Monoclonal Gammopathy of Clinical Significance (MGCS) and Related Disorders: A Review and the Role of Imaging
Abstract
1. Introduction
2. Pathophysiologic Classification Versus Organ Involvement Classification
3. MGCS with Neuropathic Involvement
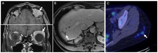
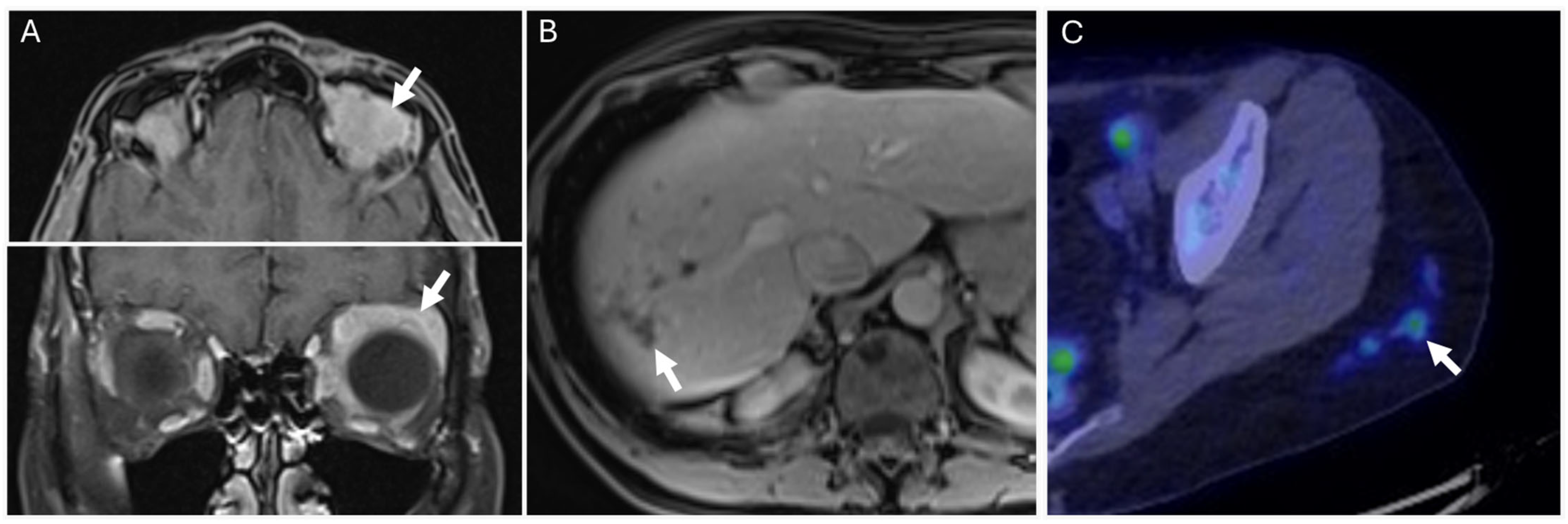
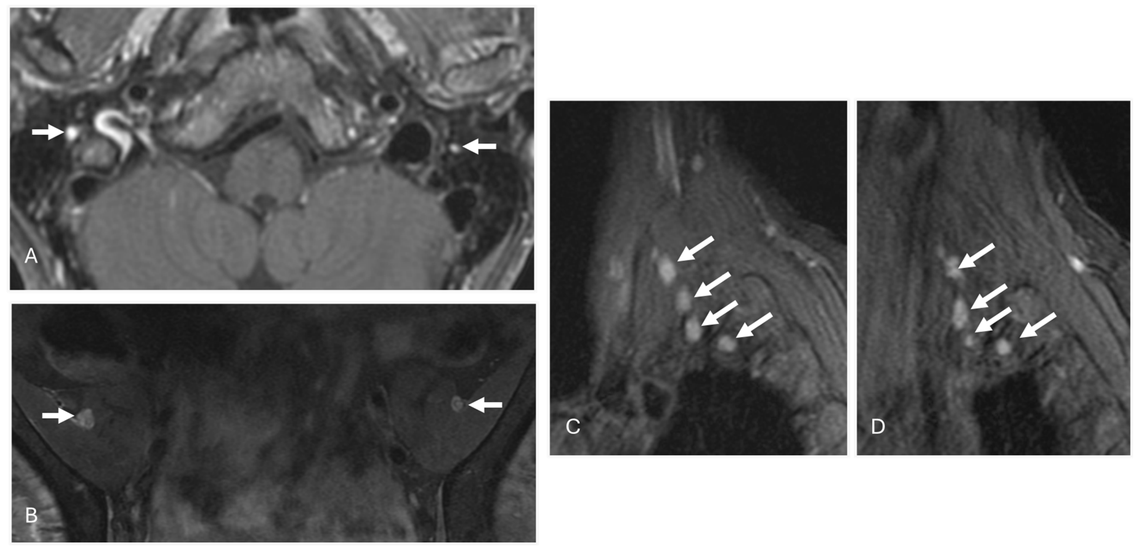
3.1. POEMS Syndrome
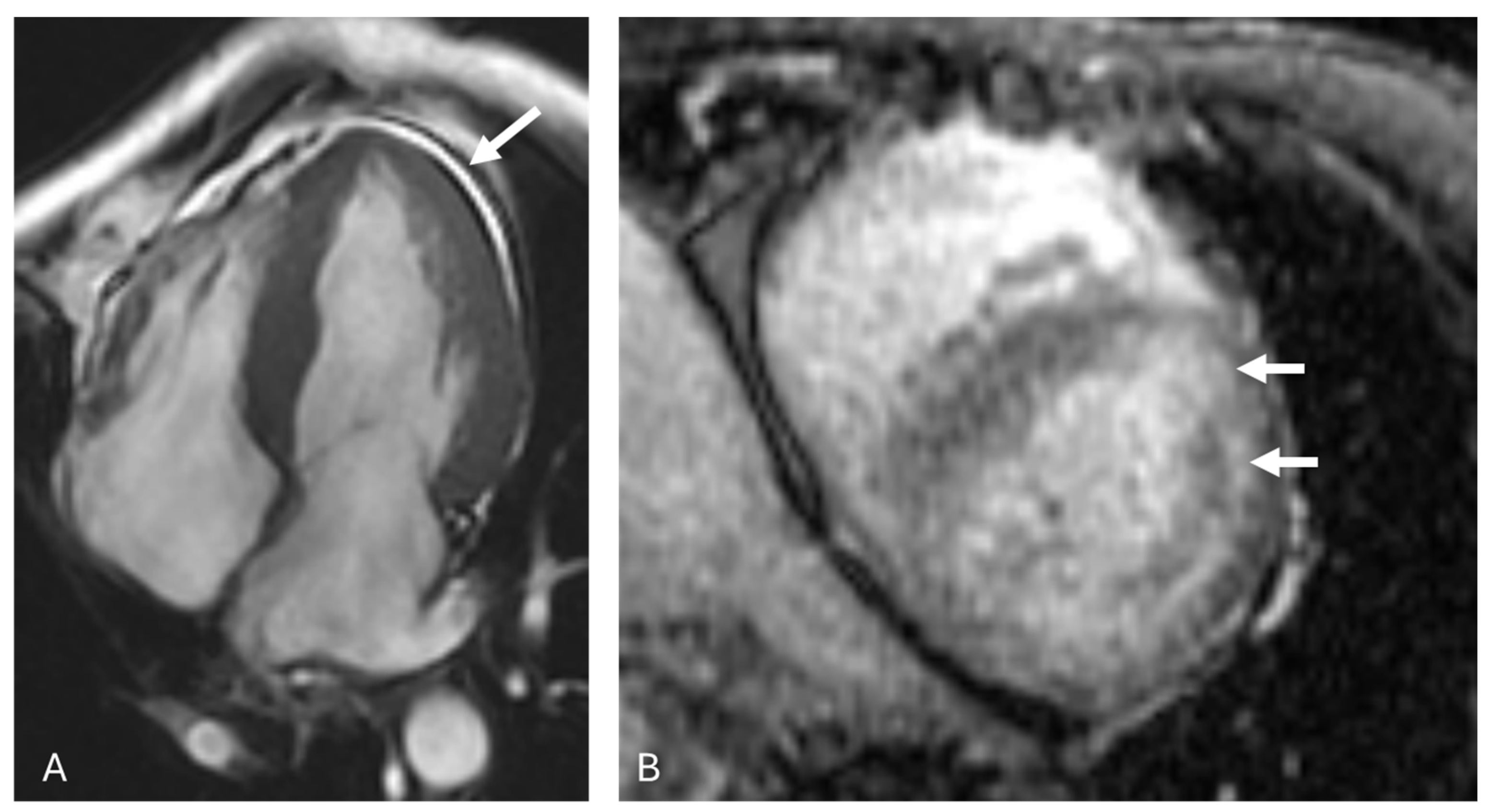
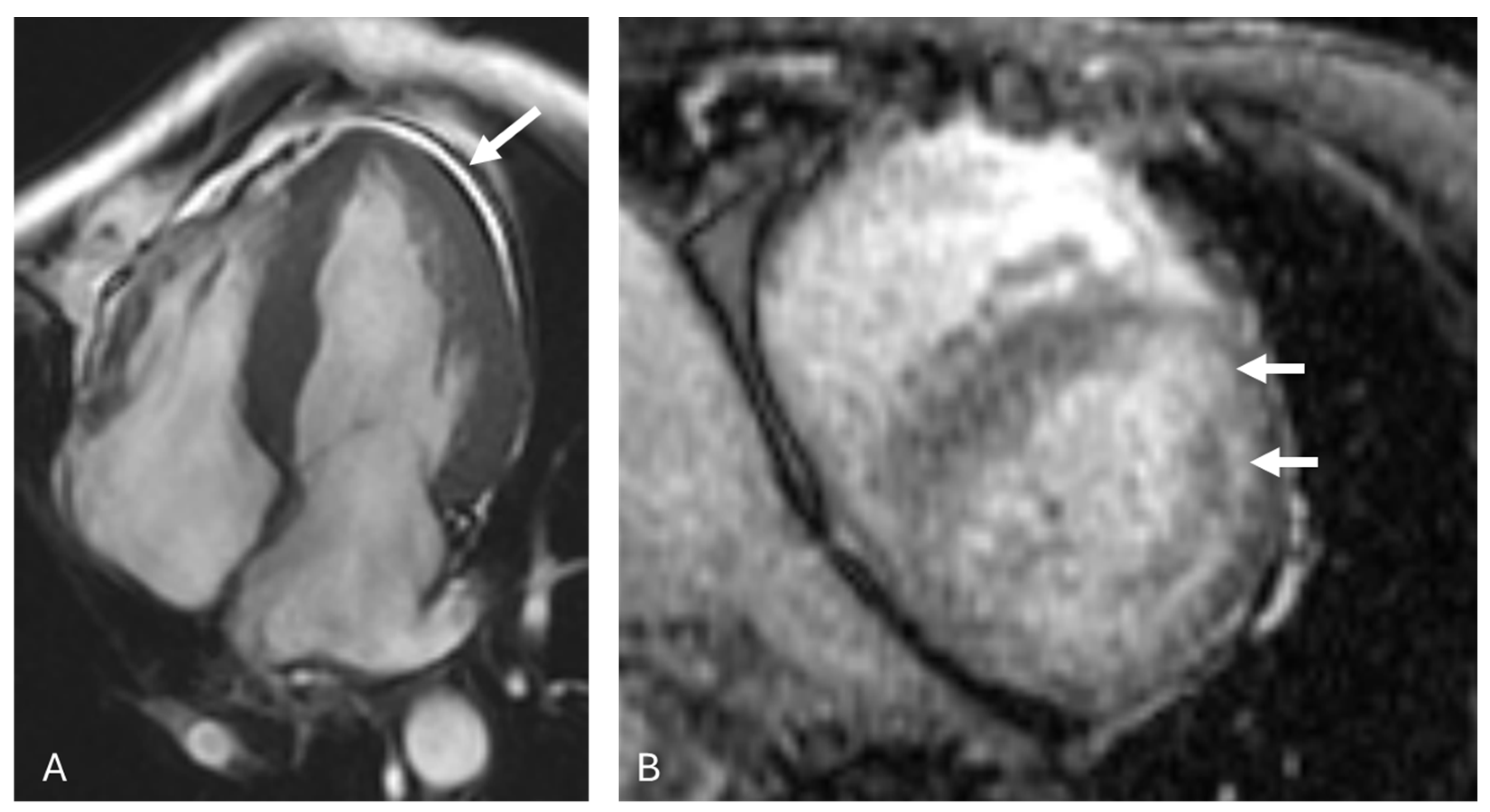
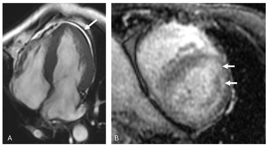
3.2. AL Amyloidosis
3.3. Distal Acquired Demyelinating Symmetric Neuropathy with M Protein (DADS-M)
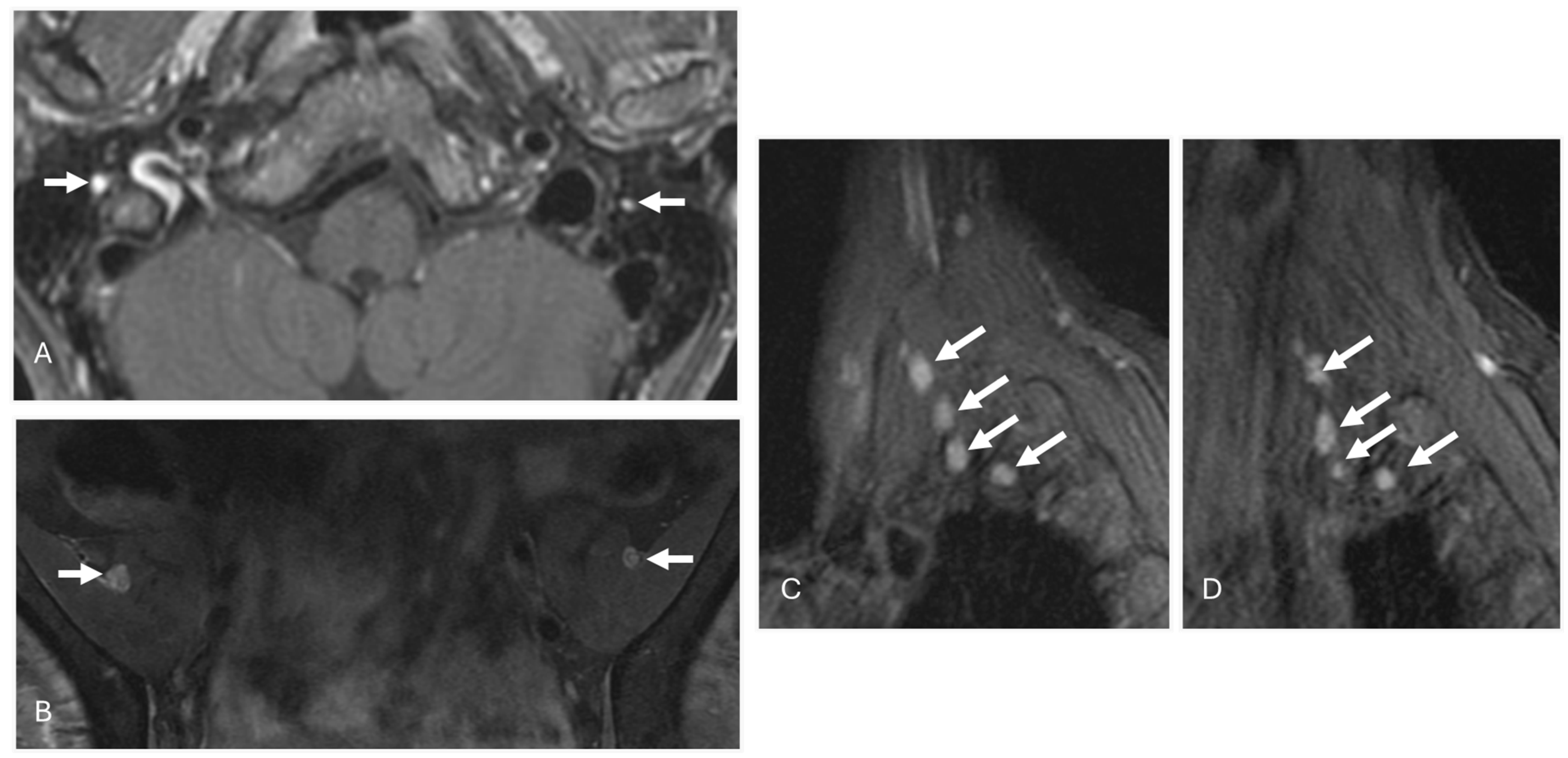
3.4. Chronic Ataxic Neuropathy, Ophthalmoplegia, IgM Paraprotein, Cold Agglutinins, and Disialosyl Antibodies (CANOMAD)
4. Monoclonal Gammopathy of Renal Significance (MGRS)
5. Cutaneous Manifestations of Monoclonal Gammopathy of Clinical Significance (MGCS)
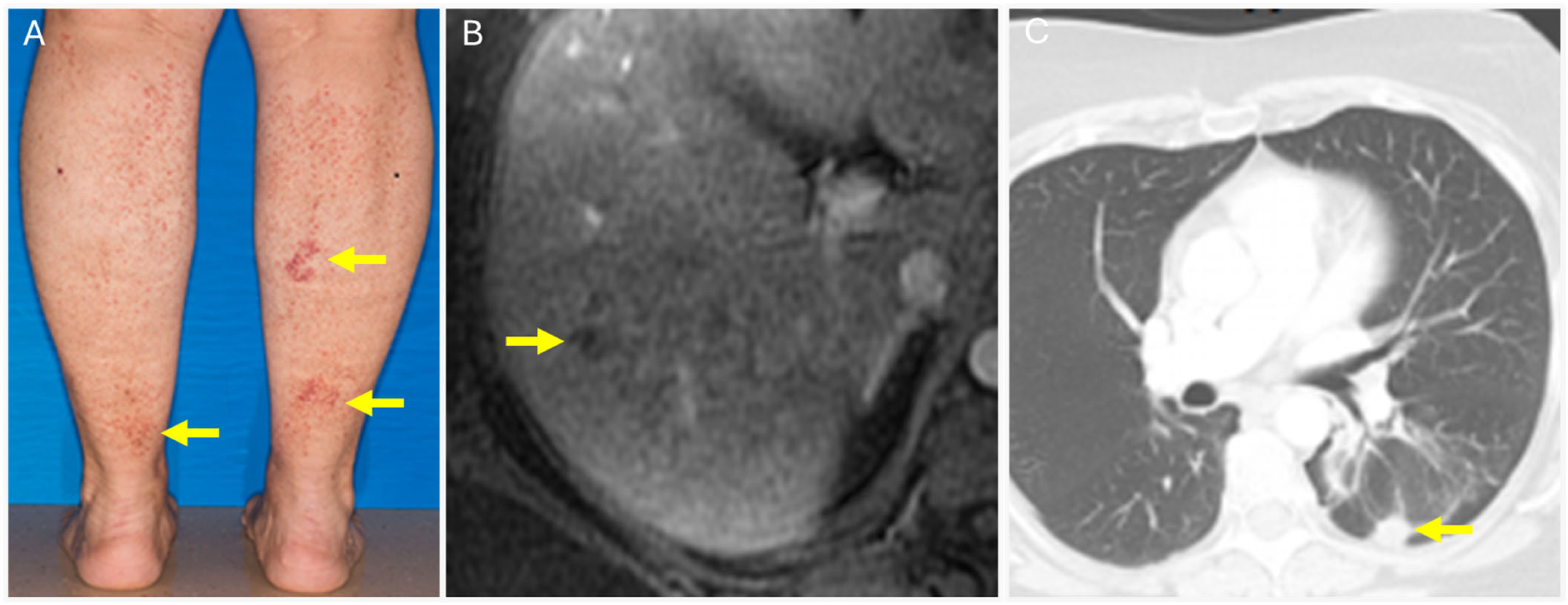
5.1. Type 1 Cryoglobulinemia
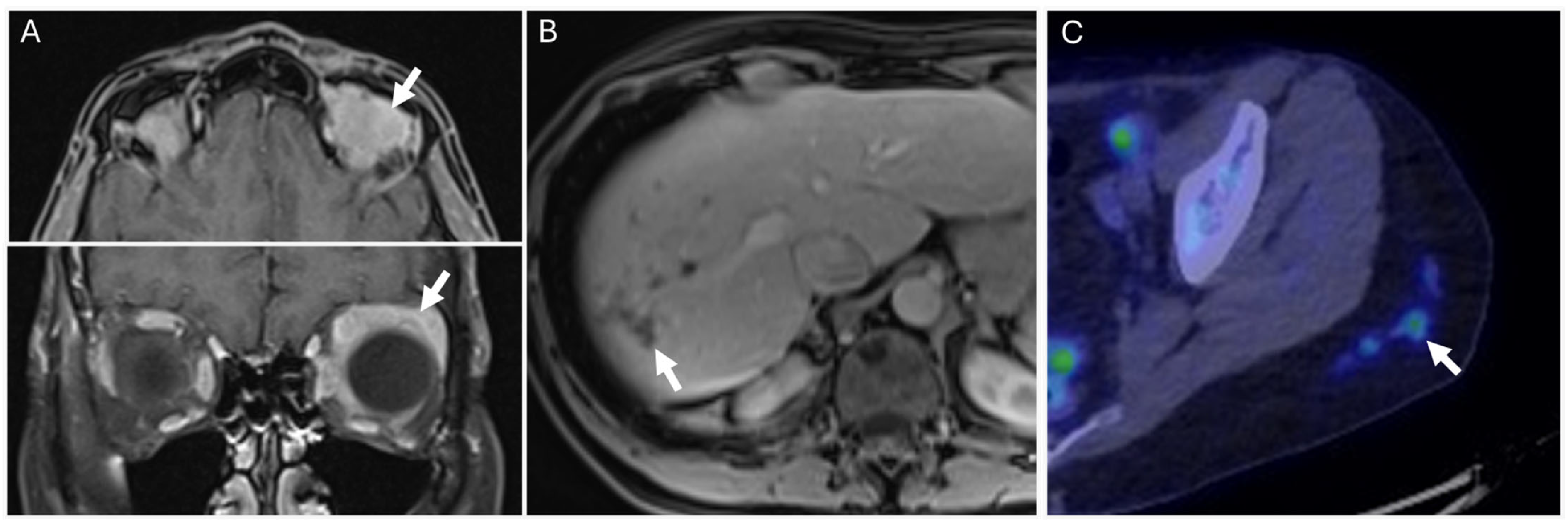
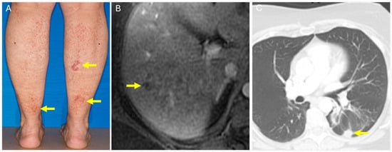
5.2. Necrobiotic Xanthogranuloma (NXG)
5.3. Schnitzler Syndrome
6. Imaging Considerations
7. Conclusions
Author Contributions
Funding
Institutional Review Board Statement
Informed Consent Statement
Data Availability Statement
Acknowledgments
Conflicts of Interest
References
- Rajkumar, S.V.; Dimopoulos, M.A.; Palumbo, A.; Blade, J.; Merlini, G.; Mateos, M.V.; Kumar, S.; Hillengass, J.; Kastritis, E.; Richardson, P.; et al. International Myeloma Working Group updated criteria for the diagnosis of multiple myeloma. Lancet Oncol. 2014, 15, e538–e548. [Google Scholar] [CrossRef] [PubMed]
- Fermand, J.P.; Bridoux, F.; Dispenzieri, A.; Jaccard, A.; Kyle, R.A.; Leung, N.; Merlini, G. Monoclonal gammopathy of clinical significance: A novel concept with therapeutic implications. Blood 2018, 132, 1478–1485. [Google Scholar] [CrossRef] [PubMed]
- Leung, N.; Bridoux, F.; Batuman, V.; Chaidos, A.; Cockwell, P.; D’Agati, V.D.; Dispenzieri, A.; Fervenza, F.C.; Fermand, J.P.; Gibbs, S.; et al. The evaluation of monoclonal gammopathy of renal significance: A consensus report of the International Kidney and Monoclonal Gammopathy Research Group. Nat. Rev. Nephrol. 2019, 15, 45–59. [Google Scholar] [CrossRef]
- Leung, N.; Bridoux, F.; Hutchison, C.A.; Nasr, S.H.; Cockwell, P.; Fermand, J.P.; Dispenzieri, A.; Song, K.W.; Kyle, R.A.; International, K.; et al. Monoclonal gammopathy of renal significance: When MGUS is no longer undetermined or insignificant. Blood 2012, 120, 4292–4295. [Google Scholar] [CrossRef] [PubMed]
- Alaggio, R.; Amador, C.; Anagnostopoulos, I.; Attygalle, A.D.; Araujo, I.B.O.; Berti, E.; Bhagat, G.; Borges, A.M.; Boyer, D.; Calaminici, M.; et al. The 5th edition of the World Health Organization Classification of Haematolymphoid Tumours: Lymphoid Neoplasms. Leukemia 2022, 36, 1720–1748. [Google Scholar] [CrossRef]
- Campo, E.; Jaffe, E.S.; Cook, J.R.; Quintanilla-Martinez, L.; Swerdlow, S.H.; Anderson, K.C.; Brousset, P.; Cerroni, L.; de Leval, L.; Dirnhofer, S.; et al. The International Consensus Classification of Mature Lymphoid Neoplasms: A report from the Clinical Advisory Committee. Blood 2022, 140, 1229–1253. [Google Scholar] [CrossRef]
- Dispenzieri, A. Monoclonal gammopathies of clinical significance. Hematol. Am. Soc. Hematol. Educ. Program 2020, 2020, 380–388. [Google Scholar] [CrossRef]
- Dispenzieri, A. POEMS syndrome: Update on diagnosis, risk-stratification, and management. Am. J. Hematol. 2023, 98, 1934–1950. [Google Scholar] [CrossRef]
- Marsh, E.S.; Keddie, S.; Terris-Prestholt, F.; D’Sa, S.; Lunn, M.P. Early VEGF testing in inflammatory neuropathy avoids POEMS syndrome misdiagnosis and associated costs. J. Neurol. Neurosurg. Psychiatry 2021, 92, 172–176. [Google Scholar] [CrossRef]
- Dispenzieri, A.; Fajgenbaum, D.C. Overview of Castleman disease. Blood 2020, 135, 1353–1364. [Google Scholar] [CrossRef]
- Glazebrook, K.; Guerra Bonilla, F.L.; Johnson, A.; Leng, S.; Dispenzieri, A. Computed tomography assessment of bone lesions in patients with POEMS syndrome. Eur. Radiol. 2015, 25, 497–504. [Google Scholar] [CrossRef] [PubMed]
- Shi, X.; Hu, S.; Luo, X.; Luo, M.; You, H.; Zhu, Y.; Xi, X. CT characteristics in 24 patients with POEMS syndrome. Acta Radiol. 2016, 57, 51–57. [Google Scholar] [CrossRef]
- Sikkink, L.A.; Ramirez-Alvarado, M. Cytotoxicity of amyloidogenic immunoglobulin light chains in cell culture. Cell Death Dis. 2010, 1, e98. [Google Scholar] [CrossRef] [PubMed]
- Wechalekar, A.D.; Fontana, M.; Quarta, C.C.; Liedtke, M. AL Amyloidosis for Cardiologists: Awareness, Diagnosis, and Future Prospects: JACC: CardioOncology State-of-the-Art Review. JACC Cardio Oncol 2022, 4, 427–441. [Google Scholar] [CrossRef]
- Merlini, G.; Dispenzieri, A.; Sanchorawala, V.; Schonland, S.O.; Palladini, G.; Hawkins, P.N.; Gertz, M.A. Systemic immunoglobulin light chain amyloidosis. Nat. Rev. Dis. Primers 2018, 4, 38. [Google Scholar] [CrossRef] [PubMed]
- Kumar, N.; Zhang, N.J.; Cherepanov, D.; Romanus, D.; Hughes, M.; Faller, D.V. Global epidemiology of amyloid light-chain amyloidosis. Orphanet J. Rare Dis. 2022, 17, 278. [Google Scholar] [CrossRef] [PubMed]
- Kourelis, T.V.; Kumar, S.K.; Go, R.S.; Kapoor, P.; Kyle, R.A.; Buadi, F.K.; Gertz, M.A.; Lacy, M.Q.; Hayman, S.R.; Leung, N.; et al. Immunoglobulin light chain amyloidosis is diagnosed late in patients with preexisting plasma cell dyscrasias. Am. J. Hematol. 2014, 89, 1051–1054. [Google Scholar] [CrossRef]
- Lousada, I.; Comenzo, R.L.; Landau, H.; Guthrie, S.; Merlini, G. Light Chain Amyloidosis: Patient Experience Survey from the Amyloidosis Research Consortium. Adv. Ther. 2015, 32, 920–928. [Google Scholar] [CrossRef]
- Muchtar, E.; Gertz, M.A.; Kyle, R.A.; Lacy, M.Q.; Dingli, D.; Leung, N.; Buadi, F.K.; Hayman, S.R.; Kapoor, P.; Hwa, Y.L.; et al. A Modern Primer on Light Chain Amyloidosis in 592 Patients With Mass Spectrometry-Verified Typing. Mayo Clin. Proc. 2019, 94, 472–483. [Google Scholar] [CrossRef]
- Cook, J.; Muchtar, E.; Warsame, R. Updates in the Diagnosis and Management of AL Amyloidosis. Curr. Hematol. Malig. Rep. 2020, 15, 155–167. [Google Scholar] [CrossRef]
- Muchtar, E.; Dispenzieri, A.; Lacy, M.Q.; Buadi, F.K.; Kapoor, P.; Hayman, S.R.; Gonsalves, W.; Warsame, R.; Kourelis, T.V.; Chakraborty, R.; et al. Overuse of organ biopsies in immunoglobulin light chain amyloidosis (AL): The consequence of failure of early recognition. Ann. Med. 2017, 49, 545–551. [Google Scholar] [CrossRef] [PubMed]
- Cuddy, S.A.M.; Chetrit, M.; Jankowski, M.; Desai, M.; Falk, R.H.; Weiner, R.B.; Klein, A.L.; Phelan, D.; Grogan, M. Practical Points for Echocardiography in Cardiac Amyloidosis. J. Am. Soc. Echocardiogr. 2022, 35, A31–A40. [Google Scholar] [CrossRef]
- Brownrigg, J.; Lorenzini, M.; Lumley, M.; Elliott, P. Diagnostic performance of imaging investigations in detecting and differentiating cardiac amyloidosis: A systematic review and meta-analysis. ESC Heart Fail. 2019, 6, 1041–1051. [Google Scholar] [CrossRef]
- Hutt, D.F.; Fontana, M.; Burniston, M.; Quigley, A.M.; Petrie, A.; Ross, J.C.; Page, J.; Martinez-Naharro, A.; Wechalekar, A.D.; Lachmann, H.J.; et al. Prognostic utility of the Perugini grading of 99mTc-DPD scintigraphy in transthyretin (ATTR) amyloidosis and its relationship with skeletal muscle and soft tissue amyloid. Eur. Heart J. Cardiovasc. Imaging 2017, 18, 1344–1350. [Google Scholar] [CrossRef] [PubMed]
- Cappelli, F.; Gallini, C.; Di Mario, C.; Costanzo, E.N.; Vaggelli, L.; Tutino, F.; Ciaccio, A.; Bartolini, S.; Angelotti, P.; Frusconi, S.; et al. Accuracy of 99mTc-Hydroxymethylene diphosphonate scintigraphy for diagnosis of transthyretin cardiac amyloidosis. J. Nucl. Cardiol. 2019, 26, 497–504. [Google Scholar] [CrossRef]
- Scully, P.R.; Morris, E.; Patel, K.P.; Treibel, T.A.; Burniston, M.; Klotz, E.; Newton, J.D.; Sabharwal, N.; Kelion, A.; Manisty, C.; et al. DPD Quantification in Cardiac Amyloidosis: A Novel Imaging Biomarker. JACC Cardiovasc. Imaging 2020, 13, 1353–1363. [Google Scholar] [CrossRef] [PubMed]
- Donnelly, J.P.; Gabrovsek, A.; Sul, L.; Cotta, C.; Rodriguez, E.R.; Tan, C.D.; Hanna, M. Evidence of Concurrent Light Chain and Transthyretin Cardiac Amyloidosis in 2 Patients. JACC Cardio Oncol 2020, 2, 127–130. [Google Scholar] [CrossRef] [PubMed]
- Gami, A.; Woller, J.; Scheel, P.; Ali, S.A.; Huff, C.A.; Steenbergen, C., Jr.; Halushka, M.; Sharma, K.; Polydefkis, M.; Vaishnav, J. Coexistence of Light Chain and Transthyretin Cardiac Amyloidosis. JACC Case Rep. 2024, 29, 102285. [Google Scholar] [CrossRef]
- Phull, P.; Sanchorawala, V.; Connors, L.H.; Doros, G.; Ruberg, F.L.; Berk, J.L.; Sarosiek, S. Monoclonal gammopathy of undetermined significance in systemic transthyretin amyloidosis (ATTR). Amyloid 2018, 25, 62–67. [Google Scholar] [CrossRef]
- Poterucha, T.J.; Elias, P.; Bokhari, S.; Einstein, A.J.; DeLuca, A.; Kinkhabwala, M.; Johnson, L.L.; Flaherty, K.R.; Saith, S.E.; Griffin, J.M.; et al. Diagnosing Transthyretin Cardiac Amyloidosis by Technetium Tc 99m Pyrophosphate: A Test in Evolution. JACC Cardiovasc. Imaging 2021, 14, 1221–1231. [Google Scholar] [CrossRef]
- Katz, J.S.; Saperstein, D.S.; Gronseth, G.; Amato, A.A.; Barohn, R.J. Distal acquired demyelinating symmetric neuropathy. Neurology 2000, 54, 615–620. [Google Scholar] [CrossRef]
- Nobile-Orazio, E.; Barbieri, S.; Baldini, L.; Marmiroli, P.; Carpo, M.; Premoselli, S.; Manfredini, E.; Scarlato, G. Peripheral neuropathy in monoclonal gammopathy of undetermined significance: Prevalence and immunopathogenetic studies. Acta Neurol. Scand. 1992, 85, 383–390. [Google Scholar] [CrossRef]
- Suarez, G.A.; Kelly, J.J., Jr. Polyneuropathy associated with monoclonal gammopathy of undetermined significance: Further evidence that IgM-MGUS neuropathies are different than IgG-MGUS. Neurology 1993, 43, 1304–1308. [Google Scholar] [CrossRef] [PubMed]
- Yeung, K.B.; Thomas, P.K.; King, R.H.; Waddy, H.; Will, R.G.; Hughes, R.A.; Gregson, N.A.; Leibowitz, S. The clinical spectrum of peripheral neuropathies associated with benign monoclonal IgM, IgG and IgA paraproteinaemia. Comparative clinical, immunological and nerve biopsy findings. J. Neurol. 1991, 238, 383–391. [Google Scholar] [CrossRef] [PubMed]
- Gosselin, S.; Kyle, R.A.; Dyck, P.J. Neuropathy associated with monoclonal gammopathies of undetermined significance. Ann. Neurol. 1991, 30, 54–61. [Google Scholar] [CrossRef] [PubMed]
- Chaudhry, H.M.; Mauermann, M.L.; Rajkumar, S.V. Monoclonal Gammopathy-Associated Peripheral Neuropathy: Diagnosis and Management. Mayo Clin. Proc. 2017, 92, 838–850. [Google Scholar] [CrossRef]
- Yuki, N.; Uncini, A. Acute and chronic ataxic neuropathies with disialosyl antibodies: A continuous clinical spectrum and a common pathophysiological mechanism. Muscle Nerve 2014, 49, 629–635. [Google Scholar] [CrossRef]
- Kusunoki, S.; Chiba, A.; Tai, T.; Kanazawa, I. Localization of GM1 and GD1b antigens in the human peripheral nervous system. Muscle Nerve 1993, 16, 752–756. [Google Scholar] [CrossRef]
- Le Cann, M.; Bouhour, F.; Viala, K.; Simon, L.; Tard, C.; Rossi, C.; Morel, G.; Lagrange, E.; Magy, L.; Creange, A.; et al. CANOMAD: A neurological monoclonal gammopathy of clinical significance that benefits from B-cell-targeted therapies. Blood 2020, 136, 2428–2436. [Google Scholar] [CrossRef]
- He, H.; Wang, Z.; Xu, J.; Liu, Y.; Shao, Y.; Hou, Y.; Gu, J.; Hu, R.; Xing, G. Clinicopathological characteristics and prognosis in patients with monoclonal gammopathy and renal damage in central China: A multicenter retrospective cohort study. Sci. Rep. 2024, 14, 7667. [Google Scholar] [CrossRef]
- Solomon, A.; Weiss, D.T.; Kattine, A.A. Nephrotoxic potential of Bence Jones proteins. N. Engl. J. Med. 1991, 324, 1845–1851. [Google Scholar] [CrossRef]
- Leung, N.; Bridoux, F.; Nasr, S.H. Monoclonal Gammopathy of Renal Significance. N. Engl. J. Med. 2021, 384, 1931–1941. [Google Scholar] [CrossRef]
- Joly, F.; Cohen, C.; Javaugue, V.; Bender, S.; Belmouaz, M.; Arnulf, B.; Knebelmann, B.; Nouvier, M.; Audard, V.; Provot, F.; et al. Randall-type monoclonal immunoglobulin deposition disease: Novel insights from a nationwide cohort study. Blood 2019, 133, 576–587. [Google Scholar] [CrossRef] [PubMed]
- Nasr, S.H.; Satoskar, A.; Markowitz, G.S.; Valeri, A.M.; Appel, G.B.; Stokes, M.B.; Nadasdy, T.; D’Agati, V.D. Proliferative glomerulonephritis with monoclonal IgG deposits. J. Am. Soc. Nephrol. 2009, 20, 2055–2064. [Google Scholar] [CrossRef]
- Stokes, M.B.; Valeri, A.M.; Herlitz, L.; Khan, A.M.; Siegel, D.S.; Markowitz, G.S.; D’Agati, V.D. Light Chain Proximal Tubulopathy: Clinical and Pathologic Characteristics in the Modern Treatment Era. J. Am. Soc. Nephrol. 2016, 27, 1555–1565. [Google Scholar] [CrossRef] [PubMed]
- Sanders, P.W.; Herrera, G.A.; Lott, R.L.; Galla, J.H. Morphologic alterations of the proximal tubules in light chain-related renal disease. Kidney Int. 1988, 33, 881–889. [Google Scholar] [CrossRef] [PubMed]
- Schwartz, M.M.; Korbet, S.M.; Lewis, E.J. Immunotactoid glomerulopathy. J. Am. Soc. Nephrol. 2002, 13, 1390–1397. [Google Scholar] [CrossRef]
- Sidana, S.; Rajkumar, S.V.; Dispenzieri, A.; Lacy, M.Q.; Gertz, M.A.; Buadi, F.K.; Hayman, S.R.; Dingli, D.; Kapoor, P.; Gonsalves, W.I.; et al. Clinical presentation and outcomes of patients with type 1 monoclonal cryoglobulinemia. Am. J. Hematol. 2017, 92, 668–673. [Google Scholar] [CrossRef]
- Mullins, J.; Faddoul, G.; Lightle, A.; Farrukh, L.; Mehta, S. Diffuse alveolar hemorrhage: Rare presentation of type 1 cryoglobulinemia in marginal B-cell lymphoma. Respir. Med. Case Rep. 2023, 43, 101831. [Google Scholar] [CrossRef]
- Hilal, T.; DiCaudo, D.J.; Connolly, S.M.; Reeder, C.B. Necrobiotic xanthogranuloma: A 30-year single-center experience. Ann. Hematol. 2018, 97, 1471–1479. [Google Scholar] [CrossRef]
- Nelson, C.A.; Zhong, C.S.; Hashemi, D.A.; Ashchyan, H.J.; Brown-Joel, Z.; Noe, M.H.; Imadojemu, S.; Micheletti, R.G.; Vleugels, R.A.; Wanat, K.A.; et al. A Multicenter Cross-Sectional Study and Systematic Review of Necrobiotic Xanthogranuloma With Proposed Diagnostic Criteria. JAMA Dermatol. 2020, 156, 270–279. [Google Scholar] [CrossRef] [PubMed]
- Simon, A.; Asli, B.; Braun-Falco, M.; De Koning, H.; Fermand, J.P.; Grattan, C.; Krause, K.; Lachmann, H.; Lenormand, C.; Martinez-Taboada, V.; et al. Schnitzler’s syndrome: Diagnosis, treatment, and follow-up. Allergy 2013, 68, 562–568. [Google Scholar] [CrossRef] [PubMed]
- Gusdorf, L.; Asli, B.; Barbarot, S.; Neel, A.; Masseau, A.; Puechal, X.; Gottenberg, J.E.; Grateau, G.; Blanchard-Delaunay, C.; Rizzi, R.; et al. Schnitzler syndrome: Validation and applicability of diagnostic criteria in real-life patients. Allergy 2017, 72, 177–182. [Google Scholar] [CrossRef] [PubMed]
- Sankar, P.R.; Janamanchi, V.; Vondenberg, J.; Calabrese, C. Schnitzler syndrome. BMJ Case Rep. 2023, 16, 46. [Google Scholar] [CrossRef]
- Rudolphi-Solero, T.; Trivino-Ibanez, E.M.; Gonzalez-Jimenez, A.D.; Ramos-Font, C.; Rios-Tamayo, R.; Rebollo-Aguirre, A.C.; Sanchez-Sanchez, R. Diagnostic relevance of 2-[(18) F]-FDG PET/CT in patients recently diagnosed with monoclonal gammopathy of undetermined significance. Hematol. Oncol. 2023, 41, 434–441. [Google Scholar] [CrossRef]









| Disorder | Radiological Diagnostic Findings |
|---|---|
| POEMS Syndrome |
|
| AL Amyloidosis |
|
| DADS-M |
|
| CANOMAD |
|
| MGRS |
|
| Monoclonal gammopathy of cutaneous significance |
|
Disclaimer/Publisher’s Note: The statements, opinions and data contained in all publications are solely those of the individual author(s) and contributor(s) and not of MDPI and/or the editor(s). MDPI and/or the editor(s) disclaim responsibility for any injury to people or property resulting from any ideas, methods, instructions or products referred to in the content. |
© 2024 by the authors. Licensee MDPI, Basel, Switzerland. This article is an open access article distributed under the terms and conditions of the Creative Commons Attribution (CC BY) license (https://creativecommons.org/licenses/by/4.0/).
Share and Cite
El Sadaney, A.O.; Dutta, A.; Cook, J.; Baffour, F.I. Monoclonal Gammopathy of Clinical Significance (MGCS) and Related Disorders: A Review and the Role of Imaging. Diagnostics 2024, 14, 1907. https://doi.org/10.3390/diagnostics14171907
El Sadaney AO, Dutta A, Cook J, Baffour FI. Monoclonal Gammopathy of Clinical Significance (MGCS) and Related Disorders: A Review and the Role of Imaging. Diagnostics. 2024; 14(17):1907. https://doi.org/10.3390/diagnostics14171907
Chicago/Turabian StyleEl Sadaney, Ahmed O., Anika Dutta, Joselle Cook, and Francis I. Baffour. 2024. "Monoclonal Gammopathy of Clinical Significance (MGCS) and Related Disorders: A Review and the Role of Imaging" Diagnostics 14, no. 17: 1907. https://doi.org/10.3390/diagnostics14171907
APA StyleEl Sadaney, A. O., Dutta, A., Cook, J., & Baffour, F. I. (2024). Monoclonal Gammopathy of Clinical Significance (MGCS) and Related Disorders: A Review and the Role of Imaging. Diagnostics, 14(17), 1907. https://doi.org/10.3390/diagnostics14171907

