Coincidence or Causality: Parathyroid Carcinoma in Chronic Kidney Disease—Case Report and Literature Review
Abstract
1. Background
2. Case Presentation
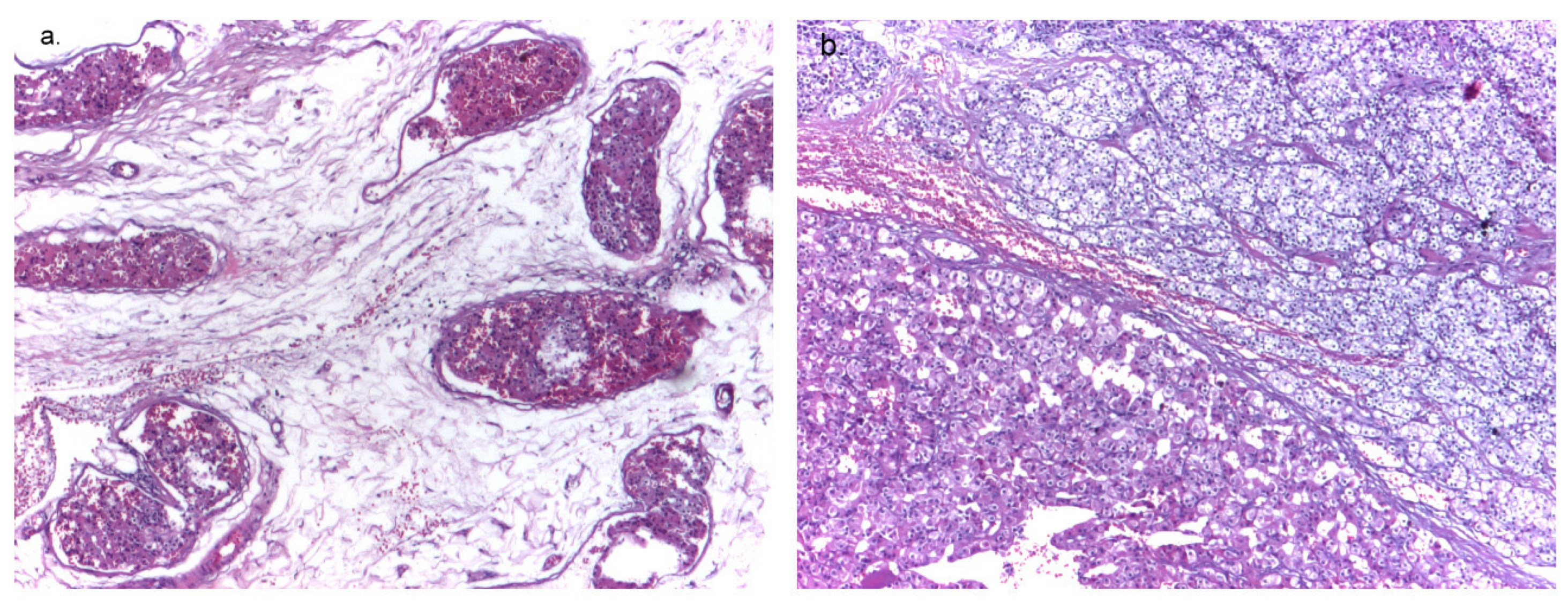
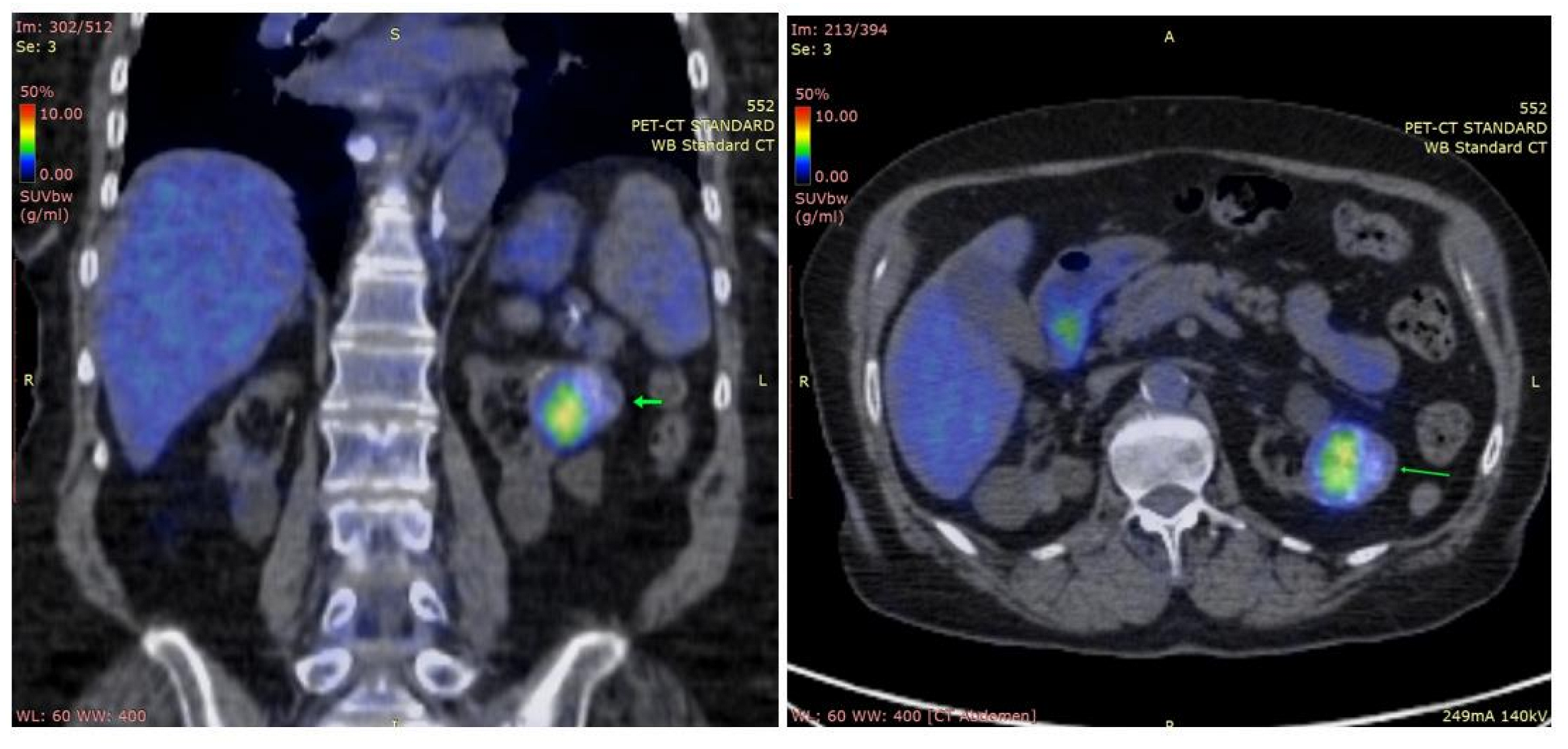
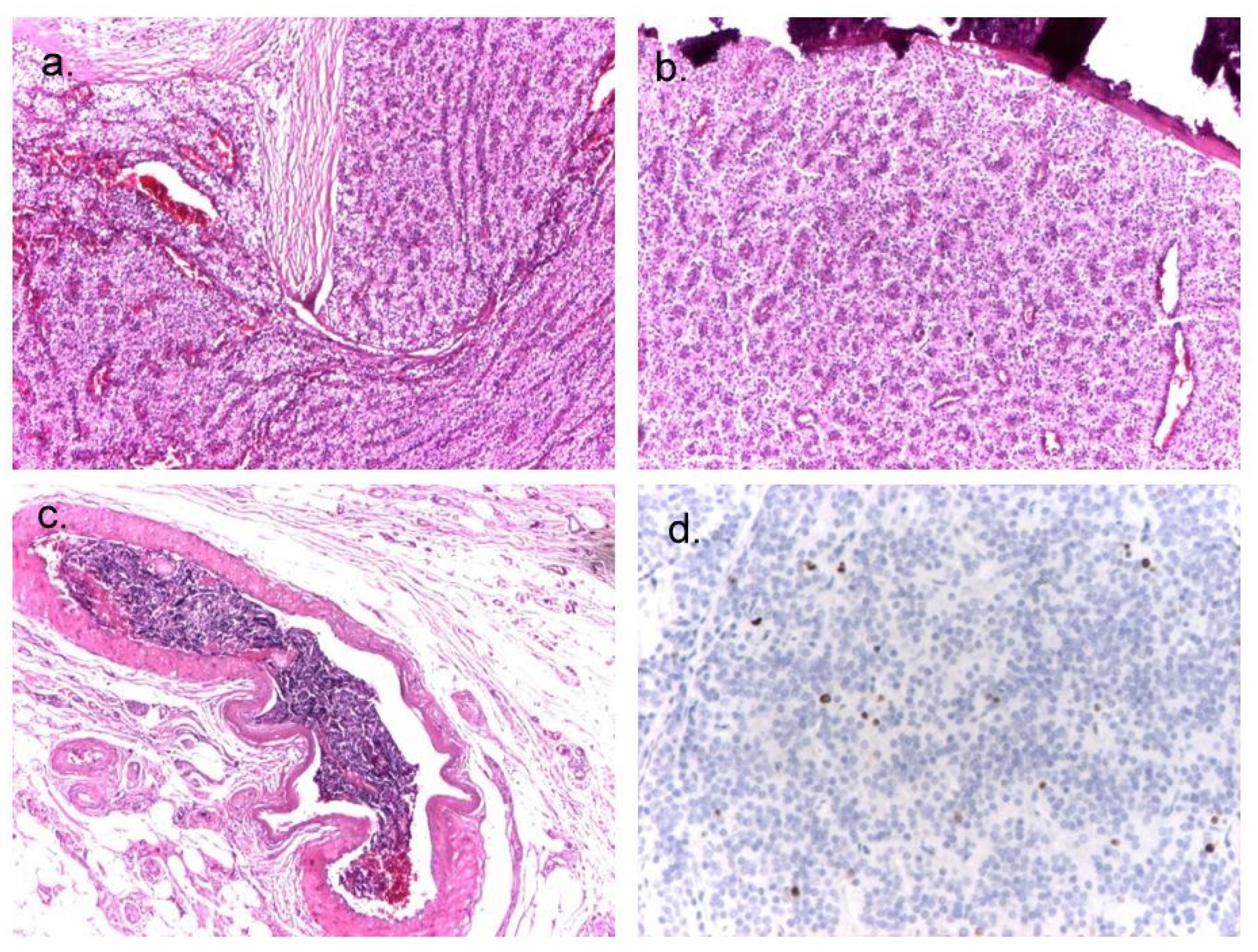
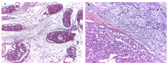
2.1. Case 1
2.2. Case 2
3. Literature Review Results
4. Discussion
Author Contributions
Funding
Institutional Review Board Statement
Informed Consent Statement
Data Availability Statement
Conflicts of Interest
References
- Roser, P.; Leca, B.M.; Coelho, C.; Schulte, K.M.; Gilbert, J.; Drakou, E.E.; Kosmas, C.; Chuah, L.L.; Wassati, H.; Miras, A.D.; et al. Diagnosis and Management of Parathyroid Carcinoma: A State-of-the-Art Review. Endocr. Relat. Cancer 2023, 30, e220287. [Google Scholar] [CrossRef]
- McInerney, N.J.; Moran, T.; O’Duffy, F. Parathyroid Carcinoma: Current Management and Outcomes—A Systematic Review. Am. J. Otolaryngol. 2023, 44, 103843. [Google Scholar] [CrossRef]
- Dudney, W.C.; Bodenner, D.; Stack, B.C. Parathyroid Carcinoma. Otolaryngol. Clin. N. Am. 2010, 43, 441–453. [Google Scholar] [CrossRef]
- Ling, W.; Lau, W.L.; Obi, Y. Parathyroidectomy in the Management of Secondary Hyperparathyroidism. Clin. J. Am. Soc. Nephrol. 2018, 13, 952–961. [Google Scholar] [CrossRef] [PubMed]
- Kawai, Y.; Kishimoto, Y.; Tamaki, H.; Fujiwara, T.; Asato, R.; Ushiro, K.; Shinohara, S.; Kada, S.; Takebayashi, S.; Kojima, T.; et al. Parathyroid Carcinoma: Impact of Preoperative Diagnosis on the Choice of Surgical Procedure. Endocr. J. 2023, 70, 969–976. [Google Scholar] [CrossRef] [PubMed]
- Walker, M.D.; Shane, E. Hypercalcemia: A Review. JAMA 2022, 328, 1624–1636. [Google Scholar] [CrossRef]
- Amin, M.B.; Greene, F.L.; Edge, S.B.; Compton, C.C.; Gershenwald, J.E.; Brookland, R.K.; Meyer, L.; Gress, D.M.; Byrd, D.R.; Winchester, D.P. The Eighth Edition AJCC Cancer Staging Manual: Continuing to Build a Bridge from a Population-Based to a More “Personalized” Approach to Cancer Staging. CA Cancer Clin. 2017, 67, 93–99. [Google Scholar] [CrossRef] [PubMed]
- Das, S.; Majumder, M.; Das, D.; Chowdhury, N.; Das, A.; Das, K.; Fardous, J.; Hasan, M.J. Prevalence and Risk Factors of Secondary Hyperparathyroidism among CKD Patients and Correlation with Different Laboratory Parameters. MMJ 2022, 31, 1084–1092. [Google Scholar]
- Xu, Y.; Evans, M.; Carrero, J.J.; Soro, M.; Barany, P. Secondary Hyperparathyroidism and Adverse Health Outcomes in Adults with Chronic Kidney Disease. Clin. Kidney J. 2021, 14, 2213–2220. [Google Scholar] [CrossRef]
- Sutton, W.; Chen, X.; Patel, P.; Karzai, S.; Prescott, J.D.; Segev, D.L.; McAdams-DeMarco, M.; Mathur, A. Prevalence and Risk Factors for Tertiary Hyperparathyroidism in Kidney Transplant Recipients. Surgery 2022, 171, 69–76. [Google Scholar] [CrossRef]
- Ketteler, M.; Block, G.A.; Evenepoel, P.; Fukagawa, M.; Herzog, C.A.; Mccann, L.; Moe, S.M.; Shroff, R.; Tonelli, M.A.; Toussaint, N.D.; et al. Executive Summary of the 2017 KDIGO Chronic Kidney Disease-Mineral and Bone Disorder (CKD-MBD) Guideline Update: What’s Changed and Why It Matters. Kidney Int. 2017, 92, 26–36. [Google Scholar] [CrossRef] [PubMed]
- Van Der Plas, W.Y.; Dulfer, R.R.; Engelsman, A.F.; Vogt, L.; De Borst, M.H.; Van Ginhoven, T.M.; Kruijff, S. Effect of Parathyroidectomy and Cinacalcet on Quality of Life in Patients with End-Stage Renal Disease-Related Hyperparathyroidism: A Systematic Review. Nephrol. Dial. Transplant. 2017, 32, 1902–1908. [Google Scholar] [CrossRef] [PubMed]
- Berland, Y.; Olmer, M.; Lebreuil, G.; Grisoli, J. Parathyroid Carcinoma, Adenoma and Hyperplasia in a Case of Chronic Renal Insufficiency on Dialysis. Clin. Nephrol. 1982, 18, 154–158. [Google Scholar] [PubMed]
- Yokoyama, K.; Suganuma, N.; Rino, Y. Left Parathyroid Carcinoma with Secondary Hyperparathyroidism: A Case Report. BMC Endocr. Disord. 2023, 23, 108. [Google Scholar] [CrossRef]
- Radu, P.; Garofil, D.; Tigora, A.; Zurzu, M.; Paic, V.; Bratucu, M.; Litescu, M.; Prunoiu, V.; Georgescu, V.; Popa, F.; et al. Parathyroid Cancer-A Rare Finding during Parathyroidectomy in High Volume Surgery Centre. Medicina 2023, 59, 448. [Google Scholar] [CrossRef] [PubMed]
- Hassan, A.; Khalaily, N.; Kilav-Levin, R.; Nechama, M.; Volovelsky, O.; Silver, J.; Naveh-Many, T. Molecular Mechanisms of Parathyroid Disorders in Chronic Kidney Disease. Metabolites 2022, 12, 111. [Google Scholar] [CrossRef] [PubMed]
- Marini, F.; Giusti, F.; Palmini, G.; Aurilia, C.; Donati, S.; Brandi, M.L. Parathyroid Carcinoma: Update on Pathogenesis and Therapy. Endocrines 2023, 4, 205–235. [Google Scholar] [CrossRef]
- Ho, T.Y.; Chen, N.C.; Hsu, C.Y.; Huang, C.W.; Lee, P.T.; Chou, K.J.; Fang, H.C.; Chen, C.L. Evaluation of the Association of Wnt Signaling with Coronary Artery Calcification in Patients on Dialysis with Severe Secondary Hyperparathyroidism. BMC Nephrol. 2019, 20, 345. [Google Scholar] [CrossRef] [PubMed]
- Xue, J.; Liu, Y.; Yang, D.; Yu, Y.; Geng, Q.; Ji, T.; Yang, L.; Wang, Q.; Wang, Y.; Lu, X.; et al. Dual-Phase 99mTc-MIBI Imaging and the Expressions of P-Gp, GST-π, and MRP1 in Hyperparathyroidism. Nucl. Med. Commun. 2017, 38, 868. [Google Scholar] [CrossRef]
- Yang, J.; Lu, X.; Zhou, P.; Liu, H.; Wang, J.; Su, X. Recurrence Hyperparathyroidism Caused by Synchronous Parathyroid Carcinoma and Parathyromatosis in a Patient with Long-Term Hemodialysis. BMC Nephrol. 2023, 24, 293. [Google Scholar] [CrossRef]
- Ireland, J.P.; Fleming, S.J.; Levison, D.A.; Cattell, W.R.; Baker, L. Parathyroid Carcinoma Associated with Chronic Renal Failure and Previous Radiotherapy to the Neck. J. Clin. Pathol. 1985, 38, 1114–1118. [Google Scholar] [CrossRef] [PubMed]
- Krishna, G.G.; Mendez, M.; Levy, B.; Ritchie, W.; Marks, A.; Narins, R.G. Parathyroid Carcinoma in a Chronic Hemodialysis Patient. Nephron 1989, 52, 194–195. [Google Scholar] [CrossRef] [PubMed]
- Kodama, M.; Ikegami, M.; Imanishi, M.; Uemura, T.; Takada, M.; Kohri, K.; Kurita, T. Parathyroid Carcinoma in a Case of Chronic Renal Failure on Dialysis. Urol. Int. 1989, 44, 110–112. [Google Scholar] [CrossRef]
- Iwamoto, N.; Yamazaki, S.; Fukuda, T.; Kondo, M.; Yamamoto, N.; Ono, T.; Hiratake, Y.; Yasui, A. Two Cases of Parathyroid Carcinoma in Patients on Long-Term Hemodialysis. Nephron 1990, 55, 429–431. [Google Scholar] [CrossRef] [PubMed]
- Rademaker, P.; Meijer, S.; Oosterhuis, J.W.; Vermey, A.; Zwierstra, R.; Hem, G.V.D.; Geerlings, W. Successful Surgical Treatment of Parathyroid Carcinoma in Two Haemodialysis Patients. Nephrol. Dial. Transplant. 1990, 5, 545–548. [Google Scholar] [CrossRef] [PubMed]
- Tominaga, Y.; Numano, M.; Uchida, K.; Sato, K.; Asano, H.; Haba, T.; Katayama, A.; Mukoyama, A.; Suzuki, K.; Tanaka, Y.; et al. Lung Metastasis from Parathyroid Carcinoma Causing Recurrent Renal Hyperparathyroidism in a Hemodialysis Patient: Report of a Case. Surg. Today 1995, 25, 984–986. [Google Scholar] [CrossRef] [PubMed]
- Miki, H.; Sumitomo, M.; Inoue, H.; Kita, S.; Monden, Y. Parathyroid Carcinoma in Patients with Chronic Renal Failure on Maintenance Hemodialysis. Surgery 1966, 120, 897–901. [Google Scholar] [CrossRef] [PubMed]
- Tseng, C.C.; Huang, J.J.; Wang, M.C.; Lan, R.R.; Sung, J.M.; Chen, F.F. Parathyroid Carcinoma with Multiple Lung Metastases. Nephrol. Dial. Transplant. 1999, 14, 449–451. [Google Scholar] [CrossRef] [PubMed]
- Takami, H. Parathyroid Carcinoma in a Patient Receiving Long-Term Hemodialysis. Surgery 1999, 125, 239–240. [Google Scholar] [CrossRef] [PubMed]
- Jayawardene, S.; Owen, W.J.; Goldsmith, D.J. Parathyroid Carcinoma in a Dialysis Patient. Am. J. Kidney Dis. 2000, 36, E26. [Google Scholar] [CrossRef]
- Zivaljevic, V.; Krgovic, K.; Tatic, S.; Havelka, M.; Dimitrijevic, Z.; Diklic, A.; Paunovic, I.; Jankovic, R. Parathyroid Cancer in a Hemodialysis Patient: A Case Report. Tumori 2002, 88, 430–432. [Google Scholar] [CrossRef] [PubMed]
- Srouji, I.A.; Resouly, A.; Cree, I.A. Case of Thymic Parathyroid Carcinoma in a Hemodialysis Patient: Application of Tumor Chemosensitivity Testing. J. Laryngol. Otol. 2004, 118, 162–164. [Google Scholar] [CrossRef] [PubMed]
- Khan, M.W.; Worcester, E.M.; Straus, F.H.; Khan, S.; Staszak, V.; Kaplan, E.L. Parathyroid Carcinoma in Secondary and Tertiary Hyperparathyroidism1. J. Am. Coll. Surg. 2004, 199, 312–319. [Google Scholar] [CrossRef] [PubMed]
- Bossola, M.; Tazza, L.; Ferrante, A.; Giungi, S.; Carbone, A.; Gui, D.; Luciani, G. Parathyroid Carcinoma in a Chronic Hemodialysis Patient: Case Report and Review of the Literature. Tumori 2005, 91, 558–562. [Google Scholar] [CrossRef] [PubMed]
- Babar-Craig, H.; Quaglia, A.; Stearns, M. Parathyroid Carcinoma: A Report of Two Cases and a Concise Review and Update of the Literature. J. Laryngol. Otol. 2005, 119, 577–580. [Google Scholar] [CrossRef] [PubMed]
- Tkaczyk, M.; Czupryniak, A.; Nowicki, M. Ectopic Mediastinal Parathyroid Carcinoma as a Cause of Dialysis-Dependent Renal Failure. Hemodial. Int. 2007, 11, 398–402. [Google Scholar] [CrossRef] [PubMed]
- Diaconescu, M.R.; Glod, M.; Costea, I.; Grigorovici, M.; Covic, A.; Diaconescu, S. Surgical Management of Renal Hyperparathyroidism: A Preliminary Series Report. Chirurgia 2011, 108, 51–57. [Google Scholar]
- Kim, B.S.; Ryu, H.S.; Kang, K.H.; Park, S.J. Parathyroid Carcinoma in Tertiary Hyperparathyroidism. Asian J. Surg. 2016, 39, 255–259. [Google Scholar] [CrossRef] [PubMed]
- Pappa, A.; Hackman, T. Simultaneous Incidental Parathyroid Carcinoma and Intrathyroid Parathyroid Gland in Suspected Renal Failure Induced Hyperparathyroidism. Surg. J. 2017, 3, e23–e24. [Google Scholar] [CrossRef]
- Curto, L.S.; Gervasi, R.; Caracciolo, F.; Innaro, N. Parathyroid Carcinoma Presenting with Chronic Renal Failure and Single Pulmonary Metastasis: A Case Report. Int. J. Surg. Case Rep. 2019, 65, 322–324. [Google Scholar] [CrossRef]
- Shen, Y.; Fei, P. Refractory Hypercalcemia Due to an Ectopic Mediastinal Parathyroid Gland in a Hemodialysis Patient: A Case Report. BMC Nephrol. 2019, 20, 165. [Google Scholar] [CrossRef] [PubMed]
- Won, H.R.; Kang, J.Y.; Lee, I.H.; Kim, J.M.; Chang, J.W.; Koo, B.S. Parathyroid Carcinoma Arising from Auto-Transplanted Parathyroid Tissue after Total Parathyroidectomy in Chronic Kidney Disease Patient: A Case Report. BMC Nephrol. 2019, 20, 414. [Google Scholar] [CrossRef]
- Cappellacci, F.; Medas, F.; Canu, G.L.; Lai, M.L.; Conzo, G.; Erdas, E.; Calò, P.G. Parathyroid Carcinoma in the Setting of Tertiary Hyperparathyroidism: Case Report and Review of the Literature. Case Rep. Endocrinol. 2020, 2020, 5710468. [Google Scholar] [CrossRef] [PubMed]
- Malipedda, S.; Kamaleshwaran, K.K.; Muthusamy, D.; Veerasamy, M.; Soundararajan, A.P.; Jayaraj, A.V. Rare Imaging Findings of Concomitant Presence of Multiple Parathyroid Adenomas and Carcinoma in a Chronic Kidney Disease Patient with Tertiary Hyperparathyroidism Detected on 99 m Tc-Sestamibi Single-Photon-Emission Computed Tomography/Computed Tomography. Indian J. Nucl. Med. 2020, 35, 333–335. [Google Scholar] [CrossRef] [PubMed]
- Kada, S.; Tanaka, M.; Yasoda, A. Parathyroid Carcinoma in a Patient With Secondary Hyperparathyroidism and Thyroid Hemiagenesis: A Case Report and Review of the Literature. Ear Nose Throat J. 2024, 103, NP25–NP30. [Google Scholar] [CrossRef]
- Chen, S.; Sui, X.; Zhao, B.; Liu, Z.; Dai, X.; Ding, Y. A Case Report of Secondary Parathyroid Adenomatous Hyperplasia with Carcinoma. Medicine 2022, 101, E31362. [Google Scholar] [CrossRef]
- Ryang, S.; Yi, W.; Kim, M.; Song, S.H.; Lee, B.J.; Kim, B.H. Secondary Hyperparathyroidism Due to Multiple Parathyroid Carcinomas in a Patient with Chronic Hemodialysis: A Case Report. Kosin Med. J. 2022, 37, 255–259. [Google Scholar] [CrossRef]
- Salimkhanov, R.; Bondarenko, E.; Eremkina, A.; Bibik, E.; Kim, E.; Begova, K.; Kim, I.; Kuznetsov, S.; Mokrysheva, N. Case Report: Sagliker Syndrome in the Patient with Recurrent Tertiary Hyperparathyroidism Due to Intrathyroidal Parathyroid Carcinoma. Front. Endocrinol. 2023, 14, 1292993. [Google Scholar] [CrossRef]
- Mahmood, S.B.Z.; Jamal, A.; Mushtaq, Z.; Masood, M.Q. A Rare Occurrence of Ectopic Parathyroid Carcinoma Presenting as a Case of Recurrent Fractures. Cureus 2023, 15, e51404. [Google Scholar] [CrossRef]
- Liu, H.; Zhao, H.; Zheng, D.; He, W.; Liu, Y.; Jin, J.; He, Q.; Lin, B. Misdiagnosis of Chronic Kidney Disease and Parathyroid Hormone Testing during the Past 16 Years. Sci. Rep. 2023, 13, 15838. [Google Scholar] [CrossRef]
- Wetmore, J.B.; Ji, Y.; Ashfaq, A.; Gilbertson, D.T.; Roetker, N.S. Testing Patterns for CKD-MBD Abnormalities in a Sample US Population. Kidney Int. Rep. 2019, 6, 1141–1150. [Google Scholar] [CrossRef] [PubMed]
- Rodríguez-Ortiz, M.E.; Pendón-Ruiz de Mier, M.V.; Rodríguez, M. Parathyroidectomy in Dialysis Patients: Indications, Methods, and Consequences. Semin. Dial. 2019, 32, 444–451. [Google Scholar] [CrossRef]
- Apetrii, M.; Goldsmith, D.; Nistor, I.; Siriopol, D.; Voroneanu, L.; Scripcariu, D.; Vervloet, M.; Covic, A. Impact of Surgical Parathyroidectomy on Chronic Kidney Disease-Mineral and Bone Disorder (CKD-MBD)—A Systematic Review and Meta-Analysis. PLoS ONE 2017, 12, e0187025. [Google Scholar] [CrossRef]
- Alvarado, L.; Sharma, N.; Lerma, R.; Dwivedi, A.; Ahmad, A.; Hechanova, A.; Payan-Schober, F.; Nwosu, A.; Alkhalili, E. Parathyroidectomy Versus Cinacalcet for the Treatment of Secondary Hyperparathyroidism in Hemodialysis Patients. World J. Surg. 2022, 46, 813–819. [Google Scholar] [CrossRef] [PubMed]
- Komaba, H.; Hamano, T.; Fujii, N.; Moriwaki, K.; Wada, A.; Masakane, I.; Nitta, K.; Fukagawa, M. Parathyroidectomy vs Cinacalcet Among Patients Undergoing Hemodialysis. J. Clin. Endocrinol. Metab. 2022, 107, 2016–2025. [Google Scholar] [CrossRef] [PubMed]
- Contreras, K.; Baquero, R.; Buitrago, G. Clinical and Economical Outcomes Associated with Parathyroidectomy: A 5-Year Population-Based Study in a Middle-Income Country with Universal Health Coverage. Int. J. Nephrol. 2020, 2020, 7250250. [Google Scholar] [CrossRef] [PubMed]
- Lomonte, C.; Buonvino, N.; Selvaggiolo, M.; Dassira, M.; Grasso, G.; Vernaglione, L.; Basile, C. Sestamibi Scintigraphy, Topography, and Histopathology of Parathyroid Glands in Secondary Hyperparathyroidism. Am. J. Kidney Dis. 2006, 48, 638–644. [Google Scholar] [CrossRef] [PubMed]
- Custódio, M.R.; Montenegro, F.; Costa, A.F.P.; dos Reis, L.M.; Buchpiguel, C.A.; Oliveira, S.G.; Noronha, I.L.; Moysés, R.M.A.; Jorgetti, V. MIBI Scintigraphy, Indicators of Cell Proliferation and Histology of Parathyroid Glands in Uraemic Patients. Nephrol. Dial. Transplant. 2005, 20, 1898–1903. [Google Scholar] [CrossRef]
- Givi, B.; Shah, J.P. Parathyroid Carcinoma. Clin. Oncol. 2010, 22, 498–507. [Google Scholar] [CrossRef]
- Guda, C. Genetic and Epigenetic Changes in Sporadic Endocrine Tumors: Parathyroid Tumors. Mol. Cell Endocrinol. 2014, 386, 46–54. [Google Scholar] [CrossRef]
- Haciyanli, M.; Oruk, G.; Ucarsoy, A.A.; Gur, O.; Genc, H. Multiglandular Parathyroid Carcinoma: Case Report and Review of the Literature. Endocr. Pract. 2011, 17, 79–83. [Google Scholar] [CrossRef] [PubMed]
- Karakas, E.; Müller, H.H.; Lyadov, V.K.; Luz, S.; Schneider, R.; Rothmund, M.; Bartsch, D.K.; Schlosser, K. Development of a Formula to Predict Parathyroid Carcinoma in Patients with Primary Hyperparathyroidism. World J. Surg. 2012, 36, 2605–2611. [Google Scholar] [CrossRef]
- Wang, C.; Wen, K.; Dai, L.; Wen, S.; Zhang, Y. The Clinical Features and Treatment Strategy of Parathyroid Cancer: A Retrospective Analysis. BioMed Res. Int. 2022, 2022, 1913900. [Google Scholar] [CrossRef]
- Witteveen, J.E.; Hamdy, N.A.T.; Dekkers, O.M.; Kievit, J.; Van Wezel, T.; Teh, B.T.; Romijn, J.A.; Morreau, H. Downregulation of CASR Expression and Global Loss of Parafibromin Staining Are Strong Negative Determinants of Prognosis in Parathyroid Carcinoma. Mod. Pathol. 2011, 24, 688–697. [Google Scholar] [CrossRef] [PubMed]
- Cavalier, E. Determination of Parathyroid Hormone: From Radioimmunoassay to LCMS/MS. Clin. Chem. Lab. Med. 2023, 61, 946–953. [Google Scholar] [CrossRef]
- Gonzalez-Casaus, M.L.; Fernandez-Calle, P.; Buño Soto, A. Should Clinical Laboratories Adapt to the Reality of Chronic Kidney Disease in the Determination of Parathyroid Hormone? Adv. Lab. Med. 2021, 2, 342–351. [Google Scholar] [CrossRef]
- Zhang, R.; Zhang, Z.; Huang, P.; Li, Z.; Hu, R.; Zhang, J.; Qiu, W.; Hu, P. Diagnostic Performance of Ultrasonography, Dual-Phase 99mTc-MIBI Scintigraphy, Early and Delayed 99mTc-MIBI SPECT/CT in Preoperative Parathyroid Gland Localization in Secondary Hyperparathyroidism. BMC Med. Imaging 2020, 20, 91. [Google Scholar] [CrossRef] [PubMed]
- Zhang, M.; Sun, L.; Rui, W.; Guo, R.; He, H.; Miao, Y.; Meng, H.; Liu, J.; Li, B. Semi-Quantitative Analysis of 99mTc-Sestamibi Retention Level for Preoperative Differential Diagnosis of Parathyroid Carcinoma. Quant. Imaging Med. Surg. 2019, 9, 1394. [Google Scholar] [CrossRef] [PubMed]
- Yu, D.; Zou, L.; Jin, Y.; Wei, M.; Wu, X.; Zuo, L.; Wu, M.; Jiang, Y. Semiquantitative Assessment of 99mTc-MIBI Uptake in Parathyroids of Secondary Hyperparathyroidism Patients with Chronic Renal Failure. Front. Endocrinol. 2022, 13, 915279. [Google Scholar] [CrossRef]
- Chen, Z.; Fu, J.; Shao, Q.; Zhou, B.; Wang, F. 99mTc-MIBI Single Photon Emission Computed Tomography/Computed Tomography for the Incidental Detection of Rare Parathyroid Carcinoma. Medicine 2018, 97, e12578. [Google Scholar] [CrossRef]
- Hara, H.; Igarashi, A.; Yang, Y.; Ito, K.; Obara, T.; Yashiro, T.; Ueno, E.; Aiyoshi, Y. Ultrasonographic Features of Parathyroid Carcinoma. Endocr. J. 2001, 48, 213–217. [Google Scholar] [CrossRef] [PubMed]
- Fingeret, A.L. Contemporary Evaluation and Management of Parathyroid Carcinoma. JCO Oncol. Pract. 2021, 17, 17–21. [Google Scholar] [CrossRef] [PubMed]
- Wilhelm, S.M.; Wang, T.S.; Ruan, D.T.; Lee, J.A.; Asa, S.L.; Duh, Q.Y.; Doherty, G.M.; Herrera, M.F.; Pasieka, J.L.; Perrier, N.D.; et al. The American Association of Endocrine Surgeons Guidelines for Definitive Management of Primary Hyperparathyroidism. JAMA Surg. 2016, 151, 959–968. [Google Scholar] [CrossRef] [PubMed]
- Galani, A.; Morandi, R.; Dimko, M.; Molfino, S.; Baronchelli, C.; Lai, S.; Gheza, F.; Cappelli, C.; Casella, C. Atypical Parathyroid Adenoma: Clinical and Anatomical Pathologic Features. World J. Surg. Oncol. 2021, 19, 19. [Google Scholar] [CrossRef]
- Goldner, E.; Fingeret, A. Parathyroid Carcinoma: A National Cancer Database Analysis. J. Surg. Res. 2023, 281, 57–62. [Google Scholar] [CrossRef]





| Parameter | Normal Range | At Diagnosis | UCT | On Admission for Surgery | Time after Surgery | |||
|---|---|---|---|---|---|---|---|---|
| One Day | One Month | 6 Months | 9 Months | |||||
| PTH (pg/mL) | 15–65 | 1048 | 1136 | 1309 | NA | 270.2 | 590 | 491.7 |
| Ca (mg/dL) | 8.8–10.3 | 9.7 | 8.71 | 9.6 | 8.08 | 9.41 | 9.61 | 9.4 |
| P (mg/dL) | 2.5–4.8 | 7.2 | 5.78 | 8.72 | NA | 4.02 | 4.5 | 5.9 |
| ALP (UI/L) | 48–116 | NA | NA | NA | NA | 72 | 66 | NA |
| Parameter | Normal Range | On Admission for Surgery | Time after Surgery | |||
|---|---|---|---|---|---|---|
| 2 Months | 8 Months | 10 Months | 16 Months | |||
| PTH (pg/mL) | 15–65 | 1911 | 793 | 534.05 | 889.05 | 585 |
| Ca (mg/dL) | 8.8–10.3 | 10.4 | 7.8 | 10.12 | 8.2 | 10.1 |
| P (mg/dL) | 2.5–4.8 | 3.2 | 2.25 | 3.3 | 3.33 | 5.2 |
| ALP(UI/L) | 48–116 | 161 | 161 | NA | 75 | 55 |
| no | Case | Age, Sex | HD/KT y | Ca mg/dL | PTH pg/mL | CTt | L/W cm/g | Risk Factors | Local Invasion/Metastasis | Histology/Surgical Approach | Outcome Follow-Up Months |
|---|---|---|---|---|---|---|---|---|---|---|---|
| 1 | Berland et al. 1982 [13] | 62, F | 3 - | 9.2 | 1820 | NA | NA | - | - | 2 PC Subtotal PTx + arm implant | Good |
| 2 | Anderson et al. 1983 [14] * | 44, F | NA | ↑ | NA | NA | NA | - | NA | NA | Bad |
| 3 | Ireland et al. 1985 [21] | 34, M | 5 - | 12.3 | 1043 | NA | 2 NA | Neck Rx (laryngeal cancer) | lung | 1 PC Total PTx with forearm autograft Reintervention: resection of autograft due to hypercalcemia | Bad |
| 4 | Sherlock et al. 1985 [12] | 42, F | 7 - | 12.9 | >10,000 PTH-C | NA | 4 NA | - | local vessels, thyroid | 1 PC Subtotal PTx + forearm implant | Good hPTH |
| 5 | Krishna et al. 1989 [22] | 64, F | NA | 11 | >10,000 PTH-C | P binders | NA | - | thyroid | 2 PC Total PTx | Good—36 m |
| 6 | Kodama et al. 1989 [23] | 53, F | 7 - | 11.1 | 121.4 | NA | 3 NA | - | - | 1 PC Subtotal PTx | Good |
| 7 | Iwamoto et al. 1989 [24] | 46, M | 10 - | 9.6 | 24,200 PTH-C | D analogues | NA 3.3 | - | recurrent nerve | 1 PC Total PTx | NA |
| 8 | Iwamoto et al. 1989 [24] | 55, F | 5.5 - | 9.4 | 98,300 PTH-C | D analogues | 1 NA | - | thyroid | 1 PC Subtotal PTx + forearm implant | NA |
| 9 | Rademaker et al. 1990 [25] | 46, F | 3 - | 12.2 | 723 | D analogues, P binders | 3.5 NA | - | thyroid | 1PC Total PTx Reintervention: subtotal thyroidectomy | Good—84 m hPTH |
| 10 | Rademaker et al. 1990 [25] | 52, F | 2 - | 12.6 | 523 | D analogues, P binders | 2 NA | - | capsular invasion | 1 PC Neck dissection on the side of the tumor | Good—48 m |
| 11 | Tominaga et al. 1995 [26] | 46, F | 20 - | 6.1 | 956 | NA | NA 10 | - | thyroid gland, local lymph nodes, lung metastasis | Misinterpreted as a benign lesion: Total PTx; Reintervention: resection of 10 parathyroid nodules (2 y after) + total thyroidectomy: Reintervention: lung metastasis resection (classified as PC after metastasis) | Ameliorated- persistent, but stable SHPT |
| 12 | Miki et al. 1996 [27] | 40, F | 4.5 - | 7.8 | 62, 000 PTH-C | D analogues | NA 2.7 | - | multiple, bilateral, recurrent lung metastasis | 1 PC Total PTx + forearm implant Reintervention: right lobectomy of the thyroid gland (papillary carcinoma), partial left pulmonary resection + right pulmonary resection for lung metastasis (2 y years after). | Poor—persistent SHPT, lung and neck masses |
| 13 | Liou et al. 1996 * [14] | 64, M | 0 - | 14.7 | ↑ | - | NA | - | - | 1 PC Subtotal PTx | Good—“Hungry bones” |
| 14 | Tseng et al. 1998 [28] | 20, F | 5 - | 12.7 | 1143 | D analogues | NA 6.2 | - | lung metastasis | 4 PH Subtotal PTx Reintervention: 1 y after: + 4th parathyroid and thymus + resection of left pulmonary lobe nodule (for lung metastasis; | Bad—hypercalcemia, recurrent lung metastasis, exitus |
| 15 | Takami et al. 1998 [29] | 55, F | 10 - | 10.9 | 5080 | NA | 2.4 NA | - | capsular and vascular invasion; sternothyroid m, esophagus, thyroid | 1 PC Total PTx + Right lobectomy of thyroid + lymphadenectomy + sternothyroid and adventitia of esophagus + forearm implant | Good—4 m |
| 16 | Jayawardene et al. 2000 [30] | 74, F | 3 - | 12.06 | 1303 | - | NA | - | vascular invasion | 1 PC Total PTx | Good—48 m hypocalcemia |
| 17 | Kuji et al. 2000 * [14] | 51, M | 22 - | ↑ | ↑ | NA | NA | - | - | 1 PC Total PTx + forearm implant | Good |
| 18 | Zivaljevic et al. 2002 [31] | 69, M | 6 - | 10.82 | 1901 | NA | 5 NA | thyroid, sternothyroid m. | 1 PC Total PTx + thyroid lobe+ sternothyroid m resection | Good—7 m hPTH | |
| 19 | Srouji et al. 2004 [32] | 27, M | - 10 | 11.2 | 1405 | D analogues | NA | 10 y IS for KT | thyroid, thymus; mediastinum; parathyromatosis | 1 PC Total PTx (misinterpreted as benign) Reintervention 1 y afterradical neck + mediastinal dissection for parathyromatosis | Good—9 m |
| 20 | Khan et al. 2004 [33] | 33, M | 8 - | 10.6 | 597 | D analogues | NA 11 | - | lung, soft tissues adjacent to the scapulae | 1 PC—after reexamination, Subtotal PTx + ½ preserved parathyroid; | Poor—palliative care; multiple fractures |
| 21 | Bossola et al. 2005 [34] | 52, F | 3 - | 12.4 | 1366 | NA | NA | - | - | 1 PC Subtotal PTx | Good |
| 22 | Babar-Craig et al. 2005 [35] | 55, M | NA | ↑ | ↑ | NA | NA | - | - | 1 PC Total PTx | NA |
| 23 | Falvo et al. 2005 [14] * | 61, M | 18 - | ↑ | ↑ | NA | NA | - | - | 2 PC Total PTx + total thyroidectomy | Good |
| 24 | Tkaczyk et al. 2007 [36] | 55, M | 0 - | 11.6 | 2807 | CaR antag, D analogues | 2.7 NA | - | mediastinal adipose tissue | 1 PC Total PTx Reintervention: mediastinum ectopic parathyroidectomy and “en bloc” lymph node resection | Good—7 m “Hungry bones” |
| 25 | Diaconescu et al. 2011 [37] | 48, M | 13 - | 10.42 | 710 | NA | 3 NA | - | - | 1 intrathyroidal PC misinterpreted as a thyroid nodule Total PTx + thyroidectomy | Good—hPTH |
| 26 | Nasrallah et al. 2014 [14] * | 53, M | NA | 11.1 | 324 | NA | NA | - | laryngeal nerve branch | 1 PC Total PTx | Good |
| 27 | Kim et al. 2016 [38] | 57, M | 11 2 | 10.6 | 1287 | cinacalcet | 1.7 NA | 2y IS for KT | capsular invasion | 1 PC Subtotal PTx (3 + 1/2) | Good—6 m |
| 28 | Pappa et al. 2017 [39] | 45, M | 4 - | 10.6 | 1422 | cinacalcet | 3 NA | - | vascular and capsular invasion | 1 PC Total PTx | Good—36 m |
| 29 | Curto et al. 2019 [40] | 59, F | NA 40 | 14 | 1544 | NA | 1 NA | 40y IS for KT | lung metastasis, capsule invasion, infiltration of m, fat | 4 PC First intervention: Lung lobectomy for a suspicious lesion (histological PC metastasis) Reintervention: “en bloc” resection | Good |
| 30 | Shen et al. 2019 [41] | 70, M | 2 - | 15.11 | 197 | cinacalcet calcitriol | 2.5 NA | - | ectopic mediastinal PC: video-assisted thoracoscopic guided removal | Good | |
| 31 | Won et al. 2019 [42] | 46, M | 8 Rej. KT | 9.8 | 1399 | paricalcitol cinacalcet, sevelamer | 2.5 NA | IS for KT | muscle and vascular invasion | 1 autograft PC Total PTx + SCM autograft | Good—5 m |
| 32 | Cappellacci et al. 2020 [43] | 51, M | 15 - | 10.7 | 2582 | sevelamer | 2.5 NA | - | vascular and capsular invasion | 1 PC Total PTx | Good—22 m “Hungry bones” |
| 33 | Malipedda et al. 2020 [44] | 53, M | 5 - | 12.5 | 3360 | NA | 1.3 NA | - | vascular invasion | 1 PC Subtotal PTx + ½ forearm implant | Good |
| 34 | Kada et al. 2021 [45] | 48, F | 15 - | 8.9 | 830 | NA | 2 NA | - | esophageal mucosa muscle plate | 1 PC Total PTx + bilateral peritracheal lymph node dissections | Good—100 m |
| 35 | Chen et al. 2022 [46] | 49, M | 0 - | High | 1483 | NA | 1.8 NA | - | - | 1 PC Total PTx + posterior median sternotomy | Good |
| 36 | Radu et al. 2023 [15] | 35, M | 3 - | 11.6 | 804 | NA | 2 NA | - | capsular and vascular invasion | 1 PC Total PTx | Good—48 m |
| 37 | Radu et al. 2023 [15] | 55, F | 5 - | 13.2 | 1283 | NA | 2 NA | - | 1 PC Total PTx | Dis. free—60 m Exitus: heart dis. | |
| 38 | Ryang et al. 2022 [47] | 54, M | 13 - | 10.6 | 1144 | sevelamer, paricalcitol cinacalcet | 2.2, 2.2, 1.5 | - | capsular invasion | 3 PC Total PTx + forearm autograft | Good—hypocalcemia |
| 39 | Yokoyama et al. 2023 [14] | 54, F | 14 - | 11.4 | 1007 | maxacalcitol | 5.9 NA | - | thyroid, recurrent nerve | 1 PC Total PTx + ” en bloc” resection + arm autograft | Good—4 m |
| 40 | Yang et al. 2023 [20] | 46, F | 4 - | 11.8 | 1672 | none | 2.5 NA | - | parathyromatosis | 1 PC and parathyromatosis Total PTx 5 years before Reintervention: neck exploration and removal of PC and parathyromatosis | Good—8 m |
| 41 | Salimkhanov et al. 2023 [48] | 48, F | 3 - | 12.7 | 3556 | cinacalcet | 3.8 NA | - | parathyromatosis thyroid | multifocal intrathyroidal PC after total PTx Reintervention: thyroidectomy | Sagliker syndrome Ameliorated |
| 42 | Mahmood Bin et al. 2023 [49] | 53, M | 0 - | 12.4 | 1347 | NA | NA | - | - | ectopic mediastinal PC: video-assisted thoracoscopic guided removal of the parathyroid tissue | Good |
Disclaimer/Publisher’s Note: The statements, opinions and data contained in all publications are solely those of the individual author(s) and contributor(s) and not of MDPI and/or the editor(s). MDPI and/or the editor(s) disclaim responsibility for any injury to people or property resulting from any ideas, methods, instructions or products referred to in the content. |
© 2024 by the authors. Licensee MDPI, Basel, Switzerland. This article is an open access article distributed under the terms and conditions of the Creative Commons Attribution (CC BY) license (https://creativecommons.org/licenses/by/4.0/).
Share and Cite
Bilha, S.C.; Matei, A.; Branisteanu, D.D.; Teodoriu, L.C.; Hristov, I.; Bilha, S.; Leustean, L.; Ungureanu, M.-C.; Apostol Ciobanu, D.G.; Preda, C.; et al. Coincidence or Causality: Parathyroid Carcinoma in Chronic Kidney Disease—Case Report and Literature Review. Diagnostics 2024, 14, 1127. https://doi.org/10.3390/diagnostics14111127
Bilha SC, Matei A, Branisteanu DD, Teodoriu LC, Hristov I, Bilha S, Leustean L, Ungureanu M-C, Apostol Ciobanu DG, Preda C, et al. Coincidence or Causality: Parathyroid Carcinoma in Chronic Kidney Disease—Case Report and Literature Review. Diagnostics. 2024; 14(11):1127. https://doi.org/10.3390/diagnostics14111127
Chicago/Turabian StyleBilha, Stefana Catalina, Anca Matei, Dumitru D. Branisteanu, Laura Claudia Teodoriu, Ioana Hristov, Stefan Bilha, Letitia Leustean, Maria-Christina Ungureanu, Delia Gabriela Apostol Ciobanu, Cristina Preda, and et al. 2024. "Coincidence or Causality: Parathyroid Carcinoma in Chronic Kidney Disease—Case Report and Literature Review" Diagnostics 14, no. 11: 1127. https://doi.org/10.3390/diagnostics14111127
APA StyleBilha, S. C., Matei, A., Branisteanu, D. D., Teodoriu, L. C., Hristov, I., Bilha, S., Leustean, L., Ungureanu, M.-C., Apostol Ciobanu, D. G., Preda, C., & Velicescu, C. (2024). Coincidence or Causality: Parathyroid Carcinoma in Chronic Kidney Disease—Case Report and Literature Review. Diagnostics, 14(11), 1127. https://doi.org/10.3390/diagnostics14111127

