Elastography of the Male Pelvic Region—Perspectives on Malignant Lesions
Abstract
1. Introduction
1.1. Physical Principles of Elastography
1.2. Elastography Artefacts
1.3. Methods for Force Application
1.3.1. Quasi-Static Elastography (Strain)
1.3.2. Dynamic Elastography
1.4. Elastography Techniques
1.4.1. Strain or Compression Elastography
1.4.2. Shear Wave Elastography
2. Rectal
2.1. Introduction
2.2. Rectal Anatomy and the Staging of Rectal Cancer
2.3. Endorectal Ultrasound Scanning Technique
2.4. Elastography—Change in Tumour Stiffness Caused by Malignant Transformation
3. Prostate
3.1. Introduction
3.2. Prostate Anatomy and Scanning Technique
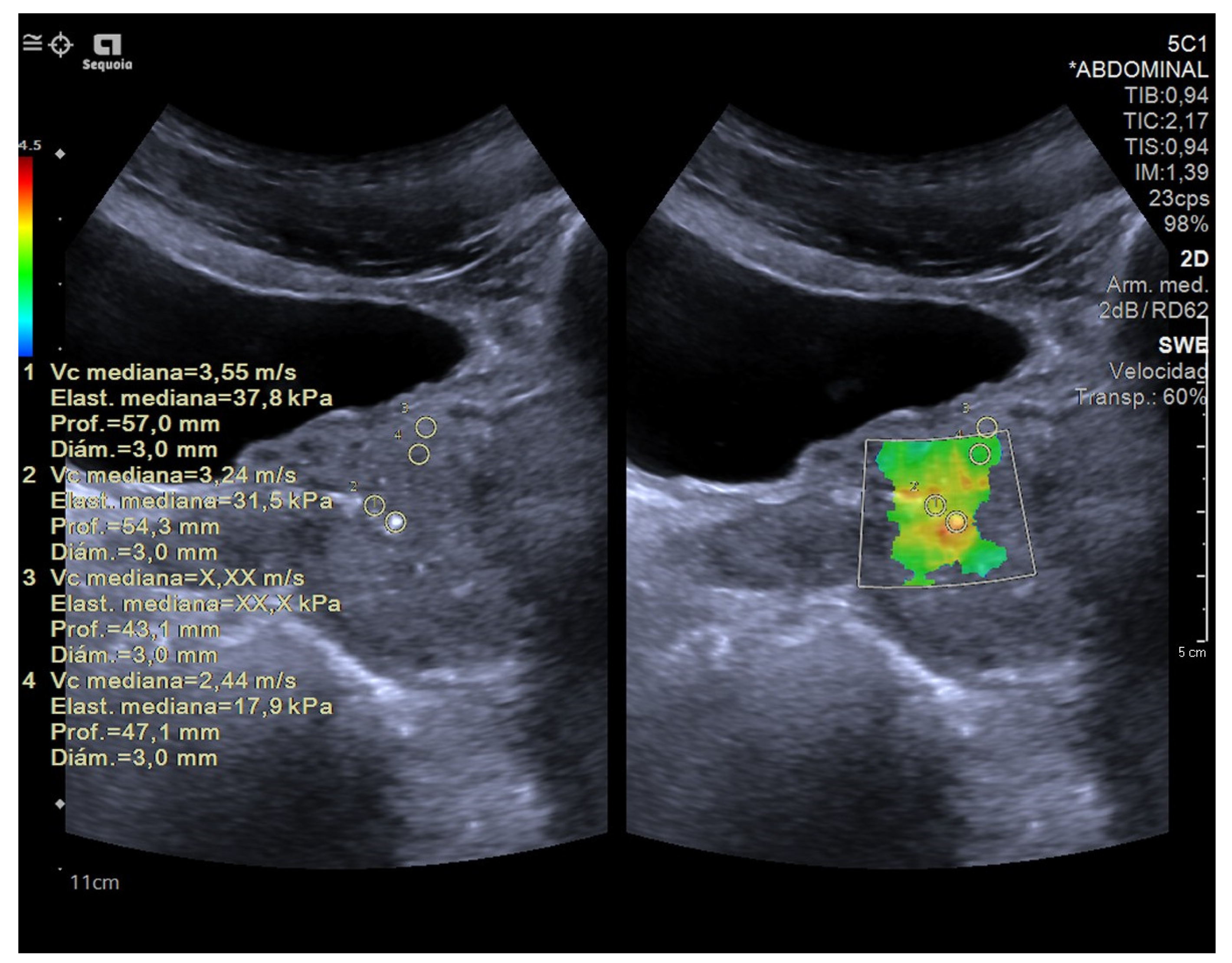
3.3. Elastography in Prostate Lesions
4. Scrotum
4.1. Introduction
4.2. Scrotum Anatomy and the Scanning Technique
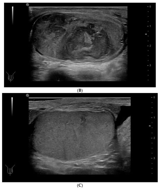
4.3. Elastography in Testicular Lesions
5. Discussion and Conclusions
Author Contributions
Funding
Institutional Review Board Statement
Informed Consent Statement
Data Availability Statement
Acknowledgments
Conflicts of Interest
References
- Vega, M. Métodos e Análise Para Segmentação de Imagens Ultrassonográficas da Mama. Ph.D. Thesis, Universidade de São Paulo, São Paulo, Brazil, 2011. Available online: http://www.tcc.sc.usp.br/tce/disponiveis/18/180450/tce-02042012-084929/?&lang=br (accessed on 5 August 2023).
- Cosgrove, D.; Piscaglia, F.; Bamber, J.; Bojunga, J.; Gilja, O.H.; Klauser, A.S.; Sporea, I.; Calliada, F.; Cantisani, V.; Drakonaki, E.E.; et al. EFSUMB Guidelines and Recommendations on the Clinical Use of Ultrasound Elastography. Part 2: Clinical Applications. Ultraschall Med. 2013, 34, 238–253. [Google Scholar] [CrossRef] [PubMed]
- Gheorghe, L.; Iacob, S.; Iacob, R.; Dumbrava, M.; Becheanu, G.; Herlea, V.; Gheorghe, C.; Lupescu, I.; Popescu, I. Real time elastography—A non-invasive diagnostic method of small hepatocellular carcinoma in cirrhosis. J. Gastrointest. Liver Dis. 2009, 18, 439–446. Available online: http://www.ncbi.nlm.nih.gov/pubmed/20076816 (accessed on 5 August 2023).
- Zordo, T.; Lill, S.; Fink, C.; Feuchtner, G.; Jaschke, W.; Bellmann-Weiler, R.; Klauser, A. Real-time sonoelastography of lateral epicondylitis: Comparison of findings between patients and healthy volunteers. AJR Am. J. Roentgenol. 2009, 193, 180–185. [Google Scholar] [CrossRef]
- Ophir, J. A Review of Theoretical and Experimental Aspects of Imaging the Elastic Attributes of Tissue In Vivo. In Research and Development in Breast Ultrasound; Springer: Tokyo, Japan, 2005; pp. 5–8. Available online: http://eknygos.lsmuni.lt/springer/409/3-6.pdf (accessed on 6 August 2023).
- Ophir, J.; Alam, S.K.; Garra, B.; Kallel, F.; Konofagou, E.; Krouskop, T.; Varghese, T. Elastography: Ultrasonic estimation and imaging of the elastic properties of tissues. Proc. Inst. Mech. Eng. H 1999, 213, 203–233. [Google Scholar] [CrossRef] [PubMed]
- Pedersen, M.; Fredberg, U.; Langberg, H.; Hospital, B.; Silkeborg, R.H.; Rehab, C.; Pedersen, M.; Sciences, H. Sonoelastography as a Diagnostic Tool in the Assessment of Musculoskeletal Alterations: A Systematic Review Sonoelastografie als Diagnoseverfahren, um muskuloskelettale Veränderungen. Ultraschall Med. 2012, 33, 441–446. [Google Scholar] [PubMed]
- Castaneda, B.; Rubens, D.J.; Parker, K.J. Clinical applications of sonoelastography. In Proceedings of the 2010 Pan American Health Care Exchanges, Lima, Peru, 15–19 March 2010; pp. 74–75. Available online: http://ieeexplore.ieee.org/lpdocs/epic03/wrapper.htm?arnumber=5474595 (accessed on 6 August 2023).
- Smajlovic, F.; Carovac, A.; Bulja, D. Sonoelastography: The method of choice for evaluation of tissue elasticity. J. Health Sci. 2011, 1, 50–55. [Google Scholar] [CrossRef]
- Rizzatto, G. Ultrasound elastography. Breast Cancer Res. 2008, 10, P4. [Google Scholar] [CrossRef][Green Version]
- D’Onofrio, M.; Barbi, E.; Dietrich, C.F.; Kitano, M.; Numata, K.; Sofuni, A.; Principe, F.; Gallotti, A.; Zamboni, G.A.; Mucelli, R.P. Pancreatic multicenter ultrasound study (PAMUS). Eur. J. Radiol. 2012, 81, 630–638. [Google Scholar] [CrossRef]
- Kudo, M.; Shiina, T.; Moriyasu, F.; Iijima, H.; Tateishi, R.; Yada, N.; Fujimoto, K.; Morikawa, H.; Hirooka, M.; Sumino, Y.; et al. JSUM ultrasound elastography practice guidelines: Liver. J. Med. Ultrason. 2013, 40, 325–357. [Google Scholar] [CrossRef]
- Klauser, A.; Miyamoto, H.; Bellmann-Weiler, R.; Feuchtner, G.; Wick, M.; Jaschke, W. Sonoelastography: Musculoskeletal applications. Radiology 2014, 272, 622–633. [Google Scholar] [CrossRef]
- Toledo, M.P. Reliability of Ultrasound Imaging Measures of Soft Tissue Stiffness Using Elastography in the Posterior Aspect of the Leg. Master’s Thesis, Unitec, Auckland, New Zealand, 2016. Available online: http://unitec.researchbank.ac.nz/bitstream/handle/10652/3416/MOst_2016_MariaPaulaToledo_1416571_FinalThesis.pdf?sequence=1 (accessed on 6 August 2023).
- Cavalcanti, E. Desenvolvimento de um Sistema Para Medida Elastográfica Dinâmica por Ultrassom. Ph.D. Thesis, Universidade de São Paulo, São Paulo, Brazil, 2012. Available online: http://text-br.123dok.com/document/q2nm3krq-desenvolvimento-de-um-sistema-para-medida-elastografica-dinamica-por-ultrassom.html (accessed on 5 August 2023).
- Gennisson, J.-L.; Deffieux, T.; Fink, M.; Tanter, M. Ultrasound elastography: Principles and techniques. Diagn. Interv. Imaging 2013, 94, 487–495. [Google Scholar] [CrossRef] [PubMed]
- Cosgrove, D.; Piscaglia, F.; Bamber, J.; Bojunga, J.; Correas, J.-M.; Gilja, O.H.; Klauser, A.S.; Sporea, I.; Calliada, F.; Cantisani, V.; et al. EFSUMB guidelines and recommendations on the clinical use of ultrasound elastography. Part 1: Basic principles and technology. Ultraschall Med. 2013, 34, 169–184. [Google Scholar] [CrossRef] [PubMed]
- Drakonaki, E.; Allen, G.; Wilson, D. Ultrasound elastography for musculoskeletal applications. Br. J. Radiol. 2012, 85, 1435–1445. [Google Scholar] [CrossRef] [PubMed]
- Franchi-Abella, S.; Elie, C.; Correas, J.-M. Ultrasound elastography: Advantages, limitations and artefacts of the different techniques from a study on a phantom. Diagn. Interv. Imaging 2013, 94, 497–501. [Google Scholar] [CrossRef] [PubMed]
- Kim, S.; Park, H.; Lee, S. Usefulness of strain elastography of the musculoskeletal system. Ultrasonography 2015, 35, 104–109. [Google Scholar] [CrossRef] [PubMed]
- Sung, H.; Ferlay, J.; Siegel, R.L.; Laversanne, M.; Soerjomataram, I.; Jemal, A.; Bray, F. Global Cancer Statistics 2020: GLOBOCAN Estimates of Incidence and Mortality Worldwide for 36 Cancers in 185 Countries. CA Cancer J. Clin. 2021, 71, 209–249. [Google Scholar] [CrossRef] [PubMed]
- Beets-Tan, R.G.H.; Lambregts, D.M.J.; Maas, M.; Bipat, S.; Barbaro, B.; Curvo-Semedo, L.; Fenlon, H.M.; Gollub, M.J.; Gourtsoyianni, S.; Halligan, S.; et al. Magnetic resonance imaging for clinical management of rectal cancer: Updated recommendations from the 2016 European Society of Gastrointestinal and Abdominal Radiology (ESGAR) consensus meeting. Eur. Radiol. 2018, 28, 1465–1475. [Google Scholar] [CrossRef] [PubMed]
- Glynne-Jones, R.; Wyrwicz, L.; Tiret, E.; Brown, G.; Rödel, C.; Cervantes, A.; Arnold, D. Rectal cancer: ESMO Clinical Practice Guidelines for diagnosis, treatment and follow-up. Ann. Oncol. 2017, 28, iv22–iv40. [Google Scholar] [CrossRef]
- Fernández-Esparrach, G.; Ayuso-Colella, J.R.; Sendino, O.; Pagés, M.; Cuatrecasas, M.; Pellisé, M.; Maurel, J.; Ayuso-Colella, C.; González-Suárez, B.; Llach, J.; et al. EUS and magnetic resonance imaging in the staging of rectal cancer: A prospective and comparative study. Gastrointest. Endosc. 2011, 74, 347–354. [Google Scholar] [CrossRef]
- Loft, M.K.; Pedersen, M.R.V.; Rahr, H.B.; Rafaelsen, S.R. Can Ultrasound Elastography Discriminate between Rectal Adenoma and Cancer? A Systematic Review. Cancers 2021, 13, 4158. [Google Scholar] [CrossRef]
- Waage, J.E.R.; Rafaelsen, S.R.; Borley, N.R.; Havre, R.F.; Gubberud, E.T.; Leh, S.; Kolbro, T.; Hagen, K.K.; Eide, G.E.; Pfeffer, F. Strain elastography evaluation of rectal tumors: Inter- and intraobserver reproducibility. Ultraschall Med. 2015, 36, 611–617. [Google Scholar] [CrossRef]
- Oien, K.; Mjørud Forsmo, H.; Rösler, C.; Nylund, K.; Erling Waage, J.; Pfeffer, F. Endorectal ultrasound and magnetic resonance imaging for staging of early rectal cancers: How well does it work in practice? Acta Oncol. 2019, 58, S49–S54. [Google Scholar] [CrossRef] [PubMed]
- Xiao, Y.; Xu, D.; Ju, H.; Yang, C.; Wang, L.; Wang, J.; Hazle, J.D.; Wang, D. Application value of biplane transrectal ultrasonography plus ultrasonic elastosonography and contrast-enhanced ultrasonography in preoperative T staging after neoadjuvant chemoradiotherapy for rectal cancer. Eur. J. Radiol. 2018, 104 (Suppl. S4), 20–25. [Google Scholar] [CrossRef] [PubMed]
- Chen, L.-D.; Wang, W.; Xu, J.-B.; Chen, J.-H.; Zhang, X.-H.; Wu, H.; Ye, J.-N.; Liu, J.-Y.; Nie, Z.-Q.; Lu, M.-D.; et al. Assessment of Rectal Tumors with Shear-Wave Elastography before Surgery: Comparison with Endorectal US. Radiology 2017, 285, 279–292. [Google Scholar] [CrossRef]
- Li, T.; Lu, M.; Li, Y.; Li, J.; Hu, Z.; Li, X.; Cheng, X.; Jiang, J.; Tan, B. Quantitative Elastography of Rectal Lesions: The Value ofShear Wave Elastography in Identifying Benign and Malignant Rectal Lesions. Ultrasound Med. Biol. 2019, 45, 85–92. [Google Scholar] [CrossRef] [PubMed]
- Fan, Z.; Cong, Y.; Zhang, Z.; Li, R.; Wang, S.; Yan, K. Shear Wave Elastography in Rectal Cancer Staging, Compared with Endorectal Ultrasonography and Magnetic Resonance Imaging. Ultrasound Med. Biol. 2019, 45, 1586–1593. [Google Scholar] [CrossRef]
- Loft, M.K.; Pedersen, M.R.V.; Lindebjerg, J.; Rahr, H.B.; Rafaelsen, S.R. Endorectal Ultrasound Shear-Wave Elastography of Complex Rectal Adenoma and Early Rectal Cancer. Diagnostics 2022, 12, 2166. [Google Scholar] [CrossRef]
- Waage, J.E.R.; Havre, R.F.; Ødegaard, S.; Leh, S.; Eide, G.E.; Baatrup, G. Endorectal elastography in the evaluation of rectal tumours. Color. Dis. 2011, 13, 1130–1137. [Google Scholar] [CrossRef]
- Waage, J.E.R.; Leh, S.; Røsler, C.; Pfeffer, F.; Bach, S.P.; Havre, R.F.; Haldorsen, I.S.; Ødegaard, S.; Baatrup, G. Endorectal ultrasonography, strain elastography and MRI differentiation of rectal adenomas and adenocarcinomas. Color. Dis. 2015, 17, 124–131. [Google Scholar] [CrossRef]
- Waage, J.E.R.; Bach, S.P.; Pfeffer, F.; Leh, S.; Havre, R.F.; Ødegaard, S.; Baatrup, G. Combined endorectal ultrasonography and strain elastography for the staging of early rectal cancer. Color. Dis. 2015, 17, 50–56. [Google Scholar] [CrossRef]
- Gupta, R.; Phatak, S.V. Role of transrectal ultrasound and elastography in the diagnosis of prostate lesions. J. Datta Meghe Inst. Med. Sci. Univ. 2022, 17, 14–20. [Google Scholar] [CrossRef]
- Correas, J.M.; Tissier, A.M.; Khairoune, A.; Khoury, G.; Eiss, D.; Hélénon, O. Ultrasound elastography of the prostate: State of the art. Diagn. Interv. Imaging 2013, 94, 551–560. [Google Scholar] [CrossRef] [PubMed]
- Secasan, C.C.; Onchis, D.; Bardan, R.; Cumpanas, A.; Novacescu, D.; Botoca, C.; Dema, A.; Sporea, I. Artificial Intelligence System for Predicting Prostate Cancer Lesions from Shear Wave Elastography Measurements. Curr. Oncol. 2022, 29, 4212–4223. [Google Scholar] [CrossRef]
- Tyloch, D.J.; Tyloch, J.F.; Adamowicz, J.; Neska-Długosz, I.; Grzanka, D.; Van Breda, S.; Drewa, T. Comparison of Strain and Shear Wave Elastography in Prostate Cancer Detection. Ultrasound Med. Biol. 2022, 49, 889–900. [Google Scholar] [CrossRef] [PubMed]
- Sarkar, S.; Das, S. A Review of Imaging Methods for Prostate Cancer Detection. Biomed. Eng. Comput. Biol. 2016, 7, 1–15. [Google Scholar] [CrossRef] [PubMed]
- Wildeboer, R.R.; Mannaerts, C.K.; Van Sloun, R.J.G.; Wijkstra, H.; Salomon, G.; Mischi, M. Machine Learning for Multiparametric Ultrasound Classification of Prostate Cancer using B-mode, Shear-Wave Elastography, and Contrast-Enhanced Ultrasound Radiomics. In Proceedings of the IEEE International Ultrasonics Symposium (IUS), Glasgow, UK, 6–9 October 2019; pp. 1902–1905. [Google Scholar] [CrossRef]
- Turkbey, B.; Albert, P.S.; Kurdziel, K.; Choyke, P.L. Imaging Localized Prostate Cancer: Current Approaches and New Developments. Am. J. Roentgenol. 2012, 192, 1471–1480. [Google Scholar] [CrossRef] [PubMed]
- McLaughlin, P.W.; Troyer, S.; Berri, S.; Narayana, V.; Meirowitz, A.; Roberson, P.L.; Montie, J. Functional anatomy of the prostate: Implications for treatment planning. Int. J. Radiat. Oncol. Biol. Phys. 2005, 63, 479–491. [Google Scholar] [CrossRef] [PubMed]
- Weinreb, J.C.; Barentsz, J.O.; Choyke, P.L.; Cornud, F.; Haider, M.A.; Macura, K.J.; Margolis, D.; Schnall, M.D.; Shtern, F.; Tempany, C.M.; et al. PI-RADS Prostate Imaging—Reporting and Data System: 2015, Version 2. Eur. Urol. 2016, 69, 16–40. [Google Scholar] [CrossRef] [PubMed]
- Dai, W.B.; Xu, J.; Yu, B.; Chen, L.; Chen, Y.; Zhan, J. Correlation of Stiffness of Prostate Cancer Measured by Shear Wave Elastography with Grade Group: A Preliminary Study. Ultrasound Med. Biol. 2021, 47, 288–295. [Google Scholar] [CrossRef]
- Shoji, S.; Hashimoto, A.; Nakamura, T.; Hiraiwa, S.; Sato, H.; Sato, Y.; Tajiri, T.; Miyajima, A. Novel application of three-dimensional shear wave elastography in the detection of clinically significant prostate cancer. Biomed. Rep. 2018, 8, 373–377. [Google Scholar] [CrossRef]
- Wei, C.; Zhang, Y.; Zhang, X.; Ageeli, W.; Szewczyk-Bieda, M.; Serhan, J.; Wilson, J.; Li, C.; Nabi, G. Prostate Cancer Gleason Score from Biopsy to Radical Surgery: Can Ultrasound Shear Wave Elastography and Multiparametric Magnetic Resonance Imaging Narrow the Gap? Front. Oncol. 2021, 11, 740724. [Google Scholar] [CrossRef]
- Huang, J.; Chan, S.C.; Tin, M.S.; Liu, X.; Lok, V.T.-T.; Ngai, C.H.; Zhang, L.; Lucero-Prisno, D.E.; Xu, W.; Zheng, Z.-J.; et al. Worldwide Distribution, Risk Factors, and Temporal Trends of Testicular Cancer Incidence and Mortality: A Global Analysis. Eur. Urol. Oncol. 2022, 5, 566–576. [Google Scholar] [CrossRef]
- Pozza, C.; Gianfrilli, D.; Fattorini, G.; Giannetta, E.; Barbagallo, F.; Nicolai, E.; Cristini, C.; Di Pierro, G.B.; Franco, G.; Lenzi, A.; et al. Diagnostic value of qualitative and strain ratio elastography in the differential diagnosis of non-palpable testicular lesions. Andrology 2016, 4, 1193–1203. [Google Scholar] [CrossRef] [PubMed]
- Cantisani, V.; Di Leo, N.; Bertolotto, M.; Fresilli, D.; Granata, A.; Polti, G.; Polito, E.; Pacini, P.; Guiban, O.; Del Gaudio, G.; et al. Role of multiparametric ultrasound in testicular focal lesions and diffuse pathology evaluation, with particular regard to elastography: Review of literature. Andrology 2021, 9, 1356–1368. [Google Scholar] [CrossRef] [PubMed]
- Pedersen, M.R.; Moller, H.; Osther, P.J.S.; Vedsted, P.; Holst, R.; Rafaelsen, S.R. Comparison of Tissue Stiffness Using Shear Wave Elastography in Men with Normal Testicular Tissue, Testicular Microlithiasis and Testicular Cancer. Ultrasound Int. Open 2017, 3, E150–E155. [Google Scholar] [CrossRef]
- Tsili, A.C.; Bertolotto, M.; Turgut, A.T.; Dogra, V.; Freeman, S.; Rocher, L.; Belfield, J.; Studniarek, M.; Ntorkou, A.; Derchi, L.E.; et al. MRI of the scrotum: Recommendations of the ESUR Scrotal and Penile Imaging Working Group. Eur. Radiol. 2018, 28, 31–43. [Google Scholar] [CrossRef]
- Manganaro, L.; Vinci, V.; Pozza, C.; Saldari, M.; Gianfrilli, D.; Pofi, R.; Bernardo, S.; Cantisani, V.; Lenzi, A.; Scialpi, M.; et al. A prospective study on contrast-enhanced magnetic resonance imaging of testicular lesions: Distinctive features of Leydig cell tumours. Eur Radiol. 2015, 25, 3586–3595. [Google Scholar] [CrossRef] [PubMed]
- Desmousseaux, T.; Arama, E.; Maxwell, F.; Ferlicot, S.; Hani, C.; Fizazi, K.; Lebacle, C.; Loriot, Y.; Boumerzoug, M.; Cohen, J.; et al. Ultrasound and Magnetic Resonance Imaging of Burned-Out Testicular Tumours: The Diagnostic Keys Based on 48 Cases. Cancers 2022, 14, 4013. [Google Scholar] [CrossRef]
- Tsili, A.C.; Sofikitis, N.; Pappa, O.; Bougia, C.K.; Argyropoulou, M.I. An Overview of the Role of Multiparametric MRI in the Investigation of Testicular Tumors. Cancers 2022, 14, 3912. [Google Scholar] [CrossRef]
- Rocher, L.; Criton, A.; Gennisson, J.L.; Creze, M.; Albiges, L.; Ferlicot, S.; Bellin, M.-F.; Izard, V.; Correas, J.-M. Characterization of Testicular Masses in Adults: Performance of Combined Quantitative Shear Wave Elastography and Conventional Ultrasound. Ultrasound Med. Biol. 2019, 45, 720–731. [Google Scholar] [CrossRef]
- Goddi, A.; Sacchi, A.; Magistretti, G.; Almolla, J.; Salvadore, M. Real-time tissue elastography for testicular lesion assessment. Eur. Radiol. 2012, 22, 721–730. [Google Scholar] [CrossRef] [PubMed]
- Mursic, M.; Sjekavica, I.; Simunovic, M.; Ježek, D. The Role of Ultrasound Elastography in the Diagnosis of Pathologic Conditions of Testicles and Scrotum. Acta Clin. Croat. 2021, 60, 41–49. [Google Scholar] [PubMed]
- Bhansali, P.J.; Phatak, S.V.; Mishra, G.V.; Nagendra, V. Elastographic Imaging of Anaplastic Seminoma of Testis with Its Ultrasound and Doppler Correlation: A Case Report. Cureus 2022, 14, e32813. [Google Scholar] [CrossRef] [PubMed]
- D’Anastasi, M.; Schneevoigt, B.S.; Trottmann, M.; Crispin, A.; Stief, C.; Reiser, M.F.; Clevert, D. Acoustic radiation force impulse imaging of the testes: A preliminary experience. Clin. Hemorheol. Microcirc. 2011, 49, 105–114. [Google Scholar] [CrossRef] [PubMed]
- Corcioni, B.; Brandi, N.; Marasco, G.; Gaudiano, C.; De Cinque, A.; Ciccarese, F.; Ercolino, A.; Schiavina, R.; Brunocilla, E.; Renzulli, M.; et al. Multiparametric ultrasound for the diagnosis of Leydig cell tumours in non-palpable testicular lesions. Andrology 2022, 10, 1387–1397. [Google Scholar] [CrossRef] [PubMed]
- Dikici, A.S.; Er, M.E.; Alis, D.; Samanci, C.; Ustabasioglu, F.E.; Demirdag, C.; Durak, H.; Kantarci, F.; Mihmanli, I. Is There Any Difference Between Seminomas and Nonseminomatous Germ Cell Tumors on Shear Wave Elastography? A Preliminary Study. J. Ultrasound Med. 2016, 35, 2575–2580. [Google Scholar] [CrossRef] [PubMed]
- Saftoiu, A.; Gilja, O.H.; Sidhu, P.S.; Dietrich, C.F.; Cantisani, V.; Amy, D.; Bachmann-Nielsen, M.; Bob, F.; Bojunga, J.; Brock, M.; et al. The EFSUMB Guidelines and Recommendations for the Clinical Practice of Elastography in Non-Hepatic Applications: Update 2018. Ultraschall Med. 2019, 40, 425–453. [Google Scholar] [CrossRef] [PubMed]
- Fahmy, M.A.B. Normal and Abnormal Scrotum; Springer: Cham, Switzerland, 2022. [Google Scholar]
- Patel, K.; Sellars, M.E.; Clarke, J.L.; Sidhu, P.S. Features of testicular epidermoid cysts on contrast-enhanced sonography and real-time tissue elastography. J. Ultrasound Med. 2012, 31, 115–122. [Google Scholar] [CrossRef]
- Yusuf, G.; Konstantatou, E.; Sellars, M.E.; Huang, D.Y.; Sidhu, P.S. Multiparametric Sonography of Testicular Hematomas: Features on Grayscale, Color Doppler, and Contrast-Enhanced Sonography and Strain Elastography. J. Ultrasound Med. 2015, 34, 1319–1328. [Google Scholar] [CrossRef]
- Itoh, A.; Ueno, E.; Tohno, E.; Kamma, H.; Takahashi, H.; Shiina, T.; Yamakawa, M.; Matsumura, T. Breast Disease: Clinical Application of US Elastography for Diagnosis. Radiology 2006, 239, 341–350. [Google Scholar] [CrossRef]
- Roy, C.; de Marini, P.; Labani, A.; Leyendecker, P.; Ohana, M. Shear-wave elastography of the testicle: Potential role of the stiffness value in various common testicular diseases. Clin. Radiol. 2020, 75, 560.e9–560.e17. [Google Scholar] [CrossRef] [PubMed]
- Pedersen, M.R.; Osther, P.J.S.; Rafaelsen, S.R. Ultrasound evaluation of testicular volume in patients with testicular microlithiasis. Ultrasound Int. Open 2020, 4, E99–E103. [Google Scholar] [CrossRef]
- Yavuz, A.; Yokus, A.; Taken, K.; Batur, A.; Ozgokce, M.; Arslan, H. Reliability of testicular stiffness quantification using shear wave elastography in predicting male fertility: A preliminary prospective study. Med. Ultrason. 2018, 20, 141–147. [Google Scholar] [CrossRef] [PubMed]
- Kantarci, F.; Cebi Olgun, D.; Mihmanli, I. Shear-wave elastography of segmental infarction of the testis. Korean J. Radiol. 2012, 13, 820–822. [Google Scholar] [CrossRef] [PubMed]
- Laimer, G.; Muller, R.; Radmayr, C.; Lindner, A.K.; Lebovici, A.; Aigner, F. Multiparametric ultrasound in torsion of the testicular appendages: A reliable diagnostic tool? Med. Ultrason. 2022, 24, 33–37. [Google Scholar] [CrossRef]
- Pallwein, L.; Steiner, H.; Akkad, T.; Bartsch, G.; Frauscher, F. Real-Time Elastography for Evaluation of Testicular Masses: Initial Experience. Eur. Urol. Suppl. 2006, 5, 96. [Google Scholar] [CrossRef]
- Grasso, M.; Blanco, S.; Raber, M.; Nespoli, L. Elasto-sonography of the testis: Preliminary experience. Arch. Ital. Urol. Androl. 2010, 82, 160–163. [Google Scholar]
- Aigner, F.; De Zordo, T.; Pallwein-Prettner, L.; Junker, D.; Schäfer, G.; Pichler, R.; Leonhartsberger, N.; Pinggera, G.; Dogra, V.S.; Frauscher, F. Real-time Sonoelastography for the Evaluation of Testicular Lesions. Radiology 2012, 263, 584–590. [Google Scholar] [CrossRef]
- Marsaud, A.; Raffaelli, C.; Durand, M.; Carpentier, X.; Floc’h, A.; Rouscoff, Y.; Tibi, B.; Fontas, E.; Amiel, J.; Chevallier, D. Elastography Shows Promise in Cancer Testicular Detection. J. Urol. 2014, 191, e107. [Google Scholar] [CrossRef]
- Pastore, A.L.; Palleschi, G.; Maceroni, P.; Manfredonia, G.; Autieri, D.; Cacciotti, J.; Sardella, B.; Porta, N.; Petrozza, V.; Carbone, A. Correlation between semiquantitative sonoelastography and immunohistochemistry in the evaluation of testicular focal lesions. Cancer Imaging 2014, 14, 29. [Google Scholar] [CrossRef]
- Trottmann, M.; Marcon, J.; D’Anastasi, M.; Karl, A.; Stief, C.G.; Reiser, M.; Clevert, D. The role of VTIQ as a new tissue strain analytics measurement technique in testicular lesions. Clin. Hemorheol. Microcirc. 2014, 58, 195–209. [Google Scholar] [CrossRef] [PubMed]
- Schroder, C.; Lock, G.; Schmidt, C.; Loning, T.; Dieckmann, K.-P. Real-Time Elastography and Contrast-Enhanced Ultrasonography in the Evaluation of Testicular Masses: A Comparative Prospective Study. Ultrasound Med. Biol. 2016, 42, 1807–1815. [Google Scholar] [CrossRef] [PubMed]
- Auer, T.; De Zordo, T.; Dejaco, C.; Gruber, L.; Pichler, R.; Jaschke, W.; Dogra, V.S.; Aigner, F. Value of Multiparametric US in the Assessment of Intratesticular Lesions. Radiology 2017, 285, 640–649. [Google Scholar] [CrossRef] [PubMed]
- Pedersen, M.R.; Sloth Osther, P.J.; Nissen, H.D.; Vedsted, P.; Moller, H.; Rafaelsen, S.R. Elastography and diffusion-weighted MRI in patients with testicular microlithiasis, normal testicular tissue, and testicular cancer: An observational study. Acta Radiol. 2019, 60, 535–541. [Google Scholar] [CrossRef] [PubMed]
- Konstantatou, E.; Fang, C.; Romanos, O.; Derchi, L.E.; Bertolotto, M.; Valentino, M.; Kalogeropoulou, C.; Sidhu, P.S. Evaluation of Intratesticular Lesions with Strain Elastography Using Strain Ratio and Color Map Visual Grading: Differentiation of Neoplastic and Nonneoplastic Lesions. J. Ultrasound Med. 2019, 38, 223–232. [Google Scholar] [CrossRef] [PubMed]
- Reginelli, A.; D’Andrea, A.; Clemente, A.; Izzo, A.; Urraro, F.; Scala, F.; Nardone, V.; Guida, C.; Scialpi, M.; Cappabianca, S. Does multiparametric US improve diagnostic accuracy in the characterization of small testicular masses? Gland Surg. 2019, 8 (Suppl. S3), S136–S141. [Google Scholar] [CrossRef]
- Ladke, P.; Dhok, A.; Phatak, S.; Mitra, K.; Jakhotia, Y. Diagnostic and Imaging Features of a Non-seminomatous Germ Cell Tumor of the Testis: A Case Report and Review of the Literature. Cureus 2022, 14, e32305. [Google Scholar] [CrossRef]







| Study, Year | Lesion | n | SE | SWE | Mean Elastography | Maximum Elastography | Cut-Off Values |
|---|---|---|---|---|---|---|---|
| Waage, 2011 [33] | Malignant/benign | 68 | X | T0: 0.55 (SD 0.42) T1–4: 9.26 (SD 12.28) | >1.25 | ||
| Waage, 2015 [34] | Malignant/benign | 115 | X | T0: 1.03 (0.88–1.22) T1–4: 5.53 (4.27–6.79) | >1.25 | ||
| Waage, 2015 [35] | ERC/benign | 59 | X | T0: 1.03 (0.88–1.22) T1: 2.44 (1.67–3.33) T2: 6.29 (2.30–11.55) T3–4: 4.52 (2.92–11.01) | T0 < 0.80 T1–2 0.81–1.10 T3–4 > 1.11 | ||
| Xiao, 2018 [29] | Malignant (T3–4) | 53 | X | NR | Visual colour scale | NR | |
| Oien, 2019 [27] | ERC/benign | 96 | X | NR | NR | ||
| Chen, 2017 [29] | Malignant/benign | 100 | X | NR | T0 < 26.9 kPa T1 ≥ 26.9 kPa T2 ≥ 70.3 kPa T3 ≥ 112.0 kPa | ||
| Fan, 2019 [31] | Malignant | 55 | X | T1: 15.9 ± 7.5 (5.8–31.3) T2: 40.4 ± 20.3 (16.5–83.7) T3–4: 51.2 ± 15.6 (19.6–75.9) | T1: 29.6 ± 11.2 (10.9–53.2) T2: 76.7 ± 33.1 (23.9–126.3) T3–4: 104.8 ± 20.5 (65.1–137.1) | NR | |
| Li, 2019 [30] | Malignant/benign | 96 | X | T0: 35.2 ± 24.7 T1–4: 89.7 ± 29.5 | T0: 43.7 ± 31.6 T1–4: 103.2 ± 36.2 | Emean 61.3 kPa Emax 63.4 kPa | |
| Loft, 2022 [32] | ERC/benign | 86 | X | T0: 24.87 ± 11.92 (21.86–27.88) T1: 40.99 ± 17.63 (30.34–51.56) T2: 72.12 ± 25.91 (57.84–86.41) | >39.9 kPa |
| Division of Prostate Gland | Sectors |
|---|---|
| Base | AS: anterior fibromuscular stroma TZ: anterior and posterior transition zone PZ: anterior and posterior zone CZ: central zone around the ejaculatory ducts |
| Midportion | AS: anterior fibromuscular stroma TZ: anterior and posterior transition zone PZ: anterior, posteromedial, and posterolateral peripheral zone |
| Apex | AS: anterior fibromuscular stroma TZ: anterior and posterior transition zone PZ: anterior, posteromedial, and posterolateral peripheral zone |
| Study, Year | Probe Mhz | Participants/Tumours (n) | Type: Malignant (M); Benign (B) | Gleason Scores | Sensitivity/Specificity | ||
|---|---|---|---|---|---|---|---|
| N | SE | SWE (Pixel-/Region-Wise) | |||||
| Secasan, 2022 [38] | endocavitary | 356/223 | M: 223 B: 133 | G1: 90 G2: 14 G3: 61 G4:31 G5:27 | - | G6 | NR |
| Wildeboer, 2019 [41] | 48 | M: 48 | G6(3 + 3): 1 (2.1%) G7(3 + 4): 30 (62.5%) G7(4 + 3): 6 (12.5%) G7(>4 + 3): 11 (22.9%) | - | PW ≥G6: 0.62 >G3 + 4 = 7:0.67 RW ≥G3 + 3 = 6:0.62 >G3 + 4 = 7:0.73 | NR | |
| Tyloch, 2022 [39] | 434(SE) 453(SWE) | M:434(SE), 453(SWE) B: 611(SE), 552(SWE) | G6(3 + 3): 3 G7(3 + 4):19 G7(4 + 3): 6 G9(4 + 5):2 | - | B: 36.43 G3: 43.41 G4: 55.93 G5: 66.81 | SE: G3: 52.7; G4: 70.5; G5: 55.6/{71.8} SWE: G3: 54.6; G4: 81.6; G5: 93.8/{70.2} | |
| SE and SWE (overall stiffness cut-off value = 35 kPa | |||||||
| Dai, 2021 [45] | 221/85 | M: 97 B: 115 | G1: 3 G2: 14 G3: 9 G4: 10 G5: 13 | - | G1/G2: 17 (65.06) G3-G5: 32 (88.65) | High GG 81.3%/82.6%—cut-off value for EMax > 84 kPa 78.1%/76.5%, cut-off value for EMean > 71 kPa 68.8%/70.6% cut-off value for EMin > 60 kPa 46.9%/94.1% cut-off value for SD > 8.3 kPa | |
| Wei, 2021 [47] | 212/212 | M: 212 | G ≤ 6: 42 (19.8%) G7(3 + 4): 75 (35.4%) G7(4 + 3): 39 (18.4%) G > 7: 56 (26.4%) | - | G ≤ 7(3 + 4):28 (154.2) G ≥ 7(4 + 3): 89 (134.3) | NR | |
| Elastography Score (ES) | Score 1 | Score 2 | Score 3 | Score 4 | Score 5 | Score 6 |
|---|---|---|---|---|---|---|
| 6-point (65,66) | Benign | Benign | Benign | Malignant | Malignant | Malignant |
| Lesion is completely green (red elastography score), with some red spots | Entire lesion is evenly shaded green | Lesion is almost completely green with some small blue spots | Lesion is green at the periphery with central blue area | Lesion is almost completely blue with central small green/red areas | The lesion is completely blue (hardest) | |
| 5-point (67) | Benign | Benign | Benign | Malignant | Malignant | |
| ES is the same as the surrounding tissue | Lesions are mainly soft compared to normal tissue | The periphery of a lesion with no strain at the centre | Harder nodule than the adjacent tissue and indicates no strain in the entire lesion | No strain in the entire lesion and the surrounding area, indication infiltration of cancer cells |
| Study, Year | Probe MHz | Tumours (n) | Lesion Type | RTE/SE | SR | SWE | Sensitivity/Specificity |
|---|---|---|---|---|---|---|---|
| Pallwein, 2006 [73] | NR, 14 | 15 | Malignant | 15 hard lesions | - | - | NR |
| Grasso, 2010 [74] | Linear, 7.5 | 2 | Malignant | 2 hard lesions | - | - | NR |
| Aigner, 2012 [75] | Linear, 14 | 34 | Malignant | 34 hard lesions | - | - | 100%/81% |
| Goddi, 2012 [57] | Linear, 5–14/6–14 | 38 | Malignant | 87.5% were hard (ES 4–5) * | - | - | 87.5%/98.2% |
| Marsaud, 2014 [76] | Linear, 9–14 | 26 | Malignant | NR | - | - | NR |
| Pastore, 2014 [77] | Linear, 5–14 | 30 | Malignant | - | 2.1–56 | - | NR |
| Trottmann, 2014 [78] | Linear, 9 | 15 | Malignant | - | - | 2.42/1.94 m/s | NR |
| Dikici, 2016 [62] | Linear, 4–15 | 15 | Malignant | - | - | 10.6–47 kPa ^ | NR |
| Schroder, 2016 [79] | Linear, 5–17 | 46 | Malignant | - | 0.5–3.9 | - | NR |
| Pozza, 2016 [49] | Linear, 7–15 | 37 | Malignant | 30 = ES3, 7 = ES2 * | - | - | 81.8%/79.1% |
| Pedersen, 2017 [51] | Linear, 9 | 19 | Malignant | - | - | mean 1.92 m/s | NR |
| Auer, 2017 [80] | Linear, 6–15/5–13 | 12 | Malignant | 12 hard lesions | - | - | 100%/72.1% |
| Pedersen, 2018 [81] | Linear, 4–9 | 23 | Malignant | - | - | mean 2.09 m/s | NR |
| Konstantatou, 2019 [82] | Linear, 14–6 | 31 | Malignant | - | median 4.64 | - | 68.8%/81.6% |
| Reginelli, 2019 [83] | Linear, 5–13 | 46 | Malignant | 40 hard, 6 soft–medium | - | - | NR* |
| Roy, 2020 [68] | Linear, 10 | 64 | Malignant | - | - | mean 23.1 kPa | 82%/81% |
| Bhansali, 2022 [59] | Linear, NR | 1 | Malignant | 1 ES5 * | 8.2 | - | NR |
| Ladke, 2022 [84] | Linear, NR | 1 | Malignant | - | - | 50 kPa/1.6 m/s | NR |
| Corcioni, 2022 [61] | Linear, 10–15/7–14 | 15 | Malignant | 9 hard, 6 intermediate | - | - | NR |
Disclaimer/Publisher’s Note: The statements, opinions and data contained in all publications are solely those of the individual author(s) and contributor(s) and not of MDPI and/or the editor(s). MDPI and/or the editor(s) disclaim responsibility for any injury to people or property resulting from any ideas, methods, instructions or products referred to in the content. |
© 2024 by the authors. Licensee MDPI, Basel, Switzerland. This article is an open access article distributed under the terms and conditions of the Creative Commons Attribution (CC BY) license (https://creativecommons.org/licenses/by/4.0/).
Share and Cite
Santos, R.; Loft, M.K.; Pedersen, M.R.V. Elastography of the Male Pelvic Region—Perspectives on Malignant Lesions. Diagnostics 2024, 14, 1218. https://doi.org/10.3390/diagnostics14121218
Santos R, Loft MK, Pedersen MRV. Elastography of the Male Pelvic Region—Perspectives on Malignant Lesions. Diagnostics. 2024; 14(12):1218. https://doi.org/10.3390/diagnostics14121218
Chicago/Turabian StyleSantos, Rute, Martina Kastrup Loft, and Malene Roland Vils Pedersen. 2024. "Elastography of the Male Pelvic Region—Perspectives on Malignant Lesions" Diagnostics 14, no. 12: 1218. https://doi.org/10.3390/diagnostics14121218
APA StyleSantos, R., Loft, M. K., & Pedersen, M. R. V. (2024). Elastography of the Male Pelvic Region—Perspectives on Malignant Lesions. Diagnostics, 14(12), 1218. https://doi.org/10.3390/diagnostics14121218

