Abstract
To characterize the imaging features of patients with pathologically confirmed intraosseous schwannoma (IOS), institutional pathology and imaging databases were searched for IOS cases over a period of 17 years. A musculoskeletal radiologist evaluated all imaging studies. Additionally, a literature search was performed to identify IOS cases that had imaging findings of at least two modalities. Six patients (one female, five males, mean age of 50 ± 14 years) with IOS were identified, with all lesions localized to the lumbosacral region. Radiographic imaging was available in four patients, while all patients underwent CT and MR imaging. Radiographs depicted lytic lesions, and CT depicted heterogeneous expansile lesions with centrally hypodense areas and peripheral sclerosis. All cases involved extra-osseous extension, producing a mass effect on adjacent soft tissues and nerve roots. On MRI, the neoplasms displayed iso- to- slightly- low signal intensity on T1-weighted images and hyperintense signal intensity on T2-weighted images with heterogeneous enhancement. The literature review resulted in 102 IOS cases, which to the best of our knowledge, is the largest review on IOS, and the imaging findings of the previously published cases were the same as our cases. IOSs are rare benign neoplasms that should be considered in the differential diagnosis of well-defined expansile lytic lesions with sclerotic borders. This is particularly important in middle-aged adults with mandibular, sacral, or vertebral body mass.
1. Introduction
Schwannomas are the most common neoplasms arising from Schwann cells of the nerve sheaths. These tumors are benign neoplasms, which more likely arise from peripheral sensory nerve axons since sensory nerves are surrounded by more Schwann cells than motor axons [1,2]. Schwannomas are predominantly present in the skin or subcutaneous tissue of the head and neck regions and the flexor aspects of the extremities. No significant risk factors are associated with schwannomas, although exposure to ionizing radiation was implicated in one previous report, and schwannomas are reported to be associated with NF-2 syndrome [3].
Intraosseous schwannomas (IOSs) are exceedingly rare, comprising less than 0.2% of primary bone tumors [1,4]. These tumors are slow-growing benign neoplasms originating within the medullary cavity of bones or from adjacent structures. The three most accepted theories explaining the intraosseous component of these IOSs are: (1) intraosseous tumor arising purely in the medullary cavity with rarefaction of the bones, (2) intraosseous tumor originating in the nutrient canal as dumbbell-shaped mass causing canal enlargement, or (3) tumors arising from adjacent extraosseous structures eroding into the bone [5,6]. IOSs mainly arise in mandible, where the mandibular nerve is predominantly composed of sensory nerve fibers, and sacrum, as the sacral foramina contains many sensory nerves. Other affected locations include maxilla, spine, petrous apex, and less commonly, the long bones of the extremities [5,6,7]. IOSs have been associated with NF-1 and Carney syndromes [7,8]. The diagnosis was not initially suspected in many reported IOS cases until histopathological studies of the biopsied lesions, most likely due to the rare incidence of this benign neoplasm [9].
Given the low prevalence, this diagnosis of IOS is not typically included in the differential considerations of lytic bone lesions, which practically include more common skeletal disease processes such as osteomyelitis or bone metastases [5,10]. A definitive diagnosis of IOS is currently made by histopathologic examination, which typically identifies spindle cells with alternating cellular and myxoid regions [1]. In this manuscript, we characterize the clinical and radiological features of six patients with IOS and conduct a literature review focused on radiologic features. To our knowledge, the prior literature regarding IOSs includes small case series and case reports. In this case series and literature review, we aimed to conduct the imaging appearance of IOSs to help differentiate them from other lytic lesions of the bone.
2. Materials and Methods
Our institutional imaging and pathology databases were retrospectively searched for patients with intraosseous schwannoma over a period of 17 years (2001–2018). Ethical review and approval were waived for this study, as it was a retrospective study with no identifiable information of patients. The diagnosis of IOS was confirmed in all cases via histopathological analysis following surgical or core needle biopsy of the lesions. Clinical, demographic, and pathologic information available in the electronic medical record was reviewed.
All relevant available imaging studies were reviewed by a fellowship-trained musculoskeletal radiologist using a PACS (picture archiving and communication system) workstation (Vue PACS, Carestream Health, Rochester, New York). A typical combination of MRI sequences included multiplanar T1-weighted spin-echo (SE), short tau inversion recovery (STIR), and pre- and post-contrast T1-weighted fat-suppressed sequences. Diffusion-weighted imaging was not part of the routine institutional tumor protocol at the time of imaging. MRI was performed by using either a 1.5-T (Avanto, Magento Symphony or Magento Vision Plus; Siemens or Intera, Philips Healthcare) or a 3.0-T (Verio; Siemens) system with phased-array coils and patients in a supine position.
We also reviewed the published English literature between 1954 and 2021, using the US National Library of Medicine database through the National Institutes of Health (PubMed), Scopus, Embase, and Web of Science. The search terms utilized were intraosseous schwannoma, intraosseous neurilemmoma, intra-osseous schwannoma, and intra-osseous neurilemmoma. There was no restriction on the date of publication. All research studies were selected in each database. All studies were cross-referenced between the three databases, and duplicate studies were removed. Studies with radiological findings for IOSs through at least two imaging modalities were included. Studies that only included radiographic imaging were excluded, as we were interested in the imaging presentation of IOSs among various imaging modalities such as CT and MRI. Additionally, any studies that were not specific to IOS, only had an abstract with no full text available, or lacked detailed imaging findings, were excluded. A flowchart summarizing the study selection and exclusion process is depicted in Figure 1. We used SPSS version 24 (Armonk, NY, USA) to conduct analyses and pool the data extracted from the literature.
Figure 1.
Flow chart summarizing the literature review and selection process.
3. Results
3.1. Case Series
3.1.1. Demographic Characteristics
A retrospective review of institutional imaging and pathology databases resulted in the identification of six patients (five male and one female) with confirmed intra-osseous schwannoma. There was a significant male predilection (5/6, 83%). The mean age at presentation was 50 years (ranging from 28 to 64 years with a standard deviation of 14 years). Regarding presenting symptoms, 67% of patients (4/6) reported pain, including lower back and leg pain, 17% (1/6) reported difficulty walking, and 33% (2/6) reported sudden onset foot drop. Lesions ranged from 1.9 cm to 12 cm in size and were located in the lumbosacral region as follows: L5 (n = 1). S1 (n = 1), S2 (n = 1), S1 and S2 (n = 1), S1-S3 (n = 1), and S2 and S3 (n = 1). Details including the size and location of the lesions, demographic information of the patients, and the imaging features are reported in Table 1.
Table 1.
Clinical and imaging findings in patients with diagnosed IOSs.
3.1.2. Radiographic Imaging
Radiographs were available on four patients. One of these only had a postoperative radiograph in which the lesion was occult. Other radiographs demonstrated geographic lytic lesions with sclerotic borders (Figure 2A,B).
Figure 2.
Radiographic, MR, and CT imaging appearances of intraosseous schwannoma in a 57-year-old man involving the L5 vertebral body and invading right L5 neural foramen. (A,B) The mass is occult on an AP radiograph (A), but the lateral radiograph (B) shows a large lobular lytic lesion with sclerotic margins. (C,D) Axial CT images in bone (C) and soft tissue (D) windows show an expansile lytic lesion in the right aspect of the L5 vertebral body extending into the pedicle and encroaching upon the right neural foramen and right lateral recess (arrows). (E,F) The mass extends into the right pedicle, encroaching upon the right neural foramen and right lateral recess and has a similar-to-slightly-lower signal relative to the muscle on axial (E) and sagittal (F) T1-weighted images (arrows).
3.1.3. Computed Tomography
All patients had CT images available. Four patients underwent diagnostic CT studies, while the other two had preprocedural CT images obtained during the CT-guided biopsy. Imaging findings mostly included expansile intraosseous lytic lesions extending into adjacent spaces, including the neuroforamina, epidural space, and central spinal canal (Figure 2C,D). There was one case of a locally aggressive tumor extending anteriorly into the pelvis and posteriorly into the epidural space (Figure 3). The masses were characterized on imaging as heterogeneous, expansile lesions with centrally hypodense areas and peripheral rims of sclerosis.
Figure 3.
MR and CT imaging appearances of intraosseous schwannoma in a 53-year-old man involving the left sacral ala and invading S1-S3 neuroforamina, sacral epidural space, and paraspinous muscles. (A) Axial CT image in soft tissue window shows expansile lytic lesion with invasion into the pelvis anteriorly as well as across the posterior sacral cortex into the paraspinous muscles (arrows). (B) Sagittal T1-WI shows a large multi-lobulated mass involving S1, S2, and S3 vertebral bodies (arrows) with an isointense signal intensity to muscle with invasion and complete effacement of S1 through to S3 neural foramina. (C) Axial-contrast-enhanced T1-WI shows an enhancing mass extending anteriorly into the pelvis, posteriorly into the epidural space, as well as laterally into the left ilium (D) Axial T2WI shows a peripheral intermediate and central hyperintense signal.
3.1.4. Magnetic Resonance Imaging
All IOSs demonstrated consistent signal characteristics on MRI with a low-to-intermediate signal intensity to muscle on T1-weighted images (T1-WI) and heterogenous hyperintense signal intensity on fluid-sensitive sequences. Extra-osseous extension was frequently demonstrated, including invasion into neural foramina with displacement of adjacent nerve roots (Figure 2E,F) and involvement of the epidural space. There was posterior osseous extension from vertebral bodies into the pedicles and spinous processes. There was avid post-contrast enhancement with scattered areas of central non-enhancement.
3.1.5. Histologic Findings
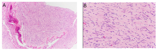
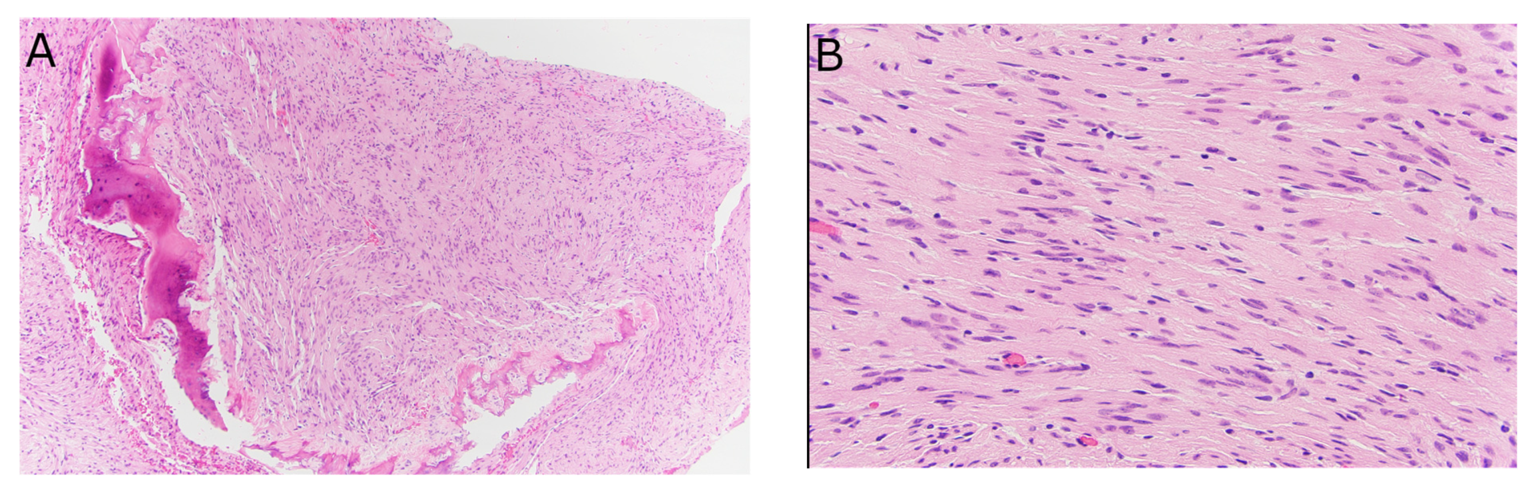
The characteristic features of schwannoma include the presence of short fascicles of neoplastic cells with areas of nuclear palisading (Antoni A), alternating with paucicellular Antoni B areas. No significant nuclear pleomorphism, conspicuous mitotic activity, or other features of malignancy were identified. The transition between tumor and the involved bone showed areas of bone resorption and reactive features (Figure 4). These tumors had diffuse nuclear and cytoplasmic reactivity for S100 (not shown).
Figure 4.
Histologic features of intraosseous schwannoma. (A) At the interface with the bone, there are areas of resorption and reactive change (H&E, 10×). (B) High-power view demonstrating Antoni A and Antoni B areas. No overt nuclear pleomorphism, mitotic activity, or other features of malignancy are identified (H&E, 40×).
3.2. Review of the Literature
3.2.1. Study Selection
We conducted a literature search to identify IOS cases, which described their clinical and radiological features. Our search resulted in 188 PubMed, 447 Embase, 303 Scopus, and 155 Web of Science research articles. All abstracts were reviewed, and only IOS cases with imaging findings were selected (n = 255). Additional studies were filtered out based on the following exclusion criteria: Duplicate articles (n = 30), articles that only had an abstract available and the full text could not be accessed (n = 35), studies that did not have at least two imaging modalities of IOS or did not have detailed imaging findings (n = 74), malignant peripheral nerve sheath tumors (n = 8), not specific to IOS (n = 15), commentary articles (n = 3), recurrence (n = 1), and studies that did not have individual clinical and radiological findings for each reported case (n = 3). Finally, 86 articles with 102 cases were further reviewed, and a summary of their various clinical findings, tumor locations, and imaging features were extracted.
3.2.2. Study Characteristics
The average age of patients (n = 102) at the time of presentation was 42 years, with a standard deviation of 18 years and a range from 3 to 87 years. The gender distribution was relatively balanced, with 53 (52%) female and 49 (48%) male patients. We categorized the IOSs based on their anatomic location; a total of 34.3% (35/102) of cases were found in the head and neck (Table 2), 34.3% (35/102) were located in the trunk (Table 3), and 31.4% (32/102) were in the extremities (Table 4). Among the IOSs of the extremities, 34% (11/32) were found in the upper limb and 66% (21/32) were in the lower limb. The most frequently affected anatomic locations were the mandible in (18/102), sacrum (17/102), and vertebral bodies (16/102). The distribution of cervical (6/102), thoracic (5/102), and lumbar (5/102) vertebral body involvement was relatively equal.
Table 2.
Review of published cases of intra-osseous schwannoma in the head and neck.
Table 3.
Review of published cases of intra-osseous schwannoma in trunk.
Table 4.
Review of published cases of intra-osseous schwannoma in extremities.
Regarding the initial presentation, most of the patients presented with slow growing mass resulting in swelling and or pain. Four patients with lesions in petrous apex presented with a compression mass effect on adjacent cranial nerves causing double vision, hearing loss, and decreased facial sensation. Rozman et al. reported a case of IOS in petrous apex, which presented with intermittent vertigo, tinnitus, facial numbness, hearing loss, diplopia, and ataxia [11]. One IOS in the spheno-orbital region was diagnosed after proptosis and lateral gaze impairment [17]. Schreuder et al. reported a patient with IOS C6 vertebral body that was presented with neck pain and dysphagia [43]. Six patients with IOS of vertebral bodies (T9 and L4) and sacrum demonstrated claudication, gait disturbance, and back pain.
We found 11 cases diagnosed after pathological fracture due to IOS. Nooraie et al. reported a case of T12 IOS, which was detected after a burst fracture in the T12 vertebral body following a car accident [53]. IOS was also discovered as an incidental finding in 14 cases. Mizuno et al. reported a case of a mass in the sacrum that was found incidentally during a routine physical examination and later diagnosed as IOS following biopsy [44].
3.2.3. Imaging Findings
The majority of IOS cases in the literature review had radiographic findings similar to those in our patients. Most IOSs on radiographs were well-defined, expansile, and lytic (96%) lesions with sclerotic borders (72%). The lesions had narrow zones of transition. A periosteal reaction was seen in four cases, which was associated with a pathologic fracture in two of them [65,72,75,82]. Typical CT findings included heterogenous, lytic lesions with sclerotic margins suggestive of the slow-growing and benign nature of these lesions. Peripheral and/or mild scattered central calcifications have been reported in four cases [42,46,62,84]. Cortical destruction and endosteal scalloping were also seen in 61% of cases. On MRI, IOSs generally demonstrated isointense to slightly hypointense signal on T1WI (94%) with heterogeneous high signal intensities on T2-weighted images (T2WI) (98%). Post-contrast images demonstrated enhancement (93%) of the lesions, although the enhancement pattern was not uniform and differed from mild homogenous to intense peripheral enhancement. Extra-osseous soft tissue components were reported in large lesions with cortical breakthrough [48,63].
4. Discussion
Schwannomas, originating from Schwann cells, are benign neoplasms that more likely arise from sensory nerve axons since they are surrounded by more Schwann cells than motor nerves [2]. This tumor predominantly presents in the soft tissues of the head and neck regions, and schwannomas of the bone are extremely rare. In this case series, we describe the imaging and clinical findings of six cases derived from the review of local institutional images. We combined our findings with those from previous cases in the literature to better characterize the radiologic and clinical presentation of these tumors. Clinically, IOSs are benign neoplasms that are discovered on imaging studies incidentally or after patients present with symptoms such as pain and swelling. Symptoms, if present, often have a slow onset and likely persist for many years before diagnosis [84]. The peak incidence of this type of neoplasm is in the fourth-to-sixth decade of life, with no predilection for gender or race [10]. Their presenting symptoms are often localized pain or swelling, with a few cases of sensory and motor impairments reported [8,11]. IOSs could affect nearly all the bones but the most frequent reported locations are the mandible and sacrum. Some other reported locations include the vertebrae, cranium, scapula, sternum, ribs, femur, tibia, ulna, and digital phalanges [5,7,8,9].
In our literature review of 102 published IOS case reports, the average age of the patients was 42 years. Meanwhile, our case series of six patients had an average age of 50. Both age averages are within the reported age range for IOS, which is in the fourth-to-sixth decade of life. Additionally, although the distribution of male to female patients was relatively even in the literature review (53 female versus 48 male patients), our case series includes only 1 female patient and 5 male patients. Our reported cases were all in the lumbosacral region, while our literature review had lesions in the appendicular and axial skeletons. The discrepancy in age and gender distribution is most likely due to the small sample size in our case series. The uniformity of IOS localizing to the lumbosacral region in our series is likely due to the small sample size and some predilection for this location. Although it has been reported that the mandible is the most common location for IOSs, the majority of mandibular IOS cases were excluded from our review due to only having one imaging modality (radiographic) available.
Intraosseous schwannomas display benign imaging features on radiographs, including an osteolytic pattern with a narrow zone of transition, a thin peripheral sclerotic rim, variable osseous expansion, and minimal periosteal reaction [7]. Even though the radiological findings are not particularly helpful in narrowing the differential, they suggest the benign nature of the mass. Due to the nonspecific characterization on radiographic imaging, it is hard to differentiate these neoplasms from other bone lesions [71]. In our case series, IOSs were either occult on radiographs or visualized as lytic lesions with sclerotic borders. CT imaging of our reported IOS cases revealed lytic, lobulated, intraosseous masses extending through the cortex into the paraspinal soft tissue or adjacent neural foramina and nerve roots.
On MRI studies, IOSs have been reported to present as lesions with isointense to slightly hypointense signal to muscle on T1WI and heterogenous hyperintense signal on T2WI [5,92]. They typically have similar MR imaging features to soft tissue schwannomas. On T2WI, soft tissue schwannomas have a characteristic “target” sign, which is attributed to the central distribution of hypercellular Antoni type A components and peripheral distribution of hypocellular Antoni type B components [5,93]. Schwannomas typically show a heterogeneous pattern of enhancement, which is more pronounced in the periphery, although homogeneous enhancement is also observed [17,33,41,62]. In our literature review, IOSs in different anatomical locations were reported to have similar signal intensities with various patterns of enhancement. Similarly, our six reported IOS cases displayed a homogeneously low-to-intermediate signal intensity on T1WI and heterogeneous high signal intensity on T2WI with heterogeneous enhancement. We did not observe the more peripheral predominant enhancement pattern in our case series, of which is reported in soft tissue schwannomas. In addition, the characteristic “target” sign signal intensity pattern of soft tissue schwannoma was not observed in our case series. Few reported cases in our literature search exhibited such a characteristic pattern of signal intensity [5,18,35].
Other advanced imaging techniques such as positron emission tomography (PET) and diffusion-weighted imaging (DWI) may depict more characteristic findings and help differentiate these benign neoplasms from malignant ones. Tamura et al. reported that on diffusion-weighted imaging, IOSs demonstrate a high signal intensity on low b value images without diffusion restriction [13]. PET studies have been typically used to assess tumor metabolism in malignant neoplasms; however, significant data are not available on the efficacy of PET scans in benign soft tissue tumors [94]. Preliminary studies indicate that using [7] deoxy-fluoro-D-glucose (FDG), the most commonly used radiolabeled tracer for PET studies, can help in differentiating benign vs. malignant musculoskeletal soft tissues and bone tumors [95]. Kashima et al. reported that on a PET scan, the IOS neoplasm was mildly FDG avid [79]. Additionally, in another two cases, an increased radioisotope uptake at the site of the IOS lesion was reported [49,96]. However, Beaulieu et al. found that PET scans are not clinically helpful in identifying schwannomas since FDG uptake is variable and a clear cut-off value cannot be established [94].
IOSs are generally benign and only one case of malignant transformation in a spinal IOS 2 years after subtotal resection has been reported [40]. However, there have been a few reported cases of primary intraosseous malignant peripheral nerve sheath tumors (MPNSTs) in the literature [4,7]. These malignant tumors have been reported in mandible, maxilla, femur, cervical, and thoracic spine [40,41,42,43,44,45,46,47,48,49,50,51,52,53,54,55,56,57,58,59,60,61,62,63,64,65,66,67,68,69,70,71,72,73,74,75,76,77,78,79,80,81,82,83,84,85,86,87,88,89,90,91,92,93,94,95,96,97,98]. The most significant risk factor for MPNSTs is NF-1 syndrome, as 25–50% of MPNSTs develop in NF-1 patients and 4.6% of NF-1 patients develop MPNSTs [99,100]. These malignant tumors often appear sporadically and spontaneously [101]. One reported case described a 62-year-old woman with a history of right midfoot pain who was diagnosed with primary intraosseous MPNST of medial cuneiform after biopsy [102]. She was ultimately treated with neoadjuvant radiotherapy followed by wide local excision and allograft reconstruction. Currently, there is no evidence to suggest that MPNSTs are associated with NF-2 syndrome. It is highly unlikely for patients with this syndrome to have malignant transformation of their schwannomas to MPNSTs [101].
Due to the nonspecific presentation of this type of neoplasm, the diagnosis of IOS is not typically suspected or confirmed until after histopathological studies. Typically, schwannomas are well-circumscribed neoplasms composed of cytologically bland spindle cells arranged in short fascicles with areas of nuclear condensation (Antoni A) alternating with paucicellular areas (Antoni B). In longstanding cases, degenerative changes, such as myxoid change, hyalinization, nuclear enlargement, and hemosiderin deposition, may obscure the characteristic morphologic features. Essentially, all of these lesions have diffuse nuclear and cytoplasmic reactivity for S100 protein [10]. This rare benign neoplasm is associated with a good prognosis, and there has been only one report of malignant transformation [103]. Curettage and bone grafting are the treatment of choice for this type of schwannoma. In a series of 31 cases, there was a 16% recurrence rate following incomplete excision, but tumor recurrence was not observed in cases that had undergone complete excision [104].
This study is limited by the small sample size related to the rare nature of the condition. Although the most common location for IOSs is reported to be the mandible, that was not our finding in this case series as all of our cases were located in the lumbosacral region. Our study is also limited by the lack of advanced MR sequences such as diffusion and perfusion imaging at the time of examination and advancements in imaging protocol, as cases were collected over a period of 17 years.
5. Conclusions
We evaluated 6 cases of sacral intraosseous schwannoma and reviewed 102 previously published IOS cases of all over the body, which to the best of our knowledge, is the largest review on this matter. In conclusion, although rare, IOSs should be considered as an important differential diagnosis for well-defined lytic lesions with thin sclerotic rims. On MRI, IOSs demonstrate iso-to-slightly-low signal intensity (SI) to muscle on T1WI and heterogenous high SI on T2WI with various patterns of enhancement after contrast injections. IOSs are especially important when dealing with a lesion of the mandible, sacrum, or vertebral body in middle-aged adults.
Author Contributions
Conceptualization, M.C., F.S.Z. and C.M.G.; methodology, M.C., V.K. and N.V.; validation, F.S.Z., A.A. and J.G.M.; investigation, F.S.Z. and A.A.; resources, M.C., V.K., N.V., J.G.M. and N.V.; data curation, F.S.Z. and A.A.; writing—original draft preparation, F.S.Z. and A.A.; writing—review and editing, F.S.Z., A.A., A.P. and E.A.; visualization, F.S.Z., V.K., J.G.M., M.C., C.M.G. and N.V.; supervision, M.C.; project administration, M.C. and F.S.Z. All authors have read and agreed to the published version of the manuscript.
Funding
This research received no external funding.
Institutional Review Board Statement
Not applicable.
Informed Consent Statement
Not applicable.
Data Availability Statement
This article does not contain any new generated or analyzed data.
Acknowledgments
The authors thank Arghavan Sharifi for assisting in the analysis.
Conflicts of Interest
The authors declare no conflict of interest.
References
- Mutema, G.K.; Sorger, J. Intraosseous schwannoma of the humerus. Skelet. Radiol. 2002, 31, 419–421. [Google Scholar] [CrossRef] [PubMed]
- Haberal, B.; Simsek, D.T.; Simsek, E.K. Intraosseous Schwannoma of the Calcaneus: A Rare Tumor of the Bone. Case Rep. Orthop. 2018, 2018, 9824025. [Google Scholar] [CrossRef]
- Hill, D.A.; Linet, M.S.; Black, P.M.; Fine, H.A.; Selker, R.G.; Shapiro, W.R.; Inskip, P.D. Meningioma and schwannoma risk in adults in relation to family history of cancer. Neuro-Oncol. 2004, 6, 274–280. [Google Scholar] [CrossRef]
- Reyniers, P.; Wafa, H.; Sinnaeve, F.; Debeer, P.; Sciot, R. Intraosseous schwannoma of the glenoid: Case report and literature review. SICOT-J 2021, 7, 2. [Google Scholar] [CrossRef]
- Summers, S.; Jose, J.; Barrera, C.M.; Pretell-Mazzini, J.; Subhawong, T.; Nguyen, N.V.; Kerr, D.; Nielsen, G.P.; E Rosenberg, A. Intraosseous schwannomas involving the sacrum: Characteristic imaging findings and review of the literature. Neuroradiol. J. 2018, 31, 531–540. [Google Scholar] [CrossRef]
- Samter, T.G.; Vellios, F.; Shafer, W.G. Neurilemmona of bone. Report of 3 cases with a review of the literature. Radiology 1960, 75, 215–222. [Google Scholar] [CrossRef] [PubMed]
- Ida, C.M.; Scheithauer, B.W.; Yapicier, O.; Carney, J.A.; Wenger, D.E.; Inwards, C.Y.; Bertoni, F.; Spinner, R.J.; Unni, K.K. Primary schwannoma of the bone: A clinicopathologic and radiologic study of 17 cases. Am. J. Surg. Pathol. 2011, 35, 989–997. [Google Scholar] [CrossRef] [PubMed]
- Fawcett, K.J.; Dahlin, D.C. Neurilemmoma of bone. Am. J. Clin. Pathol. 1967, 47, 759–766. [Google Scholar] [CrossRef]
- Chi, A.C.; Carey, J.; Muller, S. Intraosseous schwannoma of the mandible: A case report and review of the literature. Oral Surg. Oral Med. Oral Pathol. Oral Radiol. Endodontol. 2003, 96, 54–65. [Google Scholar] [CrossRef]
- Wang, X.J.; Hartley, K.; Holt, G.E.; Fadare, O.; Cates, J.M. Intracortical schwannoma of the femur. Skelet. Radiol. 2013, 43, 687–691. [Google Scholar] [CrossRef] [PubMed]
- Rozman, P.A.; Benjamin, C.; Gordon, D.; Sen, C.; Roland, J.T.; Kondziolka, D. Intraosseous Petrous Apex Schwannoma: Case Report. J. Neurol. Surg. Part B Skull Base 2019, 80, P214. [Google Scholar] [CrossRef]
- Sato, M.; Fujio, S.; Takajo, T.; Kamimura, K.; Hiraki, T.; Yamahata, H.; Arita, K.; Yoshimoto, K. Large Intraosseous Schwannoma in Petrous Apex Presenting with Intratumoral Hemorrhage. World Neurosurg. 2019, 131, 53–57. [Google Scholar] [CrossRef]
- Takahashi, S.; Kohno, M.; Kameyama, K.; Fujiwara, H.; Yoshida, K.; Tamura, R. Intraosseous Schwannoma of the Petrous Apex. J. Neurol. Surg. Rep. 2015, 76, e135–e139. [Google Scholar] [CrossRef] [PubMed]
- Goiney, C.; Bhatia, R.; Auerbach, K.; Norenberg, M.; Morcos, J. Intraosseous Schwannoma of the Petrous Apex. J. Radiol. Case Rep. 2011, 5, 8–16. [Google Scholar] [CrossRef]
- Mathieu, F.; Abel, T.J.; Hazrati, L.-N.; Rutka, J.T. Intraosseous schwannoma of the occipital bone: A case report. Child’s Nerv. Syst. 2018, 34, 1803–1805. [Google Scholar] [CrossRef] [PubMed]
- Goyal, R.; Saikia, U.N.; Vashishta, R.K.; Gulati, G.; Sharma, R.K. Intraosseous Schwannoma of the Frontal Bone. Orthopedics 2008, 31, 281. [Google Scholar] [CrossRef] [PubMed]
- El-Bahy, K. Intra-osseous sphenoorbital schwannoma. Acta Neurochir. 2004, 146, 1277–1278. [Google Scholar] [CrossRef]
- Celli, P.; Cervoni, L.; Colonnese, C. Intraosseous schwannoma of the vault of the skull. Neurosurg. Rev. 1998, 21, 158–160. [Google Scholar] [CrossRef]
- Matsuoka, Y.; Iwamoto, A.; Yoshida, R.; Kojima, T.; Hirayama, M.; Takahashi, N.; Nakamoto, M.; Nakayama, H. A rare intraosseous schwannoma in the maxillary left incisor region: A case report. J. Oral Maxillofac. Surg. Med. Pathol. 2020, 32, 114–119. [Google Scholar] [CrossRef]
- Avinash, T.; Sandhya, T.; Dodal, S.; Chande, M.; Pereira, T. Recurrent Ancient Intraosseous Neurilemmoma of Maxilla: A Rare Case Report. Iran. J. Pathol. 2016, 11, 176–180. [Google Scholar]
- Oliveira Alves, M.G.; Rocha, A.C.; Carvalho, Y.R.; Almeida, J.D. Intraosseous neurilemoma of the mandible with unusual multilocular presentation: A case report. Gen. Dent. 2021, 69, 28–32. [Google Scholar]
- Kardouni Khoozestani, N.; Motiee-Langroudi, M.; Salehi, A.; Ranji, P. Intraosseous ancient Schwannoma: A rare case in the mandible and a literature review. Rare Tumors 2021, 13, 20363613211026480. [Google Scholar] [CrossRef] [PubMed]
- Perkins, D.; Stiharu, T.I.; Swift, J.Q.; Dao, T.V.; Mainville, G.N. Intraosseous Schwannoma of the Jaws: An Updated Review of the Literature and Report of 2 New Cases Affecting the Mandible. J. Oral Maxillofac. Surg. 2018, 76, 1226–1247. [Google Scholar] [CrossRef] [PubMed]
- Kargahi, N.; Razavi, S.M.; Hasheminia, D.; Keshani, F.; Safaei, M.; Hashemzadeh, Z. Mandibular intraosseous schwannoma in a child: Report of a rare case. Dent. Res. J. 2012, 9, S119–S122. [Google Scholar]
- Suga, K.; Ogane, S.; Muramatsu, K.; Ohata, H.; Uchiyama, T.; Takano, N.; Shibahara, T.; Eguchi, J.; Murakami, S.; Matsuzaka, K. Intraosseous Schwannoma Originating in Inferior Alveolar Nerve: A Case Report. Bull. Tokyo Dent. Coll. 2013, 54, 19–25. [Google Scholar] [CrossRef] [PubMed]
- Zhang, L.; Xia, B.-Q.; Sun, H.; Wang, L.-Z.; Zhao, Z.-L.; Li, B.; Wang, X.-D. Intraosseous schwannomas of the jaws: 2 case reports and review of the literature. Oral Surg. Oral Med. Oral Pathol. Oral Radiol. 2012, 114, e13–e17. [Google Scholar] [CrossRef]
- Agarwal, K.; Umarji, H.R.; Tupkari, J.V.; Chaudhary, S.; Avadhani, A.; Agrawal, N. Slowly growing swelling on body of the mandible with paresthesia on lower lip. Oral Surg. Oral Med. Oral Pathol. Oral Radiol. 2012, 114, 677–682. [Google Scholar] [CrossRef]
- Jahanshahi, G.; Haghighat, A.; Azmoodeh, F. Intraosseous Neurilemmoma of the Mandible: Report of a Rare Ancient Type. Dent. Res. J. 2011, 8, 150–153. [Google Scholar]
- Jiang, W.H.; Brillo, G.V.; Cheng, A.H.-A.; Shen, G.F.; Wang, X.D. Endoscope-Assisted Removal of Intraosseous Schwannoma With Preservation of Inferior Alveolar Nerve. J. Craniofac. Surg. 2011, 22, 617–619. [Google Scholar] [CrossRef]
- Jang, K.Y.; Moon, W.S.; Park, H.S. Intraosseous Neurilemmoma of the Mandible—A Case Report. Korean J. Pathol. 2009, 43, 88–91. [Google Scholar] [CrossRef]
- Gallego, L.; Junquera, L.; Rodríguez-Recio, C.; Fresno, M.F. Intraosseous mandibular schwannoma mimicking an odontogenic keratocyst, with a postsurgical pathological fracture. J. Laryngol. Otol. 2009, 123, 560–562. [Google Scholar] [CrossRef] [PubMed]
- Jones, A.C.; McGuff, H.S.; Grant, G. Oral and maxillofacial pathology case of the month. Intraosseous schwannoma. Tex. Dent. J. 2008, 125, 88–89, 94–95. [Google Scholar] [PubMed]
- Minowa, K.; Sakakibara, N.; Yoshikawa, K.; Ohmori, K.; Kitagawa, Y.; Inoue, N.; Totsuka, Y.; Nakamura, M. CT and MRI findings of intraosseous schwannoma of the mandible: A case report. Dentomaxillofac. Radiol. 2007, 36, 113–116. [Google Scholar] [CrossRef] [PubMed]
- Kodani, I.; Ueyama, Y.; Mori, T.; Doi, R.; Osaki, M.; Kataoka, S.; Onda, M.; Sakamoto, H.; Shibata, M.; Ito, H.; et al. Intraosseous schwannoma of the mandible. Asian J. Oral Maxillofac. Surg. 2003, 15, 64–67. [Google Scholar] [CrossRef]
- Nakasato, T.; Katoh, K.; Ehara, S.; Tamakawa, Y.; Hoshino, M.; Izumizawa, M.; Sakamaki, K.; Fukuta, Y.; Kudoh, K. Intraosseous Neurilemmoma of the Mandible. Am. J. Neuroradiol. 2000, 21, 1945–1947. [Google Scholar]
- Park, Y.-K.; Kim, Y.-W.; Yang, M.-H.; Kim, E.J.; Ryu, D.-M. Neurilemmoma of the mandible. Skelet. Radiol. 1999, 28, 536–539. [Google Scholar] [CrossRef]
- Belli, E.; Becelli, R.; Matteini, C.; Iannetti, G. Schwannoma of the mandible. J. Craniofac. Surg. 1997, 8, 413–416. [Google Scholar] [CrossRef]
- Xu, Z.-Q.; Zhang, P.; Zhong, Z.-H.; Zhou, W.; Yu, H.-T. Spinal intraosseous schwannoma without spinal canal and neuroforamina involvement: A case report. World J. Clin. Cases 2020, 8, 1271–1277. [Google Scholar] [CrossRef]
- Mohanty, C.B.; Rao, K.V.L.N.; Sampath, S. Pediatric Cervical Intraosseous Schwannoma. Pediatr. Neurosurg. 2013, 48, 364–370. [Google Scholar] [CrossRef]
- Peng, X.; Chen, L.; Du, H.; Lai, Y.; Li, F.; Zou, X. Malignant Transformation of Benign Intraosseous Schwannoma in the Cervical Spine: A Case Report with an Immunohistochemical Study. Int. Surg. 2011, 96, 337–344. [Google Scholar] [CrossRef]
- Mizutani, A.; Yokota, N.; Kawaji, H.; Yamaguchi-Okada, M.; Miyagawa, T.; Namba, H. Intraosseous schwannoma of the cervical vertebral body: A case report and review of the literature. Br. J. Neurosurg. 2010, 24, 604–606. [Google Scholar] [CrossRef] [PubMed]
- Nannapaneni, R.; Sinar, E.J. Intraosseous schwannoma of the cervical spine. Br. J. Neurosurg. 2005, 19, 244–247. [Google Scholar] [CrossRef] [PubMed]
- Schreuder, H.W.B.; Veth, R.P.H.; Pruszczynski, M.; Lemmens, J.A.M.; Van Laarhoven, E.W. Intraosseous Schwannoma (Neurilemmoma) of the Cervical Spine. Sarcoma 2001, 5, 101–103. [Google Scholar] [CrossRef]
- Mizuno, T.; Usami, N.; Taniguchi, T.; Kawaguchi, K.; Okagawa, T.; Yokoi, K. Schwannoma of the Sternum. Ann. Thorac. Surg. 2010, 89, 1280–1281. [Google Scholar] [CrossRef] [PubMed]
- Takata, K.; Okuda, K.; Ochi, M. Intraosseous neurilemoma of the sternum. Ann. Thorac. Surg. 1999, 67, 1474–1476. [Google Scholar] [CrossRef]
- Lee, K.B.; Kwack, K.S.; Haam, S.J. Intraosseous schwannoma of the rib with cortical breakdown; resembling chondrosarcoma radiologically. Virchows. Archiv. 2019, 475, S407. [Google Scholar]
- Nguyen, K.; Nguyen, B. Multi-imaging modalities of intraosseous schwannoma of the scapula. Jt. Bone Spine 2017, 84, 493. [Google Scholar] [CrossRef]
- Tian, Y.W.; Zhang, L.Y.; Liu, Z.Q. Giant intraosseous schwannoma of scapula: A rare case report and review of the literature. Diagn. Pathol. 2014, 9, 31. [Google Scholar] [CrossRef]
- Zaidman, N.; Merve, A.; Russo, V. Intraosseous Thoracic Schwannoma: Case Report and Review of the Literature. World Neurosurg. 2019, 130, 313–316. [Google Scholar] [CrossRef]
- Kojima, M.; Seichi, A.; Yamamuro, K.; Inoue, H.; Kimura, A.; Hoshino, Y. Intraosseous schwannoma originating from the posterior column of the thoracic spine. Eur. Spine J. 2011, 20, 153–156. [Google Scholar] [CrossRef]
- Zhang, F.; Lu, F.; Jiang, J.; Wang, H. Two Case Reports and an Updated Review of Spinal Intraosseous Schwannoma. J. Korean Neurosurg. Soc. 2015, 57, 478–483. [Google Scholar] [CrossRef] [PubMed]
- Choudry, Q.; Younis, F.; Smith, R.B. Intraosseous schwannoma of D12 thoracic vertebra: Diagnosis and surgical management with 5-year follow-up. Eur. Spine J. 2007, 16, 283–286. [Google Scholar] [CrossRef] [PubMed]
- Nooraie, H.; Taghipour, M.; Arasteh, M.M.; Daneshbod, K.; Erfanie, M.A. Intraosseous schwannoma of T12 with burst fracture of L1. Arch. Orthop. Trauma Surg. 1997, 116, 440–442. [Google Scholar] [CrossRef] [PubMed]
- Park, S.-C.; Chung, S.-K.; Choe, G.; Kim, H.-J. Spinal Intraosseous Schwannoma: A Case Report and Review. J. Korean Neurosurg. Soc. 2009, 46, 403–408. [Google Scholar] [CrossRef] [PubMed]
- Chang, C.-J.; Huang, J.-S.; Wang, Y.-C.; Huang, S.-H. Intraosseous Schwannoma of the Fourth Lumbar Vertebra: Case Report. Neurosurgery 1998, 43, 1219–1222. [Google Scholar] [CrossRef]
- Song, D.; Chen, Z.; Song, D.; Li, Z. Lumbar intraosseous schwannoma: Case report and review of the literature. Turk. Neurosurg. 2014, 24, 982–986. [Google Scholar] [CrossRef]
- Youn, B.; Lee, S.-H.; Kim, E.-S.; Eoh, W. Intraosseous schwannoma with ancient change on the lumbar spine. Br. J. Neurosurg. 2012, 26, 561–563. [Google Scholar] [CrossRef]
- Aaron, A.D.; Nelson, M.C.; Layug, J.M.; Lage, J.M. Intraforaminal schwannoma of the sacrum. Skelet. Radiol. 1995, 24, 458–461. [Google Scholar] [CrossRef]
- Takeyama, M.; Koshino, T.; Nakazawa, A.; Nitto, H.; Nakamura, J.-I.; Saito, T. Giant Intrasacral Cellular Schwannoma Treated With High Sacral Amputation. Spine 2001, 26, E216–E219. [Google Scholar] [CrossRef]
- Silva, C.D.; Mateus, J.E.; Silva, J.O.; Vaio, T. Sacral schwannoma with intraosseous extension. BMJ Case Rep. 2019, 12, e227095. [Google Scholar] [CrossRef]
- Mutlu, A.; Tutar, S.; Ozturk, E.; Ulusoy, O.L.; Sirvanci, M. Intraosseous schwannoma of the sacrum. Spine J. 2016, 16, e407–e408. [Google Scholar] [CrossRef] [PubMed]
- Kato, H.; Kanematsu, M.; Ohno, T.; Oshima, K.; Nagano, A.; Hatano, Y.; Nishibori, H. Intraosseous schwannoma of the ilium. Clin. Imaging 2015, 39, 161–164. [Google Scholar] [CrossRef]
- Benazzo, F.; Marullo, M.; Rossi, S.M.P.; Viola, E. Giant Intraosseous Schwannoma of the Ileopubic Ramus. Orthopedics 2013, 36, e982–e985. [Google Scholar] [CrossRef] [PubMed]
- Kamath, J.; Shetty, H.B.; Madegowda, A.; Bhatt, A.S. Intraosseous schwannoma of the humerus: A rarity yet warrants consideration. BMJ Case Rep. 2021, 14, e240007. [Google Scholar] [CrossRef]
- Huajun, J.; Wei, Q.; Yuxuan, W.; Jingjing, Y. Intraosseous schwannoma of the proximal humerus with pathologic fracture. Eur. J. Med. Res. 2021, 26, 72. [Google Scholar] [CrossRef] [PubMed]
- Baǧci, P.; Dervişoǧlu, S.; Hiz, M.; Kanberoǧlu, K. Intraosseous schwannoma of the radius. Turk Patoloji Derg./Turk. J. Pathol. 2010, 26, 173–176. [Google Scholar] [CrossRef]
- Gin, J.; Calmet, J.; Sirvent, J.; Domènech, S. Intraosseous neurilemmoma of the radius: A case report. J. Hand Surg. 2000, 25, 365–369. [Google Scholar] [CrossRef]
- Lim, K.X.; Wu, K. First-ever intraosseous ancient schwannoma of the proximal ulna successfully treated using the cement technique. J. Int. Med Res. 2021, 49, 300060520987732. [Google Scholar] [CrossRef]
- Suzuki, K.; Yasuda, T.; Watanabe, K.; Kanamori, M.; Kimura, T. Association between intraosseous schwannoma occurrence and the position of the intraosseous nutrient vessel: A case report. Oncol. Lett. 2016, 11, 3185–3188. [Google Scholar] [CrossRef]
- Kito, M.; Yoshimura, Y.; Isobe, K.; Aoki, K.; Momose, T.; Kato, H. Intraosseous neurilemmoma of the proximal ulna. Int. J. Surg. Case Rep. 2014, 5, 914–918. [Google Scholar] [CrossRef][Green Version]
- Gurkan, V.; Sonmez, C.; Aralasmak, A.; Yildiz, F.; Erdogan, O. An Unusual Localization of Intraosseous Schwannoma: The Hamate Bone. Clin. Pract. 2017, 7, 920. [Google Scholar] [CrossRef] [PubMed][Green Version]
- Vora, R.A.; Mintz, U.N.; Athanasian, E.A. Intraosseous schwannoma of the metacarpal. Skelet. Radiol. 2000, 29, 224–226. [Google Scholar] [CrossRef] [PubMed]
- Afshar, A.; Afaghi, F. Intraosseous Schwannoma of the Second Metacarpal: Case Report. J. Hand Surg. 2010, 35, 776–779. [Google Scholar] [CrossRef]
- Verma, R.R.; Khan, M.T.; Davies, A.M.; Mangham, D.C.; Grimer, R.J. Subperiosteal schwannomas of the femur. Skelet. Radiol. 2002, 31, 422–425. [Google Scholar]
- Hoshi, M.; Takada, J.; Oebisu, N.; Nakamura, H. Intraosseous schwannoma of the proximal femur. Asia-Pac. J. Clin. Oncol. 2012, 8, e29–e33. [Google Scholar] [CrossRef]
- Al-Lhedan, F. Schwannoma of the femur: A rare case report. J. Bone Oncol. 2017, 8, 1–3. [Google Scholar] [CrossRef] [PubMed]
- McAleese, T.; Clesham, K.; Moloney, D.; Hughes, A.; Faheem, N.; Merghani, K. Intraosseous schwannoma of the femur in a patient with monoclonal gammopathy of undetermined significance. Int. J. Surg. Case Rep. 2020, 72, 494–498. [Google Scholar] [CrossRef]
- Mardi, K.; Vijayamohanan, L.; Aggarwal, V.; Kore, V. Intraosseous schwannoma of tibia: Report of a rare case with review of literature. Int. J. Orthop. Surg. 2021, 29, 64. [Google Scholar] [CrossRef]
- Kashima, T.G.; Gibbons, M.R.J.P.; Whitwell, D.; Gibbons, C.L.M.H.; Bradley, K.M.; Ostlere, S.J.; Athanasou, N.A. Intraosseous schwannoma in schwannomatosis. Skelet. Radiol. 2013, 42, 1665–1671. [Google Scholar] [CrossRef]
- Wang, T.; Giugale, J.M.; Ding, M.; Goodman, M.A.; Schoedel, K.; Rao, U.N. Primary intraosseous schwannoma in tibial epiphysis with unique immunohistochemical phenotype: A case report. Int. J. Surg. Pathol. 2014, 22, 574–578. [Google Scholar] [CrossRef]
- Meyer, A.; Sailhan, F.; Coulomb, A.; Thevenin-Lemoine, C.; Mary, P.; Ducou-Lepointe, H.; Damsin, J.P. Proximal tibial epiphyseal intraosseous schwannoma: A rare entity. J. Pediatr. Orthop. 2008, 28, 786–790. [Google Scholar] [CrossRef]
- Ilgenfritz, R.M.; Jones, K.B.; Lueck, N.; Buckwalter, J.A. Intraosseous neurilemmoma involving the distal tibia and fibula: A case report. Iowa Orthop. J. 2006, 26, 138–143. [Google Scholar]
- Palocaren, T.; Walter, N.M.; Madhuri, V.; Gibikote, S. Schwannoma of the fibula. J. Bone Jt. Surg. Br. Vol. 2008, 90, 803–805. [Google Scholar] [CrossRef] [PubMed]
- Aoki, J.; Tanikawa, H.; Fujioka, F.; Ishii, K.; Seo, G.S.; Karakida, O.; Sone, S. Intraosseous neurilemmoma of the fibula. Skelet. Radiol. 1997, 26, 60–63. [Google Scholar] [CrossRef]
- Drumond, G.C.; Nakagawa, S.A.; Costa, F.D.; de Souza, M.Y.T.; Comunello, J.; Chung, W.T. Intraosseous Schwannoma: Case Report and Review of the Literature. Rev. Bras. Ortop. 2020, 55, 258–262. [Google Scholar]
- Sochart, D. Intraosseous Schwannoma of the Calcaneum. Foot 1995, 5, 38–40. [Google Scholar] [CrossRef]
- Pyati, P.S.; Sanzone, A.G. Intraosseous neurilemoma of the calcaneus. Orthopedics 1996, 19, 353–355. [Google Scholar] [CrossRef] [PubMed]
- Flores Santos, F.; Pinheiro, M.; Felicíssimo, P. Large foot schwannoma with bone invasion—A case report. Foot Ankle Surg. Off. J. Eur. Soc. Foot Ankle Surg. 2014, 20, e23–e26. [Google Scholar] [CrossRef] [PubMed]
- Wang, G.; Wen, X.; Qu, L.; Qi, X.; Yang, C. Intraosseous Schwannoma Involving Multiple Bones of the Foot: A Case Report. The J. Foot Ankle Surg. Off. Publ. Am. Coll. Foot Ankle Surg. 2016, 55, 201–206. [Google Scholar] [CrossRef]
- Ansari, M.T.; Rastogi, S.; Alam Khan, S.; Yadav, C.; Rijal, L. Giant Schwannoma of the First Metatarsal: A Rare Entity. J. Foot Ankle Surg. 2014, 53, 335–339. [Google Scholar] [CrossRef]
- Meek, R.; Sharma, H.; Jane, M.; Raby, N.; MacDuff, E.; Reid, R. Solitary Intraosseous Schwannoma of the Metatarsal Bone: A Case Report. Foot Ankle Int. 2007, 28, 845–848. [Google Scholar] [CrossRef]
- Stull, M.A.; Moser, R.P., Jr.; Kransdorf, M.J.; Bogumill, G.P.; Nelson, M.C. Magnetic resonance appearance of peripheral nerve sheath tumors. Skelet. Radiol. 1991, 20, 9–14. [Google Scholar] [CrossRef] [PubMed]
- Jee, W.-H.; Oh, S.-N.; McCauley, T.; Ryu, K.-N.; Suh, J.-S.; Lee, J.-H.; Park, J.-M.; Chun, K.-A.; Sung, M.-S.; Kim, K.; et al. Extraaxial Neurofibromas Versus Neurilemmomas: Discrimination with MRI. Am. J. Roentgenol. 2004, 183, 629–633. [Google Scholar] [CrossRef] [PubMed]
- Beaulieu, S.; Rubin, B.; Djang, D.; Conrad, E.; Turcotte, E.; Eary, J.F. Positron Emission Tomography of Schwannomas: Emphasizing Its Potential in Preoperative Planning. Am. J. Roentgenol. 2004, 182, 971–974. [Google Scholar] [CrossRef] [PubMed]
- Aoki, J.; Watanabe, H.; Shinozaki, T.; Takagishi, K.; Tokunaga, M.; Koyama, Y.; Sato, N.; Endo, K. FDG-PET for preoperative differential diagnosis between benign and malignant soft tissue masses. Skelet. Radiol. 2003, 32, 133–138. [Google Scholar] [CrossRef]
- Yao, T.; Otsuka, H.; Koezuka, S.; Makino, T.; Hata, Y.; Ishiwatari, T.; Shibuya, K.; Iyoda, A. Intraosseous Schwannoma of Rib With Severe Back Pain and Characteristic Pathological Findings. Ann. Thorac. Surg. 2016, 102, e155–e157. [Google Scholar] [CrossRef][Green Version]
- Sestan, B.; Miletic, D.; Jonjic, N.; Gulan, G. Intraosseous Epithelioid Malignant Schwannoma. Orthopedics 2007, 30, 67–69. [Google Scholar] [CrossRef]
- Kaux, J.F.; Crielaard, J.M. Current evidence and indications for prolotherapy with platelet rich plasma in chronic musculoskeletal conditions. Reg. Anesth. Pain Med. 2012, 37, E104–E106. [Google Scholar]
- Terry, D.G.; Sauser, D.D.; Gordon, M.D. Intraosseous malignant peripheral nerve sheath tumor in a patient with neurofibromatosis. Skelet. Radiol. 1998, 27, 346–349. [Google Scholar] [CrossRef]
- Sham, M.E.; Ghorpade; Shetty, A.; Hari, S. Malignant peripheral nerve cell tumour. J. Maxillofac. Oral Surg. 2010, 9, 68–71. [Google Scholar] [CrossRef]
- King, A.T.; A Rutherford, S.; Hammerbeck-Ward, C.; Lloyd, S.K.; Freeman, S.R.; Pathmanaban, O.N.; Kellett, M.; Obholzer, R.; Afridi, S.; Axon, P.; et al. Malignant Peripheral Nerve Sheath Tumors are not a Feature of Neurofibromatosis Type 2 in the Unirradiated Patient. Neurosurgery 2018, 83, 38–42. [Google Scholar] [CrossRef] [PubMed]
- Muthusamy, S.; Conway, S.A.; Pitcher, J.D.; Temple, H.T. Primary Intraosseous Malignant Peripheral Nerve Sheath Tumor of the Medial Cuneiform: A Case Report and Review of the Literature. J. Foot Ankle Surg. 2017, 56, 129–134. [Google Scholar] [CrossRef]
- Wang, Y.Q.; Hu, J.X.; Yang, S.M.; Jiang, L.; Liu, X.G.; Yuan, H.S.; Wei, F.; Liu, Z.J. Intraosseous schwannoma of the mobile spine: A report of twenty cases. Eur. Spine J. 2018, 27, 3092–3104. [Google Scholar] [CrossRef] [PubMed]
- Wirth, W.A.; Bray, C.B. Intra-osseous neurilemoma. Case report and review of thirty-one cases from the literature. J. Bone Jt. Surg. 1977, 59, 252–255. [Google Scholar] [CrossRef]
Disclaimer/Publisher’s Note: The statements, opinions and data contained in all publications are solely those of the individual author(s) and contributor(s) and not of MDPI and/or the editor(s). MDPI and/or the editor(s) disclaim responsibility for any injury to people or property resulting from any ideas, methods, instructions or products referred to in the content. |
© 2023 by the authors. Licensee MDPI, Basel, Switzerland. This article is an open access article distributed under the terms and conditions of the Creative Commons Attribution (CC BY) license (https://creativecommons.org/licenses/by/4.0/).



