827 × 10−14 | ||||||
Disclaimer/Publisher’s Note: The statements, opinions and data contained in all publications are solely those of the individual author(s) and contributor(s) and not of MDPI and/or the editor(s). MDPI and/or the editor(s) disclaim responsibility for any injury to people or property resulting from any ideas, methods, instructions or products referred to in the content. |
© 2024 by the authors. Licensee MDPI, Basel, Switzerland. This article is an open access article distributed under the terms and conditions of the Creative Commons Attribution (CC BY) license (https://creativecommons.org/licenses/by/4.0/).
Share and Cite
Stan, E.; Enache, A.; Muresan, C.-O.; Ciocan, V.; Ungureanu, S.; Motofelea, A.C.; Voicu, A.; Costachescu, D. Age Estimation through Hounsfield Unit Analysis of Pelvic Bone in the Romanian Population. Diagnostics 2024, 14, 2103. https://doi.org/10.3390/diagnostics14182103
Stan E, Enache A, Muresan C-O, Ciocan V, Ungureanu S, Motofelea AC, Voicu A, Costachescu D. Age Estimation through Hounsfield Unit Analysis of Pelvic Bone in the Romanian Population. Diagnostics. 2024; 14(18):2103. https://doi.org/10.3390/diagnostics14182103
Chicago/Turabian StyleStan, Emanuela, Alexandra Enache, Camelia-Oana Muresan, Veronica Ciocan, Stefania Ungureanu, Alexandru Catalin Motofelea, Adrian Voicu, and Dan Costachescu. 2024. "Age Estimation through Hounsfield Unit Analysis of Pelvic Bone in the Romanian Population" Diagnostics 14, no. 18: 2103. https://doi.org/10.3390/diagnostics14182103
APA StyleStan, E., Enache, A., Muresan, C.-O., Ciocan, V., Ungureanu, S., Motofelea, A. C., Voicu, A., & Costachescu, D. (2024). Age Estimation through Hounsfield Unit Analysis of Pelvic Bone in the Romanian Population. Diagnostics, 14(18), 2103. https://doi.org/10.3390/diagnostics14182103

