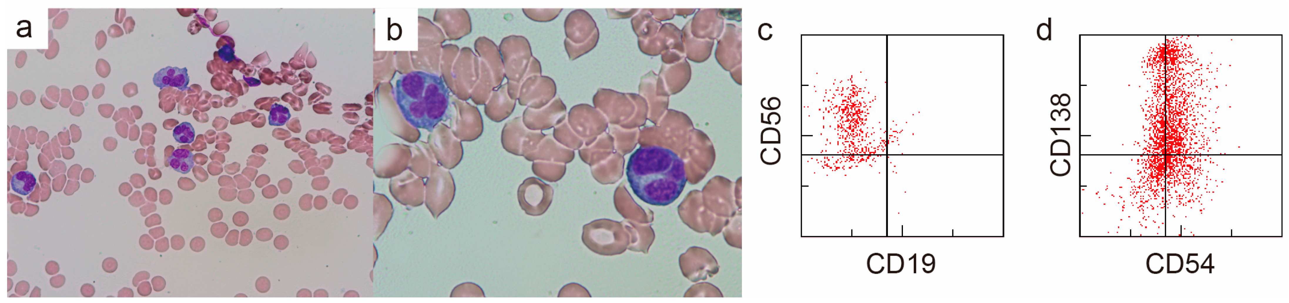
Flower-Shaped Plasma Cells in Multiple Myeloma with Morphological Heterogeneity
Abstract
Author Contributions
Funding
Institutional Review Board Statement
Informed Consent Statement
Data Availability Statement
Acknowledgments
Conflicts of Interest
References
- Rajkumar, S.V. Multiple myeloma: 2024 update on diagnosis, risk-stratification, and management. Am. J. Hematol. 2024, 99, 1802–1824. [Google Scholar] [CrossRef] [PubMed]
- El Hussein, S.; Medeiros, L.J.; Hu, S.; Lin, P.; Wang, W. The many faces of plasma cell neoplasms: Morphological and immunophenotypical variants of the great imitator. Pathology 2022, 54, 32–42. [Google Scholar] [CrossRef] [PubMed]
- Shibusawa, M. Plasma cell leukaemia presenting as flower-shaped plasma cells mimicking adult T-cell leukaemia or lymphoma. Lancet Haematol. 2020, 7, e270. [Google Scholar] [CrossRef] [PubMed]
- De Miguel Sanchez, C.; Robles de Castro, D.; Pison Herrero, C.; Perez Persona, E.; Salcedo Cuesta, L.; Guinea de Castro, J.M. Primary plasma cell leukaemia presenting with flower-shaped nuclei. Br. J. Haematol. 2021, 193, 689. [Google Scholar] [CrossRef] [PubMed]
- Zukerberg, L.R.; Ferry, J.A.; Conlon, M.; Harris, N.L. Plasma cell myeloma with cleaved, multilobated, and monocytoid nuclei. Am. J. Clin. Pathol. 1990, 93, 657–661. [Google Scholar] [CrossRef] [PubMed]
- Yeh, Y.A.; Pappas, A.A.; Flick, J.T.; Butch, A.W. A case of aggressive multiple myeloma with cleaved, multilobated, and monocytoid nuclei, and no serum monoclonal gammopathy. Ann. Clin. Lab. Sci. 2000, 30, 283–288. [Google Scholar] [PubMed]
- Delhommeau, F.; Huguet, S.; Gachet, J.; van den Akker, J.; Lagrange, M. Primary plasma cell leukemia mimicking an adult T-cell leukemia-lymphoma: A case report. Acta Cytol. 2010, 54, 187–189. [Google Scholar] [CrossRef] [PubMed]
- Gupta, R.; Hussain, N.; Rahman, K.; Nityanand, S. Plasma cell myeloma with unusual morphology—A series of 6 cases. Eur. J. Haematol. 2014, 93, 165–170. [Google Scholar] [CrossRef] [PubMed]
- Fujimi, A.; Nagamachi, Y.; Yamauchi, N.; Kanisawa, Y. Morphological Transformation of Myeloma Cells into Multilobated Plasma Cell Nuclei within 7 Days in a Case of Secondary Plasma Cell Leukemia That Finally Transformed as Anaplastic Myeloma. Case Rep. Hematol. 2017, 2017, 5758368. [Google Scholar] [CrossRef] [PubMed]
- Sall, A.; Seck, M.; Samb, D.; Faye, B.; Gadji, M.; Diop, S.; Toure, A.O. Flower-Like Plasma Cell Nuclei in Multiple Myeloma. Turk. J. Haematol. 2021, 38, 153–154. [Google Scholar] [CrossRef] [PubMed]
- Jakovic, L.; Jovanovic, J.; Kurtovic, N.K.; Fekete, M.D.; Bogdanovic, A. Primary plasma cell leukemia presented with atypical flower-like morphology. Int. J. Lab. Hematol. 2024, 46, 425–426. [Google Scholar] [CrossRef] [PubMed]
- Rees, M.J.; Kumar, S. High-risk multiple myeloma: Redefining genetic, clinical, and functional high-risk disease in the era of molecular medicine and immunotherapy. Am. J. Hematol. 2024, 99, 1560–1575. [Google Scholar] [CrossRef] [PubMed]



Disclaimer/Publisher’s Note: The statements, opinions and data contained in all publications are solely those of the individual author(s) and contributor(s) and not of MDPI and/or the editor(s). MDPI and/or the editor(s) disclaim responsibility for any injury to people or property resulting from any ideas, methods, instructions or products referred to in the content. |
© 2024 by the authors. Licensee MDPI, Basel, Switzerland. This article is an open access article distributed under the terms and conditions of the Creative Commons Attribution (CC BY) license (https://creativecommons.org/licenses/by/4.0/).
Share and Cite
Hosoi, H.; Tane, M.; Sogabe, M.; Iwamoto, R.; Minoura, N.; Murata, S.; Mushino, T.; Nishikawa, A.; Murata, S.-I.; Sonoki, T. Flower-Shaped Plasma Cells in Multiple Myeloma with Morphological Heterogeneity. Diagnostics 2024, 14, 2285. https://doi.org/10.3390/diagnostics14202285
Hosoi H, Tane M, Sogabe M, Iwamoto R, Minoura N, Murata S, Mushino T, Nishikawa A, Murata S-I, Sonoki T. Flower-Shaped Plasma Cells in Multiple Myeloma with Morphological Heterogeneity. Diagnostics. 2024; 14(20):2285. https://doi.org/10.3390/diagnostics14202285
Chicago/Turabian StyleHosoi, Hiroki, Misato Tane, Makiko Sogabe, Ryuta Iwamoto, Naoto Minoura, Shogo Murata, Toshiki Mushino, Akinori Nishikawa, Shin-Ichi Murata, and Takashi Sonoki. 2024. "Flower-Shaped Plasma Cells in Multiple Myeloma with Morphological Heterogeneity" Diagnostics 14, no. 20: 2285. https://doi.org/10.3390/diagnostics14202285
APA StyleHosoi, H., Tane, M., Sogabe, M., Iwamoto, R., Minoura, N., Murata, S., Mushino, T., Nishikawa, A., Murata, S.-I., & Sonoki, T. (2024). Flower-Shaped Plasma Cells in Multiple Myeloma with Morphological Heterogeneity. Diagnostics, 14(20), 2285. https://doi.org/10.3390/diagnostics14202285

