Influence of [18F]FDG-PET/CT on Clinical Management Decisions in Breast Cancer Patients—A PET/CT Registry Study
Abstract
1. Introduction
2. Materials and Methods
2.1. Study Cohort
2.2. Indications for PET/CT
2.3. PET/CT Examination Protocol
2.4. Study Analysis
2.5. Statistical Analysis
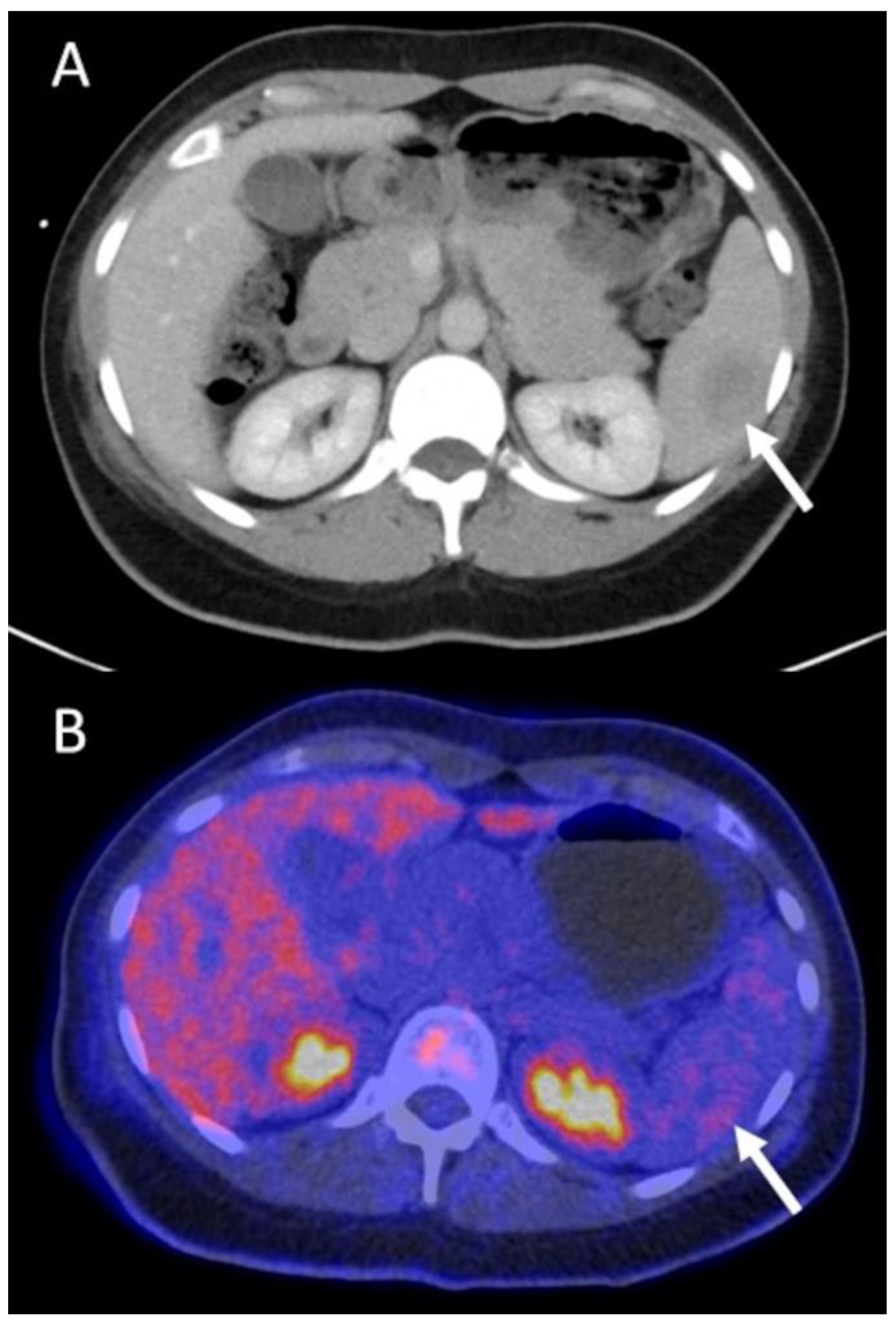
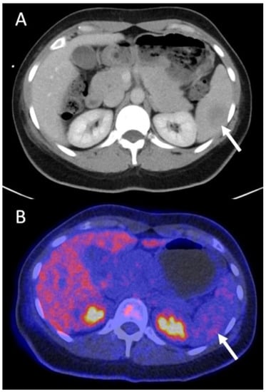
3. Results
3.1. Study Cohort
3.2. Management Changes after PET/CT
3.3. Survival Analysis
3.4. Assessment of Potential Patient Benefit
3.4.1. Primary Staging Patients (n = 15/52)
3.4.2. Restaging Patients (n = 17/52)
3.4.3. Recurrence Patients (n = 20/52)
4. Discussion
5. Conclusions
Supplementary Materials
Author Contributions
Funding
Institutional Review Board Statement
Informed Consent Statement
Data Availability Statement
Acknowledgments
Conflicts of Interest
References
- National Cancer Institute. Surveillance, Epidemiology, and Results Program Cancer Stat Facts: Female Breast Cancer. Available online: https://seer.cancer.gov/statfacts/html/breast.html (accessed on 20 May 2023).
- Rabasco, P.; Caivano, R.; Dinardo, G.; Gioioso, M.; Lotumolo, A.; Iannelli, G.; Villonio, A.; La Torre, G.; D’Errico, S.; Macarini, L.; et al. Magnetic Resonance Imaging in the Pre-Surgical Staging of Breast Cancer: Our Experience. Cancer Investig. 2017, 35, 43–50. [Google Scholar] [CrossRef] [PubMed]
- Deutsche Krebsgesellschaft, Deutsche Krebshilfe, AWMF S3-Leitlinie Früherkennung, Diagnose, Therapie und Nachsorge des Mammakarzinoms, Version 4.3, 2021 AWMF Registernummer: 032-045OL. Available online: http://www.leitlinienprogramm-onkologie.de/leitlinien/mammakarzinom/ (accessed on 1 February 2022).
- National Comprehensive Cancer Network (2021) NCCN clinical practice guidelines in oncology: Breast cancer—Version 3.2022. Available online: https://jnccn.org/view/journals/jnccn/20/6/article-p691.xml?ArticleBodyColorStyles=full%20html (accessed on 17 July 2023).
- Groheux, D.; Cochet, A.; Humbert, O.; Alberini, J.-L.; Hindié, E.; Mankoff, D. 18F-FDG PET/CT for Staging and Restaging of Breast Cancer. J. Nucl. Med. 2016, 57 (Suppl. S1), 17S–26S. [Google Scholar] [CrossRef] [PubMed]
- Ulaner, G.A. PET/CT for Patients With Breast Cancer: Where Is the Clinical Impact? Am. J. Roentgenol. 2019, 213, 254–265. [Google Scholar] [CrossRef] [PubMed]
- Pfannenberg, C.; Gueckel, B.; Wang, L.; Gatidis, S.; Olthof, S.-C.; Vach, W.; Reimold, M.; la Fougere, C.; Nikolaou, K.; Martus, P. Practice-based evidence for the clinical benefit of PET/CT—Results of the first oncologic PET/CT registry in Germany. Eur. J. Nucl. Med. 2019, 46, 54–64. [Google Scholar] [CrossRef] [PubMed]
- Paydary, K.; Seraj, S.M.; Zadeh, M.Z.; Emamzadehfard, S.; Shamchi, S.P.; Gholami, S.; Werner, T.J.; Alavi, A. The Evolving Role of FDG-PET/CT in the Diagnosis, Staging, and Treatment of Breast Cancer. Mol. Imaging Biol. 2019, 21, 1–10. [Google Scholar] [CrossRef] [PubMed]
- Ulaner, G.A.; Castillo, R.; Goldman, D.A.; Wills, J.; Riedl, C.C.; Pinker-Domenig, K.; Jochelson, M.S.; Gönen, M. 18F-FDG-PET/CT for systemic staging of newly diagnosed triple-negative breast cancer. Eur. J. Nucl. Med. 2016, 43, 1937–1944. [Google Scholar] [CrossRef] [PubMed]
- Waks, A.G.; Winer, E.P. Breast Cancer Treatment: A Review. JAMA 2019, 321, 288–300. [Google Scholar] [CrossRef] [PubMed]
- Burstein, H.; Curigliano, G.; Thürlimann, B.; Weber, W.; Poortmans, P.; Regan, M.; Senn, H.; Winer, E.; Gnant, M.; Aebi, S.; et al. Customizing local and systemic therapies for women with early breast cancer: The St. Gallen International Consensus Guidelines for treatment of early breast cancer 2021. Ann. Oncol. 2021, 32, 1216–1235. [Google Scholar] [CrossRef] [PubMed]
- Lutgendorf, S.K.; Sood, A.K.; Antoni, M.H. Host Factors and Cancer Progression: Biobehavioral Signaling Pathways and Interventions. J. Clin. Oncol. 2010, 28, 4094–4099. [Google Scholar] [CrossRef] [PubMed]
- Antoni, M.H.; Dhabhar, F.S. The impact of psychosocial stress and stress management on immune responses in patients with cancer. Cancer 2019, 125, 1417–1431. [Google Scholar] [CrossRef] [PubMed]
- Azim, H.A., Jr.; de Azambuja, E.; Colozza, M.; Bines, J.; Piccart, M.J. Long-term toxic effects of adjuvant chemotherapy in breast cancer. Ann. Oncol. Off. J. Eur. Soc. Med. Oncol. 2011, 22, 1939–1947. [Google Scholar] [CrossRef] [PubMed]
- Han, S.; Choi, J.Y. Impact of 18F-FDG PET, PET/CT, and PET/MRI on Staging and Management as an Initial Staging Modality in Breast Cancer: A Systematic Review and Meta-analysis. Clin. Nucl. Med. 2021, 46, 271–282. [Google Scholar] [CrossRef] [PubMed]
- Vogsen, M.; Jensen, J.D.; Christensen, I.Y.; Gerke, O.; Jylling, A.M.B.; Larsen, L.B.; Braad, P.-E.; Søe, K.L.; Bille, C.; Ewertz, M.; et al. FDG-PET/CT in high-risk primary breast cancer—A prospective study of stage migration and clinical impact. Breast Cancer Res. Treat. 2021, 185, 145–153. [Google Scholar] [CrossRef] [PubMed]
- Gunalp, B.; Ince, S.; Karacalioglu, A.O.; Ayan, A.; Emer, O.; Alagoz, E. Clinical impact of 18F-FDG PET/CT on initial staging and therapy planning for breast cancer. Exp. Ther. Med. 2012, 4, 693–698. [Google Scholar] [CrossRef] [PubMed]
- Naghavi-Behzad, M.; Vogsen, M.; Vester, R.M.; Olsen, M.M.B.; Oltmann, H.; Braad, P.-E.; Asmussen, J.T.; Gerke, O.; Vach, W.; Kidholm, K.; et al. Response monitoring in metastatic breast cancer: A comparison of survival times between FDG-PET/CT and CE-CT. Br. J. Cancer 2022, 126, 1271–1279. [Google Scholar] [CrossRef] [PubMed]
- Riedl, C.C.; Pinker, K.; Ulaner, G.A.; Ong, L.T.; Baltzer, P.; Jochelson, M.S.; McArthur, H.L.; Gönen, M.; Dickler, M.; Weber, W.A. Comparison of FDG-PET/CT and contrast-enhanced CT for monitoring therapy response in patients with metastatic breast cancer. Eur. J. Nucl. Med. 2017, 44, 1428–1437. [Google Scholar] [CrossRef] [PubMed]
- Liu, C.-S.; Shen, Y.-Y.; Lin, C.-C.; Yen, R.-F.; Kao, C.-H. Clinical Impact of [18F]FDG-PET in Patients with Suspected Recurrent Breast Cancer Based on Asymptomatically Elevated Tumor Marker Serum Levels: A Preliminary Report. Jpn. J. Clin. Oncol. 2002, 32, 244–247. [Google Scholar] [CrossRef] [PubMed]
- Champion, L.; Brain, E.; Giraudet, A.-L.; Le Stanc, E.; Wartski, M.; Edeline, V.; Madar, O.; Bellet, D.; Pecking, A.; Alberini, J.-L. Breast cancer recurrence diagnosis suspected on tumor marker rising: Value of whole-body 18FDG-PET/CT imaging and impact on patient management. Cancer 2010, 117, 1621–1629. [Google Scholar] [CrossRef] [PubMed]
- Xiao, Y.; Wang, L.; Jiang, X.; She, W.; He, L.; Hu, G. Diagnostic efficacy of 18F-FDG-PET or PET/CT in breast cancer with suspected recurrence: A systematic review and me-ta-analysis. Nucl. Med. Commun. 2016, 37, 1180–1188. [Google Scholar] [CrossRef] [PubMed]
- Pop, B.; Fetica, B.; Blaga, M.L.; Trifa, A.; Achimas-Cadariu, P.; Vlad, C.I.; Achimas-Cadariu, A. The role of medical registries, potential applications and limitations. Med. Pharm. Rep. 2019, 92, 7–14. [Google Scholar] [CrossRef] [PubMed]





| Subcategory | Reason for Restaging/Suspected Recurrence before PET/CT | n | |
|---|---|---|---|
| Group A Primary staging n = 15 (28.8%) | Equivocal/suspicious findings in conventional imaging examinations | 14 | |
| Clinical trial | 1 | ||
| Group B Restaging n = 17 (32.7%) | Assessment of therapy response | clinical | 1 |
| clinical + laboratory | 1 | ||
| clinical + laboratory + imaging | 2 | ||
| laboratory | 2 | ||
| imaging | 7 | ||
| Assessment of residual tumour (vitality) | imaging | 3 | |
| Follow-up after high-risk CA and non-optimal treatment | - | 1 | |
| Group C Recurrence n = 20 (38.5%) | Suspected recurrence | clinical | 2 |
| clinical + imaging | 1 | ||
| clinical + laboratory + imaging | 2 | ||
| laboratory | 1 | ||
| laboratory + imaging | 1 | ||
| imaging | 9 | ||
| incidental findings during cholecystectomy | 1 | ||
| Proven locoregional recurrence | exclusion of distant metastases | 3 | |
| Total n = 52 (100%) |
| Indication | Stage | Before PET/CT | After PET/CT |
|---|---|---|---|
| Staging (n = 15 exams) | 1 | 1 (6.7) | 3 (20.0) |
| 2 | 2 (13.3) | 5 (33.3) | |
| 3 | 4 (26.7) | 5 (33.3) | |
| 4 | 8 (53.3) | 2 (13.3) | |
| Restaging (n = 17 exams) | NED | 2 (11.8) | 2 (11.8) |
| 1 | 0 (0.0) | 0 (0.0) | |
| 2 | 0 (0.0) | 0 (0.0) | |
| 3 | 2 (11.8) | 1 (5.9) | |
| 4 | 13 (76.5) | 14 (82.4) | |
| Recurrence (n = 20 exams) | NED | 3 (15.0) | 6 (30.0) |
| 1 | 0 (0.0) | 1 (5.0) | |
| 2 | 5 (25.0) | 3 (15.0) | |
| 3 | 1 (5.0) | 1 (5.0) | |
| 4 | 11 (55.0) | 9 (45.0) |
| Initial Stage at Primary Breast Cancer Diagnosis | Management Strategy | Curative/Palliative Change | ||||||||
|---|---|---|---|---|---|---|---|---|---|---|
| Indication for PET/CT | Pre PET/CT | Post PET/CT | Pre PET/CT | Post PET/CT | PET/CT Result | Avoidance of Additional Diagnostics | No. of Scans | Grading of Management Changes | Potential Benefit of PET/CT--Induced Management Changes | |
| Group A Staging (n = 15 scans in 15 patients) | Stage I: n = 3 Stage II: n = 6 Stage III: n = 5 Stage IV: n = 1 | surgery + systemic | surgery + systemic | P | C | downstaging, IV → I | yes, invasive | 1 | Major (n = 6) | better customized therapy, major psychological benefit of downstaging, avoidance of invasive tests |
| downstaging, IV → IIa | 1 | |||||||||
| surgery + systemic + RTX | surgery + systemic + RTX | P | C | downstaging, IV → IIb | no | 2 | better customized therapy, major psychological benefit of downstaging | |||
| systemic | systemic | P | C | downstaging, IV → IIIa | yes, invasive | 1 | better customized therapy, major psychological benefit of downstaging, avoidance of invasive tests | |||
| systemic + RTX | systemic + RTX | P | C | downstaging, IV → I | yes, invasive | 1 | better customized therapy, major psychological benefit of downstaging, avoidance of invasive tests | |||
| surgery + systemic + RTX | surgery + systemic + RTX | C | C | no change in stage | yes, not specified | 4 | Minor (n = 4) | avoidance of additional tests | ||
| surgery + systemic + RTX | surgery + systemic + RTX | C | C | no change in stage | no | 3 | No change (n = 5) | |||
| systemic + RTX | systemic + RTX | P | P | no change in stage | no | 2 | ||||
| Group B Restaging (n = 17 scans in 13 patients) | Stage I: n = 3 Stage II: n = 5 Stage III: n = 2 Stage IV: n = 3 | non-treatment | systemic | C | P | progressive disease | yes, not specified | 1 | Major (n = 3) | earlier therapy start with improved outcome, avoidance of additional tests |
| systemic | non-treatment | P | P | complete remission | no | 1 | ending of therapy and preventing its side effects | |||
| systemic | systemic + RTX | P | P | progressive disease | no | 1 | earlier therapy start with improved outcome | |||
| systemic | systemic (modified) | P | P | progressive disease | yes, invasive | 2 | Minor (n = 11) | better customized therapy/early replacement of ineffective therapy, avoidance of invasive tests | ||
| yes, not specified | 1 | better customized therapy/early replacement of ineffective therapy, avoidance of additional tests | ||||||||
| no | 5 | better customized therapy/early replacement of ineffective therapy | ||||||||
| surgery + systemic | surgery + systemic | C | C | partial remission | yes, invasive | 1 | avoidance of invasive tests | |||
| systemic | systemic | P | P | stable disease | yes, invasive | 1 | avoidance of invasive tests | |||
| mixed | yes, not specified | 1 | avoidance of additional tests | |||||||
| non-treatment | non-treatment | C | C | complete remission | no | 1 | No change (n = 3) | |||
| systemic | systemic | P | P | progressive disease | no | 1 | ||||
| partial remission | 1 | |||||||||
| Group C Recurrence (n = 20 scans in 19 patients) | Stage I: n = 4 Stage II: n = 10 Stage III: n = 3 Stage IV: n = 2 | non-treatment | systemic | C | P | recurrence | yes, invasive | 1 | Major (n = 9) | earlier therapy start with improved outcome, avoidance of invasive tests |
| recurrence | yes, not specified | 1 | earlier therapy start with improved outcome, avoidance of invasive tests | |||||||
| surgery | systemic | C | P | recurrence | yes, not specified | 1 | better customized therapy, avoidance of additional tests | |||
| P | P | yes, invasive | 1 | better customized therapy, avoidance of invasive tests | ||||||
| systemic | surgery + systemic | C | C | recurrence | yes, not specified | 1 | earlier therapy start with improved outcome, avoidance of additional tests | |||
| C | C | no | 1 | earlier therapy start with improved outcome | ||||||
| P | P | no | 1 | earlier therapy start with improved outcome | ||||||
| systemic + RTX | non-treatment | P | C | no recurrence | yes, invasive | 1 | avoidance of unnecessary therapy and its side effects, avoidance of invasive tests | |||
| systemic + RTX | surgery + systemic | P | C | recurrence | yes, not specified | 1 | better customized therapy, avoidance of additional tests | |||
| systemic | systemic (modified) | P | P | recurrence | yes, not specified | 1 | Minor (n = 8) | better customized therapy, avoidance of additional tests | ||
| yes, invasive | 1 | better customized therapy, avoidance of invasive tests | ||||||||
| non-treatment | non-treatment | C | C | no recurrence | yes not specified | 3 | avoidance of additional tests | |||
| yes, invasive | 1 | avoidance of invasive tests | ||||||||
| systemic | systemic | P | P | recurrence | yes, not specified | 1 | avoidance of additional tests | |||
| yes, non-invasive | 1 | avoidance of additional tests | ||||||||
| systemic | systemic | C | C | no recurrence | no | 1 | No change (n = 3) | |||
| systemic | systemic | P | P | recurrence | no | 2 | ||||
Disclaimer/Publisher’s Note: The statements, opinions and data contained in all publications are solely those of the individual author(s) and contributor(s) and not of MDPI and/or the editor(s). MDPI and/or the editor(s) disclaim responsibility for any injury to people or property resulting from any ideas, methods, instructions or products referred to in the content. |
© 2023 by the authors. Licensee MDPI, Basel, Switzerland. This article is an open access article distributed under the terms and conditions of the Creative Commons Attribution (CC BY) license (https://creativecommons.org/licenses/by/4.0/).
Share and Cite
Werner, S.; Sekler, J.; Gückel, B.; la Fougère, C.; Nikolaou, K.; Pfannenberg, C.; Preibsch, H.; Engler, T.; Olthof, S.-C. Influence of [18F]FDG-PET/CT on Clinical Management Decisions in Breast Cancer Patients—A PET/CT Registry Study. Diagnostics 2023, 13, 2420. https://doi.org/10.3390/diagnostics13142420
Werner S, Sekler J, Gückel B, la Fougère C, Nikolaou K, Pfannenberg C, Preibsch H, Engler T, Olthof S-C. Influence of [18F]FDG-PET/CT on Clinical Management Decisions in Breast Cancer Patients—A PET/CT Registry Study. Diagnostics. 2023; 13(14):2420. https://doi.org/10.3390/diagnostics13142420
Chicago/Turabian StyleWerner, Sebastian, Julia Sekler, Brigitte Gückel, Christian la Fougère, Konstantin Nikolaou, Christina Pfannenberg, Heike Preibsch, Tobias Engler, and Susann-Cathrin Olthof. 2023. "Influence of [18F]FDG-PET/CT on Clinical Management Decisions in Breast Cancer Patients—A PET/CT Registry Study" Diagnostics 13, no. 14: 2420. https://doi.org/10.3390/diagnostics13142420
APA StyleWerner, S., Sekler, J., Gückel, B., la Fougère, C., Nikolaou, K., Pfannenberg, C., Preibsch, H., Engler, T., & Olthof, S.-C. (2023). Influence of [18F]FDG-PET/CT on Clinical Management Decisions in Breast Cancer Patients—A PET/CT Registry Study. Diagnostics, 13(14), 2420. https://doi.org/10.3390/diagnostics13142420

