An Advanced Lung Carcinoma Prediction and Risk Screening Model Using Transfer Learning
Abstract
1. Introduction
- Lung carcinoma detection mainly depends on invasion into the bronchioles and ribs along with abnormal growth. Therefore, prediction at an early stage is a difficult task due the need to identify these drastic changes.
- The quality of CT images affects the accuracy of the classification process.
- Preprocessing lung CT images shows incoherent negative findings due to the low edge enhancement and sequential processing.
- By commonly segmenting the region of interest (ROI) from lung images, extracted features are given a high score based on a nearby class, and the method is not effective for detection.
- Preprocessing: To enhance image quality and make additional analysis easier, lung computed tomography images are first preprocessed. This involves multiple steps.
- Noise Reduction: We remove noise from CT images by applying a sophisticated improved anisotropic diffusion filter (I-ADF) approach.
- Contrast stretching: Enhancing the contrast of the images makes important features more distinguishable.
- Convex Hull Lung Region Extraction: In order to concentrate the analysis on the pertinent area, we isolate the lung region.
- Edge Enhancement: Using the unsharp masking filter (UMF) improves the ability to define the image edges.
- Segmentation: The Bates distribution coati optimization (B-RGS) algorithm segments the preprocessed pictures for feature extraction. Important elements that are essential for precise categorization are removed from the segmented images.
- Classification: The images are categorized as either normal or abnormal using the PResNet classifier. If the output is abnormal, thorough risk screening is carried out to ascertain whether the cancer risk is low or high. This multi-step process guarantees a complete evaluation with precise predictions.
- We propose an advanced lung carcinoma prediction and risk screening model using transfer learning.
- The I-ADFtechnique eliminates noise from the CT image.
- Our B-RGS algorithm is powered by segmentation and helps partition the lungs by using knuckle points.
- Our algorithm improves edge enhancement by using the UMF.
- The model’s accuracy is achieved through feature selection.
2. Related Work
- Background and Rationale
- Machine Learning
- ◦
- Decision trees (DTs): These are helpful in building models for decision-making that are easy to understand.
- ◦
- ◦
- Bayesian networks: These are an example of a probabilistic graphical model.
- Specific ML Models and Techniques
- Deep Learning Techniques
- ◦
- Convolutional Neural Networks (CNNs)
- a.
- Classification of Early-Stage Lung Cancer
- The potential for categorizing several forms of lung cancer, including squamous cell carcinoma and adenocarcinoma, has been demonstrated using a deep learning model that was trained on a dataset of 311 individuals with early-stage lung cancer. The dataset’s small sample size, however, limited the model’s performance [10,38,51].
- b.
- Improved Dense Clustering
- This method partitions the afflicted region into parts according to pixel similarity by using a neural network trained with deep learning. Although it is a reliable predictor of lung cancer, it does not prioritize risk assessment [52].
- c.
- Ensemble CNN Models
- Regression Neural Networks
- Artificial Intelligence
- Weaknesses and Gaps
- ◦
- Limited Accuracy: Despite innovations, achieving a high accuracy remains difficult for present methods, especially for early-stage detection where small irregularities can go undetected.
- ◦
- Subjectivity and Interpretation: Radiologists’ subjective bias and time-consuming manual analysis of medical images might result in inconsistent diagnoses.
- ◦
- Data Availability: The lack of labeled medical datasets for DL model training often restricts the creation of reliable and useful algorithms.
- ◦
- Complexity and Computational Cost: Some revolutionary methods may be difficult for real-time medical use because of their high computational resource requirements.
- The Need for our Proposed Work
- Addressing Limitations:
- ◦
- Enhanced Accuracy: By using transfer learning and advanced preprocessing techniques, the proposed method overcomes the inadequacies of existing methods and increases the accuracy of lung cancer detection.
- ◦
- Objective and Automated Analysis: The suggested model reduces the need for arbitrary human interpretation by automating analysis, which produces diagnoses that are more consistent and trustworthy.
- ◦
- Optimization for Healthcare: The model’s computational efficiency is improved to make it appropriate for applications that need real-time data.
- Innovations and Contributions
- ◦
- Segmentation Algorithm: Using the B-RGS algorithm to segment lung regions is a revolutionary approach that advances the field and increases feature extraction accuracy.
- ◦
- Comprehensive Evaluation: Using standard datasets, several studies are carried out to compare the performance of the suggested method against those of the most recent methods.
- ◦
- Demonstrated Quality: The experimental findings show that the suggested model works better than state-of-the-art techniques in terms of accuracy, precision, and recall, underscoring its potential applications in healthcare.
3. Risk Screening for Lung Carcinoma
3.1. Preprocessing
3.2. Segmentation
| Algorithm 1: BRGS |
| Input: Enhanced image |
| Output: Segmented image |
| Begin |
| Initialize enhanced image, maximum iterations |
| Select seed point using COA |
| For all iterations do |
| Initialize position of coati using (16) |
| Compute random variable using BD |
| Compute population of coati using (18) |
| Evaluate fitness value |
| For |
| Calculate new position of coati using (20) |
| Update position using (21) |
| End For |
| For |
| Calculate the position of the iguana using (22) |
| Calculate the new position of coati using (25) |
| Update the position of coati using (26) |
| End For |
| End For |
| Return seed point |
| Compute threshold |
| Return segmented image |
| End |
3.3. Feature Extraction
- Rib cross: The profiles from the edge picture are taken to extract this feature. When a rib edge is present, the profile has a peak assigned score of .
- Peak ratio: This is obtained by calculating the maximum peak to minimum peak ratio and the average for each extracted profile.
- Slope ratio: This is obtained by calculating the profile’s first-order derivative and taking the average:
- Slope smoothness: This characteristic determines how smooth the slope is. It is obtained by calculating the second-order derivatives for each profile, then the steepness value and the average. Therefore, the profile-based features are expressed as .
3.4. Feature Selection
- (1)
- Hypothesis and your analysis plan.
- (2)
- Analyze the sample data and forecast the outcome.
- (1)
- Specify the hypothesis and analysis plan: The BD-CST model receives extracted characteristics, , as input. The hypothesis and then the analytical plan on how to use model data to support or refute the hypothesis are described. The following must be specified in the plan: significance rank and test technique.
- (2)
- Examine the sample data and predict the results: The selected data must be examined at this stage to determine the test’s degree of freedom, the predictable frequency, the test value, and the probability value. One can figure out the degree of freedom, , as follows:
3.5. Classification
| Algorithm 2: BD-CST |
| Input: selected features |
| Output: Classified output as Normal or Abnormal |
| Begin |
| Initialize selected features , weight |
| For all training steps do |
| Perform convolution layer |
| Compute p-ReLU function |
| Perform max pooling layer |
| Process fully connected layer |
| End For |
| Return classified output as Normal or Abnormal |
| End |
3.6. Risk Screening
4. Results and Discussion
4.1. Dataset Description
4.2. Classification Analysis
4.3. Performance Analysis of Segmentation
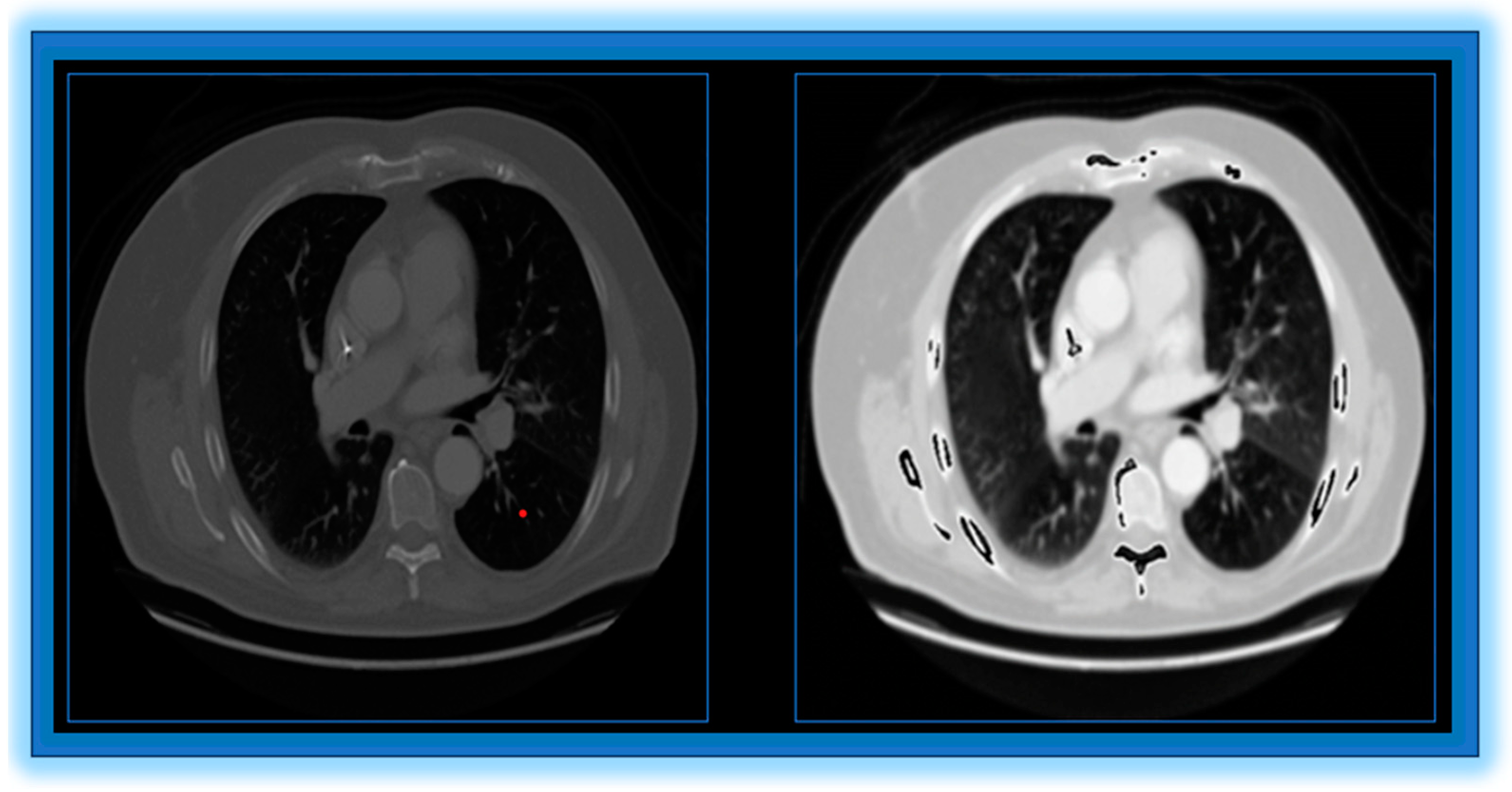
4.4. Analysis of Noise Removal
5. Conclusions
Author Contributions
Funding
Institutional Review Board Statement
Informed Consent Statement
Data Availability Statement
Acknowledgments
Conflicts of Interest
References
- Pradhan, K.S.; Chawla, P.; Tiwari, R. HRDEL: High ranking deep ensemble learning-based lung cancer diagnosis model. Expert Syst. Appl. 2023, 213, 118956. [Google Scholar] [CrossRef]
- Zhang, H.; Liao, M.; Guo, Q.; Chen, J.; Wang, S.; Liu, S.; Xiao, F. Predicting N2 lymph node metastasis in presurgical stage I-II non-small cell lung cancer using multiview radiomics and deep learning method. Med. Phys. 2023, 50, 2049–2060. [Google Scholar] [CrossRef]
- Seema, A.; Yadav, A.S.; Dinesh, V.; Vatsav, K.S.S.; Prakash, K.S.S.; Jaiswal, S. By artificial intelligence algorithms and machine learning models to diagnosis cancer. Mater. Today Proc. 2023, 80, 2969–2975. [Google Scholar]
- Abdullah, M.H.; Alamgeer, M.; Maashi, M.; Othman, M.; Hamza, M.A.; Ibrahim, S.S.; Zamani, A.S.; Yaseen, I. Leveraging Marine Predators Algorithm with Deep Learning for Lung and Colon Cancer Diagnosis. Cancers 2023, 15, 1591. [Google Scholar] [CrossRef] [PubMed]
- Chui, K.T.; Gupta, B.B.; Jhaveri, R.H.; Chi, H.R.; Arya, V.; Almomani, A.; Nauman, A. Multiround transfer learning and modified generative adversarial network for lung cancer detection. Int. J. Intell. Syst. 2023, 2023, 6376275. [Google Scholar] [CrossRef]
- Thi-Oanh, T.; Vo, T.H.; Le, N.Q.K. Omics-based deep learning approaches for lung cancer decision-making and therapeutics development. Brief. Funct. Genom. 2023, 23, elad031. [Google Scholar]
- Shalini, W.; Vigneshwari, S. Lung cell cancer identification mechanism using deep learning approach. Soft Comput. 2023, 1–15. [Google Scholar]
- Shen, Z.; Cao, P.; Yang, J.; Osmar, R.Z. WS-LungNet: A two-stage weakly-supervised lung cancer detection and diagnosis network. Comput. Biol. Med. 2023, 154, 106587. [Google Scholar] [CrossRef]
- Mikhael, P.G.; Wohlwend, J.; Yala, A.; Karstens, L.; Xiang, J.; Takigami, A.K.; Bourgouin, P.P.; Chan, P.; Mrah, S.; Amayri, W.; et al. Sybil: A validated deep learning model to predict future lung cancer risk from a single low-dose chest computed tomography. J. Clin. Oncol. 2023, 41, 2191–2200. [Google Scholar] [CrossRef] [PubMed]
- Hesamoddin, H.S.; Monsefi, R.; Shadroo, S. Deep learning applications for lung cancer diagnosis: A systematic review. Multimed. Tools Appl. 2023, 83, 14305–14335. [Google Scholar]
- Ahmad, S.E.; Chaurasia, V.; Shandilya, M. Detection and classification of lung cancer computed tomography images using a novel improved deep belief network with Gabor filters. Chemom. Intell. Lab. Syst. 2023, 235, 104763. [Google Scholar]
- Aayush, R.; Subasi, A. Lung cancer detection from histopathological lung tissue images using deep learning. In Applications of Artificial Intelligence in Medical Imaging; Academic Press: Cambridge, MA, USA, 2023; pp. 51–74. [Google Scholar]
- Abd, E.-G.S.; Azad, M.; Elmogy, M. Robustness Fine-Tuning Deep Learning Model for Cancers Diagnosis Based on Histopathology Image Analysis. Diagnostics 2023, 13, 699. [Google Scholar] [CrossRef]
- Shigao, H.; Yang, J.; Shen, N.; Xu, Q.; Zhao, Q. Artificial intelligence in lung cancer diagnosis and prognosis: Current application and future perspective. In Seminars in Cancer Biology; Academic Press: Cambridge, MA, USA, 2023. [Google Scholar]
- Farzane, T. A comprehensive review of deep learning in lung cancer. arXiv 2023, arXiv:2308.02528. [Google Scholar]
- Wang, S.; Meng, F.; Li, M.; Bao, H.; Chen, X.; Zhu, M.; Liu, R.; Xu, X.; Yang, S.; Wu, X.; et al. Multidimensional Cell-Free DNA Fragmentomic Assay for Detection of Early-Stage Lung Cancer. Am. J. Respir. Crit. Care Med. 2023, 207, 1203–1213. [Google Scholar] [CrossRef] [PubMed]
- Choudhury, A.; Balasubramaniam, S.; Kumar, A.P.; Kumar, S.N. PSSO: Political Squirrel Search Optimizer-Driven Deep Learning for Severity Level Detection and Classification of Lung Cancer. Int. J. Inf. Technol. Decis. Mak. 2023, 1–34. [Google Scholar] [CrossRef]
- Lal, H.; Alsolai, H.; Hassine, S.B.H.; Mohamed, K.; Al Duhayyim, N.M.; Hilal, A.M.; Ahmed, S.; Motwakel, S.A.; Yaseen, I.; Rizwanullah, M. Lung cancer prediction using robust machine learning and image enhancement methods on extracted gray-level co-occurrence matrix features. Appl. Sci. 2022, 12, 6517. [Google Scholar] [CrossRef]
- Asuntha, A.; Srinivasan, A. Deep learning for lung Cancer detection and classification. Multimed. Tools Appl. 2020, 79, 7731–7762. [Google Scholar] [CrossRef]
- Mahadi, H.; Al Mamun, M.; Das, M.C.; Hasan, M.M.; Islam, A.M. The application and comparison of Deep Learning models for the prediction of chest cancer prognosis. In Proceedings of the 2023 International Conference on Smart Applications, Communications and Networking (SmartNets), Istanbul, Turkiye, 25–27 July 2023; pp. 1–5. [Google Scholar]
- Ju, C.K.; Lim, S.; Seo, J.B.; Hwang, H.J.; Choi, H.; Lynch, D.; Jin, G.Y. Interstitial Lung Abnormalities at CT in the Korean National Lung Cancer Screening Program: Prevalence and Deep Learning–based Texture Analysis. Radiology 2023, 307, e222828. [Google Scholar]
- Prasad, G.K. Leveraging object detection for the identification of lung cancer. arXiv 2023, arXiv:2305.15813. [Google Scholar]
- Maharaju, R.; Valupadasu, R. Lung Cancer Classification and Prediction of Disease Severity Score Using Deep Learning. In Proceedings of the 2023 6th International Conference on Information and Computer Technologies (ICICT), Raleigh, NC, USA, 24–26 March 2023; pp. 100–104. [Google Scholar]
- Vishwa Kiran, S.; Inderjeet Kaur, K.; Thangaraj, V.; Saveetha, R.; Grace, K.; Arulkumar, N. Machine Learning with Data Science-Enabled Lung Cancer Diagnosis and Classification Using Computed Tomography Images. Int. J. Image Graph. 2023, 23, 2240002. [Google Scholar] [CrossRef]
- Saghir, A.; Raza, B.; Hussain, L.; Aldweesh, A.; Omar, A.; Khan, M.S.; Eldin, E.T.; Nadim, M.A. The Deep Learning ResNet101 and Ensemble XGBoost Algorithm with Hyperparameters Optimization Accurately Predict the Lung Cancer. Appl. Artif. Intell. 2023, 37, 2166222. [Google Scholar]
- Guillaume, C.; De Margerie-Mellon, C.; Vakalopoulou, M.; Marini, R.; Hoang-Thi, T.-N.; Revel, M.-P.; Soyer, P. Artificial intelligence in lung cancer: Current applications and perspectives. Jpn. J. Radiol. 2023, 41, 235–244. [Google Scholar]
- Saleh, A.; Elsayed, N.; ElSayed, Z.; Ozer, M. Deep Learning Approach for Early Stage Lung Cancer Detection. arXiv 2023, arXiv:2302.02456. [Google Scholar]
- Yahia, S.; Ahmed, A.; Shawly, A.T.; Lahza, H. Medical images segmentation for lung cancer diagnosis based on deep learning architectures. Diagnostics 2023, 13, 546. [Google Scholar] [CrossRef]
- Bhatia, I.; Aarti, A. Lung carcinoma detection at premature stage using deep learning techniques. In Proceedings of the AIP Conference Proceedings, Mohali, India, 27–28 August 2021; Volume 2576. [Google Scholar]
- Althubiti, S.A.; Paul, S.; Mohanty, R.; Mohanty, S.N.; Alenezi, F.; Polat, K. Ensemble learning framework with GLCM texture extraction for early detection of lung cancer on CT images. Comput. Math. Methods Med. 2022, 2022, 2733965. [Google Scholar] [CrossRef]
- Devyani, R.; Sharma, S.; Bhadula, S. Deep Learning Techniques in Digital Clinical Diagnostic System for Lung Cancer. In Proceedings of the 2023 9th International Conference on Advanced Computing and Communication Systems (ICACCS), Coimbatore, India, 17–18 March 2023; Volume 1, pp. 1232–1237. [Google Scholar]
- Ali, S.A.; Malik, H.A.M.; Muhammad, A.; Alourani, A.; Butt, Z.A. Deep learning ensemble 2D CNN approach towards the detection of lung cancer. Sci. Rep. 2023, 13, 2987. [Google Scholar]
- Lan-Wei, G.; Lyu, Z.-Y.; Meng, Q.-C.; Zheng, L.-Y.; Chen, Q.; Liu, Y.; Xu, H.-F.; Kang, R.H.; Zhang, L.Y.; Cao, X.Q.; et al. A risk prediction model for selecting high-risk population for computed tomography lung cancer screening in China. Lung Cancer 2022, 163, 27–34. [Google Scholar]
- Chaunzwa, T.L.; Hosny, A.; Xu, Y.; Shafer, A.; Diao, N.; Lanuti, M.; David, C.; Christiani, R.; Mak, H.; Aerts, H.J.W. Deep learning classification of lung cancer histology using CT images. Sci. Rep. 2021, 11, 5471. [Google Scholar] [CrossRef]
- Ying, X.; Meng, W.-Y.; Li, R.-Z.; Wang, Y.-W.; Qian, X.; Chan, C.; Yu, Z.-F.; Fan, X.X.; Pan, H.D.; Xie, C.; et al. Early lung cancer diagnostic biomarker discovery by machine learning methods. Transl. Oncol. 2021, 14, 100907. [Google Scholar]
- Pritam, M.; Zhou, M.; Lee, E.; Schicht, A.; Balagurunathan, Y.; Napel, S.; Gillies, R.; Wong, S.; Thieme, A.; Leung, A.; et al. A shallow convolutional neural network predicts prognosis of lung cancer patients in multi-institutional computed tomography image datasets. Nat. Mach. Intell. 2020, 2, 274–282. [Google Scholar]
- Farhanaz, F.; Shamil, M.S.; Ibtehaz, N.; Rahman, M.S. Revisiting segmentation of lung tumors from CT images. Comput. Biol. Med. 2022, 144, 105385. [Google Scholar]
- Praveena, M.A.; Ravi, T.; Srikanth, B.; Hari Praveen, B.; Krishna, S.; Mallik, A.S. Lung cancer detection using deep learning approach CNN. In Proceedings of the 2022 7th International Conference on Communication and Electronics Systems (ICCES), Coimbatore, India, 22–24 June 2022; pp. 1418–1423. [Google Scholar]
- Jianxin, F.; Jiang, J. Deep learning-based chest CT image features in diagnosis of lung cancer. Comput. Math. Methods Med. 2022, 2022, 4153211. [Google Scholar]
- Michele, A.; Stancanello, J.; Pirrone, G.; Sartor, G. Radiomics and deep learning in lung cancer. Strahlenther. Onkol. 2020, 196, 879–887. [Google Scholar]
- Neal, J.E.S.; Chakkravarthy, M.; Bhattacharyya, D. An Extensive Review on Lung Cancer Detection Using Machine Learning Techniques: A Systematic Study. Rev. D’intelligence Artif. 2020, 34, 351–359. [Google Scholar]
- Xu, Y.; Hosny, A.; Zeleznik, R.; Parmar, C.; Coroller, T.; Franco, I.; Mak, R.H.; Aerts, H.J. Deep learning predicts lung cancer treatment response from serial medical imaging. Clin. Cancer Res. 2019, 25, 3266–3275. [Google Scholar] [CrossRef]
- Elias, D.; Trigka, M. Lung cancer risk prediction with machine learning models. Big Data Cogn. Comput. 2022, 6, 139. [Google Scholar] [CrossRef]
- Baihua, Z.; Qi, S.; Monkam, P.; Li, C.; Yang, F.; Yao, Y.-D.; Qian, W. Ensemble learners of multiple deep CNNs for pulmonary nodules classification using CT images. IEEE Access 2019, 7, 110358–110371. [Google Scholar]
- Lingming, Y.; Tao, G.; Zhu, L.; Wang, G.; Li, Z.; Ye, J.; Chen, Q. Prediction of pathologic stage in non-small cell lung cancer using machine learning algorithm based on CT image feature analysis. BMC Cancer 2019, 19, 1–12. [Google Scholar]
- Shakeel, P.M.; Burhanuddin, M.A.; Desa, M.I. Automatic lung cancer detection from CT image using improved deep neural network and ensemble classifier. Neural Comput. Appl. 2022, 34, 9579–9592. [Google Scholar] [CrossRef]
- Qianbiao, G.; Feng, Z.; Liang, Q.; Li, M.; Deng, J.; Ma, M.; Wang, W.; Liu, J.; Liu, P.; Rong, P. Machine learning-based radiomics strategy for prediction of cell proliferation in non-small cell lung cancer. Eur. J. Radiol. 2019, 118, 32–37. [Google Scholar]
- Onur, O.; Rebecca; Russell, L.; Berlin, A.A. A 3D probabilistic deep learning system for detection and diagnosis of lung cancer using low-dose CT scans. IEEE Trans. Med. Imaging 2019, 39, 1419–1429. [Google Scholar]
- Zhuo, L.; Yao, C.; Yu, H.; Wu, T. Deep reinforcement learning with its application for lung cancer detection in medical Internet of Things. Future Gener. Comput. Syst. 2019, 97, 1–9. [Google Scholar]
- Makaju, S.; Prasad, P.W.; Alsadoon, A.; Singh, A.K.; Elchouemi, A. Lung cancer detection using CT scan images. Procedia Comput. Sci. 2018, 125, 107–114. [Google Scholar] [CrossRef]
- Umar, D.; Ali, T.; Yasin, S.; Waqas, U.; Zahra, S.B.; Shoukat, M.A.; Gul, S. A Pattern Detection Technique of L-MYC for Lungs Cancer Oncogene in Bioinformatics Big Data. In Proceedings of the 2020 17th International Bhurban Conference on Applied Sciences and Technology (IBCAST), Islamabad, Pakistan, 14–18 January 2020; pp. 218–223. [Google Scholar]
- Shakeel, P.M.; Burhanuddin, M.A.; Desa, M.I. Lung cancer detection from CT image using improved profuse clustering and deep learning instantaneously trained neural networks. Measurement 2019, 145, 702–712. [Google Scholar] [CrossRef]
- Huang, S.; Arpaci, I.; Al-Emran, M.; Kılıçarslan, S.; Al-Sharafi, M.A. A comparative analysis of classical machine learning and deep learning techniques for predicting lung cancer survivability. Multimed. Tools Appl. 2023, 82, 34183–34198. [Google Scholar] [CrossRef]
- Gopi, K.; Jayakumar, S. Cloud-based lung tumor detection and stage classification using deep learning techniques. BioMed Res. Int. 2022, 2022, 4185835. [Google Scholar]
- Bhaskar, N.; Ganashree, T.S. Lung Cancer Detection with FPCM and Watershed Segmentation Algorithms. In Advances in Decision Sciences, Image Processing, Security and Computer Vision: International Conference on Emerging Trends in Engineering (ICETE); Springer International Publishing: Berlin/Heidelberg, Germany, 2020; Volume 1, pp. 687–695. [Google Scholar]
- Qiao, Y. JCSE01. 04 Risk Modeling for the Early Detection of Tin Miner Lung Cancer in China. J. Thorac. Oncol. 2018, 13, S311. [Google Scholar] [CrossRef]
- Fan, T.W.; Zhang, X.; Wang, C.; Yang, Y.; Kang, W.Y.; Arnold, S.; Higashi, R.M.; Liu, J.; Lane, A.N. Exosomal lipids for classifying early and late stage non-small cell lung cancer. Anal. Chim. Acta 2018, 1037, 256–264. [Google Scholar] [CrossRef]
- Cláudia, G.; De Mello, R.A.; Oliveira, D.; Castro-Lopes, J.M.; Castelo-Branco, P.; Santos, R.S.D.; Hespanhol, V.; Pozza, D.H. Lung cancer: A brief review of epidemiology and screening. Future Oncol. 2018, 14, 567–575. [Google Scholar]
- Tsay, J.C.; Greenberg, A.K.; Rom, W.N.; Massion, P.P. Preclinical Biomarkers for the Early Detection of Lung Cancer. In IASLC Thoracic Oncology; Elsevier: Amsterdam, The Netherlands, 2018; pp. 59–68. [Google Scholar]
- Isha, B.; Aarti. Deep Learning-Based Proposed Approach for Low-Dose CT Scan-Based Early Detection of Lung Cancer. In International Conference on Soft Computing and Signal Processing; Springer Nature: Singapore, 2023; pp. 191–201. [Google Scholar]
- Nasser, I.M.; Abu-Naser, S.S. Lung cancer detection using artificial neural network. Int. J. Eng. Inf. Syst. 2019, 3, 17–23. [Google Scholar]
- Ruchita, T.; Rajeswari, K. Lung cancer detection and classification using deep learning. In Proceedings of the 2018 Fourth International Conference on Computing Communication Control and Automation (ICCUBEA), Pune, India, 16–18 August 2018; pp. 1–5. [Google Scholar]
- Tsao, A.S.; Lindwasser, O.W.; Adjei, A.A.; Adusumilli, P.S.; Beyers, M.L.; Blumenthal, G.M.; Bueno, R.; Burt, B.M.; Carbone, M.; Dahlberg, S.E.; et al. Current and future management of malignant mesothelioma: A consensus report from the national cancer institute thoracic malignancy steering committee, international association for the study of lung cancer, and mesothelioma applied research foundation. J. Thorac. Oncol. 2018, 13, 1655–1667. [Google Scholar] [CrossRef] [PubMed]
- Kshivets, O. P2. 11-13 Precise early detection of lung cancer and blood cell circuit. J. Thorac. Oncol. 2018, 13, S783. [Google Scholar] [CrossRef]
- Min, L.S.; Park, C.M. Application of Artificial Screening Intelligence in Lung Cancer. J. Korean Soc. 2019, 80, 872–879. [Google Scholar]
- Nageswaran, S.; Arunkumar, G.; Bisht, A.K.; Mewada, S.; Kumar, J.S.; Jawarneh, M.; Asenso, E. Lung cancer classification and prediction using machine learning and image processing. BioMed Res. Int. 2022, 2022, 1755460. [Google Scholar] [CrossRef]
- Primakov, S.P.; Ibrahim, A.; van Timmeren, J.E.; Wu, G.; Keek, S.A.; Beuque, M.; Granzier, R.W.; Lavrova, E.; Scrivener, M.; Sanduleanu, S.; et al. Automated detection and segmentation of non-small cell lung cancer computed tomography images. Nat. Commun. 2022, 13, 3423. [Google Scholar] [CrossRef]









| Approaches | Accuracy (%) | Precision (%) | Sensitivity (%) | Recall (%) | f-Score (%) | Specificity (%) |
|---|---|---|---|---|---|---|
| Proposed PResNet | 98.21 | 98.71 | 97.46 | 97.46 | 98.08 | 98.71 |
| ResNet | 94.66 | 96.66 | 94.15 | 94.15 | 95.39 | 96.87 |
| CNN | 93.01 | 95.33 | 90.50 | 90.50 | 92.85 | 95.54 |
| DNN | 92.38 | 95.36 | 89.44 | 89.44 | 92.30 | 95.45 |
| ANN | 87.26 | 89.40 | 84.90 | 84.90 | 87.09 | 89.67 |
| U-Net | 96.50 | 97.20 | 92.10 | 96.00 | 90.02 | 90.00 |
| DenseNet | 97.60 | 98.30 | 95.30 | 96.00 | 96.21 | 93.22 |
| EfficientNet | 97.85 | 98.45 | 92.60 | 97.10 | 95.22 | 94.65 |
| Vision Transformer (ViT) | 97.95 | 98.50 | 93.00 | 97.00 | 94.23 | 95.12 |
| Method | MSE | PSNR (%) | SSIM |
|---|---|---|---|
| Proposed Model | 3.7105 | 30.0334 | 0.8933 |
| ADF | 4.9105 | 28.0334 | 0.8533 |
| GF | 7.0002 | 25.9047 | 0.7703 |
| MF | 7.6316 | 24.3380 | 0.6440 |
| BF | 9.1208 | 22.1738 | 0.5784 |
| Techniques | Accuracy |
|---|---|
| Proposed PResNet | 98.21 |
| RF | 97.1 |
| Deep NN | 92.11 |
| Deep CNN | 81.7 |
Disclaimer/Publisher’s Note: The statements, opinions and data contained in all publications are solely those of the individual author(s) and contributor(s) and not of MDPI and/or the editor(s). MDPI and/or the editor(s) disclaim responsibility for any injury to people or property resulting from any ideas, methods, instructions or products referred to in the content. |
© 2024 by the authors. Licensee MDPI, Basel, Switzerland. This article is an open access article distributed under the terms and conditions of the Creative Commons Attribution (CC BY) license (https://creativecommons.org/licenses/by/4.0/).
Share and Cite
Bhatia, I.; Aarti; Ansarullah, S.I.; Amin, F.; Alabrah, A. An Advanced Lung Carcinoma Prediction and Risk Screening Model Using Transfer Learning. Diagnostics 2024, 14, 1378. https://doi.org/10.3390/diagnostics14131378
Bhatia I, Aarti, Ansarullah SI, Amin F, Alabrah A. An Advanced Lung Carcinoma Prediction and Risk Screening Model Using Transfer Learning. Diagnostics. 2024; 14(13):1378. https://doi.org/10.3390/diagnostics14131378
Chicago/Turabian StyleBhatia, Isha, Aarti, Syed Immamul Ansarullah, Farhan Amin, and Amerah Alabrah. 2024. "An Advanced Lung Carcinoma Prediction and Risk Screening Model Using Transfer Learning" Diagnostics 14, no. 13: 1378. https://doi.org/10.3390/diagnostics14131378
APA StyleBhatia, I., Aarti, Ansarullah, S. I., Amin, F., & Alabrah, A. (2024). An Advanced Lung Carcinoma Prediction and Risk Screening Model Using Transfer Learning. Diagnostics, 14(13), 1378. https://doi.org/10.3390/diagnostics14131378

