Metastatic Renal Cell Carcinoma to Pancreas: Case Series and Review of the Literature
Abstract
1. Introduction
2. Case Presentations
2.1. Case 1
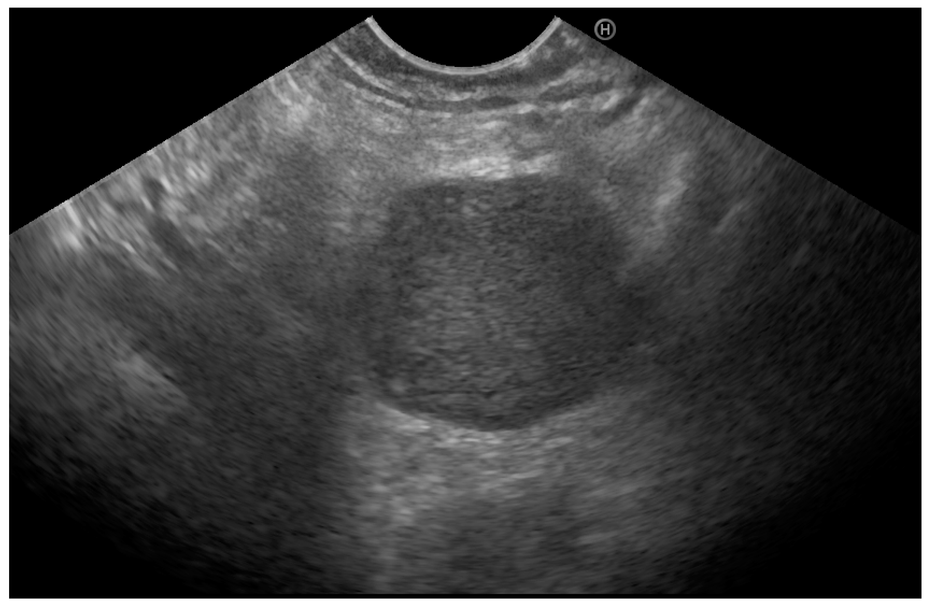
2.2. Case 2
2.3. Case 3
3. Search Strategy
4. Discussion
4.1. Mechanism of Metastasis
4.2. Epidemiology and Clinical Features
4.3. Diagnosis
4.4. Differential Diagnosis
4.5. Treatment and Outcome
5. Conclusions
Supplementary Materials
Author Contributions
Funding
Institutional Review Board Statement
Informed Consent Statement
Data Availability Statement
Conflicts of Interest
References
- Bazzichetto, C.; Luchini, C.; Conciatori, F.; Vaccaro, V.; Di Cello, I.; Mattiolo, P.; Falcone, I.; Ferretti, G.; Scarpa, A.; Cognetti, F.; et al. Morphologic and Molecular Landscape of Pancreatic Cancer Variants as the Basis of New Therapeutic Strategies for Precision Oncology. Int. J. Mol. Sci. 2020, 21, 8841. [Google Scholar] [CrossRef]
- Cheng, S.K.H.; Chuah, K.L. Metastatic Renal Cell Carcinoma to the Pancreas: A Review. Arch. Pathol. Lab. Med. 2016, 140, 598–602. [Google Scholar] [CrossRef] [PubMed]
- Ballarin, R.; Spaggiari, M.; Cautero, N.; De Ruvo, N.; Montalti, R.; Longo, C.; Pecchi, A.; Giacobazzi, P.; De Marco, G.; D’Amico, G.; et al. Pancreatic metastases from renal cell carcinoma: The state of the art. World J. Gastroenterol. 2011, 17, 4747–4756. [Google Scholar] [CrossRef]
- Cortez, N.; Berzosa, M.; Mahfouz, M.; Dvir, K.; Galarza Fortuna, G.M.; Ben-David, K. Diagnosis and Treatment of Metastatic Disease to the Pancreas. J. Laparoendosc. Adv. Surg. Technol. A 2020, 30, 1008–1012. [Google Scholar] [CrossRef] [PubMed]
- Li, J.; Liu, Y.; Deng, T.; Yang, S.; Chen, J.; Wu, W.; He, Y. Pancreatic metastasis of renal clear cell carcinoma: A case report and literature review. Dig. Med. Res. 2019, 2, 40. [Google Scholar] [CrossRef]
- Singla, N.; Xie, Z.; Zhang, Z.; Gao, M.; Yousuf, Q.; Onabolu, O.; McKenzie, T.; Tcheuyap, V.T.; Ma, Y.; Choi, J.; et al. Pancreatic tropism of metastatic renal cell carcinoma. JCI Insight 2020, 5, e134564. [Google Scholar] [CrossRef]
- Cignoli, D.; Fallara, G.; Aleotti, F.; Larcher, A.; Rosiello, G.; Rowe, I.; Basile, G.; Colandrea, G.; Martini, A.; De Cobelli, F.; et al. Pancreatic metastases after surgery for renal cell carcinoma: Survival and pathways of progression. World J. Urol. 2022, 40, 2481–2488. [Google Scholar] [CrossRef]
- Chrom, P.; Stec, R.; Bodnar, L.; Szczylik, C. Prognostic Significance of Pancreatic Metastases from Renal Cell Carcinoma in Patients Treated with Tyrosine Kinase Inhibitors. Anticancer Res. 2018, 38, 359–365. [Google Scholar] [CrossRef]
- Grassi, P.; Verzoni, E.; Mariani, L.; De Braud, F.; Coppa, J.; Mazzaferro, V.; Procopio, G. Prognostic role of pancreatic metastases from renal cell carcinoma: Results from an Italian center. Clin. Genitourin. Cancer 2013, 11, 484–488. [Google Scholar] [CrossRef]
- Sellner, F. Isolated Pancreatic Metastases of Renal Cell Carcinoma-A Paradigm of a Seed and Soil Mechanism: A Literature Analysis of 1034 Observations. Front. Oncol. 2020, 10, 709. [Google Scholar] [CrossRef]
- Sellner, F. Isolated pancreatic metastases from renal cell carcinoma: An outcome of a special metastatic pathway or of specific tumor cell selection? Clin. Exp. Metastasis 2018, 35, 91–102. [Google Scholar] [CrossRef] [PubMed]
- Sellner, F.; Thalhammer, S.; Klimpfinger, M. Tumour Evolution and Seed and Soil Mechanism in Pancreatic Metastases of Renal Cell Carcinoma. Cancers 2021, 13, 1342. [Google Scholar] [CrossRef] [PubMed]
- Sellner, F.; Thalhammer, S.; Klimpfinger, M. Isolated Pancreatic Metastases of Renal Cell Cancer: Genetics and Epigenetics of an Unusual Tumour Entity. Cancers 2022, 14, 1539. [Google Scholar] [CrossRef]
- Sellner, F. Observations on Solitary Versus Multiple Isolated Pancreatic Metastases of Renal Cell Carcinoma: Another Indication of a Seed and Soil Mechanism? Cancers 2019, 11, 1379. [Google Scholar] [CrossRef] [PubMed]
- Wente, M.N.; Kleeff, J.; Esposito, I.; Hartel, M.; Müller, M.W.; Fröhlich, B.E.; Büchler, M.W.; Friess, H. Renal cancer cell metastasis into the pancreas: A single-center experience and overview of the literature. Pancreas 2005, 30, 218–222. [Google Scholar] [CrossRef]
- Benhaim, R.; Oussoultzoglou, E.; Saeedi, Y.; Mouracade, P.; Bachellier, P.; Lang, H. Pancreatic metastasis from clear cell renal cell carcinoma: Outcome of an aggressive approach. Urology 2015, 85, 135–140. [Google Scholar] [CrossRef]
- Moletta, L.; Milanetto, A.C.; Vincenzi, V.; Alaggio, R.; Pedrazzoli, S.; Pasquali, C. Pancreatic secondary lesions from renal cell carcinoma. World J. Surg. 2014, 38, 3002–3006. [Google Scholar] [CrossRef]
- Thompson, L.D.; Heffess, C.S. Renal cell carcinoma to the pancreas in surgical pathology material. Cancer 2000, 89, 1076–1088. [Google Scholar] [CrossRef]
- Gilbert, C.M.; Monaco, S.E.; Cooper, S.T.; Khalbuss, W.E. Endoscopic ultrasound-guided fine-needle aspiration of metastases to the pancreas: A study of 25 cases. CytoJournal 2011, 8, 7. [Google Scholar] [CrossRef]
- Abdul-Ghafar, J.; Ud Din, N.; Saadaat, R.; Ahmad, Z. Metastatic renal cell carcinoma to pancreas and gastrointestinal tract: A clinicopathological study of 3 cases and review of literature. BMC Urol. 2021, 21, 84. [Google Scholar] [CrossRef]
- Nakamura, H.; Tanaka, S.; Miyanishi, K.; Kawano, Y.; Osuga, T.; Ishikawa, K.; Yoshida, M.; Ohnuma, H.; Murase, K.; Takada, K.; et al. A case of hypervascular tumors in the liver and pancreas: Synchronous hepatocellular carcinoma and pancreatic metastasis from renal cell carcinoma 36 years after nephrectomy. Clin. Case Rep. 2021, 9, 932–937. [Google Scholar] [CrossRef] [PubMed]
- Matsui, S.; Ono, H.; Asano, D.; Ishikawa, Y.; Ueda, H.; Akahoshi, K.; Ogawa, K.; Kudo, A.; Tanaka, S.; Tanabe, M. Pancreatic metastasis from renal cell carcinoma presenting as gastrointestinal hemorrhage: A case report. J. Surg. Case Rep. 2021, 2021, rjab368. [Google Scholar] [CrossRef]
- Yamawaki, M.; Takano, Y.; Noda, J.; Azami, T.; Kobayashi, T.; Niiya, F.; Maruoka, N.; Yamagami, T.; Nagahama, M. A case of hemobilia caused by pancreatic metastasis of renal cell carcinoma treated with a covered metallic stent. Clin. J. Gastroenterol. 2022, 15, 210–215. [Google Scholar] [CrossRef] [PubMed]
- Gajendra, S.; Sachdev, R.; Mohapatra, I.; Goel, R.; Goel, S. Metastatic Renal Cell Carcinoma: An Unusual Cause of Bleeding Pancreatic Mass. J. Clin. Diagn. Res. JCDR 2015, 9, ED15–ED17. [Google Scholar] [CrossRef]
- Karakatsanis, A.; Vezakis, A.; Fragulidis, G.; Staikou, C.; Carvounis, E.E.; Polydorou, A. Obstructive jaundice due to ampullary metastasis of renal cell carcinoma. World J. Surg. Oncol. 2013, 11, 262. [Google Scholar] [CrossRef] [PubMed]
- Schauer, M.; Vogelsang, H.; Siewert, J.R. Pancreatic resection for metastatic renal cell carcinoma: A single center experience and review of the literature. Anticancer Res. 2008, 28, 361–365. [Google Scholar] [PubMed]
- Jelleli, N.; Loghmari, A.; Belkacem, O.; Tlili, G.; Jellali, B.; Chouaya, S.; Bouassida, K.; Hmida, W.; Jaidane, M.; Hmissa, S. Renal cell carcinoma with atypical metastases sites revealed by diabetes mellitus: A case report. Ann. Med. Surg. 2022, 81, 104480. [Google Scholar] [CrossRef]
- Mellenthin, C.; Balaban, V.D.; Dugic, A.; Cullati, S. Risk Factors for Pancreatic Cancer in Patients with New-Onset Diabetes: A Systematic Review and Meta-Analysis. Cancers 2022, 14, 4684. [Google Scholar] [CrossRef]
- Ghavamian, R.; Klein, K.A.; Stephens, D.H.; Welch, T.J.; LeRoy, A.J.; Richardson, R.L.; Burch, P.A.; Zincke, H. Renal cell carcinoma metastatic to the pancreas: Clinical and radiological features. Mayo Clin. Proc. 2000, 75, 581–585. [Google Scholar] [CrossRef]
- Fahlbusch, T.; Luu, A.M.; Braumann, C.; Lukas, C.; Uhl, W.; Künzli, B.M. Lipomatous pancreas facilitates late onset of renal cell carcinoma metastases. Acta Chir. Belg. 2021, 121, 314–319. [Google Scholar] [CrossRef]
- Dudani, S.; de Velasco, G.; Wells, J.C.; Gan, C.L.; Donskov, F.; Porta, C.; Fraccon, A.; Pasini, F.; Lee, J.L.; Hansen, A.; et al. Evaluation of Clear Cell, Papillary, and Chromophobe Renal Cell Carcinoma Metastasis Sites and Association With Survival. JAMA Netw. Open 2021, 4, e2021869. [Google Scholar] [CrossRef]
- Zhao, B.; Kimura, W.; Futakawa, N.; Muto, T.; Haida, K. Renal cell carcinoma of the spindle cell type with metastasis to the pancreas: A case report. Jpn. J. Clin. Oncol. 1997, 27, 58–61. [Google Scholar] [CrossRef] [PubMed]
- Ayari, Y.; Ben Rhouma, S.; Boussaffa, H.; Chelly, B.; Hamza, K.; Sellami, A.; Jrad, M.; Nouira, Y. Metachronous isolated locally advanced pancreatic metastasis from chromophobe renal cell carcinoma. Int. J. Surg. Case Rep. 2019, 60, 196–199. [Google Scholar] [CrossRef] [PubMed]
- Yano, R.; Yokota, T.; Morita, M.; Amano, M.; Ochi, H.; Azemoto, N.; Mashiba, T.; Joko, K. A Case of Metastasis from Renal Cell Carcinoma to Ectopic Pancreas Diagnosed after Resection. Intern. Med. Tokyo Jpn. 2022, 62, 1011–1015. [Google Scholar] [CrossRef] [PubMed]
- Piskorz, Ł.; Mitura, K.; Olejniczak, W.; Misiak, P.; Jablonski, S. Atypical Locations of Renal Cell Carcinoma Metastases to the Pancreas and Duodenum. Res. Rep. Urol. 2021, 13, 17–24. [Google Scholar] [CrossRef]
- Alves Ribeiro, M.; Petersen da Costa Ferreira, C.; de Lucia Hernani, B.; Szutan, L.A.; Galli Mortati, M.C.; Toledo Bueno Pereira, F.; Kater, F. Uncommon site of metastasis from renal cell carcinoma: Case report. Int. J. Surg. Case Rep. 2019, 56, 45–48. [Google Scholar] [CrossRef]
- Sadhale, A.; Adike, A.; Lam-Himlin, D. Metastatic renal cell carcinoma presenting with melena. Clin. Case Rep. 2018, 6, 961–962. [Google Scholar] [CrossRef]
- Costa Neves, M.; Neofytou, K.; Giakoustidis, A.; Hazell, S.; Wotherspoon, A.; Gore, M.; Mudan, S. Two cases of gallbladder metastasis from renal cell carcinoma and review of literature. World J. Surg. Oncol. 2016, 14, 87. [Google Scholar] [CrossRef]
- Chen, W.-G.; Shan, G.-D.; Zhu, H.-T.; Chen, L.-H.; Xu, G.-Q. Gastric metastasis presenting as submucosa tumors from renal cell carcinoma: A case report. World J. Clin. Cases 2022, 10, 9805–9813. [Google Scholar] [CrossRef]
- Vo, E.; Palacio, C.H.; Omino, R.; Link, R.E.; Sada, Y.; Avo, A. Solitary colon metastasis from renal cell carcinoma nine years after nephrectomy: A case report. Int. J. Surg. Case Rep. 2016, 27, 55–58. [Google Scholar] [CrossRef]
- Bruckschen, F.; Gerharz, C.D.; Sagir, A. Renal cell carcinoma with unusual metachronous metastasis up to 22 years after nephrectomy: Two case reports. J. Med. Case Rep. 2021, 15, 490. [Google Scholar] [CrossRef] [PubMed]
- Akhtar, S.; Usman, A.; Sultan, A.; Khalid, W.; Siddique, K. A Rare Case of Single Gallbladder and Multiple Pancreatic Metastases of Renal Cell Carcinoma. Cureus 2022, 14, e31861. [Google Scholar] [CrossRef] [PubMed]
- Chung, P.H.; Srinivasan, R.; Linehan, W.M.; Pinto, P.A.; Bratslavsky, G. Renal cell carcinoma with metastases to the gallbladder: Four cases from the National Cancer Institute (NCI) and review of the literature. Urol. Oncol. 2012, 30, 476–481. [Google Scholar] [CrossRef] [PubMed]
- Tapasak, B.; Mcguirt, A. Metastatic renal cell carcinoma presenting as chronic bleeding from the stomach: A rare case report. J. Surg. Case Rep. 2022, 2022, rjac045. [Google Scholar] [CrossRef]
- Haidong, W.; Jianwei, W.; Guizhong, L.; Ning, L.; Feng, H.; Libo, M. Ampullary tumor caused by metastatic renal cell carcinoma and literature review. Urol. J. 2014, 11, 1504–1507. [Google Scholar]
- Ignatavicius, P.; Lizdenis, P.; Pranys, D.; Gulbinas, A.; Pundzius, J.; Barauskas, G. Long-term Survival of Patient with Ampulla of Vater Metastasis of Renal Cell Carcinoma. Prague Med. Rep. 2018, 119, 165–169. [Google Scholar] [CrossRef]
- Cheong, D.; Rho, S.Y.; Kim, J.H.; Kang, C.M.; Lee, W.J. Laparoscopic pancreaticoduodenectomy for renal cell carcinoma metastasized to ampulla of Vater: A case report and literature review. Ann. Hepato-Biliary-Pancreat. Surg. 2018, 22, 83–89. [Google Scholar] [CrossRef]
- Zygulska, A.L.; Wójcik, A.; Richter, P.; Krzesiwo, K. Renal carcinoma metachronous metastases to the gall-bladder and pancreas--case report. Pol. Przegl. Chir. 2012, 84, 313–316. [Google Scholar] [CrossRef] [PubMed]
- Lu, R.; Ying, Y.; Zhu, Z.; Wan, H.; Li, G.; Shu, X.; Liao, W. A case report of the pancreatic and periampullary metastases of renal cell carcinoma, 17 years after surgery. Transl. Cancer Res. 2021, 10, 4560–4564. [Google Scholar] [CrossRef] [PubMed]
- Jideh, B.; Chen, H.; Weltman, M.; Chan, C.H.Y. Metastatic periampullary clear cell renal carcinoma. Gastrointest. Endosc. 2016, 83, 1040–1042; discussion 1042. [Google Scholar] [CrossRef]
- Hashimoto, M.; Miura, Y.; Matsuda, M.; Watanabe, G. Concomitant duodenal and pancreatic metastases from renal cell carcinoma: Report of a case. Surg. Today 2001, 31, 180–183. [Google Scholar] [CrossRef] [PubMed]
- Ricci, V.; Carbone, S.F.; Testi, W.; Malatesti, R.; Lo Gatto, M.; Dell’Avanzato, R.; Ginanneschi, C.; Volterrani, L. Single gallbladder and multiple pancreatic metastases from renal cell carcinoma sixteen years after nephrectomy. Chir. Ital. 2008, 60, 311–314. [Google Scholar]
- Momose, H.; Suzuki, Y.; Shibahara, J.; Sakamoto, Y. Metastatic renal cell carcinoma to the pancreas with tumor thrombus in the main pancreatic duct. Jpn. J. Clin. Oncol. 2021, 51, 662–663. [Google Scholar] [CrossRef] [PubMed]
- Palmowski, M.; Hacke, N.; Satzl, S.; Klauss, M.; Wente, M.N.; Neukamm, M.; Kleeff, J.; Hallscheidt, P. Metastasis to the pancreas: Characterization by morphology and contrast enhancement features on CT and MRI. Pancreatol. Off. J. Int. Assoc. Pancreatol. IAP Al 2008, 8, 199–203. [Google Scholar] [CrossRef] [PubMed]
- Majhail, N.S.; Urbain, J.-L.; Albani, J.M.; Kanvinde, M.H.; Rice, T.W.; Novick, A.C.; Mekhail, T.M.; Olencki, T.E.; Elson, P.; Bukowski, R.M. F-18 fluorodeoxyglucose positron emission tomography in the evaluation of distant metastases from renal cell carcinoma. J. Clin. Oncol. Off. J. Am. Soc. Clin. Oncol. 2003, 21, 3995–4000. [Google Scholar] [CrossRef] [PubMed]
- Elahmadawy, M.A.; Elazab, M.S.S.; Ahmed, S.; Salama, M. Diagnostic value of F-18 FDG PET/CT for local and distant disease relapse surveillance in surgically treated RCC patients: Can it aid in establishing consensus follow up strategy? Nucl. Med. Rev. Cent. East. Eur. 2018, 21, 85–91. [Google Scholar] [CrossRef]
- Okasha, H.H.; Al-Gemeie, E.H.; Mahdy, R.E. Solitary pancreatic metastasis from renal cell carcinoma 6 years after nephrectomy. Endosc. Ultrasound 2013, 2, 222–224. [Google Scholar] [CrossRef]
- Seicean, A.; Mosteanu, O.; Seicean, R. Maximizing the endosonography: The role of contrast harmonics, elastography and confocal endomicroscopy. World J. Gastroenterol. 2017, 23, 25–41. [Google Scholar] [CrossRef]
- Iglesias-Garcia, J.; Lindkvist, B.; Lariño-Noia, J.; Abdulkader-Nallib, I.; Dominguez-Muñoz, J.E. Differential diagnosis of solid pancreatic masses: Contrast-enhanced harmonic (CEH-EUS), quantitative-elastography (QE-EUS), or both? United Eur. Gastroenterol. J. 2017, 5, 236–246. [Google Scholar] [CrossRef]
- Ignee, A.; Jenssen, C.; Arcidiacono, P.G.; Hocke, M.; Möller, K.; Saftoiu, A.; Will, U.; Fusaroli, P.; Iglesias-Garcia, J.; Ponnudurai, R.; et al. Endoscopic ultrasound elastography of small solid pancreatic lesions: A multicenter study. Endoscopy 2018, 50, 1071–1079. [Google Scholar] [CrossRef]
- Eloubeidi, M.A.; Jhala, D.; Chhieng, D.C.; Jhala, N.; Eltoum, I.; Wilcox, C.M. Multiple late asymptomatic pancreatic metastases from renal cell carcinoma: Diagnosis by endoscopic ultrasound-guided fine needle aspiration biopsy with immunocytochemical correlation. Dig. Dis. Sci. 2002, 47, 1839–1842. [Google Scholar] [CrossRef]
- Kawakami, H.; Kuwatani, M.; Yamato, H.; Shinada, K.; Hirano, S.; Kondo, S.; Yonemori, A.; Matsuno, Y.; Asaka, M. Pancreatic metastasis from renal cell carcinoma with intraportal tumor thrombus. Intern. Med. Tokyo Jpn. 2008, 47, 1967–1970. [Google Scholar] [CrossRef] [PubMed]
- Pannala, R.; Hallberg-Wallace, K.M.; Smith, A.L.; Nassar, A.; Zhang, J.; Zarka, M.; Reynolds, J.P.; Chen, L. Endoscopic ultrasound-guided fine needle aspiration cytology of metastatic renal cell carcinoma to the pancreas: A multi-center experience. CytoJournal 2016, 13, 24. [Google Scholar] [CrossRef] [PubMed]
- Rupert, K.; Kural, T.; Skalický, T.; Zeithaml, J.; Hess, O.; Třeška, V. Clear cell renal carcinoma metastases to the pancreas. Rozhl. V Chir. 2020, 99, 311–315. [Google Scholar] [CrossRef]
- Krishna, S.G.; Bhattacharya, A.; Ross, W.A.; Ladha, H.; Porter, K.; Bhutani, M.S.; Lee, J.H. Pretest prediction and diagnosis of metastatic lesions to the pancreas by endoscopic ultrasound-guided fine needle aspiration. J. Gastroenterol. Hepatol. 2015, 30, 1552–1560. [Google Scholar] [CrossRef]
- Béchade, D.; Palazzo, L.; Fabre, M.; Algayres, J.-P. EUS-guided FNA of pancreatic metastasis from renal cell carcinoma. Gastrointest. Endosc. 2003, 58, 784–788. [Google Scholar] [CrossRef]
- Liang, X.-K.; Li, L.-J.; He, Y.-M.; Xu, Z.-F. Misdiagnosis of pancreatic metastasis from renal cell carcinoma: A case report. World J. Clin. Cases 2022, 10, 9012–9019. [Google Scholar] [CrossRef]
- De Luca, L.; Tommasoni, S.; Mangiavillano, B.; Repici, A. Metastatic renal cell carcinoma of the pancreas mimicking neuroendocrine tumor diagnosed by endoscopic ultrasound-guided needle biopsy. Clin. Case Rep. 2021, 9, e04813. [Google Scholar] [CrossRef] [PubMed]
- Bhutani, M.S.; Singh, B.S.; Cazacu, I.M.; Saftoiu, A. Differentiating intrapancreatic accessory spleen from a pancreatic neuroendocrine tumor or metastasis by the “bridge sign”. Endosc. Ultrasound 2019, 8, 281–282. [Google Scholar] [CrossRef]
- Kanthan, G.L.; Schembri, G.P.; Samra, J.; Roach, P.; Hsiao, E. Metastatic Renal Cell Carcinoma in the Thyroid Gland and Pancreas Showing Uptake on 68Ga DOTATATE PET/CT Scan. Clin. Nucl. Med. 2016, 41, 583–584. [Google Scholar] [CrossRef]
- Kang, T.W.; Kim, S.H.; Lee, J.; Kim, A.Y.; Jang, K.M.; Choi, D.; Kim, M.J. Differentiation between pancreatic metastases from renal cell carcinoma and hypervascular neuroendocrine tumour: Use of relative percentage washout value and its clinical implication. Eur. J. Radiol. 2015, 84, 2089–2096. [Google Scholar] [CrossRef] [PubMed]
- Minezaki, S.; Misawa, T.; Tsukayama, H.; Shibuya, M.; Wada, K.; Sano, K.; Mochizuki, M.; Sasajima, Y.; Kondo, H. Tumor-to-tumor metastasis: An extremely rare combination with renal cell carcinoma as the donor and a pancreatic neuroendocrine tumor as the recipient. Surg. Case Rep. 2022, 8, 8. [Google Scholar] [CrossRef] [PubMed]
- Bednarek-Rajewska, K.; Zalewski, P.; Bręborowicz, D.; Woźniak, A. Renal cell carcinoma metastasizing to pancreatic neuroendocrine neoplasm—The second case described in the world literature. Pol. J. Pathol. Off. J. Pol. Soc. Pathol. 2017, 68, 82–85. [Google Scholar] [CrossRef]
- Shah, L.; Tiesi, G.; Bamboat, Z.; McCain, D.; Siegel, A.; Mannion, C. Tumor-to-tumor metastasis: Report of two cases of renal cell carcinoma metastasizing to microcystic serous cystadenoma of the pancreas. Int. J. Surg. Pathol. 2015, 23, 48–51. [Google Scholar] [CrossRef]
- Haeberle, L.; Busch, M.; Kirchner, J.; Fluegen, G.; Antoch, G.; Knoefel, W.T.; Esposito, I. Pancreatic ductal adenocarcinoma concomitant with pancreatic metastases of clear-cell renal cell carcinoma: A case report. J. Med. Case Rep. 2021, 15, 314. [Google Scholar] [CrossRef] [PubMed]
- Mahfoud, T.; Tanz, R.; Khmamouche, M.R.; Allaoui, M.; Belbaraka, R.; Khouchani, M.; Ichou, M. Synchronous Primary Renal Cell Carcinoma and Pancreatic Ductal Adenocarcinoma: Case Report and Literature Review. Case Rep. Oncol. 2017, 10, 1050–1056. [Google Scholar] [CrossRef]
- Gnemmi, V.; Leroy, X.; Triboulet, J.-P.; Pruvot, F.-R.; Villers, A.; Leteurtre, E.; Buob, D. Pancreatic metastases of renal clear cell carcinoma: A clinicopathological study of 11 cases with special emphasis on the usefulness of PAX2 and mesothelin for the distinction from primary ductal adenocarcinoma of the pancreas. Anal. Quant. Cytopathol. Histopathol. 2013, 35, 157–162. [Google Scholar]
- Sharma, S.G.; Gokden, M.; McKenney, J.K.; Phan, D.C.; Cox, R.M.; Kelly, T.; Gokden, N. The utility of PAX-2 and renal cell carcinoma marker immunohistochemistry in distinguishing papillary renal cell carcinoma from nonrenal cell neoplasms with papillary features. Appl. Immunohistochem. Mol. Morphol. 2010, 18, 494–498. [Google Scholar] [CrossRef]
- Kang, Y.-N. Primary Clear Cell Carcinoma of the Pancreas: A Rare Case Report. Diagnostics 2022, 12, 2046. [Google Scholar] [CrossRef]
- Yamada, Y.; Sakai, A.; Abe, S.; Gonda, M.; Kobayashi, T.; Masuda, A.; Shiomi, H.; Shirakawa, S.; Toyama, H.; Hyodo, T.; et al. Pancreatic metastasis of renal cell carcinoma filling into the duct of Santorini. Clin. J. Gastroenterol. 2021, 14, 905–909. [Google Scholar] [CrossRef]
- Shin, T.J.; Song, C.; Jeong, C.W.; Kwak, C.; Seo, S.; Kang, M.; Chung, J.; Hong, S.-H.; Hwang, E.C.; Park, J.Y.; et al. Metastatic renal cell carcinoma to the pancreas: Clinical features and treatment outcome. J. Surg. Oncol. 2021, 123, 204–213. [Google Scholar] [CrossRef]
- Chin, W.; Cao, L.; Liu, X.; Ye, Y.; Liu, Y.; Yu, J.; Zheng, S. Metastatic renal cell carcinoma to the pancreas and subcutaneous tissue 10 years after radical nephrectomy: A case report. J. Med. Case Rep. 2020, 14, 36. [Google Scholar] [CrossRef] [PubMed]
- Wu, C.; Zhou, Z.; Ye, X.; Hu, W. Synchronous renal cell carcinoma metastasis to the contralateral adrenal gland and pancreas: A case report with 7-year follow-up subsequent to surgical therapy. Oncol. Lett. 2016, 11, 4144–4146. [Google Scholar] [CrossRef] [PubMed]
- Al Abdrabalnabi, A.A.; AlQattan, A.S.; Algarni, S.; Mashhour, M.; Al-Qahtani, M. Metastatic renal cell carcinoma to the pancreas, thyroid, & subcutaneous tissue 13 years after Radical nephrectomy: A case report. Int. J. Surg. Case Rep. 2019, 60, 183–185. [Google Scholar] [CrossRef] [PubMed]
- Sperti, C.; Moletta, L.; Patanè, G. Metastatic tumors to the pancreas: The role of surgery. World J. Gastrointest. Oncol. 2014, 6, 381–392. [Google Scholar] [CrossRef] [PubMed]
- Cardoso, D.; Rosales, A.; Thiel, D.D.; Asbun, H.; Stauffer, J.A. Pancreatic metastasectomy of renal cell carcinoma: A single institution experience. Can. J. Urol. 2022, 29, 11020–11023. [Google Scholar]
- Blanco-Fernández, G.; Fondevila-Campo, C.; Sanjuanbenito, A.; Fabregat-Prous, J.; Secanella-Medayo, L.; Rotellar-Sastre, F.; Pardo-Sánchez, F.; Prieto-Calvo, M.; Marín-Ortega, H.; Sánchez-Cabús, S.; et al. Pancreatic metastases from renal cell carcinoma. Postoperative outcome after surgical treatment in a Spanish multicenter study (PANMEKID). Eur. J. Surg. Oncol. J. Eur. Soc. Surg. Oncol. Br. Assoc. Surg. Oncol. 2022, 48, 133–141. [Google Scholar] [CrossRef]
- Malleo, G.; Salvia, R.; Maggino, L.; Marchegiani, G.; D’Angelica, M.; DeMatteo, R.; Kingham, P.; Pulvirenti, A.; Sereni, E.; Jarnagin, W.R.; et al. Long-term Outcomes After Surgical Resection of Pancreatic Metastases from Renal Clear-Cell Carcinoma. Ann. Surg. Oncol. 2021, 28, 3100–3108. [Google Scholar] [CrossRef]
- Glinka, J.; Sanchez Claria, R.; Ardiles, V.; de Santibañes, E.; Pekolj, J.; de Santibañes, M.; Mazza, O. The pancreas as a target of metastasis from renal cell carcinoma: Results of surgical treatment in a single institution. Ann. Hepato-Biliary-Pancreat. Surg. 2019, 23, 240–244. [Google Scholar] [CrossRef]
- Faure, J.P.; Tuech, J.J.; Richer, J.P.; Pessaux, P.; Arnaud, J.P.; Carretier, M. Pancreatic metastasis of renal cell carcinoma: Presentation, treatment and survival. J. Urol. 2001, 165, 20–22. [Google Scholar] [CrossRef]
- Yazbek, T.; Gayet, B. The place of enucleation and enucleo-resection in the treatment of pancreatic metastasis of renal cell carcinoma. JOP J. Pancreas 2012, 13, 433–438. [Google Scholar] [CrossRef]
- Niess, H.; Conrad, C.; Kleespies, A.; Haas, F.; Bao, Q.; Jauch, K.-W.; Graeb, C.; Bruns, C.J. Surgery for metastasis to the pancreas: Is it safe and effective? J. Surg. Oncol. 2013, 107, 859–864. [Google Scholar] [CrossRef] [PubMed]
- Sohn, T.A.; Yeo, C.J.; Cameron, J.L.; Nakeeb, A.; Lillemoe, K.D. Renal cell carcinoma metastatic to the pancreas: Results of surgical management. J. Gastrointest. Surg. Off. J. Soc. Surg. Aliment. Tract 2001, 5, 346–351. [Google Scholar] [CrossRef] [PubMed]
- Fikatas, P.; Klein, F.; Andreou, A.; Schmuck, R.B.; Pratschke, J.; Bahra, M. Long-term Survival After Surgical Treatment of Renal Cell Carcinoma Metastasis Within the Pancreas. Anticancer Res. 2016, 36, 4273–4278. [Google Scholar]
- Tosoian, J.J.; Cameron, J.L.; Allaf, M.E.; Hruban, R.H.; Nahime, C.B.; Pawlik, T.M.; Pierorazio, P.M.; Reddy, S.; Wolfgang, C.L. Resection of isolated renal cell carcinoma metastases of the pancreas: Outcomes from the Johns Hopkins Hospital. J. Gastrointest. Surg. Off. J. Soc. Surg. Aliment. Tract 2014, 18, 542–548. [Google Scholar] [CrossRef]
- Yamaguchi, H.; Kimura, Y.; Nagayama, M.; Imamura, M.; Tanaka, S.; Yoshida, M.; Yoshida, E.; Fujino, H.; Machiki, T.; Miyanishi, K.; et al. Central pancreatectomy in portal annular pancreas for metastatic renal cell carcinoma: A case report. World J. Surg. Oncol. 2019, 17, 76. [Google Scholar] [CrossRef]
- Volk, A.; Kersting, S.; Konopke, R.; Dobrowolski, F.; Franzen, S.; Ockert, D.; Grutzmann, R.; Saeger, H.D.; Bergert, H. Surgical therapy of intrapancreatic metastasis from renal cell carcinoma. Pancreatol. Off. J. Int. Assoc. Pancreatol. IAP Al 2009, 9, 392–397. [Google Scholar] [CrossRef]
- Zerbi, A.; Ortolano, E.; Balzano, G.; Borri, A.; Beneduce, A.A.; Di Carlo, V. Pancreatic metastasis from renal cell carcinoma: Which patients benefit from surgical resection? Ann. Surg. Oncol. 2008, 15, 1161–1168. [Google Scholar] [CrossRef]
- Macrì, A.; Fleres, F.; Putortì, A.; Lentini, M.; Ascenti, G.; Mastrojeni, C. Relapsed metachronous pancreatic metastasis from renal cell carcinoma (RCC): Report of a case and review of literature. Ann. Ital. Chir. 2014, 85, S2239253X1402283X. [Google Scholar]
- Sperti, C.; Pozza, G.; Brazzale, A.R.; Buratin, A.; Moletta, L.; Beltrame, V.; Valmasoni, M. Metastatic tumors to the pancreas: A systematic review and meta-analysis. Minerva Chir. 2016, 71, 337–344. [Google Scholar]
- Madkhali, A.A.; Shin, S.-H.; Song, K.B.; Lee, J.H.; Hwang, D.W.; Park, K.M.; Lee, Y.J.; Kim, S.C. Pancreatectomy for a secondary metastasis to the pancreas: A single-institution experience. Medicine 2018, 97, e12653. [Google Scholar] [CrossRef] [PubMed]
- Santoni, M.; Conti, A.; Partelli, S.; Porta, C.; Sternberg, C.N.; Procopio, G.; Bracarda, S.; Basso, U.; De Giorgi, U.; Derosa, L.; et al. Surgical resection does not improve survival in patients with renal metastases to the pancreas in the era of tyrosine kinase inhibitors. Ann. Surg. Oncol. 2015, 22, 2094–2100. [Google Scholar] [CrossRef] [PubMed]
- Zhang, Z.Y.; Li, X.Y.; Bai, C.M.; Zhou, Y.; Wu, X.; Yang, A.M.; Hua, S.R. The clinicopathologic features and prognostic analysis of pancreatic metastasis from clear cell renal cell carcinoma. Zhonghua Zhong Liu Za Zhi 2020, 42, 44–49. [Google Scholar] [CrossRef] [PubMed]
- Chatzizacharias, N.A.; Rosich-Medina, A.; Dajani, K.; Harper, S.; Huguet, E.; Liau, S.S.; Praseedom, R.K.; Jah, A. Surgical management of hepato-pancreatic metastasis from renal cell carcinoma. World J. Gastrointest. Oncol. 2017, 9, 70–77. [Google Scholar] [CrossRef]
- Itamoto, S.; Abe, T.; Oshita, A.; Hanada, K.; Nakahara, M.; Noriyuki, T. Repeat pancreatic resection for metachronous pancreatic metastasis from renal cell carcinoma: A case report. Int. J. Surg. Case Rep. 2022, 94, 107022. [Google Scholar] [CrossRef]
- Hata, T.; Sakata, N.; Aoki, T.; Yoshida, H.; Kanno, A.; Fujishima, F.; Motoi, F.; Masamune, A.; Shimosegawa, T.; Unno, M. Repeated pancreatectomy for metachronous duodenal and pancreatic metastases of renal cell carcinoma. Case Rep. Gastroenterol. 2013, 7, 442–448. [Google Scholar] [CrossRef]
- Carrafiello, G.; Laganà, D.; Recaldini, C.; Dionigi, G.; Boni, L.; Bacuzzi, A.; Fugazzola, C. Radiofrequency ablation of a pancreatic metastasis from renal cell carcinoma: Case report. Surg. Laparosc. Endosc. Percutan. Tech. 2008, 18, 64–66. [Google Scholar] [CrossRef]
- Karaisz, F.G.; Elkelany, O.O.; Davies, B.; Lozanski, G.; Krishna, S.G. A Review on Endoscopic Ultrasound-Guided Radiofrequency Ablation (EUS-RFA) of Pancreatic Lesions. Diagnostics 2023, 13, 536. [Google Scholar] [CrossRef]
- Barthet, M.; Giovannini, M.; Gasmi, M.; Lesavre, N.; Boustière, C.; Napoleon, B.; LaQuiere, A.; Koch, S.; Vanbiervliet, G.; Gonzalez, J.-M. Long-term outcome after EUS-guided radiofrequency ablation: Prospective results in pancreatic neuroendocrine tumors and pancreatic cystic neoplasms. Endosc. Int. Open 2021, 9, E1178–E1185. [Google Scholar] [CrossRef]
- Dhaliwal, A.; Kolli, S.; Dhindsa, B.S.; Choa, J.; Mashiana, H.S.; Ramai, D.; Chandan, S.; Bhogal, N.; Sayles, H.; Bhat, I.; et al. Efficacy of EUS-RFA in pancreatic tumors: Is it ready for prime time? A systematic review and meta-analysis. Endosc. Int. Open 2020, 8, E1243–E1251. [Google Scholar] [CrossRef]
- Crinò, S.F.; D’Onofrio, M.; Bernardoni, L.; Frulloni, L.; Iannelli, M.; Malleo, G.; Paiella, S.; Larghi, A.; Gabbrielli, A. EUS-guided Radiofrequency Ablation (EUS-RFA) of Solid Pancreatic Neoplasm Using an 18-gauge Needle Electrode: Feasibility, Safety, and Technical Success. J. Gastrointest. Liver Dis. 2018, 27, 67–72. [Google Scholar] [CrossRef] [PubMed]
- Chanez, B.; Caillol, F.; Ratone, J.-P.; Pesenti, C.; Rochigneux, P.; Pignot, G.; Thomassin, J.; Brunelle, S.; Walz, J.; Salem, N.; et al. Endoscopic Ultrasound-Guided Radiofrequency Ablation as an Future Alternative to Pancreatectomy for Pancreatic Metastases from Renal Cell Carcinoma: A Prospective Study. Cancers 2021, 13, 5267. [Google Scholar] [CrossRef]
- Cao, H.; Sun, Z.; Wu, J.; Hao, C.; Wang, W. Metastatic Clear Cell Renal Cell Carcinoma to Pancreas and Distant Organs 24 Years After Radical Nephrectomy: A Case Report and Literature Review. Front. Surg. 2022, 9, 894272. [Google Scholar] [CrossRef]
- Medioni, J.; Choueiri, T.K.; Zinzindohoué, F.; Cho, D.; Fournier, L.; Oudard, S. Response of renal cell carcinoma pancreatic metastasis to sunitinib treatment: A retrospective analysis. J. Urol. 2009, 181, 2470–2475; discussion 2475. [Google Scholar] [CrossRef] [PubMed]
- Nogueira, M.; Dias, S.C.; Silva, A.C.; Pinto, J.; Machado, J. Solitary pancreatic renal cell carcinoma metastasis. Autopsy Case Rep. 2018, 8, e2018023. [Google Scholar] [CrossRef] [PubMed]
- Jiang, W.; Shi, H.; Zhang, L.; Zhang, J.; Bi, X.; Wang, D.; Wen, L.; Li, C.; Ma, J.; Shou, J. Responses to Targeted Therapy among Organs Affected by Metastasis in Patients with Renal Cell Carcinoma are Organ-Specific. Urol. J. 2020, 18, 512–518. [Google Scholar] [CrossRef]
- Negishi, T.; Furubayashi, N.; Nakagawa, T.; Nishiyama, N.; Kitamura, H.; Hori, Y.; Kuroiwa, K.; Son, Y.; Seki, N.; Tomoda, T.; et al. Site-specific Response to Nivolumab in Renal Cell Carcinoma. Anticancer Res. 2021, 41, 1539–1545. [Google Scholar] [CrossRef]






Disclaimer/Publisher’s Note: The statements, opinions and data contained in all publications are solely those of the individual author(s) and contributor(s) and not of MDPI and/or the editor(s). MDPI and/or the editor(s) disclaim responsibility for any injury to people or property resulting from any ideas, methods, instructions or products referred to in the content. |
© 2023 by the authors. Licensee MDPI, Basel, Switzerland. This article is an open access article distributed under the terms and conditions of the Creative Commons Attribution (CC BY) license (https://creativecommons.org/licenses/by/4.0/).
Share and Cite
Balaban, D.V.; Coman, L.; Marin, F.S.; Balaban, M.; Tabacelia, D.; Vasilescu, F.; Costache, R.S.; Jinga, M. Metastatic Renal Cell Carcinoma to Pancreas: Case Series and Review of the Literature. Diagnostics 2023, 13, 1368. https://doi.org/10.3390/diagnostics13081368
Balaban DV, Coman L, Marin FS, Balaban M, Tabacelia D, Vasilescu F, Costache RS, Jinga M. Metastatic Renal Cell Carcinoma to Pancreas: Case Series and Review of the Literature. Diagnostics. 2023; 13(8):1368. https://doi.org/10.3390/diagnostics13081368
Chicago/Turabian StyleBalaban, Daniel Vasile, Laura Coman, Flavius Stefan Marin, Marina Balaban, Daniela Tabacelia, Florina Vasilescu, Raluca Simona Costache, and Mariana Jinga. 2023. "Metastatic Renal Cell Carcinoma to Pancreas: Case Series and Review of the Literature" Diagnostics 13, no. 8: 1368. https://doi.org/10.3390/diagnostics13081368
APA StyleBalaban, D. V., Coman, L., Marin, F. S., Balaban, M., Tabacelia, D., Vasilescu, F., Costache, R. S., & Jinga, M. (2023). Metastatic Renal Cell Carcinoma to Pancreas: Case Series and Review of the Literature. Diagnostics, 13(8), 1368. https://doi.org/10.3390/diagnostics13081368

