Neuroimaging of the Most Common Meningitis and Encephalitis of Adults: A Narrative Review
Abstract
1. Introduction
| Meningitis/Encephalitis | Imaging Findings |
|---|---|
| Piogenic Meningitis | • Cerebrospinal fluid hyperintensity in T1 and FLAIR • Restricted diffusion of the subarachnoid spaces • Meningeal enhancement on T1 and FLAIR |
| Tuberculosis | • Leptomeningeal enhancement in the basal cisterns • Hydrocephalus very common • Infarcts in the basal ganglia due to vasculitis • Possible concomitant tuberculomas or miliary tuberculosis |
| Cryptococcus Neoformans | • Leptomeningeal enhancement • Cryptococcoma • Gelatinous pseudocysts |
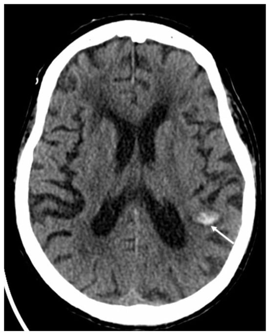
| Candida albicans | • Microabscesses • Vascular lesions |
| Aspergillus fumigatus | • Abscesses • Vascular lesions |
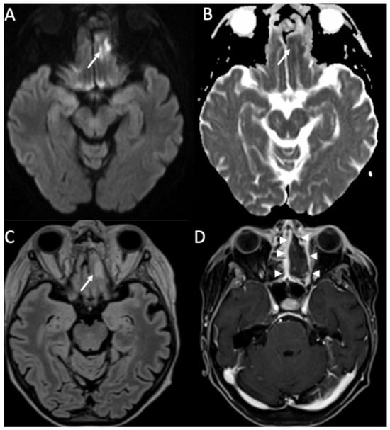
| Herpes Virus type 1 | • Mesio-temporal involvement • Bilateral and asymmetric pattern • Cortical hyperintensity on T2 and FLAIR, with restricted diffusion (acute phase) and cortical enhancement (subacute phase) • Hemorrhagic foci |
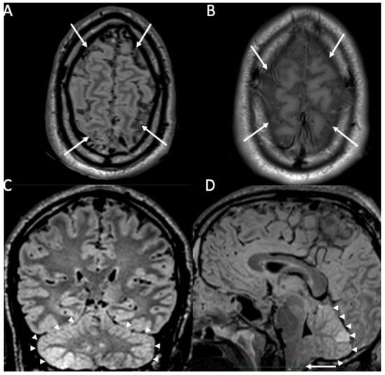
| Varicella Zoster Virus | • Leptomeningeal enhancement • Cerebellitis |
| Cytomegalovirus | • Hyperintense areas in T2 and FLAIR in the periventricular white matter • Ventriculitis |
| Human herpesvirus type 6 | • Similar to herpes virus type 1, but cortical enhancement is more common |
| West Nile virus | • Hyperintensity in T2 and FLAIR of basal ganglia, thalami and midbrain |
| Enterovirus | • Rhombencephalitis |
| Essential Articles |
|---|
| Mohan S, Jain KK, Arabi M, Shah GV. Imaging of meningitis and ventriculitis. Neuroimaging Clin N Am. 2012. |
| Patkar D, Narang J, Yanamandala R, Lawande M, Shah GV. Central nervous system tuberculosis: pathophysiology and imaging findings. Neuroimaging Clin N Am. 2012 |
| Mathur M, Johnson CE, Sze G. Fungal infections of the central nervous system. Neuroimaging Clin N Am. 2012. |
| Rath TJ, Hughes M, Arabi M, Shah GV. Imaging of cerebritis, encephalitis, and brain abscess. Neuroimaging Clin N Am. 2012 |
| Abbuehl LS, Branca M, Ungureanu A, Federspiel A, Leib SL, Bassetti CLA, Hakim A, Dietmann A. Magnetic resonance imaging in acute meningoencephalitis of viral and unknown origin: Frequent findings and prognostic potential. Front Neurol. 2024 |
2. Piogenic Meningitis
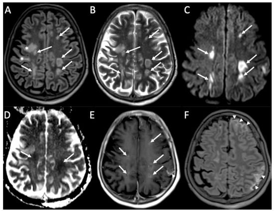
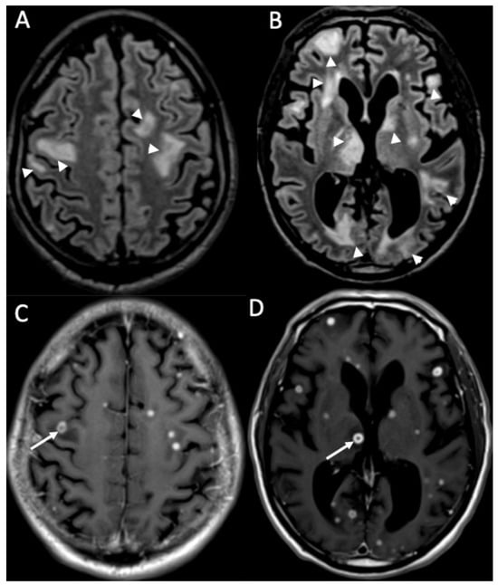
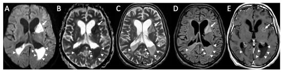
3. Tuberculous Meningitis/Meningoencephalitis
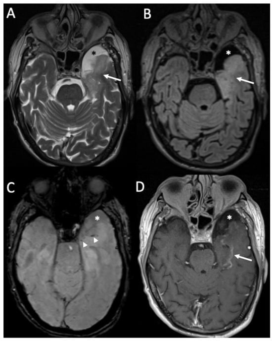
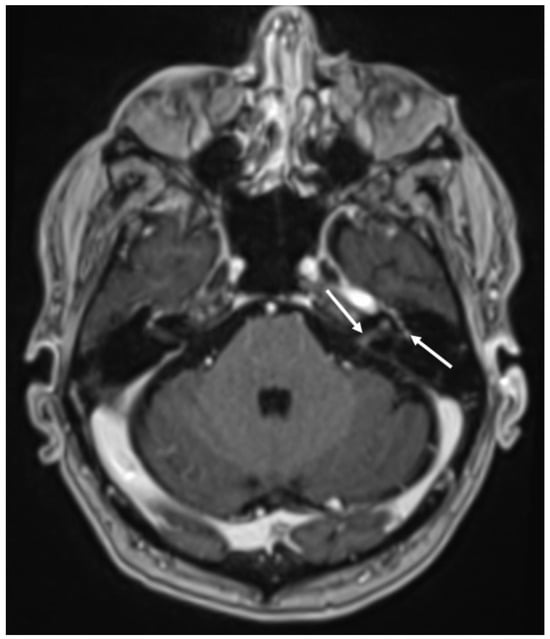
4. Fungal Meningitis
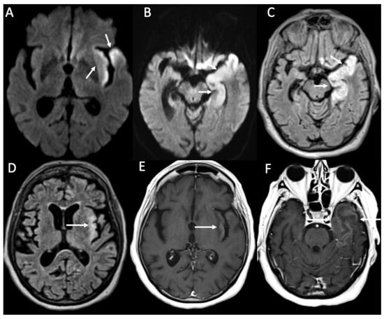
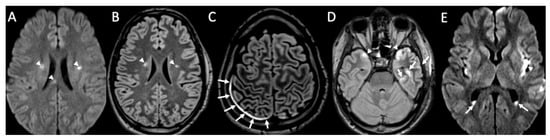
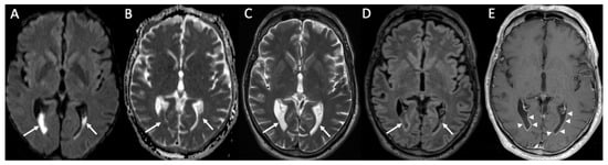
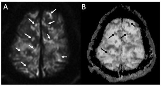
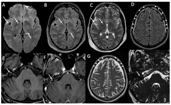
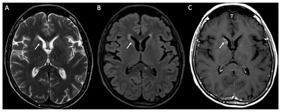
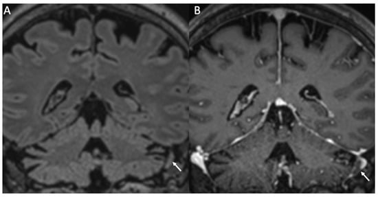
5. Viral Meningitis and Encephalitis
6. Conclusions
Author Contributions
Funding
Institutional Review Board Statement
Informed Consent Statement
Conflicts of Interest
References
- Mohan, S.; Jain, K.K.; Arabi, M.; Shah, G.V. Imaging of Meningitis and Ventriculitis. Neuroimaging Clin. N. Am. 2012, 22, 557–583. [Google Scholar] [CrossRef] [PubMed]
- Barshes, N.; Demopoulos, A.; Engelhard, H.H. Anatomy and Physiology of the Leptomeninges and CSF Space. In Leptomeningeal Metastases; Abrey, L.E., Chamberlain, M.C., Engelhard, H.H., Eds.; Springer: New York, NY, USA, 2005; pp. 1–16. [Google Scholar]
- Sze, G.; Soletsky, S.; Bronen, R.; Krol, G. MR imaging of the cranial meninges with emphasis on contrast enhancement and meningeal carcinomatosis. AJNR Am. J. Neuroradiol. 1989, 10, 965–975. [Google Scholar] [CrossRef]
- Kanamalla, U.S.; Ibarra, R.A.; Jinkins, J.R. Imaging of cranial meningitis and ventriculitis. Neuroimaging Clin. N. Am. 2000, 10, 309–331. [Google Scholar] [PubMed]
- Van De Beek, D.; De Gans, J.; Spanjaard, L.; Weisfelt, M.; Reitsma, J.B.; Vermeulen, M. Clinical Features and Prognostic Factors in Adults with Bacterial Meningitis. N. Engl. J. Med. 2004, 351, 1849–1859. [Google Scholar] [CrossRef] [PubMed]
- Hasbun, R.; Abrahams, J.; Jekel, J.; Quagliarello, V.J. Computed Tomography of the Head before Lumbar Puncture in Adults with Suspected Meningitis. N. Engl. J. Med. 2001, 345, 1727–1733. [Google Scholar] [CrossRef] [PubMed]
- Castillo, M. Imaging of meningitis. Semin. Roentgenol. 2004, 39, 458–464. [Google Scholar] [CrossRef] [PubMed]
- Smirniotopoulos, J.G.; Murphy, F.M.; Rushing, E.J.; Rees, J.H.; Schroeder, J.W. Patterns of Contrast Enhancement in the Brain and Meninges. RadioGraphics 2007, 27, 525–551. [Google Scholar] [CrossRef] [PubMed]
- Patkar, D.; Narang, J.; Yanamandala, R.; Lawande, M.; Shah, G.V. Central Nervous System Tuberculosis. Neuroimaging Clin. N. Am. 2012, 22, 677–705. [Google Scholar] [CrossRef] [PubMed]
- Mathur, M.; Johnson, C.E.; Sze, G. Fungal Infections of the Central Nervous System. Neuroimaging Clin. N. Am. 2012, 22, 609–632. [Google Scholar] [CrossRef]
- Rath, T.J.; Hughes, M.; Arabi, M.; Shah, G.V. Imaging of cerebritis, encephalitis, and brain abscess. Neuroimaging Clin N. Am. 2012, 22, 585–607. [Google Scholar] [CrossRef]
- Abbuehl, L.S.; Branca, M.; Ungureanu, A.; Federspiel, A.; Leib, S.L.; Bassetti, C.L.A.; Hakim, A.; Dietmann, A. Magnetic resonance imaging in acute meningoencephalitis of viral and unknown origin: Frequent findings and prognostic potential. Front Neurol. 2024, 15, 1359437. [Google Scholar] [CrossRef] [PubMed]
- McIntyre, P.B.; O’Brien, K.L.; Greenwood, B.; Van De Beek, D. Effect of vaccines on bacterial meningitis worldwide. Lancet 2012, 380, 1703–1711. [Google Scholar] [CrossRef] [PubMed]
- Shih, R.Y.; Koeller, K.K. Bacterial, Fungal, and Parasitic Infections of the Central Nervous System: Radiologic-Pathologic Correlation and Historical Perspectives: From the Radiologic Pathology Archives. RadioGraphics 2015, 35, 1141–1169. [Google Scholar] [CrossRef] [PubMed]
- Kastrup, O.; Wanke, I.; Maschke, M. Neuroimaging of Infections of the Central Nervous System. Semin. Neurol. 2008, 28, 511–522. [Google Scholar] [CrossRef] [PubMed]
- Saberi, A.; Roudbary, S.-A.; Ghayeghran, A.; Kazemi, S.; Hosseininezhad, M. Diagnosis of Meningitis Caused by Pathogenic Microorganisms Using Magnetic Resonance Imaging: A Systematic Review. Basic Clin. Neurosci. J. 2018, 9, 73–86. [Google Scholar] [CrossRef] [PubMed]
- Kamr, W.H.; Eissawy, M.G.; Saadawy, A. The value of contrast-enhanced FLAIR magnetic resonance imaging in detecting meningeal abnormalities in suspected cases of meningitis compared to conventional contrast-enhanced T1WI sequences. Egypt. J. Radiol. Nucl. Med. 2020, 51, 231. [Google Scholar] [CrossRef]
- Thurnher, M.M. Neuroimaging in Bacterial and Mycobacterial Infections of the Brain. In Clinical Neuroradiology; Barkhof, F., Jager, R., Thurnher, M., Rovira Cañellas, A., Eds.; Springer International Publishing: Cham, Switzerland, 2018; pp. 1–24. [Google Scholar]
- Hughes, D.C.; Raghavan, A.; Mordekar, S.R.; Griffiths, P.D.; A Connolly, D.J. Role of imaging in the diagnosis of acute bacterial meningitis and its complications. Postgrad. Med. J. 2010, 86, 478–485. [Google Scholar] [CrossRef]
- Cabral, D.A.; Flodmark, O.; Farrell, K.; Speert, D.P. Prospective study of computed tomography in acute bacterial meningitis. J. Pediatr. 1987, 111, 201–205. [Google Scholar] [CrossRef] [PubMed]
- Wang, K.-W.; Chang, W.-N.; Chang, H.-W.; Wang, H.-C.; Lu, C.-H. Clinical relevance of hydrocephalus in bacterial meningitis in adults. Surg. Neurol. 2005, 64, 61–65. [Google Scholar] [CrossRef]
- Ferreira, N.P.D.F.; Otta, G.M.; Do Amaral, L.L.F.; Da Rocha, A.J. Imaging Aspects of Pyogenic Infections of the Central Nervous System. Top. Magn. Reson. Imaging 2005, 16, 145–154. [Google Scholar] [CrossRef]
- Wong, J.; Quint, D.J. Imaging of central nervous system infections. Semin. Roentgenol. 1999, 34, 123–143. [Google Scholar] [CrossRef] [PubMed]
- Feraco, P.; Donner, D.; Gagliardo, C.; Leonardi, I.; Piccinini, S.; del Poggio, A.; Franciosi, R.; Petralia, B.; Hauwe, L.V.D. Cerebral abscesses imaging: A practical approach. J. Popul. Ther. Clin. Pharmacol. 2020, 27, e11–e24. [Google Scholar] [CrossRef] [PubMed]
- Halefoglu, A.M.; Yousem, D.M. Susceptibility weighted imaging: Clinical applications and future directions. World J. Radiol. 2018, 10, 30–45. [Google Scholar] [CrossRef] [PubMed]
- Lai, P.H.; Ho, J.T.; Chen, W.L.; Hsu, S.S.; Wang, J.S.; Pan, H.B.; Yang, C.F. Brain abscess and necrotic brain tumor: Discrimination with proton MR spectroscopy and diffusion-weighted imaging. AJNR Am. J. Neuroradiol. 2002, 23, 1369–1377. [Google Scholar] [PubMed]
- Erdogan, C.; Hakyemez, B.; Yildirim, N.; Parlak, M. Brain Abscess Cystic Brain Tumor: Discrimination with Dynamic Susceptibility Contrast Perfusion-Weighted, M.R.I. J. Comput. Assist. Tomogr. 2005, 29, 663–667. [Google Scholar] [CrossRef]
- Garg, M.; Gupta, R.K.; Husain, M.; Chawla, S.; Chawla, J.; Kumar, R.; Rao, S.B.; Misra, M.K.; Prasad, K.N. Brain Abscesses: Etiologic Categorization with in Vivo Proton MR Spectroscopy. Radiology 2004, 230, 519–527. [Google Scholar] [CrossRef] [PubMed]
- Dichgans, M.; Jäger, L.; Mayer, T.; Schorn, K.; Pfister, H. Bacterial meningitis in adults: Demonstration of inner ear involvement using high-resolution, M.R.I. Neurology 1999, 52, 1003. [Google Scholar] [CrossRef] [PubMed]
- Uraguchi, K.; Kariya, S.; Ando, M. Labyrinthitis ossificans following severe acute otitis media. Clin. Case Rep. 2022, 10, e05898. [Google Scholar] [CrossRef] [PubMed]
- Deliran, S.S.; Brouwer, M.C.; Coutinho, J.M.; Beek, D.V.D. Bacterial meningitis complicated by cerebral venous thrombosis. Eur. Stroke J. 2020, 5, 394–401. [Google Scholar] [CrossRef]
- Fujikawa, A.; Tsuchiya, K.; Honya, K.; Nitatori, T. Comparison of MRI Sequences to Detect Ventriculitis. Am. J. Roentgenol. 2006, 187, 1048–1053. [Google Scholar] [CrossRef]
- Drost, G.; Verrips, A.; Thijssen, M.H.O.; Gabreëls, M.F.J. Cerebellar Involvement as a Rare Complication of Pneumococcal Meningitis. Neuropediatrics 2000, 31, 97–99. [Google Scholar] [CrossRef] [PubMed]
- MacNeil, A.; Glaziou, P.; Sismanidis, C.; Date, A.; Maloney, S.; Floyd, K. Global Epidemiology of Tuberculosis and Progress Toward Meeting Global Targets—Worldwide, 2018. MMWR Morb. Mortal. Wkly. Rep. 2020, 69, 281–285. [Google Scholar] [CrossRef] [PubMed]
- Matias, T.B.; Cordeiro, R.A.; Duarte, J.A.; de Jarry, V.M.; Appenzeller, S.; Villarinho, L.; Reis, F. Immune-Mediated Hypertrophic Pachymeningitis and its Mimickers: Magnetic Resonance Imaging Findings. Acad. Radiol. 2023, 30, 2696–2706. [Google Scholar] [CrossRef] [PubMed]
- Gupta, R.K.; Haris, M.; Husain, N.; Husain, M.M.; Prasad, K.N.; Pauliah, M.M.; Srivastava, C.; Tripathi, M.; Rastogi, M.M.; Behari, S.M.; et al. Relative Cerebral Blood Volume Is a Measure of Angiogenesis in Brain Tuberculoma. J. Comput. Assist. Tomogr. 2007, 31, 335–341. [Google Scholar] [CrossRef] [PubMed][Green Version]
- Dahal, P.; Parajuli, S. Magnetic resonance imaging findings in central nervous system tuberculosis: A pictorial review. Heliyon 2024, 10, e29779. [Google Scholar] [CrossRef]
- Chakrabarti, A. Epidemiology of central nervous system mycoses. Neurol. India 2007, 55, 191. [Google Scholar] [CrossRef]
- Cho, T.A.; Venna, N. Management of Acute, Recurrent, and Chronic Meningitides in Adults. Neurol. Clin. 2010, 28, 1061–1088. [Google Scholar] [CrossRef] [PubMed]
- Mathews, V.P.; Alo, P.L.; Glass, J.D.; Kumar, A.J.; McArthur, J.C. AIDS-related CNS cryptococcosis: Radiologic-pathologic correlation. AJNR Am. J. Neuroradiol. 1992, 13, 1477–1486. [Google Scholar]
- Kovoor, J.M.E.; Mahadevan, A.; Narayan, J.P.; Govindappa, S.S.; Satishchandra, P.; Taly, A.V.; Shankar, S.K. Cryptococcal choroid plexitis as a mass lesion: MR imaging and histopathologic correlation. AJNR Am. J. Neuroradiol. 2002, 23, 273–276. [Google Scholar]
- Lamoth, F.; Lockhart, S.R.; Berkow, E.L.; Calandra, T. Changes in the epidemiological landscape of invasive candidiasis. J. Antimicrob. Chemother. 2018, 73, i4–i13. [Google Scholar] [CrossRef]
- Palacios, E.; Rojas, R.; Rodulfa, J.; González-Toledo, E. Magnetic Resonance Imaging in Fungal Infections of the Brain. Top. Magn. Reson. Imaging 2014, 23, 199–212. [Google Scholar] [CrossRef] [PubMed]
- Sundaram, C.; Goel, D.; Uppin, S.G.; Seethajayalakshmi, S.; Borgohain, R. Intracranial mycotic aneurysm due to Aspergillus species. J. Clin. Neurosci. 2007, 14, 882–886. [Google Scholar] [CrossRef] [PubMed]
- Verma, A.; Brozman, B.; Petito, C.K. Isolated cerebral mucormycosis: Report of a case and review of the literature. J. Neurol. Sci. 2006, 240, 65–69. [Google Scholar] [CrossRef] [PubMed]
- Wang, H.; Zhao, S.; Wang, S.; Zheng, Y.; Wang, S.; Chen, H.; Pang, J.; Ma, J.; Yang, X.; Chen, Y. Global magnitude of encephalitis burden and its evolving pattern over the past 30 years. J. Infect. 2022, 84, 777–787. [Google Scholar] [CrossRef] [PubMed]
- Oud, L. Herpes Simplex Virus Encephalitis: Patterns of Epidemiology and Outcomes of Patients Admitted to the Intensive Care Unit in Texas, 2008–2016. J. Clin. Med. Res. 2019, 11, 773–779. [Google Scholar] [CrossRef] [PubMed]
- Bradshaw, M.J.; Venkatesan, A. Herpes Simplex Virus-1 Encephalitis in Adults: Pathophysiology, Diagnosis, and Management. Neurotherapeutics 2016, 13, 493–508. [Google Scholar] [CrossRef]
- Bulakbasi, N.; Kocaoglu, M. Central Nervous System Infections of Herpesvirus Family. Neuroimaging Clin. N. Am. 2008, 18, 53–84. [Google Scholar] [CrossRef] [PubMed]
- Zimmerman, R.; Russell, E.; Leeds, N.; Kaufman, D. CT in the early diagnosis of herpes simplex encephalitis. Am. J. Roentgenol. 1980, 134, 61–66. [Google Scholar] [CrossRef] [PubMed]
- Solbrig, M.V.; Hasso, A.N.; Jay, C.A. CNS Viruses—Diagnostic Approach. Neuroimaging Clin. N. Am. 2008, 18, 1–18. [Google Scholar] [CrossRef]
- Lavi, E.S.; Sklar, E.M. Enhancement of the eighth cranial nerve and labyrinth on MR imaging in sudden sensorineural hearing loss associated with human herpesvirus 1 infection: Case report. AJNR Am. J. Neuroradiol. 2001, 22, 1380–1382. [Google Scholar]
- Gershon, A.A.; Breuer, J.; Cohen, J.I.; Cohrs, R.J.; Gershon, M.D.; Gilden, D.; Grose, C.; Hambleton, S.; Kennedy, P.G.E.; Oxman, M.N.; et al. Varicella zoster virus infection. Nat. Rev. Dis. Primers 2015, 1, 15016. [Google Scholar] [CrossRef] [PubMed]
- Arvin, A.M. Varicella-zoster virus: Pathogenesis, immunity, and clinical management in hematopoietic cell transplant recipients. Biol. Blood Marrow Transplant. 2000, 6, 219–230. [Google Scholar] [CrossRef]
- Matsuyama, H.; Ohi, T. A case of cerebellar ataxia associated with VZV infection. eNeurologicalSci 2018, 11, 9–10. [Google Scholar] [CrossRef]
- Labin, E.; Tore, H.; Alkuwaiti, M.; Streib, C. Teaching Neuro Images: Classic Ramsay Hunt syndrome and associated MRI findings. Neurology 2017, 89, e79–e80. [Google Scholar] [CrossRef] [PubMed]
- Letchuman, V.; Donohoe, C.D. Brainstem and Cerebellar Involvement in Ramsay Hunt Syndrome. Case Rep. Otolaryngol. 2019, 2019, 7605056. [Google Scholar] [CrossRef] [PubMed]
- Kedar, S.; Jayagopal, L.N.; Berger, J.R. Neurological and Ophthalmological Manifestations of Varicella Zoster Virus. J. Neuro-Ophthalmol. 2019, 39, 220–231. [Google Scholar] [CrossRef]
- Askalan, R.; Laughlin, S.; Mayank, S.; Chan, A.; MacGregor, D.; Andrew, M.; Curtis, R.; Meaney, B.; Deveber, G.; Wei, F.; et al. Chickenpox and Stroke in Childhood: A Study of Frequency and Causation. Stroke 2001, 32, 1257–1262. [Google Scholar] [CrossRef]
- Oesch, G.; Perez, F.A.; Wainwright, M.S.; Shaw, D.W.; Amlie-Lefond, C. Focal Cerebral Arteriopathy of Childhood: Clinical and Imaging Correlates. Stroke 2021, 52, 2258–2265. [Google Scholar] [CrossRef] [PubMed]
- Maschio, M.; Giudiceandrea, F.; Contadini, P.; Jandolo, B. Cytomegalovirus encephalitis: Diagnosis with clinical approach, EEG and PCR techniques. Ital. J. Neurol. Sci. 1999, 20, 255–258. [Google Scholar] [CrossRef]
- Smith, A.B.; Smirniotopoulos, J.G.; Rushing, E.J. Central Nervous System Infections Associated with Human Immunodeficiency Virus Infection: Radiologic-Pathologic Correlation. RadioGraphics 2008, 28, 2033–2058. [Google Scholar] [CrossRef]
- Seok, J.H.; Ahn, K.; Park, H.J. Diffusion MRI findings of cytomegalovirus-associated ventriculitis: A case report. Br. J. Radiol. 2011, 84, e179–e181. [Google Scholar] [CrossRef] [PubMed]
- John, K.J.; Gunasekaran, K.; Sultan, N.; Iyyadurai, R. Cytomegalovirus ventriculoencephalitis presenting with hydrocephalus in a patient with advanced HIV infection. Oxf. Med. Case Rep. 2019, 2019, omz104. [Google Scholar] [CrossRef]
- Yamanishi, K.; Shiraki, K.; Kondo, T.; Okuno, T.; Takahashi, M.; Asano, Y.; Kurata, T. Identification of human herpesvirus-6 as a causal agent for exanthem subitum. Lancet 1988, 331, 1065–1067. [Google Scholar] [CrossRef] [PubMed]
- Fujino, Y.; Nakajima, M.; Inoue, H.; Kusuhara, T.; Yamada, T. Human herpesvirus 6 encephalitis associated with hypersensitivity syndrome. Ann. Neurol. 2002, 51, 771–774. [Google Scholar] [CrossRef] [PubMed]
- Yoshida, M.; Yamada, M.; Tsukazaki, T.; Chatterjee, S.; Lakeman, F.D.; Nii, S.; Whitley, R.J. Comparison of antiviral compounds against human herpesvirus 6 and 7. Antivir. Res. 1998, 40, 73–84. [Google Scholar] [CrossRef] [PubMed]
- Noguchi, T.; Yoshiura, T.; Hiwatashi, A.; Togao, O.; Yamashita, K.; Nagao, E.; Uchino, A.; Hasuo, K.; Atsumi, K.; Matsuura, T.; et al. CT and MRI Findings of Human Herpesvirus 6–Associated Encephalopathy: Comparison with Findings of Herpes Simplex Virus Encephalitis. Am. J. Roentgenol. 2010, 194, 754–760. [Google Scholar] [CrossRef] [PubMed]
- Habarugira, G.; Suen, W.W.; Hobson-Peters, J.; Hall, R.A.; Bielefeldt-Ohmann, H. West Nile Virus: An Update on Pathobiology, Epidemiology, Diagnostics, Control and “One Health” Implications. Pathogens 2020, 9, 589. [Google Scholar] [CrossRef] [PubMed]
- Freddi, T.; Godoy, L.L.D.; Goncalves, F.G.; Alves, C.A.; Hanagandi, P. Imaging in Viral CNS Infections. In Clinical Neuroradiology; Barkhof, F., Jager, R., Thurnher, M., Rovira Cañellas, A., Eds.; Springer International Publishing: Cham, Switzerland, 2019; pp. 1–33. [Google Scholar]
- Davis, L.E.; DeBiasi, R.; Goade, D.E.; Haaland, K.Y.; Harrington, J.A.; Harnar, J.B.; Pergam, S.A.; King, M.K.; DeMasters, B.K.; Tyler, K.L. West Nile virus neuroinvasive disease. Ann. Neurol. 2006, 60, 286–300. [Google Scholar] [CrossRef] [PubMed]
- Brouwer, L.; Moreni, G.; Wolthers, K.C.; Pajkrt, D. World-Wide Prevalence and Genotype Distribution of Enteroviruses. Viruses 2021, 13, 434. [Google Scholar] [CrossRef]
- Smee, D.F.; Evans, W.J.; Nicolaou, K.C.; Tarbet, E.B.; Day, C.W. Susceptibilities of enterovirus D68, enterovirus 71, and rhinovirus 87 strains to various antiviral compounds. Antivir. Res. 2016, 131, 61–65. [Google Scholar] [CrossRef]
- Lee, K.Y. Enterovirus 71 infection and neurological complications. Korean J. Pediatr. 2016, 59, 395. [Google Scholar] [CrossRef] [PubMed]

















Disclaimer/Publisher’s Note: The statements, opinions and data contained in all publications are solely those of the individual author(s) and contributor(s) and not of MDPI and/or the editor(s). MDPI and/or the editor(s) disclaim responsibility for any injury to people or property resulting from any ideas, methods, instructions or products referred to in the content. |
© 2024 by the authors. Licensee MDPI, Basel, Switzerland. This article is an open access article distributed under the terms and conditions of the Creative Commons Attribution (CC BY) license (https://creativecommons.org/licenses/by/4.0/).
Share and Cite
Perillo, T.; Capasso, R.; Pinto, A. Neuroimaging of the Most Common Meningitis and Encephalitis of Adults: A Narrative Review. Diagnostics 2024, 14, 1064. https://doi.org/10.3390/diagnostics14111064
Perillo T, Capasso R, Pinto A. Neuroimaging of the Most Common Meningitis and Encephalitis of Adults: A Narrative Review. Diagnostics. 2024; 14(11):1064. https://doi.org/10.3390/diagnostics14111064
Chicago/Turabian StylePerillo, Teresa, Raffaella Capasso, and Antonio Pinto. 2024. "Neuroimaging of the Most Common Meningitis and Encephalitis of Adults: A Narrative Review" Diagnostics 14, no. 11: 1064. https://doi.org/10.3390/diagnostics14111064
APA StylePerillo, T., Capasso, R., & Pinto, A. (2024). Neuroimaging of the Most Common Meningitis and Encephalitis of Adults: A Narrative Review. Diagnostics, 14(11), 1064. https://doi.org/10.3390/diagnostics14111064

