Arteria Praebronchialis (AP) Found on MDCT: An Updated Incidence and Branching Patterns
Abstract
1. Introduction
2. Materials and Methods
2.1. Study Population and Incidence
2.2. CT Technique
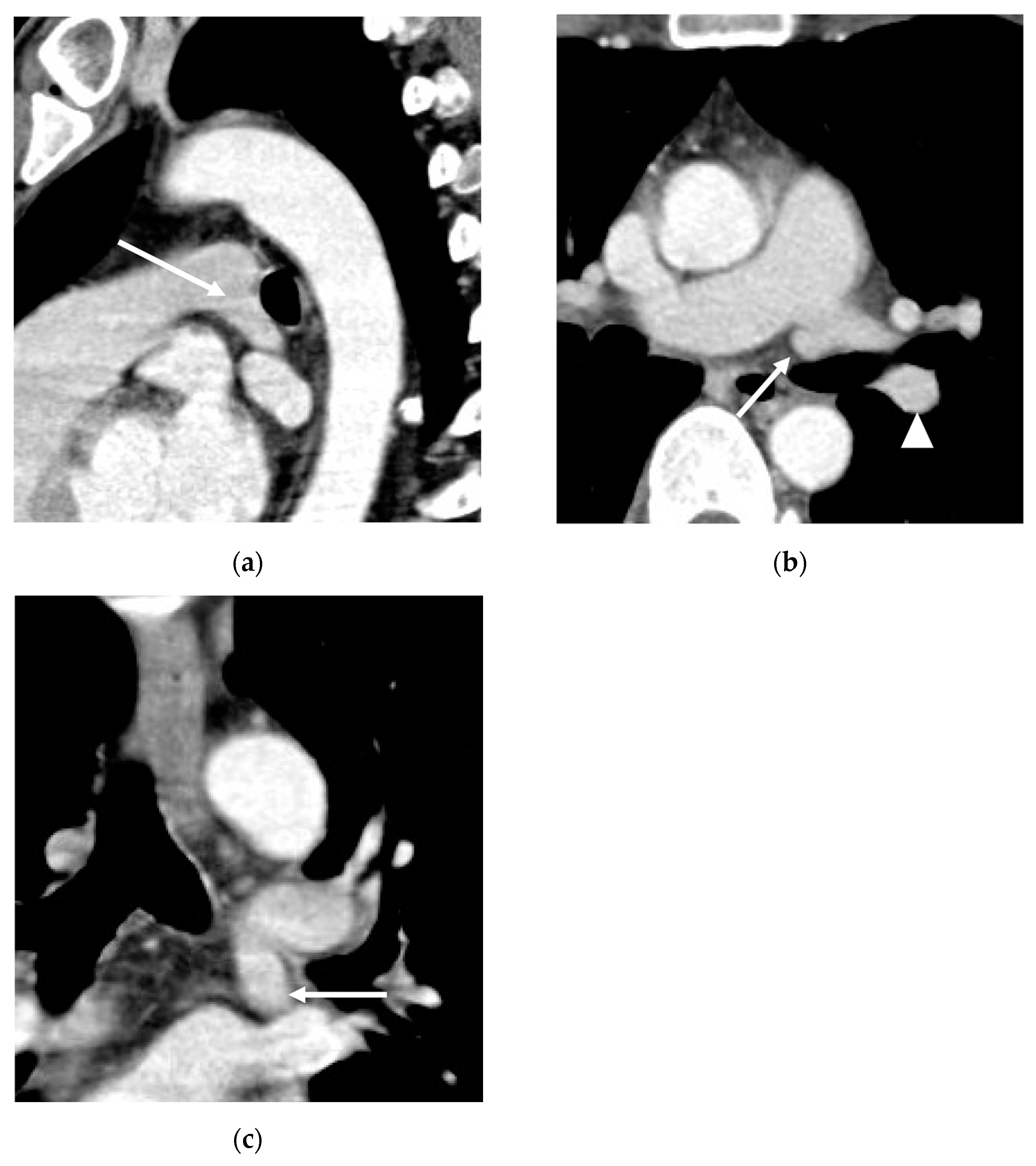
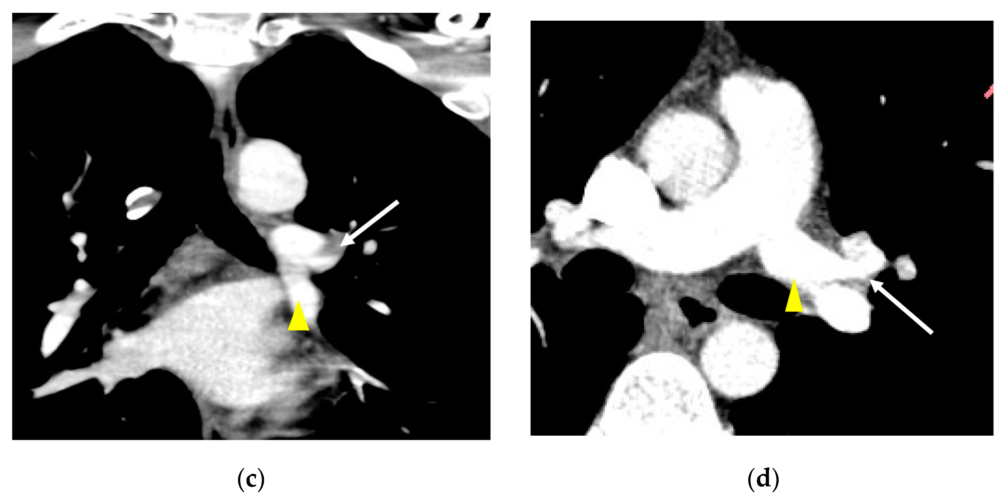
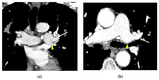
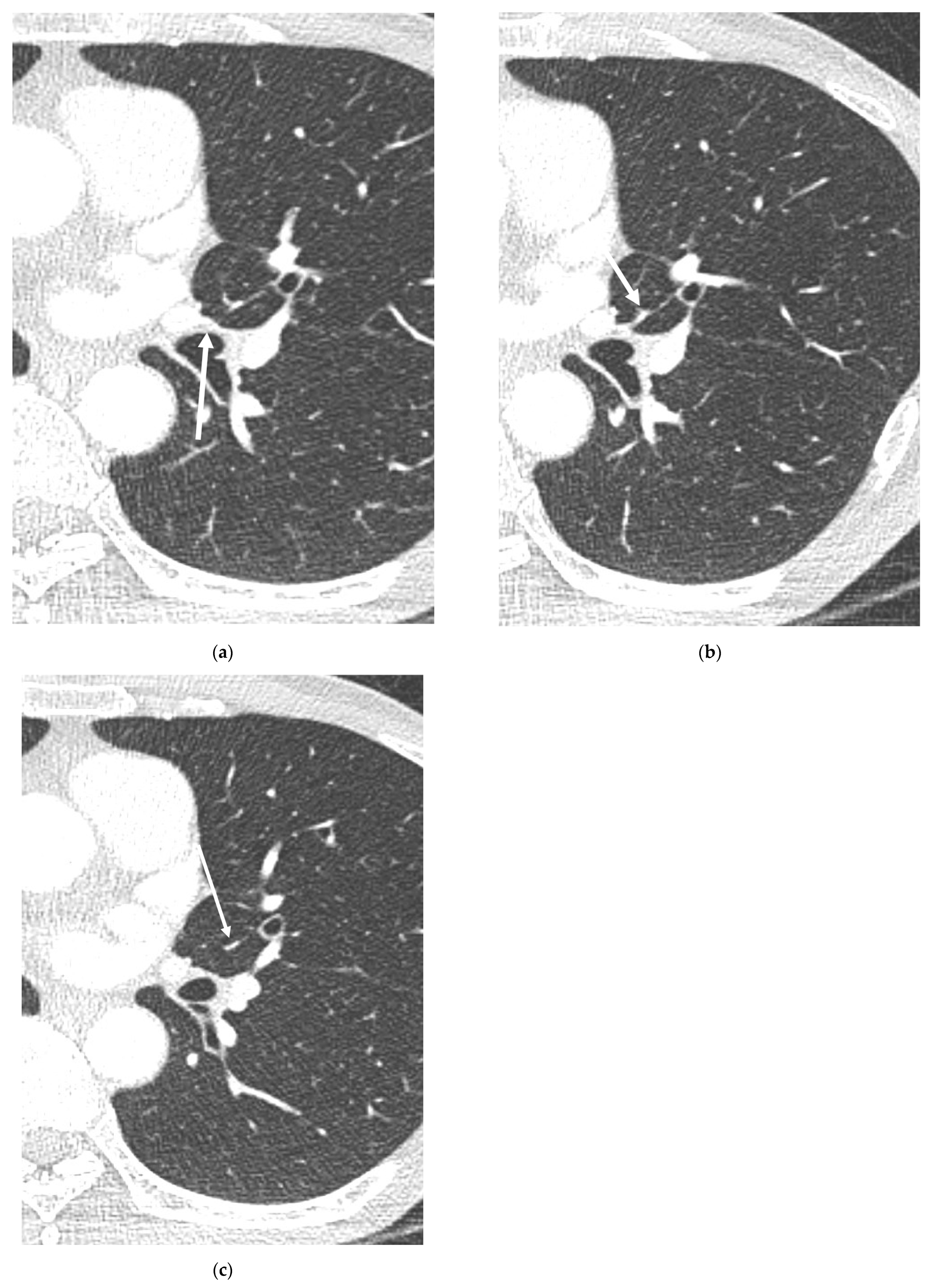
2.3. Image Interpretation
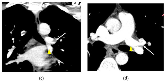
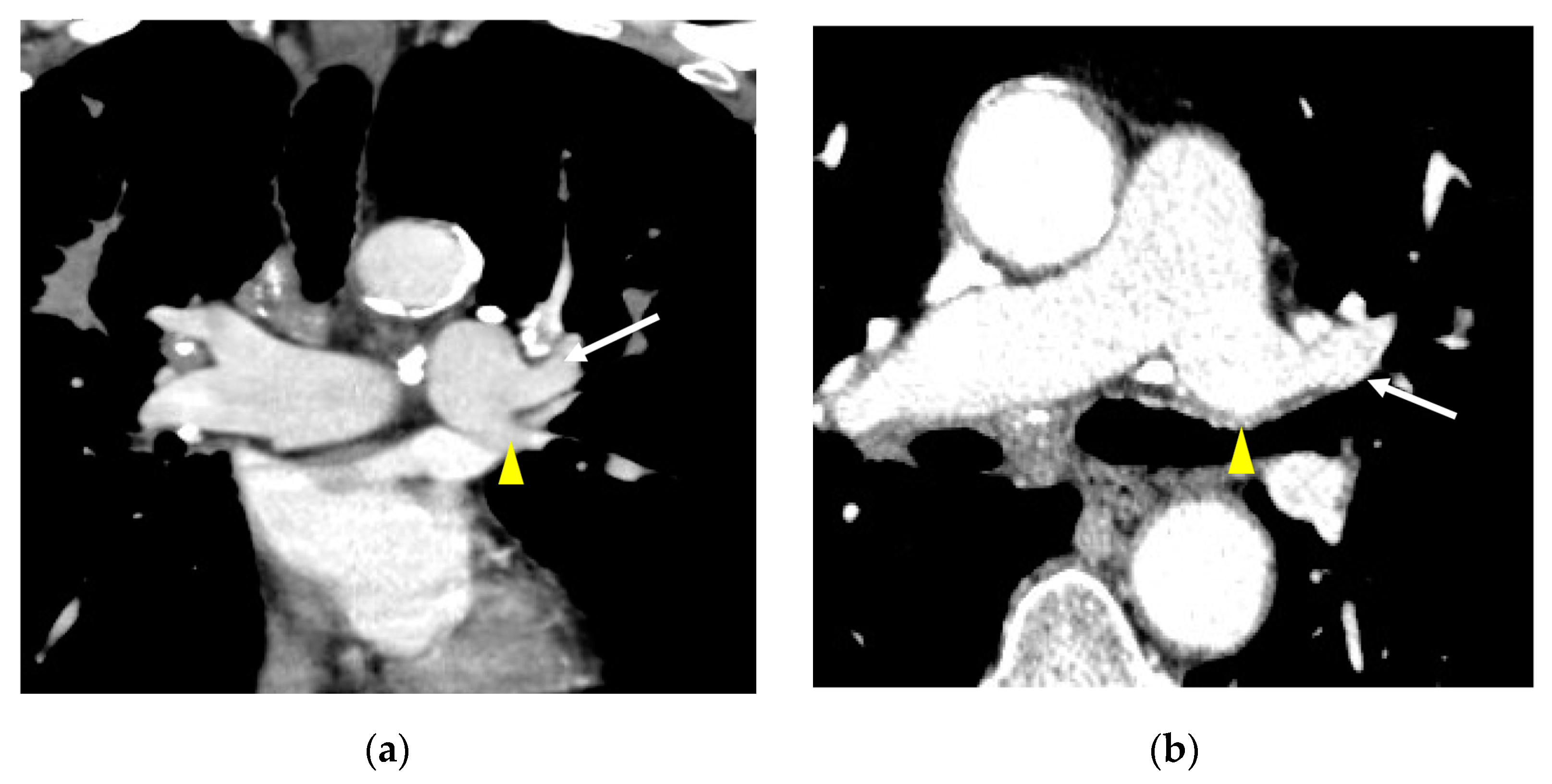
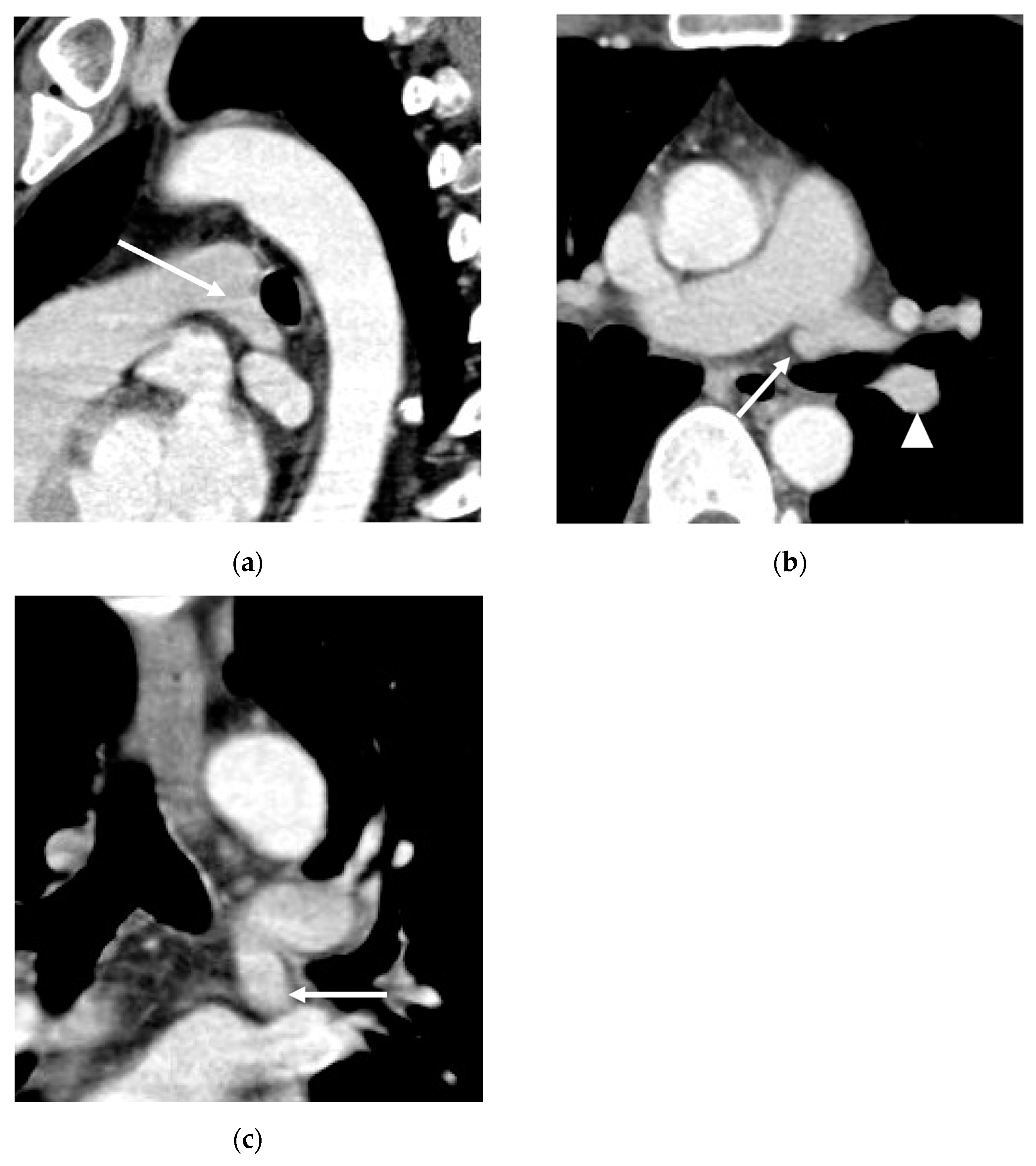
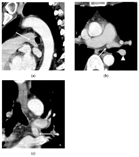
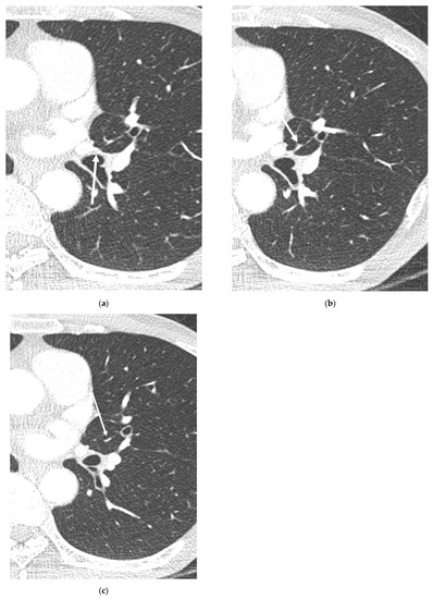
3. Results
3.1. Incidence
3.2. Lobar and Segmental Supply Patternf of the AP
3.3. Diameter of the AP
3.4. Presence of Other Accompanying Variations
4. Discussion
5. Conclusions
Author Contributions
Funding
Institutional Review Board Statement
Informed Consent Statement
Data Availability Statement
Acknowledgments
Conflicts of Interest
References
- Olry, R.; Lellouch, A. The arterial system of the Japanese anatomist Buntaro Adachi. Hist. Sci. Med. 2003, 37, 89–94. [Google Scholar] [PubMed]
- Iwabuchi, S.; Okabe, T.; Koike, K. Aberrant ramuts of left pulmonary artery to inferior lingular and anterior basal segment (A5+8). J. Jpn. Assoc. Chest Surg. 1995, 9, 159–163. [Google Scholar] [CrossRef]
- Nagata, T.; Nakamura, Y.; Kariatsumari, K.; Otsuka, T.; Aoki, M.; Sato, M. Potentially overlooked branches of the left pul-monary artery. Asian Cardiovasc. Thorac. Ann. 2016, 24, 676–680. [Google Scholar] [CrossRef] [PubMed]
- Sonoda, D.; Mikubo, M.; Shiomi, K.; Satoh, Y. Abnormal branching of the left lingular pulmonary artery diagnosed by three-dimensional computed tomographic angiography in a patient with lung cancer: A case report. J. Cardiothorac. Surg. 2016, 11, 17. [Google Scholar] [CrossRef] [PubMed][Green Version]
- Hong, J.H.; Kim, H.J.; Han, D.H.; Sung, S.H.; Ahn, M.I.; Jung, J.I. Arteria praebronchialis found on MDCT: Potentially dangerous aberrant artery supplying the left lower lobe. Surg. Radiol. Anat. 2015, 37, 1021–1026. [Google Scholar] [CrossRef] [PubMed]
- Yamada, S.; Inoue, Y.; Suga, A.; Iwazaki, M. Surgical risk of vessel injury: An unusual anatomical variant of the right medial basal segmental pulmonary artery. Gen. Thorac. Cardiovasc. Surg. 2011, 59, 301–303. [Google Scholar] [CrossRef] [PubMed]
- Moriyama, S.M.K.; Tada, A.; Kurosaki, T. A case report of abnormal branching of left A8+9 pulmonary artery. Jpn. J. Chest Surg. 2009, 23, 58–61. [Google Scholar] [CrossRef]
- Yildirim, A.; Karabulut, N.; Dogan, S.; Herek, D. Congenital thoracic arterial anomalies in adult: CT overview. Diagn. Interv. Radiol. 2011, 17, 352–362. [Google Scholar] [CrossRef] [PubMed]
- Matsumoto, K.; Yamasaki, N.; Tsuchiya, T.; Miyazaki, T.; Tomoshige, K.; Hayashi, H.; Ashizawa, K.; Nagayasu, T. Three-dimensional computed to-mography for a mediastinal basal pulmonary artery. Ann. Thorac. Surg. 2012, 94, e115–e116. [Google Scholar] [CrossRef] [PubMed][Green Version]
- Shibano, T.; Endo, S.; Tetsuka, K.; Kanai, Y. Dangerous mediastinal basal pulmonary artery during left upper lobectomy. Interact. Cardiovasc. Thorac. Surg. 2011, 13, 358–360. [Google Scholar] [CrossRef] [PubMed]
- Jiro BAMBA THVSMM. An example of an abnormal branch of the left inferior lobe pulmonary artery (A9+10). Jpn. Extern. Co. 1985, 33, 366–368. [Google Scholar]
- Kataoka, K.; Nishikawa, T.; Fujiwara, T.; Matsuura, M. A Case of Lung Cancer with an Extremely Rare Branching Pattern of the Left A5+8+9+10 Pulmonary Artery. Haigan 2010, 50, 362–365. [Google Scholar] [CrossRef][Green Version]
- Mizukami, Y.; Ueda, N.; Adachi, H. Intraoperative diagnosis with abnormal branching of the left A8 pulmonary artery from the left main pulmonary artery. Surg. Case Rep. 2018, 4, 68. [Google Scholar] [CrossRef] [PubMed]
- Sueda, T.; Takami, K.; Omiya, H.; Kodama, Y.; Kuriyama, K.; Tsujinaka, T. A Case of Abnormal Branching of the Left Anterobasal Pulmonary Artery with Primary Lung Cancer. Nihon Rinsho Geka Gakkai Zasshi (J. Jpn. Surg. Assoc.) 2011, 72, 630–635. [Google Scholar] [CrossRef][Green Version]
- Kaneda, Y.; Samura, M.; Kanayama, Y.; Okazaki, M.; Noshima, S.; Zempo, N. A case of abnormal branching of the left A9 pulmonary artery from the left main pulmonary artery. Nihon Rinsho Geka Gakkai Zasshi (J. Jpn. Surg. Assoc.) 2012, 73, 1920–1923. [Google Scholar] [CrossRef][Green Version]
- Yajima, K.; Neyatani, H.; Takahashi, T. A Resected Case of Left Upper Lung Cancer with A4, A5, A9 and A10 Arising as a Common Trunk from the Left Main Pulmonary Artery. Haigan 2014, 54, 84–88. [Google Scholar] [CrossRef]
- Kawai, N.; Kawaguchi, T.; Yasukawa, M.; Tojo, T. Two cases of lower lobectomy with mediastinal inferior lobar branch in lung cancer. J. Jpn. Assoc. Chest Surg. 2015, 29, 786–791. [Google Scholar] [CrossRef][Green Version]
- Subotich, D.; Mandarich, D.; Milisavljevich, M.; Filipovich, B.; Nikolich, V. Variations of pulmonary vessels: Some practical implications for lung resections. Clin. Anat. 2009, 22, 698–705. [Google Scholar] [CrossRef] [PubMed]
- He, H.; Chen, P.; Chen, X.; Wang, P.Y.; Liu, S.Y.; Wang, F. Analysis of anatomical variations of the lingular artery of the left upper lobe using 3D computed tomography angiography and bronchography. J. Thorac. Dis. 2021, 13, 5035–5041. [Google Scholar] [CrossRef] [PubMed]
- Dejima, H.; Takahashi, Y.; Hato, T.; Seto, K.; Mizuno, T.; Kuroda, H.; Sakakura, N.; Kawamura, M.; Sakao, Y. Mediastinal pulmonary artery is associated with greater artery diameter and lingular division volume. Sci. Rep. 2017, 7, 1273. [Google Scholar] [CrossRef] [PubMed]








| Patient | Age | Sex | Superior Division of LUL | Lingular Division of LUL | LLL | Number of Segments Supplied by AP | |||||||
|---|---|---|---|---|---|---|---|---|---|---|---|---|---|
| S1+2 | S3 | S4 | S5 | S6 | S7+8 | S9 | S10 | Lingular Division | LLL | Total | |||
| Patient 1 | 29 | M | X | X | L | L | L | A | L | B | 0 | 2 | 2 |
| Patient 2 | 66 | M | X | X | L | A | L | A | A | L | 1 | 2 | 3 |
| Patient 3 | 72 | M | X | X | L | L | L | A | L | L | 0 | 1 | 1 |
| Patient 4 | 64 | M | X | X | B | A | L | B | B | B | 1 | 4 | 5 |
| Patient 5 | 59 | M | X | X | L | A | L | B | L | L | 1 | 1 | 2 |
| Patient 6 | 62 | M | X | X | L | L | L | B | L | B | 0 | 2 | 2 |
| Patient 7 | 53 | F | X | X | L | A | L | B | L | B | 1 | 2 | 3 |
| Patient 8 | 51 | M | X | X | L | L | L | B | L | A | 0 | 2 | 2 |
| Patient 9 | 63 | M | X | X | L | B | L | L | L | B | 1 | 1 | 2 |
| Patient 10 | 69 | F | X | X | L | A | L | A | L | L | 1 | 1 | 2 |
| Patient 11 | 76 | M | X | X | L | B | L | B | L | B | 1 | 2 | 3 |
| Patient 12 | 81 | M | X | X | L | L | L | B | L | L | 0 | 1 | 1 |
| Patient 13 | 78 | M | X | X | L | L | L | B | L | B | 0 | 2 | 2 |
| Patient 14 | 41 | F | X | X | L | A | L | B | L | B | 1 | 2 | 3 |
| Patient 15 | 34 | M | X | X | L | L | L | B | B | B | 0 | 3 | 3 |
| Patient 16 | 72 | M | X | X | L | L | L | A | B | B | 0 | 3 | 3 |
| Patient 17 | 65 | M | X | X | L | A | L | A | L | L | 1 | 1 | 2 |
| Patient 18 | 72 | M | X | X | L | L | L | B | L | B | 0 | 2 | 2 |
| Patient 19 | 46 | M | X | X | L | L | L | B | L | B | 0 | 2 | 2 |
| Supplying Artery | Segments | |||||||
|---|---|---|---|---|---|---|---|---|
| LUL Superior Division | LUL Lingular Division | LLL | ||||||
| S1+2 | S3 | S4 | S5 | S6 | S7+8 | S9 | S10 | |
| AP | 0 | 0 | 1 | 9 | 0 | 18 | 4 | 13 |
| LDPA | 0 | 0 | 19 | 12 | 19 | 13 | 18 | 18 |
| Both AP and LDPA | 0 | 0 | 1 | 2 | 0 | 12 | 3 | 12 |
| Exclusively by AP | 0 | 0 | 0 | 7 | 0 | 6 | 1 | 1 |
| Exclusively by LDPA | 0 | 0 | 18 | 10 | 19 | 1 | 15 | 6 |
| The Size of AP, Compared with LDPA | Number of Segments Supplied by AP | |
|---|---|---|
| Patient 1 | Smaller | 2 |
| Patient 2 | Larger | 3 |
| Patient 3 | Smaller | 1 |
| Patient 4 | Equal | 5 |
| Patient 5 | Equal | 2 |
| Patient 6 | Smaller | 2 |
| Patient 7 | Equal | 3 |
| Patient 8 | Larger | 2 |
| Patient 9 | Smaller | 2 |
| Patient 10 | Larger | 2 |
| Patient 11 | Equal | 3 |
| Patient 12 | Smaller | 1 |
| Patient 13 | Larger | 2 |
| Patient 14 | Smaller | 3 |
| Patient 15 | Smaller | 3 |
| Patient 16 | Equal | 3 |
| Patient 17 | Smaller | 2 |
| Patient 18 | Smaller | 2 |
| Patient 19 | Smaller | 2 |
Disclaimer/Publisher’s Note: The statements, opinions and data contained in all publications are solely those of the individual author(s) and contributor(s) and not of MDPI and/or the editor(s). MDPI and/or the editor(s) disclaim responsibility for any injury to people or property resulting from any ideas, methods, instructions or products referred to in the content. |
© 2023 by the authors. Licensee MDPI, Basel, Switzerland. This article is an open access article distributed under the terms and conditions of the Creative Commons Attribution (CC BY) license (https://creativecommons.org/licenses/by/4.0/).
Share and Cite
Gil, B.M.; Beck, K.S.; Kim, K.S.; Han, D.H. Arteria Praebronchialis (AP) Found on MDCT: An Updated Incidence and Branching Patterns. Diagnostics 2023, 13, 2744. https://doi.org/10.3390/diagnostics13172744
Gil BM, Beck KS, Kim KS, Han DH. Arteria Praebronchialis (AP) Found on MDCT: An Updated Incidence and Branching Patterns. Diagnostics. 2023; 13(17):2744. https://doi.org/10.3390/diagnostics13172744
Chicago/Turabian StyleGil, Bo Mi, Kyongmin Sarah Beck, Kyung Soo Kim, and Dae Hee Han. 2023. "Arteria Praebronchialis (AP) Found on MDCT: An Updated Incidence and Branching Patterns" Diagnostics 13, no. 17: 2744. https://doi.org/10.3390/diagnostics13172744
APA StyleGil, B. M., Beck, K. S., Kim, K. S., & Han, D. H. (2023). Arteria Praebronchialis (AP) Found on MDCT: An Updated Incidence and Branching Patterns. Diagnostics, 13(17), 2744. https://doi.org/10.3390/diagnostics13172744

