Modeling Realistic Geometries in Human Intrathoracic Airways
Abstract
1. Introduction
2. Mathematical Models
| Mathematical Model | Year | Key Points | Data Source | Number of Generations | Limitations |
|---|---|---|---|---|---|
| Weibel (Model A) [1] | 1963 | Symmetric dichotomy | Lung casts | 23 | No asymmetry No branching angles No gravitational angles |
| Horsfield (Delta Model) [2] | 1971 | Asymmetric dichotomy Self-consistency Branching angles | Lung casts | Up to 25 | Inadequate for terminal inhomogeneities No spatial positions for branches |
| Phalen et al. [20] | 1978 | Unique branch identification Gravitational angles Record structural abnormalities | Lung casts | 15–17 | Data from only two casts |
| Yeh et al. [21] | 1980 | Lobar asymmetry Applicable to a lung portion | Lung casts | 24 | Data from only one cast Uncertain number of terminal bronchioles |
| Nelson et al. [22] | 1988 | Fractal geometry | Lung casts | NA | Limited to 2D |
| Kitaoka et al. [23] | 1999 | Consider the spatial position of the airways Rules to assign branch diameters, angles, lengths | Literature | 14–16 | More asymmetry than human lung Highly sensitive to host geometry and model parameters |
| Tawhai et al. [24] | 2000 | Growth of a bifurcating tree structure in the thoracic cavity | Imaging data | 16–17 | Diameters of branches with the same order are identical |
| Davoodi et al. [25] | 2016 | Lindenmayer system | Imaging data | 23 | Correlation between branching angle and diameter Does not consider the space occupied by other airways |
2.1. Model Structures

2.2. Data Sources
2.3. Modeling Airway Diseases
2.4. Airway Resistance in Respiratory Mechanics
3. Image-Based Anatomical Models
3.1. CT Imaging of Lung Casts
3.2. Patient-Specific Models
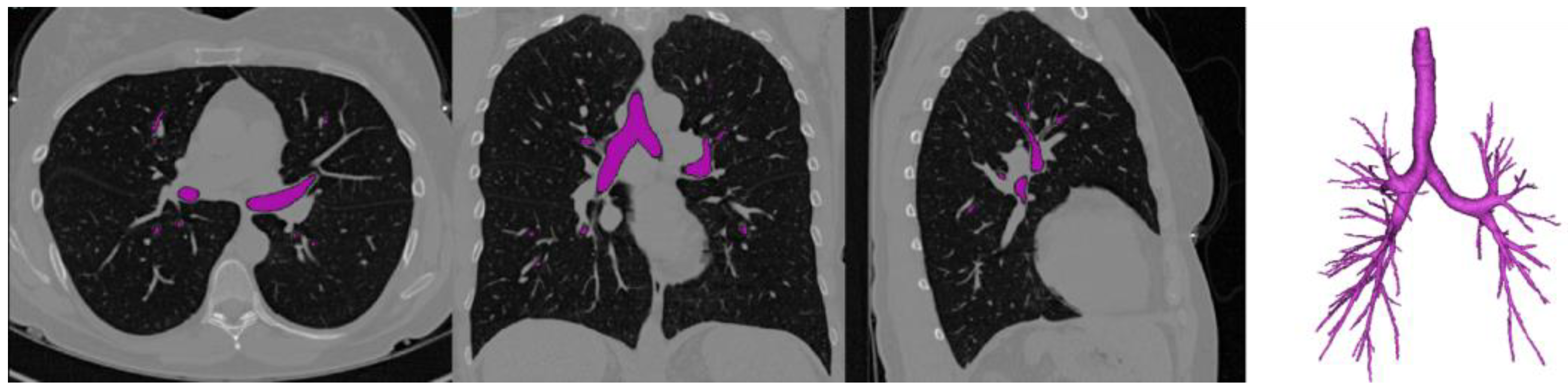
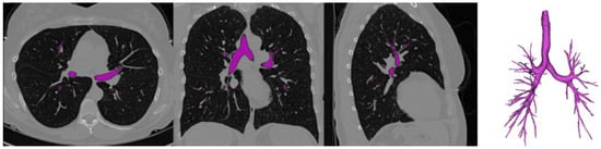
3.2.1. Airway Segmentation
CT Imaging

Segmentation of Pathological Bronchial Trees
Magnetic Resonance Imaging (MRI)
3.2.2. From Segmented Airways to Mesh Generation

4. Hybrid Models
5. Applications
5.1. Inter-Subject Geometry Variability
5.2. Medical Applications
5.3. Pharmacological Studies
5.4. Environmental Applications
6. Discussion
7. Conclusions
Author Contributions
Funding
Institutional Review Board Statement
Informed Consent Statement
Data Availability Statement
Conflicts of Interest
References
- Weibel, E.R. Morphometry of the Human Lung; Springer: Berlin/Heidelberg, Germany, 1963; ISBN 978-3-642-87555-7. [Google Scholar]
- Horsfield, K.; Dart, G.; Olson, D.E.; Filley, G.F.; Cumming, G. Models of the Human Bronchial Tree. J. Appl. Physiol. 1971, 31, 207–217. [Google Scholar] [CrossRef]
- Pu, J.; Gu, S.; Liu, S.; Zhu, S.; Wilson, D.; Siegfried, J.M.; Gur, D. CT Based Computerized Identification and Analysis of Human Airways: A Review. Med. Phys. 2012, 39, 2603–2616. [Google Scholar] [CrossRef] [PubMed]
- Irving, B.; Goussard, P.; Gie, R.; Todd-Pokropek, A.; Taylor, P. Segmentation of Obstructed Airway Branches in CT Using Airway Topology and Statistical Shape Analysis. In Proceedings of the 2011 IEEE International Symposium on Biomedical Imaging: From Nano to Macro, Chicago, IL, USA, 30 March–2 April 2011; IEEE: Piscataway, NJ, USA, 2011; pp. 447–451. [Google Scholar]
- James Ayodele, O.; Ebenezer Oluwatosin, A.; Christian Taiwo, O.; Adebukola Dare, A. Computational Fluid Dynamics Modeling in Respiratory Airways Obstruction: Current Applications and Prospects. Int. J. Biomed. Sci. Eng. 2021, 9, 16. [Google Scholar] [CrossRef]
- Aliboni, L.; Pennati, F.; Royston, T.J.; Woods, J.C.; Aliverti, A. Simulation of Bronchial Airway Acoustics in Healthy and Asthmatic Subjects. PLoS ONE 2020, 15, e0228603. [Google Scholar] [CrossRef] [PubMed]
- Cook, J.; Umar, M.; Khalili, F.; Taebi, A. Body Acoustics for the Non-Invasive Diagnosis of Medical Conditions. Bioengineering 2022, 9, 149. [Google Scholar] [CrossRef]
- Rahman, M.M.; Zhao, M.; Islam, M.S.; Dong, K.; Saha, S.C. Nanoparticle Transport and Deposition in a Heterogeneous Human Lung Airway Tree: An Efficient One Path Model for CFD Simulations. Eur. J. Pharm. Sci. 2022, 177, 106279. [Google Scholar] [CrossRef]
- Geronzi, L.; Fanni, B.M.; De Jong, B.; Roest, G.; Kenjeres, S.; Celi, S.; Biancolini, M.E. A Parametric 3D Model of Human Airways for Particle Drug Delivery and Deposition. Fluids 2024, 9, 27. [Google Scholar] [CrossRef]
- Qin, Z.; Shi, Y.; Qiao, J.; Lin, G.; Tang, B.; Li, X.; Zhang, J. CFD Simulation of Porous Microsphere Particles in the Airways of Pulmonary Fibrosis. Comput. Methods Programs Biomed. 2022, 225, 107094. [Google Scholar] [CrossRef]
- Hu, P.; Cai, C.; Yi, H.; Zhao, J.; Feng, Y.; Wang, Q. Aiding Airway Obstruction Diagnosis With Computational Fluid Dynamics and Convolutional Neural Network: A New Perspective and Numerical Case Study. J. Fluids Eng. 2022, 144, 081206. [Google Scholar] [CrossRef]
- Xi, J.; Kim, J.; Si, X.A.; Corley, R.A.; Kabilan, S.; Wang, S. CFD Modeling and Image Analysis of Exhaled Aerosols Due to a Growing Bronchial Tumor: Towards Non-Invasive Diagnosis and Treatment of Respiratory Obstructive Diseases. Theranostics 2015, 5, 443–455. [Google Scholar] [CrossRef]
- Nguyen, Q.H.; Kim, S.R.; Chae, K.J.; Jin, G.Y.; Choi, S. Structural and Functional Features of Asthma Participants with Fixed Airway Obstruction Using CT Imaging and 1D Computational Fluid Dynamics: A Feasibility Study. Physiol. Rep. 2024, 12, e15909. [Google Scholar] [CrossRef]
- Williams, J.; Kolehmainen, J.; Cunningham, S.; Ozel, A.; Wolfram, U. Effect of Patient Inhalation Profile and Airway Structure on Drug Deposition in Image-Based Models with Particle-Particle Interactions. Int. J. Pharm. 2022, 612, 121321. [Google Scholar] [CrossRef]
- Bell, A.; Siddiqui, S. Image-Based Simulation and Modeling: Unlocking Small Airway Function Tests? J. Appl. Physiol. 2020, 129, 580–582. [Google Scholar] [CrossRef]
- Ilegbusi, O.J.; Islam, A.; Santhanam, A.P. Computational Modelling of Airflow in Distal Airways Using Hybrid Lung Model. Math. Comput. Model. Dyn. Syst. 2023, 29, 186–207. [Google Scholar] [CrossRef]
- Bordas, R.; Lefevre, C.; Veeckmans, B.; Pitt-Francis, J.; Fetita, C.; Brightling, C.E.; Kay, D.; Siddiqui, S.; Burrowes, K.S. Development and Analysis of Patient-Based Complete Conducting Airways Models. PLoS ONE 2015, 10, e0144105. [Google Scholar] [CrossRef]
- Nousias, S.; Zacharaki, E.I.; Moustakas, K. AVATREE: An Open-Source Computational Modelling Framework Modelling Anatomically Valid Airway TREE Conformations. PLoS ONE 2020, 15, e0230259. [Google Scholar] [CrossRef]
- Ahookhosh, K.; Pourmehran, O.; Aminfar, H.; Mohammadpourfard, M.; Sarafraz, M.M.; Hamishehkar, H. Development of Human Respiratory Airway Models: A Review. Eur. J. Pharm. Sci. 2020, 145, 105233. [Google Scholar] [CrossRef]
- Phalen, R.F.; Yeh, H.C.; Schum, G.M.; Raabe, O.G. Application of an Idealized Model to Morphometry of the Mammalian Tracheobronchial Tree. Anat. Rec. 1978, 190, 167–176. [Google Scholar] [CrossRef]
- Yeh, H.-C.; Schum, G.M. Models of Human Lung Airways and Their Application to Inhaled Particle Deposition. Bull. Math. Biol. 1980, 42, 461–480. [Google Scholar] [CrossRef]
- Nelson, T.R.; Manchester, D.K. Modeling of Lung Morphogenesis Using Fractal Geometries. IEEE Trans. Med. Imaging 1988, 7, 321–327. [Google Scholar] [CrossRef]
- Kitaoka, H.; Suki, B. Branching Design of the Bronchial Tree Based on a Diameter-Flow Relationship. J. Appl. Physiol. 1997, 82, 968–976. [Google Scholar] [CrossRef]
- Tawhai, M.H.; Pullan, A.J.; Hunter, P.J. Generation of an Anatomically Based Three-Dimensional Model of the Conducting Airways. Ann. Biomed. Eng. 2000, 28, 793–802. [Google Scholar] [CrossRef]
- Davoodi, A.; Boozarjomehry, R.B. Developmental Model of an Automatic Production of the Human Bronchial Tree Based on L-System. Comput. Methods Programs Biomed. 2016, 132, 1–10. [Google Scholar] [CrossRef]
- Habib, R.H.; Chalker, R.B.; Suki, B.; Jackson, A.C. Airway Geometry and Wall Mechanical Properties Estimated from Subglottal Input Impedance in Humans. J. Appl. Physiol. 1994, 77, 441–451. [Google Scholar] [CrossRef]
- Lutchen, K.R.; Greenstein, J.L.; Suki, B. How Inhomogeneities and Airway Walls Affect Frequency Dependence and Separation of Airway and Tissue Properties. J. Appl. Physiol. 1996, 80, 1696–1707. [Google Scholar] [CrossRef]
- Mandelbrot, B.B. The Fractal Geometry of Nature; W. H. Freeman and Company: San Francisco, CA, USA, 1982; Volume 1. [Google Scholar]
- Weibel, E.R. Fractal Geometry: A Design Principle for Living Organisms. Am. J. Physiol. Lung Cell. Mol. Physiol. 1991, 261, L361–L369. [Google Scholar] [CrossRef]
- Kitaoka, H.; Takaki, R.; Suki, B. A Three-Dimensional Model of the Human Airway Tree. J. Appl. Physiol. 1999, 87, 2207–2217. [Google Scholar] [CrossRef]
- Wang, C.Y.; Bassingthwaighte, J.B.; Weissman, L.J. Bifurcating Distributive System Using Monte Carlo Method. Math. Comput. Model. 1992, 16, 91–98. [Google Scholar] [CrossRef]
- Tawhai, M.H.; Hunter, P.; Tschirren, J.; Reinhardt, J.; McLennan, G.; Hoffman, E.A. CT-Based Geometry Analysis and Finite Element Models of the Human and Ovine Bronchial Tree. J. Appl. Physiol. 2004, 97, 2310–2321. [Google Scholar] [CrossRef]
- Abbasi, Z.; Bozorgmehry Boozarjomehry, R. Modeling of Human Conducting Airways by Stochastic Parametric L-System. Eur. Phys. J. Plus 2021, 136, 197. [Google Scholar] [CrossRef]
- Raabe, O.G.; Yeh, H.C.; Schum, G.M.; Phalen, R.F. Tracheobronchial Geometry: Human, Dog, Rat, Hamster—A Compilation of Selected Data from the Project Respiratory Tract Deposition Models; Lovelace Foundation for Medical Education and Research: Albuquerque, NM, USA, 1976. [Google Scholar]
- Soong, T.T.; Nicolaides, P.; Yu, C.P.; Soong, S.C. A Statistical Description of the Human Tracheobronchial Tree Geometry. Respir. Physiol. 1979, 37, 161–172. [Google Scholar] [CrossRef]
- Yu, C.P.; Diu, C.K. A Probabilistic Model for Intersubject Deposition Variability of Inhaled Particles. Aerosol Sci. Technol. 1982, 1, 355–362. [Google Scholar] [CrossRef]
- Koblinger, L. Analysis of Human Lung Morphometric Data for Stochastic Aerosol Deposition Calculations. Phys. Med. Biol. 1985, 30, 541–556. [Google Scholar] [CrossRef]
- Koblinger, L.; Hofmann, W. Monte Carlo Modeling of Aerosol Deposition in Human Lungs. Part I: Simulation of Particle Transport in a Stochastic Lung Structure. J. Aerosol Sci. 1990, 21, 661–674. [Google Scholar] [CrossRef]
- Hofmann, W.; Koblinger, L. Monte Carlo Modeling of Aerosol Deposition in Human Lungs. Part II: Deposition Fractions and Their Sensitivity to Parameter Variations. J. Aerosol Sci. 1990, 21, 675–688. [Google Scholar] [CrossRef]
- Wiggs, B.R.; Bosken, C.; Paré, P.D.; James, A.; Hogg, J.C. A Model of Airway Narrowing in Asthma and in Chronic Obstructive Pulmonary Disease. Am. Rev. Respir. Dis. 1992, 145, 1251–1258. [Google Scholar] [CrossRef]
- Bosken, C.H.; Wiggs, B.R.; Paré, P.D.; Hogg, J.C. Small Airway Dimensions in Smokers with Obstruction to Airflow. Am. Rev. Respir. Dis. 1990, 142, 563–570. [Google Scholar] [CrossRef]
- James, A.L.; Paré, P.D.; Hogg, J.C. The Mechanics of Airway Narrowing in Asthma. Am. Rev. Respir. Dis. 1989, 139, 242–246. [Google Scholar] [CrossRef]
- Gillis, H.L.; Lutchen, K.R. How Heterogeneous Bronchoconstriction Affects Ventilation Distribution in Human Lungs: A Morphometric Model. Ann. Biomed. Eng. 1999, 27, 14–22. [Google Scholar] [CrossRef]
- Choi, S.; Yoon, S.; Jeon, J.; Zou, C.; Choi, J.; Tawhai, M.H.; Hoffman, E.A.; Delvadia, R.; Babiskin, A.; Walenga, R.; et al. 1D Network Simulations for Evaluating Regional Flow and Pressure Distributions in Healthy and Asthmatic Human Lungs. J. Appl. Physiol. 2019, 127, 122–133. [Google Scholar] [CrossRef]
- Mutuku, J.K.; Chen, W.-H. Flow Characterization in Healthy Airways and Airways with Chronic Obstructive Pulmonary Disease (COPD) during Different Inhalation Conditions. Aerosol Air Qual. Res. 2018, 18, 2680–2694. [Google Scholar] [CrossRef]
- Yang, X.L.; Liu, Y.; So, R.M.C.; Yang, J.M. The Effect of Inlet Velocity Profile on the Bifurcation COPD Airway Flow. Comput. Biol. Med. 2006, 36, 181–194. [Google Scholar] [CrossRef]
- Chen, X.; Zhong, W.; Sun, B.; Jin, B.; Zhou, X. Study on Gas/Solid Flow in an Obstructed Pulmonary Airway with Transient Flow Based on CFD–DPM Approach. Powder Technol. 2012, 217, 252–260. [Google Scholar] [CrossRef]
- Politi, A.Z.; Donovan, G.M.; Tawhai, M.H.; Sanderson, M.J.; Lauzon, A.-M.; Bates, J.H.T.; Sneyd, J. A Multiscale, Spatially Distributed Model of Asthmatic Airway Hyper-Responsiveness. J. Theor. Biol. 2010, 266, 614–624. [Google Scholar] [CrossRef]
- Burrowes, K.S.; De Backer, J.; Smallwood, R.; Sterk, P.J.; Gut, I.; Wirix-Speetjens, R.; Siddiqui, S.; Owers-Bradley, J.; Wild, J.; Maier, D.; et al. Multi-Scale Computational Models of the Airways to Unravel the Pathophysiological Mechanisms in Asthma and Chronic Obstructive Pulmonary Disease (AirPROM). Interface Focus 2013, 3, 20120057. [Google Scholar] [CrossRef]
- Bates, J.H.T. Systems Physiology of the Airways in Health and Obstructive Pulmonary Disease. WIREs Syst. Biol. Med. 2016, 8, 423–437. [Google Scholar] [CrossRef]
- Stéphano, J.; Mauroy, B. Wall Shear Stress Distribution in a Compliant Airway Tree. Phys. Fluids 2021, 33, 031907. [Google Scholar] [CrossRef]
- Brunengo, M.; Mitchell, B.R.; Nicolini, A.; Rousselet, B.; Mauroy, B. Optimal Efficiency of High Frequency Chest Wall Oscillations and Links with Resistance and Compliance in a Model of the Lung. Phys. Fluids 2021, 33, 121909. [Google Scholar] [CrossRef]
- Bates, J.H.T. Lung Mechanics; Cambridge University Press: Cambridge, UK, 2009; ISBN 978-0-521-50960-2. [Google Scholar]
- Bossé, Y. Smooth Muscle in Abnormal Airways. Curr. Opin. Physiol. 2021, 21, 1–8. [Google Scholar] [CrossRef]
- Kiliç, L.; Tural Önür, S.; Gorek Dilektasli, A.; Ulubay, G.; Balcı, A. Understanding the Impact of Pulmonary Rehabilitation on Airway Resistance in Patients with Severe COPD: A Single-Center Retrospective Study. Int. J. Chronic Obstr. Pulm. Dis. 2023, 18, 1–10. [Google Scholar] [CrossRef]
- Santus, P.; Radovanovic, D.; Pecchiari, M.; Ferrando, M.; Tursi, F.; Patella, V.; Braido, F. The Relevance of Targeting Treatment to Small Airways in Asthma and COPD. Respir. Care 2020, 65, 1392–1412. [Google Scholar] [CrossRef]
- Ackerman, M.J. The Visible Human Project. Proc. IEEE 1998, 86, 504–511. [Google Scholar] [CrossRef]
- Clinkenbeard, R.E.; Johnson, D.L.; Parthasarathy, R.; Altan, M.C.; Tan, K.-H.; Park, S.-M.; Crawford, R.H. Replication of Human Tracheobronchial Hollow Airway Models Using a Selective Laser Sintering Rapid Prototyping Technique. AIHA J. 2002, 63, 141–150. [Google Scholar] [CrossRef]
- Schmidt, A.; Zidowitz, S.; Kriete, A.; Denhard, T.; Krass, S.; Peitgen, H.-O. A Digital Reference Model of the Human Bronchial Tree. Comput. Med. Imaging Graph. 2004, 28, 203–211. [Google Scholar] [CrossRef]
- Lizal, F.; Elcner, J.; Hopke, P.K.; Jedelsky, J.; Jicha, M. Development of a Realistic Human Airway Model. Proc. Inst. Mech. Eng. Part H J. Eng. Med. 2012, 226, 197–207. [Google Scholar] [CrossRef]
- Mori, K.; Hasegawa, J.; Toriwaki, J.; Anno, H.; Katada, K. Automated Extraction and Visualization of Bronchus from 3D CT Images of Lung. In Proceedings of the First International Conference, CVRMed ‘95, Nice, France, 3–6 April 1995; pp. 542–548. [Google Scholar]
- Lo, P.; Sporring, J.; Pedersen, J.J.H.; de Bruijne, M. Airway Tree Extraction with Locally Optimal Paths. In Proceedings of the Medical Image Computing and Computer-Assisted Intervention—MICCAI 2009, London, UK, 20–24 September 2009; pp. 51–58. [Google Scholar]
- Lo, P.; van Ginneken, B.; Reinhardt, J.M.; Yavarna, T.; de Jong, P.A.; Irving, B.; Fetita, C.; Ortner, M.; Pinho, R.; Sijbers, J.; et al. Extraction of Airways From CT (EXACT’09). IEEE Trans. Med. Imaging 2012, 31, 2093–2107. [Google Scholar] [CrossRef]
- Sonka, M.; Wonkyu Park; Hoffman, E.A. Rule-Based Detection of Intrathoracic Airway Trees. IEEE Trans. Med. Imaging 1996, 15, 314–326. [Google Scholar] [CrossRef]
- Park, W.; Hoffman, E.A.; Sonka, M. Segmentation of Intrathoracic Airway Trees: A Fuzzy Logic Approach. IEEE Trans. Med. Imaging 1998, 17, 489–497. [Google Scholar] [CrossRef]
- Fan, L.; Chen, C.W. Reconstruction of Airway Tree Based on Topology and Morphological Operations. In Proceedings of the Medical Imaging 2000, San Diego, CA, USA, 12–18 February 2000; Chen, C.-T., Clough, A.V., Eds.; pp. 46–57. [Google Scholar]
- Pisupati, C.; Wolff, L.; Zerhouni, E.; Mitzner, W. Segmentation of 3D Pulmonary Trees Using Mathematical Morphology. In Mathematical Morphology and Its Applications to Image and Signal Processing; Springer: Boston, MA, USA, 1996; pp. 409–416. [Google Scholar]
- Bauer, C.; Pock, T.; Bischof, H.; Beichel, R. Airway Tree Reconstruction Based on Tube Detection. In Proceedings of the Second International Workshop on Pulmonary Image Analysis, London, UK, 20 September 2009. [Google Scholar]
- Lo, P.; de Bruijne, M. Voxel Classification Based Airway Tree Segmentation. In Proceedings of the Medical Imaging, San Diego, CA, USA, 16–21 February 2008; Reinhardt, J.M., Pluim, J.P.W., Eds.; p. 69141K. [Google Scholar]
- Lo, P.; Sporring, J.; Ashraf, H.; Pedersen, J.J.H.; de Bruijne, M. Vessel-Guided Airway Tree Segmentation: A Voxel Classification Approach. Med. Image Anal. 2010, 14, 527–538. [Google Scholar] [CrossRef]
- Inoue, T.; Kitamura, Y.; Li, Y.; Ito, W. Robust Airway Extraction Based on Machine Learning and Minimum Spanning Tree. In Proceedings of the SPIE Medical Imaging, Lake Buena Vista, FL, USA, 9–14 February 2013; Novak, C.L., Aylward, S., Eds.; p. 86700L. [Google Scholar]
- Graham, R.L.; Hell, P. On the History of the Minimum Spanning Tree Problem. IEEE Ann. Hist. Comput. 1985, 7, 43–57. [Google Scholar] [CrossRef]
- Charbonnier, J.-P.; van Rikxoort, E.M.; Setio, A.A.A.; Schaefer-Prokop, C.M.; van Ginneken, B.; Ciompi, F. Improving Airway Segmentation in Computed Tomography Using Leak Detection with Convolutional Networks. Med. Image Anal. 2017, 36, 52–60. [Google Scholar] [CrossRef]
- Yun, J.; Park, J.; Yu, D.; Yi, J.; Lee, M.; Park, H.J.; Lee, J.-G.; Seo, J.B.; Kim, N. Improvement of Fully Automated Airway Segmentation on Volumetric Computed Tomographic Images Using a 2.5 Dimensional Convolutional Neural Net. Med. Image Anal. 2019, 51, 13–20. [Google Scholar] [CrossRef]
- Zhao, T.; Yin, Z.; Wang, J.; Gao, D.; Chen, Y.; Mao, Y. Bronchus Segmentation and Classification by Neural Networks and Linear Programming. In Proceedings of the Medical Image Computing and Computer Assisted Intervention—MICCAI 2019, Shenzhen, China, 13–17 October 2019; pp. 230–239. [Google Scholar]
- Qin, Y.; Zheng, H.; Gu, Y.; Huang, X.; Yang, J.; Wang, L.; Yao, F.; Zhu, Y.-M.; Yang, G.-Z. Learning Tubule-Sensitive CNNs for Pulmonary Airway and Artery-Vein Segmentation in CT. IEEE Trans. Med. Imaging 2021, 40, 1603–1617. [Google Scholar] [CrossRef]
- Qin, Y.; Gu, Y.; Zheng, H.; Chen, M.; Yang, J.; Zhu, Y.-M. AirwayNet-SE: A Simple-Yet-Effective Approach to Improve Airway Segmentation Using Context Scale Fusion. In Proceedings of the 2020 IEEE 17th International Symposium on Biomedical Imaging (ISBI), Iowa City, IA, USA, 3–7 April 2020; IEEE: Piscataway, NJ, USA, 2020; pp. 809–813. [Google Scholar]
- Garcia-Uceda, A.; Selvan, R.; Saghir, Z.; Tiddens, H.A.W.M.; de Bruijne, M. Automatic Airway Segmentation from Computed Tomography Using Robust and Efficient 3-D Convolutional Neural Networks. Sci. Rep. 2021, 11, 16001. [Google Scholar] [CrossRef]
- Nadeem, S.A.; Hoffman, E.A.; Sieren, J.C.; Comellas, A.P.; Bhatt, S.P.; Barjaktarevic, I.Z.; Abtin, F.; Saha, P.K. A CT-Based Automated Algorithm for Airway Segmentation Using Freeze-and-Grow Propagation and Deep Learning. IEEE Trans. Med. Imaging 2021, 40, 405–418. [Google Scholar] [CrossRef]
- Qin, Y.; Zheng, H.; Gu, Y.; Huang, X.; Yang, J.; Wang, L.; Zhu, Y.-M. Learning Bronchiole-Sensitive Airway Segmentation CNNs by Feature Recalibration and Attention Distillation. In Proceedings of the Medical Image Computing and Computer Assisted Intervention—MICCAI 2020, Lima, Peru, 4–8 October 2020; pp. 221–231. [Google Scholar]
- Tan, W.; Liu, P.; Li, X.; Xu, S.; Chen, Y.; Yang, J. Segmentation of Lung Airways Based on Deep Learning Methods. IET Image Process. 2022, 16, 1444–1456. [Google Scholar] [CrossRef]
- Pennati, F.; Salito, C.; Baroni, G.; Woods, J.; Aliverti, A. Comparison Between Multivolume CT-Based Surrogates of Regional Ventilation in Healthy Subjects. Acad. Radiol. 2014, 21, 1268–1275. [Google Scholar] [CrossRef]
- Zhang, M.; Wu, Y.; Zhang, H.; Qin, Y.; Zheng, H.; Tang, W.; Arnold, C.; Pei, C.; Yu, P.; Nan, Y.; et al. Multi-Site, Multi-Domain Airway Tree Modeling. Med. Image Anal. 2023, 90, 102957. [Google Scholar] [CrossRef]
- Kuo, W.; de Bruijne, M.; Petersen, J.; Nasserinejad, K.; Ozturk, H.; Chen, Y.; Perez-Rovira, A.; Tiddens, H.A.W.M. Diagnosis of Bronchiectasis and Airway Wall Thickening in Children with Cystic Fibrosis: Objective Airway-Artery Quantification. Eur. Radiol. 2017, 27, 4680–4689. [Google Scholar] [CrossRef]
- Fetita, C.; Brillet, P.-Y.; Brightling, C.; Grenier, P.A. Grading Remodeling Severity in Asthma Based on Airway Wall Thickening Index and Bronchoarterial Ratio Measured with MSCT. In Proceedings of the SPIE Medical Imaging, Orlando, FL, USA, 21–26 February 2015; Webster, R.J., Yaniv, Z.R., Eds.; p. 941515. [Google Scholar]
- Perez-Rovira, A.; Kuo, W.; Petersen, J.; Tiddens, H.A.W.M.; de Bruijne, M. Automatic Airway–Artery Analysis on Lung CT to Quantify Airway Wall Thickening and Bronchiectasis. Med. Phys. 2016, 43, 5736–5744. [Google Scholar] [CrossRef]
- Aliboni, L.; Pennati, F.; Gelmini, A.; Colombo, A.; Ciuni, A.; Milanese, G.; Sverzellati, N.; Magnani, S.; Vespro, V.; Blasi, F.; et al. Detection and Classification of Bronchiectasis Through Convolutional Neural Networks. J. Thorac. Imaging 2022, 37, 100–108. [Google Scholar] [CrossRef] [PubMed]
- Williamson, J.P.; James, A.L.; Phillips, M.J.; Sampson, D.D.; Hillman, D.R.; Eastwood, P.R. Quantifying Tracheobronchial Tree Dimensions: Methods, Limitations and Emerging Techniques. Eur. Respir. J. 2009, 34, 42–55. [Google Scholar] [CrossRef]
- Ivanovska, T.; Buttke, E.; Laqua, R.; Volzke, H.; Beule, A. Automatic Trachea Segmentation and Evaluation from MRI Data Using Intensity Pre-Clustering and Graph Cuts. In Proceedings of the 7th International Symposium on Image and Signal Processing and Analysis (ISPA), Dubrovnik, Croatia, 4–6 September 2011; IEEE: Piscataway, NJ, USA, 2011; pp. 513–518. [Google Scholar]
- Lewis, T.A.; Tzeng, Y.; McKinstry, E.L.; Tooker, A.C.; Hong, K.; Sun, Y.; Mansour, J.; Handler, Z.; Albert, M.S. Quantification of Airway Diameters and 3D Airway Tree Rendering from Dynamic Hyperpolarized 3He Magnetic Resonance Imaging. Magn. Reson. Med. 2005, 53, 474–478. [Google Scholar] [CrossRef]
- Wang, B.; Saha, P.K.; Udupa, J.K.; Ferrante, M.A.; Baumgardner, J.; Roberts, D.A.; Rizi, R.R. 3D Airway Segmentation via Hyperpolarized 3He Gas MRI by Using Scale-Based Fuzzy Connectedness. Comput. Med. Imaging Graph. 2004, 28, 77–86. [Google Scholar] [CrossRef]
- Peterson, E.T.; Dai, J.; Holmes, J.H.; Fain, S.B. Measurement of Lung Airways in Three Dimensions Using Hyperpolarized Helium-3 MRI. Phys. Med. Biol. 2011, 56, 3107–3122. [Google Scholar] [CrossRef][Green Version]
- Voskrebenzev, A.; Vogel-Claussen, J. Proton MRI of the Lung: How to Tame Scarce Protons and Fast Signal Decay. J. Magn. Reson. Imaging 2021, 53, 1344–1357. [Google Scholar] [CrossRef]
- Bates, A.J.; Higano, N.S.; Woods, J.C. Non-Bronchoscopic Assessment of the Airways. In Diagnostic and Interventional Bronchoscopy in Children; Humana: Cham, Switzerland, 2021; pp. 155–169. [Google Scholar]
- Hysinger, E.B.; Bates, A.J.; Higano, N.S.; Benscoter, D.; Fleck, R.J.; Hart, C.K.; Burg, G.; De Alarcon, A.; Kingma, P.S.; Woods, J.C. Ultrashort Echo-Time MRI for the Assessment of Tracheomalacia in Neonates. Chest 2020, 157, 595–602. [Google Scholar] [CrossRef]
- Bates, A.J.; Higano, N.S.; Hysinger, E.B.; Fleck, R.J.; Hahn, A.D.; Fain, S.B.; Kingma, P.S.; Woods, J.C. Quantitative Assessment of Regional Dynamic Airway Collapse in Neonates via Retrospectively Respiratory-Gated 1H Ultrashort Echo Time MRI. J. Magn. Reson. Imaging 2019, 49, 659–667. [Google Scholar] [CrossRef]
- Genkin, D.; Zanette, B.; Grzela, P.; Benkert, T.; Subbarao, P.; Moraes, T.J.; Katz, S.; Ratjen, F.; Santyr, G.; Kirby, M. Semiautomated Segmentation and Analysis of Airway Lumen in Pediatric Patients Using Ultra Short Echo Time MRI. Acad. Radiol. 2024, 31, 648–659. [Google Scholar] [CrossRef]
- Bates, A.J.; Schuh, A.; McConnell, K.; Williams, B.M.; Lanier, J.M.; Willmering, M.M.; Woods, J.C.; Fleck, R.J.; Dumoulin, C.L.; Amin, R.S. A Novel Method to Generate Dynamic Boundary Conditions for Airway CFD by Mapping Upper Airway Movement with Non-rigid Registration of Dynamic and Static MRI. Int. J. Numer. Methods Biomed. Eng. 2018, 34, e3144. [Google Scholar] [CrossRef]
- Jiang, F.; Hirano, T.; Ohgi, J.; Chen, X. A Voxel Image-based Pulmonary Airflow Simulation Method with an Automatic Detection Algorithm for Airway Outlets. Int. J. Numer. Methods Biomed. Eng. 2020, 36, e3305. [Google Scholar] [CrossRef] [PubMed]
- Lauria, M.; Singhrao, K.; Stiehl, B.; Low, D.; Goldin, J.; Barjaktarevic, I.; Santhanam, A. Automatic Triangulated Mesh Generation of Pulmonary Airways from Segmented Lung 3DCTs for Computational Fluid Dynamics. Int. J. Comput. Assist. Radiol. Surg. 2022, 17, 185–197. [Google Scholar] [CrossRef]
- Hegedűs, C.J.; Balásházy, I.; Farkas, Á. Detailed Mathematical Description of the Geometry of Airway Bifurcations. Respir. Physiol. Neurobiol. 2004, 141, 99–114. [Google Scholar] [CrossRef]
- Bacciaglia, A.; Ceruti, A.; Liverani, A. Surface Smoothing for Topological Optimized 3D Models. Struct. Multidiscip. Optim. 2021, 64, 3453–3472. [Google Scholar] [CrossRef]
- Ho, T.T.; Tran, M.T.; Cui, X.; Lin, C.-L.; Baek, S.; Kim, W.J.; Lee, C.H.; Jin, G.Y.; Chae, K.J.; Choi, S. Human-Airway Surface Mesh Smoothing Based on Graph Convolutional Neural Networks. Comput. Methods Programs Biomed. 2024, 246, 108061. [Google Scholar] [CrossRef]
- Gunatilaka, C.C.; Schuh, A.; Higano, N.S.; Woods, J.C.; Bates, A.J. The Effect of Airway Motion and Breathing Phase during Imaging on CFD Simulations of Respiratory Airflow. Comput. Biol. Med. 2020, 127, 104099. [Google Scholar] [CrossRef]
- Li, T.; Wang, J.; Liu, H.; Liu, L. Efficient Mesh Denoising via Robust Normal Filtering and Alternate Vertex Updating. Front. Inf. Technol. Electron. Eng. 2017, 18, 1828–1842. [Google Scholar] [CrossRef]
- Zhao, Y.; Qin, H.; Zeng, X.; Xu, J.; Dong, J. Robust and Effective Mesh Denoising Using L0 Sparse Regularization. Comput.-Aided Des. 2018, 101, 82–97. [Google Scholar] [CrossRef]
- Arvanitis, G.; Lalos, A.S.; Moustakas, K.; Fakotakis, N. Feature Preserving Mesh Denoising Based on Graph Spectral Processing. IEEE Trans. Vis. Comput. Graph. 2019, 25, 1513–1527. [Google Scholar] [CrossRef] [PubMed]
- Li, X.; Li, R.; Zhu, L.; Fu, C.-W.; Heng, P.-A. DNF-Net: A Deep Normal Filtering Network for Mesh Denoising. IEEE Trans. Vis. Comput. Graph. 2021, 27, 4060–4072. [Google Scholar] [CrossRef]
- Shen, Y.; Fu, H.; Du, Z.; Chen, X.; Burnaev, E.; Zorin, D.; Zhou, K.; Zheng, Y. GCN-Denoiser: Mesh Denoising with Graph Convolutional Networks. ACM Trans. Graph. 2022, 41, 1–14. [Google Scholar] [CrossRef]
- Nakamura, M.; Wada, S.; Miki, T.; Shimada, Y.; Suda, Y.; Tamura, G. Automated Segmentation and Morphometric Analysis of the Human Airway Tree from Multidetector CT Images. J. Physiol. Sci. 2008, 58, 493–498. [Google Scholar] [CrossRef] [PubMed]
- Tawhai, M.H.; Lin, C. Image-based Modeling of Lung Structure and Function. J. Magn. Reson. Imaging 2010, 32, 1421–1431. [Google Scholar] [CrossRef] [PubMed]
- Walters, D.K.; Burgreen, G.W.; Lavallee, D.M.; Thompson, D.S.; Hester, R.L. Efficient, Physiologically Realistic Lung Airflow Simulations. IEEE Trans. Biomed. Eng. 2011, 58, 3016–3019. [Google Scholar] [CrossRef] [PubMed]
- Nowak, N.; Kakade, P.P.; Annapragada, A.V. Computational Fluid Dynamics Simulation of Airflow and Aerosol Deposition in Human Lungs. Ann. Biomed. Eng. 2003, 31, 374–390. [Google Scholar] [CrossRef] [PubMed]
- Lin, C.-L.; Tawhai, M.H.; McLennan, G.; Hoffman, E.A. Characteristics of the Turbulent Laryngeal Jet and Its Effect on Airflow in the Human Intra-Thoracic Airways. Respir. Physiol. Neurobiol. 2007, 157, 295–309. [Google Scholar] [CrossRef]
- Pieper, S.; Halle, M.; Kikinis, R. 3D Slicer. In Proceedings of the 2004 2nd IEEE International Symposium on Biomedical Imaging: Macro to Nano (IEEE Cat No. 04EX821), Arlington, VA, USA, 18 April 2004; IEEE: Piscataway, NJ, USA, 2004; pp. 632–635. [Google Scholar]
- Cignoni, P.; Callieri, M.; Corsini, M.; Dellepiane, M.; Ganovelli, F.; Ranzuglia, G. Meshlab: An Open-Source Mesh Processing Tool. In Proceedings of the Eurographics Italian Chapter Conference, Salerno, Italy, 2–4 July 2008; pp. 129–136. [Google Scholar]
- Ortiz-Puerta, D.; Cox, A.; Hurtado, D.E. Snakes Isogeometric Analysis (SIGA): Towards Accurate and Flexible Geometrical Models of the Respiratory Airways. Comput. Methods Appl. Mech. Eng. 2022, 394, 114841. [Google Scholar] [CrossRef]
- Lin, C.; Tawhai, M.H.; Mclennan, G.; Hoffman, E.A. Computational Fluid Dynamics. IEEE Eng. Med. Biol. Mag. 2009, 28, 25–33. [Google Scholar] [CrossRef]
- Agujetas, R.; Barrio-Perotti, R.; Ferrera, C.; Pandal-Blanco, A.; Walters, D.K.; Fernández-Tena, A. Construction of a Hybrid Lung Model by Combining a Real Geometry of the Upper Airways and an Idealized Geometry of the Lower Airways. Comput. Methods Programs Biomed. 2020, 196, 105613. [Google Scholar] [CrossRef]
- Yoon, S.; Tam, T.M.; Rajaraman, P.K.; Lin, C.-L.; Tawhai, M.; Hoffman, E.A.; Choi, S. An Integrated 1D Breathing Lung Simulation with Relative Hysteresis of Airway Structure and Regional Pressure for Healthy and Asthmatic Human Lungs. J. Appl. Physiol. 2020, 129, 732–747. [Google Scholar] [CrossRef]
- Kim, Y.H.; Tong, Z.B.; Chan, H.K.; Yang, R.Y. CFD Modelling of Air and Particle Flows in Different Airway Models. J. Aerosol Sci. 2019, 134, 14–28. [Google Scholar] [CrossRef]
- Kitaoka, H.; Koc, S.; Tetsumoto, S.; Koumo, S.; Hirata, H.; Kijima, T. 4D Model Generator of the Human Lung, “Lung4Cer”. In Proceedings of the 2013 35th Annual International Conference of the IEEE Engineering in Medicine and Biology Society (EMBC), Osaka, Japan, 3–7 July 2013; IEEE: Piscataway, NJ, USA, 2013; pp. 453–456. [Google Scholar]
- Espinosa-Moreno, A.S.; Duque-Daza, C.A.; Garzón-Alvarado, D.A. Influence of Morphological Parameters on the Flow Development within Human Airways. Fluids 2023, 8, 78. [Google Scholar] [CrossRef]
- Poorbahrami, K.; Oakes, J.M. Regional Flow and Deposition Variability in Adult Female Lungs: A Numerical Simulation Pilot Study. Clin. Biomech. 2019, 66, 40–49. [Google Scholar] [CrossRef] [PubMed]
- Poorbahrami, K.; Vignon-Clementel, I.E.; Shadden, S.C.; Oakes, J.M. A Whole Lung in Silico Model to Estimate Age Dependent Particle Dosimetry. Sci. Rep. 2021, 11, 11180. [Google Scholar] [CrossRef] [PubMed]
- Deng, Q.; Ou, C.; Chen, J.; Xiang, Y. Particle Deposition in Tracheobronchial Airways of an Infant, Child and Adult. Sci. Total Environ. 2018, 612, 339–346. [Google Scholar] [CrossRef]
- Rahman, M.M.; Zhao, M.; Islam, M.S.; Dong, K.; Saha, S.C. Aging Effects on Airflow Distribution and Micron-Particle Transport and Deposition in a Human Lung Using CFD-DPM Approach. Adv. Powder Technol. 2021, 32, 3506–3516. [Google Scholar] [CrossRef]
- Tgavalekos, N.T.; Tawhai, M.; Harris, R.S.; Musch, G.; Vidal-Melo, M.; Venegas, J.G.; Lutchen, K.R. Identifying Airways Responsible for Heterogeneous Ventilation and Mechanical Dysfunction in Asthma: An Image Functional Modeling Approach. J. Appl. Physiol. 2005, 99, 2388–2397. [Google Scholar] [CrossRef]
- Montaudon, M.; Berger, P.; Cangini-Sacher, A.; De Dietrich, G.; Tunon-De-Lara, J.M.; Marthan, R.; Laurent, F. Bronchial Measurement with Three-Dimensional Quantitative Thin-Section CT in Patients with Cystic Fibrosis. Radiology 2007, 242, 573–581. [Google Scholar] [CrossRef]
- Miyawaki, S.; Choi, S.; Hoffman, E.A.; Lin, C.-L. A 4DCT Imaging-Based Breathing Lung Model with Relative Hysteresis. J. Comput. Phys. 2016, 326, 76–90. [Google Scholar] [CrossRef]
- Yin, Y.; Hoffman, E.A.; Lin, C. Mass Preserving Nonrigid Registration of CT Lung Images Using Cubic B-spline. Med. Phys. 2009, 36, 4213–4222. [Google Scholar] [CrossRef]
- Choi, J.; LeBlanc, L.J.; Choi, S.; Haghighi, B.; Hoffman, E.A.; O’Shaughnessy, P.; Wenzel, S.E.; Castro, M.; Fain, S.; Jarjour, N.; et al. Differences in Particle Deposition Between Members of Imaging-Based Asthma Clusters. J. Aerosol Med. Pulm. Drug Deliv. 2019, 32, 213–223. [Google Scholar] [CrossRef] [PubMed]
- Poorbahrami, K.; Mummy, D.G.; Fain, S.B.; Oakes, J.M. Patient-Specific Modeling of Aerosol Delivery in Healthy and Asthmatic Adults. J. Appl. Physiol. 2019, 127, 1720–1732. [Google Scholar] [CrossRef] [PubMed]
- De Backer, J.W.; Vos, W.G.; Vinchurkar, S.C.; Claes, R.; Drollmann, A.; Wulfrank, D.; Parizel, P.M.; Germonpré, P.; De Backer, W. Validation of Computational Fluid Dynamics in CT-Based Airway Models with SPECT/CT. Radiology 2010, 257, 854–862. [Google Scholar] [CrossRef] [PubMed]
- Vinchurkar, S.; De Backer, L.; Vos, W.; Van Holsbeke, C.; De Backer, J.; De Backer, W. A Case Series on Lung Deposition Analysis of Inhaled Medication Using Functional Imaging Based Computational Fluid Dynamics in Asthmatic Patients: Effect of Upper Airway Morphology and Comparison with in Vivo Data. Inhal. Toxicol. 2012, 24, 81–88. [Google Scholar] [CrossRef]
- Qi, S.; Li, Z.; Yue, Y.; Van Triest, H.J.W.; Kang, Y.; Qian, W. Simulation Analysis of Deformation and Stress of Tracheal and Main Bronchial Wall for Subjects with Left Pulmonary Artery Sling. J. Mech. Med. Biol. 2015, 15, 1540053. [Google Scholar] [CrossRef]
- Qi, S.; Zhang, B.; Yue, Y.; Shen, J.; Teng, Y.; Qian, W.; Wu, J. Airflow in Tracheobronchial Tree of Subjects with Tracheal Bronchus Simulated Using CT Image Based Models and CFD Method. J. Med. Syst. 2018, 42, 65. [Google Scholar] [CrossRef]
- Sittitavornwong, S.; Waite, P.D.; Shih, A.M.; Cheng, G.C.; Koomullil, R.; Ito, Y.; Cure, J.K.; Harding, S.M.; Litaker, M. Computational Fluid Dynamic Analysis of the Posterior Airway Space After Maxillomandibular Advancement for Obstructive Sleep Apnea Syndrome. J. Oral Maxillofac. Surg. 2013, 71, 1397–1405. [Google Scholar] [CrossRef]
- Chang, K.K.; Kim, K.B.; McQuilling, M.W.; Movahed, R. Fluid Structure Interaction Simulations of the Upper Airway in Obstructive Sleep Apnea Patients before and after Maxillomandibular Advancement Surgery. Am. J. Orthod. Dentofac. Orthop. 2018, 153, 895–904. [Google Scholar] [CrossRef]
- Zhao, M.; Barber, T.; Cistulli, P.; Sutherland, K.; Rosengarten, G. Computational Fluid Dynamics for the Assessment of Upper Airway Response to Oral Appliance Treatment in Obstructive Sleep Apnea. J. Biomech. 2013, 46, 142–150. [Google Scholar] [CrossRef]
- Hamilton, N.J.; Kanani, M.; Roebuck, D.J.; Hewitt, R.J.; Cetto, R.; Culme-Seymour, E.J.; Toll, E.; Bates, A.J.; Comerford, A.P.; McLaren, C.A.; et al. Tissue-Engineered Tracheal Replacement in a Child: A 4-Year Follow-Up Study. Am. J. Transplant. 2015, 15, 2750–2757. [Google Scholar] [CrossRef]
- Gu, Q.; Qi, S.; Yue, Y.; Shen, J.; Zhang, B.; Sun, W.; Qian, W.; Islam, M.S.; Saha, S.C.; Wu, J. Structural and Functional Alterations of the Tracheobronchial Tree after Left Upper Pulmonary Lobectomy for Lung Cancer. BioMed. Eng. OnLine 2019, 18, 105. [Google Scholar] [CrossRef] [PubMed]
- Aliboni, L.; Tullio, M.; Pennati, F.; Lomauro, A.; Carrinola, R.; Carrafiello, G.; Nosotti, M.; Palleschi, A.; Aliverti, A. Functional Analysis of the Airways after Pulmonary Lobectomy through Computational Fluid Dynamics. Sci. Rep. 2022, 12, 3321. [Google Scholar] [CrossRef] [PubMed]
- Aliboni, L.; Pennati, F.; Sarti, M.; Iorio, V.; Carrinola, R.; Palleschi, A.; Aliverti, A. Computational Fluid Dynamics (CFD) Analysis of Subject-Specific Bronchial Tree Models in Lung Cancer Patients. In Proceedings of the 2021 43rd Annual International Conference of the IEEE Engineering in Medicine & Biology Society (EMBC), Virtual, 1–5 November 2021; IEEE: Piscataway, NJ, USA, 2021; pp. 4281–4284. [Google Scholar]
- Faizal, W.M.; Ghazali, N.N.N.; Badruddin, I.A.; Zainon, M.Z.; Yazid, A.A.; Ali, M.A.B.; Khor, C.Y.; Ibrahim, N.B.; Razi, R.M. A Review of Fluid-Structure Interaction Simulation for Patients with Sleep Related Breathing Disorders with Obstructive Sleep. Comput. Methods Programs Biomed. 2019, 180, 105036. [Google Scholar] [CrossRef]
- Faizal, W.M.; Ghazali, N.N.N.; Khor, C.Y.; Badruddin, I.A.; Zainon, M.Z.; Yazid, A.A.; Ibrahim, N.B.; Razi, R.M. Computational Fluid Dynamics Modelling of Human Upper Airway: A Review. Comput. Methods Programs Biomed. 2020, 196, 105627. [Google Scholar] [CrossRef] [PubMed]
- Taherian, S.; Rahai, H.; Lopez, S.; Shin, J.; Jafari, B. Evaluation of Human Obstructive Sleep Apnea Using Computational Fluid Dynamics. Commun. Biol. 2019, 2, 423. [Google Scholar] [CrossRef] [PubMed]
- Na, J.S.; Jung, H.-D.; Cho, H.-J.; Choi, Y.J.; Lee, J.S. Computational Analysis of Airflow Dynamics for Predicting Collapsible Sites in the Upper Airways: A Preliminary Study. J. Appl. Physiol. 2019, 126, 330–340. [Google Scholar] [CrossRef]
- Suzuki, M.; Tanuma, T. The Effect of Nasal and Oral Breathing on Airway Collapsibility in Patients with Obstructive Sleep Apnea: Computational Fluid Dynamics Analyses. PLoS ONE 2020, 15, e0231262. [Google Scholar] [CrossRef]
- Song, B.; Li, Y.; Sun, J.; Qi, Y.; Li, P.; Li, Y.; Gu, Z. Computational Fluid Dynamics Simulation of Changes in the Morphology and Airflow Dynamics of the Upper Airways in OSAHS Patients after Treatment with Oral Appliances. PLoS ONE 2019, 14, e0219642. [Google Scholar] [CrossRef]
- Hsu, W.; Kang, K.; Chen, Y.; Weng, W.; Lee, P.; Hsiao, H. Computational Fluid Dynamics Study in Children with {Citation}Sleep Apnea. Clin. Otolaryngol. 2024, 49, 109–116. [Google Scholar] [CrossRef]
- Cai, H.; Xu, C.; Xue, H.; Guo, Y.; Su, L.; Gao, X. Upper Airway Flow Characteristics of Childhood Obstructive Sleep Apnea-Hypopnea Syndrome. Sci. Rep. 2022, 12, 7386. [Google Scholar] [CrossRef]
- Rana, M.; August, J.; Levi, J.; Parsi, G.; Motro, M.; DeBassio, W. Alternative Approaches to Adenotonsillectomy and Continuous Positive Airway Pressure (CPAP) for the Management of Pediatric Obstructive Sleep Apnea (OSA): A Review. Sleep Disord. 2020, 2020, 7987208. [Google Scholar] [CrossRef]
- Suri, J.C.; Sen, M.K.; Venkatachalam, V.P.; Bhool, S.; Sharma, R.; Elias, M.; Adhikari, T. Outcome of Adenotonsillectomy for Children with Sleep Apnea. Sleep Med. 2015, 16, 1181–1186. [Google Scholar] [CrossRef] [PubMed]
- Yanagisawa-Minami, A.; Sugiyama, T.; Iwasaki, T.; Yamasaki, Y. Primary Site Identification in Children with Obstructive Sleep Apnea by Computational Fluid Dynamics Analysis of the Upper Airway. J. Clin. Sleep Med. 2020, 16, 431–439. [Google Scholar] [CrossRef]
- Luo, H.; Sin, S.; McDonough, J.M.; Isasi, C.R.; Arens, R.; Wootton, D.M. Computational Fluid Dynamics Endpoints for Assessment of Adenotonsillectomy Outcome in Obese Children with Obstructive Sleep Apnea Syndrome. J. Biomech. 2014, 47, 2498–2503. [Google Scholar] [CrossRef] [PubMed][Green Version]
- Hariprasad, D.S.; Sul, B.; Liu, C.; Kiger, K.T.; Altes, T.; Ruppert, K.; Reifman, J.; Wallqvist, A. Obstructions in the Lower Airways Lead to Altered Airflow Patterns in the Central Airway. Respir. Physiol. Neurobiol. 2020, 272, 103311. [Google Scholar] [CrossRef] [PubMed]
- Qiu, Y.; Jiang, Z.; Sun, H.; Xia, Q.; Liu, X.; Lei, J.; Li, K. Computational Fluid Dynamics Can Detect Changes in Airway Resistance for Patients after COVID-19 Infection. J. Biomech. 2023, 157, 111713. [Google Scholar] [CrossRef] [PubMed]
- Shachar-Berman, L.; Bhardwaj, S.; Ostrovski, Y.; Das, P.; Koullapis, P.; Kassinos, S.; Sznitman, J. In Silico Optimization of Fiber-Shaped Aerosols in Inhalation Therapy for Augmented Targeting and Deposition across the Respiratory Tract. Pharmaceutics 2020, 12, 230. [Google Scholar] [CrossRef]
- Tiwari, A.; Jain, A.; Paul, A.R.; Saha, S.C. Computational Evaluation of Drug Delivery in Human Respiratory Tract under Realistic Inhalation. Phys. Fluids 2021, 33, 083311. [Google Scholar] [CrossRef]
- Farkas, Á.; Lizal, F.; Jedelsky, J.; Elcner, J.; Horváth, A.; Jicha, M. Simulation of Airway Deposition of an Aerosol Drug in COPD Patients. Pharmaceutics 2019, 11, 153. [Google Scholar] [CrossRef]
- Kadota, K.; Inoue, N.; Matsunaga, Y.; Takemiya, T.; Kubo, K.; Imano, H.; Uchiyama, H.; Tozuka, Y. Numerical Simulations of Particle Behaviour in a Realistic Human Airway Model with Varying Inhalation Patterns. J. Pharm. Pharmacol. 2020, 72, 17–28. [Google Scholar] [CrossRef]
- Ciloglu, D.; Karaman, A. A Numerical Simulation of the Airflow and Aerosol Particle Deposition in a Realistic Airway Model of a Healthy Adult. J. Pharm. Sci. 2022, 111, 3130–3140. [Google Scholar] [CrossRef]
- Longest, P.W.; Bass, K.; Dutta, R.; Rani, V.; Thomas, M.L.; El-Achwah, A.; Hindle, M. Use of Computational Fluid Dynamics Deposition Modeling in Respiratory Drug Delivery. Expert Opin. Drug Deliv. 2019, 16, 7–26. [Google Scholar] [CrossRef] [PubMed]
- Chen, W.-H.; Chang, C.-M.; Mutuku, J.K.; Lam, S.S.; Lee, W.-J. Aerosol Deposition and Airflow Dynamics in Healthy and Asthmatic Human Airways during Inhalation. J. Hazard. Mater. 2021, 416, 125856. [Google Scholar] [CrossRef] [PubMed]
- Walenga, R.L.; Longest, P.W. Current Inhalers Deliver Very Small Doses to the Lower Tracheobronchial Airways: Assessment of Healthy and Constricted Lungs. J. Pharm. Sci. 2016, 105, 147–159. [Google Scholar] [CrossRef]
- Bos, A.C.; van Holsbeke, C.; de Backer, J.W.; van Westreenen, M.; Janssens, H.M.; Vos, W.G.; Tiddens, H.A.W.M. Patient-Specific Modeling of Regional Antibiotic Concentration Levels in Airways of Patients with Cystic Fibrosis: Are We Dosing High Enough? PLoS ONE 2015, 10, e0118454. [Google Scholar] [CrossRef] [PubMed]
- Wang, Y.; Jin, Z.; Cui, Y.; Dong, R.; Li, L.; Lizal, F.; Hriberšek, M.; Ravnik, J.; Yang, M.; Liu, Y. An Individualised 3D Computational Flow and Particle Model to Predict the Deposition of Inhaled Medicines—A Case Study Using a Nebuliser. Comput. Methods Programs Biomed. 2024, 251, 108203. [Google Scholar] [CrossRef] [PubMed]
- Wu, C.; Yan, W.; Chen, R.; Liu, Y.; Li, G. Numerical Study on Targeted Delivery of Magnetic Drug Particles in Realistic Human Lung. Powder Technol. 2022, 397, 116984. [Google Scholar] [CrossRef]
- Paul, A.R.; Khan, F.; Jain, A.; Saha, S.C. Deposition of Smoke Particles in Human Airways with Realistic Waveform. Atmosphere 2021, 12, 912. [Google Scholar] [CrossRef]
- Paul, A.R.; Jain, A.; Saha, S.C. Exposure Assessment of Air Pollution in Lungs. Atmosphere 2022, 13, 1767. [Google Scholar] [CrossRef]
- Zhang, W.; Xiang, Y.; Lu, C.; Ou, C.; Deng, Q. Numerical Modeling of Particle Deposition in the Conducting Airways of Asthmatic Children. Med. Eng. Phys. 2020, 76, 40–46. [Google Scholar] [CrossRef]
- Rahman, M.; Zhao, M.; Islam, M.S.; Dong, K.; Saha, S.C. Numerical Study of Nano and Micro Pollutant Particle Transport and Deposition in Realistic Human Lung Airways. Powder Technol. 2022, 402, 117364. [Google Scholar] [CrossRef]
- Dong, J.; Tian, L.; Ahmadi, G. Numerical Assessment of Respiratory Airway Exposure Risks to Diesel Exhaust Particles. Exp. Comput. Multiph. Flow 2019, 1, 51–59. [Google Scholar] [CrossRef]
- Peng, S.; Chen, Q.; Liu, E. The Role of Computational Fluid Dynamics Tools on Investigation of Pathogen Transmission: Prevention and Control. Sci. Total Environ. 2020, 746, 142090. [Google Scholar] [CrossRef]
- Mohamadi, F.; Fazeli, A. A Review on Applications of CFD Modeling in COVID-19 Pandemic. Arch. Comput. Methods Eng. 2022, 29, 3567–3586. [Google Scholar] [CrossRef] [PubMed]
- Carotenuto, C.; Scurani, L.; Fontanili, L.; Montorsi, L.; Milani, M. Computational Fluid Dynamics Study of Particle Deposition on Human Lung Dynamic: A Comparison Between the Healthy and Fibrotic Lung. J. Eng. Sci. Med. Diagn. Ther. 2023, 6, 021009. [Google Scholar] [CrossRef]
- Li, H.; Li, X.; Feng, J. Numerical Study on Normal Lung Sounds in Bronchial Airways under Different Breathing Intensities. Comput. Methods Programs Biomed. Update 2024, 5, 100154. [Google Scholar] [CrossRef]
- Tanprasert, S.; Kampeewichean, C.; Shiratori, S.; Piemjaiswang, R.; Chalermsinsuwan, B. Non-Spherical Drug Particle Deposition in Human Airway Using Computational Fluid Dynamics and Discrete Element Method. Int. J. Pharm. 2023, 639, 122979. [Google Scholar] [CrossRef] [PubMed]
- Winkler, T.; Frey, U. Airway Remodeling: Shifting the Trigger Point for Exacerbations in Asthma. J. Allergy Clin. Immunol. 2021, 148, 710–712. [Google Scholar] [CrossRef]
- Winkler, T. Mechanisms of Airway Remodeling Converge at the Critical Point of Bronchoconstriction in Asthma. Ann. Transl. Med. 2022, 10, 1188. [Google Scholar] [CrossRef]


Disclaimer/Publisher’s Note: The statements, opinions and data contained in all publications are solely those of the individual author(s) and contributor(s) and not of MDPI and/or the editor(s). MDPI and/or the editor(s) disclaim responsibility for any injury to people or property resulting from any ideas, methods, instructions or products referred to in the content. |
© 2024 by the authors. Licensee MDPI, Basel, Switzerland. This article is an open access article distributed under the terms and conditions of the Creative Commons Attribution (CC BY) license (https://creativecommons.org/licenses/by/4.0/).
Share and Cite
Pennati, F.; Aliboni, L.; Aliverti, A. Modeling Realistic Geometries in Human Intrathoracic Airways. Diagnostics 2024, 14, 1979. https://doi.org/10.3390/diagnostics14171979
Pennati F, Aliboni L, Aliverti A. Modeling Realistic Geometries in Human Intrathoracic Airways. Diagnostics. 2024; 14(17):1979. https://doi.org/10.3390/diagnostics14171979
Chicago/Turabian StylePennati, Francesca, Lorenzo Aliboni, and Andrea Aliverti. 2024. "Modeling Realistic Geometries in Human Intrathoracic Airways" Diagnostics 14, no. 17: 1979. https://doi.org/10.3390/diagnostics14171979
APA StylePennati, F., Aliboni, L., & Aliverti, A. (2024). Modeling Realistic Geometries in Human Intrathoracic Airways. Diagnostics, 14(17), 1979. https://doi.org/10.3390/diagnostics14171979

