Metaverse and Medical Diagnosis: A Blockchain-Based Digital Twinning Approach Based on MobileNetV2 Algorithm for Cervical Vertebral Maturation
Abstract
1. Introduction
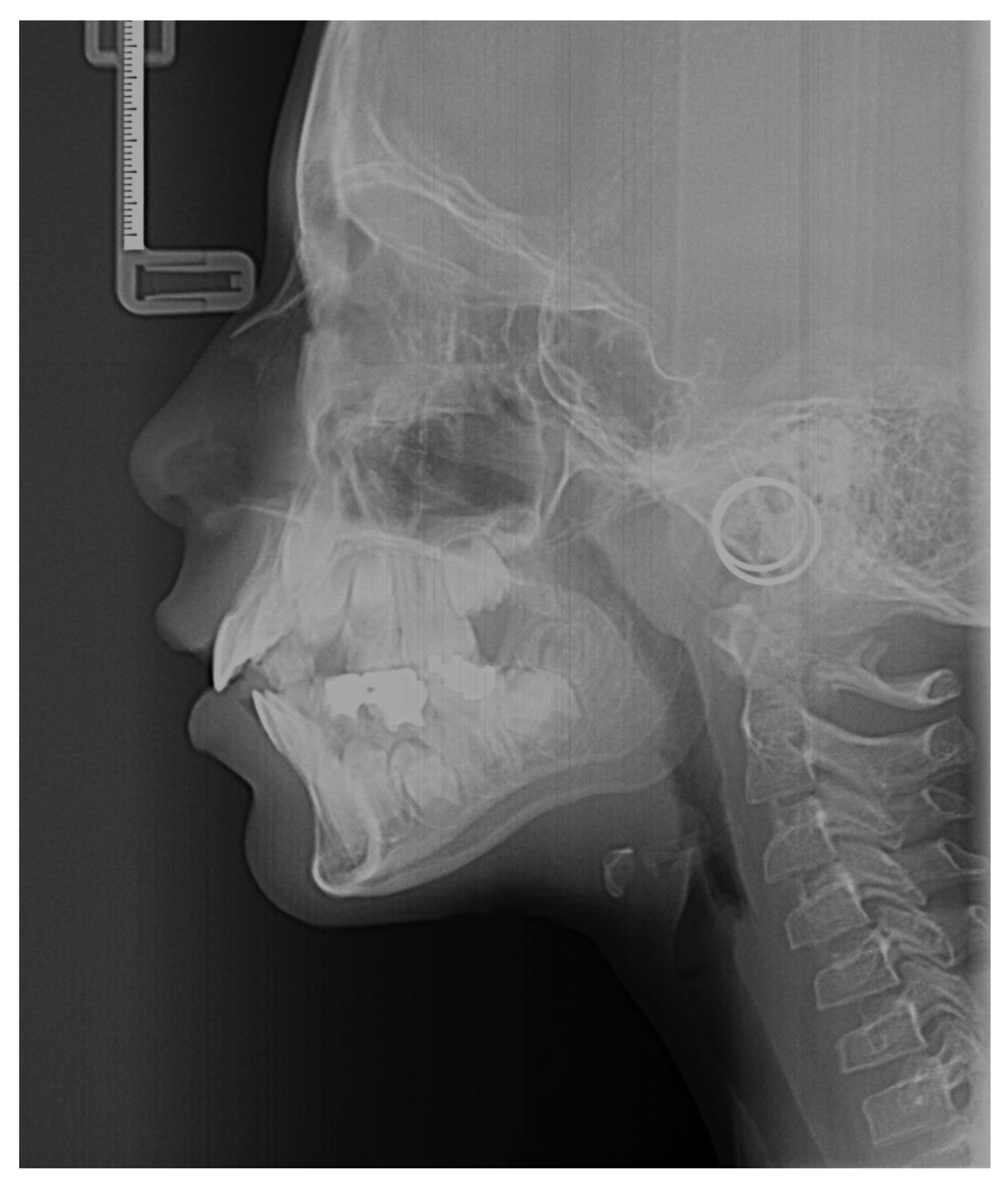
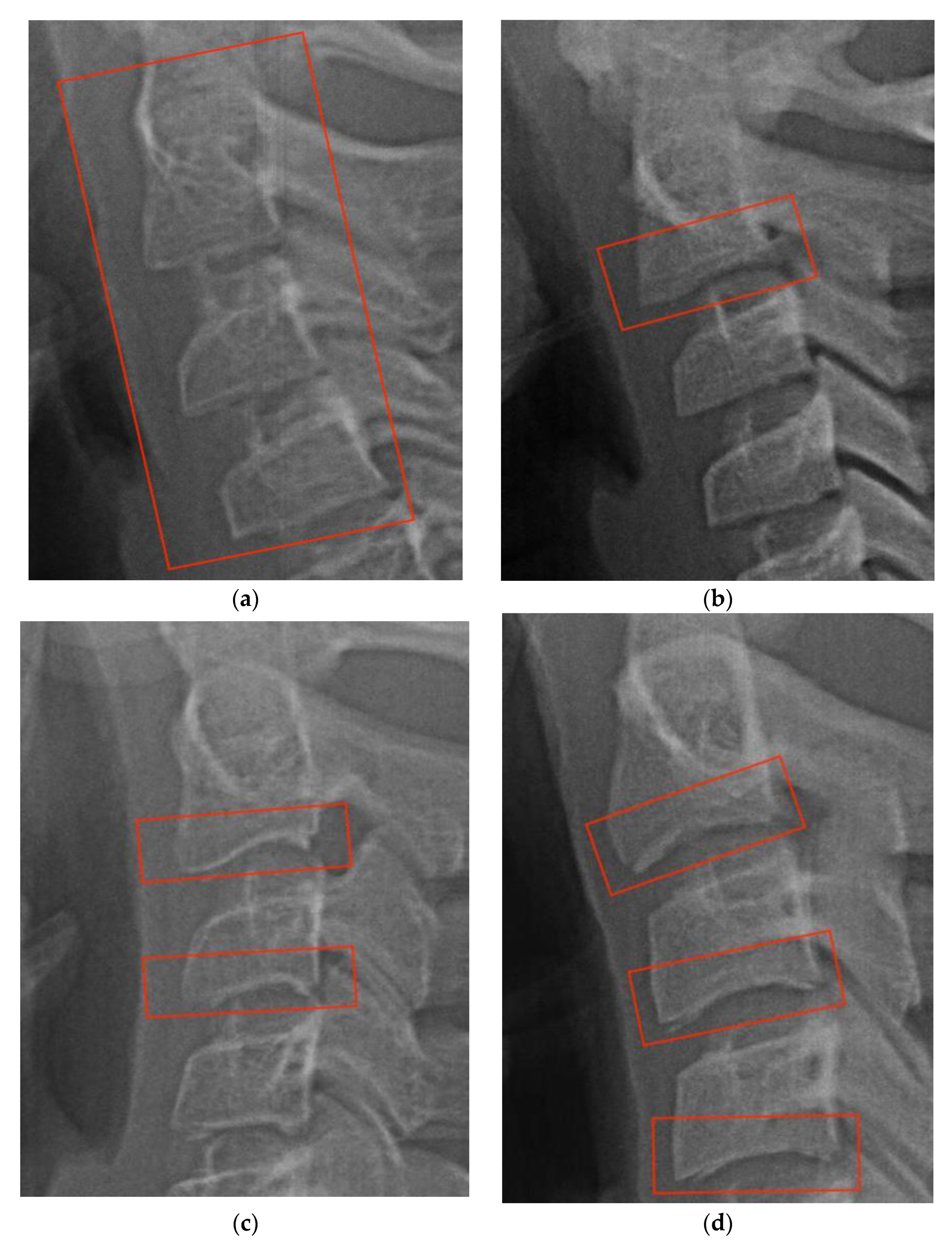
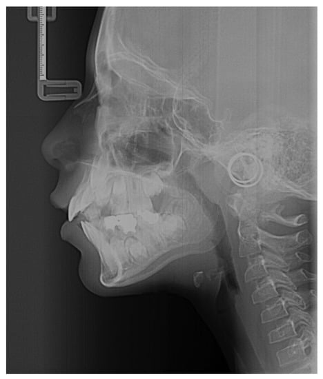
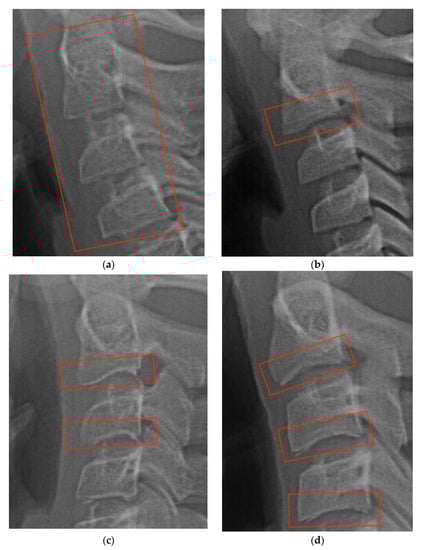
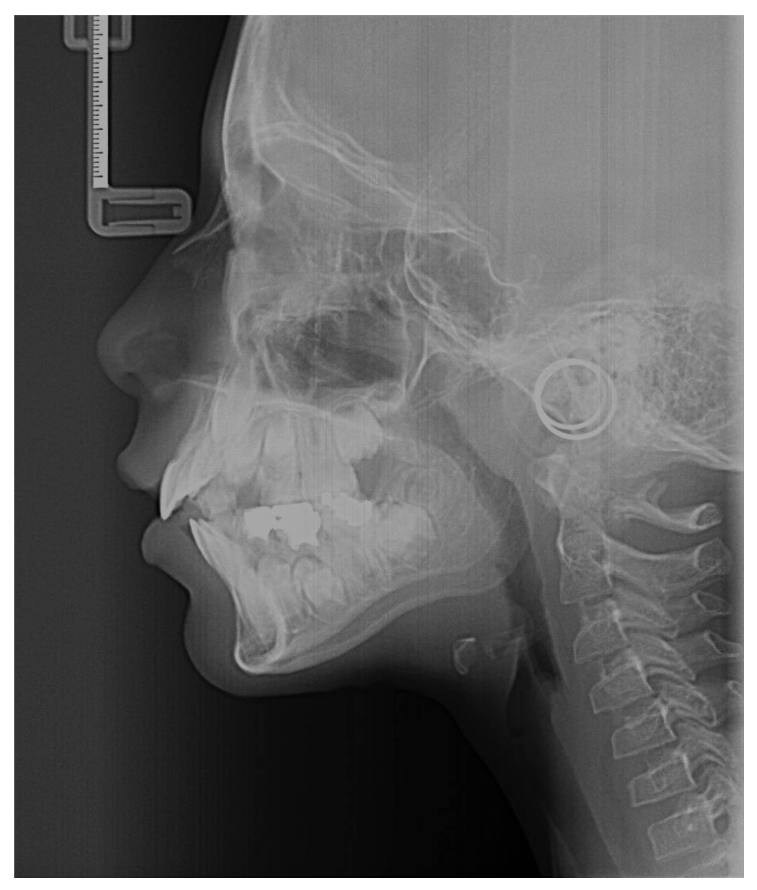
2. Cervical Vertebral Maturation Method
3. The Proposed CNN-Based Digital Twin within Blockchain
3.1. Motivation
3.2. Metaverse, Blockchain, and Digital Twin
- Decentralized identity: a system that provides doctors and patients with a unique digital identity that is self-sovereign and not controlled by any central authority. This allows users to participate in virtual activities while maintaining their privacy and security;
- Virtual asset management: a system for creating, trading, and managing digital assets within the metaverse. This system should use blockchain technology to enable secure and transparent transactions;
- World-building: a platform for creating and designing virtual environments where users can interact with each other and digital assets;
- Interoperability: the ability for different metaverse platforms to communicate and interact with each other. This allows users to move their virtual assets and identities between different metaverse platforms;
- Economy: a system for creating and managing a virtual economy within the metaverse. This includes virtual currencies, marketplaces, and other economic systems;
- Governance: a system for managing the rules and regulations within the metaverse. This includes issues such as intellectual property, content moderation, and user behavior;
- Security: a robust security system that protects users and their virtual assets from theft, fraud, and other cyber threats. This should include encryption, multi-factor authentication, and other security measures.
3.3. Implementation of the Platform
3.4. MobileNetV2
3.5. Dataset
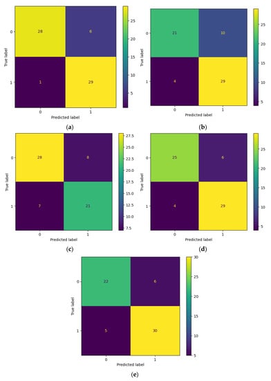
4. Results
5. Discussion
6. Conclusions
Author Contributions
Funding
Institutional Review Board Statement
Informed Consent Statement
Data Availability Statement
Acknowledgments
Conflicts of Interest
References
- Korde, S.J.; Daigavane, P.; Shrivastav, S. Skeletal Maturity Indicators-Review Article. Int. J. Sci. Res. 2015, 6, 361–370. [Google Scholar]
- Rolland-Cachera, M.-F.; Péneau, S. Assessment of growth: Variations according to references and growth parameters used. Am. J. Clin. Nutr. 2011, 94, 1794S–1798S. [Google Scholar] [CrossRef] [PubMed]
- Fang, D.; Long, Z.; Hou, J. Clinical application of concentrated growth factor fibrin combined with bone repair materials in jaw defects. J. Oral Maxillofac. Surg. 2020, 78, 882–892. [Google Scholar] [CrossRef] [PubMed]
- Ferrillo, M.; Curci, C.; Roccuzzo, A.; Migliario, M.; Invernizzi, M.; de Sire, A. Reliability of cervical vertebral maturation compared to hand-wrist for skeletal maturation assessment in growing subjects: A systematic review. J. Back Musculoskelet. Rehabil. 2021, 34, 925–936. [Google Scholar] [CrossRef] [PubMed]
- Hamet, P.; Tremblay, J. Artificial intelligence in medicine. Metabolism 2017, 69, S36–S40. [Google Scholar] [CrossRef]
- Jamshidi, M.B.; Daneshfar, F. A Hybrid Echo State Network for Hypercomplex Pattern Recognition, Classification, and Big Data Analysis. In Proceedings of the 2022 12th International Conference on Computer and Knowledge Engineering (ICCKE), Mashhad, Iran, 17–18 November 2022; pp. 7–12. [Google Scholar]
- Jamshidi, M.B.; Ebadpour, M.; Moghani, M.M. Cancer Digital Twins in Metaverse. In Proceedings of the 2022 20th International Conference on Mechatronics-Mechatronika (ME), Pilsen, Czech Republic, 7–9 December 2022; pp. 1–6. [Google Scholar]
- Kerdvibulvech, C. Exploring the impacts of COVID-19 on digital and metaverse games. In Proceedings of the HCI International 2022 Posters: 24th International Conference on Human-Computer Interaction, HCII 2022, Online, 26 June–1 July 2022; pp. 561–565. [Google Scholar]
- Lee, C.W. Application of Metaverse Service to Healthcare Industry: A Strategic Perspective. Int. J. Environ. Res. Public Health 2022, 19, 13038. [Google Scholar] [CrossRef]
- Jamshidi, M.; Lalbakhsh, A.; Talla, J.; Peroutka, Z.; Hadjilooei, F.; Lalbakhsh, P.; Jamshidi, M.; La Spada, L.; Mirmozafari, M.; Dehghani, M. Artificial intelligence and COVID-19: Deep learning approaches for diagnosis and treatment. IEEE Access 2020, 8, 109581–109595. [Google Scholar] [CrossRef]
- Jamshidi, M.B.; Talla, J.; Lalbakhsh, A.; Sharifi-Atashgah, M.S.; Sabet, A.; Peroutka, Z. A conceptual deep learning framework for COVID-19 drug discovery. In Proceedings of the 2021 IEEE 12th Annual Ubiquitous Computing, Electronics & Mobile Communication Conference (UEMCON), New York, NY, USA, 1–4 December 2021; pp. 30–34. [Google Scholar]
- Nguyen, T.N. Toward human digital twins for cybersecurity simulations on the metaverse: Ontological and network science approach. JMIRx Med. 2022, 3, e33502. [Google Scholar] [CrossRef]
- De Moraes Rossetto, A.G.; Sega, C.; Leithardt, V.R.Q. An Architecture for Managing Data Privacy in Healthcare with Blockchain. Sensors 2022, 22, 8292. [Google Scholar] [CrossRef]
- Atici, S.F.; Ansari, R.; Allareddy, V.; Suhaym, O.; Cetin, A.E.; Elnagar, M.H. Fully automated determination of the cervical vertebrae maturation stages using deep learning with directional filters. PLoS ONE 2022, 17, e0269198. [Google Scholar] [CrossRef]
- Fishman, L.S. Radiographic evaluation of skeletal maturation: A clinically oriented method based on hand-wrist films. Angle Orthod. 1982, 52, 88–112. [Google Scholar]
- Hassel, B.; Farman, A.G. Skeletal maturation evaluation using cervical vertebrae. Am. J. Orthod. Dentofac. Orthop. 1995, 107, 58–66. [Google Scholar] [CrossRef]
- Uysal, T.; Ramoglu, S.I.; Basciftci, F.A.; Sari, Z. Chronologic age and skeletal maturation of the cervical vertebrae and hand-wrist: Is there a relationship? Am. J. Orthod. Dentofac. Orthop. 2006, 130, 622–628. [Google Scholar] [CrossRef]
- Sit, M.; Demiray, B.Z.; Xiang, Z.; Ewing, G.J.; Sermet, Y.; Demir, I. A comprehensive review of deep learning applications in hydrology and water resources. Water Sci. Technol. 2020, 82, 2635–2670. [Google Scholar] [CrossRef]
- Zhang, Z.; Wen, F.; Sun, Z.; Guo, X.; He, T.; Lee, C. Artificial intelligence-enabled sensing technologies in the 5G/internet of things era: From virtual reality/augmented reality to the digital twin. Adv. Intell. Syst. 2022, 4, 2100228. [Google Scholar] [CrossRef]
- Daneshfar, F.; Jamshidi, M.B. An Octonion-Based Nonlinear Echo State Network for Speech Emotion Recognition in Metaverse. Neural Netw. 2023, 163, 108–121. [Google Scholar] [CrossRef]
- Gadekallu, T.R.; Huynh-The, T.; Wang, W.; Yenduri, G.; Ranaweera, P.; Pham, Q.-V.; da Costa, D.B.; Liyanage, M. Blockchain for the metaverse: A review. arXiv 2022, arXiv:2203.09738. [Google Scholar]
- Jeon, H.; Youn, H.; Ko, S.; Kim, T. Blockchain and AI Meet in the Metaverse. In Advances in the Convergence of Blockchain and Artificial Intelligence; IntechOpen: Rijeka, Croatia, 2022; p. 73. [Google Scholar]
- Fu, Y.; Li, C.; Yu, F.R.; Luan, T.H.; Zhao, P.; Liu, S. A survey of blockchain and intelligent networking for the metaverse. IEEE Internet Things J. 2022, 10, 3587–3610. [Google Scholar] [CrossRef]
- Khalaj, O.; Jamshidi, M.; Hassas, P.; Hosseininezhad, M.; Mašek, B.; Štadler, C.; Svoboda, J. Metaverse and AI Digital Twinning of 42SiCr Steel Alloys. Mathematics 2022, 11, 4. [Google Scholar] [CrossRef]
- Ebadpour, M.; Jamshidi, M.; Talla, J.; Hashemi-Dezaki, H.; Peroutka, Z. Digital Twin Model of Electric Drives Empowered by EKF. Sensors 2023, 23, 2006. [Google Scholar] [CrossRef]
- Sandler, M.; Howard, A.; Zhu, M.; Zhmoginov, A.; Chen, L.-C. Mobilenetv2: Inverted residuals and linear bottlenecks. In Proceedings of the IEEE Conference on Computer Vision and Pattern Recognition, Salt Lake City, UT, USA, 18–23 June 2018; pp. 4510–4520. [Google Scholar]
- Powers, D.M.W. Evaluation: From precision, recall and f-measure to roc., informedness, markedness & correlation. J. Mach. Learn. Technol. 2011, 2, 37–63. [Google Scholar]
- Buckland, M.; Gey, F. The Relationship between Recall and Precision. J. Am. Soc. Inf. Sci. 1994, 45, 12–19. [Google Scholar] [CrossRef]







| Author(s) | Journals | Subject | Methodology or Equipment | Main Findings |
|---|---|---|---|---|
| Korde, S.J et al. [1] | Int. J. Sci. Res | Skeletal Maturity Indicators | Reviewing several methods | Assessing and categorizing some conventional methods to measure skeletal maturity |
| Rolland-Cachera et al. [2] | The American journal of clinical nutrition | Assessment of growth | Assessment of growth | Evolution of growth based on references and growth parameters |
| Fang, D. et al. [3] | Journal of Oral and Maxillofacial Surgery | Treatment perspective | Clinical application of concentrated growth factor | A hybrid approach to repair jaw defects based on growth factor |
| Ferrillo, M. et al. [4] | Journal of back and musculoskeletal rehabilitation | Assessment of growth | A systematic review | Determining the reliability of cervical vertebral maturation |
| Hamet, P. et al. [5] | Metabolism | AI techniques for medicine | Assessment of several methods | Recommending different AI methods for different medical issues |
| Jamshidi, M.B et al. [6] | ICCKE conference | AI techniques for complex problem | A hybrid echo state network | AI approaches for hypercomplex pattern recognition, classification, and big data analysis |
| Jamshidi, M.B. et al. [7] | Mechatronika conference | AI techniques for medicine | Three ML methods | Creating cancer digital twins |
| Kerdvibulvech, C. et al. [8] | HCII conference | Human–Computer Interaction | Survey | Assessing impacts of COVID-19 on metaverse and digital games |
| Lee, C.W. et al. [9] | International Journal of Environmental Research and Public Health | Application of the metaverse | Assessment and suggestion | Providing a strategic perspective |
| Jamshidi, M. et al. [10] | IEEE Access | Artificial intelligence and COVID-19 | Deep learning approaches | Presenting some AI-based methods for diagnosis and treatment |
| de Moraes Rossetto et al. [13] | Sensors | Data privacy in healthcare | Blockchain approach | Providing a framework based on blockchain for healthcare data privacy |
| Symbol | Definition |
|---|---|
| Denotes the “indicator function”. The indicator of a true statement is equal to 1 and the indicator of a false statement is equal to 0. | |
| Denotes the “logical and”. X is true if both statements, X and Y, are true. Otherwise, it is false. | |
| Denotes “equality”. X is true if the values of X and Y are equal. | |
| Denotes “greater than or equal to”. X is true if the value of X is greater than or equal to the value of Y. | |
| Denotes “less than”. X is true if the value of X is less than the value of Y. | |
| Denotes the sum of terms, where is the number of samples. | |
| The predicted probability of belonging to the positive class. AI model receives the sample and outputs this probability. | |
| The true label of the sample. It is 0 or 1, where 1 means the radiograph belongs to the sixth stage of growth. |
| Pseudocodes of Implementation |
|---|
| DEFINE CLASS patient_chain_class(): |
| DEFINE initialize FUNCTION(): |
| SET chain TO AN EMPTY LIST |
| SET curret_image_hash TO AN EMPTY STRING |
| SET current_image TO AN EMPTY 2D ARRAY |
| new_block(previous_hash = 1) |
| DEFINE new_block FUNCTION(previous_hash = False): |
| SET block TO { |
| ‘index’: LENGTH OF chain + 1, |
| ‘image’: current_image_hash, |
| ‘previous_hash’: previous_hash == 1 ? 1: hash(last_block()), |
| ‘prediction’: previous_hash == 1 ? ‘No Prediction (First Block)’: new_prediction() |
| } |
| SET current_image_hash TO AN EMPTY STRING |
| SET current_image TO AN EMPTY 2D ARRAY |
| ADD block TO chain |
| RETURN block |
| DEFINE new_image FUNCTION(image): |
| SET current_image_hash TO HASH OF image |
| SET current_image TO image |
| DEFINE new_prediction FUNCTION(): |
| SET prediction TO run_classification_algorithm(current_image) |
| RETURN HASH OF prediction |
| DEFINE hash FUNCTION(block): |
| SET block_string TO JSON FORMAT OF block |
| RETURN HASH OF block_string |
| DEFINE last_block FUNCTION(): |
| RETURN LAST ELEMENT OF chain |
| SET patient_chain TO AN INSTANCE OF patient_chain_class() |
| SET img TO IMAGE OF PATIENT |
| new_image(img) |
| new_block() |
| DEFINE build_model FUNCTION(): |
| SET model TO mobilenet_v2 |
| REPLACE THE LAST CLASSIFIER WITH sequential( |
| dropout_layer(p = 0.4), |
| linear_layer(in_features = 1280, out_features = 1, bias = True), |
| sigmoid_activation |
| ) |
| RETURN model |
| DEFINE load_model_checkpoint FUNCTION(model_name): |
| RETURN CHECKPOINT OF model_name |
| DEFINE run_classification_algorithm FUNCTION(image): |
| SET model TO build_model() |
| SET checkpoint TO load_model_checkpoint(model_name) |
| SET THE WEIGHTS OF model TO checkpoint[“trained_weights”] |
| CHANGE THE MODE OF model TO EVALUATION |
| TURN image TO RGB |
| RESIZE HEIGHT OF image TO 224 |
| RESIZE WIDTH OF image TO 224 |
| NORMALIZE FIRST CHANNEL OF image WITH A MEAN OF 0.485 AND A STANDARD DEVIATION OF 0.229 |
| NORMALIZE SECOND CHANNEL OF image WITH A MEAN OF 0.456 AND A STANDARD DEVIATION OF 0.224 |
| NORMALIZE THIRD CHANNEL OF image WITH A MEAN OF 0.406 AND A STANDARD DEVIATION OF 0.225 |
| SET prediction TO model(image) |
| RETURN prediction |
| Fold | Total Loss (Cost) | Accuracy | Precision | Recall |
|---|---|---|---|---|
| 1 | 0.354 | 0.8906 | 0.8286 | 0.9667 |
| 2 | 0.510 | 0.7812 | 0.7436 | 0.8788 |
| 3 | 0.537 | 0.7656 | 0.7241 | 0.7500 |
| 4 | 0.429 | 0.8438 | 0.8286 | 0.8788 |
| 5 | 0.408 | 0.8254 | 0.8333 | 0.8571 |
| Mean ± Standard Deviation | 0.447 ± 0.067 | 0.8213 ± 0.0447 | 0.7916 ± 0.0476 | 0.8662 ± 0.0692 |
Disclaimer/Publisher’s Note: The statements, opinions and data contained in all publications are solely those of the individual author(s) and contributor(s) and not of MDPI and/or the editor(s). MDPI and/or the editor(s) disclaim responsibility for any injury to people or property resulting from any ideas, methods, instructions or products referred to in the content. |
© 2023 by the authors. Licensee MDPI, Basel, Switzerland. This article is an open access article distributed under the terms and conditions of the Creative Commons Attribution (CC BY) license (https://creativecommons.org/licenses/by/4.0/).
Share and Cite
Moztarzadeh, O.; Jamshidi, M.; Sargolzaei, S.; Keikhaee, F.; Jamshidi, A.; Shadroo, S.; Hauer, L. Metaverse and Medical Diagnosis: A Blockchain-Based Digital Twinning Approach Based on MobileNetV2 Algorithm for Cervical Vertebral Maturation. Diagnostics 2023, 13, 1485. https://doi.org/10.3390/diagnostics13081485
Moztarzadeh O, Jamshidi M, Sargolzaei S, Keikhaee F, Jamshidi A, Shadroo S, Hauer L. Metaverse and Medical Diagnosis: A Blockchain-Based Digital Twinning Approach Based on MobileNetV2 Algorithm for Cervical Vertebral Maturation. Diagnostics. 2023; 13(8):1485. https://doi.org/10.3390/diagnostics13081485
Chicago/Turabian StyleMoztarzadeh, Omid, Mohammad (Behdad) Jamshidi, Saleh Sargolzaei, Fatemeh Keikhaee, Alireza Jamshidi, Shabnam Shadroo, and Lukas Hauer. 2023. "Metaverse and Medical Diagnosis: A Blockchain-Based Digital Twinning Approach Based on MobileNetV2 Algorithm for Cervical Vertebral Maturation" Diagnostics 13, no. 8: 1485. https://doi.org/10.3390/diagnostics13081485
APA StyleMoztarzadeh, O., Jamshidi, M., Sargolzaei, S., Keikhaee, F., Jamshidi, A., Shadroo, S., & Hauer, L. (2023). Metaverse and Medical Diagnosis: A Blockchain-Based Digital Twinning Approach Based on MobileNetV2 Algorithm for Cervical Vertebral Maturation. Diagnostics, 13(8), 1485. https://doi.org/10.3390/diagnostics13081485

