Next Article in Journal
A Unique Observation of a Patient with Vulto-van Silfhout-de Vries Syndrome
Next Article in Special Issue
New RAPMYCOI SensititreTM Antimicrobial Susceptibility Test for Atypical Rapidly Growing Mycobacteria (RGM)
Previous Article in Journal
Prevalence and Characteristics of Accessory Mandibular Canals: A Cone-Beam Computed Tomography Study in a European Adult Population
Previous Article in Special Issue
Tuberculosis in Poland: Epidemiological and Molecular Analysis during the COVID-19 Pandemic
 
 
Font Type:
Arial Georgia Verdana
Font Size:
Aa Aa Aa
Line Spacing:
Column Width:
Background:
Interesting Images

Atypical Pulmonary Tuberculosis as the First Manifestation of Advanced HIV Disease—Diagnostic Difficulties

1
1st Department of Lung Diseases, National Tuberculosis and Lung Diseases Institute, Plocka 26, 01-138 Warsaw, Poland
2
Radiology Department, National Tuberculosis and Lung Diseases Institute, 01-138 Warsaw, Poland
3
4th Department of Infectious Diseases, Hospital for Infectious Diseases in Warsaw, 01-201 Warsaw, Poland
4
1st Department of Infectious Diseases, Hospital for Infectious Diseases in Warsaw, 01-201 Warsaw, Poland
5
Department of Microbiology, National Tuberculosis and Lung Diseases Institute, 01-138 Warsaw, Poland
*
Author to whom correspondence should be addressed.
Diagnostics 2022, 12(8), 1886; https://doi.org/10.3390/diagnostics12081886
Submission received: 28 June 2022 / Revised: 20 July 2022 / Accepted: 2 August 2022 / Published: 4 August 2022

Abstract

Tuberculosis (TB) is the leading cause of morbidity, hospitalisations, and mortality in people living with HIV (PLWH). The lower CD4+ T-lymphocyte count in the course of HIV infection, the higher risk of active TB, and the higher odds for atypical clinical and radiologic TB presentation. These HIV-related alterations in TB presentation may cause diagnostic problems in patients not knowing they are infected with HIV. We report on a patient without any background medical conditions, who was referred to a hospital with a 4-month history of chest and feet pains, mild dry cough, fatigue, reduced appetite, and decreasing body weight. Chest X-ray revealed mediastinal lymphadenopathy, bilateral reticulonodular parenchymal opacities, and pleural effusion. A preliminary diagnosis of lymphoma, possibly with a superimposed infection was established. Further differential diagnostic process revealed pulmonary TB in the course of advanced HIV-1 disease, with a CD4+ T-lymphocyte count of 107 cells/mm3. The patient completed anti-tuberculous therapy and successfully continues on antiretroviral treatment. This case underlines the importance of screening for HIV in patients with newly diagnosed TB.

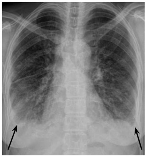
Figure 1. Infection with human immunodeficiency virus (HIV) is the strongest known risk factor for active tuberculosis (TB), and the risk of developing active TB in people living with HIV (PLWH) is 15–22 times higher than in people without HIV [1]. Active TB may develop at any stage of HIV infection, but the risk correlates negatively with CD4+ cells count. TB is the leading cause of morbidity, hospitalisations, and mortality in PLWH [1]. There were 214,000 deaths due to TB among HIV-positive people in 2020 worldwide, which accounted for 31.5% of all HIV-related deaths [1,2]. Therefore, it is recommended to screen for TB in HIV-positive patients, and for HIV infection in newly diagnosed TB patients [3,4,5]. Around 16% of all PLWH do not know that they are infected with HIV [1], and about 25% of incident HIV patients present to care with advanced disease [3]. Immunosuppression caused by HIV infection affects clinical and radiologic presentation of TB. Atypical TB presentation is often observed in the late stages of HIV infection [6,7,8,9]. Such atypical TB presentation in a person with HIV infection not yet diagnosed, may be challenging, as described below. A 42-year-old woman of Indian origin was referred to a respiratory medicine department after her chest X-ray (Figure 1) revealed nodular opacifications in the lungs and bilateral pleural effusion (arrows). The patient had a 4-month history of unspecific chest and feet pains, mild dry cough, fatigue, reduced appetite, and body weight loss of 6 kg. She denied dyspnoea, sputum expectoration, haemoptysis, night sweats, or fever. On admission to the hospital, she was in good condition, her vital signs were normal, BMI was 19.2. There was no palpable peripheral lymphadenopathy or oedema; the vesicular breathing sound was reduced bibasiliary on chest auscultation. Blood tests showed elevated CRP—109.4 (N:<5) mg/L and ERS—120 (N: < 12), normal procalcitonin, normal leukocyte and neutrophil counts, decreased lymphocyte count—0.84 × 103 (N:1.18 × 103–3.74 × 103) cells/mm3.
Figure 1. Infection with human immunodeficiency virus (HIV) is the strongest known risk factor for active tuberculosis (TB), and the risk of developing active TB in people living with HIV (PLWH) is 15–22 times higher than in people without HIV [1]. Active TB may develop at any stage of HIV infection, but the risk correlates negatively with CD4+ cells count. TB is the leading cause of morbidity, hospitalisations, and mortality in PLWH [1]. There were 214,000 deaths due to TB among HIV-positive people in 2020 worldwide, which accounted for 31.5% of all HIV-related deaths [1,2]. Therefore, it is recommended to screen for TB in HIV-positive patients, and for HIV infection in newly diagnosed TB patients [3,4,5]. Around 16% of all PLWH do not know that they are infected with HIV [1], and about 25% of incident HIV patients present to care with advanced disease [3]. Immunosuppression caused by HIV infection affects clinical and radiologic presentation of TB. Atypical TB presentation is often observed in the late stages of HIV infection [6,7,8,9]. Such atypical TB presentation in a person with HIV infection not yet diagnosed, may be challenging, as described below. A 42-year-old woman of Indian origin was referred to a respiratory medicine department after her chest X-ray (Figure 1) revealed nodular opacifications in the lungs and bilateral pleural effusion (arrows). The patient had a 4-month history of unspecific chest and feet pains, mild dry cough, fatigue, reduced appetite, and body weight loss of 6 kg. She denied dyspnoea, sputum expectoration, haemoptysis, night sweats, or fever. On admission to the hospital, she was in good condition, her vital signs were normal, BMI was 19.2. There was no palpable peripheral lymphadenopathy or oedema; the vesicular breathing sound was reduced bibasiliary on chest auscultation. Blood tests showed elevated CRP—109.4 (N:<5) mg/L and ERS—120 (N: < 12), normal procalcitonin, normal leukocyte and neutrophil counts, decreased lymphocyte count—0.84 × 103 (N:1.18 × 103–3.74 × 103) cells/mm3.
Diagnostics 12 01886 g001
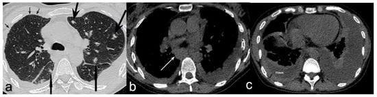
Figure 2. Axial non-contrast chest CT showed (a) multiple bilateral lung nodules (big arrows) and foci of thickened interlobular septa (small arrows); (b) enlarged subcarinal lymph nodes (white arrow); (c) right-sided pleural effusion with pleural thickening (measured) and left-sided pleural effusion partially compressing underlying lung parenchyma. Enlarged left supraclavicular and hepatic lymph nodes were found in the ultrasound examination. The overall clinical and radiologic appearance was suggestive of a lymphoma. On the day of admission, the patient developed fever of 40 °C. Sputum, blood, and urine cultures were taken—all turned out to be negative. Neither Legionella antigen in urine sample nor CMV antigen in blood were detected. An HIV test was requested as a part of the differential diagnosis of lymphopenia and lymphadenopathy. Meanwhile, an empirical antibiotic therapy consisting of ceftriaxone and levofloxacin was commenced; it was soon extended by the inclusion of clindamycin because the patient continued to be febrile. Bronchoscopy was performed and it showed a scar from previous lymph node ulceration into the left upper bronchus; aside from this the macroscopic appearance of the airways was irrelevant. The fluid from bronchoalveolar lavage (BALF) was collected and cultured. Direct microscopic examination was negative for acid-fast bacilli, but molecular testing with GeneXpert MTB/RIF assay detected the presence of Mycobacterium tuberculosis complex DNA; no rifampicin resistance gene was found. At the same time, a positive result for HIV-1 test (Bio-Rad Geenius TM HIV 1/2 Confirmatory Assay) was obtained. Anti-tuberculous treatment was started with isoniazid, rifampicin, ethambutol, and pyrazinamide. Soon, the patient became apyrexial and CRP started to decrease gradually. Mycobacterium tuberculosis (MTB) strain, susceptible to all primary anti-TB drugs, was cultured from BALF after two weeks. At the time of HIV infection diagnosis, the CD4+ T-lymphocyte count was 107 cells/mm3, and viral load 13,846 copies/mm3. Antiretroviral therapy (ART) with emtricitabine, tenofovir, and dolutegravir was commenced 11 days after anti-TB treatment was started. It resulted in a gradual improvement in CD4+ cell count and viral suppression; after four months CD4+ T-lymphocyte count reached level of >400 cells/mm3. Both anti-TB and antiviral therapies were well tolerated. The four-drug anti-TB treatment was continued for two months and was followed by seven months of isoniazid and rifampicin. Follow-up chest HRCT showed the regression of mediastinal lymphadenopathy and significant improvement of parenchymal and pleural abnormalities. The series of sputum cultures for acid-fast bacilli was negative. Three years after the diagnosis of pulmonary TB and acquired immunodeficiency syndrome (AIDS), the patient remains in good condition and continues ART successfully in an HIV/AIDS-dedicated out-patient clinic. The reported patient with newly diagnosed HIV infection and pulmonary TB had no background chronic conditions and considered herself healthy until the unspecific chest and feet pains, mild dry cough, fatigue, and reduced appetite occurred. The symptoms of pulmonary TB are unspecific, and the most common include cough with scanty sputum, haemoptysis, dyspnoea, chest pain, low-grade intermittent fever, sweating, fatigue, and weight loss [10]. Pulmonary TB in HIV-positive people presents with similar symptoms, but lower CD4+ cell counts are associated with more severe systemic symptoms [9,11]. Typical chest X-ray findings in pulmonary TB are: upper lung zones patchy consolidations, cavitations, features of bronchial dissemination [12]. Such radiologic features were not found in the presented patient. Chest CT scan showed multiple small nodules with perilymphatic distribution, interlobular septa thickening, enlarged mediastinal lymph nodes, and bilateral pleural effusion. As the HIV status of the patient was not known at that time, the radiologists suggested lung involvement in the course of a lymphoproliferative disease. That impression was further augmented by the presence of abdominal and supraclavicular lymphadenopathy. Nonspecific symptoms, high inflammatory indices, the presence of lymphopenia, lymphadenopathy, and pulmonary and pleural lesions required broad diagnostic work-up. Testing for HIV and MTB gave the conclusive outcome, and pulmonary TB in the course of HIV infection was diagnosed. Radiologic phenotype of TB associated with HIV is similar to that without HIV co-infection when CD4+ cell count is high, i.e., >350 cells/mm3. In cases with lower CD4+ cell counts, the presentation of pulmonary TB is shifted towards atypical patterns, such as parenchymal consolidations affecting the middle and lower lung zones, miliary infiltrates, chest lymphadenopathy, and pleural effusion, as in the presented patient [6,7,8,9]. Lung disease in the late period of HIV infection may be caused by opportunistic bacteria, tuberculous and non-tuberculous mycobacteria, viral and fungal pathogens, but also by the spectrum of neoplastic disorders, such as non-Hodgkin’s lymphoma or Kaposi’s sarcoma [13]. They may present with pleural effusion and pulmonary nodular infiltrates [13,14]. Thus, the differential considerations in the reported patient should also include these neoplastic diseases. The bronchoscopy revealed no suspicious endobronchial lesions, and microscopic examination of BALF was negative for atypical or neoplastic cells. Finally, therapies targeted at TB and HIV resulted in resolution of lymphadenopathy. An additional difficulty in diagnosing TB in PLWH is a higher rate of smear-negative disease. For this reason, molecular WHO-recommended rapid diagnostic tests, such as GeneXpert MTB/RIF assay, are recommended as an initial test rather than smear microscopy or culture [3]. Anti-tuberculous treatment regimen and its duration in drug-susceptible TB in PLWH are the same as in TB without HIV co-infection [5]. ART should be started as soon as possible (within two weeks of initiating TB treatment) regardless of CD4+ cell count, with the only exception being TB meningitis, where it should be delayed for four weeks if CD4+ < 50 (100) cells/mm3 [5]. The risk of death in people co-infected with HIV and TB is reportedly two to five times higher than in HIV-infected patients without TB with matched CD4+ cell counts, irrespective of ART, effective TB treatment, and good access to healthcare [15,16,17]. There is the evidence that TB directly contributes to mortality in HIV-infected patients, rather than simply presenting as a marker of advanced immunodeficiency [18]. Delayed TB diagnosis, i.e., after ≥1 month of symptoms duration, increases the risk of death [19], and the first 3 months after TB diagnosis seem crucial for survival in PLWH [15]. A TB recurrence rate is higher in PLWH than in people without HIV—4.5 vs. 1.9 per 100 person-years, respectively [20]. The presented patient remains well three years after diagnosis of TB and HIV co-infection, with viral suppression on ART and no signs of TB recurrence. Populations with high prevalence of HIV infection include men who have sex with men, intravenous drug users, people in prisons and other closed settings, sex workers, and transgender people [21]. In summary, co-infection with HIV may change the clinical phenotype of TB, leading to diagnostic problems and delayed treatment. The highest level of vigilance with regard to TB is recommended in PLWH. Moreover, each newly diagnosed TB patient should be tested for HIV.
Figure 2. Axial non-contrast chest CT showed (a) multiple bilateral lung nodules (big arrows) and foci of thickened interlobular septa (small arrows); (b) enlarged subcarinal lymph nodes (white arrow); (c) right-sided pleural effusion with pleural thickening (measured) and left-sided pleural effusion partially compressing underlying lung parenchyma. Enlarged left supraclavicular and hepatic lymph nodes were found in the ultrasound examination. The overall clinical and radiologic appearance was suggestive of a lymphoma. On the day of admission, the patient developed fever of 40 °C. Sputum, blood, and urine cultures were taken—all turned out to be negative. Neither Legionella antigen in urine sample nor CMV antigen in blood were detected. An HIV test was requested as a part of the differential diagnosis of lymphopenia and lymphadenopathy. Meanwhile, an empirical antibiotic therapy consisting of ceftriaxone and levofloxacin was commenced; it was soon extended by the inclusion of clindamycin because the patient continued to be febrile. Bronchoscopy was performed and it showed a scar from previous lymph node ulceration into the left upper bronchus; aside from this the macroscopic appearance of the airways was irrelevant. The fluid from bronchoalveolar lavage (BALF) was collected and cultured. Direct microscopic examination was negative for acid-fast bacilli, but molecular testing with GeneXpert MTB/RIF assay detected the presence of Mycobacterium tuberculosis complex DNA; no rifampicin resistance gene was found. At the same time, a positive result for HIV-1 test (Bio-Rad Geenius TM HIV 1/2 Confirmatory Assay) was obtained. Anti-tuberculous treatment was started with isoniazid, rifampicin, ethambutol, and pyrazinamide. Soon, the patient became apyrexial and CRP started to decrease gradually. Mycobacterium tuberculosis (MTB) strain, susceptible to all primary anti-TB drugs, was cultured from BALF after two weeks. At the time of HIV infection diagnosis, the CD4+ T-lymphocyte count was 107 cells/mm3, and viral load 13,846 copies/mm3. Antiretroviral therapy (ART) with emtricitabine, tenofovir, and dolutegravir was commenced 11 days after anti-TB treatment was started. It resulted in a gradual improvement in CD4+ cell count and viral suppression; after four months CD4+ T-lymphocyte count reached level of >400 cells/mm3. Both anti-TB and antiviral therapies were well tolerated. The four-drug anti-TB treatment was continued for two months and was followed by seven months of isoniazid and rifampicin. Follow-up chest HRCT showed the regression of mediastinal lymphadenopathy and significant improvement of parenchymal and pleural abnormalities. The series of sputum cultures for acid-fast bacilli was negative. Three years after the diagnosis of pulmonary TB and acquired immunodeficiency syndrome (AIDS), the patient remains in good condition and continues ART successfully in an HIV/AIDS-dedicated out-patient clinic. The reported patient with newly diagnosed HIV infection and pulmonary TB had no background chronic conditions and considered herself healthy until the unspecific chest and feet pains, mild dry cough, fatigue, and reduced appetite occurred. The symptoms of pulmonary TB are unspecific, and the most common include cough with scanty sputum, haemoptysis, dyspnoea, chest pain, low-grade intermittent fever, sweating, fatigue, and weight loss [10]. Pulmonary TB in HIV-positive people presents with similar symptoms, but lower CD4+ cell counts are associated with more severe systemic symptoms [9,11]. Typical chest X-ray findings in pulmonary TB are: upper lung zones patchy consolidations, cavitations, features of bronchial dissemination [12]. Such radiologic features were not found in the presented patient. Chest CT scan showed multiple small nodules with perilymphatic distribution, interlobular septa thickening, enlarged mediastinal lymph nodes, and bilateral pleural effusion. As the HIV status of the patient was not known at that time, the radiologists suggested lung involvement in the course of a lymphoproliferative disease. That impression was further augmented by the presence of abdominal and supraclavicular lymphadenopathy. Nonspecific symptoms, high inflammatory indices, the presence of lymphopenia, lymphadenopathy, and pulmonary and pleural lesions required broad diagnostic work-up. Testing for HIV and MTB gave the conclusive outcome, and pulmonary TB in the course of HIV infection was diagnosed. Radiologic phenotype of TB associated with HIV is similar to that without HIV co-infection when CD4+ cell count is high, i.e., >350 cells/mm3. In cases with lower CD4+ cell counts, the presentation of pulmonary TB is shifted towards atypical patterns, such as parenchymal consolidations affecting the middle and lower lung zones, miliary infiltrates, chest lymphadenopathy, and pleural effusion, as in the presented patient [6,7,8,9]. Lung disease in the late period of HIV infection may be caused by opportunistic bacteria, tuberculous and non-tuberculous mycobacteria, viral and fungal pathogens, but also by the spectrum of neoplastic disorders, such as non-Hodgkin’s lymphoma or Kaposi’s sarcoma [13]. They may present with pleural effusion and pulmonary nodular infiltrates [13,14]. Thus, the differential considerations in the reported patient should also include these neoplastic diseases. The bronchoscopy revealed no suspicious endobronchial lesions, and microscopic examination of BALF was negative for atypical or neoplastic cells. Finally, therapies targeted at TB and HIV resulted in resolution of lymphadenopathy. An additional difficulty in diagnosing TB in PLWH is a higher rate of smear-negative disease. For this reason, molecular WHO-recommended rapid diagnostic tests, such as GeneXpert MTB/RIF assay, are recommended as an initial test rather than smear microscopy or culture [3]. Anti-tuberculous treatment regimen and its duration in drug-susceptible TB in PLWH are the same as in TB without HIV co-infection [5]. ART should be started as soon as possible (within two weeks of initiating TB treatment) regardless of CD4+ cell count, with the only exception being TB meningitis, where it should be delayed for four weeks if CD4+ < 50 (100) cells/mm3 [5]. The risk of death in people co-infected with HIV and TB is reportedly two to five times higher than in HIV-infected patients without TB with matched CD4+ cell counts, irrespective of ART, effective TB treatment, and good access to healthcare [15,16,17]. There is the evidence that TB directly contributes to mortality in HIV-infected patients, rather than simply presenting as a marker of advanced immunodeficiency [18]. Delayed TB diagnosis, i.e., after ≥1 month of symptoms duration, increases the risk of death [19], and the first 3 months after TB diagnosis seem crucial for survival in PLWH [15]. A TB recurrence rate is higher in PLWH than in people without HIV—4.5 vs. 1.9 per 100 person-years, respectively [20]. The presented patient remains well three years after diagnosis of TB and HIV co-infection, with viral suppression on ART and no signs of TB recurrence. Populations with high prevalence of HIV infection include men who have sex with men, intravenous drug users, people in prisons and other closed settings, sex workers, and transgender people [21]. In summary, co-infection with HIV may change the clinical phenotype of TB, leading to diagnostic problems and delayed treatment. The highest level of vigilance with regard to TB is recommended in PLWH. Moreover, each newly diagnosed TB patient should be tested for HIV.
Diagnostics 12 01886 g002

Author Contributions

Conceptualisation, A.K. and M.S.; writing—original draft preparation, A.K.; writing—review and editing, M.S., W.T., K.O., R.P., M.M., I.C. and E.A.-K.; figures—preparation and description, K.O.; medical care for the patient, A.K., M.M. and I.C.; supervision; M.S. and W.T. All authors have read and agreed to the published version of the manuscript.

Funding

This research received no external funding.

Institutional Review Board Statement

The case report was prepared in agreement with the Declaration of Helsinki and the European General Data Protection Regulation. No ethics committee approval was required as the case report did not contain any sensitive information and the consent for publication was obtained from the patient.

Informed Consent Statement

Written informed consent was obtained from the patient to publish this paper.

Data Availability Statement

Not applicable.

Conflicts of Interest

The authors declare no conflict of interest.

References

  1. Global Tuberculosis Report 2021; WHO: Geneva, Switzerland, 2021; Available online: https://apps.who.int/iris/rest/bitstreams/1379788/retrieve (accessed on 20 May 2022).
  2. WHO Key Facts HIV. Available online: https://cdn.who.int/media/docs/default-source/hq-hiv-hepatitis-and-stis-library/key-facts-hiv-2020.pdf?sfvrsn=582c3f6e_13 (accessed on 20 May 2022).
  3. WHO. Consolidated Guidelines on HIV Prevention, Testing, Treatment, Service Delivery and Monitoring: Recommendations for a Public Health Approach; WHO: Geneva, Switzerland, 2021; Available online: https://apps.who.int/iris/rest/bitstreams/1357089/retrieve (accessed on 20 May 2022).
  4. WHO Consolidated Guidelines on Tuberculosis. Module 2: Screening—Systematic Screening for Tuberculosis Disease; WHO: Geneva, Switzerland, 2021; Available online: https://www.who.int/publications/i/item/9789240022676 (accessed on 20 May 2022).
  5. EACS Guidelines Version 11.0. October 2021. Available online: https://www.eacsociety.org/media/final2021eacsguidelinesv11.0_oct2021.pdf (accessed on 20 May 2022).
  6. Marchie, T.T.; Akhigbe, O.T. Comparing the level of CD4 T lymphocytes, to pulmonary features of tuberculosis in HIV patients in a local hospital. Niger. J. Clin. Pract. 2010, 13, 254–259. [Google Scholar] [PubMed]
  7. San, K.E.; Muhamad, M. Pulmonary Tuberculosis in HIV Infection: The Relationship of the Radiographic Appearance to CD4 T-Lymphocytes Count. Malay. J. Med. Sci. 2001, 8, 34–40. [Google Scholar]
  8. Garcia, G.F.; Moura, A.S.; Ferreira, C.S.; Rocha, M.O. Clinical and radiographic features of HIV-related pulmonary tuberculosis according to the level of immunosuppression. Rev. Soc. Bras. Med. Trop. 2007, 40, 622–626. [Google Scholar] [CrossRef] [PubMed][Green Version]
  9. Hadadi, A.; Tajik, P.; Rasoolinejad, M.; Davoudi, S.; Mohraz, M. Pulmonary Tuberculosis in Patients with HIV/AIDS in Iran. Iran. J. Public Health 2011, 40, 100–106. [Google Scholar] [PubMed]
  10. Zellweger, J.-P.; Sousa, P.; Heyckendorf, J. Clinical diagnosis. In Tuberculosis (ERS Monograph); Migliori, G.B., Bothamley, G., Duarte, R., Rendon, A., Eds.; European Respiratory Society: Sheffield, UK, 2018; pp. 83–98. [Google Scholar]
  11. Burman, W.J.; Jones, B.E. Clinical and radiographic features of HIV-related tuberculosis. Semin. Respir. Infect. 2003, 18, 263–271. [Google Scholar] [CrossRef]
  12. Chesov, D.; Botnaru, V. Imaging for diagnosis and management. In Tuberculosis (ERS Monograph); Migliori, G.B., Bothamley, G., Duarte, R., Rendon, A., Eds.; European Respiratory Society: Sheffield, UK, 2018; pp. 116–136. [Google Scholar]
  13. Maximous, S.; Huang, L.; Morris, A. Evaluation and Diagnosis of HIV-Associated Lung Disease. Semin. Respir. Crit. Care Med. 2016, 37, 199–213. [Google Scholar] [CrossRef] [PubMed]
  14. Angirish, B.; Sanghavi, P.; Jankharia, B. Pulmonary manifestations of lymphoma: A pictorial essay. Lung India 2020, 37, 263–267. [Google Scholar] [CrossRef]
  15. Zenner, D.; Abubakar, I.; Conti, S.; Gupta, R.K.; Yin, Z.; Kall, M.; Kruijshaar, M.; Rice, B.; Thomas, H.L.; Pozniak, A.; et al. Impact of TB on the survival of people living with HIV infection in England, Wales and Northern Ireland. Thorax 2015, 70, 566–573. [Google Scholar] [CrossRef]
  16. Seyoum, E.; Demissie, M.; Worku, A.; Mulu, A.; Berhane, Y.; Abdissa, A. Increased Mortality in HIV Infected Individuals with Tuberculosis: A Retrospective Cohort Study, Addis Ababa, Ethiopia. HIV AIDS 2022, 25, 143–154. [Google Scholar] [CrossRef]
  17. Kabali, C.; Mtei, L.; Brooks, D.R.; Waddell, R.; Bakari, M.; Matee, M.; Arbeit, R.D.; Pallangyo, K.; von Reyn, C.F.; Horsburgh, C.R. Increased mortality associated with treated active tuberculosis in HIV-infected adults in Tanzania. Tuberculosis 2013, 93, 461–466. [Google Scholar] [CrossRef][Green Version]
  18. Gupta, R.K.; Lucas, S.B.; Fielding, K.L.; Lawn, S.D. Prevalence of tuberculosis in post-mortem studies of HIV-infected adults and children in resource-limited settings: A systematic review and meta-analysis. AIDS 2015, 29, 1987–2002. [Google Scholar] [CrossRef] [PubMed]
  19. Kraef, C.; Bentzon, A.; Panteleev, A.; Skrahina, A.; Bolokadze, N.; Tetradov, S.; Podlasin, R.; Karpov, I.; Borodulina, E.; Denisova, E.; et al. Study Group. Delayed diagnosis of tuberculosis in persons living with HIV in Eastern Europe: Associated factors and effect on mortality—A multicentre prospective cohort study. BMC Infect. Dis. 2021, 21, 1038. [Google Scholar] [CrossRef] [PubMed]
  20. Korenromp, E.L.; Scano, F.; Williams, B.G.; Dye, C.; Nunn, P. Effects of human immunodeficiency virus infection on recurrence of tuberculosis after rifampin-based treatment: An analytical review. Clin. Infect. Dis. 2003, 37, 101–112. [Google Scholar] [CrossRef]
  21. Deeks, S.G.; Overbaugh, J.; Phillips, A.; Buchbinder, S. HIV infection. Nat. Rev. Dis. Primers 2015, 1, 15035. [Google Scholar] [CrossRef] [PubMed]
Publisher’s Note: MDPI stays neutral with regard to jurisdictional claims in published maps and institutional affiliations.

Share and Cite

MDPI and ACS Style

Kacprzak, A.; Oniszh, K.; Podlasin, R.; Marczak, M.; Cielniak, I.; Augustynowicz-Kopeć, E.; Tomkowski, W.; Szturmowicz, M. Atypical Pulmonary Tuberculosis as the First Manifestation of Advanced HIV Disease—Diagnostic Difficulties. Diagnostics 2022, 12, 1886. https://doi.org/10.3390/diagnostics12081886

AMA Style

Kacprzak A, Oniszh K, Podlasin R, Marczak M, Cielniak I, Augustynowicz-Kopeć E, Tomkowski W, Szturmowicz M. Atypical Pulmonary Tuberculosis as the First Manifestation of Advanced HIV Disease—Diagnostic Difficulties. Diagnostics. 2022; 12(8):1886. https://doi.org/10.3390/diagnostics12081886

Chicago/Turabian Style

Kacprzak, Aneta, Karina Oniszh, Regina Podlasin, Maria Marczak, Iwona Cielniak, Ewa Augustynowicz-Kopeć, Witold Tomkowski, and Monika Szturmowicz. 2022. "Atypical Pulmonary Tuberculosis as the First Manifestation of Advanced HIV Disease—Diagnostic Difficulties" Diagnostics 12, no. 8: 1886. https://doi.org/10.3390/diagnostics12081886

APA Style

Kacprzak, A., Oniszh, K., Podlasin, R., Marczak, M., Cielniak, I., Augustynowicz-Kopeć, E., Tomkowski, W., & Szturmowicz, M. (2022). Atypical Pulmonary Tuberculosis as the First Manifestation of Advanced HIV Disease—Diagnostic Difficulties. Diagnostics, 12(8), 1886. https://doi.org/10.3390/diagnostics12081886

Note that from the first issue of 2016, this journal uses article numbers instead of page numbers. See further details here.

Article Metrics

Back to TopTop