Comparative Performance of 68Ga-PSMA-11 PET/CT and Conventional Imaging in the Primary Staging of High-Risk Prostate Cancer Patients Who Are Candidates for Radical Prostatectomy
Abstract
1. Introduction
2. Materials and Methods
2.1. Study Design
2.2. Procedures and Image Interpretation
2.3. Statistical Analysis
3. Results
3.1. Study Population
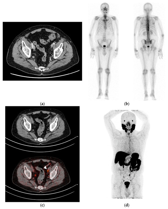
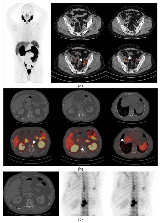
3.2. PSMA-PET/TC Findings
3.3. Comparative Performance of PSMA-PET/CT and CT
3.4. Comparative Performance of Bone Scintigraphy and PSMA-PET/CT
3.5. Comparative Performance of PSMA-PET/CT and Conventional Imaging
3.6. PSMA-PET/CT Accuracy in Pelvic Lymph Node Staging
3.7. Biochemical Response after Radical Prostatectomy
4. Discussion
Limitations
5. Conclusions
Author Contributions
Funding
Institutional Review Board Statement
Informed Consent Statement
Data Availability Statement
Conflicts of Interest
References
- Afshar-Oromieh, A.; Holland-Letz, T.; Giesel, F.L.; Kratochwil, C.; Mier, W.; Haufe, S.; Debus, N.; Eder, M.; Eisenhut, M.; Schäfer, M.; et al. Diagnostic Performance of 68Ga-PSMA-11 (HBED-CC) PET/CT in Patients with Recurrent Prostate Cancer: Evaluation in 1007 Patients. Eur. J. Nucl. Med. Mol Imaging 2017, 44, 1258–1268. [Google Scholar] [CrossRef] [PubMed]
- Fendler, W.P.; Calais, J.; Eiber, M.; Flavell, R.R.; Mishoe, A.; Feng, F.Y.; Nguyen, H.G.; Reiter, R.E.; Rettig, M.B.; Okamoto, S.; et al. Assessment of 68Ga-PSMA-11 PET Accuracy in Localizing Recurrent Prostate Cancer: A Prospective Single-Arm Clinical Trial. JAMA Oncol. 2019, 5, 856–863. [Google Scholar] [CrossRef]
- Pienta, K.J.; Gorin, M.A.; Rowe, S.P.; Carroll, P.R.; Pouliot, F.; Probst, S.; Saperstein, L.; Preston, M.A.; Alva, A.S.; Patnaik, A.; et al. A Phase 2/3 Prospective Multicenter Study of the Diagnostic Accuracy of Prostate Specific Membrane Antigen PET/CT with 18F-DCFPyL in Prostate Cancer Patients (OSPREY). J. Urol. 2021, 206, 52–61. [Google Scholar] [CrossRef]
- Rovera, G.; Grimaldi, S.; Dall’Armellina, S.; Passera, R.; Oderda, M.; Iorio, G.C.; Guarneri, A.; Gontero, P.; Ricardi, U.; Deandreis, D. Predictors of Bone Metastases at 68Ga-PSMA-11 PET/CT in Hormone-Sensitive Prostate Cancer (HSPC) Patients with Early Biochemical Recurrence or Persistence. Diagnostics 2022, 12, 1309. [Google Scholar] [CrossRef] [PubMed]
- Ceci, F.; Rovera, G.; Iorio, G.C.; Guarneri, A.; Chiofalo, V.; Passera, R.; Oderda, M.; Dall’Armellina, S.; Liberini, V.; Grimaldi, S.; et al. Event-Free Survival after 68Ga-PSMA-11 PET/CT in Recurrent Hormone-Sensitive Prostate Cancer (HSPC) Patients Eligible for Salvage Therapy. Eur. J. Nucl. Med. Mol. Imaging 2022, 49, 3257–3268. [Google Scholar] [CrossRef] [PubMed]
- Mottet, N.; Cornford, P.; van den Bergh, R.C.N.; Briers, E.; De Santis, M.; Gillessen, S.; Grummet, J.; Henry, A.M.; van der Kwast, T.H.; Mason, M.D.; et al. European Association of Urology Guidelines. In EAU Annual Congress, 2023rd ed.; European Association of Urology: Arnhem, The Netherlands, 2023. [Google Scholar]
- Hofman, M.S.; Lawrentschuk, N.; Francis, R.J.; Tang, C.; Vela, I.; Thomas, P.; Rutherford, N.; Martin, J.M.; Frydenberg, M.; Shakher, R.; et al. Prostate-Specific Membrane Antigen PET-CT in Patients with High-Risk Prostate Cancer before Curative-Intent Surgery or Radiotherapy (proPSMA): A Prospective, Randomised, Multicentre Study. Lancet 2020, 395, 1208–1216. [Google Scholar] [CrossRef]
- Hofman, M.S. ProPSMA: A Callout to the Nuclear Medicine Community to Change Practices with Prospective, High-Quality Data. J. Nucl. Med. 2020, 61, 676–677. [Google Scholar] [CrossRef]
- Deandreis, D.; Guarneri, A.; Ceci, F.; Lillaz, B.; Bartoncini, S.; Oderda, M.; Nicolotti, D.G.; Pilati, E.; Passera, R.; Zitella, A.; et al. 68Ga-PSMA-11 PET/CT in Recurrent Hormone-Sensitive Prostate Cancer (HSPC): A Prospective Single-Centre Study in Patients Eligible for Salvage Therapy. Eur. J. Nucl. Med. Mol. Imaging 2020, 47, 2804–2815. [Google Scholar] [CrossRef]
- Ceci, F.; Oprea-Lager, D.E.; Emmett, L.; Adam, J.A.; Bomanji, J.; Czernin, J.; Eiber, M.; Haberkorn, U.; Hofman, M.S.; Hope, T.A.; et al. E-PSMA: The EANM Standardized Reporting Guidelines v1.0 for PSMA-PET. Eur. J. Nucl. Med. Mol Imaging 2021, 48, 1626–1638. [Google Scholar] [CrossRef]
- Fendler, W.P.; Eiber, M.; Beheshti, M.; Bomanji, J.; Calais, J.; Ceci, F.; Cho, S.Y.; Fanti, S.; Giesel, F.L.; Goffin, K.; et al. PSMA PET/CT: Joint EANM Procedure Guideline/SNMMI Procedure Standard for Prostate Cancer Imaging 2.0. Eur. J. Nucl. Med. Mol. Imaging 2023, 50, 1466–1486. [Google Scholar] [CrossRef]
- Rovera, G.; Fariselli, P.; Deandreis, D. Development of a REDCap-Based Workflow for High-Volume Relational Data Analysis on Real-Time Data in a Medical Department Using Open Source Software. Comput. Methods Programs Biomed. 2022, 226, 107111. [Google Scholar] [CrossRef]
- Seifert, R.; Emmett, L.; Rowe, S.P.; Herrmann, K.; Hadaschik, B.; Calais, J.; Giesel, F.L.; Reiter, R.; Maurer, T.; Heck, M.; et al. Second Version of the Prostate Cancer Molecular Imaging Standardized Evaluation Framework Including Response Evaluation for Clinical Trials (PROMISE V2). Eur. Urol. 2023, 83, 405–412. [Google Scholar] [CrossRef]
- Zacho, H.D.; Nalliah, S.; Petersen, A.; Petersen, L.J. The Clinical Consequences of Routine 68Ga-PSMA-11 PET/CT in Patients with Newly Diagnosed Prostate Cancer, ISUP Grade 5 and No Metastases Based on Standard Imaging—Preliminary Results. Scand. J. Urol. 2022, 56, 353–358. [Google Scholar] [CrossRef]
- Roach, P.J.; Francis, R.; Emmett, L.; Hsiao, E.; Kneebone, A.; Hruby, G.; Eade, T.; Nguyen, Q.A.; Thompson, B.D.; Cusick, T.; et al. The Impact of 68Ga-PSMA PET/CT on Management Intent in Prostate Cancer: Results of an Australian Prospective Multicenter Study. J. Nucl. Med. 2018, 59, 82–88. [Google Scholar] [CrossRef]
- Luining, W.I.; Boevé, L.M.S.; Hagens, M.J.; Meijer, D.; de Weijer, T.; Ettema, R.H.; Knol, R.J.J.; Roeleveld, T.A.; Srbljin, S.; Weltings, S.; et al. A Comparison of Globally Applied Prognostic Risk Groups and the Prevalence of Metastatic Disease on Prostate-Specific Membrane Antigen Positron Emission Tomography in Patients with Newly Diagnosed Prostate Cancer. Eur. Urol. Oncol. 2024. [Google Scholar] [CrossRef]
- Chow, K.M.; So, W.Z.; Lee, H.J.; Lee, A.; Yap, D.W.T.; Takwoingi, Y.; Tay, K.J.; Tuan, J.; Thang, S.P.; Lam, W.; et al. Head-to-Head Comparison of the Diagnostic Accuracy of Prostate-Specific Membrane Antigen Positron Emission Tomography and Conventional Imaging Modalities for Initial Staging of Intermediate- to High-Risk Prostate Cancer: A Systematic Review and Meta-Analysis. Eur. Urol. 2023, 84, 36–48. [Google Scholar] [CrossRef]
- Malaspina, S.; Anttinen, M.; Taimen, P.; Jambor, I.; Sandell, M.; Rinta-Kiikka, I.; Kajander, S.; Schildt, J.; Saukko, E.; Noponen, T.; et al. Prospective Comparison of 18F-PSMA-1007 PET/CT, Whole-Body MRI and CT in Primary Nodal Staging of Unfavourable Intermediate- and High-Risk Prostate Cancer. Eur. J. Nucl. Med. Mol. Imaging 2021, 48, 2951–2959. [Google Scholar] [CrossRef]
- Shanmugasundaram, R.; Saad, J.; Heyworth, A.; Wong, V.; Pelecanos, A.; Arianayagam, M.; Canagasingham, B.; Ferguson, R.; Goolam, A.S.; Khadra, M.; et al. Intra-Individual Comparison of Prostate-Specific Membrane Antigen Positron Emission Tomography/Computed Tomography versus Bone Scan in Detecting Skeletal Metastasis at Prostate Cancer Diagnosis. BJU Int. 2024, 133 (Suppl. S3), 25–32. [Google Scholar] [CrossRef]
- Zhao, G.; Ji, B. Head-To-Head Comparison of 68Ga-PSMA-11 PET/CT and 99mTc-MDP Bone Scintigraphy for the Detection of Bone Metastases in Patients with Prostate Cancer: A Meta-Analysis. AJR Am. J. Roentgenol. 2022, 219, 386–395. [Google Scholar] [CrossRef]
- Kuten, J.; Mabjeesh, N.J.; Lerman, H.; Levine, C.; Barnes, S.; Even-Sapir, E. Ga-PSMA PET/CT Staging of Newly Diagnosed Intermediate- and High-Risk Prostate Cancer. Isr. Med. Assoc. J. 2019, 21, 100–104. [Google Scholar]
- Wong, H.S.; Leung, J.; Bartholomeusz, D.; Sutherland, P.; Le, H.; Nottage, M.; Iankov, I.; Chang, J.H. Comparative Study between 68 Ga-Prostate-Specific Membrane Antigen Positron Emission Tomography and Conventional Imaging in the Initial Staging of Prostate Cancer. J. Med. Imaging Radiat. Oncol. 2018, 62, 816–822. [Google Scholar] [CrossRef] [PubMed]
- Donswijk, M.L.; van Leeuwen, P.J.; Vegt, E.; Cheung, Z.; Heijmink, S.W.T.P.J.; van der Poel, H.G.; Stokkel, M.P.M. Clinical Impact of PSMA PET/CT in Primary Prostate Cancer Compared to Conventional Nodal and Distant Staging: A Retrospective Single Center Study. BMC Cancer 2020, 20, 723. [Google Scholar] [CrossRef] [PubMed]
- Lima, P.J.; Carvalho, J.; Quaresma, V.; Tavares-da-Silva, E.; Silva, R.; Azinhais, P.; Costa, G.; Figueiredo, A. The Role of Ga-68-PSMA PET/CT in the Initial Staging of Prostate Cancer—A Single Center 4 Year Experience. Res. Rep. Urol. 2021, 13, 479–485. [Google Scholar] [CrossRef]
- Ferraro, D.A.; Garcia Schüler, H.I.; Muehlematter, U.J.; Eberli, D.; Müller, J.; Müller, A.; Gablinger, R.; Kranzbühler, H.; Omlin, A.; Kaufmann, P.A.; et al. Impact of 68Ga-PSMA-11 PET Staging on Clinical Decision-Making in Patients with Intermediate or High-Risk Prostate Cancer. Eur. J. Nucl. Med. Mol. Imaging 2020, 47, 652–664. [Google Scholar] [CrossRef] [PubMed]
- Jeet, V.; Parkinson, B.; Song, R.; Sharma, R.; Hoyle, M. Histopathologically Validated Diagnostic Accuracy of PSMA-PET/CT in the Primary and Secondary Staging of Prostate Cancer and the Impact of PSMA-PET/CT on Clinical Management: A Systematic Review and Meta-Analysis. Semin. Nucl. Med. 2023, 53, 706–718. [Google Scholar] [CrossRef] [PubMed]
- Muehlematter, U.J.; Burger, I.A.; Becker, A.S.; Schawkat, K.; Hötker, A.M.; Reiner, C.S.; Müller, J.; Rupp, N.J.; Rüschoff, J.H.; Eberli, D.; et al. Diagnostic Accuracy of Multiparametric MRI versus 68Ga-PSMA-11 PET/MRI for Extracapsular Extension and Seminal Vesicle Invasion in Patients with Prostate Cancer. Radiology 2019, 293, 350–358. [Google Scholar] [CrossRef]
- Skawran, S.M.; Sanchez, V.; Ghafoor, S.; Hötker, A.M.; Burger, I.A.; Huellner, M.W.; Eberli, D.; Donati, O.F. Primary Staging in Patients with Intermediate- and High-Risk Prostate Cancer: Multiparametric MRI and 68Ga-PSMA-PET/MRI-What Is the Value of Quantitative Data from Multiparametric MRI Alone or in Conjunction with Clinical Information? Eur. J. Radiol. 2022, 146, 110044. [Google Scholar] [CrossRef]
- Stabile, A.; Pellegrino, A.; Mazzone, E.; Cannoletta, D.; de Angelis, M.; Barletta, F.; Scuderi, S.; Cucchiara, V.; Gandaglia, G.; Raggi, D.; et al. Can Negative Prostate-Specific Membrane Antigen Positron Emission Tomography/Computed Tomography Avoid the Need for Pelvic Lymph Node Dissection in Newly Diagnosed Prostate Cancer Patients? A Systematic Review and Meta-Analysis with Backup Histology as Reference Standard. Eur. Urol. Oncol. 2022, 5, 1–17. [Google Scholar] [CrossRef]
- Hope, T.A.; Eiber, M.; Armstrong, W.R.; Juarez, R.; Murthy, V.; Lawhn-Heath, C.; Behr, S.C.; Zhang, L.; Barbato, F.; Ceci, F.; et al. Diagnostic Accuracy of 68Ga-PSMA-11 PET for Pelvic Nodal Metastasis Detection Prior to Radical Prostatectomy and Pelvic Lymph Node Dissection: A Multicenter Prospective Phase 3 Imaging Trial. JAMA Oncol. 2021, 7, 1635–1642. [Google Scholar] [CrossRef]
- Rovera, G.; Grimaldi, S.; Dall’Armellina, S.; Zotta, M.; Finessi, M.; Passera, R.; Deandreis, D. Comparison of Digital versus Analog 68Ga-PSMA-11 PET/CT Performance in Hormone-Sensitive Prostate Cancer Patients with Early Biochemical Recurrence or Persistence after Radical Treatment. Diagnostics 2023, 13, 3535. [Google Scholar] [CrossRef]
- Rovera, G.; Grimaldi, S.; Oderda, M.; Finessi, M.; Giannini, V.; Passera, R.; Gontero, P.; Deandreis, D. Machine Learning CT-Based Automatic Nodal Segmentation and PET Semi-Quantification of Intraoperative 68Ga-PSMA-11 PET/CT Images in High-Risk Prostate Cancer: A Pilot Study. Diagnostics 2023, 13, 3013. [Google Scholar] [CrossRef]
- Oderda, M.; Grimaldi, S.; Rovera, G.; Delsedime, L.; D’Agate, D.; Lavagno, F.; Marquis, A.; Marra, G.; Molinaro, L.; Deandreis, D.; et al. Robot-Assisted PSMA-Radioguided Surgery to Assess Surgical Margins and Nodal Metastases in Prostate Cancer Patients: Report on Three Cases Using an Intraoperative PET-CT Specimen Imager. Urology 2023, 182, e257–e261. [Google Scholar] [CrossRef]
- Vis, A.N.; Meijer, D.; Roberts, M.J.; Siriwardana, A.R.; Morton, A.; Yaxley, J.W.; Samaratunga, H.; Emmett, L.; van de Ven, P.M.; Heymans, M.W.; et al. Development and External Validation of a Novel Nomogram to Predict the Probability of Pelvic Lymph-Node Metastases in Prostate Cancer Patients Using Magnetic Resonance Imaging and Molecular Imaging with Prostate-Specific Membrane Antigen Positron Emission Tomography. Eur. Urol. Oncol. 2023, 6, 553–563. [Google Scholar] [CrossRef] [PubMed]
- Marra, G.; Rajwa, P.; Filippini, C.; Ploussard, G.; Montefusco, G.; Puche-Sanz, I.; Olivier, J.; Zattoni, F.; Moro, F.D.; Magli, A.; et al. The Prognostic Role of Preoperative PSMA PET/CT in cN0M0 pN+ Prostate Cancer: A Multicenter Study. Clin. Genitourin. Cancer 2024, 22, 244–251. [Google Scholar] [CrossRef] [PubMed]
- Jansen, B.H.E.; Bodar, Y.J.L.; Zwezerijnen, G.J.C.; Meijer, D.; van der Voorn, J.P.; Nieuwenhuijzen, J.A.; Wondergem, M.; Roeleveld, T.A.; Boellaard, R.; Hoekstra, O.S.; et al. Pelvic Lymph-Node Staging with 18F-DCFPyL PET/CT Prior to Extended Pelvic Lymph-Node Dissection in Primary Prostate Cancer—The SALT Trial. Eur. J. Nucl. Med. Mol. Imaging 2021, 48, 509–520. [Google Scholar] [CrossRef]
- Salvatori, M.; Rizzo, A.; Rovera, G.; Indovina, L.; Schillaci, O. Radiation Dose in Nuclear Medicine: The Hybrid Imaging. Radiol. Med. 2019, 124, 768–776. [Google Scholar] [CrossRef]
- van der Sar, E.C.A.; Keusters, W.R.; van Kalmthout, L.W.M.; Braat, A.J.A.T.; de Keizer, B.; Frederix, G.W.J.; Kooistra, A.; Lavalaye, J.; Lam, M.G.E.H.; van Melick, H.H.E. Cost-Effectiveness of the Implementation of [68Ga]Ga-PSMA-11 PET/CT at Initial Prostate Cancer Staging. Insights Imaging 2022, 13, 132. [Google Scholar] [CrossRef] [PubMed]
- Rovera, G.; Oprea-Lager, D.E.; Ceci, F. Health Technology Assessment for PSMA-PET: Striving towards a Cost-Effective Management of Prostate Cancer. Clin. Transl. Imaging 2021, 9, 409–412. [Google Scholar] [CrossRef]
- de Feria Cardet, R.E.; Hofman, M.S.; Segard, T.; Yim, J.; Williams, S.; Francis, R.J.; Frydenberg, M.; Lawrentschuk, N.; Murphy, D.G.; De Abreu Lourenco, R. Is Prostate-Specific Membrane Antigen Positron Emission Tomography/Computed Tomography Imaging Cost-Effective in Prostate Cancer: An Analysis Informed by the proPSMA Trial. Eur. Urol. 2021, 79, 413–418. [Google Scholar] [CrossRef]
- Holzgreve, A.; Unterrainer, M.; Calais, J.; Adams, T.; Oprea-Lager, D.E.; Goffin, K.; Lopci, E.; Unterrainer, L.M.; Kramer, K.K.M.; Schmidt-Hegemann, N.-S.; et al. Is PSMA PET/CT Cost-Effective for the Primary Staging in Prostate Cancer? First Results for European Countries and the USA Based on the proPSMA Trial. Eur. J. Nucl. Med. Mol. Imaging 2023, 50, 3750–3754. [Google Scholar] [CrossRef]
- Bauckneht, M.; Lanfranchi, F.; Albano, D.; Triggiani, L.; Linguanti, F.; Urso, L.; Mazzola, R.; Rizzo, A.; D’Angelo, E.; Dondi, F.; et al. Diverse Imaging Methods May Influence Long-Term Oncologic Outcomes in Oligorecurrent Prostate Cancer Patients Treated with Metastasis-Directed Therapy (the PRECISE-MDT Study). J. Nucl. Med. 2024, 65, 1202–1209. [Google Scholar] [CrossRef] [PubMed]




| Clinical Parameters | Median | IQR | |
|---|---|---|---|
| Age (years) | 73 | 68–76 | |
| Prebiopsy PSA (ng/mL) | 10.10 | 6.22–17.95 | |
| PSA at PET/CT (ng/mL) | 10.51 | 6.50–21.00 | |
| MRI–max diameter (mm) | 20.0 | 15.0–29.0 | |
| Frequency n (%) | |||
| MRI–stage ≥ cT3a | 22/47 (46.8%) | ||
| MRI–PI-RADS | 5 | 39/47 (83%) | |
| 4 | 7/47 (14.9%) | ||
| 3 | 1/47 (2.1%) | ||
| ISUP ≥ 4 | 48/60 (80%) | ||
| Change in Management | Frequency % (n) |
|---|---|
| Switch to systemic therapy for newly discovered multimetastatic spread | 16.9% (10/59) |
| Change in lymphadenectomy template in patients who are candidates for surgery | 5.1% (3/59) |
| Potential SABR treatment for oligometastatic disease | 5.1% (3/59) |
| Identification of collateral PSMA-avid oncologic findings | 1.7% (1/59) |
| Per-Patient Analysis % [95% CI] | Per-Region Analysis % [95% CI] | |
|---|---|---|
| Sensitivity | 92.3% [64.0–99.8] | 85.7% [57.1–98.2] |
| Specificity | 89.5% [66.9–98.7] | 90.0% [78.1–96.7] |
| Positive predictive value | 85.7% [61.6–95.7] | 70.6% [50.4–85.0] |
| Negative predictive value | 94.4% [72.0–99.1] | 95.7% [86.1–98.8] |
| Accuracy | 90.6% [75.0–98.0] | 89.1% [78.8–95.5] |
Disclaimer/Publisher’s Note: The statements, opinions and data contained in all publications are solely those of the individual author(s) and contributor(s) and not of MDPI and/or the editor(s). MDPI and/or the editor(s) disclaim responsibility for any injury to people or property resulting from any ideas, methods, instructions or products referred to in the content. |
© 2024 by the authors. Licensee MDPI, Basel, Switzerland. This article is an open access article distributed under the terms and conditions of the Creative Commons Attribution (CC BY) license (https://creativecommons.org/licenses/by/4.0/).
Share and Cite
Rovera, G.; Grimaldi, S.; Oderda, M.; Marra, G.; Calleris, G.; Iorio, G.C.; Falco, M.; Grossi, C.; Passera, R.; Campidonico, G.; et al. Comparative Performance of 68Ga-PSMA-11 PET/CT and Conventional Imaging in the Primary Staging of High-Risk Prostate Cancer Patients Who Are Candidates for Radical Prostatectomy. Diagnostics 2024, 14, 1964. https://doi.org/10.3390/diagnostics14171964
Rovera G, Grimaldi S, Oderda M, Marra G, Calleris G, Iorio GC, Falco M, Grossi C, Passera R, Campidonico G, et al. Comparative Performance of 68Ga-PSMA-11 PET/CT and Conventional Imaging in the Primary Staging of High-Risk Prostate Cancer Patients Who Are Candidates for Radical Prostatectomy. Diagnostics. 2024; 14(17):1964. https://doi.org/10.3390/diagnostics14171964
Chicago/Turabian StyleRovera, Guido, Serena Grimaldi, Marco Oderda, Giancarlo Marra, Giorgio Calleris, Giuseppe Carlo Iorio, Marta Falco, Cristiano Grossi, Roberto Passera, Giuseppe Campidonico, and et al. 2024. "Comparative Performance of 68Ga-PSMA-11 PET/CT and Conventional Imaging in the Primary Staging of High-Risk Prostate Cancer Patients Who Are Candidates for Radical Prostatectomy" Diagnostics 14, no. 17: 1964. https://doi.org/10.3390/diagnostics14171964
APA StyleRovera, G., Grimaldi, S., Oderda, M., Marra, G., Calleris, G., Iorio, G. C., Falco, M., Grossi, C., Passera, R., Campidonico, G., Mangia, M. L., Deandreis, D., Faletti, R., Ricardi, U., Gontero, P., & Morbelli, S. (2024). Comparative Performance of 68Ga-PSMA-11 PET/CT and Conventional Imaging in the Primary Staging of High-Risk Prostate Cancer Patients Who Are Candidates for Radical Prostatectomy. Diagnostics, 14(17), 1964. https://doi.org/10.3390/diagnostics14171964

