Ultrasound-Assisted and Ultrasound-Guided Thoracentesis: An Educational Review
Abstract
1. Introduction
2. Thoracentesis Overview
3. Contraindications to Thoracentesis
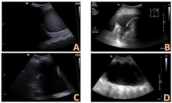
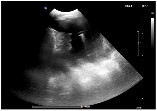
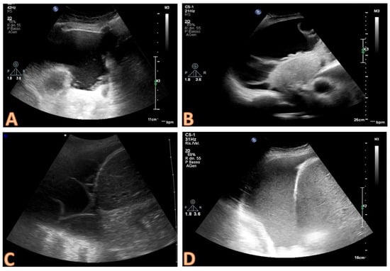
4. Ultrasound-Assisted Procedure
- −
- anechoic (without echoic images);
- −
- complex non-septated (echogenic material is detected inside the effusion);
- −
- complex septated (floating fibrin strands or septs are found inside the effusions);
- −
- homogenously echogenic.
5. The Role of CEUS
6. Thoracentesis Procedure
6.1. Position of the Patient
6.2. Choice of the Probe
6.3. How to Set the Sterile Field and Local Disinfection
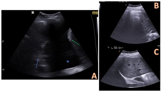
6.4. The Procedure
7. Ultrasound-Guided Thoracentesis
8. End of the Procedure
9. Complications
- −
- pneumothorax;
- −
- procedure failure;
- −
- pain;
- −
- bleeding or hemothorax (due to a lesion that could occur in the intercostal arteries);
- −
- pulmonary edema;
- −
- “ex vacuo” dyspnea or hypoxemia;
- −
- infection of the site of the procedure;
- −
- abdominal bleeding;
- −
- splenic or diaphragmatic puncture;
- −
- neoplastic seeding (in case of malignant pleural effusion).
10. Conclusions
- −
- The use of ultrasound increases the success rates of the procedure and significantly reduces the occurrence of complications.
- −
- Any type of probe can ideally be used to perform the procedure.
- −
- Ultrasound provides valuable information on the evaluation of both qualitative and quantitative effusion; in this area, ultrasound is better than chest X-ray and comparable to that of chest CT.
- −
- The choice of the needle insertion point is carried out through ultrasound evaluation, at the point where the effusion is most represented.
- −
- The procedure is preferably performed with an ultrasound-assisted technique.
- −
- The ultrasound-guided procedure is preferable in case of thoracentesis on small and/or complex pleural effusions.
- −
- Ultrasound can optimally visualize the development of a pneumothorax.
- −
- Training on the method must be implemented, in order to disseminate the method and increase its practicability even in complex settings and for non-expert operators.
Funding
Institutional Review Board Statement
Informed Consent Statement
Data Availability Statement
Acknowledgments
Conflicts of Interest
Abbreviations
| INR | international normalized ratio |
| DOAC | direct oral anticoagulant |
| CrCl | creatinine clearance |
| BTS | British Thoracic Society |
| CT | computed tomography |
References
- Mohammed, A.; Hochfeld, U.; Hong, S.; Hosseini, D.K.; Kim, K.; Omidvari, K. Thoracentesis techniques: A literature review. Medicine 2024, 103, e36850. [Google Scholar] [CrossRef] [PubMed]
- Roberts, M.E.; Rahman, N.M.; Maskell, N.A.; Bibby, A.C.; Blyth, K.G.; Corcoran, J.P.; Edey, A.; Evison, M.; de Fonseka, D.; Hallifax, R.; et al. British Thoracic Society Guideline for pleural disease. Thorax 2023, 78, 1143–1156. [Google Scholar] [CrossRef] [PubMed]
- Shao, R.J.; Du, M.J.; Xie, J.T. Use of lung ultrasound for the diagnosis and treatment of pleural effusion. Eur. Rev. Med. Pharmacol. Sci. 2022, 26, 8771–8776. [Google Scholar] [CrossRef] [PubMed]
- Cocco, G.; Boccatonda, A.; Rossi, I.; D‘Ardes, D.; Corvino, A.; Delli Pizzi, A.; Ucciferri, C.; Katia, F.; Jacopo, V. Early detection of pleuro-pulmonary tuberculosis by bedside lung ultrasound: A case report and review of literature. Clin. Case Rep. 2022, 10, e05739. [Google Scholar] [CrossRef] [PubMed]
- Martinez-Zayas, G.; Molina, S.; Ost, D.E. Sensitivity and complications of thoracentesis and thoracoscopy: A meta-analysis. Eur. Respir. Rev. 2022, 31, 220053. [Google Scholar] [CrossRef] [PubMed]
- Albitar, H.A.H.; Iyer, V.; Nelson, D.R.; Kern, R.M.; Leise, M.; Gallo De Moraes, A. Early thoracentesis correlated with survival benefit in patients with spontaneous bacterial empyema. Dig. Liver Dis. 2022, 54, 1015–1020. [Google Scholar] [CrossRef] [PubMed]
- Boccatonda, A.; Cocco, G.; D‘Ardes, D.; Delli Pizzi, A.; Vidili, G.; De Molo, C.; Vicari, S.; Serra, C.; Cipollone, F.; Schiavone, C.; et al. Infectious Pneumonia and Lung Ultrasound: A Review. J. Clin. Med. 2023, 12, 1402. [Google Scholar] [CrossRef]
- Porcel, J.M. Expert Review on Contemporary Management of Common Benign Pleural Effusions. Semin. Respir. Crit. Care Med. 2023, 44, 477–490. [Google Scholar] [CrossRef]
- Fjaereide, K.W.; Petersen, P.L.; Mahdi, A.; Crescioli, E.; Nielsen, F.M.; Rasmussen, B.S.; Schjørring, O.L. Pleural effusion and thoracentesis in ICU patients: A longitudinal observational cross-sectional study. Acta Anaesthesiol. Scand. 2023, 67, 943–952. [Google Scholar] [CrossRef]
- Nicholson, M.J.; Manley, C.; Ahmad, D. Thoracentesis for the Diagnosis and Management of Pleural Effusions: The Current State of a Centuries-Old Procedure. J. Respir. 2023, 3, 208–222. [Google Scholar] [CrossRef]
- Asciak, R.; Bedawi, E.O.; Bhatnagar, R.; Clive, A.O.; Hassan, M.; Lloyd, H.; Reddy, R.; Roberts, H.; Rahman, N.M. British Thoracic Society Clinical Statement on pleural procedures. Thorax 2023, 78, s43–s68. [Google Scholar] [CrossRef] [PubMed]
- Havelock, T.; Teoh, R.; Laws, D.; Gleeson, F. Pleural procedures and thoracic ultrasound: British Thoracic Society Pleural Disease Guideline 2010. Thorax 2010, 65 (Suppl. S2), ii61–ii76. [Google Scholar] [CrossRef] [PubMed]
- Brogi, E.; Gargani, L.; Bignami, E.; Barbariol, F.; Marra, A.; Forfori, F.; Vetrugno, L. Thoracic ultrasound for pleural effusion in the intensive care unit: A narrative review from diagnosis to treatment. Crit. Care 2017, 21, 325. [Google Scholar] [CrossRef] [PubMed]
- Pawlowski, T.W.; Polidoro, R.; Fraga, M.V.; Biasucci, D.G. Point-of-care ultrasound for non-vascular invasive procedures in critically ill neonates and children: Current status and future perspectives. Eur. J. Pediatr. 2023, 183, 1037–1045. [Google Scholar] [CrossRef] [PubMed]
- Vetrugno, L.; Bove, T.; Orso, D.; Bassi, F.; Boero, E.; Ferrari, G. Lung Ultrasound and the COVID-19 “Pattern”: Not All That Glitters Today Is Gold Tomorrow. J. Ultrasound Med. 2020, 39, 2281–2282. [Google Scholar] [CrossRef] [PubMed]
- Boccatonda, A.; Grignaschi, A.; Lanotte, A.M.G.; Cocco, G.; Vidili, G.; Giostra, F.; Schiavone, C. Role of Lung Ultrasound in the Management of Patients with Suspected SARS-CoV-2 Infection in the Emergency Department. J. Clin. Med. 2022, 11, 2067. [Google Scholar] [CrossRef] [PubMed]
- Boccatonda, A.; Cocco, G.; Ianniello, E.; Montanari, M.; D‘Ardes, D.; Borghi, C.; Giostra, F.; Copetti, R.; Schiavone, C. One year of SARS-CoV-2 and lung ultrasound: What has been learned and future perspectives. J. Ultrasound 2021, 24, 115–123. [Google Scholar] [CrossRef] [PubMed]
- Dangers, L.; Giovannelli, J.; Mangiapan, G.; Alves, M.; Bigé, N.; Messika, J.; Morawiec, E.; Neuville, M.; Cracco, C.; Béduneau, G.; et al. Antiplatelet Drugs and Risk of Bleeding After Bedside Pleural Procedures: A National Multicenter Cohort Study. Chest 2021, 159, 1621–1629. [Google Scholar] [CrossRef] [PubMed]
- Hendin, A.; Koenig, S.; Millington, S.J. Better With Ultrasound: Thoracic Ultrasound. Chest 2020, 158, 2082–2089. [Google Scholar] [CrossRef]
- Sunkara, T.; Ofori, E.; Zarubin, V.; Caughey, M.E.; Gaduputi, V.; Reddy, M. Perioperative Management of Direct Oral Anticoagulants (DOACs): A Systemic Review. Health Serv. Insights 2016, 9, 25–36. [Google Scholar] [CrossRef]
- Steffel, J.; Verhamme, P.; Potpara, T.S.; Albaladejo, P.; Antz, M.; Desteghe, L.; Haeusler, K.G.; Oldgren, J.; Reinecke, H.; Roldan-Schilling, V.; et al. The 2018 European Heart Rhythm Association Practical Guide on the use of non-vitamin K antagonist oral anticoagulants in patients with atrial fibrillation. Eur. Heart J. 2018, 39, 1330–1393. [Google Scholar] [CrossRef] [PubMed]
- Anand, K.; Kaufman, C.S.; Quencer, K.B. Thoracentesis, Chest Tubes, and Tunneled Chest Drains. Semin. Intervent Radiol. 2022, 39, 348–354. [Google Scholar] [CrossRef]
- Millington, S.J.; Koenig, S. Better With Ultrasound: Pleural Procedures in Critically Ill Patients. Chest 2018, 153, 224–232. [Google Scholar] [CrossRef] [PubMed]
- Ibitoye, B.O.; Idowu, B.M.; Ogunrombi, A.B.; Afolabi, B.I. Ultrasonographic quantification of pleural effusion: Comparison of four formulae. Ultrasonography 2018, 37, 254–260. [Google Scholar] [CrossRef]
- Lichtenstein, D.; Goldstein, I.; Mourgeon, E.; Cluzel, P.; Grenier, P.; Rouby, J.J. Comparative diagnostic performances of auscultation, chest radiography, and lung ultrasonography in acute respiratory distress syndrome. Anesthesiology 2004, 100, 9–15. [Google Scholar] [CrossRef]
- Lichtenstein, D.A. BLUE-protocol and FALLS-protocol: Two applications of lung ultrasound in the critically ill. Chest 2015, 147, 1659–1670. [Google Scholar] [CrossRef]
- Balik, M.; Plasil, P.; Waldauf, P.; Pazout, J.; Fric, M.; Otahal, M.; Pachl, J. Ultrasound estimation of volume of pleural fluid in mechanically ventilated patients. Intensive Care Med. 2006, 32, 318. [Google Scholar] [CrossRef] [PubMed]
- Wang, T.; Du, G.; Fang, L.; Bai, Y.; Liu, Z.; Wang, L. Value of ultrasonography in determining the nature of pleural effusion: Analysis of 582 cases. Medicine 2022, 101, e30119. [Google Scholar] [CrossRef] [PubMed]
- Botana Rial, M.; Pérez Pallarés, J.; Cases Viedma, E.; López González, F.J.; Porcel, J.M.; Rodríguez, M.; Romero Romero, B.; Valdés Cuadrado, L.; Villena Garrido, V.; Cordovilla Pérez, R. Diagnosis and Treatment of Pleural Effusion. Recommendations of the Spanish Society of Pulmonology and Thoracic Surgery. Update 2022. Arch. Bronconeumol. 2023, 59, 27–35. [Google Scholar] [CrossRef]
- Mei, F.; Tamburrini, M.; Gonnelli, F.; Morandi, L.; Bonifazi, M.; Sediari, M.; Berardino, A.D.M.; Barisione, E.; Failla, G.; Zuccatosta, L.; et al. Management of malignant pleural effusion in Italian clinical practice: A nationwide survey. BMC Pulm. Med. 2023, 23, 252. [Google Scholar] [CrossRef]
- Casper, K.P.; Sanchirico, P.J.; Pfeiffer, D.C. Intercostal artery pseudoaneurysm following thoracentesis: Multi-modal imaging and treatment. BMC Med. Imaging 2019, 19, 31. [Google Scholar] [CrossRef] [PubMed]
- Dietrich, C.F.; Nolsøe, C.P.; Barr, R.G.; Berzigotti, A.; Burns, P.N.; Cantisani, V.; Chammas, M.C.; Chaubal, N.; Choi, B.I.; Clevert, D.A.; et al. Guidelines and Good Clinical Practice Recommendations for Contrast-Enhanced Ultrasound (CEUS) in the Liver-Update 2020 WFUMB in Cooperation with EFSUMB, AFSUMB, AIUM, and FLAUS. Ultrasound Med. Biol. 2020, 46, 2579–2604. [Google Scholar] [CrossRef] [PubMed]
- Park, H.J.; Winant, A.J.; Lee, E.Y.; Kim, W.G.; Shashi, K.; Stamoulis, C.; Paltiel, H.J. Contrast-Enhanced Ultrasound of the Chest in Children and Adolescents: A Pilot Study for Assessment of Added Diagnostic Value. J. Ultrasound Med. 2024, 43, 697–711. [Google Scholar] [CrossRef] [PubMed]
- Quarato, C.M.I.; Feragalli, B.; Lacedonia, D.; Rea, G.; Scioscia, G.; Maiello, E.; Di Micco, C.; Borelli, C.; Mirijello, A.; Graziano, P.; et al. Contrast-Enhanced Ultrasound in Distinguishing between Malignant and Benign Peripheral Pulmonary Consolidations: The Debated Utility of the Contrast Enhancement Arrival Time. Diagnostics 2023, 13, 666. [Google Scholar] [CrossRef]
- Boccatonda, A.; Andreetto, L.; Vicari, S.; Campello, E.; Simioni, P.; Ageno, W. The Diagnostic Role of Lung Ultrasound and Contrast-Enhanced Ultrasound in Pulmonary Embolism. Semin. Thromb. Hemost. 2023; epub ahead of print. [Google Scholar] [CrossRef]
- Mihalova, T.; Mekov, E.; Yamakova, Y.; Slavova, Y.; Petkov, R. Contrast-enhanced Chest Ultrasound in the Control of Transthoracic Tru-cut Needle Biopsies: A Case Report. Curr. Med. Imaging 2023, 20, 1. [Google Scholar] [CrossRef] [PubMed]
- Quarato, C.M.I.; Cipriani, C.; Dimitri, L.; Lacedonia, D.; Graziano, P.; Copetti, M.; De Cosmo, S.; Simeone, A.; Scioscia, G.; Foschino Barbaro, M.; et al. Assessing value of contrast-enhanced ultrasound vs. conventional transthoracic ultrasound in improving diagnostic yield of percutaneous needle biopsy of peripheral lung lesions. Eur. Rev. Med. Pharmacol. Sci. 2021, 25, 5781–5789. [Google Scholar] [CrossRef]
- Safai Zadeh, E.; Weide, J.; Dietrich, C.F.; Trenker, C.; Koczulla, A.R.; Görg, C. Diagnostic Accuracy of B-Mode- and Contrast-Enhanced Ultrasound in Differentiating Malignant from Benign Pleural Effusions. Diagnostics 2021, 11, 1293. [Google Scholar] [CrossRef]
- Soldati, G.; Smargiassi, A.; Inchingolo, R.; Sher, S.; Valente, S.; Corbo, G.M. Ultrasound-guided pleural puncture in supine or recumbent lateral position-feasibility study. Multidiscip. Respir. Med. 2013, 8, 18. [Google Scholar] [CrossRef] [PubMed]
- Jenkins, D.W., Jr.; McKinney, M.K.; Szpak, M.W.; Booker, J.L., Jr. Veres needle in the pleural space. South. Med. J. 1983, 76, 1383–1385. [Google Scholar] [CrossRef]
- Boccatonda, A.; Primomo, G.; Cocco, G.; D‘Ardes, D.; Marinari, S.; Montanari, M.; Giostra, F.; Schiavone, C. Not all abolished lung sliding are pneumothorax: The case of a particular lung atelectasis. J. Ultrasound 2021, 24, 519–523. [Google Scholar] [CrossRef]
- Park, S.J.; Herren, J.L.; Gaba, R.C. Lessons in IR: Re-expansion Pulmonary Edema following Therapeutic Thoracentesis. J. Vasc. Interv. Radiol. 2023, 34, 1467–1468. [Google Scholar] [CrossRef] [PubMed]
- Nguyen, E.T.; Bayanati, H.; Hurrell, C.; Aitken, M.; Cheung, E.M.; Gupta, A.; Harris, S.; Sedlic, T.; Taylor, J.L.; Gahide, G.; et al. Canadian Association of Radiologists/Canadian Association for Interventional Radiology/Canadian Society of Thoracic Radiology Guidelines on Thoracic Interventions. Can. Assoc. Radiol. J. 2023, 74, 272–287. [Google Scholar] [CrossRef] [PubMed]
- Inada, S.; Sugimoto, H.; Nakata, K. Re-expansion pulmonary edema after chest tube drainage of malignant pleural effusion. Clin. Case Rep. 2022, 10, e6088. [Google Scholar] [CrossRef] [PubMed]
- Hara, D.; Kondo, R.; Shomura, T.; Agatsuma, T.; Saito, G. Impact of pneumothorax-like pulmonary collapse caused by rapid bronchial obstruction: A case report of pneumothorax ex vacuo. Respir. Med. Case Rep. 2023, 42, 101817. [Google Scholar] [CrossRef] [PubMed]
- Venkitakrishnan, R.; Augustine, J.; Ramachandran, D.; Cleetus, M. Pneumothorax ex vacuo: Three cases of an uncommon entity. Lung India 2023, 40, 169–172. [Google Scholar] [CrossRef] [PubMed]
- Syed, F.; Pakala, R.; Alam, M.D.U.; Singh, G.P.; Poddar, V. Pneumothorax Ex Vacuo: A Rare Complication of PleurX Catheter Insertion. Cureus 2023, 15, e41882. [Google Scholar] [CrossRef]
- Lichtenstein, D. Lung ultrasound in the critically ill. Curr. Opin. Crit. Care 2014, 20, 315–322. [Google Scholar] [CrossRef]












| Pleural Fluid pH ≤ 7.2 | Pleural Fluid pH Is >7.2 and <7.4 | Pleural Fluid pH ≥ 7.4 |
|---|---|---|
| High risk of CPPE or pleural infection → intercostal drain should be inserted | Intermediate risk of CPPE or pleural infection → pleural fluid LDH should be measured and, if >900 U/L, intercostal drainage should be considered * | Low risk of CPPE or pleural infection → no indication for immediate drain |
Disclaimer/Publisher’s Note: The statements, opinions and data contained in all publications are solely those of the individual author(s) and contributor(s) and not of MDPI and/or the editor(s). MDPI and/or the editor(s) disclaim responsibility for any injury to people or property resulting from any ideas, methods, instructions or products referred to in the content. |
© 2024 by the authors. Licensee MDPI, Basel, Switzerland. This article is an open access article distributed under the terms and conditions of the Creative Commons Attribution (CC BY) license (https://creativecommons.org/licenses/by/4.0/).
Share and Cite
Boccatonda, A.; Baldini, C.; Rampoldi, D.; Romani, G.; Corvino, A.; Cocco, G.; D’Ardes, D.; Catalano, O.; Vetrugno, L.; Schiavone, C.; et al. Ultrasound-Assisted and Ultrasound-Guided Thoracentesis: An Educational Review. Diagnostics 2024, 14, 1124. https://doi.org/10.3390/diagnostics14111124
Boccatonda A, Baldini C, Rampoldi D, Romani G, Corvino A, Cocco G, D’Ardes D, Catalano O, Vetrugno L, Schiavone C, et al. Ultrasound-Assisted and Ultrasound-Guided Thoracentesis: An Educational Review. Diagnostics. 2024; 14(11):1124. https://doi.org/10.3390/diagnostics14111124
Chicago/Turabian StyleBoccatonda, Andrea, Chiara Baldini, Davide Rampoldi, Giacomo Romani, Antonio Corvino, Giulio Cocco, Damiano D’Ardes, Orlando Catalano, Luigi Vetrugno, Cosima Schiavone, and et al. 2024. "Ultrasound-Assisted and Ultrasound-Guided Thoracentesis: An Educational Review" Diagnostics 14, no. 11: 1124. https://doi.org/10.3390/diagnostics14111124
APA StyleBoccatonda, A., Baldini, C., Rampoldi, D., Romani, G., Corvino, A., Cocco, G., D’Ardes, D., Catalano, O., Vetrugno, L., Schiavone, C., Piscaglia, F., & Serra, C. (2024). Ultrasound-Assisted and Ultrasound-Guided Thoracentesis: An Educational Review. Diagnostics, 14(11), 1124. https://doi.org/10.3390/diagnostics14111124

