Flat Detector CT with Cerebral Pooled Blood Volume Perfusion in the Angiography Suite: From Diagnostics to Treatment Monitoring
Abstract
:1. Introduction
2. Applications of FD CT PBV
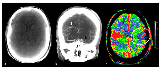
2.1. Acute Ischemic Stroke
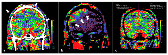
2.2. Tumor Embolization
2.3. Cerebral Revascularization Procedures in Chronic Steno-Occlusive Disease
2.4. Test Occlusion
2.5. Aneurysm, Arteriovenous Malformation and Arteriovenous Fistula Embolization
2.6. Post Subarachnoid Hemorrhage Vasospasm Treatment
2.7. Other Potential Indications: Brain Death Determination
3. Conclusions
Author Contributions
Funding
Institutional Review Board Statement
Informed Consent Statement
Data Availability Statement
Acknowledgments
Conflicts of Interest
References
- Johnson, C.O.; Nguyen, M.; Roth, G.A.; Nichols, E.; Alam, T.; Abate, D.; Abd-Allah, F.; Abdelalim, A.; Abraha, H.N.; Abu-Rmeileh, N.M.; et al. Global, regional, and national burden of stroke, 1990–2016: A systematic analysis for the Global Burden of Disease Study 2016. Lancet Neurol. 2019, 18, 439–458. [Google Scholar] [CrossRef]
- Feigin, V.L.; Forouzanfar, M.H.; Krishnamurthi, R.; Mensah, G.; Connor, M.; Bennett, D.; Moran, A.; Sacco, R.L.; Anderson, L.; Truelsen, T.; et al. Global and regional burden of stroke during 1990–2010: Findings from the Global Burden of Disease Study 2010. Lancet 2014, 383, 245–255. [Google Scholar] [CrossRef]
- Patel, P.; Yavagal, D.; Khandelwal, P. Hyperacute Management of Ischemic Strokes. J. Am. Coll. Cardiol. 2020, 75, 1844–1856. [Google Scholar] [CrossRef]
- Rowley, H.A. The four Ps of acute stroke imaging: Parenchyma, pipes, perfusion, and penumbra. AJNR Am. J. Neuroradiol. 2001, 22, 599–601. [Google Scholar]
- Doerfler, A.; Gölitz, P.; Engelhorn, T.; Kloska, S.; Struffert, T. Flat-Panel Computed Tomography (DYNA-CT) in Neuroradiology. From High-Resolution Imaging of Implants to One-Stop-Shopping for Acute Stroke. Clin. Neuroradiol. 2015, 25 (Suppl. 2), 291–297. [Google Scholar] [CrossRef]
- Kamran, M.; Nagaraja, S.; Byrne, J.V. C-arm flat detector computed tomography: The technique and its applications in interventional neuro-radiology. Neuroradiology 2010, 52, 319–327. [Google Scholar] [CrossRef]
- Choi, S.W.; Jo, K.W.; Kim, Y.W.; Kim, S.R.; Park, I.S.; Kim, H. Clinical Utility of Angiographic CT with a Flat-detector Angiographic System during Endovascular Procedure. J. Cerebrovasc. Endovasc. Neurosurg. 2016, 18, 247–252. [Google Scholar] [CrossRef] [PubMed]
- Zwarzany, Ł.; Poncyljusz, W.; Burke, T.H. Flat detector CT and its applications in the endovascular treatment of wide-necked intracranial aneurysms—A literature review. Eur. J. Radiol. 2017, 88, 26–31. [Google Scholar] [CrossRef] [PubMed]
- Struffert, T.; Deuerling-Zheng, Y.; Kloska, S.; Engelhorn, T.; Strother, C.; Kalender, W.; Köhrmann, M.; Schwab, S.; Doerfler, A. Flat Detector CT in the Evaluation of Brain Parenchyma, Intracranial Vasculature, and Cerebral Blood Volume: A Pilot Study in Patients with Acute Symptoms of Cerebral Ischemia. Am. J. Neuroradiol. 2010, 31, 1462–1469. [Google Scholar] [CrossRef]
- Psychogios, M.-N.; Buhk, J.-H.; Schramm, P.; Xyda, A.; Mohr, A.; Knauth, M. Feasibility of Angiographic CT in Peri-Interventional Diagnostic Imaging: A Comparative Study with Multidetector CT. Am. J. Neuroradiol. 2010, 31, 1226–1231. [Google Scholar] [CrossRef]
- Leyhe, J.R.; Tsogkas, I.; Hesse, A.C.; Behme, D.; Schregel, K.; Papageorgiou, I.; Liman, J.; Knauth, M.; Psychogios, M.-N. Latest generation of flat detector CT as a peri-interventional diagnostic tool: A comparative study with multidetector CT. J. NeuroIntervent. Surg. 2017, 9, 1253–1257. [Google Scholar] [CrossRef] [PubMed]
- Nicholson, P.; Cancelliere, N.M.; Bracken, J.; Hummel, E.; van Nijnatten, F.; Withagen, P.; van de Haar, P.; Hallacoglu, B.; van Vlimmeren, M.; Agid, R.; et al. Novel flat-panel cone-beam CT compared to multi-detector CT for assessment of acute ischemic stroke: A prospective study. Eur. J. Radiol. 2021, 138, 109645. [Google Scholar] [CrossRef] [PubMed]
- Struffert, T.; Deuerling-Zheng, Y.; Engelhorn, T.; Kloska, S.; Gölitz, P.; Köhrmann, M.; Schwab, S.; Strother, C.; Doerfler, A. Feasibility of Cerebral Blood Volume Mapping by Flat Panel Detector CT in the Angiography Suite: First Experience in Patients with Acute Middle Cerebral Artery Occlusions. Am. J. Neuroradiol. 2012, 33, 618–625. [Google Scholar] [CrossRef] [PubMed]
- Royalty, K.; Manhart, M.; Pulfer, K.; Deuerling-Zheng, Y.; Strother, C.; Fieselmann, A.; Consigny, D. C-Arm CT Measurement of Cerebral Blood Volume and Cerebral Blood Flow Using a Novel High-Speed Acquisition and a Single Intravenous Contrast Injection. Am. J. Neuroradiol. 2013, 34, 2131–2138. [Google Scholar] [CrossRef] [PubMed]
- Ahmed, A.; Zellerhoff, M.; Strother, C.; Pulfer, K.; Redel, T.; Deuerling-Zheng, Y.; Royalty, K.; Consigny, D.; Niemann, D. C-Arm CT Measurement of Cerebral Blood Volume: An Experimental Study in Canines. Am. J. Neuroradiol. 2009, 30, 917–922. [Google Scholar] [CrossRef] [PubMed]
- Stille, E.L.; Viozzi, I.; ter Laan, M.; Meijer, F.J.; Futterer, J.J.; Rovers, M.M. Diagnostic accuracy of flat-panel computed tomography in assessing cerebral perfusion in comparison with perfusion computed tomography and perfusion magnetic resonance: A systematic review. Neuroradiology 2019, 61, 1457–1468. [Google Scholar] [CrossRef] [PubMed]
- Struffert, T.; Deuerling-Zheng, Y.; Kloska, S.; Engelhorn, T.; Lang, S.; Mennecke, A.; Manhart, M.; Strother, C.; Schwab, S.; Doerfler, A. Dynamic Angiography and Perfusion Imaging Using Flat Detector CT in the Angiography Suite: A Pilot Study in Patients with Acute Middle Cerebral Artery Occlusions. Am. J. Neuroradiol. 2015, 36, 1964–1970. [Google Scholar] [CrossRef]
- Kamran, M.; Byrne, J.V. C-arm flat detector computed tomography parenchymal blood volume imaging: The nature of parenchymal blood volume parameter and the feasibility of parenchymal blood volume imaging in aneurysmal subarachnoid haemorrhage patients. Neuroradiology 2015, 57, 937–949. [Google Scholar] [CrossRef]
- Kamran, M.; Byrne, J.V. Time density curve analysis for C-arm FDCT PBV imaging. Interv. Neuroradiol. 2016, 22, 176–186. [Google Scholar] [CrossRef]
- Fiorella, D.; Turk, A.; Chaudry, I.; Turner, R.; Dunkin, J.; Roque, C.; Sarmiento, M.; Deuerling-Zheng, Y.; Denice, C.M.; Baumeister, M.; et al. A prospective, multicenter pilot study investigating the utility of flat detector derived parenchymal blood volume maps to estimate cerebral blood volume in stroke patients. J. NeuroInterv. Surg. 2013, 6, 451–456. [Google Scholar] [CrossRef]
- Struffert, T.; Hauer, M.; Banckwitz, R.; Köhler, C.; Royalty, K.; Doerfler, A. Effective dose to patient measurements in flat-detector and multislice computed tomography: A comparison of applications in neuroradiology. Eur. Radiol. 2014, 24, 1257–1265. [Google Scholar] [CrossRef] [PubMed]
- Puig, J.; Shankar, J.; Liebeskind, D.; Terceño, M.; Nael, K.; Demchuk, A.M.; Menon, B.; Dowlatshahi, D.; Leiva-Salinas, C.; Wintermark, M.; et al. From “Time is Brain” to “Imaging is Brain”: A Paradigm Shift in the Management of Acute Ischemic Stroke. J. Neuroimaging 2020, 30, 562–571. [Google Scholar] [CrossRef] [PubMed]
- Zerna, C.; Thomalla, G.; Campbell, B.C.V.; Rha, J.-H.; Hill, M.D. Current practice and future directions in the diagnosis and acute treatment of ischaemic stroke. Lancet 2018, 392, 1247–1256. [Google Scholar] [CrossRef]
- Powers, W.J.; Rabinstein, A.A.; Ackerson, T.; Adeoye, O.M.; Bambakidis, N.C.; Becker, K.; Biller, J.; Brown, M.; Demaerschalk, B.M.; Hoh, B.; et al. Guidelines for the Early Management of Patients With Acute Ischemic Stroke: 2019 Update to the 2018 Guidelines for the Early Management of Acute Ischemic Stroke: A Guideline for Healthcare Professionals From the American Heart Association/American Stroke Association. Stroke 2019, 50, e344–e418, Correction in Stroke 2019, 50, e440–e441. [Google Scholar] [CrossRef] [PubMed]
- Brehm, A.; Tsogkas, I.; Maier, I.; Eisenberger, H.; Yang, P.; Liu, J.-M.; Liman, J.; Psychogios, M.-N. One-Stop Management with Perfusion for Transfer Patients with Stroke due to a Large-Vessel Occlusion: Feasibility and Effects on In-Hospital Times. AJNR. Am. J. Neuroradiol. 2019, 40, 1330–1334. [Google Scholar] [CrossRef]
- Rai, A.T.; Raghuram, K.; Carpenter, J.S.; Domico, J.; Hobbs, G. Pre-intervention cerebral blood volume predicts outcomes in patients undergoing endovascular therapy for acute ischemic stroke. J. NeuroIntervent. Surg. 2013, 5 (Suppl. 1), i25–i32. [Google Scholar] [CrossRef]
- Saake, M.; Breuer, L.; Gölitz, P.; Köhrmann, M.; Schwab, S.; Dörfler, A.; Kloska, S. Clinical/perfusion CT CBV mismatch as prognostic factor in intraarterial thrombectomy in acute anterior circulation stroke. Clin. Neurol. Neurosurg. 2014, 121, 39–45. [Google Scholar] [CrossRef]
- Mokin, M.; Morr, S.; Fanous, A.; Shallwani, H.; Natarajan, S.K.; I Levy, E.; Snyder, K.V.; Siddiqui, A.H. Correlation between cerebral blood volume values and outcomes in endovascular therapy for acute ischemic stroke. J. NeuroIntervent. Surg. 2015, 7, 705–708. [Google Scholar] [CrossRef]
- Hirai, S.; Tanaka, Y.; Sato, H.; Kato, K.; Kim, Y.; Yamamura, T.; Sumita, K.; Arai, T. Quantitative collateral assessment evaluated by cerebral blood volume measured by CT perfusion in patients with acute ischemic stroke. J. Stroke Cerebrovasc. Dis. 2021, 30, 105797. [Google Scholar] [CrossRef]
- Ava, L.; Berkefeld, J.; Lauer, A.; Seiler, A.; Pfeilschifter, W.; Müller-Eschner, M.; You, S.-J.; Weidauer, S.; Pilatus, U.; Wagner, M. Predictive Value of Pooled Cerebral Blood Volume Mapping for Final Infarct Volume in Patients with Major Artery Occlusions. A Retrospective Analysis. Clin. Neuroradiol. 2017, 27, 435–442. [Google Scholar] [CrossRef]
- Mueller, A.; Wagner, M.; Hattingen, E.; Seiler, A.; You, S.-J.; Samp, P.; Singer, O.C. Flat Panel Computed Tomography Pooled Blood Volume and Infarct Prediction in Endovascular Stroke Treatment. Stroke 2019, 50, 3274–3276. [Google Scholar] [CrossRef] [PubMed]
- Potreck, A.; Falbesaner, A.; Seker, F.; Weyland, C.S.; Mundiyanapurath, S.; Heiland, S.; Bendszus, M.; Pfaff, J.A. Accuracy and reliability of PBV ASPECTS, CBV ASPECTS and NCCT ASPECTS in acute ischaemic stroke: A matched-pair analysis. Neuroradiol. J. 2021, 34, 585–592. [Google Scholar] [CrossRef] [PubMed]
- D’Esterre, C.D.; Roversi, G.; Padroni, M.; Bernardoni, A.; Tamborino, C.; De Vito, A.; Azzini, C.; Marcello, O.; Saletti, A.; Ceruti, S.; et al. CT perfusion cerebral blood volume does not always predict infarct core in acute ischemic stroke. Neurol. Sci. 2015, 36, 1777–1783. [Google Scholar] [CrossRef]
- Syha, R.; Grözinger, G.; Grosse, U.; Maurer, M.; Zender, L.; Horger, M.; Nikolaou, K.; Ketelsen, D. Parenchymal Blood Volume Assessed by C-Arm–Based Computed Tomography in Immediate Posttreatment Evaluation of Drug-Eluting Bead Transarterial Chemoembolization in Hepatocellular Carcinoma. Investig. Radiol. 2016, 51, 121–126. [Google Scholar] [CrossRef]
- Duffis, E.J.; Gandhi, C.D.; Prestigiacomo, C.J.; Abruzzo, T.; Albuquerque, F.; Bulsara, K.R.; Derdeyn, C.; Fraser, J.; Hirsch, J.; Hussain, M.S.; et al. Head, neck, and brain tumor embolization guidelines. J. NeuroIntervent. Surg. 2012, 4, 251–255. [Google Scholar] [CrossRef] [PubMed]
- Wen, L.-L.; Zhang, X.; Zhang, Q.-R.; Wu, Q.; Chen, S.-J.; Deng, J.-L.; Huang, K.; Wang, H.-D. Flat-detector computed tomography PBV map in the evaluation of presurgical embolization for hypervascular brain tumors. J. NeuroIntervent. Surg. 2017, 9, 1139–1144. [Google Scholar] [CrossRef] [PubMed]
- van der Zijden, T.; Mondelaers, A.; Franck, C.; Voormolen, M.; Menovsky, T. Selective Angiographic Flat Detector Computer Tomography Blood Volume Imaging in Pre-Operative Vascular Mapping and Embolization of Hypervascular Intracranial Tumors—Preliminary Clinical Experience. Diagnostics 2022, 12, 1185. [Google Scholar] [CrossRef] [PubMed]
- Turan, T.N.; Cotsonis, G.; Lynn, M.J.; Wooley, R.H.; Swanson, S.; Williams, J.E.; Stern, B.J.; Derdeyn, C.P.; Fiorella, D.; Chimowitz, M.I. Intracranial Stenosis: Impact of Randomized Trials on Treatment Preferences of US Neurologists and Neurointerventionists. Cerebrovasc. Dis. 2014, 37, 203–211. [Google Scholar] [CrossRef]
- Wijngaard, I.R.V.D.; Holswilder, G.; Van Walderveen, M.A.A.; Algra, A.; Wermer, M.J.H.; Zaidat, O.O.; Boiten, J. Treatment and imaging of intracranial atherosclerotic stenosis: Current perspectives and future directions. Brain Behav. 2016, 6, e00536. [Google Scholar] [CrossRef]
- Wang, T.; Luo, J.; Wang, X.; Yang, K.; Jadhav, V.; Gao, P.; Ma, Y.; Zhao, N.; Jiao, L. Endovascular therapy versus medical treatment for symptomatic intracranial artery stenosis. Cochrane Database Syst. Rev. 2020, 40, Cd013267. [Google Scholar] [CrossRef]
- Nordmeyer, H.; Chapot, R.; Haage, P. Endovascular Treatment of Intracranial Atherosclerotic Stenosis. Neuroradiology 2019, 191, 643–652. [Google Scholar] [CrossRef] [PubMed]
- Pandey, P.; Steinberg, G.K. Neurosurgical Advances in the Treatment of Moyamoya Disease. Stroke 2011, 42, 3304–3310. [Google Scholar] [CrossRef] [PubMed]
- Agarwalla, P.K.; Stapleton, C.J.; Phillips, M.T.; Walcott, B.P.; Venteicher, A.S.; Ogilvy, C.S. Surgical outcomes following encephaloduroarteriosynangiosis in North American adults with moyamoya. J. Neurosurg. 2014, 121, 1394–1400. [Google Scholar] [CrossRef]
- Kim, T.; Oh, C.W.; Bang, J.S.; Kim, J.E.; Cho, W.-S. Moyamoya Disease: Treatment and Outcomes. J. Stroke 2016, 18, 21–30. [Google Scholar] [CrossRef] [PubMed]
- Liu, J.J.; Steinberg, G.K. Direct Versus Indirect Bypass for Moyamoya Disease. Neurosurg. Clin. N. Am. 2017, 28, 361–374. [Google Scholar] [CrossRef] [PubMed]
- Seo, B.-R.; Kim, T.-S.; Joo, S.-P.; Lee, J.-M.; Jang, J.-W.; Kil Lee, J.; Kim, J.H.; Kim, S.H. Surgical strategies using cerebral revascularization in complex middle cerebral artery aneurysms. Clin. Neurol. Neurosurg. 2009, 111, 670–675. [Google Scholar] [CrossRef] [PubMed]
- Nurminen, V.; Kivipelto, L.; Kivisaari, R.; Niemelä, M.; Lehecka, M. Bypass Surgery for Complex Internal Carotid Artery Aneurysms: 39 Consecutive Patients. World Neurosurg. 2019, 126, e453–e462. [Google Scholar] [CrossRef] [PubMed]
- Kitajima, M.; Hirai, T.; Shigematsu, Y.; Fukuoka, H.; Sasao, A.; Okuda, T.; Morioka, M.; Kai, Y.; Yamashita, Y. Assessment of cerebral perfusion from bypass arteries using magnetic resonance regional perfusion imaging in patients with moyamoya disease. Jpn. J. Radiol. 2010, 28, 746–753. [Google Scholar] [CrossRef]
- Fujimura, M.; Bang, O.Y.; Kim, J.S. Moyamoya Disease. Front Neurol Neurosci. 2016, 40, 204–220. [Google Scholar] [CrossRef]
- Uchino, H.; Kuroda, S.; Hirata, K.; Shiga, T.; Houkin, K.; Tamaki, N. Predictors and Clinical Features of Postoperative Hyperperfusion after Surgical Revascularization for Moyamoya Disease. Stroke 2012, 43, 2610–2616. [Google Scholar] [CrossRef]
- Kim, N.-E.; Choi, S.-M.; Yoon, W.; Kim, B.C. Hyperperfusion Syndrome after Carotid Stent-Supported Angioplasty in Patients with Autonomic Dysfunction. J. Korean Neurosurg. Soc. 2012, 52, 476–479. [Google Scholar] [CrossRef] [PubMed]
- Lin, Y.-H.; Liu, H.-M. Update on cerebral hyperperfusion syndrome. J. NeuroIntervent. Surg. 2020, 12, 788–793. [Google Scholar] [CrossRef] [PubMed]
- van Mook, W.N.; Rennenberg, R.J.; Schurink, G.W.; van Oostenbrugge, R.J.; Mess, W.H.; Hofman, P.A.; de Leeuw, P.W. Cerebral hyperperfusion syndrome. Lancet Neurol. 2005, 4, 877–888. [Google Scholar] [CrossRef]
- Research Committee on the Pathology and Treatment of Spontaneous Occlusion of the Circle of Willis; Health Labour Sciences Research Grant for Research on Measures for Intractable Diseases Guidelines for Diagnosis and Treatment of Moyamoya Disease (Spontaneous Occlusion of the Circle of Willis). Neurol. Med.-Chir. 2012, 52, 245–266. [CrossRef]
- Detre, J.A.; Alsop, D. Perfusion magnetic resonance imaging with continuous arterial spin labeling: Methods and clinical applications in the central nervous system. Eur. J. Radiol. 1999, 30, 115–124. [Google Scholar] [CrossRef]
- Narita, S.; Aikawa, H.; Nagata, S.-I.; Tsutsumi, M.; Nii, K.; Yoshida, H.; Matsumoto, Y.; Hamaguchi, S.; Etoh, H.; Sakamoto, K.; et al. Intraprocedural Prediction of Hemorrhagic Cerebral Hyperperfusion Syndrome After Carotid Artery Stenting. J. Stroke Cerebrovasc. Dis. 2013, 22, 615–619. [Google Scholar] [CrossRef]
- Fujimoto, M.; Itokawa, H.; Moriya, M.; Okamoto, N.; Sasanuma, J. Evaluation of Cerebral Hyperperfusion After Carotid Artery Stenting Using C-Arm CT Measurements of Cerebral Blood Volume. Clin. Neuroradiol. 2018, 28, 253–260. [Google Scholar] [CrossRef]
- Yamauchi, K.; Enomoto, Y.; Otani, K.; Egashira, Y.; Iwama, T. Prediction of hyperperfusion phenomenon after carotid artery stenting and carotid angioplasty using quantitative DSA with cerebral circulation time imaging. J. NeuroIntervent. Surg. 2017, 10, 576–579. [Google Scholar] [CrossRef]
- Du, L.; Jiang, H.; Li, J.; Duan, T.; Zhou, C.; Yan, F. Imaging methods for surgical revascularization in patients with moyamoya disease: An updated review. Neurosurg. Rev. 2021, 45, 343–356. [Google Scholar] [CrossRef]
- Ogasawara, K.; Sakai, N.; Kuroiwa, T.; Hosoda, K.; Iihara, K.; Toyoda, K.; Sakai, C.; Nagata, I.; Ogawa, A. Intracranial hemorrhage associated with cerebral hyperperfusion syndrome following carotid endarterectomy and carotid artery stenting: Retrospective review of 4494 patients. J. Neurosurg. 2007, 107, 1130–1136. [Google Scholar] [CrossRef]
- Zhang, X.; Ni, W.; Feng, R.; Li, Y.; Lei, Y.; Xia, D.; Gao, P.; Yang, S.; Gu, Y. Evaluation of Hemodynamic Change by Indocyanine Green-FLOW 800 Videoangiography Mapping: Prediction of Hyperperfusion Syndrome in Patients with Moyamoya Disease. Oxidative Med. Cell. Longev. 2020, 2020, 8561609. [Google Scholar] [CrossRef] [PubMed]
- van der Zijden, T.; Mondelaers, A.; Voormolen, M.; Yperzeele, L.; Menovsky, T. Vessel territory mapping after cerebral revascularization surgery using selective angiographic flat detector perfusion imaging. J. Integr. Neurosci. 2021, 20, 103–107. [Google Scholar] [CrossRef] [PubMed]
- Li, H.; He, X.-Y.; Li, X.-F.; Zhang, X.; Liu, Y.-C.; Duan, C.-Z. Treatment of giant/large internal carotid aneurysms: Parent artery occlusion or stent-assisted coiling. Int. J. Neurosci. 2016, 126, 46–52. [Google Scholar] [CrossRef] [PubMed]
- Kumar, N.G.; Ladner, T.R.; Kahn, I.S.; Zuckerman, S.L.; Baker, C.B.; Skaletsky, M.; Cushing, D.; Sanborn, M.R.; Mocco, J.; Ecker, R.D. Parent vessel occlusion for treatment of cerebral aneurysms: Is there still an indication? A series of 17 patients. J. Neurol. Sci. 2017, 372, 250–255. [Google Scholar] [CrossRef]
- Urasyanandana, K.; Songsang, D.; Aurboonyawat, T.; Chankaew, E.; Withayasuk, P.; Churojana, A. Treatment outcomes in cerebral artery dissection and literature review. Interv. Neuroradiol. 2018, 24, 254–262. [Google Scholar] [CrossRef]
- Elias, A.E.; Chaudhary, N.; Pandey, A.S.; Gemmete, J.J. Intracranial Endovascular Balloon Test Occlusion: Indications, methods, and predictive value. Neuroimaging Clin. 2013, 23, 695–702. [Google Scholar] [CrossRef]
- O′Dare, A.; Chaloupka, J.C.; Putman, C.M.; Fayad, P.B.; Awad, I. Failure of the hypotensive provocative test during temporary balloon test occlusion of the internal carotid artery to predict delayed hemodynamic ischemia after therapeutic carotid occlusion. Surg. Neurol. 1998, 50, 147–156. [Google Scholar] [CrossRef]
- Yang, M.; Wu, J.; Ma, L.; Pan, L.; Li, J.; Chen, G.; Struffert, T.; Sun, Q.; Beilner, J.; Deuerling-Zheng, Y. The Value of syngo DynaPBV Neuro During Neuro-Interventional Hypotensive Balloon Occlusion Test. Clin. Neuroradiol. 2015, 25, 387–395. [Google Scholar] [CrossRef]
- Ikemura, A.; Yuki, I.; Otani, K.; Ishibashi, T.; Dahmani, C.; Ebara, M.; Abe, Y.; Kajiwara, I.; Watanabe, M.; Murayama, Y. Evaluation of Balloon Test Occlusion Before Therapeutic Carotid Artery Occlusion: Flat Detector Computed Tomography Cerebral Blood Volume Imaging versus Single-Photon Emission Computed Tomography. World Neurosurg. 2019, 133, e522–e528. [Google Scholar] [CrossRef]
- Gölitz, P.; Struffert, T.; Kaschka, I.; Roessler, K.; Knossalla, F.; Doerfler, A. Optimized Angiographic CT Using Intravenous Contrast Injection: A Noninvasive Imaging Option for the Follow-Up of Coiled Aneurysms? Am. J. Neuroradiol. 2014, 35, 2341–2347. [Google Scholar] [CrossRef]
- Yu, S.; Lee, K.; Lau, T.; Wong, G.; Pang, V.; Chan, K. Intravenous C-Arm Conebeam CT Angiography following Long-Term Flow-Diverter Implantation: Technologic Evaluation and Preliminary Results. AJNR Am. J. Neuroradiol. 2016, 37, 481–486. [Google Scholar] [CrossRef] [PubMed]
- Garcia, M.; Okell, T.; Gloor, M.; Chappell, M.; Jezzard, P.; Bieri, O.; Byrne, J. Feasibility of Flat Panel Detector CT in Perfusion Assessment of Brain Arteriovenous Malformations: Initial Clinical Experience. AJNR Am. J. Neuroradiol. 2017, 38, 735–739. [Google Scholar] [CrossRef] [PubMed]
- Macdonald, R.L. Delayed neurological deterioration after subarachnoid haemorrhage. Nat. Rev. Neurol. 2014, 10, 44–58. [Google Scholar] [CrossRef] [PubMed]
- Francoeur, C.L.; Mayer, S.A. Management of delayed cerebral ischemia after subarachnoid hemorrhage. Crit. Care 2016, 20, 277. [Google Scholar] [CrossRef]
- Chalouhi, N.; Tjoumakaris, S.; Thakkar, V.; Theofanis, T.; Hammer, C.; Hasan, D.; Starke, R.M.; Wu, C.; Gonzalez, L.F.; Rosenwasser, R.; et al. Endovascular management of cerebral vasospasm following aneurysm rupture: Outcomes and predictors in 116 patients. Clin. Neurol. Neurosurg. 2014, 118, 26–31. [Google Scholar] [CrossRef]
- O’Connor, K.P.; Milton, C.K.; Strickland, A.; Apple, B.; Bohnstedt, B.N. Flat-Detector CT to Quantify Response to Intra-Arterial Spasmolytic Therapy for Cerebral Vasospasm. J. Neuroimaging 2020, 30, 227–232. [Google Scholar] [CrossRef]
- Wijdicks, E.F.; Varelas, P.N.; Gronseth, G.S.; Greer, D.M. Evidence-based guideline update: Determining brain death in adults: Report of the Quality Standards Subcommittee of the American Academy of Neurology. Neurology 2010, 74, 1911–1918. [Google Scholar] [CrossRef]
- Citerio, G.; Crippa, I.A.; Bronco, A.; Vargiolu, A.; Smith, M. Variability in Brain Death Determination in Europe: Looking for a Solution. Neurocritical Care 2014, 21, 376–382. [Google Scholar] [CrossRef]










| FD CT PBV-Perfusion | MD CT-Perfusion | |
|---|---|---|
| Time of acquisition | 12–15 s | 60 s |
| Mode of contrast injection (amount of contrast medium) | IA selective (4 mL)—IA aortic root (25 mL)—IV (60 mL) | IV (45 mL) |
| Type of parametric mapping | Static (CBV/PBV) | Static and dynamic (CBV-CBF-MTT) |
| Patient workflow | One-stop-shop | Need for patient transportation |
Publisher’s Note: MDPI stays neutral with regard to jurisdictional claims in published maps and institutional affiliations. |
© 2022 by the authors. Licensee MDPI, Basel, Switzerland. This article is an open access article distributed under the terms and conditions of the Creative Commons Attribution (CC BY) license (https://creativecommons.org/licenses/by/4.0/).
Share and Cite
van der Zijden, T.; Mondelaers, A.; Voormolen, M.; Menovsky, T.; Niekel, M.; Jardinet, T.; Van Thielen, T.; D’Archambeau, O.; Parizel, P.M. Flat Detector CT with Cerebral Pooled Blood Volume Perfusion in the Angiography Suite: From Diagnostics to Treatment Monitoring. Diagnostics 2022, 12, 1962. https://doi.org/10.3390/diagnostics12081962
van der Zijden T, Mondelaers A, Voormolen M, Menovsky T, Niekel M, Jardinet T, Van Thielen T, D’Archambeau O, Parizel PM. Flat Detector CT with Cerebral Pooled Blood Volume Perfusion in the Angiography Suite: From Diagnostics to Treatment Monitoring. Diagnostics. 2022; 12(8):1962. https://doi.org/10.3390/diagnostics12081962
Chicago/Turabian Stylevan der Zijden, Thijs, Annelies Mondelaers, Maurits Voormolen, Tomas Menovsky, Maarten Niekel, Thomas Jardinet, Thomas Van Thielen, Olivier D’Archambeau, and Paul M. Parizel. 2022. "Flat Detector CT with Cerebral Pooled Blood Volume Perfusion in the Angiography Suite: From Diagnostics to Treatment Monitoring" Diagnostics 12, no. 8: 1962. https://doi.org/10.3390/diagnostics12081962
APA Stylevan der Zijden, T., Mondelaers, A., Voormolen, M., Menovsky, T., Niekel, M., Jardinet, T., Van Thielen, T., D’Archambeau, O., & Parizel, P. M. (2022). Flat Detector CT with Cerebral Pooled Blood Volume Perfusion in the Angiography Suite: From Diagnostics to Treatment Monitoring. Diagnostics, 12(8), 1962. https://doi.org/10.3390/diagnostics12081962

