Advanced CMR Techniques in Anderson-Fabry Disease: State of the Art
Abstract
1. Introduction
2. Strain
3. T1 Mapping
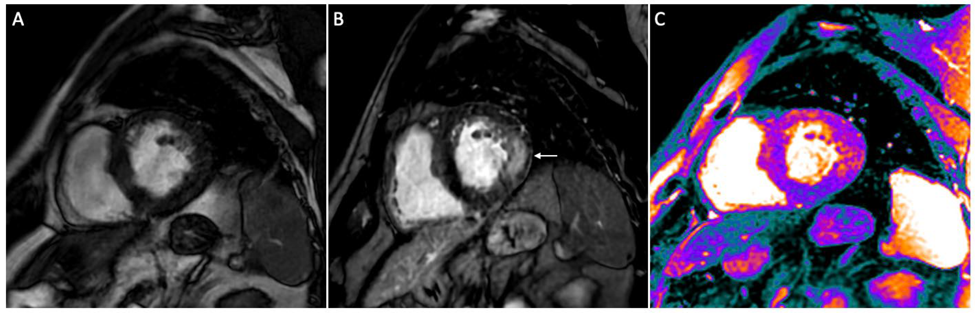
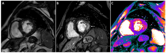
4. T2 Mapping
5. CMR Perfusion Imaging
6. Hybrid PET/MR
7. Conclusions
Author Contributions
Funding
Institutional Review Board Statement
Informed Consent Statement
Data Availability Statement
Conflicts of Interest
References
- Caredda, G.; Bassareo, P.P.; Cherchi, M.V.; Pontone, G.; Suri, J.S.; Saba, L. Anderson-Fabry Disease: Role of Traditional and New Cardiac MRI Techniques. Br. J. Radiol. 2021, 94, 20210020. [Google Scholar] [CrossRef] [PubMed]
- Schiffmann, R.; Fuller, M.; Clarke, L.A.; Aerts, J.M.F.G. Is It Fabry Disease? Genet. Med. 2016, 18, 1181–1185. [Google Scholar] [CrossRef] [PubMed]
- Favalli, V.; Disabella, E.; Molinaro, M.; Tagliani, M.; Scarabotto, A.; Serio, A.; Grasso, M.; Narula, N.; Giorgianni, C.; Caspani, C.; et al. Genetic Screening of Anderson-Fabry Disease in Probands Referred from Multispecialty Clinics. J. Am. Coll. Cardiol. 2016, 68, 1037–1050. [Google Scholar] [CrossRef] [PubMed]
- Di Toro, A.; Favalli, V.; Arbustini, E. Anderson–Fabry Disease. J. Cardiovasc. Med. 2018, 19, e1–e5. [Google Scholar] [CrossRef]
- Arends, M.; Wanner, C.; Hughes, D.; Mehta, A.; Oder, D.; Watkinson, O.T.; Elliott, P.M.; Linthorst, G.E.; Wijburg, F.A.; Biegstraaten, M.; et al. Characterization of Classical and Nonclassical Fabry Disease: A Multicenter Study. J. Am. Soc. Nephrol. 2017, 28, 1631–1641. [Google Scholar] [CrossRef]
- Hong, Y.J.; Kim, Y.J. The Role of Cardiac MRI in the Diagnosis of Fabry Disease. J. Korean Soc. Radiol. 2020, 81, 302. [Google Scholar] [CrossRef]
- Germain, D.P.; Charrow, J.; Desnick, R.J.; Guffon, N.; Kempf, J.; Lachmann, R.H.; Lemay, R.; Linthorst, G.E.; Packman, S.; Scott, C.R.; et al. Ten-Year Outcome of Enzyme Replacement Therapy with Agalsidase Beta in Patients with Fabry Disease. J. Med. Genet. 2015, 52, 353–358. [Google Scholar] [CrossRef]
- Patel, M.R.; Cecchi, F.; Cizmarik, M.; Kantola, I.; Linhart, A.; Nicholls, K.; Strotmann, J.; Tallaj, J.; Tran, T.C.; West, M.L.; et al. Cardiovascular Events in Patients with Fabry Disease. J. Am. Coll. Cardiol. 2011, 57, 1093–1099. [Google Scholar] [CrossRef]
- Perry, R.; Shah, R.; Saiedi, M.; Patil, S.; Ganesan, A.; Linhart, A.; Selvanayagam, J.B. The Role of Cardiac Imaging in the Diagnosis and Management of Anderson-Fabry Disease. JACC Cardiovasc. Imaging 2019, 12, 1230–1242. [Google Scholar] [CrossRef]
- Kozor, R.; Callaghan, F.; Tchan, M.; Hamilton-Craig, C.; Figtree, G.A.; Grieve, S.M. A Disproportionate Contribution of Papillary Muscles and Trabeculations to Total Left Ventricular Mass Makes Choice of Cardiovascular Magnetic Resonance Analysis Technique Critical in Fabry Disease. J. Cardiovasc. Magn. Reson. 2015, 17, 22. [Google Scholar] [CrossRef]
- Chuang, M.L.; Gona, P.; Hautvast, G.L.T.F.; Salton, C.J.; Blease, S.J.; Yeon, S.B.; Breeuwer, M.; O’Donnell, C.J.; Manning, W.J. Correlation of Trabeculae and Papillary Muscles with Clinical and Cardiac Characteristics and Impact on CMR Measures of LV Anatomy and Function. JACC Cardiovasc. Imaging 2012, 5, 1115–1123. [Google Scholar] [CrossRef]
- Deva, D.P.; Hanneman, K.; Li, Q.; Ng, M.Y.; Wasim, S.; Morel, C.; Iwanochko, R.M.; Thavendiranathan, P.; Crean, A.M. Cardiovascular Magnetic Resonance Demonstration of the Spectrum of Morphological Phenotypes and Patterns of Myocardial Scarring in Anderson-Fabry Disease. J. Cardiovasc. Magn. Reson. 2016, 18, 14. [Google Scholar] [CrossRef]
- Linhart, A.; Germain, D.P.; Olivotto, I.; Akhtar, M.M.; Anastasakis, A.; Hughes, D.; Namdar, M.; Pieroni, M.; Hagège, A.; Cecchi, F.; et al. An expert consensus document on the management of cardiovascular manifestations of Fabry disease. Eur. J. Heart Fail. 2020, 22, 1076–1096. [Google Scholar] [CrossRef]
- Pedrizzetti, G.; Claus, P.; Kilner, P.J.; Nagel, E. Principles of Cardiovascular Magnetic Resonance Feature Tracking and Echocardiographic Speckle Tracking for Informed Clinical Use. J. Cardiovasc. Magn. Reson. 2016, 18, 51. [Google Scholar] [CrossRef]
- Mirsky, I.; Parmley, W.W. Assessment of Passive Elastic Stiffness for Isolated Heart Muscle and the Intact Heart. Circ. Res. 1973, 33, 233–243. [Google Scholar] [CrossRef]
- Xu, J.; Yang, W.; Zhao, S.; Lu, M. State-of-the-Art Myocardial Strain by CMR Feature Tracking: Clinical Applications and Future Perspectives. Eur. Radiol. 2022, 32, 5424–5435. [Google Scholar] [CrossRef]
- Claus, P.; Omar, A.M.S.; Pedrizzetti, G.; Sengupta, P.P.; Nagel, E. Tissue Tracking Technology for Assessing Cardiac Mechanics. JACC Cardiovasc. Imaging 2015, 8, 1444–1460. [Google Scholar] [CrossRef]
- Bhatti, S.; Vallurupalli, S.; Ambach, S.; Magier, A.; Watts, E.; Truong, V.; Hakeem, A.; Mazur, W. Myocardial Strain Pattern in Patients with Cardiac Amyloidosis Secondary to Multiple Myeloma: A Cardiac MRI Feature Tracking Study. Int. J. Cardiovasc. Imaging 2018, 34, 27–33. [Google Scholar] [CrossRef]
- Konstam, M.A.; Abboud, F.M. Ejection Fraction. Circulation 2017, 135, 717–719. [Google Scholar] [CrossRef]
- Kraigher-Krainer, E.; Shah, A.M.; Gupta, D.K.; Santos, A.; Claggett, B.; Pieske, B.; Zile, M.R.; Voors, A.A.; Lefkowitz, M.P.; Packer, M.; et al. Impaired Systolic Function by Strain Imaging in Heart Failure with Preserved Ejection Fraction. J. Am. Coll. Cardiol. 2014, 63, 447–456. [Google Scholar] [CrossRef]
- Liu, B.; Dardeer, A.M.; Moody, W.E.; Hayer, M.K.; Baig, S.; Price, A.M.; Leyva, F.; Edwards, N.C.; Steeds, R.P. Reference Ranges for Three-Dimensional Feature Tracking Cardiac Magnetic Resonance: Comparison with Two-Dimensional Methodology and Relevance of Age and Gender. Int. J. Cardiovasc. Imaging 2018, 34, 761–775. [Google Scholar] [CrossRef] [PubMed]
- Cau, R.; Bassareo, P.; Suri, J.S.; Pontone, G.; Saba, L. The Emerging Role of Atrial Strain Assessed by Cardiac MRI in Different Cardiovascular Settings: An up-to-Date Review. Eur. Radiol. 2022, 32, 4384–4394. [Google Scholar] [CrossRef] [PubMed]
- Zhao, L.; Zhang, C.; Tian, J.; Saiedi, M.; Ma, C.; Li, N.; Fang, F.; Ma, X.; Selvanayagam, J. Quantification of Myocardial Deformation in Patients with Fabry Disease by Cardiovascular Magnetic Resonance Feature Tracking Imaging. Cardiovasc. Diagn. Ther. 2021, 11, 91–101. [Google Scholar] [CrossRef] [PubMed]
- Vijapurapu, R.; Nordin, S.; Baig, S.; Liu, B.; Rosmini, S.; Augusto, J.; Tchan, M.; Hughes, D.A.; Geberhiwot, T.; Moon, J.C.; et al. Global Longitudinal Strain, Myocardial Storage and Hypertrophy in Fabry Disease. Heart 2019, 105, 470–476. [Google Scholar] [CrossRef]
- Halfmann, M.C.; Altmann, S.; Schoepf, U.J.; Reichardt, C.; Hennermann, J.B.; Kreitner, K.-F.; Kloeckner, R.; Hahn, F.; Dueber, C.; Varga-Szemes, A.; et al. Left Atrial Strain Correlates with Severity of Cardiac Involvement in Anderson-Fabry Disease. Eur. Radiol. 2022, 33, 2039–2051. [Google Scholar] [CrossRef]
- Schelbert, E.B.; Messroghli, D.R. State of the Art: Clinical Applications of Cardiac T1 Mapping. Radiology 2016, 278, 658–676. [Google Scholar] [CrossRef]
- Taylor, A.J.; Salerno, M.; Dharmakumar, R.; Jerosch-Herold, M. T1 Mapping Basic Techniques and Clinical Applications. JACC Cardiovasc. Imaging 2016, 9, 67–81. [Google Scholar] [CrossRef]
- Ferreira, V.M.; Piechnik, S.K.; Dall’Armellina, E.; Karamitsos, T.D.; Francis, J.M.; Ntusi, N.; Holloway, C.; Choudhury, R.P.; Kardos, A.; Robson, M.D.; et al. T1 Mapping for the Diagnosis of Acute Myocarditis Using CMR. JACC Cardiovasc. Imaging 2013, 6, 1048–1058. [Google Scholar] [CrossRef]
- Sado, D.M.; White, S.K.; Piechnik, S.K.; Banypersad, S.M.; Treibel, T.; Captur, G.; Fontana, M.; Maestrini, V.; Flett, A.S.; Robson, M.D.; et al. Identification and Assessment of Anderson-Fabry Disease by Cardiovascular Magnetic Resonance Noncontrast Myocardial T1 Mapping. Circ. Cardiovasc. Imaging 2013, 6, 392–398. [Google Scholar] [CrossRef]
- Roller, F.C.; Fuest, S.; Meyer, M.; Harth, S.; Gündüz, D.; Bauer, P.; Schneider, C.; Rolfs, A.; Krombach, G.A.; Tanislav, C. Assessment of Cardiac Involvement in Fabry Disease (FD) with Native T1 Mapping. RöFo Fortschr. Geb. Röntgenstrahlen Bildgeb. Verfahr. 2019, 191, 932–939. [Google Scholar] [CrossRef]
- Ponsiglione, A.; Gambardella, M.; Green, R.; Cantoni, V.; Nappi, C.; Ascione, R.; De Giorgi, M.; Cuocolo, R.; Pisani, A.; Petretta, M.; et al. Cardiovascular Magnetic Resonance Native T1 Mapping in Anderson-Fabry Disease: A Systematic Review and Meta-Analysis. J. Cardiovasc. Magn. Reson. 2022, 24, 31. [Google Scholar] [CrossRef]
- Triadyaksa, P.; Oudkerk, M.; Sijens, P.E. Cardiac T2 * mapping: Techniques and clinical applications. J. Magn. Reson. Imaging JMRI 2020, 52, 1340–1351. [Google Scholar] [CrossRef]
- Meloni, A.; Martini, N.; Positano, V.; D’Angelo, G.; Barison, A.; Todiere, G.; Grigoratos, C.; Barra, V.; Pistoia, L.; Gargani, L.; et al. Myocardial T1 Values at 1.5 T: Normal Values for General Electric Scanners and Sex-Related Differences. J. Magn. Reson. Imaging 2021, 54, 1486–1500. [Google Scholar] [CrossRef]
- Camporeale, A.; Pieroni, M.; Pieruzzi, F.; Lusardi, P.; Pica, S.; Spada, M.; Mignani, R.; Burlina, A.; Bandera, F.; Guazzi, M.; et al. Predictors of Clinical Evolution in Prehypertrophic Fabry Disease. Circ. Cardiovasc. Imaging 2019, 12, e008424. [Google Scholar] [CrossRef] [PubMed]
- Pica, S.; Sado, D.M.; Maestrini, V.; Fontana, M.; White, S.K.; Treibel, T.; Captur, G.; Anderson, S.; Piechnik, S.K.; Robson, M.D.; et al. Reproducibility of Native Myocardial T1 Mapping in the Assessment of Fabry Disease and Its Role in Early Detection of Cardiac Involvement by Cardiovascular Magnetic Resonance. J. Cardiovasc. Magn. Reson. 2014, 16, 99. [Google Scholar] [CrossRef]
- Thompson, R.B.; Chow, K.; Khan, A.; Chan, A.; Shanks, M.; Paterson, I.; Oudit, G.Y. T1 Mapping with Cardiovascular MRI Is Highly Sensitive for Fabry Disease Independent of Hypertrophy and Sex. Circ. Cardiovasc. Imaging 2013, 6, 637–645. [Google Scholar] [CrossRef]
- Orsborne, C.; Bradley, J.; Bonnett, L.J.; Pleva, L.A.; Naish, J.H.; Clark, D.G.; Abidin, N.; Woolfson, P.; Nucifora, G.; Schmitt, M.; et al. Validated Model for Prediction of Adverse Cardiac Outcome in Patients with Fabry Disease. J. Am. Coll. Cardiol. 2022, 80, 982–994. [Google Scholar] [CrossRef]
- Camporeale, A.; Bandera, F.; Pieroni, M.; Pieruzzi, F.; Spada, M.; Bersano, A.; Econimo, L.; Lanzillo, C.; Rubino, M.; Mignani, R.; et al. Effect of Migalastat on cArdiac Involvement in FabRry Disease: MAIORA study. J. Med. Genet. 2023. ahead of print. [Google Scholar] [CrossRef]
- Gatterer, C.; Beitzke, D.; Graf, S.; Lenz, M.; Sunder-Plassmann, G.; Mann, C.; Ponleitner, M.; Manka, R.; Fritschi, D.; Krayenbuehl, P.-A.; et al. Long-Term Monitoring of Cardiac Involvement under Migalastat Treatment Using Magnetic Resonance Tomography in Fabry Disease. Life 2023, 13, 1213. [Google Scholar] [CrossRef]
- Aquaro, G.D.; De Gori, C.; Faggioni, L.; Parisella, M.L.; Aringhieri, G.; Cioni, D.; Lencioni, R.; Neri, E. Cardiac Magnetic Resonance in Fabry Disease: Morphological, Functional, and Tissue Features. Diagnostics 2022, 12, 2652. [Google Scholar] [CrossRef]
- Imbriaco, M.; Spinelli, L.; Cuocolo, A.; Maurea, S.; Sica, G.; Quarantelli, M.; Pisani, A.; Liuzzi, R.; Cianciaruso, B.; Sabbatini, M.; et al. MRI Characterization of Myocardial Tissue in Patients with Fabry’s Disease. Am. J. Roentgenol. 2007, 188, 850–853. [Google Scholar] [CrossRef] [PubMed]
- Imbriaco, M.; Pisani, A.; Spinelli, L.; Cuocolo, A.; Messalli, G.; Capuano, E.; Marmo, M.; Liuzzi, R.; Visciano, B.; Cianciaruso, B.; et al. Effects of Enzyme-Replacement Therapy in Patients with Anderson-Fabry Disease: A Prospective Long-Term Cardiac Magnetic Resonance Imaging Study. Heart 2009, 95, 1103–1107. [Google Scholar] [CrossRef] [PubMed]
- Montant, P.; Sigovan, M.; Revel, D.; Douek, P. MR Imaging Assessment of Myocardial Edema with T2 Mapping. Diagn. Interv. Imaging 2015, 96, 885–890. [Google Scholar] [CrossRef] [PubMed]
- Hosch, W.; Bock, M.; Libicher, M.; Ley, S.; Hegenbart, U.; Dengler, T.J.; Katus, H.A.; Kauczor, H.-U.; Kauffmann, G.W.; Kristen, A.V. MR-Relaxometry of Myocardial Tissue. Investig. Radiol. 2007, 42, 636–642. [Google Scholar] [CrossRef] [PubMed]
- McNamara, M.T.; Higgins, C.B.; Schechtmann, N.; Botvinick, E.; Lipton, M.J.; Chatterjee, K.; Amparo, E.G. Detection and Characterization of Acute Myocardial Infarction in Man with Use of Gated Magnetic Resonance. Circulation 1985, 71, 717–724. [Google Scholar] [CrossRef]
- Augusto, J.B.; Nordin, S.; Vijapurapu, R.; Baig, S.; Bulluck, H.; Castelletti, S.; Alfarih, M.; Knott, K.; Captur, G.; Kotecha, T.; et al. Myocardial Edema, Myocyte Injury, and Disease Severity in Fabry Disease. Circ. Cardiovasc. Imaging 2020, 13, e010171. [Google Scholar] [CrossRef]
- Nordin, S.; Kozor, R.; Vijapurapu, R.; Augusto, J.B.; Knott, K.D.; Captur, G.; Treibel, T.A.; Ramaswami, U.; Tchan, M.; Geberhiwot, T.; et al. Myocardial Storage, Inflammation, and Cardiac Phenotype in Fabry Disease After One Year of Enzyme Replacement Therapy. Circ. Cardiovasc. Imaging 2019, 12, e009430. [Google Scholar] [CrossRef]
- Bruder, O.; Wagner, A.; Lombardi, M.; Schwitter, J.; van Rossum, A.; Pilz, G.; Nothnagel, D.; Steen, H.; Petersen, S.; Nagel, E.; et al. European Cardiovascular Magnetic Resonance (EuroCMR) Registry—Multi National Results from 57 Centers in 15 Countries. J. Cardiovasc. Magn. Reson. 2013, 15, 9. [Google Scholar] [CrossRef]
- Einstein, A.J. Radiation Risk from Coronary Artery Disease Imaging: How Do Different Diagnostic Tests Compare? Heart 2008, 94, 1519–1521. [Google Scholar] [CrossRef]
- Graziani, F.; Leccisotti, L.; Lillo, R.; Bruno, I.; Ingrasciotta, G.; Leone, A.M.; Montone, R.A.; Marano, R.; Rovere, G.; Indovina, L.; et al. Coronary Microvascular Dysfunction Is Associated with a Worse Cardiac Phenotype in Patients with Fabry Disease. JACC Cardiovasc. Imaging 2022, 15, 1518–1520. [Google Scholar] [CrossRef]
- Kellman, P.; Hansen, M.S.; Nielles-Vallespin, S.; Nickander, J.; Themudo, R.; Ugander, M.; Xue, H. Myocardial Perfusion Cardiovascular Magnetic Resonance: Optimized Dual Sequence and Reconstruction for Quantification. J. Cardiovasc. Magn. Reson. 2017, 19, 43. [Google Scholar] [CrossRef]
- Chimenti, C.; Morgante, E.; Tanzilli, G.; Mangieri, E.; Critelli, G.; Gaudio, C.; Russo, M.A.; Frustaci, A. Angina in Fabry Disease Reflects Coronary Small Vessel Disease. Circ. Heart Fail. 2008, 1, 161–169. [Google Scholar] [CrossRef]
- James, O.G.; Christensen, J.D.; Wong, T.Z.; Borges-Neto, S.; Koweek, L.M. Utility of FDG PET/CT in Inflammatory Cardiovascular Disease. RadioGraphics 2011, 31, 1271–1286. [Google Scholar] [CrossRef]
- Acampa, W.; D’Antonio, A.; Imbriaco, M.; Pisani, A.; Cuocolo, A. Multimodality Imaging Approach to Fabry Cardiomyopathy: Any Role for Nuclear Cardiology? J. Nucl. Cardiol. 2022, 29, 1439–1445. [Google Scholar] [CrossRef]
- Ponsiglione, A.; Ascione, R.; Nappi, C.; Imbriaco, M.; Klain, M.; Cuocolo, R.; Cuocolo, A.; Petretta, M. Cardiac hybrid imaging: Novel tracers for novel targets. J. Geriatr. Cardiol. JGC 2021, 18, 748–758. [Google Scholar] [CrossRef]
- Nappi, C.; Altiero, M.; Imbriaco, M.; Nicolai, E.; Giudice, C.A.; Aiello, M.; Diomiaiuti, C.T.; Pisani, A.; Spinelli, L.; Cuocolo, A. First Experience of Simultaneous PET/MRI for the Early Detection of Cardiac Involvement in Patients with Anderson-Fabry Disease. Eur. J. Nucl. Med. Mol. Imaging 2015, 42, 1025–1031. [Google Scholar] [CrossRef]
- Nappi, C.; Ponsiglione, A.; Pisani, A.; Riccio, E.; Di Risi, T.; Pieroni, M.; Klain, M.; Assante, R.; Acampa, W.; Nicolai, E.; et al. Role of serial cardiac 18F-FDG PET-MRI in Anderson-Fabry disease: A pilot study. Insights Imaging 2021, 12, 124. [Google Scholar] [CrossRef]
- Imbriaco, M.; Nappi, C.; Ponsiglione, A.; Pisani, A.; Dell’Aversana, S.; Nicolai, E.; Spinelli, L.; Aiello, M.; Diomiaiuti, C.T.; Riccio, E.; et al. Hybrid Positron Emission Tomography-Magnetic Resonance Imaging for Assessing Different Stages of Cardiac Impairment in Patients with Anderson–Fabry Disease: AFFINITY Study Group. Eur. Heart J. Cardiovasc. Imaging 2019, 20, 1004–1011. [Google Scholar] [CrossRef]
- Spinelli, L.; Imbriaco, M.; Nappi, C.; Nicolai, E.; Giugliano, G.; Ponsiglione, A.; Diomiaiuti, T.C.; Riccio, E.; Duro, G.; Pisani, A.; et al. Early Cardiac Involvement Affects Left Ventricular Longitudinal Function in Females Carrying α-Galactosidase A Mutation. Circ. Cardiovasc. Imaging 2018, 11, e007019. [Google Scholar] [CrossRef]

| Author | Year | Aim | Design | Sample | Outcome |
|---|---|---|---|---|---|
| Vijapurapu [24] | 2018 | Relation between early mechanical dysfunction and sphingolipid deposition | Observational, multicentre | 221 AFD; 77 controls | GLS correlates with increased LVMi, storage, and ECG abnormalities |
| Halfmann [25] | 2022 | Potential of CMR parameters of LA function and strain to detect early stages of disease | Retrospective, single-center | 58 AFD; 58 controls | LA reservoir strain showed early impairment and correlated with disease severity |
| Author | Year | Aim | Design | Sample | Outcome |
|---|---|---|---|---|---|
| Ponsiglione [31] | 2022 | Weighted mean native T1 values and standardized mean differences determinations | Meta-analysis | 14 articles; 982 subjects | Reduction of native T1 values in AFD compared to controls. T1 shortening in AFD influenced by gender and LVH |
| Camporeale [34] | 2019 | Functional correlations of T1 values and T1 prognostic value | Prosospective, single-center | 44 AFD; 22 controls | In pre-LVH AFD, low T1 values correlate with early ECG and morphological cardiac changes and worsening of systemic disease manifestations |
| Pica [35] | 2014 | Electrocardiographic and mechanical correlations of T1 values | Prosospective, single-center | 63 AFD; 63 controls | Low T1 values were associated with early diastolic and systolic changes as measured by echocardiography |
| Thomson [36] | 2013 | Evaluation of quantitative T1 mapping as a disease-specific imaging biomarker | Multicenter | 31 AFD; 23 controls; 21 CR/H subjects | T1 values are the most sensitive and specific CMR parameter for AFD irrespective of sex and LV morphology and function |
| Author | Year | Aim | Design | Sample | Outcome |
|---|---|---|---|---|---|
| Augusto [46] | 2020 | Correlation between chronic edema, myocyte damage and electrical, mechanical, and pathological alterations | Prospective, multicentre | 186 AFD; 59 controls; 58 other cardiac diseases | T2 values were higher in AFD patients with LGE. High inferolateral wall T2 was linked to ECG abnormalities |
| Nordin [47] | 2019 | Effect of ERT on myocardial storage, inflammation, and hypertrophy | Prospective, multicentre | 56 AFD | Over 1 year, patients with advanced disease had increased T2 in areas with LGE and increased troponin. |
| Author | Year | Aim | Design | Sample | Outcome |
|---|---|---|---|---|---|
| Nappi [56] | 2015 | Assessment of early car-diac involvement by PET/MR imaging | Prospective, single-center | 13 AFD | Areas with LGE and positive STIR had focal FDG uptake indicating inflammation |
| Imbriaco [58] | 2019 | Effect of ERT on myocardial storage, inflammation, and hypertrophy | Prospective, single-center | 20 AFD; 7 controls | Patients with COV >0.17 had higher T1 values in the lateral LV wall compared to those with COV ≤0.17 |
Disclaimer/Publisher’s Note: The statements, opinions and data contained in all publications are solely those of the individual author(s) and contributor(s) and not of MDPI and/or the editor(s). MDPI and/or the editor(s) disclaim responsibility for any injury to people or property resulting from any ideas, methods, instructions or products referred to in the content. |
© 2023 by the authors. Licensee MDPI, Basel, Switzerland. This article is an open access article distributed under the terms and conditions of the Creative Commons Attribution (CC BY) license (https://creativecommons.org/licenses/by/4.0/).
Share and Cite
Ponsiglione, A.; De Giorgi, M.; Ascione, R.; Nappi, C.; Sanduzzi, L.; Pisani, A.; Dell’Aversana, S.; Cuocolo, A.; Imbriaco, M. Advanced CMR Techniques in Anderson-Fabry Disease: State of the Art. Diagnostics 2023, 13, 2598. https://doi.org/10.3390/diagnostics13152598
Ponsiglione A, De Giorgi M, Ascione R, Nappi C, Sanduzzi L, Pisani A, Dell’Aversana S, Cuocolo A, Imbriaco M. Advanced CMR Techniques in Anderson-Fabry Disease: State of the Art. Diagnostics. 2023; 13(15):2598. https://doi.org/10.3390/diagnostics13152598
Chicago/Turabian StylePonsiglione, Andrea, Marco De Giorgi, Raffaele Ascione, Carmela Nappi, Luca Sanduzzi, Antonio Pisani, Serena Dell’Aversana, Alberto Cuocolo, and Massimo Imbriaco. 2023. "Advanced CMR Techniques in Anderson-Fabry Disease: State of the Art" Diagnostics 13, no. 15: 2598. https://doi.org/10.3390/diagnostics13152598
APA StylePonsiglione, A., De Giorgi, M., Ascione, R., Nappi, C., Sanduzzi, L., Pisani, A., Dell’Aversana, S., Cuocolo, A., & Imbriaco, M. (2023). Advanced CMR Techniques in Anderson-Fabry Disease: State of the Art. Diagnostics, 13(15), 2598. https://doi.org/10.3390/diagnostics13152598

