Clinical Characteristics, Treatment, and Outcomes of Peritoneal Strumosis: A Report of Three Cases and Systematic Review
Abstract
1. Introduction
2. Materials and Methods
3. Results
3.1. Case Presentation
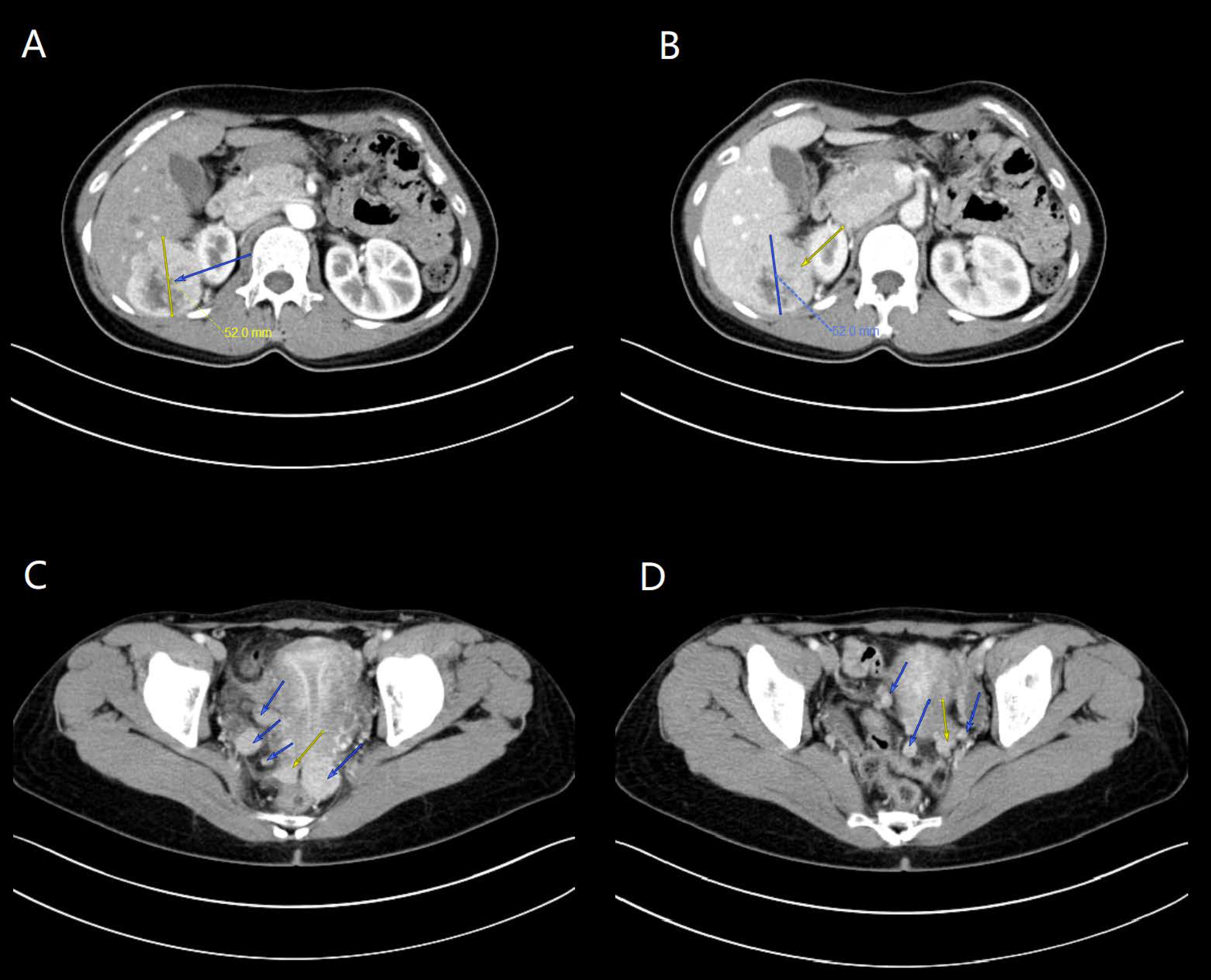
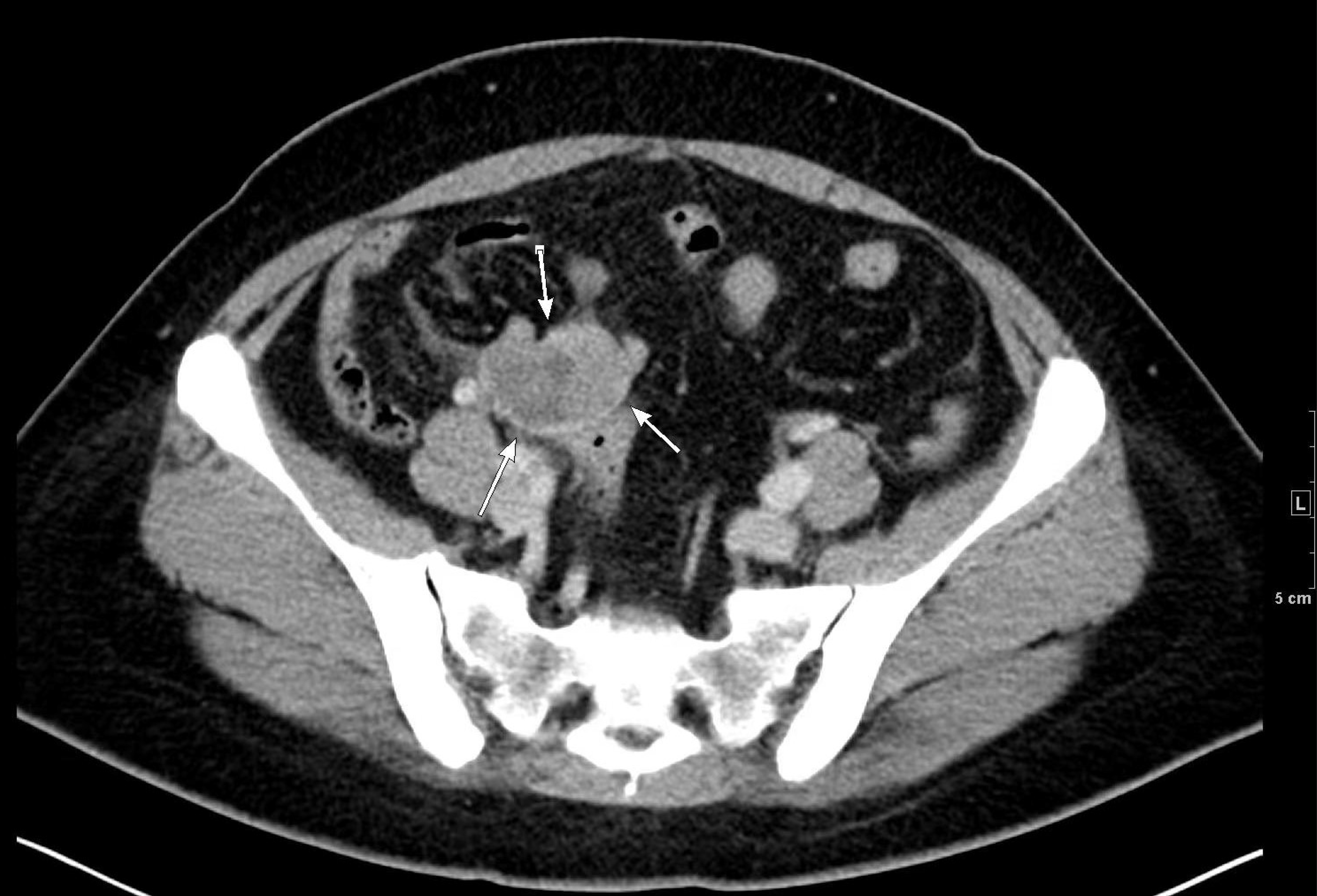
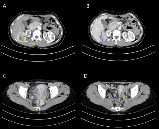
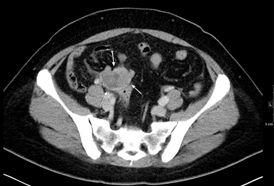
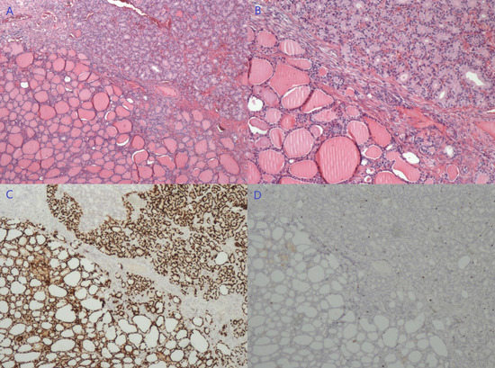
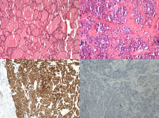
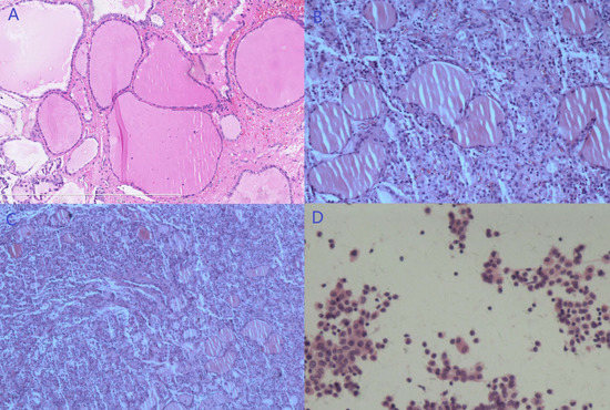
3.1.1. Case 1
3.1.2. Case 2
3.1.3. Case 3
3.2. Literature Review
4. Discussion
5. Conclusions
Supplementary Materials
Author Contributions
Funding
Institutional Review Board Statement
Informed Consent Statement
Data Availability Statement
Acknowledgments
Conflicts of Interest
References
- Sahin, H.; Abdullazade, S.; Sanci, M. Mature cystic teratoma of the ovary: A cutting edge overview on imaging features. Insights Into Imaging 2017, 8, 227–241. [Google Scholar] [CrossRef] [PubMed]
- Wei, S.; Baloch, Z.W.; LiVolsi, V.A. Pathology of Struma Ovarii: A Report of 96 Cases. Endocr Pathol. 2015, 26, 342–348. [Google Scholar] [CrossRef] [PubMed]
- Roth, L.M.; Talerman, A. The enigma of struma ovarii. Pathology 2007, 39, 139–146. [Google Scholar] [CrossRef] [PubMed]
- Fujiwara, S.; Tsuyoshi, H.; Nishimura, T.; Takahashi, N.; Yoshida, Y. Precise preoperative diagnosis of struma ovarii with pseudo-Meigs’ syndrome mimicking ovarian cancer with the combination of (131)I scintigraphy and (18)F-FDG PET: Case report and review of the literature. J. Ovarian Res. 2018, 11, 11. [Google Scholar] [CrossRef]
- Li, S.; Yang, T.; Li, X.; Zhang, L.; Shi, H.; Cheng, N.; Lang, J. FIGO Stage IV and Age Over 55 Years as Prognostic Predicators in Patients With Metastatic Malignant Struma Ovarii. Front. Oncol. 2020, 10, 584917. [Google Scholar] [CrossRef]
- Kim, D.; Cho, H.C.; Park, J.W.; Lee, W.A.; Kim, Y.M.; Chung, P.S.; Park, S.G.; Ahn, W.S.; Han, S.J.; Park, C.H. Struma ovarii and peritoneal strumosis with thyrotoxicosis. Thyroid 2009, 19, 305–308. [Google Scholar] [CrossRef]
- Li, S.; Kong, S.; Wang, X.; Zhang, X.; Yin, M.; Yang, J. Survival Outcomes and Prognostic Predictors in Patients With Malignant Struma Ovarii. Front. Med. 2021, 8, 774691. [Google Scholar] [CrossRef]
- Roth, L.M.; Karseladze, A.I. Highly differentiated follicular carcinoma arising from struma ovarii: A report of 3 cases, a review of the literature, and a reassessment of so-called peritoneal strumosis. Int. J. Gynecol. Pathol. 2008, 27, 213–222. [Google Scholar] [CrossRef]
- Balasch, J.; Pahisa, J.; Márquez, M.; Ordi, J.; Fábregues, F.; Puerto, B.; Vanrell, J.A. Metastatic ovarian strumosis in an in-vitro fertilization patient. Hum. Reprod. 1993, 8, 2075–2077. [Google Scholar] [CrossRef]
- Akahira, J.; Endo, M.; Chiba, R.; Tanoguchi, K.; Yamauchi, J.; Ishiyama, S.; Meguro, T. Peritoneal strumosis, 10 years after laparoscopic surgery for mature cystic teratoma of the ovary: A case report. Int. Cancer Conf. J. 2013, 2, 251–254. [Google Scholar] [CrossRef]
- Bao, Y.T.; Wang, C.; Huang, W.; Yao, L.Q.; Yuan, L. A rare case of highly differentiated follicular carcinoma in ovary with FGFR4 Gly388Arg polymorphism: A case report and literature review. J. Ovarian Res. 2022, 15, 71. [Google Scholar] [CrossRef] [PubMed]
- Loizzi, V.; Cappuccini, F.; Berman, M.L. An unusual presentation of struma ovarii mimicking a malignant process. Obstet. Gynecol. 2002, 100 Pt 2, 1111–1112. [Google Scholar] [CrossRef] [PubMed]
- Koo, P.J.; Klingensmith, W.C., 3rd; Bagrosky, B.M.; Haugen, B.R. SPECT/CT of metastatic struma ovarii. Clin. Nucl. Med. 2014, 39, 186–187. [Google Scholar] [CrossRef] [PubMed]
- Savelli, L.; Testa, A.C.; Timmerman, D.; Paladini, D.; Ljungberg, O.; Valentin, L. Imaging of gynecological disease (4): Clinical and ultrasound characteristics of struma ovarii. Ultrasound Obstet. Gynecol. 2008, 32, 210–219. [Google Scholar] [CrossRef]
- Li, Z.; Wang, J.; Chen, Q. Struma ovarii and peritoneal strumosis during pregnancy. BMC Pregnancy Childbirth 2021, 21, 347. [Google Scholar] [CrossRef] [PubMed]
- Brockmann, M.; Schildgen, V.; Schildgen, O.; Lüsebrink, J.; Pieper, M.; Gudima, A. NGS-dataset of putative driver mutations associated with benign peritoneal strumosis. Data Brief 2018, 20, 468–470. [Google Scholar] [CrossRef]
- Poli, R.; Scatolini, M.; Grosso, E.; Maletta, F.; Gallo, M.; Liscia, D.; Nelva, A.; Cesario, F.; Forte, G.; Metovic, J.; et al. Malignant struma ovarii: Next-generation sequencing of six cases revealed Nras, Braf, and Jak3 mutations. Endocrine 2020, 71, 216–224. [Google Scholar] [CrossRef]
- Brogsitter, C.; Wonsak, A.; Würl, K.; Kotzerke, J. Peritoneal strumosis. Eur. J. Nucl. Med. Mol. Imaging 2004, 31, 1057. [Google Scholar] [CrossRef] [PubMed]
- Asaturova, A.; Magnaeva, A.; Tregubova, A.; Kometova, V.; Karamurzin, Y.; Martynov, S.; Lipatenkova, Y.; Adamyan, L.; Palicelli, A. Malignant Clinical Course of “Proliferative” Ovarian Struma: Diagnostic Challenges and Treatment Pitfalls. Diagnostics 2022, 12, 1411. [Google Scholar] [CrossRef]
- Ranade, R.; Rachh, S.; Basu, S. Late Manifestation of Struma Peritonei and Widespread Functioning Lesions in the Setting of Struma Ovarii Simulating Highly Differentiated Follicular Carcinoma. J. Nucl. Med. Technol. 2015, 43, 231–233. [Google Scholar] [CrossRef] [PubMed]
- Filetti, S.; Durante, C.; Hartl, D.; Leboulleux, S.; Locati, L.D.; Newbold, K.; Papotti, M.G.; Berruti, A. Thyroid cancer: ESMO Clinical Practice Guidelines for diagnosis, treatment and follow-up. Ann. Oncol. 2019, 30, 1856–1883. [Google Scholar] [CrossRef]
- Kaleem, T.; Peterson, J.; Krishna, M. Peritoneal strumosis: Presentation and management with multiple radioactive iodine treatments. J. Clin. Transl. Endocrinol. 2018, 8, 1–4. [Google Scholar] [CrossRef]
- Karseladze, A.I.; Kulinitch, S.I. Peritoneal strumosis. Pathol. Res. Pract. 1994, 190, 1082–1085; discussion 1086–1088. [Google Scholar] [CrossRef]
- Riggs, M.J.; Kluesner, J.K.; Miller, C.R. Management of highly differentiated thyroid follicular carcinoma of ovarian origin with a minimally invasive approach. Gynecol. Oncol. Rep. 2018, 24, 87–89. [Google Scholar] [CrossRef]
- Dobi, A.; Kim, S.A.; Zhang, M.; Iames, E.; Lamzabi, I. Highly differentiated follicular carcinoma of ovary: Use of imprint cytology at intraoperative consultation. Diagn. Cytopathol. 2020, 48, 360–363. [Google Scholar] [CrossRef]
- Henderson, B.B.; Chaubey, A.; Roth, L.M.; Robboy, S.J.; Tarasidis, G.; Jones, J.R.; Stevenson, R.E. Whole-Genome and Segmental Homozygosity Confirm Errors in Meiosis as Etiology of Struma Ovarii. Cytogenet. Genome Res. 2020, 160, 2–10. [Google Scholar] [CrossRef]






| Items | N (Percentile) | Items | N (Percentile) | |
|---|---|---|---|---|
| Age (y) | N = 19 | Sites of metastasis | N = 19 | |
| Mean | 48.5 ± 11.1 | Peritoneum | 13 | |
| Median | 49.0 (Range 32–71) | Omentum | 9 | |
| Time of follow-up (m) | N = 17 | Bowel | 8 | |
| Mean | 53.0 | Uterus | 5 | |
| Median | 32.0 (Range 6–196) | Bone | 2 | |
| Maximum mass size (cm) | N = 17 | Bladder | 2 | |
| Mean | 6.1 ± 3.8 (Range 2.0–15.0) | Lymph nodes | 1 | |
| Elevated tumor Makers | N = 4 | Fallopian tube | 1 | |
| TG | 2 | Heart | 1 | |
| TG + CA 125 | 1 | Mesentery | 1 | |
| CA 125 | 1 | Right iliac fossa | 1 | |
| Synchronous primary thyroid carcinoma | N = 19 | Uterine and ovarian ligament | 1 | |
| Yes | 1 (5.3%) | Recurrence | N = 13 | |
| SO-related surgical history | 10 (52.6%) | Yes | 2 (15.4%) | |
| Interval to peritoneal strumosis (y) | Mean/Median time (m) | 56.8/32.0 | ||
| Mean (Median) | 10.5 (10.0) | Treatment in recurrence | N = 2 | |
| Hyperthyroidism | 1 (5.3%) | TT + RAI | 1 | |
| Treatment options at initial presentation | N = 19 | Surgery + TT + RAI | 1 | |
| Surgery alone | 11 | Clinical outcomes | N = 19 | |
| Surgery and TT + RAI | 6 | NED | 12 | |
| Surgery and chemotherapy | 1 | AWD | 5 | |
| No treatment (biopsy alone) | 1 | NA | 2 | |
Disclaimer/Publisher’s Note: The statements, opinions and data contained in all publications are solely those of the individual author(s) and contributor(s) and not of MDPI and/or the editor(s). MDPI and/or the editor(s) disclaim responsibility for any injury to people or property resulting from any ideas, methods, instructions or products referred to in the content. |
© 2023 by the authors. Licensee MDPI, Basel, Switzerland. This article is an open access article distributed under the terms and conditions of the Creative Commons Attribution (CC BY) license (https://creativecommons.org/licenses/by/4.0/).
Share and Cite
Li, S.; Wang, X.; Hong, R.; Zhang, X.; Yin, M.; Zhang, T.; Yang, J. Clinical Characteristics, Treatment, and Outcomes of Peritoneal Strumosis: A Report of Three Cases and Systematic Review. Diagnostics 2023, 13, 1581. https://doi.org/10.3390/diagnostics13091581
Li S, Wang X, Hong R, Zhang X, Yin M, Zhang T, Yang J. Clinical Characteristics, Treatment, and Outcomes of Peritoneal Strumosis: A Report of Three Cases and Systematic Review. Diagnostics. 2023; 13(9):1581. https://doi.org/10.3390/diagnostics13091581
Chicago/Turabian StyleLi, Sijian, Xiaoxue Wang, Ruping Hong, Xinyue Zhang, Min Yin, Tianyu Zhang, and Jiaxin Yang. 2023. "Clinical Characteristics, Treatment, and Outcomes of Peritoneal Strumosis: A Report of Three Cases and Systematic Review" Diagnostics 13, no. 9: 1581. https://doi.org/10.3390/diagnostics13091581
APA StyleLi, S., Wang, X., Hong, R., Zhang, X., Yin, M., Zhang, T., & Yang, J. (2023). Clinical Characteristics, Treatment, and Outcomes of Peritoneal Strumosis: A Report of Three Cases and Systematic Review. Diagnostics, 13(9), 1581. https://doi.org/10.3390/diagnostics13091581

