Apparent Diffusion Coefficient (ADC) Histogram Analysis in Parotid Gland Tumors: Evaluating a Novel Approach for Differentiation between Benign and Malignant Parotid Lesions Based on Full Histogram Distributions
Abstract
:1. Introduction
2. Materials and Methods
2.1. Study Population and Study Procedure
2.2. Imaging Technique
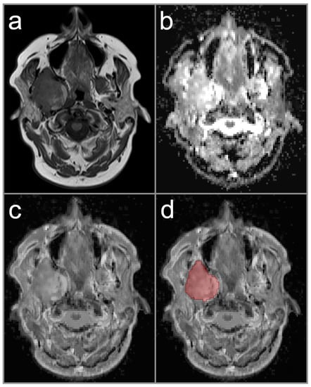
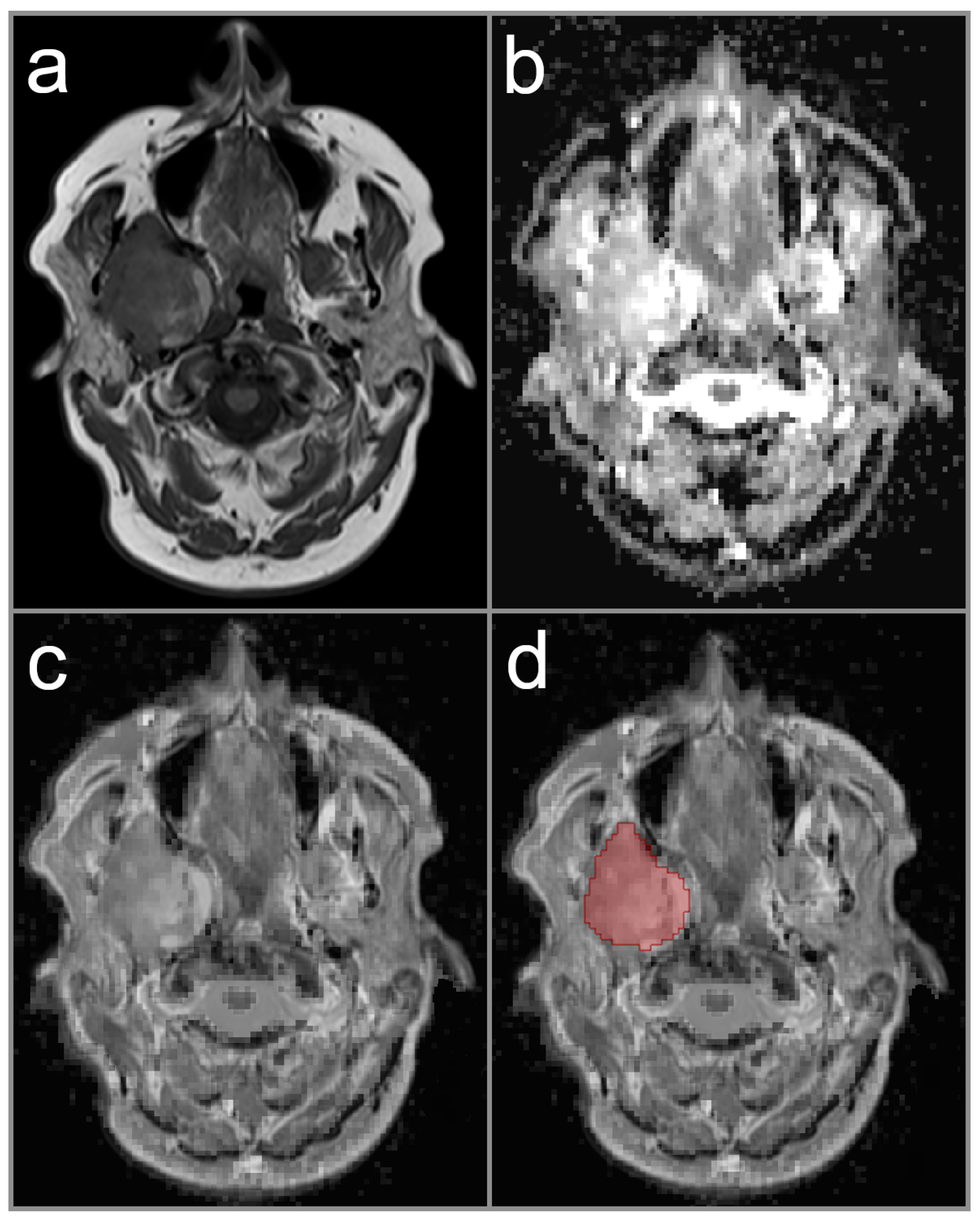
2.3. Image Analysis and ADC Measurement
2.4. Statistical Analysis
3. Results
3.1. Patient Population
3.2. Diagnostic Performance
3.3. Cross-Validation Performance
4. Discussion
5. Conclusions
Author Contributions
Funding
Institutional Review Board Statement
Informed Consent Statement
Data Availability Statement
Conflicts of Interest
References
- Kanetake, H.; Inaka, Y.; Kinoshita, I.; Ayani, Y.; Ozaki, A.; Omura, S.; Higashino, M.; Terada, T.; Haginomori, S.I.; Kawata, R. Characteristics and Outcomes of Parotid Gland Tumors in Adolescents. Ear Nose Throat J. 2021, 1455613211064013. [Google Scholar] [CrossRef] [PubMed]
- Tian, Z.; Li, L.; Wang, L.; Hu, Y.; Li, J. Salivary gland neoplasms in oral and maxillofacial regions: A 23-year retrospective study of 6982 cases in an eastern Chinese population. Int. J. Oral Maxillofac. Surg. 2010, 39, 235–242. [Google Scholar] [CrossRef]
- Thompson, L. World Health Organization classification of tumours: Pathology and genetics of head and neck tumours. Ear Nose Throat J. 2006, 85, 74. [Google Scholar] [CrossRef] [PubMed] [Green Version]
- Lopes, M.; Barroso, K.M.A.; Henriques, Á.C.G.; Dos Santos, J.N.; Martins, M.D.; de Souza, L.B. Pleomorphic adenomas of the salivary glands: Retrospective multicentric study of 130 cases with emphasis on histopathological features. Eur. Arch. Otorhinolaryngol. 2017, 274, 543–551. [Google Scholar] [CrossRef] [PubMed]
- Limaiem, F.; Jain, P. Warthin Tumor. In StatPearls; StatPearls Publishing LLC.: Treasure Island, FL, USA, 2021. [Google Scholar]
- Vasconcelos, A.C.; Nör, F.; Meurer, L.; Salvadori, G.; Souza, L.B.; Vargas, P.A.; Martins, M.D. Clinicopathological analysis of salivary gland tumors over a 15-year period. Braz. Oral Res. 2016, 30, S1806-83242016000100208. [Google Scholar] [CrossRef] [Green Version]
- Fonseca, F.P.; Carvalho Mde, V.; de Almeida, O.P.; Rangel, A.L.; Takizawa, M.C.; Bueno, A.G.; Vargas, P.A. Clinicopathologic analysis of 493 cases of salivary gland tumors in a Southern Brazilian population. Oral Surg. Oral Med. Oral Pathol. Oral Radiol. 2012, 114, 230–239. [Google Scholar] [CrossRef] [Green Version]
- Lee, Y.C.; Liao, W.C.; Yang, S.W.; Luo, C.M.; Tsai, Y.T.; Tsai, M.S.; Lee, Y.H.; Hsin, L.J. Systematic review and meta-analysis of modified facelift incision versus modified Blair incision in parotidectomy. Sci. Rep. 2021, 11, 24106. [Google Scholar] [CrossRef]
- Beahrs, O.H.; Woolner, L.B.; Carveth, S.W.; Devine, K.D. Surgical management of parotid lesions. Review of seven hundred sixty cases. Arch. Surg. 1960, 80, 890–904. [Google Scholar] [CrossRef]
- Carta, F.; Chuchueva, N.; Gerosa, C.; Sionis, S.; Caria, R.A.; Puxeddu, R. Parotid tumours: Clinical and oncologic outcomes after microscope-assisted parotidectomy with intraoperative nerve monitoring. Acta Otorhinolaryngol. Ital. 2017, 37, 375–386. [Google Scholar] [CrossRef]
- Chiesa-Estomba, C.M.; Larruscain-Sarasola, E.; Lechien, J.R.; Mouawad, F.; Calvo-Henriquez, C.; Diom, E.S.; Ramirez, A.; Ayad, T. Facial nerve monitoring during parotid gland surgery: A systematic review and meta-analysis. Eur. Arch. Otorhinolaryngol. 2021, 278, 933–943. [Google Scholar] [CrossRef]
- Frazell, E.L. Clinical aspects of tumors of the major salivary glands. Cancer 1954, 7, 637–659. [Google Scholar] [CrossRef]
- Stewart, K.E.; Bannon, R.; Bannister, M. Benign parotid mass and facial palsy: Systematic review. Ann. R. Coll. Surg. Engl. 2021, 103, 47–52. [Google Scholar] [CrossRef] [PubMed]
- Abdel Razek, A.A.K.; Mukherji, S.K. State-of-the-Art Imaging of Salivary Gland Tumors. Neuroimaging Clin. N. Am. 2018, 28, 303–317. [Google Scholar] [CrossRef] [PubMed]
- Gökçe, E. Multiparametric Magnetic Resonance Imaging for the Diagnosis and Differential Diagnosis of Parotid Gland Tumors. J. Magn. Reson. Imaging 2020, 52, 11–32. [Google Scholar] [CrossRef] [PubMed]
- Zheng, M.; Plonowska, K.A.; Strohl, M.P.; Ryan, W.R. Surgeon-performed ultrasound for the assessment of parotid masses. Am. J. Otolaryngol. 2018, 39, 467–471. [Google Scholar] [CrossRef] [PubMed]
- Corr, P.; Cheng, P.; Metreweli, C. The role of ultrasound and computed tomography in the evaluation of parotid masses. Australas. Radiol. 1993, 37, 195–197. [Google Scholar] [CrossRef]
- Martino, M.; Fodor, D.; Fresilli, D.; Guiban, O.; Rubini, A.; Cassoni, A.; Ralli, M.; De Vincentiis, C.; Arduini, F.; Celletti, I.; et al. Narrative review of multiparametric ultrasound in parotid gland evaluation. Gland Surg. 2020, 9, 2295–2311. [Google Scholar] [CrossRef] [PubMed]
- Cheng, P.C.; Chang, C.M.; Huang, C.C.; Lo, W.C.; Huang, T.W.; Cheng, P.W.; Liao, L.J. The diagnostic performance of ultrasonography and computerized tomography in differentiating superficial from deep lobe parotid tumours. Clin. Otolaryngol. 2019, 44, 286–292. [Google Scholar] [CrossRef] [PubMed]
- Karaman, C.Z.; Tanyeri, A.; Özgür, R.; Öztürk, V.S. Parotid gland tumors: Comparison of conventional and diffusion-weighted MRI findings with histopathological results. Dentomaxillofac. Radiol. 2021, 50, 20200391. [Google Scholar] [CrossRef]
- Ferguson, A.; Assadsangabi, R.; Chang, J.; Raslan, O.; Bobinski, M.; Bewley, A.; Dublin, A.; Latchaw, R.; Ivanovic, V. Analysis of misses in imaging of head and neck pathology by attending neuroradiologists at a single tertiary academic medical centre. Clin. Radiol. 2021, 76, 786.e9–786.e13. [Google Scholar] [CrossRef]
- Yuan, Y.; Tang, W.; Tao, X. Parotid gland lesions: Separate and combined diagnostic value of conventional MRI, diffusion-weighted imaging and dynamic contrast-enhanced MRI. Br. J. Radiol. 2016, 89, 20150912. [Google Scholar] [CrossRef] [PubMed] [Green Version]
- Coudert, H.; Mirafzal, S.; Dissard, A.; Boyer, L.; Montoriol, P.F. Multiparametric magnetic resonance imaging of parotid tumors: A systematic review. Diagn. Interv. Imaging 2021, 102, 121–130. [Google Scholar] [CrossRef] [PubMed]
- Elmokadem, A.H.; Abdel Khalek, A.M.; Abdel Wahab, R.M.; Tharwat, N.; Gaballa, G.M.; Elata, M.A.; Amer, T. Diagnostic Accuracy of Multiparametric Magnetic Resonance Imaging for Differentiation Between Parotid Neoplasms. Can. Assoc. Radiol. J. 2019, 70, 264–272. [Google Scholar] [CrossRef] [PubMed] [Green Version]
- Chen, J.; Liu, S.; Tang, Y.; Zhang, X.; Cao, M.; Xiao, Z.; Ren, M.; Chen, X. Performance of diffusion-weighted imaging for the diagnosis of parotid gland malignancies: A meta-analysis. Eur. J. Radiol. 2021, 134, 109444. [Google Scholar] [CrossRef]
- Orhan Soylemez, U.P.; Atalay, B. Differentiation of Benign and Malignant Parotid Gland Tumors with MRI and Diffusion Weighted Imaging. Medeni. Med. J. 2021, 36, 138–145. [Google Scholar] [CrossRef] [PubMed]
- Martinez-Heras, E.; Grussu, F.; Prados, F.; Solana, E.; Llufriu, S. Diffusion-Weighted Imaging: Recent Advances and Applications. Semin. Ultrasound CT MR 2021, 42, 490–506. [Google Scholar] [CrossRef]
- Habermann, C.R.; Arndt, C.; Graessner, J.; Diestel, L.; Petersen, K.U.; Reitmeier, F.; Ussmueller, J.O.; Adam, G.; Jaehne, M. Diffusion-weighted echo-planar MR imaging of primary parotid gland tumors: Is a prediction of different histologic subtypes possible? AJNR Am. J. Neuroradiol. 2009, 30, 591–596. [Google Scholar] [CrossRef] [Green Version]
- Chen, P.; Dong, B.; Zhang, C.; Tao, X.; Wang, P.; Zhu, L. The histogram analysis of apparent diffusion coefficient in differential diagnosis of parotid tumor. Dentomaxillofac. Radiol. 2020, 49, 20190420. [Google Scholar] [CrossRef]
- Ma, G.; Zhu, L.N.; Su, G.Y.; Hu, H.; Qian, W.; Bu, S.S.; Xu, X.Q.; Wu, F.Y. Histogram analysis of apparent diffusion coefficient maps for differentiating malignant from benign parotid gland tumors. Eur. Arch. Otorhinolaryngol. 2018, 275, 2151–2157. [Google Scholar] [CrossRef]
- Zhang, Z.; Song, C.; Zhang, Y.; Wen, B.; Zhu, J.; Cheng, J. Apparent diffusion coefficient (ADC) histogram analysis: Differentiation of benign from malignant parotid gland tumors using readout-segmented diffusion-weighted imaging. Dentomaxillofac. Radiol. 2019, 48, 20190100. [Google Scholar] [CrossRef]
- Grosheva, M.; Klußmann, J.P.; Guntinas-Lichius, O. Current trends in surgery for benign parotid lesions. Laryngorhinootologie 2018, 97, 799–811. [Google Scholar] [CrossRef]
- Mantsopoulos, K.; Koch, M.; Klintworth, N.; Zenk, J.; Iro, H. Evolution and changing trends in surgery for benign parotid tumors. Laryngoscope 2015, 125, 122–127. [Google Scholar] [CrossRef] [PubMed]
- Dell’Aversana Orabona, G.; Salzano, G.; Abbate, V.; Bonavolontà, P.; Committeri, U.; Seidita, F.; Petrocelli, M.; Somma, T.; Improta, G.; Vaira, L.A.; et al. Malignant tumours of the parotid gland: Management of the neck (including the clinically negative neck) and a literature review. Br. J. Oral Maxillofac. Surg. 2021, 59, 665–671. [Google Scholar] [CrossRef] [PubMed]
- Yerli, H.; Aydin, E.; Haberal, N.; Harman, A.; Kaskati, T.; Alibek, S. Diagnosing common parotid tumours with magnetic resonance imaging including diffusion-weighted imaging vs fine-needle aspiration cytology: A comparative study. Dentomaxillofac. Radiol. 2010, 39, 349–355. [Google Scholar] [CrossRef] [PubMed] [Green Version]
- Bruvo, M.; Mahmood, F. Apparent diffusion coefficient measurement of the parotid gland parenchyma. Quant. Imaging Med. Surg. 2021, 11, 3812–3829. [Google Scholar] [CrossRef] [PubMed]
- Van Rooij, W.; Dahele, M.; Nijhuis, H.; Slotman, B.J.; Verbakel, W.F. Strategies to improve deep learning-based salivary gland segmentation. Radiat. Oncol. 2020, 15, 272. [Google Scholar] [CrossRef] [PubMed]
- Steens, S.C.; Admiraal-Behloul, F.; Schaap, J.A.; Hoogenraad, F.G.; Wheeler-Kingshott, C.A.; le Cessie, S.; Tofts, P.S.; van Buchem, M.A. Reproducibility of brain ADC histograms. Eur. Radiol. 2004, 14, 425–430. [Google Scholar] [CrossRef] [PubMed]
- Markiet, K.; Glinska, A.; Nowicki, T.; Szurowska, E.; Mikaszewski, B. Feasibility of Intravoxel Incoherent Motion (IVIM) and Dynamic Contrast-Enhanced Magnetic Resonance Imaging (DCE-MRI) in Differentiation of Benign Parotid Gland Tumors. Biology 2022, 11, 399. [Google Scholar] [CrossRef]






| Sequence Type | Echo-Planar DWI |
|---|---|
| Repetition time [ms] | 1700 |
| Echo time [ms] | 87 |
| Voxel size [mm3] | 2.0 × 2.0 × 5.0 |
| Field of view [mm2] | 250 |
| Field of view in phase direction | 100% |
| Phase direction | Anterior-posterior |
| Phase resolution | 92% |
| Partial Fourier | 75% (phase) |
| Matrix | 128 × 128 |
| Slice distance | 20% |
| No. of slices | 12 |
| Parallel imaging | GRAPPA × 2 |
| Bandwidth [Hz/pixel] | 1302 |
| Echo spacing [ms] | 0.87 |
| Readout segments | 1 |
| Flip angle [°] | 180 |
| b-values [s/mm2] | 0, 500, 1000 |
| Averages | 6 per b-value |
| Diffusion mode | 3-scan trace |
| Diffusion scheme | Bipolar |
| Acquisition time [min] | 1:17 |
| Pathological Result | Frequency |
|---|---|
| Mucoepidermoid carcinoma | 4 |
| Acinic cell carcinoma | 6 |
| Squamous carcinoma | 2 |
| Adenoid cystic carcinoma | 3 |
| Carcinoma ex pleomorphic adenoma | 3 |
| Ductal carcinoma | 2 |
| Merkel cell carcinoma | 1 |
| MT versus Benign Lesions | MT versus PA | MT versus WT | ||||
|---|---|---|---|---|---|---|
| ADChistogram | ADCmean | ADChistogram | ADCmean | ADChistogram | ADCmean | |
| Sensitivity | 61.9% | 71.4% | 100% | 95.2% | 61.9% | 76.2% |
| Specificity | 75% | 71.2% | 70% | 73.3% | 81.8% | 68.2% |
| Leave-1-Out CV | Repeated CV | Bootstrap | |||||
|---|---|---|---|---|---|---|---|
| ADChistogram | ADCmean | ADChistogram | ADCmean | ADChistogram | ADCmean | ||
| Total accuracy | 71.2% | 67.1% | 68.6% | 64.3% | 66.5% | 64.0% | |
| Type-specific precision | MT | 50.0% | 44.4% | 45.8% | 39.4% | 44.7% | 41.0% |
| PA | 100% | 91.7% | 98.5% | 89.7% | 93.0% | 82.8% | |
| WT | 69.2% | 68.2% | 67.2% | 65.0% | 64.1% | 62.8% | |
| PA|WT | 83.0% | 80.4% | 80.2% | 76.9% | 77.9% | 75.0% | |
| Type-specific true positive rate | MT | 61.9% | 57.1% | 54.0% | 46.5% | 50.3% | 40.1% |
| PA | 70.0% | 73.3% | 73.6% | 69.6% | 69.4% | 75.9% | |
| WT | 81.8% | 68.2% | 80.2% | 68.7% | 78.7% | 71.6% | |
| PA|WT | 75.0% | 71.2% | 74.4% | 71.4% | 73.8% | 75.8% | |
Publisher’s Note: MDPI stays neutral with regard to jurisdictional claims in published maps and institutional affiliations. |
© 2022 by the authors. Licensee MDPI, Basel, Switzerland. This article is an open access article distributed under the terms and conditions of the Creative Commons Attribution (CC BY) license (https://creativecommons.org/licenses/by/4.0/).
Share and Cite
Hepp, T.; Wuest, W.; Heiss, R.; May, M.S.; Kopp, M.; Wetzl, M.; Treutlein, C.; Uder, M.; Wiesmueller, M. Apparent Diffusion Coefficient (ADC) Histogram Analysis in Parotid Gland Tumors: Evaluating a Novel Approach for Differentiation between Benign and Malignant Parotid Lesions Based on Full Histogram Distributions. Diagnostics 2022, 12, 1860. https://doi.org/10.3390/diagnostics12081860
Hepp T, Wuest W, Heiss R, May MS, Kopp M, Wetzl M, Treutlein C, Uder M, Wiesmueller M. Apparent Diffusion Coefficient (ADC) Histogram Analysis in Parotid Gland Tumors: Evaluating a Novel Approach for Differentiation between Benign and Malignant Parotid Lesions Based on Full Histogram Distributions. Diagnostics. 2022; 12(8):1860. https://doi.org/10.3390/diagnostics12081860
Chicago/Turabian StyleHepp, Tobias, Wolfgang Wuest, Rafael Heiss, Matthias Stefan May, Markus Kopp, Matthias Wetzl, Christoph Treutlein, Michael Uder, and Marco Wiesmueller. 2022. "Apparent Diffusion Coefficient (ADC) Histogram Analysis in Parotid Gland Tumors: Evaluating a Novel Approach for Differentiation between Benign and Malignant Parotid Lesions Based on Full Histogram Distributions" Diagnostics 12, no. 8: 1860. https://doi.org/10.3390/diagnostics12081860
APA StyleHepp, T., Wuest, W., Heiss, R., May, M. S., Kopp, M., Wetzl, M., Treutlein, C., Uder, M., & Wiesmueller, M. (2022). Apparent Diffusion Coefficient (ADC) Histogram Analysis in Parotid Gland Tumors: Evaluating a Novel Approach for Differentiation between Benign and Malignant Parotid Lesions Based on Full Histogram Distributions. Diagnostics, 12(8), 1860. https://doi.org/10.3390/diagnostics12081860

