Correlation between Subchondral Insufficiency Fracture of the Knee and Osteoarthritis Progression in Patients with Medial Meniscus Posterior Root Tear
Abstract
:1. Introduction
2. Materials and Methods
2.1. Study Design and Participants
2.2. Patient Demographics and Preoperative and Postoperative Outcome Assessments
2.2.1. Patient Demographics
2.2.2. Image-Based MMPRT Diagnosis
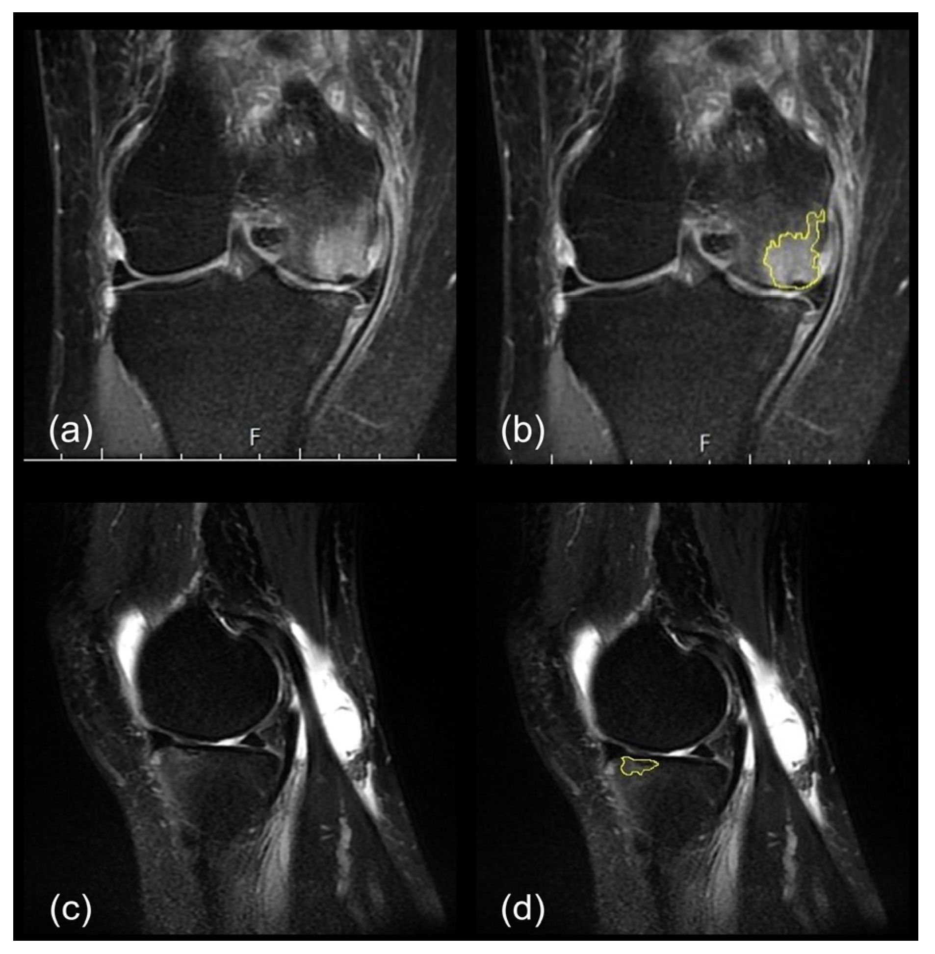
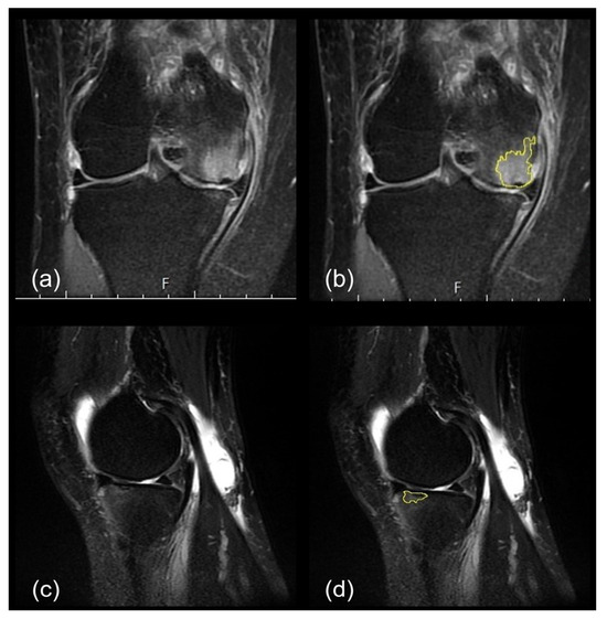
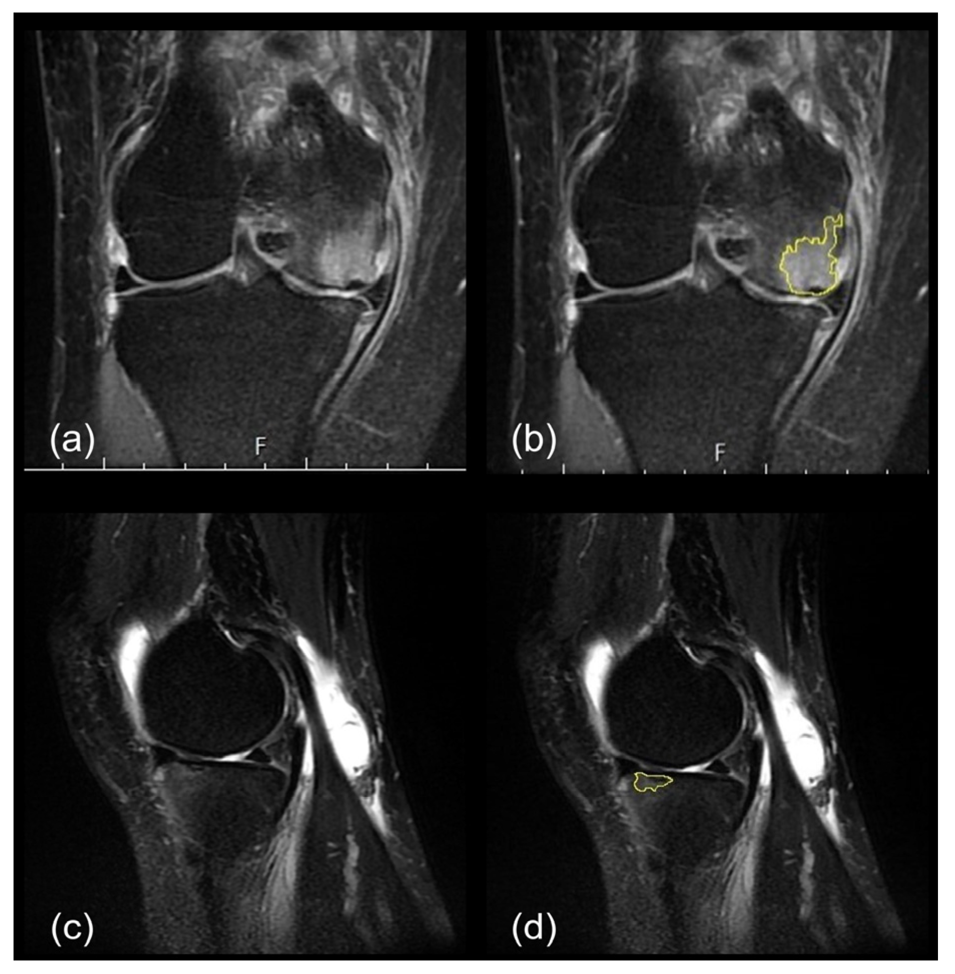
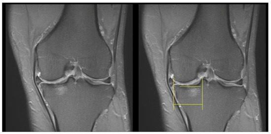
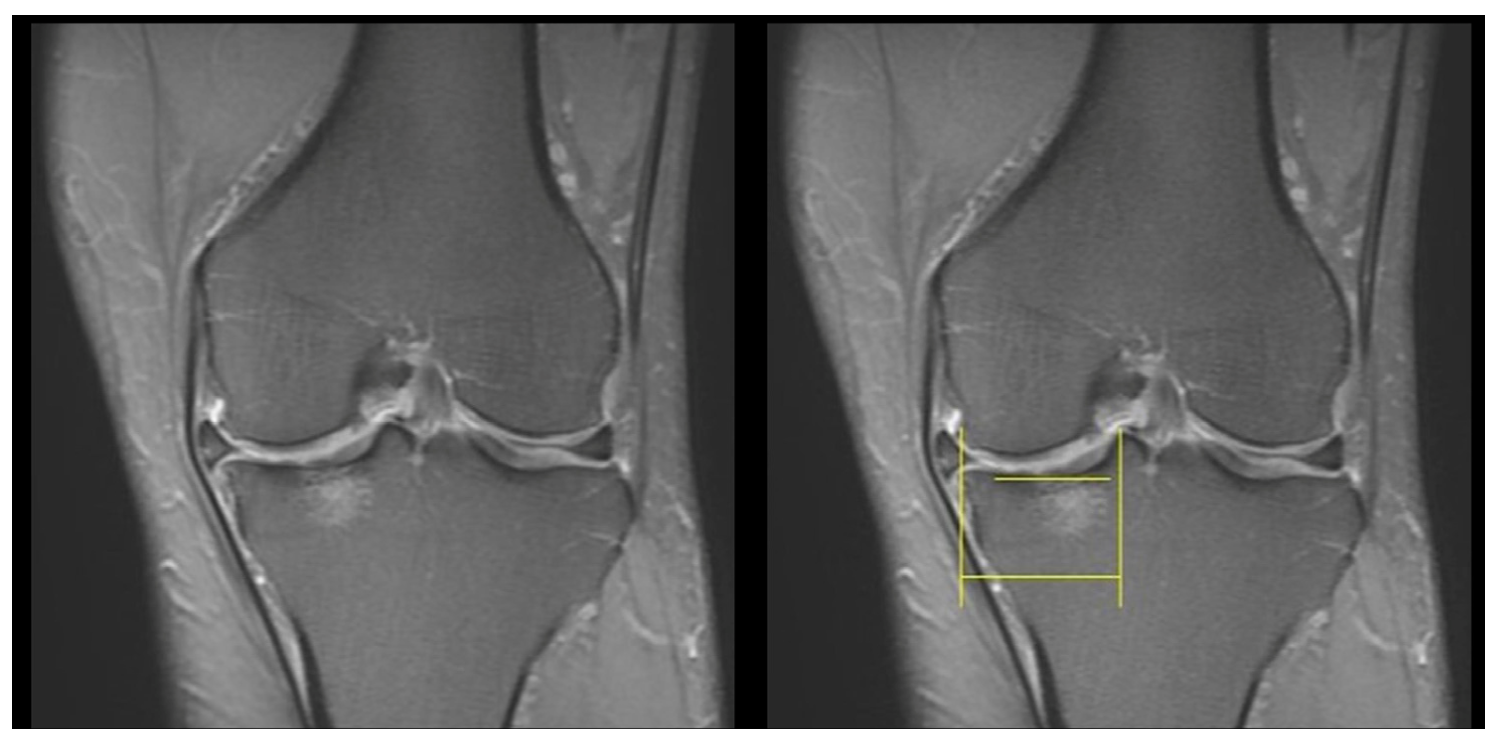
2.2.3. SIFK Identification
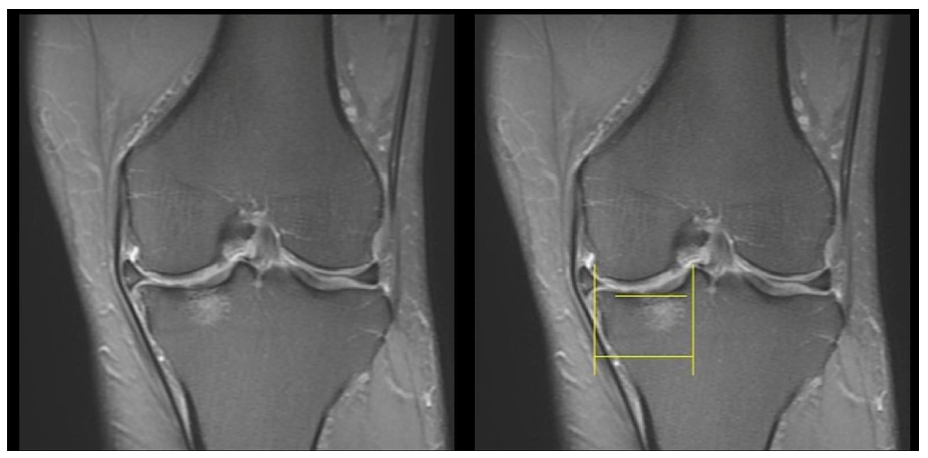
- The length units were calibrated using the 1 cm scale bar in the MRI images;
- An outline was drawn along the subchondral plate horizontally, and the flattened and depressed parts were connected;
- An outline was drawn along the thickened subchondral plate perpendicularly, without ill-defined areas, such that a radiating, disrupted linear pattern was obtained (Figure 2).
2.2.4. Knee OA Progression Grading
2.3. ATPR for MMPRTs
2.4. Postoperative Rehabilitation Protocol
2.5. Statistical Analysis
3. Results
3.1. Knee OA Progression
3.2. Influence of Lesion Characteristics
4. Discussion
5. Limitations
6. Conclusions
Author Contributions
Funding
Institutional Review Board Statement
Informed Consent Statement
Data Availability Statement
Conflicts of Interest
References
- Kan, A.; Oshida, M.; Oshida, S.; Imada, M.; Nakagawa, T.; Okinaga, S. Anatomical significance of a posterior horn of medial meniscus: The relationship between its radial tear and cartilage degradation of joint surface. BMC Sports Sci. Med. Rehabil. 2010, 2, 1. [Google Scholar] [CrossRef] [PubMed]
- Kim, D.H.; Lee, G.C.; Kim, H.H.; Cha, D.H. Correlation between meniscal extrusion and symptom duration, alignment, and arthritic changes in medial meniscus posterior root tear: Research article. Knee Surg. Relat. Res. 2020, 32, 2. [Google Scholar] [CrossRef] [PubMed]
- Teichtahl, A.J.; Cicuttini, F.M.; Abram, F.; Wang, Y.; Pelletier, J.P.; Dodin, P.; Martel-Pelletier, J. Meniscal extrusion and bone marrow lesions are associated with incident and progressive knee osteoarthritis. Osteoarthr. Cartil. 2017, 25, 1076–1083. [Google Scholar] [CrossRef] [PubMed]
- Oda, S.; Fujita, A.; Moriuchi, H.; Okamoto, Y.; Otsuki, S.; Neo, M. Medial meniscal extrusion and spontaneous osteonecrosis of the knee. J. Orthop. Sci. 2019, 24, 867–872. [Google Scholar] [CrossRef]
- Pache, S.; Aman, Z.S.; Kennedy, M.; Nakama, G.Y.; Moatshe, G.; Ziegler, C.; LaPrade, R.F. Meniscal Root Tears: Current Concepts Review. Arch. Bone Jt. Surg. 2018, 6, 250–259. [Google Scholar] [PubMed]
- Chahla, J.; LaPrade, R.F. Meniscal Root Tears. Arthroscopy 2019, 35, 1304–1305. [Google Scholar] [CrossRef]
- Kennedy, M.I.; Strauss, M.; LaPrade, R.F. Injury of the Meniscus Root. Clin. Sports Med. 2020, 39, 57–68. [Google Scholar] [CrossRef]
- Furumatsu, T.; Okazaki, Y.; Okazaki, Y.; Hino, T.; Kamatsuki, Y.; Masuda, S.; Miyazawa, S.; Nakata, E.; Hasei, J.; Kunisada, T.; et al. Injury patterns of medial meniscus posterior root tears. Orthop. Traumatol. Surg. Res. 2019, 105, 107–111. [Google Scholar] [CrossRef]
- Sundararajan, S.R.; Ramakanth, R.; Rajasekaran, S. Meniscal Root Repair Along with Auxiliary Procedures for Joint Preservation: Current Concepts. Indian J. Orthop. 2021, 55, 237–251. [Google Scholar] [CrossRef]
- Bhatia, S.; LaPrade, C.M.; Ellman, M.B.; LaPrade, R.F. Meniscal root tears: Significance, diagnosis, and treatment. Am. J. Sports Med. 2014, 42, 3016–3030. [Google Scholar] [CrossRef]
- Gannon, N.P.; Wise, K.L.; Macalena, J.A. Arthroscopic Transosseous Repair of a Medial Meniscal Posterior-Root Tear. JBJS Essent. Surg. Tech. 2021, 11, e20.00031. [Google Scholar] [CrossRef]
- Hein, C.N.; Deperio, J.G.; Ehrensberger, M.T.; Marzo, J.M. Effects of medial meniscal posterior horn avulsion and repair on meniscal displacement. Knee 2011, 18, 189–192. [Google Scholar] [CrossRef] [PubMed]
- Lerer, D.B.; Umans, H.R.; Hu, M.X.; Jones, M.H. The role of meniscal root pathology and radial meniscal tear in medial meniscal extrusion. Skelet. Radiol. 2004, 33, 569–574. [Google Scholar] [CrossRef]
- Faucett, S.C.; Geisler, B.P.; Chahla, J.; Krych, A.J.; Kurzweil, P.R.; Garner, A.M.; Liu, S.; LaPrade, R.F.; Pietzsch, J.B. Meniscus Root Repair vs Meniscectomy or Nonoperative Management to Prevent Knee Osteoarthritis After Medial Meniscus Root Tears: Clinical and Economic Effectiveness. Am. J. Sports Med. 2019, 47, 762–769. [Google Scholar] [CrossRef] [PubMed]
- Ro, K.H.; Kim, J.H.; Heo, J.W.; Lee, D.H. Clinical and Radiological Outcomes of Meniscal Repair Versus Partial Meniscectomy for Medial Meniscus Root Tears: A Systematic Review and Meta-analysis. Orthop. J. Sports Med. 2020, 8, 2325967120962078. [Google Scholar] [CrossRef] [PubMed]
- Chung, K.S.; Ha, J.K.; Yeom, C.H.; Ra, H.J.; Jang, H.S.; Choi, S.H.; Kim, J.G. Comparison of clinical and radiologic results between partial meniscectomy and refixation of medial meniscus posterior root tears: A minimum 5-year follow-up. Arthrosc. J. Arthrosc. Relat. Surg. 2015, 31, 1941–1950. [Google Scholar] [CrossRef]
- Kim, S.B.; Ha, J.K.; Lee, S.W.; Kim, D.W.; Shim, J.C.; Kim, J.G.; Lee, M.Y. Medial meniscus root tear refixation: Comparison of clinical, radiologic, and arthroscopic findings with medial meniscectomy. Arthrosc. J. Arthrosc. Relat. Surg. 2011, 27, 346–354. [Google Scholar] [CrossRef]
- Krych, A.J.; Johnson, N.R.; Mohan, R.; Dahm, D.L.; Levy, B.A.; Stuart, M.J. Partial meniscectomy provides no benefit for symptomatic degenerative medial meniscus posterior root tears. Knee Surg. Sports Traumatol. Arthrosc. 2018, 26, 1117–1122. [Google Scholar]
- D’Ambrosi, R.; Meena, A.; Raj, A.; Ursino, N.; Mangiavini, L.; Herbort, M.; Fink, C. In elite athletes with meniscal injuries, always repair the lateral, think about the medial! A systematic review. Knee Surg. Sports Traumatol. Arthrosc. 2023, 31, 2500–2510. [Google Scholar] [CrossRef]
- Kim, J.-H.; Chung, J.-H.; Lee, D.-H.; Lee, Y.-S.; Kim, J.-R.; Ryu, K.-J. Arthroscopic suture anchor repair versus pullout suture repair in posterior root tear of the medial meniscus: A prospective comparison study. Arthrosc. J. Arthrosc. Relat. Surg. 2011, 27, 1644–1653. [Google Scholar] [CrossRef]
- Bonasia, D.E.; Pellegrino, P.; D’Amelio, A.; Cottino, U.; Rossi, R. Meniscal root tear repair: Why, when and how? Orthop. Rev. 2015, 7, 5792. [Google Scholar]
- Chung, K.S.; Noh, J.M.; Ha, J.K.; Ra, H.J.; Park, S.B.; Kim, H.K.; Kim, J.G. Survivorship analysis and clinical outcomes of transtibial pullout repair for medial meniscus posterior root tears: A 5-to 10-year follow-up study. Arthrosc. J. Arthrosc. Relat. Surg. 2018, 34, 530–535. [Google Scholar] [CrossRef] [PubMed]
- Vyas, D.; Harner, C.D. Meniscus root repair. Sports Med. Arthrosc. Rev. 2012, 20, 86–94. [Google Scholar] [CrossRef] [PubMed]
- Marzo, J.M. Meniscus root avulsion. Clin. Sports Med. 2012, 31, 101–111. [Google Scholar] [CrossRef] [PubMed]
- Koenig, J.H.; Ranawat, A.S.; Umans, H.R.; DiFelice, G.S. Meniscal root tears: Diagnosis and treatment. Arthrosc. J. Arthrosc. Relat. Surg. 2009, 25, 1025–1032. [Google Scholar] [CrossRef]
- Stärke, C.; Kopf, S.; Gröbel, K.-H.; Becker, R. The effect of a nonanatomic repair of the meniscal horn attachment on meniscal tension: A biomechanical study. Arthrosc. J. Arthrosc. Relat. Surg. 2010, 26, 358–365. [Google Scholar] [CrossRef] [PubMed]
- Okimura, S.; Mae, T.; Tachibana, Y.; Iuchi, R.; Nakata, K.; Yamashita, T.; Shino, K. Biomechanical comparison of meniscus-suture constructs for pullout repair of medial meniscus posterior root tears. J. Exp. Orthop. 2019, 6, 17. [Google Scholar] [CrossRef]
- Ochi, J.; Nozaki, T.; Nimura, A.; Yamaguchi, T.; Kitamura, N. Subchondral insufficiency fracture of the knee: Review of current concepts and radiological differential diagnoses. Jpn. J. Radiol. 2022, 40, 443–457. [Google Scholar] [CrossRef]
- Serrano, D.V.; Saseendar, S.; Shanmugasundaram, S.; Bidwai, R.; Gómez, D.; D’Ambrosi, R. Spontaneous Osteonecrosis of the Knee: State of the Art. J. Clin. Med. 2022, 11, 6943. [Google Scholar] [CrossRef]
- Madry, H.; van Dijk, C.N.; Mueller-Gerbl, M. The basic science of the subchondral bone. Knee Surg. Sports Traumatol. Arthrosc. 2010, 18, 419–433. [Google Scholar] [CrossRef]
- Young, J.R.; Shamrock, A.G.; Rosenbaum, A.J. Spontaneous Osteonecrosis of the Knee. In StatPearls; StatPearls Publishing LLC.: Treasure Island, FL, USA, 2022. [Google Scholar]
- Barras, L.A.; Pareek, A.; Parkes, C.W.; Song, B.M.; Camp, C.L.; Saris, D.B.F.; Stuart, M.J.; Krych, A.J. Post-arthroscopic Subchondral Insufficiency Fractures of the Knee Yield High Rate of Conversion to Arthroplasty. Arthroscopy 2021, 37, 2545–2553. [Google Scholar] [CrossRef]
- Pareek, A.; Parkes, C.W.; Bernard, C.; Camp, C.L.; Saris, D.B.F.; Stuart, M.J.; Krych, A.J. Spontaneous Osteonecrosis/Subchondral Insufficiency Fractures of the Knee: High Rates of Conversion to Surgical Treatment and Arthroplasty. JBJS 2020, 102, 821–829. [Google Scholar] [CrossRef] [PubMed]
- Okazaki, Y.; Furumatsu, T.; Hiranaka, T.; Kintaka, K.; Takihira, S.; Kamatsuki, Y.; Tetsunaga, T.; Ozaki, T. Medial meniscus posterior root repair prevents the progression of subchondral insufficiency fracture of the knee. J. Orthop. Sci. 2021, 26, 1051–1055. [Google Scholar] [CrossRef] [PubMed]
- Furumatsu, T.; Hiranaka, T.; Kintaka, K.; Okazaki, Y.; Higashihara, N.; Tamura, M.; Ozaki, T. A characteristic MRI finding to diagnose a partial tear of the medial meniscus posterior root: An ocarina sign. Knee Surg. Relat. Res. 2021, 33, 38. [Google Scholar] [CrossRef] [PubMed]
- Furumatsu, T.; Fujii, M.; Kodama, Y.; Ozaki, T. A giraffe neck sign of the medial meniscus: A characteristic finding of the medial meniscus posterior root tear on magnetic resonance imaging. J. Orthop. Sci. 2017, 22, 731–736. [Google Scholar] [CrossRef] [PubMed]
- Costa, C.R.; Morrison, W.B.; Carrino, J.A. Medial meniscus extrusion on knee MRI: Is extent associated with severity of degeneration or type of tear? Am. J. Roentgenol. 2004, 183, 17–23. [Google Scholar] [CrossRef] [PubMed]
- Nakamura, R.; Okano, A.; Yoshida, I.; Shimakawa, T. A spreading roots sign: Characteristic sign of the preliminary stage of medial meniscus posterior root tear on magnetic resonance imaging. J. Orthop. Sci. 2022, 27, 1107–1113. [Google Scholar] [CrossRef]
- Gorbachova, T.; Melenevsky, Y.; Cohen, M.; Cerniglia, B.W. Osteochondral Lesions of the Knee: Differentiating the Most Common Entities at MRI. RadioGraphics 2018, 38, 1478–1495. [Google Scholar] [CrossRef]
- Schneider, C.A.; Rasband, W.S.; Eliceiri, K.W. NIH Image to ImageJ: 25 years of image analysis. Nat. Methods 2012, 9, 671–675. [Google Scholar] [CrossRef]
- Kohn, M.D.; Sassoon, A.A.; Fernando, N.D. Classifications in Brief: Kellgren-Lawrence Classification of Osteoarthritis. Clin. Orthop. Relat. Res. 2016, 474, 1886–1893. [Google Scholar] [CrossRef]
- Kan, H.; Arai, Y.; Kobayashi, M.; Nakagawa, S.; Inoue, H.; Hino, M.; Komaki, S.; Ikoma, K.; Ueshima, K.; Fujiwara, H.; et al. Radiographic Measurement of Joint Space Width Using the Fixed Flexion View in 1,102 Knees of Japanese Patients with Osteoarthritis in Comparison with the Standing Extended View. Knee Surg. Relat. Res. 2017, 29, 63–68. [Google Scholar] [CrossRef] [PubMed]
- Krych, A.J.; Lamba, A.; Wang, A.S.; Boos, A.M.; Camp, C.L.; Levy, B.A.; Stuart, M.J.; Hevesi, M. Nonoperative Management of Degenerative Medial Meniscus Posterior Root Tears: Poor Outcomes at a Minimum 10-Year Follow-up. Am. J. Sports Med. 2023, 51, 2603–2607. [Google Scholar] [CrossRef] [PubMed]
- Krivicich, L.M.; Kunze, K.N.; Parvaresh, K.C.; Jan, K.; DeVinney, A.; Vadhera, A.; LaPrade, R.F.; Chahla, J. Comparison of Long-term Radiographic Outcomes and Rate and Time for Conversion to Total Knee Arthroplasty Between Repair and Meniscectomy for Medial Meniscus Posterior Root Tears: A Systematic Review and Meta-analysis. Am. J. Sports Med. 2022, 50, 2023–2031. [Google Scholar] [CrossRef] [PubMed]
- Pathria, M.N.; Chung, C.B.; Resnick, D.L. Acute and Stress-related Injuries of Bone and Cartilage: Pertinent Anatomy, Basic Biomechanics, and Imaging Perspective. Radiology 2016, 280, 21–38. [Google Scholar] [CrossRef] [PubMed]
- Okazaki, Y.; Furumatsu, T.; Hiranaka, T.; Kamatsuki, Y.; Nakata, E.; Tetsunaga, T.; Yamane, K.; Ozaki, T. Grade of Subchondral Insufficiency Fracture of the Knee and the Presence of a Posterior Shiny-Corner Lesion are Correlated with Duration of Medial Meniscus Posterior Root Tear in Women. Acta Med. Okayama 2022, 76, 121–127. [Google Scholar] [PubMed]
- Pareek, A.; Parkes, C.W.; Bernard, C.D.; Abdel, M.P.; Saris, D.B.F.; Krych, A.J. The SIFK score: A validated predictive model for arthroplasty progression after subchondral insufficiency fractures of the knee. Knee Surg. Sports Traumatol. Arthrosc. 2020, 28, 3149–3155. [Google Scholar] [CrossRef] [PubMed]
- Rozing, P.M.; Insall, J.; Bohne, W.H. Spontaneous osteonecrosis of the knee. J. Bone Jt. Surg. Am. 1980, 62, 2–7. [Google Scholar] [CrossRef]
- Walsh, D.A.; Sofat, N.; Guermazi, A.; Hunter, D.J. Osteoarthritis Bone Marrow Lesions. Osteoarthr. Cartil. 2023, 31, 11–17. [Google Scholar] [CrossRef] [PubMed]
- Moon, H.-K.; Koh, Y.-G.; Kim, Y.-C.; Park, Y.-S.; Jo, S.-B.; Kwon, S.-K. Prognostic Factors of Arthroscopic Pull-out Repair for a Posterior Root Tear of the Medial Meniscus. Am. J. Sports Med. 2012, 40, 1138–1143. [Google Scholar] [CrossRef]
- Maquet, P. The treatment of choice in osteoarthritis of the knee. Clin. Orthop. Relat. Res. (1976–2007) 1985, 192, 108–112. [Google Scholar] [CrossRef]
- Coventry, M.B. Osteotomy about the knee for degenerative and rheumatoid arthritis: Indications, operative technique, and results. JBJS 1973, 55, 23–48. [Google Scholar] [CrossRef]
- Akamatsu, Y.; Koshino, T.; Saito, T.; Wada, J. Changes in osteosclerosis of the osteoarthritic knee after high tibial osteotomy. Clin. Orthop. Relat. Res. 1997, 334, 207–214. [Google Scholar] [CrossRef]
- Lee, D.C.; Byun, S.J. High tibial osteotomy. Knee Surg. Relat. Res. 2012, 24, 61–69. [Google Scholar] [CrossRef]
- Amendola, A.; Bonasia, D.E. Results of high tibial osteotomy: Review of the literature. Int. Orthop. 2010, 34, 155–160. [Google Scholar] [CrossRef] [PubMed]
- Choi, H.G.; Kim, J.S.; Yoo, H.J.; Jung, Y.S.; Lee, Y.S. The Fate of Bone Marrow Lesions After Open Wedge High Tibial Osteotomy: A Comparison Between Knees with Primary Osteoarthritis and Subchondral Insufficiency Fractures. Am. J. Sports Med. 2021, 49, 1551–1560. [Google Scholar] [CrossRef] [PubMed]
- Kumagai, K.; Yamada, S.; Nejima, S.; Sotozawa, M.; Inaba, Y. Biological Effects of High Tibial Osteotomy on Spontaneous Osteonecrosis of the Knee. Cartilage 2022, 13, 19476035221118171. [Google Scholar] [CrossRef] [PubMed]






| Preoperative Characteristics (n = 48) | SIFK | p | Total | |
|---|---|---|---|---|
| No (n = 20) | Yes (n = 28) | |||
| Mean age (year) a | 58.34 ± 7.46 | 58.85 ± 11.52 | 0.867 c | 58.64 ± 9.94 |
| Height (cm) a | 159.85 ± 8.60 | 160.05 ± 9.40 | 0.939 c | 159.97 ± 8.98 |
| Weight (kg) a | 72.98 ± 14.68 | 70.30 ± 14.70 | 0.536 c | 71.41 ± 14.60 |
| Body Mass Index (kg/m2) a | 28.72 ± 5.58 | 27.41 ± 5.04 | 0.398 c | 27.95 ± 5.25 |
| Sex (Female/Male) b | 14/6 | 18/10 | 0.763 d | 32/16 |
| ǂ Preoperative medial knee joint width (cm) a | 0.45 ± 0.10 | 0.42 ± 0.13 | 0.440 c | 0.43 ± 0.12 |
| * Preoperative KL grade b | 0/4/9/7/0 | 2/5/13/7/1 | 0.789 d | 2/9/22/14/1 |
| # Follow-up duration (months) a | 11.25 ± 9.13 | 10.74 ± 6.88 | 0.826 c | 10.96 ± 7.80 |
| Difference in Kellgren–Lawrence Grade | p | |||||
|---|---|---|---|---|---|---|
| 0 (n = 8) | 1 (n = 11) | 2 (n = 6) | 3 (n = 3) | |||
| Coronal view | Femur | 1.13 ± 1.88 | 0.56 ± 0.56 | 0.43 ± 0.63 | 0.71± 0.94 | 0.196 a |
| Tibia | 0.79 ± 1.12 | 1.42 ± 1.17 | 0.97 ± 0.88 | 1.55± 0.89 | 0.008 a | |
| Sagittal view | Femur | 1.26 ± 1.65 | 0.86 ± 1.02 | 1.14 ± 1.52 | 0.62 ± 0.87 | 0.063 a |
| Tibia | 1.10 ± 1.56 | 1.47 ± 1.34 | 1.17 ± 0.91 | 1.77 ± 1.70 | 0.031 a | |
| Lesion-to-tibia length ratio | 0.30 ± 0.30 | 0.65 ± 0.37 | 0.59 ± 0.35 | 0.83 ± 0.34 | 0.002 a | |
| Site | Medial femur | 6 | 7 | 3 | 3 | 0.629 b |
| Lateral femur | 0 | 2 | 1 | 0 | 0.705 b | |
| Medial tibia | 6 | 11 | 6 | 3 | 0.233 b | |
| Lateral tibia | 0 | 0 | 0 | 0 | - c | |
Disclaimer/Publisher’s Note: The statements, opinions and data contained in all publications are solely those of the individual author(s) and contributor(s) and not of MDPI and/or the editor(s). MDPI and/or the editor(s) disclaim responsibility for any injury to people or property resulting from any ideas, methods, instructions or products referred to in the content. |
© 2023 by the authors. Licensee MDPI, Basel, Switzerland. This article is an open access article distributed under the terms and conditions of the Creative Commons Attribution (CC BY) license (https://creativecommons.org/licenses/by/4.0/).
Share and Cite
Chen, B.-K.; Lin, Y.-C.; Liu, Y.-H.; Weng, P.-W.; Chen, K.-H.; Chiang, C.-J.; Wong, C.-C. Correlation between Subchondral Insufficiency Fracture of the Knee and Osteoarthritis Progression in Patients with Medial Meniscus Posterior Root Tear. Diagnostics 2023, 13, 3532. https://doi.org/10.3390/diagnostics13233532
Chen B-K, Lin Y-C, Liu Y-H, Weng P-W, Chen K-H, Chiang C-J, Wong C-C. Correlation between Subchondral Insufficiency Fracture of the Knee and Osteoarthritis Progression in Patients with Medial Meniscus Posterior Root Tear. Diagnostics. 2023; 13(23):3532. https://doi.org/10.3390/diagnostics13233532
Chicago/Turabian StyleChen, Bing-Kuan, Yi-Cheng Lin, Yu-Hsin Liu, Pei-Wei Weng, Kuan-Hao Chen, Chang-Jung Chiang, and Chin-Chean Wong. 2023. "Correlation between Subchondral Insufficiency Fracture of the Knee and Osteoarthritis Progression in Patients with Medial Meniscus Posterior Root Tear" Diagnostics 13, no. 23: 3532. https://doi.org/10.3390/diagnostics13233532
APA StyleChen, B.-K., Lin, Y.-C., Liu, Y.-H., Weng, P.-W., Chen, K.-H., Chiang, C.-J., & Wong, C.-C. (2023). Correlation between Subchondral Insufficiency Fracture of the Knee and Osteoarthritis Progression in Patients with Medial Meniscus Posterior Root Tear. Diagnostics, 13(23), 3532. https://doi.org/10.3390/diagnostics13233532

