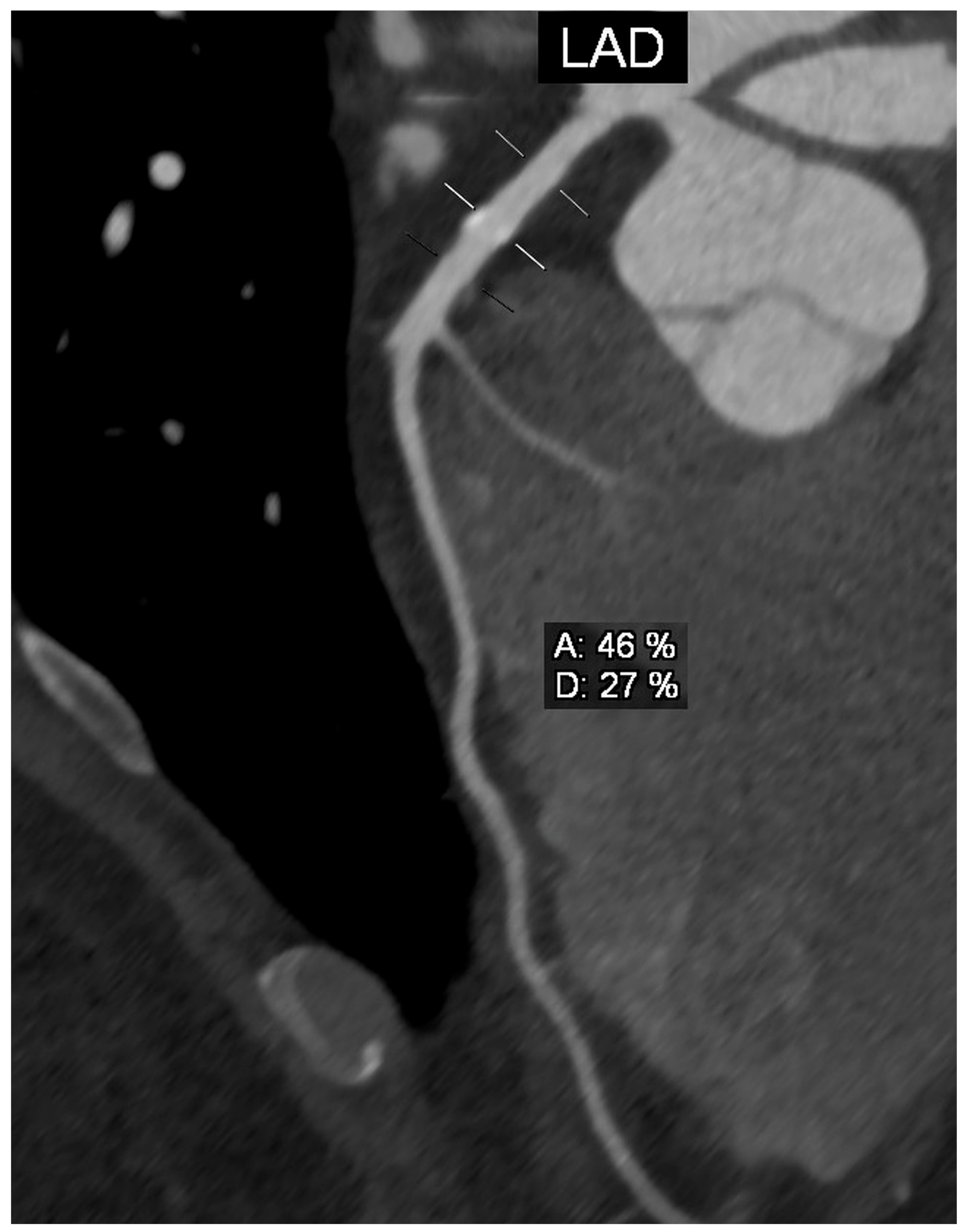
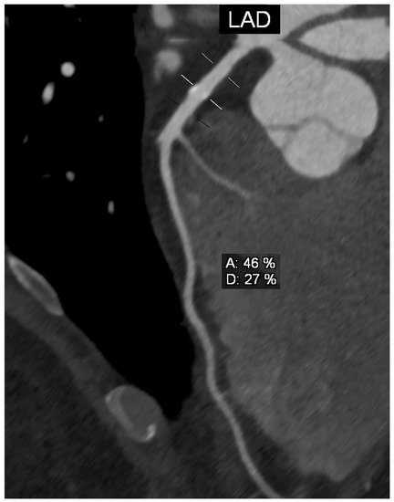
Single Coronary Artery as a Rare Developmental Variant in Cardiac Computed Tomography Angiography
Abstract
:Author Contributions
Funding
Institutional Review Board Statement
Informed Consent Statement
Data Availability Statement
Conflicts of Interest
References
- Shi, H.; Aschoff, A.J.; Brambs, H.J.; Hoffmann, A.H.K. Multislice CT imaging of anomalous coronary arteries. Eur. Radiol. 2004, 14, 2172–2181. [Google Scholar] [CrossRef] [PubMed]
- Patel, S. Normal and Anomalous Anatomy of the Coronary Arteries. Semin. Roentgenol. 2008, 43, 100–112. [Google Scholar] [CrossRef] [PubMed]
- Kurek, T.; Wąs, T.; Pruszkowska-Skrzep, P.; Honisz, G.; Kowalczyk, J.; Kalarus, Z. Zawał serca ściany dolnej u chorej z pojedynczą tętnicą wieńcową-opis przypadku. Kardiol. Pol. 2008, 66, 583–586. [Google Scholar] [PubMed]
- Wacker, F.; Lippert, H.; Pabst, R. (Eds.) Arterial Variations in Humans: Key Reference for Radiologists and Surgeons, 1st ed.; Part 3.3. Only One Coronary Artery Arising from the Aorta; Thieme: Stuttgart, Germany, 2017; Available online: https://medone-radiology.thieme.com/ebooks/1861219?context=search#/ebook_1861219_SL72884034 (accessed on 5 April 2023).
- Anatomy Atlases: Illustrated Encyclopedia of Human Anatomic Variation: Opus II: Cardiovascular System: Arteries: Head, Neck, and Thorax: Coronary Arteries. Available online: https://www.anatomyatlases.org/AnatomicVariants/Cardiovascular/Text/Arteries/Coronary.shtml (accessed on 5 April 2023).
- Lipton, M.J.; Barry, W.H.; Obrez, I.; Silverman, J.F.; Wexler, L. Isolated single coronary artery: Diagnosis, angiographic classification, and clinical significante. Radiology 1979, 130, 39–47. [Google Scholar] [CrossRef] [PubMed]
- Aldana-Sepulveda, N.; Restrepo, C.S.; Kimura-Hayama, E. Single coronary artery: Spectrum of imaging findings with multidetector CT. J. Cardiovasc. Comput. Tomogr. 2013, 7, 391–399. [Google Scholar] [CrossRef] [PubMed]
- Yadav, A.; Buxi, T.B.S.; Rawat, K.; Agarwal, A.; Mohanty, A. Anomalous Single Coronary Artery on Low Dose MDCT. Radiol. Case 2013, 7, 6–15. [Google Scholar] [CrossRef] [PubMed]
- Ghaffari, S.; Pourafkari, L.; Nader, D. Single Coronary Artery: Pete Maravich Anomaly Revisited. Am. J. Med. Sci. 2016, 351, 435–436. [Google Scholar] [CrossRef] [PubMed]
- Shittu, A.; Kadakia, J.; Budoff, M. Single Coronary Artery Syndrome: Cardiac Computed Tomography Angiography as a Leading Imaging Modality. Catheter. Cardiovasc. Interv. 2011, 78, 764–769. [Google Scholar] [CrossRef] [PubMed]
- Datta, J.; White, C.S.; Gilkeson, R.C.; Meyer, C.A.; Kansal, S.; Jani, M.L.; Arildsen, R.C.; Read, K. Anomalous Coronary Arteries in Adults: Depiction at Multi- Detector Row CT Angiography. Radiology 2005, 235, 812–818. [Google Scholar] [CrossRef] [PubMed]





Disclaimer/Publisher’s Note: The statements, opinions and data contained in all publications are solely those of the individual author(s) and contributor(s) and not of MDPI and/or the editor(s). MDPI and/or the editor(s) disclaim responsibility for any injury to people or property resulting from any ideas, methods, instructions or products referred to in the content. |
© 2023 by the authors. Licensee MDPI, Basel, Switzerland. This article is an open access article distributed under the terms and conditions of the Creative Commons Attribution (CC BY) license (https://creativecommons.org/licenses/by/4.0/).
Share and Cite
Gać, P.; Trejtowicz-Sutor, A.; Poręba, R. Single Coronary Artery as a Rare Developmental Variant in Cardiac Computed Tomography Angiography. Diagnostics 2023, 13, 1369. https://doi.org/10.3390/diagnostics13081369
Gać P, Trejtowicz-Sutor A, Poręba R. Single Coronary Artery as a Rare Developmental Variant in Cardiac Computed Tomography Angiography. Diagnostics. 2023; 13(8):1369. https://doi.org/10.3390/diagnostics13081369
Chicago/Turabian StyleGać, Paweł, Agnieszka Trejtowicz-Sutor, and Rafał Poręba. 2023. "Single Coronary Artery as a Rare Developmental Variant in Cardiac Computed Tomography Angiography" Diagnostics 13, no. 8: 1369. https://doi.org/10.3390/diagnostics13081369
APA StyleGać, P., Trejtowicz-Sutor, A., & Poręba, R. (2023). Single Coronary Artery as a Rare Developmental Variant in Cardiac Computed Tomography Angiography. Diagnostics, 13(8), 1369. https://doi.org/10.3390/diagnostics13081369

