Ultra-High-Frequency Ultrasonography of Labial Glands in Pediatric Sjögren’s Disease: A Preliminary Study
Abstract
:1. Introduction
2. Objectives
3. Methods
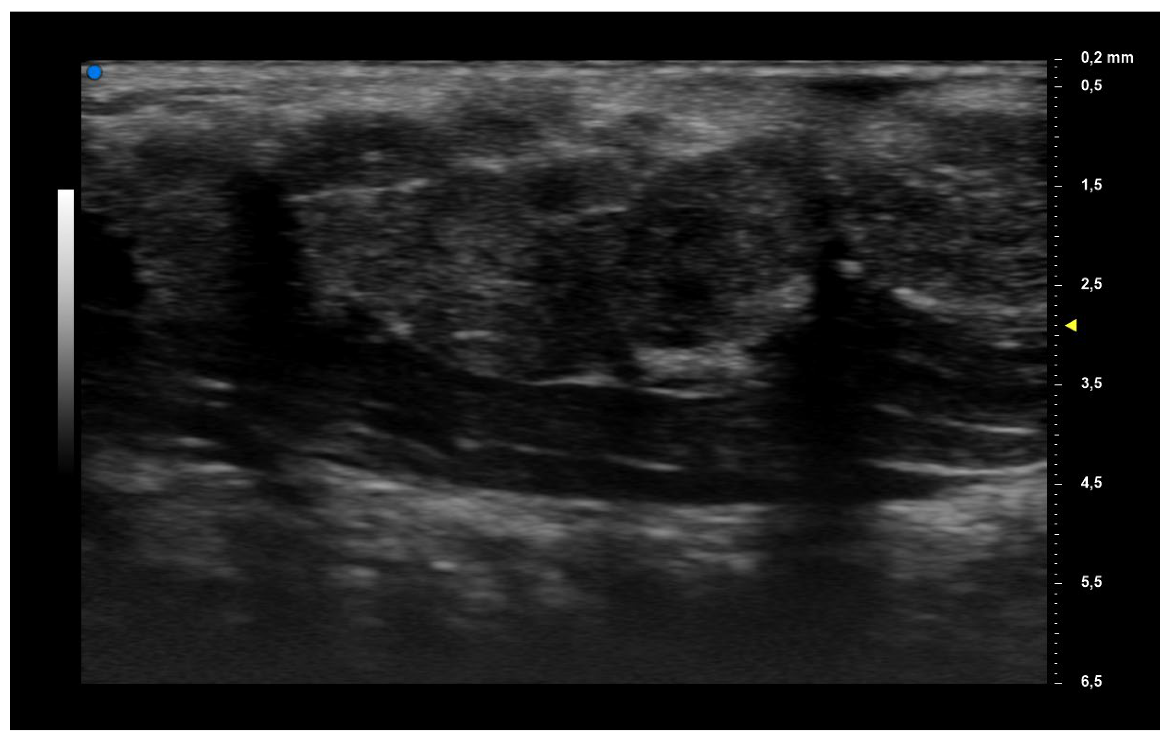
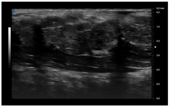
Ultrasonography and Biopsy
4. Results
5. Discussion
Author Contributions
Funding
Institutional Review Board Statement
Informed Consent Statement
Data Availability Statement
Conflicts of Interest
References
- Botsios, C.; Furlan, A.; Ostuni, P.; Sfriso, P.; Andretta, M.; Ometto, F.; Raffeiner, B.; Todesco, S.; Punzi, L. Elderly onset of primary Sjögren’s syndrome: Clinical manifestations, serological features and oral/ocular diagnostic tests. Comparison with adult and young onset of the disease in a cohort of 336 Italian patients. Jt. Bone Spine 2011, 78, 171–174. [Google Scholar] [CrossRef] [PubMed]
- Jonsson, R.; Brokstad, K.A.; Jonsson, M.V.; Delaleu, N.; Skarstein, K. Current concepts on Sjögren’s syndrome—Classification criteria and biomarkers. Eur. J. Oral. Sci. 2018, 126, 37–48. [Google Scholar] [CrossRef]
- Basiaga, M.L.; Stern, S.M.; Mehta, J.J.; Edens, C.; Randell, R.L.; Pomorska, A.; Irga-Jaworska, N.; Ibarra, M.F.; Bracaglia, C.; Nicolai, R.; et al. Childhood Sjögren syndrome: Features of an international cohort and application of the 2016 ACR/EULAR classification criteria. Rheumatology 2021, 60, 3144–3155. [Google Scholar] [CrossRef] [PubMed]
- Yokogawa, N.; Lieberman, S.M.; Sherry, D.D.; Vivino, F.B. Features of childhood Sjögren’s syndrome in comparison to adult Sjögren’s syndrome: Considerations in establishing child-specific diagnostic criteria. Clin. Exp. Rheumatol. 2016, 34, 343–351. [Google Scholar]
- O’Neill, E.M. Sjogren’s syndrome with onset at 10 years of age. Proc. R. Soc. Med. 1965, 58, 689–690. [Google Scholar] [CrossRef] [PubMed]
- Rucker, C.W. KERATITIS SICCA: Report of a Case. Arch. Ophthalmol. 1938, 19, 584–585. [Google Scholar] [CrossRef]
- Shiboski, C.H.; Shiboski, S.C.; Seror, R.; Criswell, L.A.; Labetoulle, M.; Lietman, T.M.; Rasmussen, A.; Scofield, H.; Vitali, C.; Bowman, S.J.; et al. 2016 ACR-EULAR Classification Criteria for primary Sjögren’s Syndrome: A Consensus and Data-Driven Methodology Involving Three International Patient Cohorts. Arthritis Rheumatol. 2017, 69, 35–45. [Google Scholar] [CrossRef]
- Izzetti, R.; Vitali, S.; Aringhieri, G.; Nisi, M.; Oranges, T.; Dini, V.; Ferro, F.; Baldini, C.; Romanelli, M.; Caramella, D.; et al. Ultra-High Frequency Ultrasound, A Promising Diagnostic Technique: Review of the Literature and Single-Center Experience. Can. Assoc. Radiol. J. 2021, 72, 418–431. [Google Scholar] [CrossRef]
- Aringhieri, G.; Izzetti, R.; Vitali, S.; Ferro, F.; Gabriele, M.; Baldini, C.; Caramella, D. Ultra-high frequency ultrasound (UHFUS) applications in Sjogren syndrome: Narrative review and current concepts. Gland. Surg. 2020, 9, 2248–2259. [Google Scholar] [CrossRef]
- Ferro, F.; Izzetti, R.; Vitali, S.; Aringhieri, G.; Fonzetti, S.; Donati, V.; Dini, V.; Mosca, M.; Gabriele, M.; Caramella, D.; et al. Ultra-high frequency ultrasonography of labial glands is a highly sensitive tool for the diagnosis of Sjögren’s syndrome: A preliminary study. Clin. Exp. Rheumatol. 2020, 38, 210–215. [Google Scholar]
- Chidi-Egboka, N.C.; Briggs, N.E.; Jalbert, I.; Golebiowski, B. The ocular surface in children: A review of current knowledge and meta-analysis of tear film stability and tear secretion in children. Ocul. Surf. 2019, 17, 28–39. [Google Scholar] [CrossRef] [PubMed]
- Hočevar, A.; Bruyn, G.A.; Terslev, L.; De Agustin, J.J.; MacCarter, D.; Chrysidis, S.; Collado, P.; Dejaco, C.; Fana, V.; Filippou, G.; et al. Development of a new ultrasound scoring system to evaluate glandular inflammation in Sjögren’s syndrome: An OMERACT reliability exercise. Rheumatology 2022, 61, 3341–3350. [Google Scholar] [CrossRef] [PubMed]
- Chisholm, D.M.; Mason, D.K. Labial salivary gland biopsy in Sjögren’s disease. J. Clin. Pathol. 1968, 21, 656–660. [Google Scholar] [CrossRef] [PubMed]
- Bautista-Vargas, M.; Vivas, A.J.; Tobón, G.J. Minor salivary gland biopsy: Its role in the classification and prognosis of Sjögren’s syndrome. Autoimmun. Rev. 2020, 19, 102690. [Google Scholar] [CrossRef]
- Randell, R.L.; Lieberman, S.M. Unique Aspects of Pediatric Sjögren Disease. Rheum. Dis. Clin. N. Am. 2021, 47, 707–723. [Google Scholar] [CrossRef] [PubMed]
- Brito-Zerón, P.; Baldini, C.; Bootsma, H.; Bowman, S.J.; Jonsson, R.; Mariette, X.; Sivils, K.; Theander, E.; Tzioufas, A.; Ramos-Casals, M. Sjögren syndrome. Nat. Rev. Dis. Primer. 2016, 2, 16047. [Google Scholar] [CrossRef]
- Theander, E.; Jonsson, R.; Sjöström, B.; Brokstad, K.; Olsson, P.; Henriksson, G. Prediction of Sjögren’s Syndrome Years Before Diagnosis and Identification of Patients with Early Onset and Severe Disease Course by Autoantibody Profiling. Arthritis Rheumatol. 2015, 67, 2427–2436. [Google Scholar] [CrossRef] [PubMed]
- Kroese, F.G.M.; Haacke, E.A.; Bombardieri, M. The role of salivary gland histopathology in primary Sjögren’s syndrome: Promises and pitfalls. Clin. Exp. Rheumatol. 2018, 36, 222–233. [Google Scholar]
- Vitali, C.; Bombardieri, S.; Jonsson, R.; Moutsopoulos, H.M.; Alexander, E.L.; Carsons, S.E.; Daniels, T.E.; Fox, P.C.; Fox, R.I.; Kassan, S.S.; et al. Classification criteria for Sjögren’s syndrome: A revised version of the European criteria proposed by the American-European Consensus Group. Ann. Rheum. Dis. 2002, 61, 554–558. [Google Scholar] [CrossRef]
- Shiboski, S.C.; Shiboski, C.H.; Criswell, L.A.; Baer, A.N.; Challacombe, S.; Lanfranchi, H.; Schiødt, M.; Umehara, H.; Vivino, F.; Zhao, Y.; et al. American College of Rheumatology classification criteria for Sjögren’s syndrome: A data-driven, expert consensus approach in the Sjögren’s International Collaborative Clinical Alliance cohort. Arthritis Care Res. 2012, 64, 475–487. [Google Scholar] [CrossRef]
- Hwang, M.; Piskunowicz, M.; Darge, K. Advanced Ultrasound Techniques for Pediatric Imaging. Pediatrics 2019, 143, e20182609. [Google Scholar] [CrossRef] [PubMed]
- Hammenfors, D.S.; Valim, V.; Bica, B.E.R.G.; Pasoto, S.G.; Lilleby, V.; Nieto-González, J.C.; Silva, C.A.; Mossel, E.; Pereira, R.M.; Coelho, A.; et al. Juvenile Sjögren’s Syndrome: Clinical Characteristics with Focus on Salivary Gland Ultrasonography. Arthritis Care Res. 2020, 72, 78–87. [Google Scholar] [CrossRef] [PubMed]
- Schiffer, B.L.; Stern, S.M.; Park, A.H. Sjögren’s syndrome in children with recurrent parotitis. Int. J. Pediatr. Otorhinolaryngol. 2020, 129, 109768. [Google Scholar] [CrossRef] [PubMed]
- Bartůnková, J.; Sedivá, A.; Vencovský, J.; Tesar, V. Primary Sjögren’s syndrome in children and adolescents: Proposal for diagnostic criteria. Clin. Exp. Rheumatol. 1999, 17, 381–386. [Google Scholar]
- Pomorska, A.; Świętoń, D.; Lieberman, S.M.; Bryl, E.; Kosiak, W.; Pęksa, R.; Chorążewicz, J.; Kochańska, B.; Kowalska-Skabara, J.; Szumera, M.; et al. Recurrent or persistent salivary gland enlargement in children: When is it Sjögren’s? Semin. Arthritis Rheum. 2022, 52, 151945. [Google Scholar] [CrossRef]
- Legger, G.E.; Erdtsieck, M.B.; De Wolff, L.; Stel, A.J.; Los, L.I.; Verstappen, G.M.; Spijkervet, F.K.; Vissink, A.; Van Der Vegt, B.; Kroese, F.G.; et al. Differences in presentation between paediatric- and adult-onset primary Sjögren’s syndrome patients. Clin Exp. Rheumatol. 2021, 39, 85–92. Available online: https://www.clinexprheumatol.org/abstract.asp?a=17694 (accessed on 18 June 2023). [CrossRef]




| Characteristics | Sicca Syndrome (n = 4) | Parotitis (n = 2) | Non-Sicca, Non-Parotitis (n = 6) | Total (n = 12) |
|---|---|---|---|---|
| Age at diagnosis (median year) | 14.25 | 11.5 | 13.76 | 13.5 |
| Age at diagnosis (age range) | 9.75–17 | 9.83–13.08 | 7.75–16 | 7.75–17 |
| Female, n (%) | 4 (100%) | 1 (50%) | 6 (100%) | 11 (92%) |
| Other autoimmune diseases | 1 (25%) | 2 (100%) | 3 (50%) | 6 (50%) |
| Familiar history of autoimmune diseases | 1 (25%) | 1 (50%) | 3 (50%) | 5 (42%) |
Sicca
| 3 (75%) 4 (100%) 1 (25%) | 0 (0%) 0 (0%) 0 (0%) | 3 (25%) 4 (33%) 1/11 (9%) | |
| Parotitis | 0 (0%) | 2 (100%) | 2 (17%) | |
| Arthralgias | 0 (0%) | 0 (0%) | 2 (33%) | 2 (17%) |
| Arthritis | 2 (50%) | 0 (0%) | 0 (0%) | 2 (17%) |
| Asthenia | 1 (25%) | 0 (0%) | 1 (17%) | 2 (17%) |
| Fever | 0 (0%) | 0 (0%) | 2 (33%) | 2 (17%) |
| Raynaud | 2 (50%) | 0 (0%) | 2 (33%) | 4 (33%) |
| Mucocutaneous involvement | 1 (25%) | 1 (50%) | 4 (67%) | 6 (50%) |
| Renal involvement | 0 (0%) | 0 (0%) | 1 (17%) | 1 (8%) |
| Gastrointestinal involvement | 3 (75%) | 0 (0%) | 0 (0%) | 3 (25%) |
| Cytopenia | 1 (25%) | 0 (0%) | 3 (50%) | 4 (33%) |
| Hypergamma | 2 (50%) | 0 (0%) | 3 (50%) | 5 (42%) |
| Hypocomplementemia | 0 (0%) | 0 (0%) | 1 (17%) | 1 (8%) |
| ANA+ | 4 (100%) | 2 (100%) | 5 (83%) | 11 (92%) |
| Ro/SSA + | 2 (50%) | 0 (0%) | 4 (67%) | 6 (50%) |
| La/SSB + | 1 (25%) | 0 (0%) | 0 (0%) | 1 (8%) |
| UHFUS Characteristics | Sicca Syndrome (n = 4) | Parotitis (n = 2) | Non-Sicca, Non- Parotitis (n = 6) | Total (n = 12) |
|---|---|---|---|---|
| Grade 1 | 3 (75%) | 1 (50%) | 4 (67%) | 8 (67%) |
| Grade 2 | 0 (0%) | 1 (50%) | 1 (17%) | 2 (17%) |
| Grade 3 | 1 (25%) | 0 (0%) | 1 (17%) | 2 (17%) |
| Mild vascularization | 1 (25%) | 1 (50%) | 1 (17%) | 3 (25%) |
| Moderate vascularization | 3 (75%) | 1 (50%) | 5 (83%) | 9 (75%) |
Disclaimer/Publisher’s Note: The statements, opinions and data contained in all publications are solely those of the individual author(s) and contributor(s) and not of MDPI and/or the editor(s). MDPI and/or the editor(s) disclaim responsibility for any injury to people or property resulting from any ideas, methods, instructions or products referred to in the content. |
© 2023 by the authors. Licensee MDPI, Basel, Switzerland. This article is an open access article distributed under the terms and conditions of the Creative Commons Attribution (CC BY) license (https://creativecommons.org/licenses/by/4.0/).
Share and Cite
Marrani, E.; Fulvio, G.; Virgili, C.; Izzetti, R.; Dini, V.; Oranges, T.; Baldini, C.; Simonini, G. Ultra-High-Frequency Ultrasonography of Labial Glands in Pediatric Sjögren’s Disease: A Preliminary Study. Diagnostics 2023, 13, 2695. https://doi.org/10.3390/diagnostics13162695
Marrani E, Fulvio G, Virgili C, Izzetti R, Dini V, Oranges T, Baldini C, Simonini G. Ultra-High-Frequency Ultrasonography of Labial Glands in Pediatric Sjögren’s Disease: A Preliminary Study. Diagnostics. 2023; 13(16):2695. https://doi.org/10.3390/diagnostics13162695
Chicago/Turabian StyleMarrani, Edoardo, Giovanni Fulvio, Camilla Virgili, Rossana Izzetti, Valentina Dini, Teresa Oranges, Chiara Baldini, and Gabriele Simonini. 2023. "Ultra-High-Frequency Ultrasonography of Labial Glands in Pediatric Sjögren’s Disease: A Preliminary Study" Diagnostics 13, no. 16: 2695. https://doi.org/10.3390/diagnostics13162695
APA StyleMarrani, E., Fulvio, G., Virgili, C., Izzetti, R., Dini, V., Oranges, T., Baldini, C., & Simonini, G. (2023). Ultra-High-Frequency Ultrasonography of Labial Glands in Pediatric Sjögren’s Disease: A Preliminary Study. Diagnostics, 13(16), 2695. https://doi.org/10.3390/diagnostics13162695

