Advanced Imaging in Multiple Myeloma: New Frontiers for MRI
Abstract
1. Introduction
2. MRI
2.1. Conventional Whole-Body MRI (WB-MRI)
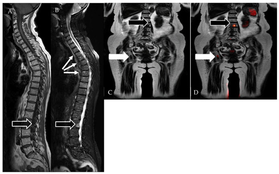
2.2. Whole-Body Diffusion Weighted Imaging (WB-DWI)
2.3. IVIM MRI
2.4. Marrow Fat Quantification Techniques
2.5. Whole-Body Dynamic Contrast-Enhanced MRI (WB-DCE MRI)
3. 18F-Fluorodeoxyglucose Positron Emission Tomography (18FDG PET)
3.1. 18FDG PET
3.2. 18FDG PET/CT
3.3. 18FDG PET/MRI
4. Conclusions
Author Contributions
Funding
Institutional Review Board Statement
Informed Consent Statement
Data Availability Statement
Conflicts of Interest
References
- Dimopoulos, M.; Terpos, E.; Comenzo, R.L.; Tosi, P.; Beksac, M.; Sezer, O.; Siegel, D.; Lokhorst, H.; Kumar, S.; Rajkumar, S.V.; et al. International myeloma working group consensus statement and guidelines regarding the current role of imaging techniques in the diagnosis and monitoring of multiple Myeloma. Leukemia 2009, 23, 1545–1556. [Google Scholar] [CrossRef] [PubMed]
- Bataille, R.; Harousseau, J.-L. Multiple Myeloma. N. Engl. J. Med. 1997, 336, 1657–1664. [Google Scholar] [CrossRef] [PubMed]
- Kyle, R.A.; Durie, B.G.M.; Rajkumar, S.V.; Landgren, O.; Blade, J.; Merlini, G.; Kröger, N.; Einsele, H.; Vesole, D.H.; Dimopoulos, M.; et al. Monoclonal gammopathy of undetermined signif-icance (MGUS) and smoldering (asymptomatic) multiple myeloma: IMWG consensus perspectives risk factors for progression and guidelines for monitoring and management. Leukemia 2010, 24, 1121–1127. [Google Scholar] [CrossRef] [PubMed]
- Smith, D.; Yong, K. Multiple myeloma. BMJ 2013, 346, f3863. [Google Scholar] [CrossRef] [PubMed]
- Rajkumar, S.V.; Dimopoulos, M.A.; Palumbo, A.; Blade, J.; Merlini, G.; Mateos, M.V.; Kumar, S.; Hillengass, J.; Kastritis, E.; Richardson, P.; et al. International Myeloma Working Group updated criteria for the diagnosis of multiple myeloma. Lancet Oncol. 2014, 15, e538–e548. [Google Scholar] [CrossRef]
- Durie, B.G.; Harousseau, J.L.; Miguel, J.S.; Bladé, J.; Barlogie, B.; Anderson, K.; Gertz, M.; Dimopoulos, M.; Westin, J.; Sonneveld, P.; et al. International uniform response criteria for multiple myeloma. Leukemia 2006, 20, 1467–1473. [Google Scholar] [CrossRef] [PubMed]
- Ormond Filho, A.G.; Carneiro, B.C.; Pastore, D.; Silva, I.P.; Yamashita, S.R.; Consolo, F.D.; Hungria, V.T.M.; Sandes, A.F.; Rizzatti, E.G.; Nico, M.A.C. Whole-Body Imaging of Multiple Myeloma: Diagnostic Criteria. Radiographics 2019, 39, 1077–1097. [Google Scholar] [CrossRef] [PubMed]
- Hotta, T. Classification, staging and prognostic indices for multiple myeloma. Nihon Rinsho Jpn. J. Clin. Med. 2007, 65, 2161–2166. [Google Scholar]
- Durie, B.G. The role of anatomic and functional staging in myeloma: Description of Durie/Salmon plus staging system. Eur. J. Cancer 2006, 42, 1539–1543. [Google Scholar] [CrossRef]
- Hillengass, J.; Fechtner, K.; Weber, M.A.; Bäuerle, T.; Ayyaz, S.; Heiss, C.; Hielscher, T.; Moehler, T.M.; Egerer, G.; Neben, K.; et al. Prognostic significance of focal lesions in whole-body magnetic resonance imaging in patients with asymptomatic multiple myeloma. J. Clin. Oncol. Off. J. Am. Soc. Clin. Oncol. 2010, 28, 1606–1610. [Google Scholar] [CrossRef]
- Walker, R.; Barlogie, B.; Haessler, J.; Tricot, G.; Anaissie, E.; Shaughnessy, J.D., Jr.; Epstein, J.; van Hemert, R.; Erdem, E.; Hoering, A.; et al. Magnetic resonance imaging in multiple myeloma: Diagnostic and clinical implications. J. Clin. Oncol. Off. J. Am. Soc. Clin. Oncol. 2007, 25, 1121–1128. [Google Scholar] [CrossRef] [PubMed]
- Dimopoulos, M.A.; Hillengass, J.; Usmani, S.; Zamagni, E.; Lentzsch, S.; Davies, F.E.; Raje, N.; Sezer, O.; Zweegman, S.; Shah, J.; et al. Role of magnetic resonance imaging in the management of patients with multiple myeloma: A consensus statement. J. Clin. Oncol. Off. J. Am. Soc. Clin. Oncol. 2015, 33, 657–664. [Google Scholar] [CrossRef] [PubMed]
- Pawlyn, C.; Fowkes, L.; Otero, S.; Jones, J.R.; Boyd, K.D.; Davies, F.E.; Morgan, G.J.; Collins, D.J.; Sharma, B.; Riddell, A.; et al. Whole-body diffusion-weighted MRI: A new gold standard for assessing disease burden in patients with multiple myeloma? Leukemia 2016, 30, 1446–1448. [Google Scholar] [CrossRef] [PubMed]
- Bäuerle, T.; Hillengass, J.; Fechtner, K.; Zechmann, C.M.; Grenacher, L.; Moehler, T.M.; Christiane, H.; Wagner-Gund, B.; Neben, K.; Kauczor, H.U.; et al. Multiple myeloma and monoclonal gammopathy of undetermined significance: Importance of whole-body versus spinal MR imaging. Radiology 2009, 252, 477–485. [Google Scholar] [CrossRef] [PubMed]
- Baur, A.; Stäbler, A.; Nagel, D.; Lamerz, R.; Bartl, R.; Hiller, E.; Wendtner, C.; Bachner, F.; Reiser, M. Magnetic resonance imaging as a supplement for the clinical staging system of Durie and Salmon? Cancer 2002, 95, 1334–1345. [Google Scholar] [CrossRef]
- Kusumoto, S.; Jinnai, I.; Itoh, K.; Kawai, N.; Sakata, T.; Matsuda, A.; Tominaga, K.; Murohashi, I.; Bessho, M.; Harashima, K.; et al. Magnetic resonance imaging patterns in patients with multiple myeloma. Br. J. Haematol. 1997, 99, 649–655. [Google Scholar] [CrossRef] [PubMed]
- Moulopoulos, L.A.; Gika, D.; Anagnostopoulos, A.; Delasalle, K.; Weber, D.; Alexanian, R.; Dimopoulos, M.A. Prognostic significance of magnetic resonance imaging of bone marrow in previously untreated patients with multiple myeloma. Ann. Oncol. Off. J. Eur. Soc. Med. Oncol. 2005, 16, 1824–1828. [Google Scholar] [CrossRef]
- Hillengass, J.; Ayyaz, S.; Kilk, K.; Weber, M.-A.; Hielscher, T.; Shah, R.; Hose, D.; Delorme, S.; Goldschmidt, H.; Neben, K. Changes in magnetic resonance imaging before and after autologous stem cell transplantation correlate with response and survival in multiple myeloma. Haematologica 2012, 97, 1757–1760. [Google Scholar] [CrossRef]
- Moulopoulos, L.A.; Dimopoulos, M.A.; Alexanian, R.; Leeds, N.E.; Libshitz, H.I. Multiple myeloma: MR patterns of response to treatment. Radiology 1994, 193, 441–446. [Google Scholar] [CrossRef]
- Messiou, C.; Hillengass, J.; Delorme, S.; Lecouvet, F.E.; Moulopoulos, L.A.; Collins, D.J.; Blackledge, M.D.; Abildgaard, N.; Østergaard, B.; Schlemmer, H.P.; et al. Guidelines for Acquisition, Interpretation, and Reporting of Whole-Body MRI in Myeloma: Myeloma Response Assessment and Diagnosis System (MY-RADS). Radiology 2019, 291, 5–13. [Google Scholar] [CrossRef]
- Schmidt, G.P.; Reiser, M.F.; Baur-Melnyk, A. Whole-body MRI for the staging and follow-up of patients with metastasis. Eur. J. Radiol. 2009, 70, 393–400. [Google Scholar] [CrossRef] [PubMed]
- Weininger, M.; Lauterbach, B.; Knop, S.; Pabst, T.; Kenn, W.; Hahn, D.; Beissert, M. Whole-body MRI of multiple myeloma: Comparison of different MRI sequences in assessment of different growth patterns. Eur. J. Radiol. 2009, 69, 339–345. [Google Scholar] [CrossRef] [PubMed]
- Albano, D.; Stecco, A.; Micci, G.; Sconfienza, L.M.; Colagrande, S.; Reginelli, A.; Grassi, R.; Carriero, A.; Midiri, M.; Lagalla, R.; et al. Whole-body magnetic resonance imaging (WB-MRI) in oncology: An Italian survey. La Radiol. Med. 2021, 126, 299–305. [Google Scholar] [CrossRef] [PubMed]
- Feldhaus, J.M.; Garner, H.W.; Wessell, D.E. Society of skeletal radiology member utilization and performance of whole-body MRI in adults. Skelet. Radiol. 2020, 49, 1731–1736. [Google Scholar] [CrossRef]
- Dinter, D.J.; Neff, W.K.; Klaus, J.; Böhm, C.; Hastka, J.; Weiss, C.; Schoenberg, S.O.; Metzgeroth, G. Comparison of whole-body MR imaging and conventional X-ray examination in patients with multiple myeloma and implications for therapy. Ann. Hematol. 2009, 88, 457–464. [Google Scholar] [CrossRef] [PubMed][Green Version]
- Engelhardt, M.; Kleber, M.; Frydrychowicz, A.; Pache, G.; Schmitt-Gräff, A.; Wäsch, R.; Durie, B.G. Superiority of magnetic resonance imaging over conventional radiographs in multiple myeloma. Anticancer. Res. 2009, 29, 4745–4750. [Google Scholar] [PubMed]
- Ghanem, N.; Lohrmann, C.; Engelhardt, M.; Pache, G.; Uhl, M.; Saueressig, U.; Kotter, E.; Langer, M. Whole-body MRI in the detection of bone marrow infiltration in patients with plasma cell neoplasms in comparison to the radiological skeletal survey. Eur. Radiol. 2006, 16, 1005–1014. [Google Scholar] [CrossRef]
- Dutoit, J.C.; Vanderkerken, M.A.; Anthonissen, J.; Dochy, F.; Verstraete, K.L. The diagnostic value of SE MRI and DWI of the spine in patients with monoclonal gammopathy of undetermined significance, smouldering myeloma and multiple myeloma. Eur. Radiol. 2014, 24, 2754–2765. [Google Scholar] [CrossRef]
- Jacobs, M.A.; Pan, L.; Macura, K.J. Whole-body diffusion-weighted and proton imaging: A review of this emerging technology for monitoring metastatic cancer. Semin. Roentgenol. 2009, 44, 111–122. [Google Scholar] [CrossRef][Green Version]
- Hillengass, J.; Bäuerle, T.; Bartl, R.; Andrulis, M.; McClanahan, F.; Laun, F.B.; Zechmann, C.M.; Shah, R.; Wagner-Gund, B.; Simon, D.; et al. Diffusion-weighted imaging for non-invasive and quantitative monitoring of bone marrow infiltration in patients with monoclonal plasma cell disease: A comparative study with histology. Br. J. Haematol. 2011, 153, 721–728. [Google Scholar] [CrossRef]
- Horger, M.; Weisel, K.; Horger, W.; Mroue, A.; Fenchel, M.; Lichy, M. Whole-body diffusion-weighted MRI with apparent diffusion coefficient mapping for early response monitoring in multiple myeloma: Preliminary results. AJR Am. J. Roentgenol. 2011, 196, 6. [Google Scholar] [CrossRef]
- Messiou, C.; Collins, D.J.; Morgan, V.A.; Desouza, N.M. Optimising diffusion weighted MRI for imaging metastatic and myeloma bone disease and assessing reproducibility. Eur. Radiol. 2011, 21, 1713–1718. [Google Scholar] [CrossRef] [PubMed]
- Sommer, G.; Klarhöfer, M.; Lenz, C.; Scheffler, K.; Bongartz, G.; Winter, L. Signal characteristics of focal bone marrow lesions in patients with multiple myeloma using whole body T1w-TSE, T2w-STIR and diffusion-weighted imaging with background suppression. Eur. Radiol. 2011, 21, 857–862. [Google Scholar] [CrossRef]
- Fenchel, M.; Konaktchieva, M.; Weisel, K.; Kraus, S.; Claussen, C.D.; Horger, M. Response assessment in patients with multiple myeloma during antiangiogenic therapy using arterial spin labeling and diffusion-weighted imaging: A feasibility study. Acad. Radiol. 2010, 17, 1326–1333. [Google Scholar] [CrossRef]
- Messiou, C.; Giles, S.; Collins, D.J.; West, S.; Davies, F.E.; Morgan, G.J.; Desouza, N.M. Assessing response of myeloma bone disease with diffusion-weighted MRI. Br. J. Radiol. 2012, 85, 1020. [Google Scholar] [CrossRef]
- Koutoulidis, V.; Fontara, S.; Terpos, E.; Zagouri, F.; Matsaridis, D.; Christoulas, D.; Panourgias, E.; Kastritis, E.; Dimopoulos, M.A.; Moulopoulos, L.A. Quantitative Diffusion-weighted Imaging of the Bone Marrow: An Adjunct Tool for the Diagnosis of a Diffuse MR Imaging Pattern in Patients with Multiple Myeloma. Radiology 2017, 282, 484–493. [Google Scholar] [CrossRef]
- Giles, S.L.; Messiou, C.; Collins, D.J.; Morgan, V.A.; Simpkin, C.J.; West, S.; Davies, F.E.; Morgan, G.J.; deSouza, N.M. Whole-Body Diffusion-weighted MR Imaging for Assessment of Treatment Response in Myeloma. Radiology 2014, 271, 785–794. [Google Scholar] [CrossRef]
- Lemke, A.; Laun, F.B.; Klauss, M.; Re, T.J.; Simon, D.; Delorme, S.; Schad, L.R.; Stieltjes, B. Differentiation of pancreas carcinoma from healthy pancreatic tissue using multiple b-values: Comparison of apparent diffusion coefficient and intravoxel incoherent motion derived parameters. Investig. Radiol. 2009, 44, 769–775. [Google Scholar] [CrossRef]
- Luciani, A.; Vignaud, A.; Cavet, M.; Nhieu, J.T.; Mallat, A.; Ruel, L.; Laurent, A.; Deux, J.F.; Brugieres, P.; Rahmouni, A. Liver cirrhosis: Intravoxel incoherent motion MR imaging—Pilot study. Radiology 2008, 249, 891–899. [Google Scholar] [CrossRef]
- Sezer, O.; Niemöller, K.; Jakob, C.; Zavrski, I.; Heider, U.; Eucker, J.; Kaufmann, O.; Possinger, K. Relationship between bone marrow angiogenesis and plasma cell infiltration and serum beta2-microglobulin levels in patients with multiple myeloma. Ann. Hematol. 2001, 80, 598–601. [Google Scholar]
- Chu, H.H.; Choi, S.H.; Ryoo, I.; Kim, S.C.; Yeom, J.A.; Shin, H.; Jung, S.C.; Lee, A.L.; Yoon, T.J.; Kim, T.M.; et al. Differentiation of true progression from pseudoprogression in glioblastoma treated with radiation therapy and concomitant temozolomide: Comparison study of standard and high-b-value diffusion-weighted imaging. Radiology 2013, 269, 831–840. [Google Scholar] [CrossRef]
- Ajit, M.; Maruvaneni, S.; Kumar, A.; Ullal, S.; Fernandes, M. Role of Diffusion Weighted Imaging in Differentiating Benign from Pathological Vertebral Collapse using ADC Values. J. Clin. Diagn. Res. 2019, 13, 1–5. [Google Scholar]
- Biffar, A.; Baur-Melnyk, A.; Schmidt, G.P.; Reiser, M.F.; Dietrich, O. Multiparameter MRI assessment of normal-appearing and diseased vertebral bone marrow. Eur. Radiol. 2010, 20, 2679–2689. [Google Scholar] [CrossRef]
- Plank, C.; Koller, A.; Mueller-Mang, C.; Bammer, R.; Thurnher, M.M. Diffusion-weighted MR imaging (DWI) in the evaluation of epidural spinal lesions. Neuroradiology 2007, 49, 977–985. [Google Scholar] [CrossRef] [PubMed]
- Pearce, T.; Philip, S.; Brown, J.; Koh, D.M.; Burn, P.R. Bone metastases from prostate, breast and multiple myeloma: Differences in lesion conspicuity at short-tau inversion recovery and diffusion-weighted MRI. Br. J. Radiol. 2012, 85, 1102–1106. [Google Scholar] [CrossRef] [PubMed]
- Padhani, A.R.; Koh, D.M.; Collins, D.J. Whole-body diffusion-weighted MR imaging in cancer: Current status and research directions. Radiology 2011, 261, 700–718. [Google Scholar] [CrossRef]
- Lacognata, C.; Crimì, F.; Guolo, A.; Varin, C.; De March, E.; Vio, S.; Ponzoni, A.; Barilà, G.; Lico, A.; Branca, A.; et al. Diffusion-weighted whole-body MRI for evaluation of early response in multiple myeloma. Clin. Radiol. 2017, 72, 850–857. [Google Scholar] [CrossRef] [PubMed]
- Giles, S.L.; deSouza, N.M.; Collins, D.J.; Morgan, V.A.; West, S.; Davies, F.E.; Morgan, G.J.; Messiou, C. Assessing myeloma bone disease with whole-body diffusion-weighted imaging: Comparison with x-ray skeletal survey by region and relationship with laboratory estimates of disease burden. Clin. Radiol. 2015, 70, 614–621. [Google Scholar] [CrossRef]
- Sachpekidis, C.; Mosebach, J.; Freitag, M.T.; Wilhelm, T.; Mai, E.K.; Goldschmidt, H.; Haberkorn, U.; Schlemmer, H.-P.; Delorme, S.; Dimitrakopoulou-Strauss, A. Application of (18)F-FDG PET and diffusion weighted imaging (DWI) in multiple myeloma: Comparison of functional imaging modalities. Am. J. Nucl. Med. Mol. Imaging 2015, 5, 479–492. [Google Scholar]
- Rasche, L.; Angtuaco, E.; McDonald, J.E.; Buros, A.; Stein, C.; Pawlyn, C.; Thanendrarajan, S.; Schinke, C.; Samant, R.; Yaccoby, S.; et al. Low expression of hexokinase-2 is associated with false-negative FDG-positron emission tomography in multiple myeloma. Blood 2017, 130, 30–34. [Google Scholar] [CrossRef]
- Lai, A.Y.T.; Riddell, A.; Barwick, T.; Boyd, K.; Rockall, A.; Kaiser, M.; Koh, D.M.; Saffar, H.; Yusuf, S.; Messiou, C. Interobserver agreement of whole-body magnetic resonance imaging is superior to whole-body computed tomography for assessing disease burden in patients with multiple myeloma. Eur. Radiol. 2020, 30, 320–327. [Google Scholar] [CrossRef] [PubMed]
- Hernandez, J.; Montesinos, O.; Mateo, A.G.; Queizán, J.A.; Peral, G.S.d.; Olivier, C.; Fisac, R.M.; Coca, A.G.d.; López, R.; Ocio, E.M.; et al. Usefulness of Whole-Body Diffusion-Weighted MRI (WB-MRI) With Apparent Diffusion Coefficient (ADC) In The Differentiation of Monoclonal Gammopathies. Clin. Lymphoma Myeloma Leuk. 2015, 15, e90–e91. [Google Scholar] [CrossRef]
- Rasche, L.; Schinke, C.D.; Alapat, D.; Gershner, G.; Johnson, S.K.; Thanendrarajan, S.; Epstein, J.; van Rhee, F.; Zangari, M.; McDonald, J.E.; et al. Functional Imaging Detects Residual Disease in MRD-Negative Multiple Myeloma Patients Who Subsequently Relapse. Blood 2017, 130, 4510. [Google Scholar]
- Lecouvet, F.E.; Larbi, A.; Pasoglou, V.; Omoumi, P.; Tombal, B.; Michoux, N.; Malghem, J.; Lhommel, R.; Vande Berg, B.C. MRI for response assessment in metastatic bone disease. Eur. Radiol. 2013, 23, 1986–1997. [Google Scholar] [CrossRef] [PubMed]
- Khoo, M.M.; Tyler, P.A.; Saifuddin, A.; Padhani, A.R. Diffusion-weighted imaging (DWI) in musculoskeletal MRI: A critical review. Skelet. Radiol. 2011, 40, 665–681. [Google Scholar] [CrossRef]
- Rasche, L.; Alapat, D.; Kumar, M.; Gershner, G.; McDonald, J.; Wardell, C.P.; Samant, R.; Van Hemert, R.; Epstein, J.; Williams, A.F.; et al. Combination of flow cytometry and functional imaging for monitoring of residual disease in myeloma. Leukemia 2019, 33, 1713–1722. [Google Scholar] [CrossRef]
- Fernández-Poveda, E.; Cabañas, V.; Moreno, M.J.; Blanquer Blanquer, M.; Moraleda, J.M. Prognostic Value of Diffusion-Weighted Magnetic Resonance Imaging in Newly Diagnosed Multiple Myeloma Patients Treated with up-Front Autologous Transplantation. Blood 2019, 134, 3146. [Google Scholar] [CrossRef]
- Zhang, Y.; Xiong, X.; Fu, Z.; Dai, H.; Yao, F.; Liu, D.; Deng, S.; Hu, C. Whole-body diffusion-weighted MRI for evaluation of response in multiple myeloma patients following bortezomib-based therapy: A large single-center cohort study. Eur. J. Radiol. 2019, 120, 108695. [Google Scholar] [CrossRef]
- Le Bihan, D.; Breton, E.; Lallemand, D.; Aubin, M.L.; Vignaud, J.; Laval-Jeantet, M. Separation of diffusion and perfusion in intravoxel incoherent motion MR imaging. Radiology 1988, 168, 497–505. [Google Scholar] [CrossRef]
- Bourillon, C.; Rahmouni, A.; Lin, C.; Belhadj, K.; Beaussart, P.; Vignaud, A.; Zerbib, P.; Pigneur, F.; Cuenod, C.A.; Bessalem, H.; et al. Intravoxel Incoherent Motion Diffusion-weighted Imaging of Multiple Myeloma Lesions: Correlation with Whole-Body Dynamic Contrast Agent-enhanced MR Imaging. Radiology 2015, 277, 773–783. [Google Scholar] [CrossRef]
- Shah, R.; Stieltjes, B.; Andrulis, M.; Pfeiffer, R.; Sumkauskaite, M.; Delorme, S.; Schlemmer, H.P.; Goldschmidt, H.; Landgren, O.; Hillengass, J. Intravoxel incoherent motion imaging for assessment of bone marrow infiltration of monoclonal plasma cell diseases. Ann. Hematol. 2013, 92, 1553–1557. [Google Scholar] [CrossRef]
- Bray, T.J.P.; Singh, S.; Latifoltojar, A.; Rajesparan, K.; Rahman, F.; Narayanan, P.; Naaseri, S.; Lopes, A.; Bainbridge, A.; Punwani, S.; et al. Diagnostic utility of whole body Dixon MRI in multiple myeloma: A multi-reader study. PLoS ONE 2017, 12, e0180562. [Google Scholar] [CrossRef] [PubMed]
- Koutoulidis, V.; Terpos, E.; Papanikolaou, N.; Fontara, S.; Seimenis, I.; Gavriatopoulou, M.; Ntanasis-Stathopoulos, I.; Bourgioti, C.; Santinha, J.; Moreira, J.M.; et al. Comparison of MRI Features of Fat Fraction and ADC for Early Treatment Response Assessment in Participants with Multiple Myeloma. Radiology 2022, 304, 211388. [Google Scholar] [CrossRef] [PubMed]
- Berardo, S.; Sukhovei, L.; Andorno, S.; Carriero, A.; Stecco, A. Quantitative bone marrow magnetic resonance imaging through apparent diffusion coefficient and fat fraction in multiple myeloma patients. La Radiol. Med. 2021, 126, 445–452. [Google Scholar] [CrossRef]
- Danner, A.; Brumpt, E.; Alilet, M.; Tio, G.; Omoumi, P.; Aubry, S. Improved contrast for myeloma focal lesions with T2-weighted Dixon images compared to T1-weighted images. Diagn. Interv. Imaging 2019, 100, 513–519. [Google Scholar] [CrossRef]
- Lin, C.; Luciani, A.; Belhadj, K.; Maison, P.; Vignaud, A.; Deux, J.F.; Zerbib, P.; Pigneur, F.; Itti, E.; Kobeiter, H.; et al. Patients with plasma cell disorders examined at whole-body dynamic contrast-enhanced MR imaging: Initial experience. Radiology 2009, 250, 905–915. [Google Scholar] [CrossRef] [PubMed]
- Nosàs-Garcia, S.; Moehler, T.; Wasser, K.; Kiessling, F.; Bartl, R.; Zuna, I.; Hillengass, J.; Goldschmidt, H.; Kauczor, H.U.; Delorme, S. Dynamic contrast-enhanced MRI for assessing the disease activity of multiple myeloma: A comparative study with histology and clinical markers. J. Magn. Reson. Imaging JMRI 2005, 22, 154–162. [Google Scholar] [CrossRef]
- Rahmouni, A.; Montazel, J.L.; Divine, M.; Lepage, E.; Belhadj, K.; Gaulard, P.; Bouanane, M.; Golli, M.; Kobeiter, H. Bone marrow with diffuse tumor infiltration in patients with lymphoproliferative diseases: Dynamic gadolinium-enhanced MR imaging. Radiology 2003, 229, 710–717. [Google Scholar] [CrossRef]
- Hillengass, J.; Ritsch, J.; Merz, M.; Wagner, B.; Kunz, C.; Hielscher, T.; Laue, H.; Bäuerle, T.; Zechmann, C.M.; Ho, A.D.; et al. Increased microcirculation detected by dynamic contrast-enhanced magnetic resonance imaging is of prognostic significance in asymptomatic myeloma. Br. J. Haematol. 2016, 174, 127–135. [Google Scholar] [CrossRef]
- Hillengass, J.; Wasser, K.; Delorme, S.; Kiessling, F.; Zechmann, C.; Benner, A.; Kauczor, H.U.; Ho, A.D.; Goldschmidt, H.; Moehler, T.M. Lumbar bone marrow microcirculation measurements from dynamic contrast-enhanced magnetic resonance imaging is a predictor of event-free survival in progressive multiple myeloma. Clin. Cancer Res. Off. J. Am. Assoc. Cancer Res. 2007, 13, 475–481. [Google Scholar] [CrossRef]
- Lin, C.; Luciani, A.; Belhadj, K.; Deux, J.F.; Kuhnowski, F.; Maatouk, M.; Beaussart, P.; Cuenod, C.A.; Haioun, C.; Rahmouni, A. Multiple myeloma treatment response assessment with whole-body dynamic contrast-enhanced MR imaging. Radiology 2010, 254, 521–531. [Google Scholar] [CrossRef] [PubMed]
- Mulé, S.; Reizine, E.; Blanc-Durand, P.; Baranes, L.; Zerbib, P.; Burns, R.; Nouri, R.; Itti, E.; Luciani, A. Whole-Body Functional MRI and PET/MRI in Multiple Myeloma. Cancers 2020, 12, 3155. [Google Scholar] [CrossRef]
- Matteucci, F.; Paganelli, G.; Martinelli, G.; Cerchione, C. PET/CT in Multiple Myeloma: Beyond FDG. Front. Oncol. 2021, 10, 622501. [Google Scholar] [CrossRef]
- Bartel, T.B.; Haessler, J.; Brown, T.L.; Shaughnessy, J.D., Jr.; van Rhee, F.; Anaissie, E.; Alpe, T.; Angtuaco, E.; Walker, R.; Epstein, J.; et al. F18-fluorodeoxyglucose positron emission tomography in the context of other imaging techniques and prognostic factors in multiple myeloma. Blood 2009, 114, 2068–2076. [Google Scholar] [CrossRef] [PubMed]
- Soret, M.; Bacharach, S.L.; Buvat, I. Partial-volume effect in PET tumor imaging. Journal of nuclear medicine: Official publication. Soc. Nucl. Med. 2007, 48, 932–945. [Google Scholar] [CrossRef] [PubMed]
- Wahl, R.L.; Jacene, H.; Kasamon, Y.; Lodge, M.A. From RECIST to PERCIST: Evolving Considerations for PET response criteria in solid tumors. J. Nucl. Med. Off. Publ. Soc. Nucl. Med. 2009, 50, 122s–150s. [Google Scholar] [CrossRef]
- Fonti, R.; Larobina, M.; Del Vecchio, S.; De Luca, S.; Fabbricini, R.; Catalano, L.; Pane, F.; Salvatore, M.; Pace, L. Metabolic tumor volume assessed by 18F-FDG PET/CT for the prediction of outcome in patients with multiple myeloma. J. Nucl. Med. Off. Publ. Soc. Nucl. Med. 2012, 53, 1829–1835. [Google Scholar] [CrossRef]
- McDonald, J.E.; Kessler, M.M.; Gardner, M.W.; Buros, A.F.; Ntambi, J.A.; Waheed, S.; van Rhee, F.; Zangari, M.; Heuck, C.J.; Petty, N.; et al. Assessment of Total Lesion Glycolysis by (18)F FDG PET/CT Significantly Improves Prognostic Value of GEP and ISS in Myeloma. Clin. Cancer Res. Off. J. Am. Assoc. Cancer Res. 2017, 23, 1981–1987. [Google Scholar] [CrossRef]
- Derlin, T.; Bannas, P. Imaging of multiple myeloma: Current concepts. World J. Orthop. 2014, 5, 272–282. [Google Scholar] [CrossRef]
- Dimitrakopoulou-Strauss, A.; Hoffmann, M.; Bergner, R.; Uppenkamp, M.; Haberkorn, U.; Strauss, L.G. Prediction of progression-free survival in patients with multiple myeloma following anthracycline-based chemotherapy based on dynamic FDG-PET. Clin. Nucl. Med. 2009, 34, 576–584. [Google Scholar] [CrossRef]
- Han, S.; Woo, S.; Kim, Y.I.; Yoon, D.H.; Ryu, J.S. Prognostic value of (18)F-fluorodeoxyglucose positron emission tomography/computed tomography in newly diagnosed multiple myeloma: A systematic review and meta-analysis. Eur. Radiol. 2021, 31, 152–162. [Google Scholar] [CrossRef]
- Varettoni, M.; Corso, A.; Pica, G.; Mangiacavalli, S.; Pascutto, C.; Lazzarino, M. Incidence, presenting features and outcome of extramedullary disease in multiple myeloma: A longitudinal study on 1003 consecutive patients. Ann. Oncol. Off. J. Eur. Soc. Med. Oncol. 2010, 21, 325–330. [Google Scholar] [CrossRef] [PubMed]
- Zamagni, E.; Tacchetti, P.; Barbato, S.; Cavo, M. Role of Imaging in the Evaluation of Minimal Residual Disease in Multiple Myeloma Patients. J. Clin. Med. 2020, 9, 3519. [Google Scholar] [CrossRef] [PubMed]
- Hillengass, J.; Usmani, S.; Rajkumar, S.V.; Durie, B.G.M.; Mateos, M.V.; Lonial, S.; Joao, C.; Anderson, K.C.; García-Sanz, R.; Riva, E.; et al. International myeloma working group consensus recommendations on imaging in monoclonal plasma cell disorders. Lancet Oncol. 2019, 20, e302–e312. [Google Scholar] [CrossRef]
- Lecouvet, F.E.; Boyadzhiev, D.; Collette, L.; Berckmans, M.; Michoux, N.; Triqueneaux, P.; Pasoglou, V.; Jamar, F.; Vekemans, M.C. MRI versus (18)F-FDG-PET/CT for detecting bone marrow involvement in multiple myeloma: Diagnostic performance and clinical relevance. Eur. Radiol. 2020, 30, 1927–1937. [Google Scholar] [CrossRef] [PubMed]
- Torkian, P.; Mansoori, B.; Hillengass, J.; Azadbakht, J.; Rashedi, S.; Lee, S.S.; Amini, B.; Bonaffini, P.A.; Chalian, M. Diffusion-weighted imaging (DWI) in diagnosis, staging, and treatment response assessment of multiple myeloma: A systematic review and meta-analysis. Skelet. Radiol. 2022. [Google Scholar] [CrossRef]
- Chen, J.; Li, C.; Tian, Y.; Xiao, Q.; Deng, M.; Hu, H.; Wen, B.; He, Y. Comparison of Whole-Body DWI and 18F-FDG PET/CT for Detecting Intramedullary and Extramedullary Lesions in Multiple Myeloma. Am. J. Roentgenol. 2019, 213, 514–523. [Google Scholar] [CrossRef]
- Beiderwellen, K.; Huebner, M.; Heusch, P.; Grueneisen, J.; Ruhlmann, V.; Nensa, F.; Kuehl, H.; Umutlu, L.; Rosenbaum-Krumme, S.; Lauenstein, T.C. Whole-body [18F]FDG PET/MRI vs. PET/CT in the assessment of bone lesions in oncological patients: Initial results. Eur. Radiol. 2014, 24, 2023–2030. [Google Scholar] [CrossRef]
- Sachpekidis, C.; Hillengass, J.; Goldschmidt, H.; Mosebach, J.; Pan, L.; Schlemmer, H.-P.; Haberkorn, U.; Dimitrakopoulou-Strauss, A. Comparison of (18)F-FDG PET/CT and PET/MRI in patients with multiple myeloma. Am. J. Nucl. Med. Mol. Imaging 2015, 5, 469–478. [Google Scholar]


Publisher’s Note: MDPI stays neutral with regard to jurisdictional claims in published maps and institutional affiliations. |
© 2022 by the authors. Licensee MDPI, Basel, Switzerland. This article is an open access article distributed under the terms and conditions of the Creative Commons Attribution (CC BY) license (https://creativecommons.org/licenses/by/4.0/).
Share and Cite
Torkian, P.; Azadbakht, J.; Andrea Bonaffini, P.; Amini, B.; Chalian, M. Advanced Imaging in Multiple Myeloma: New Frontiers for MRI. Diagnostics 2022, 12, 2182. https://doi.org/10.3390/diagnostics12092182
Torkian P, Azadbakht J, Andrea Bonaffini P, Amini B, Chalian M. Advanced Imaging in Multiple Myeloma: New Frontiers for MRI. Diagnostics. 2022; 12(9):2182. https://doi.org/10.3390/diagnostics12092182
Chicago/Turabian StyleTorkian, Pooya, Javid Azadbakht, Pietro Andrea Bonaffini, Behrang Amini, and Majid Chalian. 2022. "Advanced Imaging in Multiple Myeloma: New Frontiers for MRI" Diagnostics 12, no. 9: 2182. https://doi.org/10.3390/diagnostics12092182
APA StyleTorkian, P., Azadbakht, J., Andrea Bonaffini, P., Amini, B., & Chalian, M. (2022). Advanced Imaging in Multiple Myeloma: New Frontiers for MRI. Diagnostics, 12(9), 2182. https://doi.org/10.3390/diagnostics12092182

