Current Concepts of Precancerous Lesions of Hepatocellular Carcinoma: Recent Progress in Diagnosis
Abstract
1. Introduction
2. Concept and Classification of Precancerous Lesions of HCC
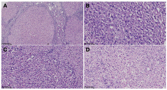
2.1. Dysplastic Foci
2.2. Dysplastic Nodule
3. Molecular and Genetic Mechanism of Hepatocarcinogenesis
4. Diagnosis of Precancerous Lesions of HCC
4.1. Immunohistochemistry
4.1.1. Glypican-3 (GPC3)
4.1.2. Glutamine Synthetase (GS)
4.1.3. Heterogeneous Nuclear Ribonucleoprotein A3 (HNRNPA3)
4.1.4. miRNA-96-5p/3p
4.1.5. Heat Shock Protein 70 (HSP70)
4.1.6. Organic Anion Transporter Polypeptide (OATP)
4.1.7. CD34/CD105
4.1.8. Telomerase Reverse Transcriptase (TERT)
4.1.9. Combination
4.2. Imaging Examination
4.2.1. Ultrasound (US)
4.2.2. Computed Tomography
4.2.3. Magnetic Resonance Imaging
Gadolinium-Based Extracellular Contrast Agents
Hepatobiliary Contrast Agents
5. Conclusions
Author Contributions
Funding
Institutional Review Board Statement
Informed Consent Statement
Data Availability Statement
Conflicts of Interest
References
- Sung, H.; Ferlay, J.; Siegel, R.L.; Laversanne, M.; Soerjomataram, I.; Jemal, A.; Bray, F. Global Cancer Statistics 2020: GLOBOCAN Estimates of Incidence and Mortality Worldwide for 36 Cancers in 185 Countries. CA Cancer J. Clin. 2021, 71, 209–249. [Google Scholar] [CrossRef] [PubMed]
- Ojima, H.; Masugi, Y.; Tsujikawa, H.; Emoto, K.; Fujii-Nishimura, Y.; Hatano, M.; Kawaida, M.; Itano, O.; Kitagawa, Y.; Sakamoto, M. Early hepatocellular carcinoma with high-grade atypia in small vaguely nodular lesions. Cancer Sci. 2016, 107, 543–550. [Google Scholar] [CrossRef] [PubMed]
- Coral, G.P.; Branco, F.; Meurer, R.; Marcon, P.D.S.; Fontes, P.R.O.; de Mattos, A.A. Results of immunohistochemistry in the differential diagnosis of early hepatocellular carcinoma and nodules with high-grade dysplasia in patients with cirrhosis. Arq. Gastroenterol. 2021, 58, 82–86. [Google Scholar] [CrossRef]
- Earl, T.M.; Chapman, W.C. Hepatocellular Carcinoma: Resection versus Transplantation. Semin. Liver Dis. 2013, 33, 282–292. [Google Scholar] [CrossRef]
- Terminology of nodular hepatocellular lesions. Hepatology 1995, 22, 983–993. [CrossRef]
- Anthony, P.P.; Vogel, C.L.; Barker, L.F. Liver cell dysplasia: A premalignant condition. J. Clin. Pathol. 1973, 26, 217–223. [Google Scholar] [CrossRef]
- Watanabe, S.; Okita, K.; Harada, T.; Kodama, T.; Numa, Y.; Takemoto, T.; Takahashi, T. Morphologic studies of the liver cell dysplasia. Cancer 1983, 51, 2197–2205. [Google Scholar] [CrossRef] [PubMed]
- International Consensus Group for Hepatocellular Neoplasia Pathologic diagnosis of early hepatocellular carcinoma: A report of the international consensus group for hepatocellular neoplasia. Hepatology 2009, 49, 658–664. [CrossRef]
- Libbrecht, L.; Desmet, V.; Roskams, T. Preneoplastic lesions in human hepatocarcinogenesis. Liver Int. 2005, 25, 16–27. [Google Scholar] [CrossRef]
- Kobayashi, M.; Ikeda, K.; Hosaka, T.; Sezaki, H.; Someya, T.; Akuta, N.; Suzuki, F.; Suzuki, Y.; Saitoh, S.; Arase, Y.; et al. Dysplastic nodules frequently develop into hepatocellular carcinoma in patients with chronic viral hepatitis and cirrhosis. Cancer 2006, 106, 636–647. [Google Scholar] [CrossRef]
- Yano, Y.; Chang, O.; Masuzawa, A.; Fukushima, N.; Teramura, K.; Hayashi, Y. The cytological characteristics of small cell change of dysplasia in small hepatic nodules. Oncol. Rep. 2010, 23, 1229–1232. [Google Scholar] [CrossRef] [PubMed][Green Version]
- Nagtegaal, I.D.; Odze, R.D.; Klimstra, D.; Paradis, V.; Rugge, M.; Schirmacher, P.; Washington, K.M.; Carneiro, F.; Cree, I.A.; The WHO Classification of Tumours Editorial Board. The 2019 WHO classification of tumours of the digestive system. Histopathology 2020, 76, 182–188. [Google Scholar] [CrossRef] [PubMed]
- Hill, K.A.; Nayar, R.; DeFrias, D.V.S. Cytohistologic Correlation of Cirrhosis and Hepatocellular Carcinoma. Acta Cytol. 2004, 48, 127–132. [Google Scholar] [CrossRef] [PubMed]
- Akagi, G.; Furuya, K.; Kanamura, A.; Chihara, T.; Otsuka, H. Liver cell dysplasia and hepatitis B surface antigen in liver cirrhosis and hepatocellular carcinoma. Cancer 1984, 54, 315–318. [Google Scholar] [CrossRef] [PubMed]
- Kudo, M. Multistep human hepatocarcinogenesis: Correlation of imaging with pathology. J. Gastroenterol. 2009, 44, 112–118. [Google Scholar] [CrossRef]
- Borzio, M.; Fargion, S.; Borzio, F.; Fracanzani, A.L.; Croce, A.M.; Stroffolini, T.; Oldani, S.; Cotichini, R.; Roncalli, M. Impact of large regenerative, low grade and high grade dysplastic nodules in hepatocellular carcinoma development. J. Hepatol. 2003, 39, 208–214. [Google Scholar] [CrossRef]
- Park, Y.N. Update on Precursor and Early Lesions of Hepatocellular Carcinomas. Arch. Pathol. Lab. Med. 2011, 135, 704–715. [Google Scholar] [CrossRef]
- Park, Y.N.; Yang, C.-P.; Fernandez, G.J.; Cubukcu, O.; Thung, S.N.; Theise, N.D. Neoangiogenesis and Sinusoidal "Capillarization" in Dysplastic Nodules of the Liver. Am. J. Surg. Pathol. 1998, 22, 656–662. [Google Scholar] [CrossRef]
- Lim, J.H.; Choi, D.; Cho, S.K.; Kim, S.H.; Lee, W.J.; Lim, H.K.; Park, C.K.; Paik, S.W.; Kim, Y.I. Conspicuity of Hepatocellular Nodular Lesions in Cirrhotic Livers at Ferumoxides-enhanced MR Imaging: Importance of Kupffer Cell Number. Radiology 2001, 220, 669–676. [Google Scholar] [CrossRef]
- Imai, Y.; Murakami, T.; Yoshida, S.; Nishikawa, M.; Ohsawa, M.; Tokunaga, K.; Murata, M.; Shibata, K.; Zushi, S.; Kurokawa, M.; et al. Superparamagnetic iron oxide–enhanced magnetic resonance images of hepatocellular carcinoma: Correlation with histological grading. Hepatology 2000, 32, 205–212. [Google Scholar] [CrossRef]
- Asahina, Y.; Izumi, N.; Uchihara, M.; Noguchi, O.; Ueda, K.; Inoue, K.; Nishimura, Y.; Tsuchiya, K.; Hamano, K.; Itakura, J.; et al. Assessment of Kupffer cells by ferumoxides-enhanced MR imaging is beneficial for diagnosis of hepatocellular carcinoma: Comparison of pathological diagnosis and perfusion patterns assessed by CT hepatic arteriography and CT arterioportography. Hepatol. Res. 2003, 27, 196–204. [Google Scholar] [CrossRef] [PubMed]
- Gong, L.; Li, Y.-H.; Su, Q.; Chu, X.; Zhang, W. Clonality of nodular lesions in liver cirrhosis and chromosomal abnormalities in monoclonal nodules of altered hepatocytes. Histopathology 2010, 56, 589–599. [Google Scholar] [CrossRef] [PubMed]
- Roskams, T.; Kojiro, M. Pathology of Early Hepatocellular Carcinoma: Conventional and Molecular Diagnosis. Semin. Liver Dis. 2010, 30, 017–025. [Google Scholar] [CrossRef]
- Desmet, V.J. East-West pathology agreement on precancerous liver lesions and early hepatocellular carcinoma. Hepatology 2008, 49, 355–357. [Google Scholar] [CrossRef] [PubMed]
- A Jee, B.; Choi, J.-H.; Rhee, H.; Yoon, S.; Kwon, S.M.; Nahm, J.H.; Yoo, J.E.; Jeon, Y.; Choi, G.H.; Woo, H.G.; et al. Dynamics of Genomic, Epigenomic, and Transcriptomic Aberrations during Stepwise Hepatocarcinogenesis. Cancer Res. 2019, 79, 5500–5512. [Google Scholar] [CrossRef]
- Nault, J.-C.; Ningarhari, M.; Rebouissou, S.; Zucman-Rossi, J. The role of telomeres and telomerase in cirrhosis and liver cancer. Nat. Rev. Gastroenterol. Hepatol. 2019, 16, 544–558. [Google Scholar] [CrossRef]
- Russell, J.O.; Monga, S.P. Wnt/β-Catenin Signaling in Liver Development, Homeostasis, and Pathobiology. Annu. Rev. Pathol. Mech. Dis. 2018, 13, 351–378. [Google Scholar] [CrossRef]
- Craig, A.J.; Von Felden, J.; Garcia-Lezana, T.; Sarcognato, S.; Villanueva, A. Tumour evolution in hepatocellular carcinoma. Nat. Rev. Gastroenterol. Hepatol. 2020, 17, 139–152. [Google Scholar] [CrossRef]
- Nault, J.; Martin, Y.; Caruso, S.; Hirsch, T.Z.; Bayard, Q.; Calderaro, J.; Charpy, C.; Copie-Bergman, C.; Ziol, M.; Bioulac-Sage, P.; et al. Clinical Impact of Genomic Diversity From Early to Advanced Hepatocellular Carcinoma. Hepatology 2020, 71, 164–182. [Google Scholar] [CrossRef]
- Desjonqueres, E.; Campani, C.; Marra, F.; Rossi, J.Z.; Nault, J. Preneoplastic lesions in the liver: Molecular insights and relevance for clinical practice. Liver Int. 2022, 42, 492–506. [Google Scholar] [CrossRef]
- The Cancer Genome Atlas Research Network. Comprehensive and Integrative Genomic Characterization of Hepatocellular Carcinoma. Cell 2017, 169, 1327–1341.e23. [Google Scholar] [CrossRef] [PubMed]
- Fateen, W.; Johnson, P.J.; Wood, H.M.; Zhang, H.; He, S.; El-Meteini, M.; Wyatt, J.I.; Aithal, G.P.; Quirke, P. Characterisation of dysplastic liver nodules using low-pass DNA sequencing and detection of chromosome arm-level abnormalities in blood-derived cell-free DNA. J. Pathol. 2021, 255, 30–40. [Google Scholar] [CrossRef] [PubMed]
- Grozdanov, P.N.; I Yovchev, M.; Dabeva, M.D. The oncofetal protein glypican-3 is a novel marker of hepatic progenitor/oval cells. Lab. Investig. 2006, 86, 1272–1284. [Google Scholar] [CrossRef] [PubMed]
- Libbrecht, L.; Severi, T.; Cassiman, D.; Borght, S.V.; Pirenne, J.; Nevens, F.; Verslype, C.; van Pelt, J.; Roskams, T. Glypican-3 Expression Distinguishes Small Hepatocellular Carcinomas From Cirrhosis, Dysplastic Nodules, and Focal Nodular Hyperplasia-like Nodules. Am. J. Surg. Pathol. 2006, 30, 1405–1411. [Google Scholar] [CrossRef]
- Gong, L.; Wei, L.-X.; Ren, P.; Zhang, W.-D.; Liu, X.-Y.; Han, X.-J.; Yao, L.; Zhu, S.-J.; Lan, M.; Li, Y.-H.; et al. Dysplastic Nodules with Glypican-3 Positive Immunostaining: A Risk for Early Hepatocellular Carcinoma. PLoS ONE 2014, 9, e87120. [Google Scholar] [CrossRef]
- Tateishi, R.; Yoshida, H.; Matsuyama, Y.; Mine, N.; Kondo, Y.; Omata, M. Diagnostic accuracy of tumor markers for hepatocellular carcinoma: A systematic review. Hepatol. Int. 2007, 2, 17–30. [Google Scholar] [CrossRef]
- Audard, V.; Grimber, G.; Elie, C.; Radenen, B.; Audebourg, A.; Letourneur, F.; Soubrane, O.; Vacher-Lavenu, M.-C.; Perret, C.; Cavard, C.; et al. Cholestasis is a marker for hepatocellular carcinomas displaying β-catenin mutations. J. Pathol. 2007, 212, 345–352. [Google Scholar] [CrossRef]
- Cadoret, A.; Ovejero, C.; Terris, B.; Souil, E.; Lévy, L.; Lamers, W.H.; Kitajewski, J.; Kahn, A.; Perret, C. New targets of β-catenin signaling in the liver are involved in the glutamine metabolism. Oncogene 2002, 21, 8293–8301. [Google Scholar] [CrossRef]
- Liu, P.; Lu, D.; Al-Ameri, A.; Wei, X.; Ling, S.; Li, J.; Zhu, H.; Xie, H.; Zhu, L.; Zheng, S.; et al. Glutamine synthetase promotes tumor invasion in hepatocellular carcinoma through mediating epithelial–mesenchymal transition. Hepatol. Res. 2020, 50, 246–257. [Google Scholar] [CrossRef]
- Di Tommaso, L.; Franchi, G.; Park, Y.N.; Fiamengo, B.; Destro, A.; Morenghi, E.; Montorsi, M.; Torzilli, G.; Tommasini, M.; Terracciano, L.; et al. Diagnostic value of HSP70, glypican 3, and glutamine synthetase in hepatocellular nodules in cirrhosis. Hepatology 2007, 45, 725–734. [Google Scholar] [CrossRef]
- Sakamoto, M.; Mori, T.; Masugi, Y.; Effendi, K.; Rie, I.; Du, W. Candidate Molecular Markers for Histological Diagnosis of Early Hepatocellular Carcinoma. Intervirology 2008, 51, 42–45. [Google Scholar] [CrossRef] [PubMed]
- Garrido, C.; Gurbuxania, S.; Ravagnanb, L.; Kroemer, G. Heat Shock Proteins: Endogenous Modulators of Apoptotic Cell Death. Biochem. Biophys. Res. Commun. 2001, 286, 433–442. [Google Scholar] [CrossRef] [PubMed]
- Hung, C.-H.; Hu, T.-H.; Lu, S.-N.; Kuo, F.-Y.; Chen, C.-H.; Wang, J.-H.; Huang, C.-M.; Lee, C.-M.; Lin, C.-Y.; Yen, Y.-H.; et al. Circulating microRNAs as biomarkers for diagnosis of early hepatocellular carcinoma associated with hepatitis B virus. Int. J. Cancer 2016, 138, 714–720. [Google Scholar] [CrossRef] [PubMed]
- Boukakis, G.; Patrinou-Georgoula, M.; Lekarakou, M.; Valavanis, C.; Guialis, A. Deregulated expression of hnRNP A/B proteins in human non-small cell lung cancer: Parallel assessment of protein and mRNA levels in paired tumour/non-tumour tissues. BMC Cancer 2010, 10, 434. [Google Scholar] [CrossRef]
- David, C.J.; Chen, M.; Assanah, M.; Canoll, P.; Manley, J.L. HnRNP proteins controlled by c-Myc deregulate pyruvate kinase mRNA splicing in cancer. Nature 2010, 463, 364–368. [Google Scholar] [CrossRef] [PubMed]
- Ren, X.; Dong, Y.; Duan, M.; Zhang, H.; Gao, P. Abnormal expression of HNRNPA3 in multistep hepatocarcinogenesis. Oncol. Lett. 2020, 21, 46. [Google Scholar] [CrossRef]
- Xu, J.; Wu, C.; Che, X.; Wang, L.; Yu, D.; Zhang, T.; Huang, L.; Li, H.; Tan, W.; Wang, C.; et al. Circulating MicroRNAs, miR-21, miR-122, and miR-223, in patients with hepatocellular carcinoma or chronic hepatitis. Mol. Carcinog. 2011, 50, 136–142. [Google Scholar] [CrossRef]
- Pineau, P.; Volinia, S.; McJunkin, K.; Marchio, A.; Battiston, C.; Terris, B.; Mazzaferro, V.; Lowe, S.W.; Croce, C.M.; Dejean, A. miR-221 overexpression contributes to liver tumorigenesis. Proc. Natl. Acad. Sci. USA 2010, 107, 264–269. [Google Scholar] [CrossRef]
- Zhang, H.; Xing, A.-Y.; Ma, R.-R.; Wang, Y.-W.; Liu, Y.-H.; Gao, P. Diagnostic value of miRNA-96-5p/3p in dysplastic nodules and well-differentiated small hepatocellular carcinoma. Hepatol. Res. 2016, 46, 784–793. [Google Scholar] [CrossRef]
- Helmbrecht, K.; Zeise, E.; Rensing, L. Chaperones in cell cycle regulation and mitogenic signal transduction: A review. Cell Prolif. 2000, 33, 341–365. [Google Scholar] [CrossRef]
- Chuma, M.; Sakamoto, M.; Yamazaki, K.; Ohta, T.; Ohki, M.; Asaka, M.; Hirohashi, S. Expression profiling in multistage hepatocarcinogenesis: Identification of HSP70 as a molecular marker of early hepatocellular carcinoma. Hepatology 2003, 37, 198–207. [Google Scholar] [CrossRef] [PubMed]
- Leonhardt, M.; Keiser, M.; Oswald, S.; Kühn, J.; Jia, J.; Grube, M.; Kroemer, H.K.; Siegmund, W.; Weitschies, W. Hepatic Uptake of the Magnetic Resonance Imaging Contrast Agent Gd-EOB-DTPA: Role of Human Organic Anion Transporters. Drug Metab. Dispos. 2010, 38, 1024–1028. [Google Scholar] [CrossRef] [PubMed]
- Nassif, A.; Jia, J.; Keiser, M.; Oswald, S.; Modess, C.; Nagel, S.; Weitschies, W.; Hosten, N.; Siegmund, W.; Kühn, J.-P. Visualization of Hepatic Uptake Transporter Function in Healthy Subjects by Using Gadoxetic Acid–enhanced MR Imaging. Radiology 2012, 264, 741–750. [Google Scholar] [CrossRef]
- Kitao, A.; Matsui, O.; Yoneda, N.; Kozaka, K.; Shinmura, R.; Koda, W.; Kobayashi, S.; Gabata, T.; Zen, Y.; Yamashita, T.; et al. The uptake transporter OATP8 expression decreases during multistep hepatocarcinogenesis: Correlation with gadoxetic acid enhanced MR imaging. Eur. Radiol. 2011, 21, 2056–2066. [Google Scholar] [CrossRef] [PubMed]
- Kitao, A.; Matsui, O.; Yoneda, N.; Kozaka, K.; Kobayashi, S.; Koda, W.; Inoue, D.; Ogi, T.; Yoshida, K.; Gabata, T. Gadoxetic acid-enhanced MR imaging for hepatocellular carcinoma: Molecular and genetic background. Eur. Radiol. 2020, 30, 3438–3447. [Google Scholar] [CrossRef] [PubMed]
- Di Tommaso, L.; Sangiovanni, A.; Borzio, M.; Park, Y.N.; Farinati, F.; Roncalli, M. Advanced precancerous lesions in the liver. Best Pract. Res. Clin. Gastroenterol. 2013, 27, 269–284. [Google Scholar] [CrossRef] [PubMed]
- Paschoal, J.P.; Bernardo, V.; Canedo, N.H.S.; Ribeiro, O.D.; Caroli-Bottino, A.; Pannain, V.L. Microvascular density of regenerative nodule to small hepatocellular carcinoma by automated analysis using CD105 and CD34 immunoexpression. BMC Cancer 2014, 14, 72. [Google Scholar] [CrossRef]
- Segatelli, V.; de Oliveira, E.C.; Boin, I.F.S.F.; Ataide, E.C.; Escanhoela, C.A.F. Evaluation and comparison of microvessel density using the markers CD34 and CD105 in regenerative nodules, dysplastic nodules and hepatocellular carcinoma. Hepatol. Int. 2014, 8, 260–265. [Google Scholar] [CrossRef]
- Nault, J.C.; Calderaro, J.; Di Tommaso, L.; Balabaud, C.; Zafrani, E.S.; Bioulac-Sage, P.; Roncalli, M.; Zucman-Rossi, J. Telomerase reverse transcriptase promoter mutation is an early somatic genetic alteration in the transformation of premalignant nodules in hepatocellular carcinoma on cirrhosis. Hepatology 2014, 60, 1983–1992. [Google Scholar] [CrossRef]
- Nault, J.C.; Mallet, M.; Pilati, C.; Calderaro, J.; Bioulac-Sage, P.; Laurent, C.; Laurent, A.; Cherqui, D.; Balabaud, C.; Zucman-Rossi, J. High frequency of telomerase reverse-transcriptase promoter somatic mutations in hepatocellular carcinoma and preneoplastic lesions. Nat. Commun. 2013, 4, 2218. [Google Scholar] [CrossRef]
- Nault, J.-C.; Zucman-Rossi, J. TERT promoter mutations in primary liver tumors. Clin. Res. Hepatol. Gastroenterol. 2016, 40, 9–14. [Google Scholar] [CrossRef] [PubMed]
- Luo, Q.; Zhang, Y.; Wang, N.; Jin, G.; Jin, H.; Gu, D.; Tao, X.; Huo, X.; Ge, T.; Cong, W.; et al. Leukemia inhibitory factor receptor is a novel immunomarker in distinction of well-differentiated HCC from dysplastic nodules. Oncotarget 2015, 6, 6989–6999. [Google Scholar] [CrossRef] [PubMed]
- Renzulli, M.; Pecorelli, A.; Brandi, N.; Brocchi, S.; Tovoli, F.; Granito, A.; Carrafiello, G.; Ierardi, A.M.; Golfieri, R. The Feasibility of Liver Biopsy for Undefined Nodules in Patients under Surveillance for Hepatocellular Carcinoma: Is Biopsy Really a Useful Tool? J. Clin. Med. 2022, 11, 4399. [Google Scholar] [CrossRef]
- European Association for the Study of the Liver. EASL Clinical Practice Guidelines: Management of hepatocellular carcinoma. J. Hepatol. 2018, 69, 182–236. [Google Scholar] [CrossRef]
- Renzulli, M.; Brandi, N.; Argalia, G.; Brocchi, S.; Farolfi, A.; Fanti, S.; Golfieri, R. Morphological, dynamic and functional characteristics of liver pseudolesions and benign lesions. La Radiol. Med. 2022, 127, 129–144. [Google Scholar] [CrossRef]
- Renzulli, M.; Braccischi, L.; D’Errico, A.; Pecorelli, A.; Brandi, N.; Golfieri, R.; Albertini, E.; Vasuri, F. State-of-the-art review on the correlations between pathological and magnetic resonance features of cirrhotic nodules. Histol. Histopathol. 2022, 37, 1151–1165. [Google Scholar] [CrossRef] [PubMed]
- Narsinh, K.H.; Cui, J.; Papadatos, D.; Sirlin, C.B.; Santillan, C.S. Hepatocarcinogenesis and LI-RADS. Abdom. Imaging 2017, 43, 158–168. [Google Scholar] [CrossRef] [PubMed]
- Fung, A.; Shanbhogue, K.P.; Taffel, M.T.; Brinkerhoff, B.T.; Theise, N.D. Hepatocarcinogenesis. Magn. Reson. Imaging Clin. N. Am. 2021, 29, 359–374. [Google Scholar] [CrossRef]
- Choi, J.-Y.; Lee, J.-M.; Sirlin, C.B.; Joo, I.; Kim, S.Y.; Kang, T.W.; Kim, Y.K.; Park, B.J.; Lee, Y.J.; Choi, J.-I.; et al. CT and MR Imaging Diagnosis and Staging of Hepatocellular Carcinoma: Part I. Development, Growth, and Spread: Key Pathologic and Imaging Aspects. Radiology 2014, 272, 635–654. [Google Scholar] [CrossRef]
- Zhang, J.; Krinsky, G.A. Iron-containing nodules of cirrhosis. NMR Biomed. 2004, 17, 459–464. [Google Scholar] [CrossRef]
- Balci, N.C.; Befeler, A.S.; Bieneman, B.K.; Fattahi, R.; Saglam, S.; Havlioglu, N. Fat Containing HCC: Findings on CT and MRI Including Serial Contrast–Enhanced Imaging. Acad. Radiol. 2009, 16, 963–968. [Google Scholar] [CrossRef]
- Wu, C.-Y.; Hsu, Y.-C.; Ho, H.J.; Chen, Y.-J.; Lee, T.-Y.; Lin, J.-T. Association between ultrasonography screening and mortality in patients with hepatocellular carcinoma: A nationwide cohort study. Gut 2016, 65, 693–701. [Google Scholar] [CrossRef]
- Singal, A.G.; Pillai, A.; Tiro, J. Early Detection, Curative Treatment, and Survival Rates for Hepatocellular Carcinoma Surveillance in Patients with Cirrhosis: A Meta-analysis. PLoS Med. 2014, 11, e1001624. [Google Scholar] [CrossRef] [PubMed]
- European Association For The Study Of The Liver. European Organisation for Research and Treatment of Cancer. EASL–EORTC clinical practice guidelines: Management of hepatocellular carcinoma. J. Hepatol. 2012, 56, 908–943. [Google Scholar] [CrossRef] [PubMed]
- Kim, T.K. Contrast-enhanced ultrasound in the diagnosis of nodules in liver cirrhosis. World J. Gastroenterol. 2014, 20, 3590–3596. [Google Scholar] [CrossRef]
- Giorgio, A.; Calisti, G.; di Sarno, A.; Farella, N.; de Stefano, G.; Scognamiglio, U.; Giorgio, V. Characterization of dysplastic nodules, early hepatocellular carcinoma and progressed hepatocellular carcinoma in cirrhosis with contrast-enhanced ultrasound. Anticancer. Res. 2011, 31, 3977–3982. [Google Scholar]
- Jang, H.-J.; Kim, T.K.; Burns, P.N.; Wilson, S.R. Enhancement Patterns of Hepatocellular Carcinoma at Contrast-enhanced US: Comparison with Histologic Differentiation. Radiology 2007, 244, 898–906. [Google Scholar] [CrossRef] [PubMed]
- Expert consensus on multidisciplinary diagnosis and treatment of precancerous lesions of hepatocellular carcinoma (2020 edition). Chin. J. Hepatol. 2020, 28, 14–20. [CrossRef]
- Wu, W.; Chen, M.; Yan, K.; Dai, Y.; Yin, S.; Yang, W.; Fan, Z. Evaluation of contrast-enhanced ultrasound for diagnosis of dysplastic nodules with a focus of hepatocellular carcinoma in liver cirrhosis patients. Chin. J. Cancer Res. 2015, 27, 83–89. [Google Scholar] [CrossRef] [PubMed]
- Takahashi, M.; Maruyama, H.; Shimada, T.; Kamezaki, H.; Sekimoto, T.; Kanai, F.; Yokosuka, O. Characterization of hepatic lesions (≤30 mm) with liver-specific contrast agents: A comparison between ultrasound and magnetic resonance imaging. Eur. J. Radiol. 2013, 82, 75–84. [Google Scholar] [CrossRef]
- Sugimoto, K.; Moriyasu, F.; Shiraishi, J.; Saito, K.; Taira, J.; Saguchi, T.; Imai, Y. Assessment of arterial hypervascularity of hepatocellular carcinoma: Comparison of contrast-enhanced US and gadoxetate disodium-enhanced MR imaging. Eur. Radiol. 2012, 22, 1205–1213. [Google Scholar] [CrossRef] [PubMed]
- Quaia, E.; Calliada, F.; Bertolotto, M.; Rossi, S.; Garioni, L.; Rosa, L.; Pozzi-Mucelli, R. Characterization of Focal Liver Lesions with Contrast-specific US Modes and a Sulfur Hexafluoride–filled Microbubble Contrast Agent: Diagnostic Performance and Confidence. Radiology 2004, 232, 420–430. [Google Scholar] [CrossRef] [PubMed]
- Wang, W.-P.; Dong, Y.; Cao, J.; Mao, F.; Xu, Y.; Si, Q.; Dietrich, C.F. Detection and characterization of small superficially located focal liver lesions by contrast-enhanced ultrasound with high frequency transducers. Med. Ultrason. 2017, 19, 349. [Google Scholar] [CrossRef] [PubMed]
- Dong, Y.; Wang, W.-P.; Mao, F.; Ji, Z.-B.; Huang, B.-J. Application of imaging fusion combining contrast-enhanced ultrasound and magnetic resonance imaging in detection of hepatic cellular carcinomas undetectable by conventional ultrasound. J. Gastroenterol. Hepatol. 2016, 31, 822–828. [Google Scholar] [CrossRef]
- Matsui, O. Imaging of Multistep Human Hepatocarcinogenesis by CT during Intra-Arterial Contrast Injection. Intervirology 2004, 47, 271–276. [Google Scholar] [CrossRef]
- Wilson, S.R.; Burns, P.N. Microbubble-enhanced US in Body Imaging: What Role? Radiology 2010, 257, 24–39. [Google Scholar] [CrossRef]
- Claudon, M.; Dietrich, C.F.; Choi, B.I.; Cosgrove, D.O.; Kudo, M.; Nolsøe, C.P.; Piscaglia, F.; Wilson, S.R.; Barr, R.G.; Chammas, M.C.; et al. Guidelines and Good Clinical Practice Recommendations for Contrast Enhanced Ultrasound (CEUS) in the Liver Update 2012. Ultraschall Der Med. Eur. J. Ultrasound 2012, 34, 11–29. [Google Scholar] [CrossRef]
- Piscaglia, F.; Bolondi, L. The safety of Sonovue® in abdominal applications: Retrospective analysis of 23188 investigations. Ultrasound Med. Biol. 2006, 32, 1369–1375. [Google Scholar] [CrossRef]
- Heimbach, J.K.; Kulik, L.M.; Finn, R.S.; Sirlin, C.B.; Abecassis, M.M.; Roberts, L.R.; Zhu, A.X.; Murad, M.H.; Marrero, J.A. AASLD guidelines for the treatment of hepatocellular carcinoma. Hepatology 2018, 67, 358–380. [Google Scholar] [CrossRef]
- Omata, M.; Lesmana, L.A.; Tateishi, R.; Chen, P.-J.; Lin, S.-M.; Yoshida, H.; Kudo, M.; Lee, J.M.; Choi, B.I.; Poon, R.T.P.; et al. Asian Pacific Association for the Study of the Liver consensus recommendations on hepatocellular carcinoma. Hepatol. Int. 2010, 4, 439–474. [Google Scholar] [CrossRef]
- Hayashi, M.; Matsui, O.; Ueda, K.; Kawamori, Y.; Kadoya, M.; Yoshikawa, J.; Gabata, T.; Takashima, T.; Nonomura, A.; Nakanuma, Y. Correlation between the blood supply and grade of malignancy of hepatocellular nodules associated with liver cirrhosis: Evaluation by CT during intraarterial injection of contrast medium. Am. J. Roentgenol. 1999, 172, 969–976. [Google Scholar] [CrossRef] [PubMed]
- Lim, J.H.; Cho, J.M.; Kim, E.Y.; Park, C.K. Dysplastic Nodules in Liver Cirrhosis: Evaluation of Hemodynamics with CT during Arterial Portography and CT Hepatic Arteriography. Radiology 2000, 214, 869–874. [Google Scholar] [CrossRef] [PubMed]
- Lim, J.H.; Kim, M.J.; Park, C.K.; Kang, S.S.; Lee, W.J.; Lim, H.K. Dysplastic nodules in liver cirrhosis: Detection with triple phase helical dynamic CT. Br. J. Radiol. 2004, 77, 911–916. [Google Scholar] [CrossRef]
- De Lédinghen, V.; Laharie, D.; Lecesne, R.; Le Bail, B.; Winnock, M.; Bernard, P.-H.; Saric, J.; Couzigou, P.; Balabaud, C.; Bioulac-Sage, P.; et al. Detection of nodules in liver cirrhosis: Spiral computed tomography or magnetic resonance imaging? A prospective study of 88 nodules in 34 patients. Eur. J. Gastroenterol. Hepatol. 2002, 14, 159–165. [Google Scholar] [CrossRef]
- Bluemke, D.A.; Paulson, E.K.; Choti, M.A.; DeSena, S.; Clavien, P.A. Detection of Hepatic Lesions in Candidates for Surgery. Am. J. Roentgenol. 2000, 175, 1653–1658. [Google Scholar] [CrossRef]
- Yamashita, Y.; Mitsuzaki, K.; Yi, T.; Ogata, I.; Nishiharu, T.; Urata, J.; Takahashi, M. Small hepatocellular carcinoma in patients with chronic liver damage: Prospective comparison of detection with dynamic MR imaging and helical CT of the whole liver. Radiology 1996, 200, 79–84. [Google Scholar] [CrossRef]
- Oi, H.; Murakami, T.; Kim, T.; Matsushita, M.; Kishimoto, H.; Nakamura, H. Dynamic MR imaging and early-phase helical CT for detecting small intrahepatic metastases of hepatocellular carcinoma. Am. J. Roentgenol. 1996, 166, 369–374. [Google Scholar] [CrossRef]
- Ros, P.R.; Freeny, P.C.; E Harms, S.; E Seltzer, S.; Davis, P.L.; Chan, T.W.; E Stillman, A.; Muroff, L.R.; Runge, V.M.; A Nissenbaum, M. Hepatic MR imaging with ferumoxides: A multicenter clinical trial of the safety and efficacy in the detection of focal hepatic lesions. Radiology 1995, 196, 481–488. [Google Scholar] [CrossRef] [PubMed]
- Stark, D.D.; Weissleder, R.; Elizondo, G.; Hahn, P.F.; Saini, S.; E Todd, L.; Wittenberg, J.; Ferrucci, J.T. Superparamagnetic iron oxide: Clinical application as a contrast agent for MR imaging of the liver. Radiology 1988, 168, 297–301. [Google Scholar] [CrossRef]
- Manfredi, R.; Maresca, G.; Baron, R.L.; De Franco, A.; De Gaetano, A.M.; Cotroneo, A.R.; Pirovano, G.; Spinazzi, A.; Marano, P. Gadobenate dimeglumine (BOPTA) enhanced MR imaging: Patterns of enhancement in normal liver and cirrhosis. J. Magn. Reson. Imaging 1998, 8, 862–867. [Google Scholar] [CrossRef]
- Welle, C.L.; Guglielmo, F.F.; Venkatesh, S.K. MRI of the liver: Choosing the right contrast agent. Abdom. Imaging 2019, 45, 384–392. [Google Scholar] [CrossRef]
- Golfieri, R.; Grazioli, L.; Orlando, E.; Dormi, A.; Lucidi, V.; Corcioni, B.; Dettori, E.; Romanini, L.; Renzulli, M. Which is the best MRI marker of malignancy for atypical cirrhotic nodules: Hypointensity in hepatobiliary phase alone or combined with other features? Classification after Gd-EOB-DTPA administration. J. Magn. Reson. Imaging 2012, 36, 648–657. [Google Scholar] [CrossRef] [PubMed]
- Mori, K.; Yoshioka, H.; Takahashi, N.; Yamaguchi, M.; Ueno, T.; Yamaki, T.; Saida, Y. Triple Arterial Phase Dynamic MRI with Sensitivity Encoding for Hypervascular Hepatocellular Carcinoma: Comparison of the Diagnostic Accuracy Among the Early, Middle, Late, and Whole Triple Arterial Phase Imaging. Am. J. Roentgenol. 2005, 184, 63–69. [Google Scholar] [CrossRef] [PubMed]
- Haustein, J.; Niendorf, H.P.; Krestin, G.; Louton, T.; Schuhmann-Giampieri, G.; Claub, W.; Junge, W. Renal Tolerance of Gadolinium-DTPA/Dimeglumine in Patients with Chronic Renal Failure. Investig. Radiol. 1992, 27, 153–156. [Google Scholar] [CrossRef] [PubMed]
- Nyman, U.; Elmståhl, B.; Leander, P.; Nilsson, M.; Golman, K.; Almén, T. Are Gadolinium-based Contrast Media Really Safer than Iodinated Media for Digital Subtraction Angiography in Patients with Azotemia? Radiology 2002, 223, 311–318. [Google Scholar] [CrossRef]
- Shellock, F.G.; Kanal, E. Safety of magnetic resonance imaging contrast agents. J. Magn. Reson. Imaging 1999, 10, 477–484. [Google Scholar] [CrossRef]
- Hanna, R.F.; Aguirre, D.A.; Kased, N.; Emery, S.C.; Peterson, M.R.; Sirlin, C. Cirrhosis-associated Hepatocellular Nodules: Correlation of Histopathologic and MR Imaging Features. RadioGraphics 2008, 28, 747–769. [Google Scholar] [CrossRef]
- Liu, X.; Jiang, H.; Chen, J.; Zhou, Y.; Huang, Z.; Song, B. Gadoxetic acid disodium–enhanced magnetic resonance imaging outperformed multidetector computed tomography in diagnosing small hepatocellular carcinoma: A meta-analysis. Liver Transplant. 2017, 23, 1505–1518. [Google Scholar] [CrossRef]
- Wang, W.; Yang, C.; Zhu, K.; Yang, L.; Ding, Y.; Luo, R.; Zhu, S.; Chen, C.; Sun, W.; Zeng, M.; et al. Recurrence After Curative Resection of Hepatitis B Virus–Related Hepatocellular Carcinoma: Diagnostic Algorithms on Gadoxetic Acid–Enhanced Magnetic Resonance Imaging. Liver Transplant. 2020, 26, 751–763. [Google Scholar] [CrossRef]
- Masanori, M.; Ichikawa, T.; Motosugi, U.; Sou, H.; Muhi, A.M.; Matsuda, M.; Nakano, M.; Sakamoto, M.; Nakazawa, T.; Asakawa, M.; et al. Imaging Study of Early Hepatocellular Carcinoma: Usefulness of Gadoxetic Acid–enhanced MR Imaging. Radiology 2011, 261, 834–844. [Google Scholar] [CrossRef]
- Park, H.J.; Choi, B.I.; Lee, E.S.; Bin Park, S.; Lee, J.B. How to Differentiate Borderline Hepatic Nodules in Hepatocarcinogenesis: Emphasis on Imaging Diagnosis. Liver Cancer 2017, 6, 189–203. [Google Scholar] [CrossRef] [PubMed]
- Inchingolo, R.; Faletti, R.; Grazioli, L.; Tricarico, E.; Gatti, M.; Pecorelli, A.; Ippolito, D. MR with Gd-EOB-DTPA in assessment of liver nodules in cirrhotic patients. World J. Hepatol. 2018, 10, 462–473. [Google Scholar] [CrossRef] [PubMed]
- Lee, J.M.; Yoon, J.-H.; Kim, K.W. Diagnosis of Hepatocellular Carcinoma: Newer Radiological Tools. Semin. Oncol. 2012, 39, 399–409. [Google Scholar] [CrossRef] [PubMed]
- Taouli, B.; Koh, D.-M. Diffusion-weighted MR Imaging of the Liver. Radiology 2010, 254, 47–66. [Google Scholar] [CrossRef]
- Xiong, J.; Luo, J.; Bian, J.; Wu, J. Overall diagnostic accuracy of different MR imaging sequences for detection of dysplastic nodules: A systematic review and meta-analysis. Eur. Radiol. 2021, 32, 1285–1296. [Google Scholar] [CrossRef]
- Lee, Y.J.; Lee, J.M.; Lee, J.S.; Lee, H.Y.; Park, B.H.; Kim, Y.H.; Han, J.K.; Choi, B.I. Hepatocellular Carcinoma: Diagnostic Performance of Multidetector CT and MR Imaging—A Systematic Review and Meta-Analysis. Radiology 2015, 275, 97–109. [Google Scholar] [CrossRef]
- Choi, D.; Kim, S.H.; Lim, J.H.; Lee, W.J.; Jang, H.-J.; Lee, S.J.; Lim, H.K. Preoperative Detection of Hepatocellular Carcinoma. Am. J. Roentgenol. 2001, 176, 475–482. [Google Scholar] [CrossRef]
- Kondo, F. Assessment of Stromal Invasion for Correct Histological Diagnosis of Early Hepatocellular Carcinoma. Int. J. Hepatol. 2011, 2011, 241652. [Google Scholar] [CrossRef][Green Version]


Disclaimer/Publisher’s Note: The statements, opinions and data contained in all publications are solely those of the individual author(s) and contributor(s) and not of MDPI and/or the editor(s). MDPI and/or the editor(s) disclaim responsibility for any injury to people or property resulting from any ideas, methods, instructions or products referred to in the content. |
© 2023 by the authors. Licensee MDPI, Basel, Switzerland. This article is an open access article distributed under the terms and conditions of the Creative Commons Attribution (CC BY) license (https://creativecommons.org/licenses/by/4.0/).
Share and Cite
Liao, Z.; Tang, C.; Luo, R.; Gu, X.; Zhou, J.; Gao, J. Current Concepts of Precancerous Lesions of Hepatocellular Carcinoma: Recent Progress in Diagnosis. Diagnostics 2023, 13, 1211. https://doi.org/10.3390/diagnostics13071211
Liao Z, Tang C, Luo R, Gu X, Zhou J, Gao J. Current Concepts of Precancerous Lesions of Hepatocellular Carcinoma: Recent Progress in Diagnosis. Diagnostics. 2023; 13(7):1211. https://doi.org/10.3390/diagnostics13071211
Chicago/Turabian StyleLiao, Ziyue, Cuiping Tang, Rui Luo, Xiling Gu, Jun Zhou, and Jian Gao. 2023. "Current Concepts of Precancerous Lesions of Hepatocellular Carcinoma: Recent Progress in Diagnosis" Diagnostics 13, no. 7: 1211. https://doi.org/10.3390/diagnostics13071211
APA StyleLiao, Z., Tang, C., Luo, R., Gu, X., Zhou, J., & Gao, J. (2023). Current Concepts of Precancerous Lesions of Hepatocellular Carcinoma: Recent Progress in Diagnosis. Diagnostics, 13(7), 1211. https://doi.org/10.3390/diagnostics13071211
