Intervertebral Canals and Intracanal Ligaments as New Terms in Terminologia anatomica
Abstract
1. Introduction
2. Materials and Methods
2.1. Regional Anatomy Study
2.2. Methodology of Sectional Study
2.3. Modeling Technique
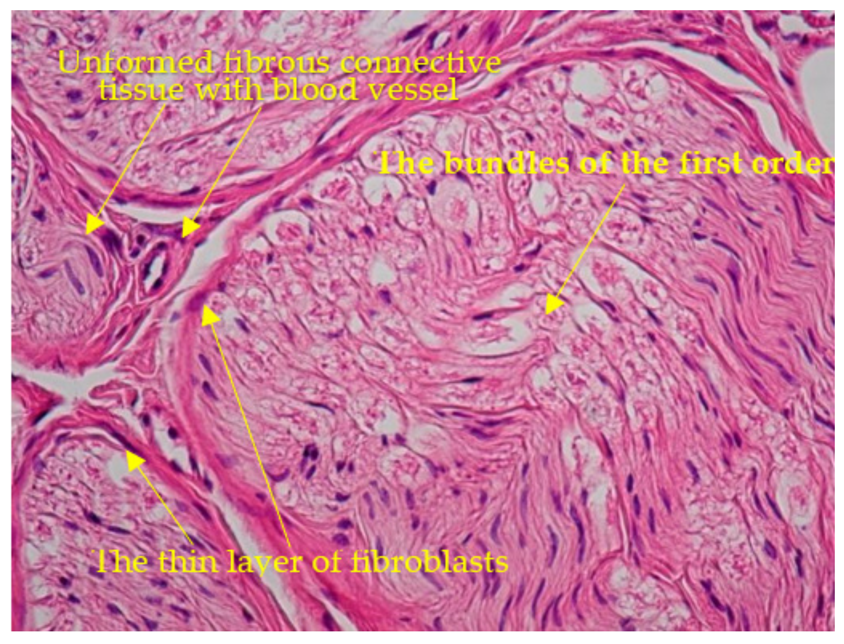
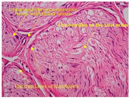
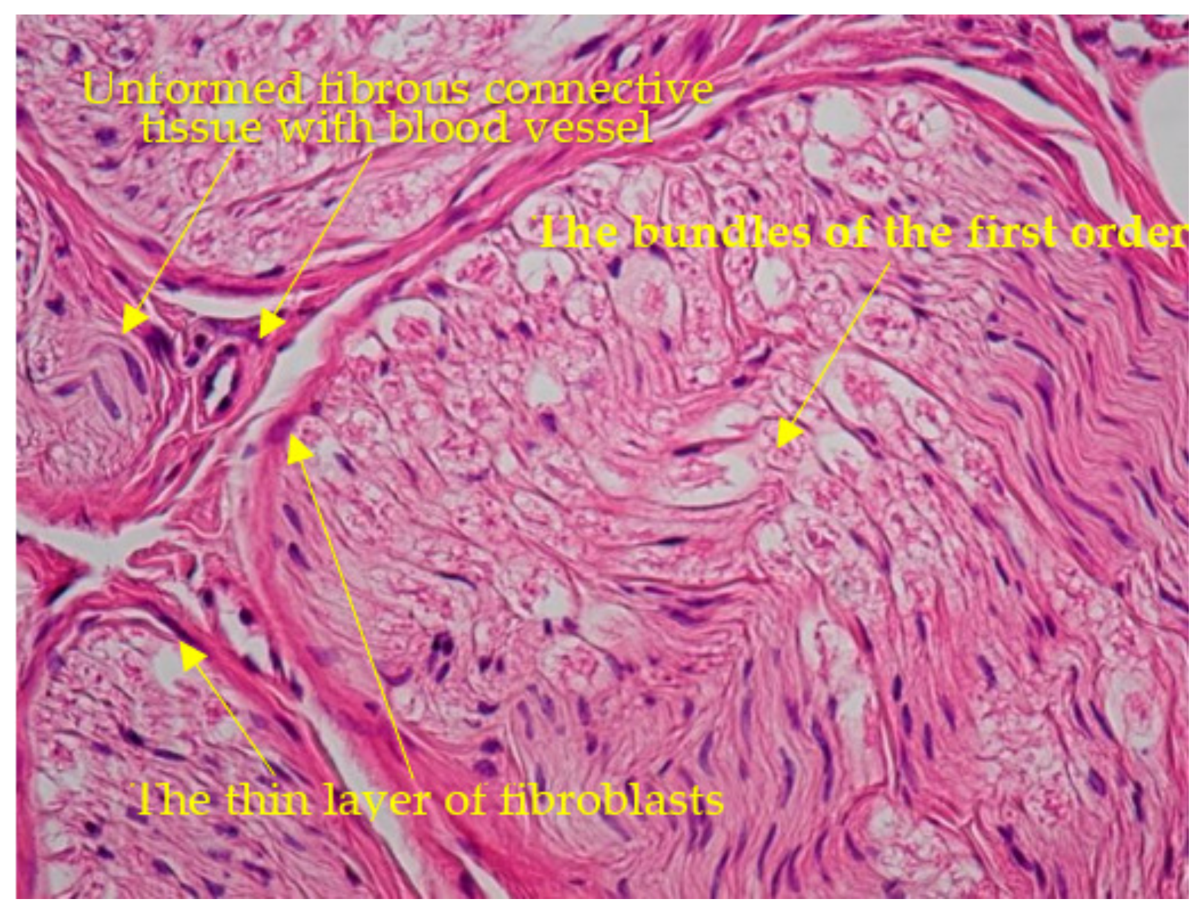
2.4. Histological Study
2.5. Statistical Study
2.6. Morphometric Study and Comparison of Radiological and Anatomical Measurements
3. Results
- Type 1, with clearly expressed, true ligaments (46% of all intervertebral canals);
- Type 2, where along with true ligaments, there were multiple fibrous growths (43% of all intervertebral canals);
- Type 3, where ligaments were missing due to fibrous–bony overgrowths (11% of the total number of all intervertebral canals).
4. Discussion
Author Contributions
Funding
Institutional Review Board Statement
Informed Consent Statement
Data Availability Statement
Acknowledgments
Conflicts of Interest
References
- Zhandarov, K.A.; Ogarev, E.V.; Chekanov, M.S.; Vasil’ev, Y.L.; Meylanova, R.D.; Kryuchko, P.V.; Dydykin, S.S. Combined Method of Treatment of Dentists in the Early Stages of Osteochondrosis of the Cervical Spine. J. Int. Dent. Med. Res. 2021, 14, 825–834. [Google Scholar]
- Zhang, Y.; Zhu, H.; Zhou, Z.; Sun, Y.; Shen, X.; Wu, J.; Li, C. Deep Learning-Based Cervical Spine Posterior Percutaneous Endoscopic Disc Nucleus Resection for the Treatment of Cervical Spondylotic Radiculopathy. J. Healthc. Eng. 2021, 2021, 7245566. [Google Scholar] [CrossRef] [PubMed]
- Swanson, B.T.; Creighton, D. Cervical disc degeneration: Important considerations for the manual therapist. J Man. Manip. Ther. 2022, 30, 139–153. [Google Scholar] [CrossRef] [PubMed]
- Sampiev, M.T.; Sychenikov, B.A.; Skabcovs, N.V.; Lyagin, A.S.; Rynkov, I.P. Minimally invasive surgical techniques for herniated disks in the lumbar spine. RMJ 2019, 7, 21–27. [Google Scholar]
- Kanno, H.; Aizawa, T.; Hahimoto, K.; Itoi, E. Minimally invasive discectomy for lumbar disc herniation: Current concepts, surgical techniques, and outcomes. Int. Orthop. 2019, 43, 917–922. [Google Scholar] [CrossRef] [PubMed]
- Yang, Y.; Shi, B.; Duan, Y.; Qiu, S.; Liu, Z. Anatomic morphology and clinical significance of intraforaminal ligaments of the cervical spine. Clin. Anat. 2019, 32, 654–660. [Google Scholar] [CrossRef] [PubMed]
- Henkelmann, J.; Wiersbicki, D.; Steinke, H.; Denecke, T.; Heyde, C.E.; Voelker, A. In vivo detection of the lumbar intraforaminal ligaments by MRI. Eur. Spine J. 2022, 31, 882–888. [Google Scholar] [CrossRef] [PubMed]
- Zhao, Q.; Zhong, E.; Shi, B.; Li, Y.; Sun, C.; Ding, Z. The morphology and clinical significance of the intraforaminal ligaments at the L5-S1 levels. Spine J. 2016, 16, 1001–1006. [Google Scholar] [CrossRef]
- Terminologia Anatomica, 2nd ed.; International Anatomical Terminology The Federative International Programme for Anatomical Terminology a Programme of the International Federation of Associations of Anatomists (IFAA); Dalhousie University: Halifax, NS, Canada, 2019.
- Anisimov, D.I.; Norkin, I.A.; Nikolenko, V.N.; Anisimova, E.A.; Aleshkina, O.Y.; Ostrovsky, V.V. Topographic and anatomic features of transverse foramen of cervical vertebra in age and sex aspect. Saratov J. Med. Sci. Res. 2012, 8, 177–181. [Google Scholar]
- Borg, N.; Cutsforth-Gregory, J.; Oushy, S.; Huynh, T.; Savastano, L.; Cloft, H.; Lanzino, G.; Brinjikji, W. Anatomy of spinal venous drainage for the neurointerventionalist: From puncture site to intervertebral foramen. Am. J. Neuroradiol. 2022, 43, 517–525. [Google Scholar] [CrossRef]
- Cinotti, G.; De Santis, P.; Nofroni, I.; Postacchini, F. Stenosis of Lumbar Intervertebral Foramen. Spine 2002, 27, 223–229. [Google Scholar] [CrossRef]
- Tsuzuki, N.; Zhogshi, L.; Abe, R.; Saiki, K. Paralysis of the arm after posterior decompression of the cervical spinal cord. Eur. Spine J. 1993, 2, 191–196. [Google Scholar] [CrossRef]
- Matsunaga, S.; Sakou, T.; Imamura, T.; Morimoto, N. Dissociated Motor Loss in the Upper Extremities. Spine 1993, 18, 1964–1967. [Google Scholar] [CrossRef] [PubMed]
- Nikolaev, A.V.; Telpuhov, V.I.; Dydykin, S.S.; Nelipa, M.V. The influence of anthropometric data on the degree of narrowing of the lateral intervertebral foramen of the lumbar-sacral spine in the presence of interforaminal ligaments. Morphology 2018, 153, 81–85. [Google Scholar] [CrossRef]
- Hirai, S.; Kato, S.; Nakajima, K.; Doi, T.; Matsubayashi, Y.; Taniguchi, Y.; Inanami, H.; Hayashi, N.; Tanaka, S.; Oshima, Y. Anatomical study of cervical intervertebral foramen in patients with cervical spondylotic radiculopathy. J. Orthop. Sci. 2021, 26, 86–91. [Google Scholar] [CrossRef]
- Pigolkin, Y.I.; Zhandarov, K.A.; Gornostaev, D.V.; Yagmurov, O.D.; Sheptulin, D.A. Dissection technique for organs of the neck in hanging. Sud. Meditsinskaia Ekspertiza 2023, 66, 52. [Google Scholar] [CrossRef] [PubMed]
- Trunin, E.; Dydykin, S.; Tatarkin, V.; Vasiliev, Y.; Movchan, K.; Bakunov, A.; Mustafina, E.; Resnyanskaya, E. Surgical cervicology as an independent branch of surgery—Utopia or the near future? Oper. Khirurgiya Klin. Anat. (Pirogovskii Nauchnyi Zhurnal) 2023, 7, 55. [Google Scholar] [CrossRef]
- Joshi, N.; Klinger, N.; Halalmeh, D.R.; Tubbs, R.S.; Moisi, M.D. The Neural Sulcus of the Cervical Vertebrae: A Review of Its Anatomy and Surgical Perspectives. Cureus 2020, 12, e6693. [Google Scholar] [CrossRef]
- Liu, M.Y.; Wang, H.B.; Liu, S.W.; Zhang, G.P.; Liu, J.G.; Yang, C. Dimensional Changes of Lumbar Intervertebral Foramen in Direct Anterior Approach-Specific Hyperextension Supine Position. Orthop. Surg. 2020, 12, 1173–1181. [Google Scholar] [CrossRef]
- Shim, D.W.; Lee, B.H.; Seo, J.; Hong, H.; Shin, S.C.; Kim, H.S. Efficacy of computed tomography in prediction of operability of L5/S1 foraminal stenosis using region of interest: A STROBE-compliant retrospective study. Medicine 2019, 98, e17422. [Google Scholar] [CrossRef]
- Takao, Y.; Susumu, S.; Isao, D. Lumbar Degenerative Disease: Key for Diagnosis. No Shinkei Geka 2021, 49, 1233–1245. [Google Scholar]
- Huang, W.; Zhong, E.; Zhao, Q.; Shi, B.; Xie, Y.; Ding, Z.; Lv, H.; Zhong, S.; Huang, W. Anatomic Study The Morphology and Possible Clinical Significance of the Intraforaminal Ligaments in the Entrance Zones of the L1–L5 Levels. Pain Physician 2018, 21, 157–165. [Google Scholar] [CrossRef]
- Hegazy, R.M.; Abdelrahman, A.Y.; Azab, W.A. Computed tomographic evaluation of C5 root exit foramen in patients with cervical spondylotic myelopathy. Surg. Neurol. Int. 2014, 5, S59. [Google Scholar] [CrossRef] [PubMed][Green Version]
- Nakajima, H.; Honjoh, K.; Watanabe, S.; Kubota, A.; Matsumine, A. Risk Factors and Prevention of C5 Palsy After Anterior Cervical Decompression and Fusion. Clin. Spine Surg. A Spine Publ. 2022, 35, E274–E279. [Google Scholar] [CrossRef] [PubMed]
- Sun, B.; Xu, C.; Qi, M.; Shen, X.; Zhang, K.; Yuan, W.; Liu, Y. Predictive Effect of Intervertebral Foramen Width on Pain Relief After ACDF for the Treatment of Cervical Radiculopathy. Glob. Spine J. 2023, 13, 133–139. [Google Scholar] [CrossRef]
- Zhao, Q.; Yang, Y.; Wu, P.; Huang, C.; Zhang, R.; Li, Q.; Shi, B. Biomechanical study of the C5–C8 cervical extraforaminal ligaments. J. Orthop. Surg. Res. 2020, 15, 477. [Google Scholar] [CrossRef] [PubMed]
- Zhandarov, K.A.; Ogarev, E.V.; Shcherbyuk, A.N. Radiological diagnostic technique selection in early cervical lateral stenosis. Sovrem. Tehnol. V Med. 2017, 9, 118–123. [Google Scholar] [CrossRef][Green Version]
- Liu, F.; Fang, T.; Zhou, F.; Zhao, M.; Chen, M.; You, J.; Jin, Y.; Xie, J.; Liu, Z. Association of Depression/Anxiety Symptoms with Neck Pain: A Systematic Review and Meta-Analysis of Literature in China. Pain Res. Manag. 2018, 2018, 3259431. [Google Scholar] [CrossRef]
- Peng, B.; DePalma, M.J. Cervical disc degeneration and neck pain. J. Pain Res. 2018, 11, 2853–2857. [Google Scholar] [CrossRef]
- Anan, T.; Kajiki, S.; Oka, H.; Fujii, T.; Kawamata, K.; Mori, K.; Matsudaira, K. Effects of an Artificial Intelligence–Assisted Health Program on Workers with Neck/Shoulder Pain/Stiffness and Low Back Pain: Randomized Controlled Trial. JMIR Mhealth Uhealth 2021, 9, e27535. [Google Scholar] [CrossRef]
- Benzakour, A.; Altsitzioglou, P.; Lemée, J.M.; Ahmad, A.; Mavrogenis, A.F.; Benzakour, T. Artificial intelligence in spine surgery. Int. Orthop. 2023, 47, 457–465. [Google Scholar] [CrossRef]










Disclaimer/Publisher’s Note: The statements, opinions and data contained in all publications are solely those of the individual author(s) and contributor(s) and not of MDPI and/or the editor(s). MDPI and/or the editor(s) disclaim responsibility for any injury to people or property resulting from any ideas, methods, instructions or products referred to in the content. |
© 2023 by the authors. Licensee MDPI, Basel, Switzerland. This article is an open access article distributed under the terms and conditions of the Creative Commons Attribution (CC BY) license (https://creativecommons.org/licenses/by/4.0/).
Share and Cite
Zhandarov, K.; Blinova, E.; Ogarev, E.; Sheptulin, D.; Terekhina, E.; Telpukhov, V.; Vasil’ev, Y.; Nelipa, M.; Kytko, O.; Chilikov, V.; et al. Intervertebral Canals and Intracanal Ligaments as New Terms in Terminologia anatomica. Diagnostics 2023, 13, 2809. https://doi.org/10.3390/diagnostics13172809
Zhandarov K, Blinova E, Ogarev E, Sheptulin D, Terekhina E, Telpukhov V, Vasil’ev Y, Nelipa M, Kytko O, Chilikov V, et al. Intervertebral Canals and Intracanal Ligaments as New Terms in Terminologia anatomica. Diagnostics. 2023; 13(17):2809. https://doi.org/10.3390/diagnostics13172809
Chicago/Turabian StyleZhandarov, Kirill, Ekaterina Blinova, Egor Ogarev, Dmitry Sheptulin, Elizaveta Terekhina, Vladimir Telpukhov, Yuriy Vasil’ev, Mikhail Nelipa, Olesya Kytko, Valery Chilikov, and et al. 2023. "Intervertebral Canals and Intracanal Ligaments as New Terms in Terminologia anatomica" Diagnostics 13, no. 17: 2809. https://doi.org/10.3390/diagnostics13172809
APA StyleZhandarov, K., Blinova, E., Ogarev, E., Sheptulin, D., Terekhina, E., Telpukhov, V., Vasil’ev, Y., Nelipa, M., Kytko, O., Chilikov, V., Panyushkin, P., Drakina, O., Meilanova, R., Mirontsev, A., Shimanovsky, D., Bogoyavlenskaya, T., Dydykin, S., Nikolenko, V., Kashtanov, A., ... Enina, Y. (2023). Intervertebral Canals and Intracanal Ligaments as New Terms in Terminologia anatomica. Diagnostics, 13(17), 2809. https://doi.org/10.3390/diagnostics13172809

