Retinal Nerve Fiber Layer Imaging with Two Different Spectral Domain Optical Coherence Tomographs: Normative Data for Romanian Children
Abstract
1. Introduction
2. Materials and Methods
2.1. Study Design and Subjects
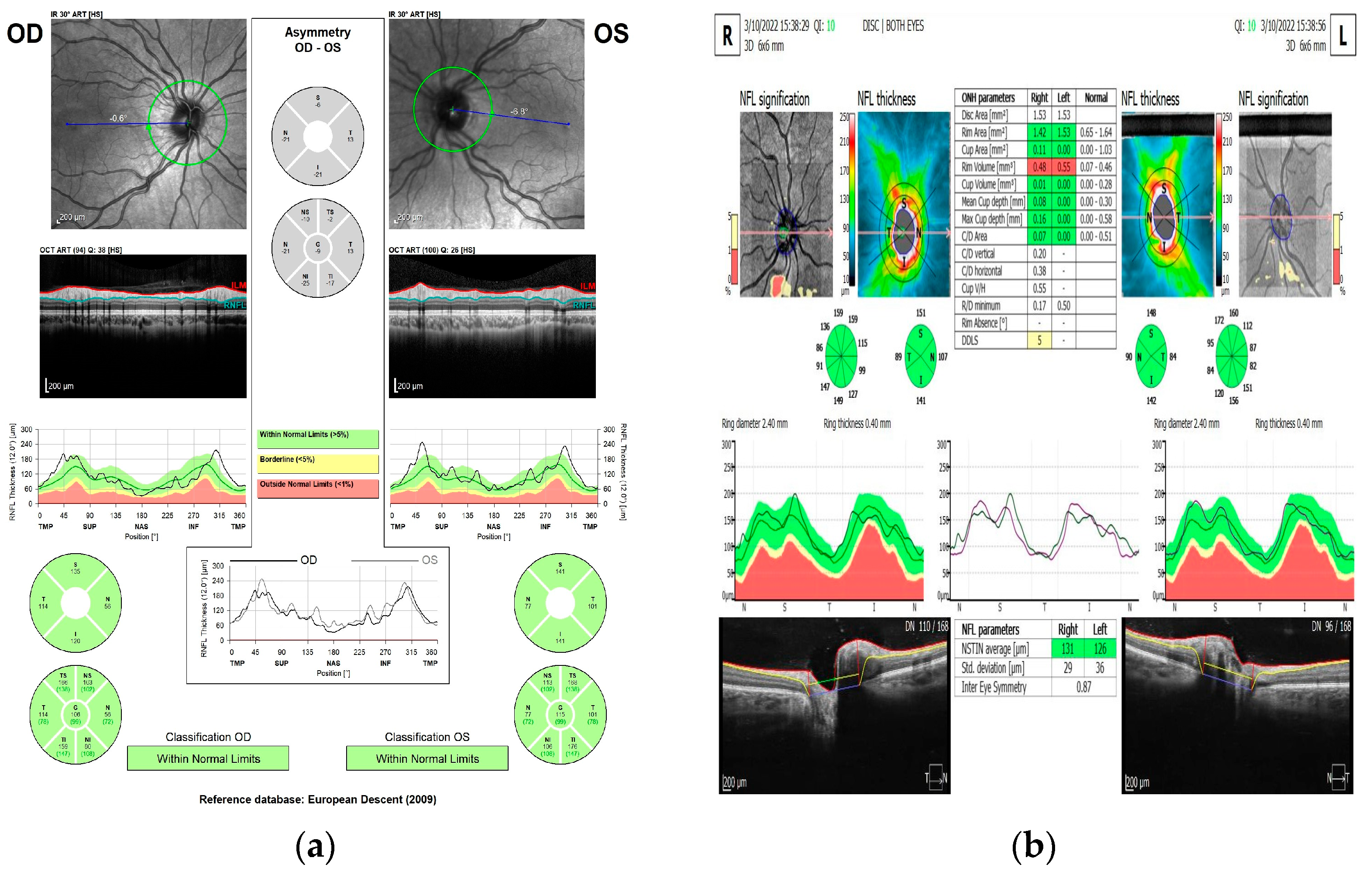
2.2. Spectral-Domain OCT Measurements
2.3. Statistical Analysis
3. Results
3.1. Study Lot
3.2. Statistical Power of the Study
3.3. Global and Sectoral RNFL Thickness Values
3.4. Side-To-Side Differences
3.5. Gender Influence on Global and Sectorial RNFL Thickness
3.6. Age and Age Groups Variability
3.7. ISNT Rule
4. Discussion
4.1. Comparison of Global and Sectoral RNFL Thickness Values
4.2. Comparison of Eye Laterality in Other Studies
4.3. Comparison of Gender Influence on Global and Sectorial RNFL Thickness with Other Studies
4.4. Comparison of Age Group Variability with Other Studies
4.5. Comparison of ISNT Rule on OCT Parameters with Other Studies
4.6. Strengths and Limitations
5. Conclusions
Author Contributions
Funding
Institutional Review Board Statement
Informed Consent Statement
Data Availability Statement
Conflicts of Interest
References
- Wen, Y.; Zhu, Y.; Zhuo, Y. Changes of Peripapillary Retinal Nerve Fiber Layer in Childhood Glaucoma: A Systematic Review and Meta-Analysis. Front. Med. 2021, 8, 740152. [Google Scholar] [CrossRef] [PubMed]
- Marvasti, A.H.; Tatham, A.J.; Zangwill, L.M.; Girkin, C.A.; Liebmann, J.M.; Weinreb, R.N.; Medeiros, F.A. The relationship between visual field index and estimated number of retinal ganglion cells in glaucoma. Investig. Ophthalmol. Vis. Sci. 2013, 54, 3205–3214. [Google Scholar] [CrossRef] [PubMed]
- Lever, M.; Halfwassen, C.; Unterlauft, J.D.; Bechrakis, N.E.; Manthey, A.; Böhm, M.R.R. The Paediatric Glaucoma Diagnostic Ability of Optical Coherence Tomography: A Comparison of Macular Segmentation and Peripapillary Retinal Nerve Fibre Layer Thickness. Biology 2021, 10, 260. [Google Scholar] [CrossRef] [PubMed]
- Rothman, A.L.; Sevilla, M.B.; Freedman, S.F.; Tong, A.Y.; Tai, V.; Tran-Viet, D.; Farsiu, S.; Toth, C.A.; El-Dairi, M.A. Assessment of retinal nerve fiber layer thickness in healthy, full-term neonates. Am. J. Ophthalmol. 2015, 159, 803–811. [Google Scholar] [CrossRef] [PubMed]
- Schuman, J.S. Spectral domain optical coherence tomography for glaucoma (an AOS thesis). Trans. Am. Ophthalmol. Soc. 2008, 106, 426–458. [Google Scholar] [PubMed]
- Avery, R.A.; Rajjoub, R.D.; Trimboli-Heidler, C.; Waldman, A.T. Applications of optical coherence tomography in pediatric clinical neuroscience. Neuropediatrics 2015, 46, 88–97. [Google Scholar] [PubMed]
- Maccora, K.A.; Sheth, S.; Ruddle, J.B. Optical coherence tomography in paediatric clinical practice. Clin. Exp. Optom. 2019, 102, 300–308. [Google Scholar] [CrossRef]
- Lee, H.; Proudlock, F.A.; Gottlob, I. Pediatric optical coherence tomography in clinical practice—Recent progress. Investig. Opthalmology Vis. Sci. 2016, 57, 69–79. [Google Scholar] [CrossRef]
- Drexler, W.; Fujimoto, J.G. State-of-the-art retinal optical coherence tomography. Prog. Retin. Eye Res. 2008, 27, 45–88. [Google Scholar] [CrossRef]
- Arvanitaki, V.; Tsilimbaris, M.K.; Pallikaris, A.; Moschandreas, I.; Minos, E.; Pallikaris, I.G.; Detorakis, E.T. Macular retinal and nerve fiber layer thickness in early glaucoma: Clinical correlations. Middle East Afr. J. Ophthalmol. 2012, 19, 204–210. [Google Scholar]
- Medeiros, F.A.; Zangwill, L.M.; Bowd, C.; Vessani, R.M.; Susanna, R., Jr.; Weinreb, R.N. Evaluation of retinal nerve fiber layer, optic nerve head, and macular thickness measurements for glaucoma detection using coherence tomography. Am. J. Ophtalmol. 2005, 139, 44–55. [Google Scholar] [CrossRef] [PubMed]
- Cho, J.W.; Sung, K.R.; Hong, J.T.; Um, T.W.; Kang, S.Y.; Kook, M.S. Detection of Glaucoma by Spectral Domain-scanning Laser Ophthalmoscopy/Optical Coherence Tomography (SD-SLO/OCT) and Time Domain Optical Coherence Tomography. J. Glaucoma 2011, 20, 15–20. [Google Scholar] [CrossRef]
- Qian, J.; Wang, W.; Zhang, X.; Wang, F.; Jiang, Y.; Wang, W.; Xu, S.; Wu, Y.; Su, Y.; Xu, X.; et al. Optical coherence tomography measurements of retinal nerve fiber layer thickness in chinese children and teenagers. J. Glaucoma 2011, 20, 509–513. [Google Scholar] [CrossRef] [PubMed]
- Mrugacz, M.; Bakunowicz-Lazarczyk, A. Optical coherence tomography measurement of the retinal nerve fiber layer in normal and juvenile glaucomatous eyes. Ophthalmologica 2005, 219, 80–85. [Google Scholar] [CrossRef] [PubMed]
- Seibold, L.K.; Mandava, N.; Kahook, M.Y. Comparison of retinal nerve fiber layer thickness in normal eyes using time-domain and spectral-domain optical coherence tomography. Am. J. Ophthalmol. 2010, 150, 807–814. [Google Scholar] [CrossRef]
- Pinilla, I.; Garcia-Martin, E.; Idoipe, M.; Sancho, E.; Fuertes, I. Comparison of retinal nerve fiber layer thickness measurements in healthy subjects using fourier and time domain optical coherence tomography. J. Ophthalmol. 2012, 2012, 107053. [Google Scholar] [CrossRef]
- Elía, N.; Pueyo, V.; Altemir, I.; Oros, D.; Pablo, L.E. Normal reference ranges of optical coherence tomography parameters in child-hood. Br. J. Ophthalmol. 2012, 96, 665–670. [Google Scholar] [CrossRef]
- Queirós, T.; Freitas, C.; Guimarães, S. Valores de Referência da Tomografia de Coerência Optica na Idade Pediátrica [Normative Database of Optical Coherence Tomography Parameters in Childhood]. Acta Med. Port. 2015, 28, 148–157. [Google Scholar] [CrossRef]
- El-Dairi, M.A.; Holgado, S.; O’Donnell, T.; Buckley, E.G.; Asrani, S.; Freedman, S.F. Optical coherence tomography as a tool for monitoring pediatric pseudotumor cerebri. J. Am. Assoc. Pediatr. Ophthalmol. Strabismus 2007, 11, 564–570. [Google Scholar] [CrossRef]
- Chung, H.K.; Han, Y.K.; Oh, S.; Kim, S.H. Comparison of Optical Coherence Tomography Measurement Reproducibility between Children and Adults. PLoS ONE 2016, 11, e0147448. [Google Scholar] [CrossRef]
- Salchow, D.J.; Oleynikov, Y.S.; Chiang, M.F.; Kennedy-Salchow, S.E.; Langton, K.; Tsai, J.C.; Al-Aswad, L.A. Retinal nerve fiber layer thickness in normal children measured with optical coherence tomography. Ophthalmology 2006, 113, 786–791. [Google Scholar] [CrossRef] [PubMed]
- Turk, A.; Ceylan, O.M.; Arici, C.; Keskin, S.; Erdurman, C.; Durukan, A.H.; Mutlu, F.M.; Altinsoy, H.I. Evaluation of the nerve fiber layer and macula in the eyes of healthy children using spec-tral-domain optical coherence tomography. Am. J. Ophthalmol. 2012, 153, 552–559. [Google Scholar] [CrossRef] [PubMed]
- Pérez-García, D.; Ibañez-Alperte, J.; Remón, L.; Cristóbal, J.Á.; Sanchez-Cano, A.; Pinilla, I. Study of spectral-domain optical coherence tomography in children: Normal values and influence of age, sex, and refractive status. Eur. J. Ophthalmol. 2016, 26, 135–141. [Google Scholar] [CrossRef] [PubMed]
- Eslami, Y.; Vahedian, Z.; Moghimi, S.; Bazvand, F.; Salari, H.; Shahabinejad, M.; Malekpoor, A.; Fakhraie, G. Peripapillary Retinal Nerve Fiber Layer Thickness in Normal Iranian Children Measured with Optical Coherence Tomography. J. Ophthalmic Vis. Res. 2018, 13, 453–457. [Google Scholar]
- Yanni, S.E.; Wang, J.; Cheng, C.S.; Locke, K.I.; Wen, Y.; Birch, D.; Birch, E.E. Normative reference ranges for the retinal nerve fiber layer, macula, and retinal layer thicknesses in children. Am. J. Ophthalmol. 2013, 155, 354–360. [Google Scholar] [CrossRef] [PubMed]
- Wang, C.Y.; Zheng, Y.F.; Liu, B.; Meng, Z.W.; Hong, F.; Wang, X.X.; Wang, X.J.; Du, L.; Wang, I.Y.; Zhu, D.; et al. Retinal Nerve Fiber Layer Thickness in Children: The Gobi Desert Children Eye Study. Investig. Ophthalmol. Vis. Sci. 2018, 59, 5285–5291. [Google Scholar] [CrossRef]
- Lee, J.W.Y.; Yau, G.S.K.; Woo, T.T.Y.; Yick, D.W.; Tam, V.T.; Lai, J.S. Retinal nerve fiber layer thickness in myopic, emmetropic, and hyperopic children. Medicine 2015, 94, e699. [Google Scholar] [CrossRef]
- Kang, M.-T.; Li, S.-M.; Li, H.; Li, L.; Li, S.-Y.; Zhu, B.-D.; Guo, Y.-Q.; Meng, B.; Sun, Y.-Y.; Ran, A.; et al. Peripapillary retinal nerve fibre layer thickness and its association with refractive error in Chinese children: The Anyang Childhood Eye Study. Clin. Exp. Ophthalmol. 2016, 44, 701–709. [Google Scholar] [CrossRef]
- Alasil, T.; Wang, K.; Keane, P.A.; Lee, H.; Baniasadi, N.; de Boer, J.F.; Chen, T.C. Analysis of normal retinal nerve fiber layer thickness by age, sex, and race using spectral domain optical coherence tomography. J. Glaucoma 2013, 22, 532–541. [Google Scholar] [CrossRef]
- Krumova, S.; Sivkova, N.; Marinov, V.; Koleva-Georgieva, D.; Voynikova, D. Normal reference ranges of optical coherence to-mography parameters in children. Folia Med. 2020, 62, 338–344. [Google Scholar] [CrossRef]
- Silverman, A.L.; Hammel, N.; Khachatryan, N.; Sharpsten, L.; Medeiros, F.A.; Girkin, C.A.; Liebmann, J.M.; Weinreb, R.N.; Zangwill, L.M. Diagnostic Accuracy of the Spectralis and Cirrus Reference Databases in Differentiating between Healthy and Early Glaucoma Eyes. Ophthalmology 2016, 123, 408–414. [Google Scholar] [CrossRef]
- Leung, C.K.; Yu, M.; Weinreb, R.N.; Ye, C.; Liu, S.; Lai, G.; Lam, D.S. Retinal nerve fiber layer imaging with spectral-domain optical co-herence tomography: A prospective analysis of age-related loss. Ophthalmology 2012, 119, 731–737. [Google Scholar] [CrossRef] [PubMed]
- Larsson, E.; Eriksson, U.; Alm, A. Retinal nerve fibre layer thickness in full-term children assessed with Heidelberg retinal to-mography and optical coherence tomography: Normal values and interocular asymmetry. Acta Ophthalmol. 2011, 89, 151–158. [Google Scholar] [CrossRef]
- Rotruck, J.C.; House, R.J.; Freedman, S.F.; Kelly, M.P.; Enyedi, L.B.; Prakalapakorn, S.G.; Lim, M.E.; El-Dairi, M.A. Optical Coherence To-mography Normative Peripapillary Retinal Nerve Fiber Layer and Macular Data in Children 0–5 Years of Age. Am. J. Ophthalmol. 2019, 208, 323–330. [Google Scholar] [CrossRef] [PubMed]
- Pawar, N.; Maheshwari, D.; Ravindran, M.; Ramakrishnan, R. Interocular symmetry of retinal nerve fiber layer and optic nerve head parameters measured by Cirrus high-definition optical coherence tomography in a normal pediatric population. Indian J. Ophthalmol. 2017, 65, 955–962. [Google Scholar] [CrossRef] [PubMed]
- Altemir, I.; Oros, D.; Elía, N.; Polo, V.; Larrosa, J.M.; Pueyo, V. Retinal asymmetry in children measured with optical coherence to-mography. Am. J. Ophthalmol. 2013, 156, 1238–1243. [Google Scholar] [CrossRef]
- Tan, B.B.; Natividad, M.; Chua, K.-C.; Yip, L.W. Comparison of retinal nerve fiber layer measurement between 2 spectral domain OCT instruments. J. Glaucoma 2012, 21, 266–273. [Google Scholar] [CrossRef]
- Barrio-Barrio, J.; Noval, S.; Galdós, M.; Ruiz-Canela, M.; Bonet, E.; Capote, M.; Lopez, M. Multicenter Spanish study of spectral-domain optical coherence tomography in normal children. Acta Ophthalmol. 2013, 91, 56–63. [Google Scholar] [CrossRef]
- Ahn, H.-C.; Son, H.-W.; Kim, J.S.; Lee, J.H. Quantitative analysis of retinal nerve fiber layer thickness of normal children and adolescents. Korean J. Ophthalmol. 2005, 19, 195–200. [Google Scholar] [CrossRef]
- Al-Haddad, C.; Barikian, A.; Jaroudi, M.; Massoud, V.; Tamim, H.; Noureddin, B. Spectral domain optical coherence tomography in children: Normative data and biometric correlations. BMC Ophthalmol. 2014, 14, 53. [Google Scholar] [CrossRef]
- Gürağaç, F.B.; Totan, Y.; Güler, E.; Tenlik, A.; Ertuğrul, I.G. Normative Spectral Domain Optical Coherence Tomography Data in Healthy Turkish Children. Semin. Ophthalmol. 2017, 32, 216–222. [Google Scholar] [CrossRef] [PubMed]
- Huynh, S.C.; Wang, X.Y.; Burlutsky, G.; Rochtchina, E.; Stapleton, F.; Mitchell, P. Retinal and optic disc findings in adolescence: A population-based OCT study. Investig. Ophthalmol. Vis. Sci. 2008, 49, 4328–4335. [Google Scholar] [CrossRef] [PubMed]
- Taş, M.; Öner, V.; Türkcü, F.M.; Alakuş, M.F.; Şimşek, A.; Işcan, Y.; Yazc, A.T. Peripapillary retinal nerve fiber layer thickness in hyperopic children. Optom. Vis. Sci. 2012, 89, 1009–1013. [Google Scholar] [CrossRef] [PubMed]
- Zhu, B.-D.; Li, S.-M.; Li, H.; Liu, L.-R.; Wang, Y.; Yang, Z.; Li, S.-Y.; Kang, M.-T.; Fu, J.; Qi, Y.-H.; et al. Retinal nerve fiber layer thickness in a population of 12-year-old children in central China measured by iVue-100 spectral-domain optical coherence tomography: The Anyang Childhood Eye Study. Investig. Opthalmology Vis. Sci. 2013, 54, 8104–8111. [Google Scholar] [CrossRef]
- Huynh, S.C.; Wang, X.Y.; Rochtchina, E.; Crowston, J.G.; Mitchell, P. Distribution of optic disc parameters measured by OCT: Findings from a population-based study of 6-year-old Australian children. Investig. Ophthalmol. Vis. Sci. 2006, 47, 3276–3285. [Google Scholar] [CrossRef]
- Chen, L.; Huang, J.; Zou, H.; Xue, W.; Ma, Y.; He, X.; Lu, L.; Zhu, J. Retinal nerve fiber layer thickness in normal Chinese students aged 6 to 17 years. Investig. Ophthalmol. Vis. Sci. 2013, 54, 7990–7997. [Google Scholar] [CrossRef]
- Goh, J.P.; Koh, V.; Chan, Y.H.; Ngo, C. Macular Ganglion Cell and Retinal Nerve Fiber Layer Thickness in Children with Refractive Errors—An Optical Coherence Tomography Study. J. Glaucoma 2017, 26, 619–625. [Google Scholar] [CrossRef]
- Ali, A.N.; Farag, R.K.; El Wahab, T.A.A.; Ghenem, A.A.; Habebeh, M. Macular and retinal nerve fiber layer analysis by optical coherence tomography in normal children. ARC J. Ophthalmol. 2018, 3, 17–28. [Google Scholar]
- Zhang, X.-J.; Lau, Y.-H.; Wang, Y.-M.; Chan, H.-N.; Chan, P.P.; Kam, K.-W.; Ip, P.; Zhang, W.; Young, A.L.; Tham, C.C.; et al. Thicker Retinal Nerve Fiber Layer with Age among Schoolchildren: The Hong Kong Children Eye Study. Diagnostics 2022, 12, 500. [Google Scholar] [CrossRef]
- Lim, M.E.; Jiramongkolchai, K.; Xu, L.; Freedman, S.F.; Tai, V.; Toth, C.A.; El-Dairi, M.A. Handheld Optical Coherence Tomography Normative Inner Retinal Layer Measurements for Children <5 Years of Age. Am. J. Ophthalmol. 2019, 207, 232–239. [Google Scholar]
- Rao, A.; Sahoo, B.; Kumar, M.; Varshney, G.; Kumar, R. Retinal nerve fiber layer thickness in children <18 years by spectral-domain optical coherence tomography. Semin. Ophthalmol. 2013, 28, 97–102. [Google Scholar] [PubMed]
- Ayala, M.; Ntoula, E. Retinal Fibre Layer Thickness Measurement in Normal Paediatric Population in Sweden Using Optical Coherence Tomography. J. Ophthalmol. 2016, 2016, 4160568. [Google Scholar] [CrossRef] [PubMed]
- Tsai, D.-C.; Huang, N.; Hwu, J.-J.; Jueng, R.-N.; Chou, P. Estimating retinal nerve fiber layer thickness in normal schoolchildren with spectral-domain optical coherence tomography. Jpn. J. Ophthalmol. 2012, 56, 362–370. [Google Scholar] [CrossRef] [PubMed]
- Banc, A.; Ungureanu, M.I. Normative data for optical coherence tomography in children: A systematic review. Eye 2021, 35, 714–738. [Google Scholar] [CrossRef]
- Hong, S.W.; Ahn, Y.J.; Kang, N.Y. Relationship between Age and Retinal Nerve Fiber Layer Thickness in Normal Children. Semin. Ophthalmol. 2017, 32, 655–660. [Google Scholar] [CrossRef]
- Pogrebniak, A.E.; Wehrung, B.; Pogrebniak, K.L.; Shetty, R.K.; Crawford, P. Violation of the ISNT Rule in Nonglaucomatous Pediatric Optic Disc Cupping. Investig. Ophthalmol. Vis. Sci. 2010, 51, 890–895. [Google Scholar] [CrossRef] [PubMed]
- Dave, P.; Jethani, J.; Shah, J. Applicability of the ISNT and IST rules on retinal nerve fiber layer measurement on spectral-domain optical coherence tomography in normal Indian children. Graefe’s Arch. Clin. Exp. Ophthalmol. 2015, 253, 1795–1799. [Google Scholar] [CrossRef]
- Samarawickrama, C.; Wang, X.Y.; Huynh, S.C.; Burlutsky, G.; Stapleton, F.; Mitchell, P. Effects of refraction and axial length on childhood optic disk parameters measured by optical coherence tomography. Am. J. Ophthalmol. 2007, 144, 459–461. [Google Scholar] [CrossRef]
- Jun, J.-H.; Lee, S.-Y. The effects of optic disc factors on retinal nerve fiber layer thickness measurement in children. Korean J. Ophthalmol. 2008, 22, 115–122. [Google Scholar] [CrossRef]
- Grover, S.; Murthy, R.K.; Brar, V.S.; Chalam, K.V. Normative Data for Macular Thickness by High-Definition Spectral-Domain Optical Coherence Tomography (Spectralis). Am. J. Ophthalmol. 2009, 148, 266–271. [Google Scholar] [CrossRef]
- Huynh, S.C.; Wang, X.Y.; Rochtchina, E.; Mitchell, P. Peripapillary Retinal Nerve Fiber Layer Thickness in a Population of 6-Year-Old Children. Ophthalmology 2006, 113, 1583–1592. [Google Scholar] [CrossRef] [PubMed]




| RNFL | p-Value | Observed Power |
|---|---|---|
| Global | <0.001 | >0.999 |
| Superior | <0.001 | 0.999 |
| Inferior | <0.001 | 0.967 |
| Nasal | <0.001 | >0.999 |
| Temporal | 0.096 | 0.383 |
| RNFL, μm | Spectralis | Revo 80 | p-Value | ||||||||
|---|---|---|---|---|---|---|---|---|---|---|---|
| Mean (SD) | Median | Range | 95% CI | Mean (SD) | Median | Range | 95% CI | ||||
| Global | 104.03 (11.42) | 103.50 | 81–159 | 102.12 | 105.94 | 127.05 (15.61) | 127.00 | 96–199 | 124.44 | 129.66 | <0.001 |
| Superior | 132.73 (19.10) | 132.00 | 92–215 | 129.54 | 135.92 | 144.44 (19.25) | 145.00 | 113–239 | 141.23 | 147.66 | <0.001 |
| Inferior | 134.64 (21.77) | 133.50 | 92–226 | 131.00 | 138.28 | 144.86 (23.12) | 145.00 | 66–255 | 140.99 | 148.72 | <0.001 |
| Nasal | 74.20 (16.48) | 74.00 | 42–168 | 71.44 | 76.96 | 96.49 (19.41) | 95.00 | 59–158 | 93.25 | 99.74 | <0.001 |
| Temporal | 74.67 (11.95) | 73.00 | 52–120 | 72.67 | 76.67 | 77.00 (11.40) | 76.00 | 54–108 | 75.09 | 78.91 | 0.071 |
| Right Eye | Left Eye | ||||
|---|---|---|---|---|---|
| RNFL, μm | Mean (SD) | Range | Mean (SD) | Range | p-Value |
| Global | 103.31 (9.28) | 81–137 | 104.74 (13.25) | 82–159 | 0.306 |
| Superior | 130.67 (17.03) | 101–179 | 134.79 (20.88) | 92–215 | 0.011 |
| Inferior | 132.43 (18.25) | 92–196 | 136.86 (24.73) | 96–226 | 0.044 |
| Nasal | 74.39 (13.86) | 42–107 | 74.01 (18.85) | 47–168 | 0.474 |
| Temporal | 75.50 (12.98) | 52–120 | 73.84 (10.85) | 54–107 | 0.306 |
| Right Eye | Left Eye | ||||
|---|---|---|---|---|---|
| RNFL, μm | Mean (SD) | Range | Mean (SD) | Range | p-Value |
| Global | 126.63 (15.19) | 96–170 | 127.47 (16.12) | 99–199 | 1.000 |
| Superior | 143.33 (17.18) | 114–196 | 145.56 (21.19) | 113–239 | 0.051 |
| Inferior | 146.20 (19.97) | 103–210 | 143.51 (25.97) | 66–255 | 0.609 |
| Nasal | 98.43 (20.45) | 59–151 | 94.56 (18.26) | 64–158 | 0.023 |
| Temporal | 75.97 (10.47) | 54–108 | 78.03 (12.24) | 56–105 | 0.313 |
| Spectralis | Revo80 | p-Value | ||||||
|---|---|---|---|---|---|---|---|---|
| RNFL, μm Mean (SD) | Male | Female | p-Value | Male | Female | p-Value | Male | Female |
| N | 68 | 72 | 54 | 86 | ||||
| Global | 103.69 (7.77) | 104.35 (14.08) | 0.562 | 126.15 (14.16) | 127.62 (16.51) | 0.772 | <0.001 | <0.001 |
| Superior | 133.32 (15.93) | 132.17 (21.76) | 0.427 | 142.87 (17.47) | 145.43 (20.33) | 0.489 | 0.002 | <0.001 |
| Inferior | 133.28 (15.96) | 135.93 (26.15) | 0.813 | 142.67 (23.97) | 146.23 (22.60) | 0.998 | 0.015 | <0.001 |
| Nasal | 73.57 (13.35) | 74.79 (19.06) | 0.921 | 94.31 (20.49) | 97.86 (18.70) | 0.250 | <0.001 | <0.001 |
| Temporal | 74.79 (9.54) | 74.56 (13.91) | 0.460 | 77.67 (10.96) | 76.58 (11.71) | 0.254 | 0.125 | 0.196 |
| n | Global RNFL Mean (SD), μm | Superior RNFL Mean (SD), μm | Inferior RNFL Mean (SD), μm | Nasal RNFL Mean (SD), μm | Temporal RNFL Mean (SD), μm | |||||||
|---|---|---|---|---|---|---|---|---|---|---|---|---|
| Age Groups | Spectralis | Revo80 | Spectralis | Revo80 | Spectralis | Revo80 | Spectralis | Revo80 | Spectralis | Revo80 | Spectralis | Revo80 |
| 4–9 | 60 | 72 | 104.53 (9.98) | 128.42 (16.77) | 134.83 (18.78) | 145.94 (21.06) | 134.90 (22.14) | 143.90 (27.34) | 74.03 (13.08) | 96.99 (17.86) | 74.35 (10.26) | 78.53 (11.66) |
| 9–14 | 44 | 48 | 108.23 (13.09) | 126.81 (12.65) | 137.50 (18.47) | 143.96 (16.03) | 140.70 (23.83) | 146.92 (15.49) | 77.48 (21.80) | 97.04 (20.19) | 77.50 (12.65) | 77.00 (10.80) |
| 14–18 | 36 | 20 | 98.06 (8.96) | 122.70 (17.57) | 123.39 (17.56) | 140.20 (19.74) | 126.81 (15.77) | 143.35 (22.50) | 70.47 (13.39) | 93.40 (23.35) | 71.75 (13.18) | 71.50 (10.64) |
Disclaimer/Publisher’s Note: The statements, opinions and data contained in all publications are solely those of the individual author(s) and contributor(s) and not of MDPI and/or the editor(s). MDPI and/or the editor(s) disclaim responsibility for any injury to people or property resulting from any ideas, methods, instructions or products referred to in the content. |
© 2023 by the authors. Licensee MDPI, Basel, Switzerland. This article is an open access article distributed under the terms and conditions of the Creative Commons Attribution (CC BY) license (https://creativecommons.org/licenses/by/4.0/).
Share and Cite
Nemeș-Drăgan, I.-A.; Drăgan, A.-M.; Hapca, M.C.; Oaida, M. Retinal Nerve Fiber Layer Imaging with Two Different Spectral Domain Optical Coherence Tomographs: Normative Data for Romanian Children. Diagnostics 2023, 13, 1377. https://doi.org/10.3390/diagnostics13081377
Nemeș-Drăgan I-A, Drăgan A-M, Hapca MC, Oaida M. Retinal Nerve Fiber Layer Imaging with Two Different Spectral Domain Optical Coherence Tomographs: Normative Data for Romanian Children. Diagnostics. 2023; 13(8):1377. https://doi.org/10.3390/diagnostics13081377
Chicago/Turabian StyleNemeș-Drăgan, Iulia-Andrada, Ana-Maria Drăgan, Mădălina Claudia Hapca, and Mara Oaida. 2023. "Retinal Nerve Fiber Layer Imaging with Two Different Spectral Domain Optical Coherence Tomographs: Normative Data for Romanian Children" Diagnostics 13, no. 8: 1377. https://doi.org/10.3390/diagnostics13081377
APA StyleNemeș-Drăgan, I.-A., Drăgan, A.-M., Hapca, M. C., & Oaida, M. (2023). Retinal Nerve Fiber Layer Imaging with Two Different Spectral Domain Optical Coherence Tomographs: Normative Data for Romanian Children. Diagnostics, 13(8), 1377. https://doi.org/10.3390/diagnostics13081377

