Radiographic Findings of Inflammatory Arthritis and Mimics in the Hands
Abstract
:1. Introduction
2. Radiographic Views
3. Interpretation of the Hand Radiographs
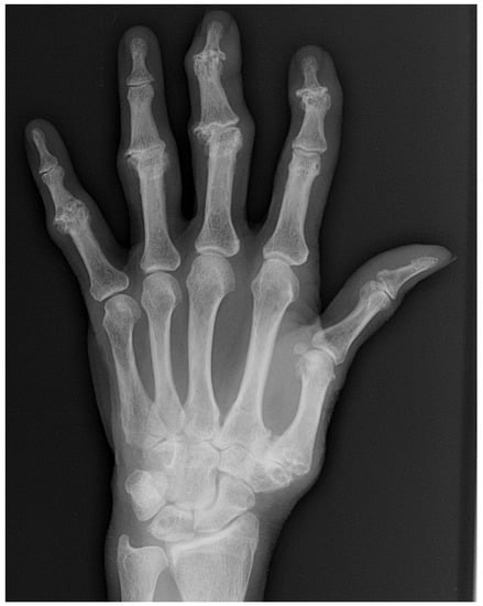
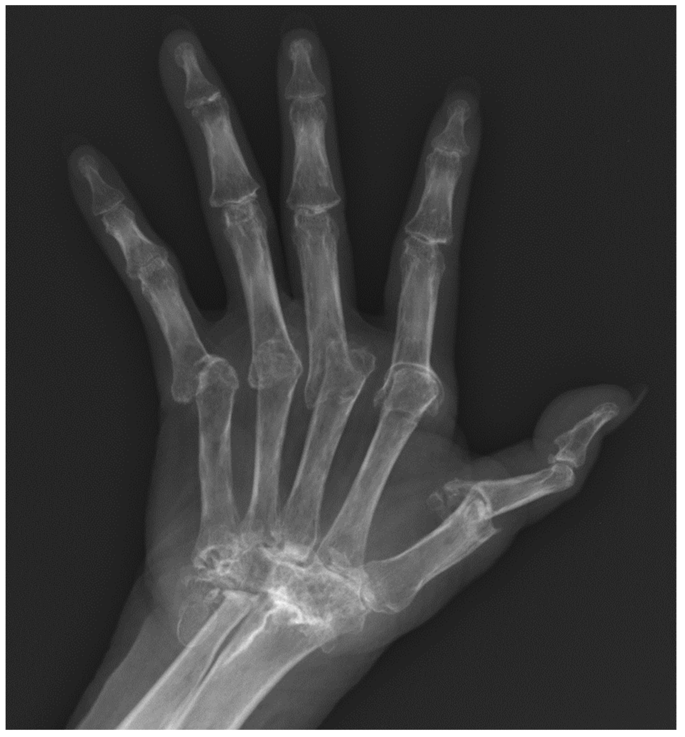
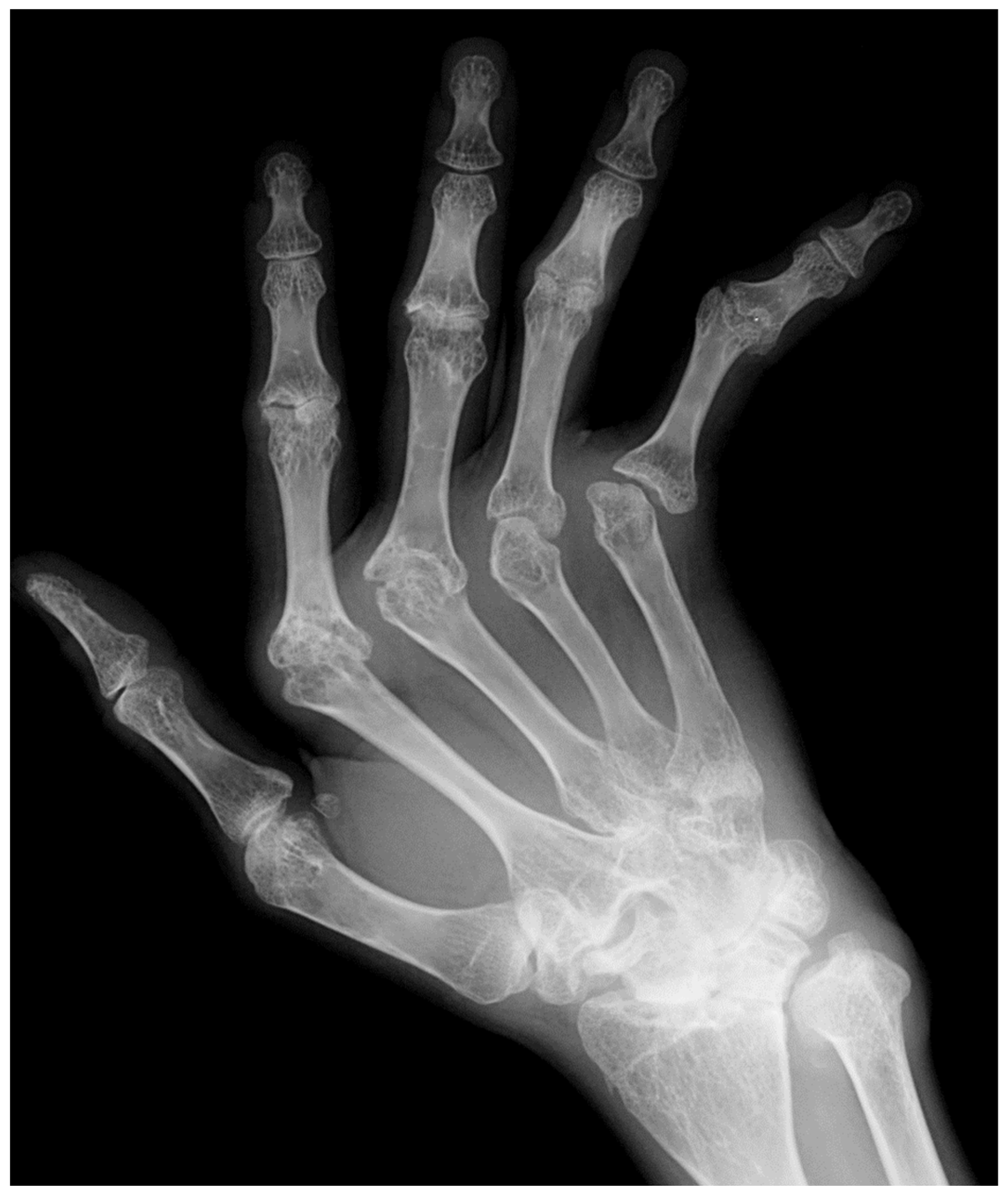
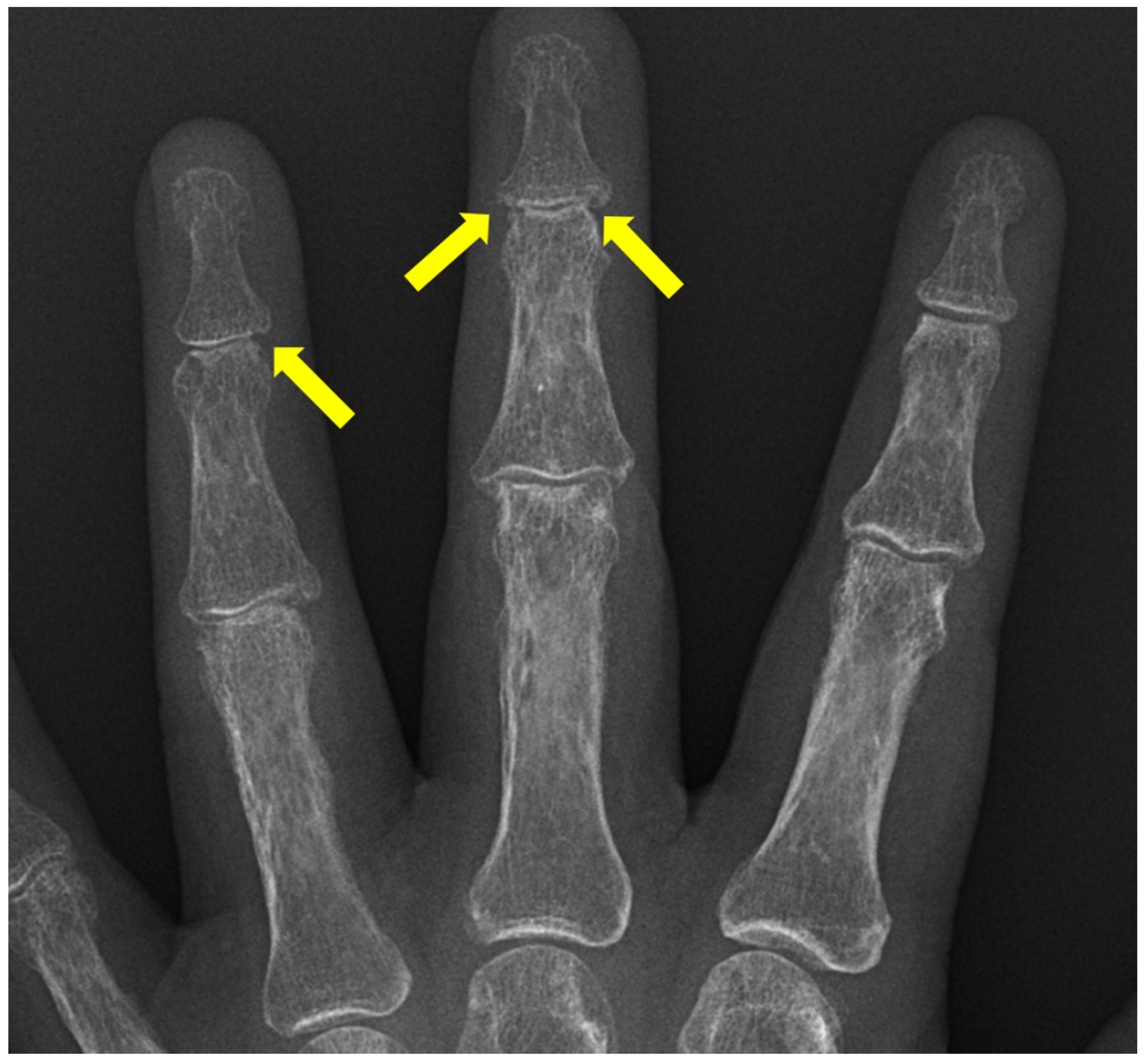
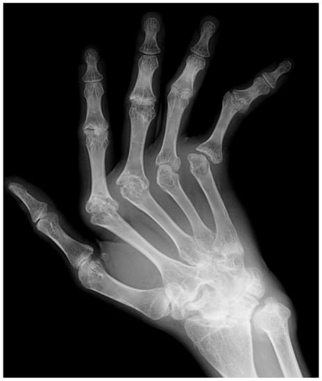
4. Rheumatoid Arthritis
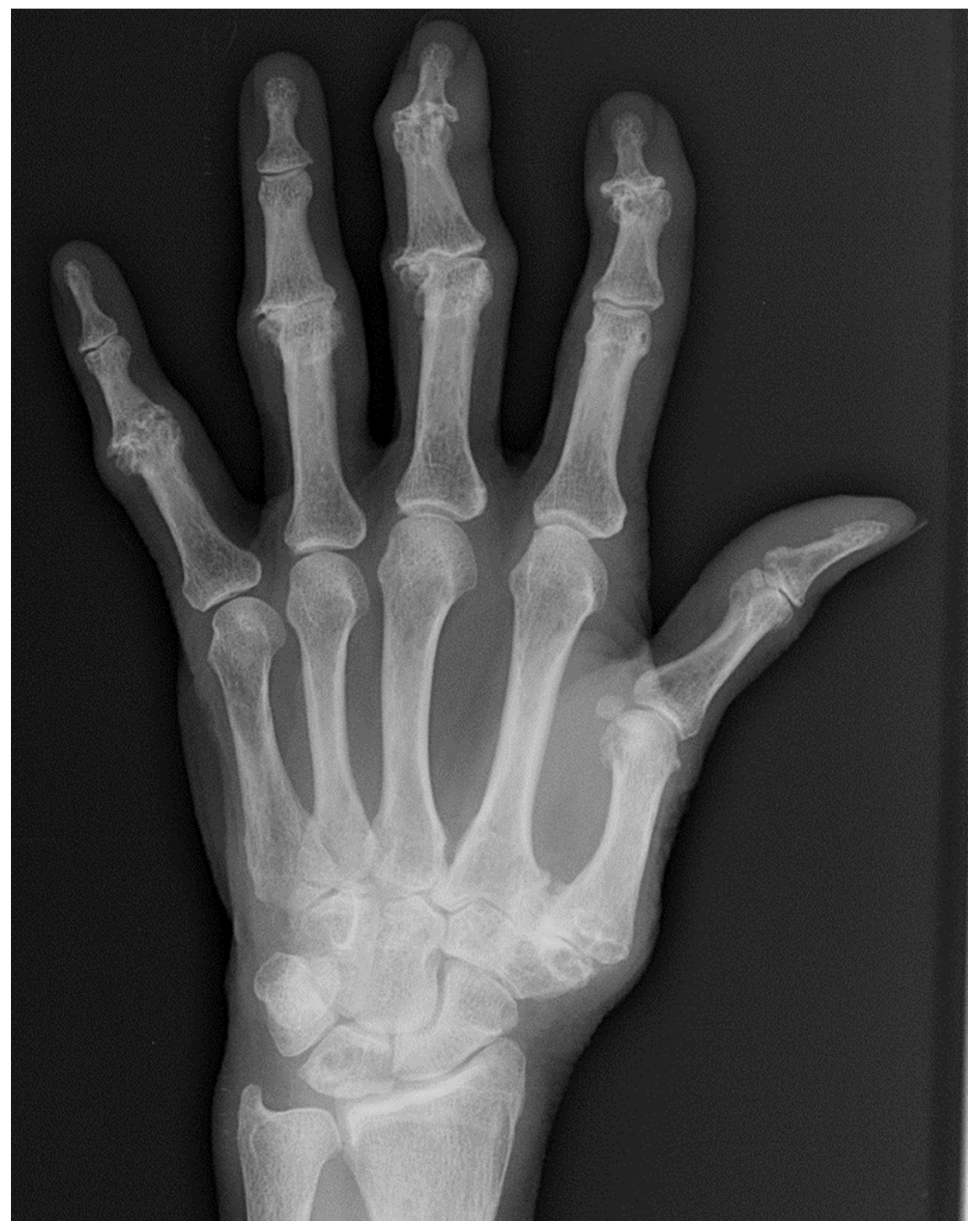
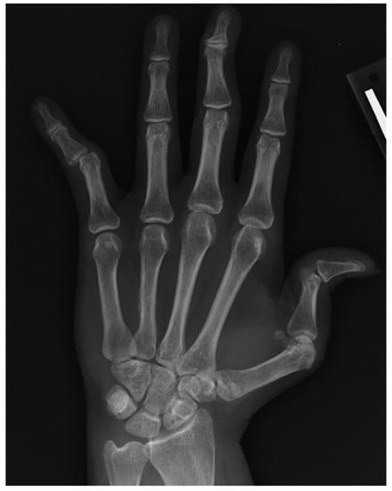
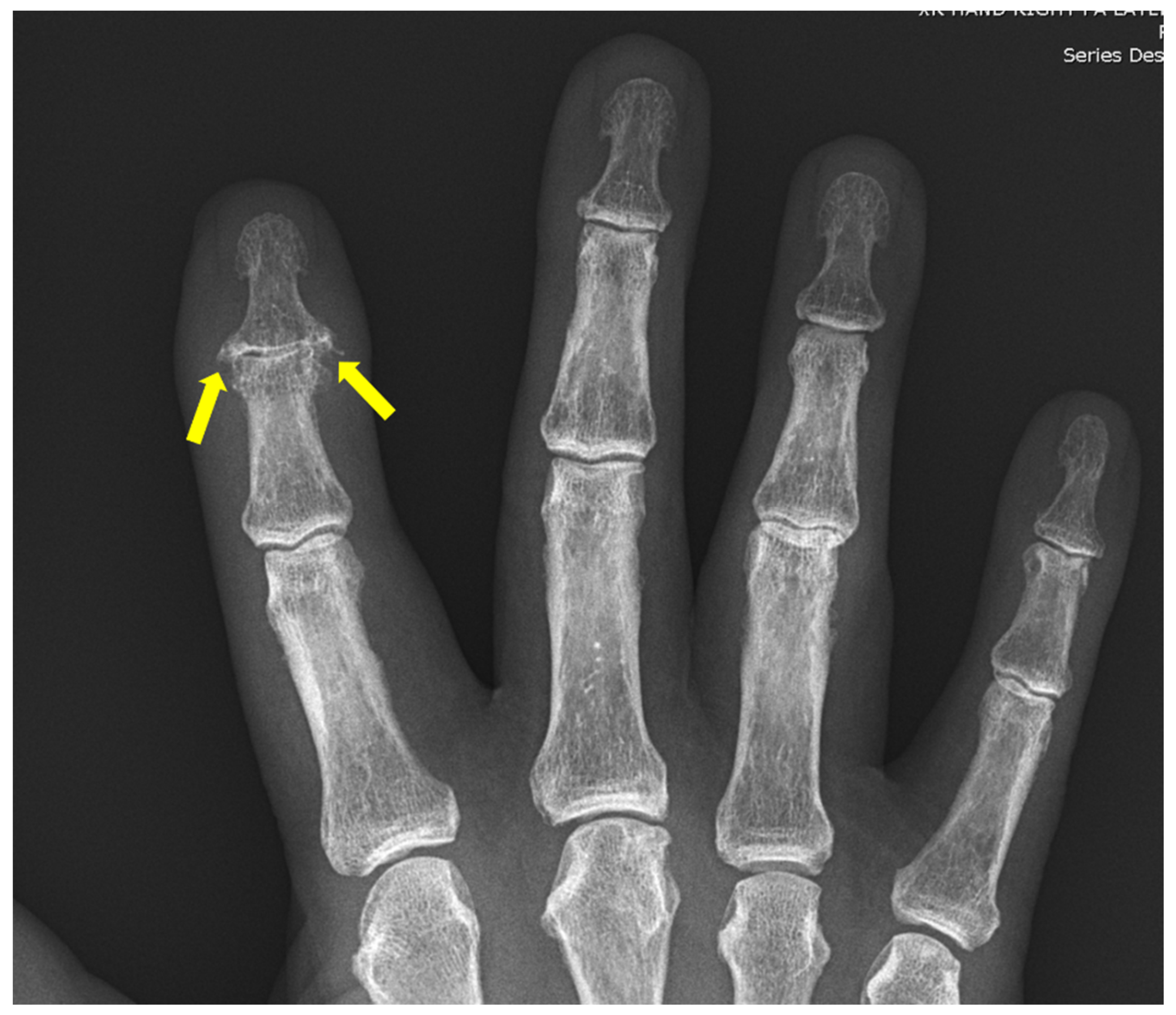
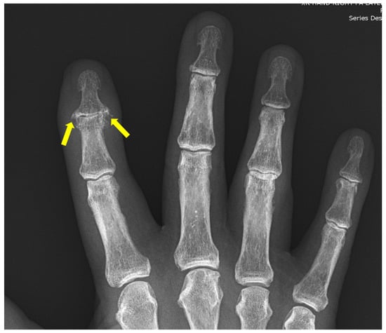
5. Psoriatic Arthritis (PsA)
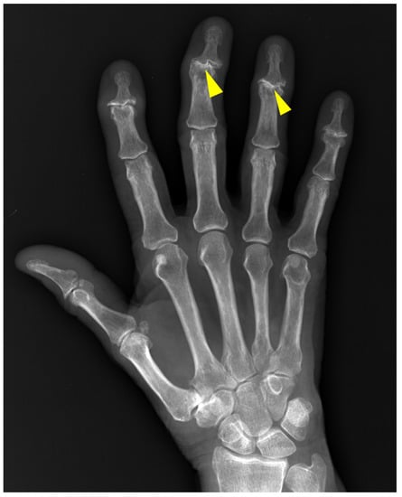
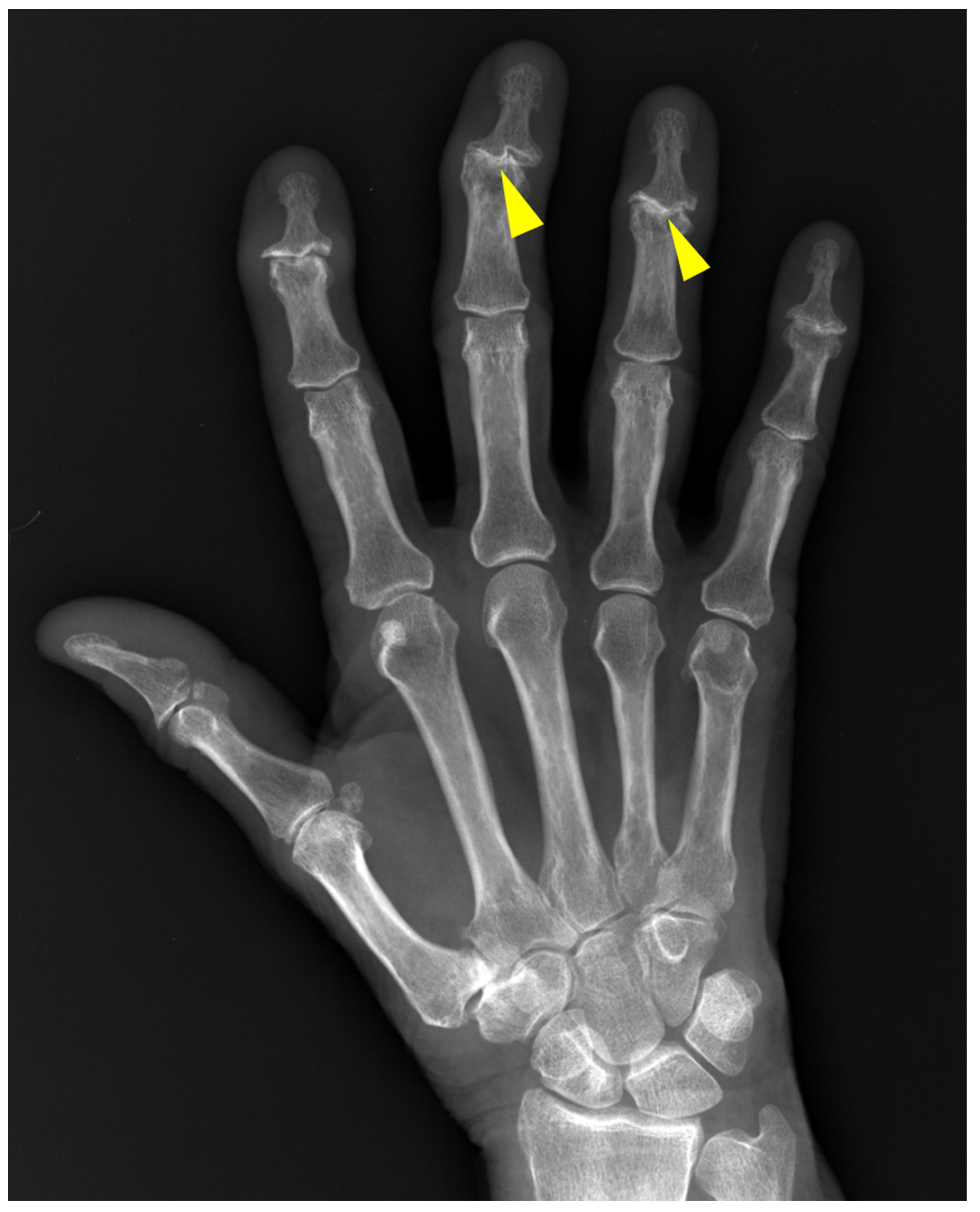
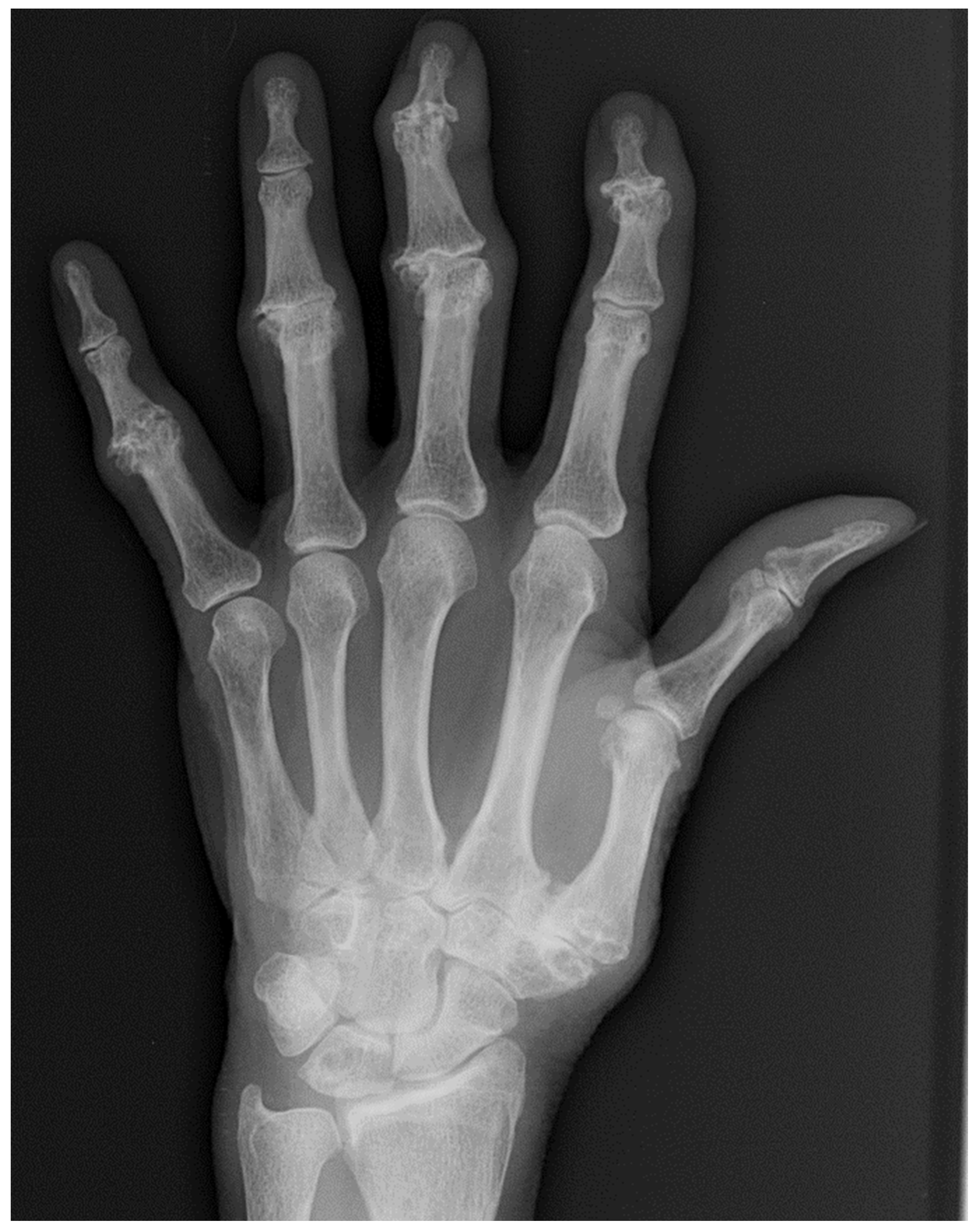
6. Erosive Osteoarthritis
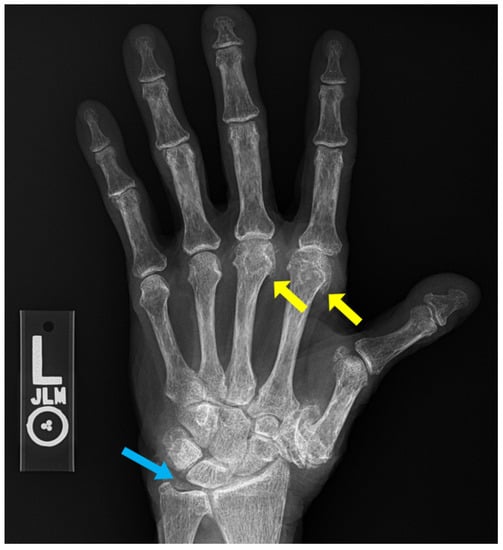
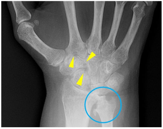
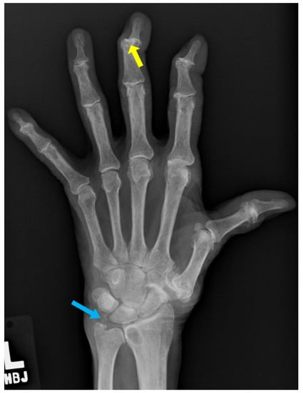
7. Calcium Pyrophosphate Dehydrate Arthropathy (CPPD)
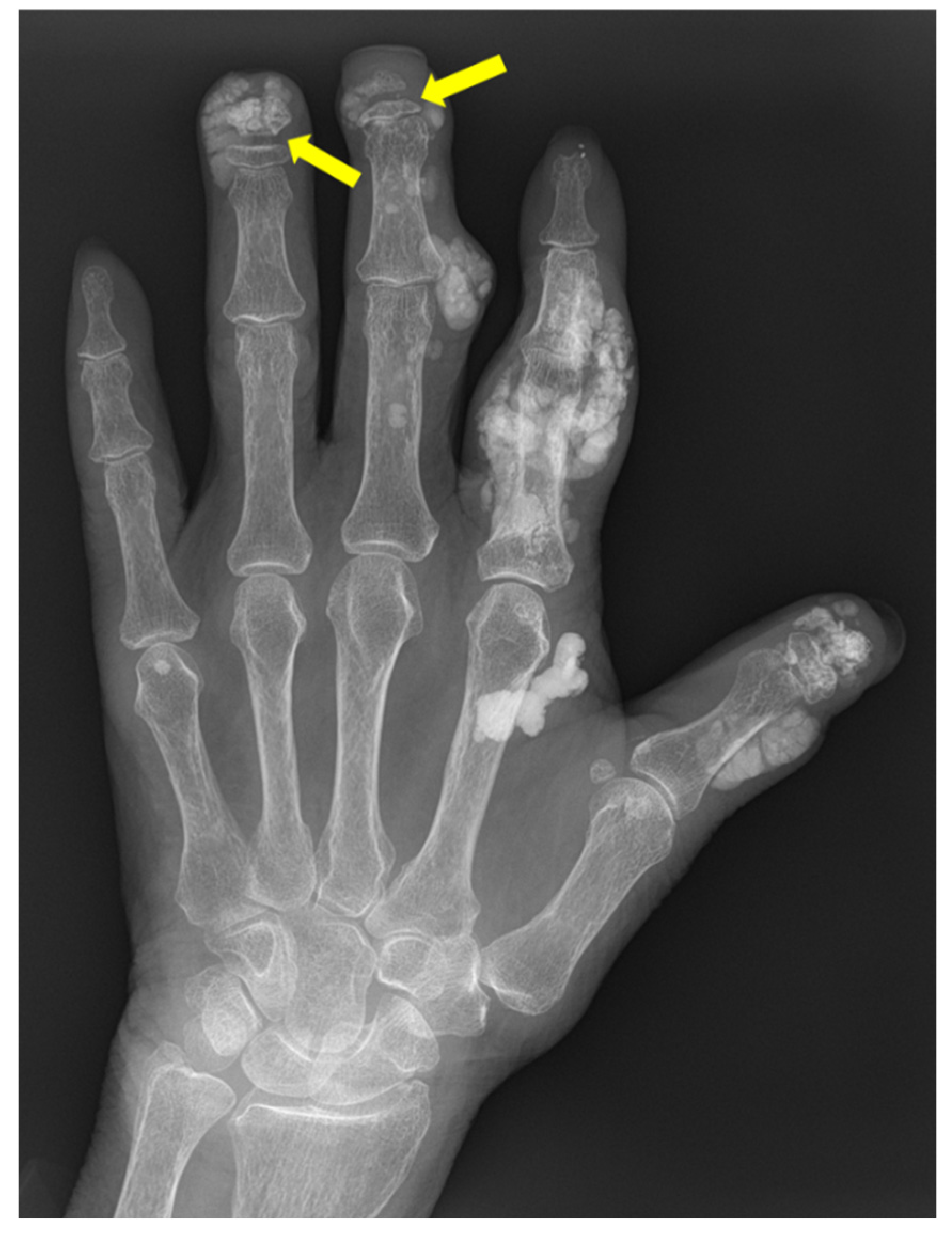
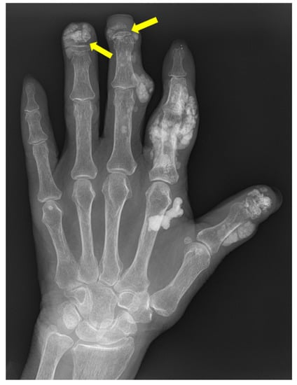
8. Gout
9. Systemic Lupus Erythematous (SLE)
10. Osteoarthritis (OA)
11. Systemic Sclerosis
12. Septic Arthritis
13. Conclusions
Author Contributions
Funding
Institutional Review Board Statement
Informed Consent Statement
Conflicts of Interest
References
- Norgaard, F. Earliest Roentgenological Changes in Polyarthritis of the Rheumatoid Type: Rheumatoid Arthritis. Radiology 1965, 85, 325–329. [Google Scholar] [CrossRef] [PubMed]
- Firestein, G.S.; Budd, R.C.; Gabriel, S.E. Kelley’s Textbook of Rheumatology, 11th ed.; Elsevier: Amsterdam, The Netherlands, 2021. [Google Scholar]
- Llopis, E.; Kroon, H.M.; Acosta, J.; Bloem, J.L. Conventional Radiology in Rheumatoid Arthritis. Radiol. Clin. North Am. 2017, 55, 917–941. [Google Scholar] [CrossRef] [PubMed]
- Brower, A.C.; Flemming, D.J. Rheumatoid Arthritis. In Arthritis in Black and White; Saunders: Philadelphia, PA, USA, 2012; pp. 170–199. [Google Scholar]
- Hant, F.N.; Bolster, M.B.; Monu, J.U. Rheumatoid Arthritis. In Musculoskeletal Imaging, 2nd ed.; Saunders: Philadelphia, PA, USA, 2014; pp. 666–674. [Google Scholar]
- Di Matteo, A.; Mankia, K.; Nam, J.L.; Cipolletta, E.; Garcia-Montoya, L.; Duquenne, L.; Rowbotham, E.; Emery, P. In anti-CCP+ at-risk individuals, radiographic bone erosions are uncommon and are not associated with the development of clinical arthritis. Rheumatology 2021, 60, 3156–3164. [Google Scholar] [CrossRef] [PubMed]
- Boini, S.; Guillemin, F. Radiographic scoring methods as outcome measures in rheumatoid arthritis: Properties and advantages. Ann. Rheum. Dis. 2001, 60, 817–827. [Google Scholar] [PubMed]
- Manaster, B. Diagnostic Imaging: Musculoskeletal Non-Traumatic Disease, 2nd ed.; Elsevier: Amsterdam, The Netherlands, 2016. [Google Scholar]
- Brower, A.C.; Flemming, D.J. Psoriatic Arthritis. In Arthritis in Black and White, 3rd ed.; Saunders: Philadelphia, PA, USA, 2012. [Google Scholar]
- Kemp, S.S.; Dalinka, M.K.; Schumacher, H.R. Acro-osteolysis. Etiologic and radiological considerations. JAMA 1986, 255, 2058–2061. [Google Scholar] [CrossRef] [PubMed]
- Greenspan, A. Erosive osteoarthritis. Semin. Musculoskelet. Radiol. 2003, 7, 155–159. [Google Scholar] [PubMed]
- Guermazi, A.; Hayashi, D.; Eckstein, F.; Hunter, D.J.; Duryea, J.; Roemer, F.W. Imaging of osteoarthritis. Rheum. Dis. Clin. North Am. 2013, 39, 67–105. [Google Scholar] [CrossRef] [PubMed]
- McEwen, C. Osteoarthritis of the fingers with ankylosis. Arthritis Rheum. 1968, 11, 734–744. [Google Scholar] [CrossRef] [PubMed]
- Martel, W.; Stuck, K.J.; Dworin, A.M.; Hylland, R.G. Erosive osteoarthritis and psoriatic arthritis: A radiologic comparison in the hand, wrist, and foot. AJR Am. J. Roentgenol. 1980, 134, 125–135. [Google Scholar] [CrossRef] [PubMed]
- Peterson, C.C., Jr.; Silbiger, M.L. Reiter’s syndrome and psoriatic arthritis. Their roentgen spectra and some interesting similarities. Am. J. Roentgenol. Radium. Ther. Nucl. Med. 1967, 101, 860–871. [Google Scholar] [CrossRef] [PubMed]
- Zhang, W.; Doherty, M.; Bardin, T.; Barskova, V.; Guerne, P.A.; Jansen, T.L.; Leeb, B.F.; Perez-Ruiz, F.; Pimentao, J.; Punzi, L.; et al. European League Against Rheumatism recommendations for calcium pyrophosphate deposition. Part I: Terminology and diagnosis. Ann. Rheum. Dis. 2011, 70, 563–570. [Google Scholar] [CrossRef] [PubMed]
- Jacques, T.; Michelin, P.; Badr, S.; Nasuto, M.; Lefebvre, G.; Larkman, N.; Cotten, A. Conventional Radiology in Crystal Arthritis: Gout, Calcium Pyrophosphate Deposition, and Basic Calcium Phosphate Crystals. Radiol. Clin. North Am. 2017, 55, 967–984. [Google Scholar] [CrossRef] [PubMed]
- Kahloune, M.; Libouton, X.; Omoumi, P.; Larbi, A. Osteoarthritis and scapholunate instability in chondrocalcinosis. Diagn. Interv. Imaging 2015, 96, 115–119. [Google Scholar] [CrossRef] [PubMed]
- Brower, A.C.; Flemming, D.J. Calcium Pyrophosphate Dihydrarte Crystal Deposition Disease. In Arthritis in Black and White, 3rd ed.; Saunders: Philadelphia, PA, USA, 2012; pp. 309–324. [Google Scholar]
- Zhang, W.; Doherty, M.; Pascual, E.; Bardin, T.; Barskova, V.; Conaghan, P.; Gerster, J.; Jacobs, J.; Leeb, B.; Lioté, F.; et al. EULAR evidence based recommendations for gout. Part I: Diagnosis. Report of a task force of the Standing Committee for International Clinical Studies Including Therapeutics (ESCISIT). Ann. Rheum. Dis. 2006, 65, 1301–1311. [Google Scholar] [CrossRef] [PubMed]
- Mikuls, T.R. Gout. In Rheumatology Secrets; West, S.G., Ed.; Elsevier: Amsterdam, The Netherlands, 2020; pp. 364–372. [Google Scholar]
- Brower, A.C.; Flemming, D.J. Gout. In Arthritis in Black and White; Saunders: Philadelphia, PA, USA, 2012; pp. 263–308. [Google Scholar]
- Di Matteo, A.; Smerilli, G.; Cipolletta, E.; Salaffi, F.; De Angelis, R.; Di Carlo, M.; Filippucci, E.; Grassi, W. Imaging of Joint and Soft Tissue Involvement in Systemic Lupus Erythematosus. Curr. Rheumatol. Rep. 2021, 23, 73. [Google Scholar] [CrossRef] [PubMed]
- Antonini, L.; Le Mauff, B.; Marcelli, C.; Aouba, A.; de Boysson, H. Rhupus: A systematic literature review. Autoimmun. Rev. 2020, 19, 102612. [Google Scholar] [CrossRef] [PubMed]
- Spina, M.F.; Beretta, L.; Masciocchi, M.; Scorza, R. Clinical and radiological picture of Jaccoud arthropathy in the context of systemic sclerosis. Ann. Rheum. Dis. 2008, 67, 728–729. [Google Scholar] [CrossRef] [PubMed]
- Hogan, J.I.; Hurtado, R.M.; Nelson, S.B. Mycobacterial Musculoskeletal Infections. Infect. Dis. Clin. North Am. 2017, 31, 369–382. [Google Scholar] [CrossRef] [PubMed]
Disease | Rheumatoid Arthritis | Psoriasis | Erosive OA | CPPD | Gout | SLE |
---|---|---|---|---|---|---|
Joints | MCP > IP DIP unusual | IP > MCP | IP > MCP (mostly DIP) | MCP Radiocarpal | Any | Typically MCPs |
Osteopenia | Juxta-articular then diffuse | No | Not primarily | No | Juxta-articular | |
Erosions | Marginal | Marginal and then central | Central | Not dominant | Well-defined with sclerotic margins | Typically absent |
Periostitis | No periostitis | Periostitis | ||||
Distribution | Polyarticular | 2/3 asymmetric and mono-oligoarticular | Polyarticular Bilateral Usually symmetric | MCP Radiocarpal | Asymmetrical polyarticular | Polyarticular |
Hallmarks | Sausage-digits Micky-mouse Pencil-in-cup. No osteophyte formation | Gull-wing (not specific, also can be seen in RA and PsA) | More prominent cysts Wrong distribution for primary OA Elbow and shoulders involved Chondrocalcinosis involving the triangular fibrocartilage complex (TFCC), scapholunate and lunotriquetral ligaments | Punched out erosions with overhanging edges | Reducible deformity and subluxations Non-erosive |
Publisher’s Note: MDPI stays neutral with regard to jurisdictional claims in published maps and institutional affiliations. |
© 2022 by the authors. Licensee MDPI, Basel, Switzerland. This article is an open access article distributed under the terms and conditions of the Creative Commons Attribution (CC BY) license (https://creativecommons.org/licenses/by/4.0/).
Share and Cite
Ezzati, F.; Pezeshk, P. Radiographic Findings of Inflammatory Arthritis and Mimics in the Hands. Diagnostics 2022, 12, 2134. https://doi.org/10.3390/diagnostics12092134
Ezzati F, Pezeshk P. Radiographic Findings of Inflammatory Arthritis and Mimics in the Hands. Diagnostics. 2022; 12(9):2134. https://doi.org/10.3390/diagnostics12092134
Chicago/Turabian StyleEzzati, Fatemeh, and Parham Pezeshk. 2022. "Radiographic Findings of Inflammatory Arthritis and Mimics in the Hands" Diagnostics 12, no. 9: 2134. https://doi.org/10.3390/diagnostics12092134
APA StyleEzzati, F., & Pezeshk, P. (2022). Radiographic Findings of Inflammatory Arthritis and Mimics in the Hands. Diagnostics, 12(9), 2134. https://doi.org/10.3390/diagnostics12092134