Histopathology of Budd–Chiari Syndrome
Abstract
1. Introduction
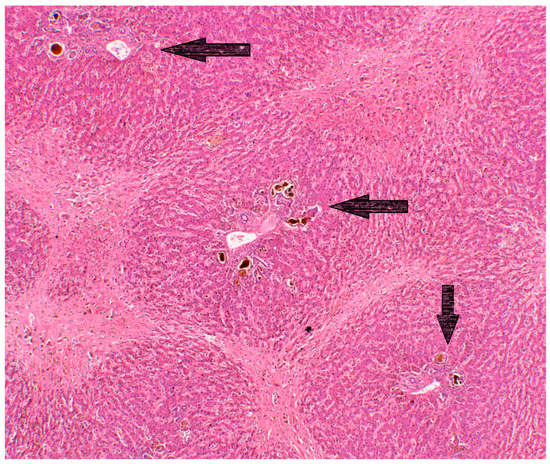
2. General Histopathology of BCS
3. Implications for Liver Biopsy Interpretation
3.1. Does This Liver Biopsy Show Features of Venous Outflow Obstruction?
3.2. Are the Changes of Venous Outflow Obstruction Due to BCS?
3.3. Is It Acute or Chronic BCS, and How Severe Is Liver Injury?
4. BCS in Liver Transplantation
5. Conclusions
Funding
Conflicts of Interest
References
- Valla, D.C.; Cazals-Hatem, D. Vascular liver diseases on the clinical side: Definitions and diagnosis, new concepts. Virchows Arch. 2018, 473, 3–13. [Google Scholar] [CrossRef] [PubMed]
- Saxena, R. Practical Hepatic Pathology: A Diagnostic Approach, 1st ed.; Elsevier Saunders: Philadelphia, PA, USA, 2011. [Google Scholar]
- Mitchell, M.C.; Boitnott, J.K.; Kaufman, S.; John, K.; Cameron, J.L.; Maddrey, W.C. Budd-Chiari syndrome: Etiology, diagnosis and management. Medicine 1982, 61, 199–218. [Google Scholar] [CrossRef]
- Tanaka, M.; Wanless, I.R. Pathology of the liver in Budd-Chiari syndrome: Portal vein thrombosis and the histogenesis of veno-centric cirrhosis, veno-portal cirrhosis, and large regenerative nodules. Hepatology 1998, 27, 488–496. [Google Scholar] [CrossRef]
- Krings, G.; Can, B.; Ferrell, L. Aberrant centrizonal features in chronic hepatic venous outflow obstruction: Centrilobular mimicry of portal-based disease. Am. J. Surg. Pathol. 2014, 38, 205–214. [Google Scholar] [CrossRef]
- Matsukuma, S.; Takeo, H.; Utsumi, Y.; Sato, K. In hepatic venous outflow obstruction, alcoholic liver disease, and nonalcoholic fatty liver disease, centrilobular scars, CD34+ vessels, and keratin 7+ hepatocytes are in close proximity. Virchows Arch. 2017, 470, 411–420. [Google Scholar] [CrossRef]
- Mills, S.E. Histology for Pathologists, 5th ed.; Lippincott Williams & Wilkins: Philadelphia, PA, USA, 2019. [Google Scholar]
- Buglioni, A.; Wu, T.T.; Mounajjed, T. Immunohistochemical and Ultrastructural Features of Hepatocellular Cytoplasmic Globules in Venous Outflow Impairment. Am. J. Clin. Pathol. 2019, 152, 563–569. [Google Scholar] [CrossRef]
- Lefkowitch, J.H.; Scheuer, P.J. Scheuer’s Liver Biopsy Interpretation, 10th ed.; Elsevier: Amsterdam, The Netherlands, 2021. [Google Scholar]
- Snover, D.C. Biopsy Diagnosis of Liver Disease; Williams & Wilkins: Baltimore, MD, USA, 1992. [Google Scholar]
- Kakar, S.; Batts, K.P.; Poterucha, J.J.; Burgart, L.J. Histologic changes mimicking biliary disease in liver biopsies with venous outflow impairment. Mod. Pathol. 2004, 17, 874–878. [Google Scholar] [CrossRef]
- Sempoux, C.; Paradis, V.; Komuta, M.; Wee, A.; Calderaro, J.; Balabaud, C.; Quaglia, A.; Bioulac-Sage, P. Hepatocellular nodules expressing markers of hepatocellular adenomas in Budd-Chiari syndrome and other rare hepatic vascular disorders. J. Hepatol. 2015, 63, 1173–1180. [Google Scholar] [CrossRef]
- European Association For The Study Of The Liver. EASL Clinical Practice Guidelines: Vascular diseases of the liver. J. Hepatol. 2016, 64, 179–202. [Google Scholar] [CrossRef] [PubMed]
- Riggio, O.; Marzano, C.; Papa, A.; Pasquale, C.; Gasperini, M.L.; Gigante, A.; Valla, D.C.; Plessier, A.; Amoroso, A. Small hepatic veins Budd-Chiari syndrome. J. Thromb. Thrombolysis. 2014, 37, 536–539. [Google Scholar] [CrossRef] [PubMed][Green Version]
- Geller, S.A.; Petrovic, L.M. Biopsy Interpretation of the Liver; Lippincott Williams & Wilkins: Philadelphia, PA, USA, 2004. [Google Scholar]
- Saadoun, D.; Cazals-Hatem, D.; Denninger, M.H.; Boudaoud, L.; Pham, B.N.; Mallet, V.; Condat, B.; Brière, J.; Valla, D. Association of idiopathic hepatic sinusoidal dilatation with the immunological features of the antiphospholipid syndrome. Gut 2004, 53, 1516–1519. [Google Scholar] [CrossRef] [PubMed]
- Marzano, C.; Cazals-Hatem, D.; Rautou, P.E.; Valla, D.C. The significance of nonobstructive sinusoidal dilatation of the liver: Impaired portal perfusion or inflammatory reaction syndrome. Hepatology 2015, 62, 956–963. [Google Scholar] [CrossRef]
- Burt, A.D.; Ferrell, L.D.; Hübscher, S. MacSween’s Pathology of the Liver, 8th ed.; Elsevier Health Sciences: Amsterdam, The Netherlands, 2022. [Google Scholar]
- Horrocks, P.; Tapp, E. Zahn’s ‘infarcts’ of the liver. J. Clin. Pathol. 1966, 19, 475–478. [Google Scholar] [CrossRef] [PubMed]
- Lefkowitch, J.H. The Pathology of Acute Liver Failure. Adv. Anat. Pathol. 2016, 23, 144–158. [Google Scholar] [CrossRef] [PubMed]
- Luong, T.V.; Abou-Beih, S.; Watkins, J.; Tsochatzis, E.; Pinzani, M.; Davison, S.; Hall, A.; Quaglia, A. Elastic fibres in alcoholic liver disease. Sci. Rep. 2020, 10, 20098. [Google Scholar] [CrossRef]
- Ruebner, B. MCK. Pathology of the Liver and Biliary Tract; John Wiley & Sons: Hoboken, NJ, USA, 1982. [Google Scholar]
- Saxena, R. Practical Hepatic Pathology: A Diagnostic Approach, 2nd ed.; Elsevier: Philadelphia, PA, USA, 2018. [Google Scholar]
- Barbier, L.; Ronot, M.; Aussilhou, B.; Cauchy, F.; Francoz, C.; Vilgrain, V.; Soubrane, O.; Paradis, V.; Belghiti, J. Polycystic liver disease: Hepatic venous outflow obstruction lesions of the noncystic parenchyma have major consequences. Hepatology 2018, 68, 652–662. [Google Scholar] [CrossRef] [PubMed]
- O’Grady, J.G. Budd-chiari syndrome and acute liver failure: A complex condition requiring a rapid response. Liver Transpl. 2017, 23, 133–134. [Google Scholar] [CrossRef]
- Parekh, J.; Matei, V.M.; Canas-Coto, A.; Friedman, D.; Lee, W.M. Budd-chiari syndrome causing acute liver failure: A multicenter case series. Liver Transpl. 2017, 23, 135–142. [Google Scholar] [CrossRef]
- Valla, D.; Hadengue, A.; el Younsi, M.; Azar, N.; Zeitoun, G.; Boudet, M.; Molas, G.; Belghiti, J.; Erlinger, S.; Hay, J.; et al. Hepatic venous outflow block caused by short-length hepatic vein stenoses. Hepatology 1997, 25, 814–819. [Google Scholar] [CrossRef]
- Valla, D.C. Primary Budd-Chiari syndrome. J. Hepatol. 2009, 50, 195–203. [Google Scholar] [CrossRef]
- Mentha, G.; Giostra, E.; Majno, P.E.; Bechstein, W.O.; Neuhaus, P.; O’Grady, J.; Praseedom, R.K.; Burroughs, A.K.; Le Treut, Y.P.; Kirkegaard, P.; et al. Liver transplantation for Budd-Chiari syndrome: A European study on 248 patients from 51 centres. J. Hepatol. 2006, 44, 520–528. [Google Scholar] [CrossRef] [PubMed]
- Khorsandi, S.E.; Athale, A.; Vilca-Melendez, H.; Jassem, W.; Prachalias, A.; Srinivasan, P.; Rela, M.; Heaton, N. Presentation, diagnosis, and management of early hepatic venous outflow complications in whole cadaveric liver transplant. Liver Transpl. 2015, 21, 914–921. [Google Scholar] [CrossRef] [PubMed]
- Bakshi, N.; Rastogi, A.; Pamecha, V.; Bihari, C. Sinusoidal dilatation and congestion in post-transplant liver biopsies from patients presenting with transaminitis. J. Clin. Pathol. 2021, 74, 372–376. [Google Scholar] [CrossRef] [PubMed]
- Takamura, H.; Nakanuma, S.; Hayashi, H.; Tajima, H.; Kakinoki, K.; Kitahara, M.; Sakai, S.; Makino, I.; Nakagawara, H.; Miyashita, W.T.; et al. Severe veno-occlusive disease/sinusoidal obstruction syndrome after deceased-donor and living-donor liver transplantation. Transpl. Proc. 2014, 46, 3523–3535. [Google Scholar] [CrossRef]
- Odze, R.D.; Goldblum, J.R. Odze and Goldblum’s Surgical Pathology of the GI Tract, Liver, Biliary Tract and Pancreas, 4th ed.; Elsevier Health Sciences: Amsterdam, The Netherlands, 2022. [Google Scholar]

Disclaimer/Publisher’s Note: The statements, opinions and data contained in all publications are solely those of the individual author(s) and contributor(s) and not of MDPI and/or the editor(s). MDPI and/or the editor(s) disclaim responsibility for any injury to people or property resulting from any ideas, methods, instructions or products referred to in the content. |
© 2023 by the author. Licensee MDPI, Basel, Switzerland. This article is an open access article distributed under the terms and conditions of the Creative Commons Attribution (CC BY) license (https://creativecommons.org/licenses/by/4.0/).
Share and Cite
Quaglia, A. Histopathology of Budd–Chiari Syndrome. Diagnostics 2023, 13, 2487. https://doi.org/10.3390/diagnostics13152487
Quaglia A. Histopathology of Budd–Chiari Syndrome. Diagnostics. 2023; 13(15):2487. https://doi.org/10.3390/diagnostics13152487
Chicago/Turabian StyleQuaglia, Alberto. 2023. "Histopathology of Budd–Chiari Syndrome" Diagnostics 13, no. 15: 2487. https://doi.org/10.3390/diagnostics13152487
APA StyleQuaglia, A. (2023). Histopathology of Budd–Chiari Syndrome. Diagnostics, 13(15), 2487. https://doi.org/10.3390/diagnostics13152487

